JavaScript is disabled in your browser. Please enable JavaScript to view this website.
AB108341

Anti-Androgen Receptor antibody [ER179(2)] - ChIP Grade

  • BOND RX™ Validated
  • RabMAb
  • Recombinant
  • Lab Essentials
  • Advanced Validation
  • What is this?

5

(4 Reviews)

|

(116 Publications)

Anti-Androgen Receptor antibody [ER179(2)] - ChIP Grade (ab108341) is a rabbit monoclonal antibody detecting Androgen Receptor in Western Blot, IP, IHC-P, ICC/IF, ChIP. Suitable for Human, Mouse, Rat.

- Biophysical QC for unrivalled batch-batch consistency
- Over 70 publications

View Alternative Names

DHTR, NR3C4, AR, Androgen receptor, Dihydrotestosterone receptor, Nuclear receptor subfamily 3 group C member 4

18 Images
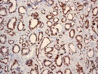
Immunohistochemistry - Anti-Androgen Receptor antibody [ER179(2)] - ChIP Grade (AB108341)
  • IHC

Lab

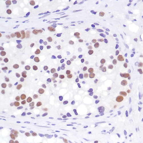
Immunohistochemistry - Anti-Androgen Receptor antibody [ER179(2)] - ChIP Grade (AB108341)

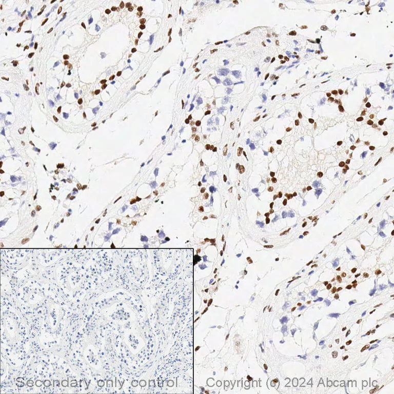
Immunohistochemical analysis of formalin fixed paraffin embedded human testis labelling androgen receptor with ab108341 at a concentration of 0.19 µg/ml. The immunostaining was performed on a Ventana DISCOVERY ULTRA (Roche Tissue Diagnostics) instrument with a OptiView DAB IHC Detection Kit. Heat mediated antigen retrieval was performed with DISCOVERY cell conditioning solution (CC1) 100°C, pH 8.5 for 32 mins.

ab108341 Anti-androgen receptor antibody [ER179(2)] was incubated for 16 mins at 37°C. Sections were counterstained with Hematoxylin II. Image inset shows absence of staining in secondary antibody only control.

Customers are encouraged to optimise antigen retrieval conditions, antibody concentration, incubation times and temperature for best results in their own IHC assay workflow (automated and manual)

Immunohistochemistry (Formalin/PFA-fixed paraffin-embedded sections) - Anti-Androgen Receptor antibody [ER179(2)] - ChIP Grade (AB108341)
  • IHC-P

Unknown

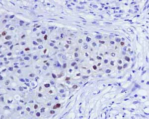
Immunohistochemistry (Formalin/PFA-fixed paraffin-embedded sections) - Anti-Androgen Receptor antibody [ER179(2)] - ChIP Grade (AB108341)

Unpurified ab108341, at 1/250, staining Androgen Receptor in paraffin-embedded Human prostatic adenocarcinoma tissue by Immunohistochemistry. Heat mediated antigen retrieval was performed before commencing with IHC staining protocol.

Immunohistochemistry (Formalin/PFA-fixed paraffin-embedded sections) - Anti-Androgen Receptor antibody [ER179(2)] - ChIP Grade (AB108341)
  • IHC-P

Unknown

Immunohistochemistry (Formalin/PFA-fixed paraffin-embedded sections) - Anti-Androgen Receptor antibody [ER179(2)] - ChIP Grade (AB108341)

Unpurified ab108341 showing positive staining in Breast carcinoma tissue. Heat mediated antigen retrieval was performed before commencing with IHC staining protocol.

Immunocytochemistry/ Immunofluorescence - Anti-Androgen Receptor antibody [ER179(2)] - ChIP Grade (AB108341)
  • ICC/IF

Unknown

Immunocytochemistry/ Immunofluorescence - Anti-Androgen Receptor antibody [ER179(2)] - ChIP Grade (AB108341)

Unpurified ab108341, at 1/100, staining Androgen Receptor in LnCaP cells by Immunofluorescence.

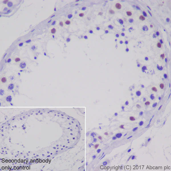
Immunohistochemistry (Formalin/PFA-fixed paraffin-embedded sections) - Anti-Androgen Receptor antibody [ER179(2)] - ChIP Grade (AB108341)
  • IHC-P

Unknown

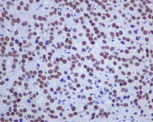
Immunohistochemistry (Formalin/PFA-fixed paraffin-embedded sections) - Anti-Androgen Receptor antibody [ER179(2)] - ChIP Grade (AB108341)

Immunohistochemistry (Formalin/PFA-fixed paraffin-embedded sections) analysis of human testis tissue sections labeling Androgen receptor with Purified ab108341 at 1 : 100 dilution. Heat mediated antigen retrieval was performed using ab93684 (Tris/EDTA buffer, pH 9.0). Tissue was counterstained with Hematoxylin. ImmunoHistoProbe one step HRP Polymer (ready to use) secondary antibody was used at 1 : 0 dilution. PBS instead of the primary antibody was used as the negative control.

Immunohistochemistry (Formalin/PFA-fixed paraffin-embedded sections) - Anti-Androgen Receptor antibody [ER179(2)] - ChIP Grade (AB108341)
  • IHC-P

Unknown

Immunohistochemistry (Formalin/PFA-fixed paraffin-embedded sections) - Anti-Androgen Receptor antibody [ER179(2)] - ChIP Grade (AB108341)

Unpurified ab108341, at 1/250, staining Androgen Receptor in paraffin-embedded Human prostate tissue by Immunohistochemistry. Heat mediated antigen retrieval was performed before commencing with IHC staining protocol.

Immunohistochemistry (Formalin/PFA-fixed paraffin-embedded sections) - Anti-Androgen Receptor antibody [ER179(2)] - ChIP Grade (AB108341)
  • IHC-P

Unknown

Immunohistochemistry (Formalin/PFA-fixed paraffin-embedded sections) - Anti-Androgen Receptor antibody [ER179(2)] - ChIP Grade (AB108341)

Unpurified ab108341 showing positive staining in Prostatic carcinoma T3 tissue. Heat mediated antigen retrieval was performed before commencing with IHC staining protocol.

Immunocytochemistry/ Immunofluorescence - Anti-Androgen Receptor antibody [ER179(2)] - ChIP Grade (AB108341)
  • ICC/IF

Unknown

Immunocytochemistry/ Immunofluorescence - Anti-Androgen Receptor antibody [ER179(2)] - ChIP Grade (AB108341)

Immunocytochemistry/ Immunofluorescence analysis of LNCaP (Human prostate carcinoma epithelial cell) cells labeling Androgen receptor with Purified ab108341 at 1 : 500 dilution. Cells were fixed in 4% Paraformaldehyde and permeabilized with 0.1% tritonX-100. Cells were counterstained with ab195889 Anti-alpha Tubulin antibody [DM1A] - Microtubule Marker (Alexa Fluor ® 594) 1 : 200 (2.5 μg/ml). ab150077 Goat anti rabbit IgG(Alexa Fluor ® 488) was used as the secondary antibody at 1 : 1000 dilution. DAPI nuclear counterstain. PBS instead of the primary antibody was used as the secondary antibody only control.

ChIP - Anti-Androgen Receptor antibody [ER179(2)] - ChIP Grade (AB108341)
  • ChIP

Lab

ChIP - Anti-Androgen Receptor antibody [ER179(2)] - ChIP Grade (AB108341)

Chromatin was prepared from LNCaP cells according to the Abcam Dual-X-ChIP protocol*. Cells were fixed with 1.5 mM EGS for 30mins and then formaldehyde for 10min.
The ChIP was performed with 25 µg of chromatin, 5 µg of ab108341 (red), or 5 µg of rabbit normal IgG ab172730 (gray) and 20 µl of Protein A/G sepharose beads. The immunoprecipitated DNA was quantified by real time PCR (Taqman approach for active and inactive loci, Sybr green approach for heterochromatic loci).
Primers and probes are commercial primers from Paper (PMID : 25802280)
*http : //www.abcam.com/resources?keywords=X%20ChIP%20protocol

Immunohistochemistry (Formalin/PFA-fixed paraffin-embedded sections) - Anti-Androgen Receptor antibody [ER179(2)] - ChIP Grade (AB108341)
  • IHC-P

Unknown

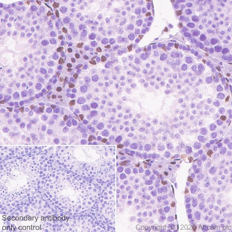
Immunohistochemistry (Formalin/PFA-fixed paraffin-embedded sections) - Anti-Androgen Receptor antibody [ER179(2)] - ChIP Grade (AB108341)

Immunohistochemistry (paraffin-embedded sections) analysis of mouse testis tissue labelling Androgen with ab108341 at 0.12 μg/mL for 30mins at room temperature. Heat mediated antigen retrieval was performed using Tris/EDTA buffer pH 9 epitope retrieval solution 2) for 20 mins. Rabbit specific IHC polymer detection kit HRP/DAB (ab209101) was used as the secondary antibody (1/4000). Counterstained with hematoxylin. The immunostaining staining was performed on a Leica Biosystems BOND® RX instrument.

Western blot - Anti-Androgen Receptor antibody [ER179(2)] - ChIP Grade (AB108341)
  • WB

Lab

Western blot - Anti-Androgen Receptor antibody [ER179(2)] - ChIP Grade (AB108341)

Blocking and diluting buffer : 5% NFDM/TBST

All lanes:

Western blot - Anti-Androgen Receptor antibody [ER179(2)] - ChIP Grade (ab108341) at 1/5000 dilution

All lanes:

LNCaP (Human prostate carcinoma epithelial cell) whole cell lysates at 15 µg

Secondary

All lanes:

Western blot - Goat Anti-Rabbit IgG H&L (HRP) (<a href='/en-us/products/secondary-antibodies/goat-rabbit-igg-h-l-hrp-ab97051'>ab97051</a>) at 1/20000 dilution

Predicted band size: 99 kDa

false

Western blot - Anti-Androgen Receptor antibody [ER179(2)] - ChIP Grade (AB108341)
  • WB

Unknown

Western blot - Anti-Androgen Receptor antibody [ER179(2)] - ChIP Grade (AB108341)

Blocking/Diluting buffer : 5% NFDM/TBST

The androgen receptor variant band detected in 22RV1 cells is reported by PMID : 22315407.

We recommend you to try both RIPA and 1% SDS Hot lysis preparation methods to get desired bands.

All lanes:

Western blot - Anti-Androgen Receptor antibody [ER179(2)] - ChIP Grade (ab108341) at 1/5000 dilution

Lane 1:

LNCaP (Human prostate carcinoma epithelial cell) whole cell lysates prepared in RIPA lysis method at 15 µg

Lane 2:

LNCaP (Human prostate carcinoma epithelial cell) whole cell lysates prepared in 1%SDS Hot lysis method at 15 µg

Lane 3:

22Rv1 (Human prostate carcinoma epithelial cell) whole cell lysates prepared in RIPA lysis method at 15 µg

Lane 4:

22Rv1 (Human prostate carcinoma epithelial cell) whole cell lysates prepared in 1%SDS Hot lysis method at 15 µg

Secondary

All lanes:

Western blot - Goat Anti-Rabbit IgG H&L (HRP) (<a href='/en-us/products/secondary-antibodies/goat-rabbit-igg-h-l-hrp-ab97051'>ab97051</a>) at 1/20000 dilution

Predicted band size: 99 kDa

Observed band size: 120 kDa

false

Exposure time: 20s

Western blot - Anti-Androgen Receptor antibody [ER179(2)] - ChIP Grade (AB108341)
  • WB

Unknown

Western blot - Anti-Androgen Receptor antibody [ER179(2)] - ChIP Grade (AB108341)

All lanes:

Western blot - Anti-Androgen Receptor antibody [ER179(2)] - ChIP Grade (ab108341) at 1/1000 dilution

Lane 1:

T47 D cell lysate at 10 µg

Lane 2:

LnCaP cell lysate at 10 µg

Predicted band size: 99 kDa

false

Western blot - Anti-Androgen Receptor antibody [ER179(2)] - ChIP Grade (AB108341)
  • WB

Lab

Western blot - Anti-Androgen Receptor antibody [ER179(2)] - ChIP Grade (AB108341)

Lanes 1 - 2 : Merged signal (red and green). Green - ab108341 observed at 120 kDa. Red - loading control, ab181602, observed at 37 kDa.

This blot was produced using a 4-12% Bis-tris gel under the MOPS buffer system. The gel was run at 200V for 50 minutes before being transferred onto a Nitrocellulose membrane at 30V for 70 minutes. The membrane was then blocked for an hour using Licor blocking buffer before being incubated with ab108341 and ab181602 (loading control) overnight at 4°C. Antibody binding was detected using Goat anti-Mouse IgG H&L (IRDye® 800CW) preabsorbed (ab216772) and Goat anti-Rabbit IgG H&L (IRDye® 680RD) preabsorbed (ab216777) at a 1 : 10000 dilution for 1hr at room temperature and then imaged.

All lanes:

Western blot - Anti-Androgen Receptor antibody [ER179(2)] - ChIP Grade (ab108341) at 1/1000 dilution

Lane 1:

LnCAP whole cell lysate (positive control) at 20 µg

Lane 2:

PC3 whole cell lysate (negative control) at 20 µg

Secondary

All lanes:

Western blot - Goat Anti-Rabbit IgG H&L (IRDye® 680RD) preadsorbed (<a href='/en-us/products/secondary-antibodies/goat-rabbit-igg-h-l-irdye-680rd-preadsorbed-ab216777'>ab216777</a>) at 1/10000 dilution

Predicted band size: 99 kDa

Observed band size: 120 kDa

false

ChIC/CUT&RUN sequencing - Anti-Androgen Receptor antibody [ER179(2)] - ChIP Grade (AB108341)
  • ChIC/CUT&RUN-seq

Lab

ChIC/CUT&RUN sequencing - Anti-Androgen Receptor antibody [ER179(2)] - ChIP Grade (AB108341)

ChIC/CUT&RUN was performed using a pAG-MNAse at a final concentration of 700 ng/mL, 2.5 x 10^5 LNCaP (Human prostate carcinoma epithelial cell) cells cultured in phenol red free medium and 5% charcoal stripped FBS for 3 days then treated with DHT (10 nM 4h), and 5 µg of ab108341 [ER179(2)]. The resulting DNA was sequenced on the Illumina NovaSeq 6000 to a depth of 10 million reads. The negative IgG control ab172730 is also shown. Additional screenshots of mapped reads can be found in the Protocol booklet in the Product Protocol section. The University of Geneva owns patents relevant to ChIC (Chromatin Immuno-Cleavage) methods.

Western blot - Anti-Androgen Receptor antibody [ER179(2)] - ChIP Grade (AB108341)
  • WB

Unknown

Western blot - Anti-Androgen Receptor antibody [ER179(2)] - ChIP Grade (AB108341)

Blocking/Diluting buffer and concentration : 5% NFDM/TBST

Observed MW; 110 kDa

All lanes:

Western blot - Anti-Androgen Receptor antibody [ER179(2)] - ChIP Grade (ab108341) at 1/1000 dilution

Lane 1:

Mouse testis lysates at 20 µg

Lane 2:

Rat testis lysates at 20 µg

Lane 3:

Mouse liver lysates at 20 µg

Lane 4:

Rat liver lysates at 20 µg

Secondary

All lanes:

Goat Anti-Rabbit IgG, (H+L), Peroxidase conjugated (<a href='/en-us/products/secondary-antibodies/goat-rabbit-igg-h-l-hrp-ab97051'>ab97051</a>) at 1/20000 dilution

Predicted band size: 99 kDa

false

Exposure time: 20s

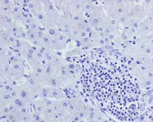
Immunohistochemistry (Formalin/PFA-fixed paraffin-embedded sections) - Anti-Androgen Receptor antibody [ER179(2)] - ChIP Grade (AB108341)
  • IHC-P

Unknown

Immunohistochemistry (Formalin/PFA-fixed paraffin-embedded sections) - Anti-Androgen Receptor antibody [ER179(2)] - ChIP Grade (AB108341)

Unpurified ab108341 showing negative staining in Normal liver tissue. Heat mediated antigen retrieval was performed before commencing with IHC staining protocol.

Immunohistochemistry (Formalin/PFA-fixed paraffin-embedded sections) - Anti-Androgen Receptor antibody [ER179(2)] - ChIP Grade (AB108341)
  • IHC-P

Unknown

Immunohistochemistry (Formalin/PFA-fixed paraffin-embedded sections) - Anti-Androgen Receptor antibody [ER179(2)] - ChIP Grade (AB108341)

Unpurified ab108341 showing positive staining in Normal testis tissue. Heat mediated antigen retrieval was performed before commencing with IHC staining protocol.

  • 665 Alexa Fluor® 647

    Alexa Fluor® 647 Anti-Androgen Receptor antibody [ER179(2)]

  • 519 Alexa Fluor® 488

    Alexa Fluor® 488 Anti-Androgen Receptor antibody [ER179(2)]

  • 617 Alexa Fluor® 594

    Alexa Fluor® 594 Anti-Androgen Receptor antibody [ER179(2)]

  • Carrier free

    Anti-Androgen Receptor antibody [ER179(2)] - BSA and Azide free

Key facts

Host species

Rabbit

Clonality

Monoclonal

Clone number

ER179(2)

Isotype

IgG

Carrier free

No

Reacts with

Mouse, Rat, Human

Applications

IHC-P, WB, ChIP, ChIC/CUT&RUN-seq, ICC/IF

applications

Immunogen

The exact immunogen used to generate this antibody is proprietary information.

Reactivity data

{ "title": "Reactivity Data", "filters": { "stats": ["", "Species", "Dilution Info", "Notes"], "tabs": { "all-applications": {"fullname" : "All Applications", "shortname": "All Applications"}, "ChICCUTRUNseq" : {"fullname" : "ChIC/CUT&RUN sequencing", "shortname":"ChIC/CUT&RUN-seq"}, "IHCP" : {"fullname" : "Immunohistochemistry (Formalin/PFA-fixed paraffin-embedded sections)", "shortname":"IHC-P"}, "IP" : {"fullname" : "Immunoprecipitation", "shortname":"IP"}, "ChIP" : {"fullname" : "ChIP", "shortname":"ChIP"}, "FlowCyt" : {"fullname" : "Flow Cytometry", "shortname":"Flow Cyt"}, "WB" : {"fullname" : "Western blot", "shortname":"WB"}, "ICCIF" : {"fullname" : "Immunocytochemistry/ Immunofluorescence", "shortname":"ICC/IF"} }, "product-promise": { "all": "all", "testedAndGuaranteed": "tested", "guaranteed": "expected", "predicted": "predicted", "notRecommended": "not-recommended" } }, "values": { "Human": { "ChICCUTRUNseq-species-checked": "testedAndGuaranteed", "ChICCUTRUNseq-species-dilution-info": "", "ChICCUTRUNseq-species-notes": "<p></p>", "IHCP-species-checked": "testedAndGuaranteed", "IHCP-species-dilution-info": "1/100", "IHCP-species-notes": "<p><strong>For unpurified use at 1/250 - 1/500.</strong></p><p>Perform heat mediated antigen retrieval with citrate buffer (pH 6.0) or Tris-EDTA buffer (pH9.0) before commencing with IHC staining protocol.</p> Perform heat-mediated antigen retrieval before commencing with IHC staining protocol.", "IP-species-checked": "notRecommended", "IP-species-dilution-info": "", "IP-species-notes": "<p></p>", "ChIP-species-checked": "testedAndGuaranteed", "ChIP-species-dilution-info": "", "ChIP-species-notes": "<p>PubMed: 23817021</p>", "FlowCyt-species-checked": "notRecommended", "FlowCyt-species-dilution-info": "", "FlowCyt-species-notes": "<p></p>", "WB-species-checked": "testedAndGuaranteed", "WB-species-dilution-info": "1/1000 - 1/10000", "WB-species-notes": "<p>For Lysate preparation protocol, please refer to the protocol book in the protocol section and/or <a data-tabindex-counter=\"1\" data-tabindex-value=\"none\" href=\"../../technical-resources/protocols/lysate-preparation-for-western-blot\" tabindex=\"-1\">here.</a></p>", "ICCIF-species-checked": "testedAndGuaranteed", "ICCIF-species-dilution-info": "1/500", "ICCIF-species-notes": "<p><strong>For unpurified use at 1/100 - 1/250.</strong></p>" }, "Mouse": { "ChICCUTRUNseq-species-checked": "guaranteed", "ChICCUTRUNseq-species-dilution-info": "", "ChICCUTRUNseq-species-notes": "", "IHCP-species-checked": "testedAndGuaranteed", "IHCP-species-dilution-info": "1/100", "IHCP-species-notes": "<p><strong>For unpurified use at 1/250 - 1/500.</strong></p><p>Perform heat mediated antigen retrieval with citrate buffer (pH 6.0) or Tris-EDTA buffer (pH9.0) before commencing with IHC staining protocol.</p> Perform heat-mediated antigen retrieval before commencing with IHC staining protocol.", "IP-species-checked": "notRecommended", "IP-species-dilution-info": "", "IP-species-notes": "<p></p>", "ChIP-species-checked": "guaranteed", "ChIP-species-dilution-info": "", "ChIP-species-notes": "", "FlowCyt-species-checked": "notRecommended", "FlowCyt-species-dilution-info": "", "FlowCyt-species-notes": "<p></p>", "WB-species-checked": "testedAndGuaranteed", "WB-species-dilution-info": "1/1000 - 1/10000", "WB-species-notes": "<p>For Lysate preparation protocol, please refer to the protocol book in the protocol section and/or <a data-tabindex-counter=\"1\" data-tabindex-value=\"none\" href=\"../../technical-resources/protocols/lysate-preparation-for-western-blot\" tabindex=\"-1\">here.</a></p>", "ICCIF-species-checked": "guaranteed", "ICCIF-species-dilution-info": "", "ICCIF-species-notes": "" }, "Rat": { "ChICCUTRUNseq-species-checked": "guaranteed", "ChICCUTRUNseq-species-dilution-info": "", "ChICCUTRUNseq-species-notes": "", "IHCP-species-checked": "guaranteed", "IHCP-species-dilution-info": "", "IHCP-species-notes": "", "IP-species-checked": "notRecommended", "IP-species-dilution-info": "", "IP-species-notes": "<p></p>", "ChIP-species-checked": "guaranteed", "ChIP-species-dilution-info": "", "ChIP-species-notes": "", "FlowCyt-species-checked": "notRecommended", "FlowCyt-species-dilution-info": "", "FlowCyt-species-notes": "<p></p>", "WB-species-checked": "testedAndGuaranteed", "WB-species-dilution-info": "1/1000 - 1/10000", "WB-species-notes": "<p>For Lysate preparation protocol, please refer to the protocol book in the protocol section and/or <a data-tabindex-counter=\"1\" data-tabindex-value=\"none\" href=\"../../technical-resources/protocols/lysate-preparation-for-western-blot\" tabindex=\"-1\">here.</a></p>", "ICCIF-species-checked": "guaranteed", "ICCIF-species-dilution-info": "", "ICCIF-species-notes": "" } } }

Product details

Anti-Androgen Receptor antibody [ER179(2)] - ChIP Grade (ab108341) was developed by Abcam using patented rabbit monoclonal antibody technology and is validated for use in ChIC/CUT&RUN-seq, ChIP, ICC/IF, IHC-P, WB in human, mouse, rat samples.

Anti-Androgen Receptor antibody [ER179(2)] - ChIP Grade (ab108341) has been cited over 79 times in peer reviewed journals and is trusted by the scientific community.

Abcams high quality manufacturing and validation processes ensure Anti-Androgen Receptor antibody [ER179(2)] - ChIP Grade (ab108341) has high sensitivity and specificity alongside high lot-to-lot consistency and reproducibility.

Anti-Androgen Receptor antibody [ER179(2)] - ChIP Grade (ab108341) has 4 independent reviews from customers.

Anti-Androgen Receptor antibody [ER179(2)] - ChIP Grade (ab108341) specifically detects Androgen Receptor (UniProt ID: P10275; Molecular weight: 99kDa) and is sold in 100 uL and 1 mL selling sizes.

Conjugation-ready, carrier free format available for antibody clone ER179(2) - ab212175.

Antibody clone ER179(2) is also available pre-conjugated to a variety of labels for your convenience - HRP, Alexa Fluor® 647, Alexa Fluor® 488, Alexa Fluor® 594 (ab22352, ab22432, ab2269, ab26358).

The androgen receptor (AR)/DHTR plays a crucial role in the development and progression of various cancers, including breast cancer and prostate cancer. Utilizing our highly-validated AR antibody, can significantly enhance the detection and study of AR expression. Research indicates that AR is a promising therapeutic target for treating hormone-dependent cancers, offering potential for improved patient outcomes. Validated also for CUT&RUN, which is a key applications to map protein-DNA interactions on a genome-wide scale using NGS.

Patented technology
Our RabMAb® technology is a patented hybridoma-based technology for making rabbit monoclonal antibodies. For details on our patents, please refer to RabMAb® patents.

What are the advantages of a recombinant monoclonal antibody?
This product is a recombinant monoclonal antibody, which offers several advantages including:

  • - High batch-to-batch consistency and reproducibility
  • - Improved sensitivity and specificity
  • - Long-term security of supply
  • - Animal-free batch production

For more information, read more on recombinant antibodies.

Properties and storage information

Form
Liquid
Purification technique
Affinity purification Protein A
Storage buffer
pH: 7.2 - 7.4 Preservative: 0.01% Sodium azide Constituents: PBS, 40% Glycerol (glycerin, glycerine), 0.05% BSA
Shipped at conditions
Blue Ice
Appropriate short-term storage duration
1-2 weeks
Appropriate short-term storage conditions
+4°C
Appropriate long-term storage conditions
-20°C
Aliquoting information
Upon delivery aliquot
Storage information
Avoid freeze / thaw cycle

Supplementary information

This supplementary information is collated from multiple sources and compiled automatically.

The androgen receptor (AR) also known as NR3C4 functions mechanically as a type of nuclear receptor that is activated by binding androgens including testosterone and dihydrotestosterone. The AR has a molecular weight of approximately 110 kDa. It is expressed in various tissues notably in the prostate skeletal muscle and certain areas of the brain. Within cells AR is usually located in the cytoplasm when unbound and translocates to the nucleus upon activation by its ligands.
Biological function summary

AR interacts with androgen hormones to regulate gene expression. It forms a complex with coactivators and corepressors to modulate transcription of target genes involved in male sexual development and reproductive function. AR plays an important role in the development and maintenance of male characteristics and reproductive activity. Its expression impacts cellular processes such as proliferation differentiation and apoptosis.

Pathways

AR is intricately involved in the androgen signaling pathway which affects the regulation of genes related to male sexual characteristics. It also plays a part in the PI3K/Akt pathway influencing cell growth and survival. The AR pathway interacts with proteins such as estrogen receptors to mediate cross-talk between hormonal pathways highlighting its broad biological impacts.

AR has a significant connection to prostate cancer where it drives tumor growth and progression. Mutations and overexpression of the androgen receptor are often observed in prostate cancer cells. Another condition linked to AR is androgen insensitivity syndrome where mutations in the AR gene result in partial or complete inability of cells to respond to androgenic hormones. In these conditions AR antagonists like bicalutamide are often used as treatment inhibiting the receptor's activity to manage disease progression.

Product protocols

For this product, it's our understanding that no specific protocols are required. You can visit:

Target data

The protein expressed by the AR gene functions as a steroid hormone receptor, a type of ligand-activated transcription factor that regulates eukaryotic gene expression and influences cellular proliferation and differentiation in target tissues. Its transcription factor activity can be modulated by coactivator and corepressor proteins, such as ZBTB7A, which recruits NCOR1 and NCOR2 to androgen response elements on target genes, thereby negatively regulating androgen receptor signaling and androgen-induced cell proliferation. The transcription activation can also be down-regulated by NR0B2. The protein is activated, though not phosphorylated, by HIPK3 and ZIPK/DAPK3. Notably, isoforms 3 and 4 of this protein lack the C-terminal ligand-binding domain and may thus constitutively activate transcription of specific gene sets independently of steroid hormones. This supplementary information is collated from multiple sources and compiled automatically.
See full target information AR

Publications (116)

Recent publications for all applications. Explore the full list and refine your search

Journal of cell communication and signaling 19:e12032 PubMed41050263

2025

Emerging role of HIC1 in prostate cancer progression and therapeutic response: A novel perspective.

Applications

Unspecified application

Species

Unspecified reactive species

Dun Xue,Long Tan,Fengshuai Yang,Xiaolan Tian,Qian Zuo,Xinghui Wu

Nature genetics 57:2177-2191 PubMed40858905

2025

ERG-driven prostate cancer initiation is cell-context dependent and requires KMT2A and DOT1L.

Applications

Unspecified application

Species

Unspecified reactive species

Weiran Feng,Erik Ladewig,Matthew Lange,Nazifa Salsabeel,Huiyong Zhao,Young Sun Lee,Anuradha Gopalan,Hanzhi Luo,Wenfei Kang,Ning Fan,Eric Rosiek,Elisa de Stanchina,Yu Chen,Brett S Carver,Christina S Leslie,Charles L Sawyers

Nature genetics 57:1966-1980 PubMed40691407

2025

NKX2-1 drives neuroendocrine transdifferentiation of prostate cancer via epigenetic and 3D chromatin remodeling.

Applications

Unspecified application

Species

Unspecified reactive species

Xiaodong Lu,Viriya Keo,Irina Cheng,Wanqing Xie,Galina Gritsina,Juan Wang,Lina Lu,Cheng-Kai Shiau,Yueying He,Qiushi Jin,Peng Jin,Martin G Sanda,Victor G Corces,Nicolas Altemose,Ruli Gao,Jonathan C Zhao,Jindan Yu

Nature communications 16:6451 PubMed40651942

2025

Androgen receptor promotes arachidonic acid metabolism and angiogenic microenvironment in AFP-negative hepatocellular carcinoma.

Applications

Unspecified application

Species

Unspecified reactive species

Zhilong Lin,Xiaofei Liu,Houwei Wang,Shumin Li,Ziqiang Miao,Jing Yang,Yuting Zhang,Kai Lei,Yifan Wu,Youmei Kang,Ruoyin Zheng,Zonglin Xie,Yixi Wen,Xiaoxue Ren,Chunxiao Liu,Alfred Sze-Lok Cheng,Yubin Xie,Shuling Chen,Ming Kuang,Sui Peng,Zhenwei Peng,Zihao Dai

EBioMedicine 117:105821 PubMed40577937

2025

Genetic transcriptional regulation profiling of cartilage reveals pathogenesis of osteoarthritis.

Applications

Unspecified application

Species

Unspecified reactive species

Wen Tian,Shan-Shan Dong,Feng Jiang,Jun-Qi Zhang,Chen Wang,Chang-Yi He,Shou-Ye Hu,Ruo-Han Hao,Hui-Miao Song,Hui-Wu Gao,Ke An,Dong-Li Zhu,Zhi Yang,Yan Guo,Tie-Lin Yang

Science (New York, N.Y.) 389:eadv2367 PubMed40570057

2025

Divergent FOXA1 mutations drive prostate tumorigenesis and therapy-resistant cellular plasticity.

Applications

Unspecified application

Species

Unspecified reactive species

Sanjana Eyunni,Rahul Mannan,Yuping Zhang,Eleanor Young,Qiuyang Zhang,Jie Luo,Matthew Pang,Somnath Mahapatra,Jean Ching-Yi Tien,James M George,Mustapha Jaber,Hamzah Hakkani,Sandra E Carson,Abigail J Todd,Noshad Hosseini,Mahnoor Gondal,Ryan J Rebernick,Xuhong Cao,Fengyun Su,Rui Wang,Rohit Mehra,Jing Li,Marcin Cieslik,Arul M Chinnaiyan,Abhijit Parolia

Molecular medicine (Cambridge, Mass.) 31:210 PubMed40437391

2025

Androgens alleviate the depression-like phenotype in female mice by inhibiting AVPR1a in the hippocampal brain region.

Applications

Unspecified application

Species

Unspecified reactive species

Shimin Ren,Xian Wang,Xueying Huang,Liyang Chen,Bing Zhang,Yang Li,Xin Huang

Communications biology 8:664 PubMed40281071

2025

Transcriptomic sex differences in early human fetal brain development.

Applications

Unspecified application

Species

Unspecified reactive species

Federica Buonocore,Jenifer P Suntharalingham,Olumide K Ogunbiyi,Aragorn Jones,Nadjeda Moreno,Paola Niola,Tony Brooks,Nita Solanky,Mehul T Dattani,Ignacio Del Valle,John C Achermann

iScience 28:112205 PubMed40212590

2025

FMNL2/SRC-mediated androgen receptor translocation into the nucleus promotes enzalutamide resistance of prostate cancer.

Applications

Unspecified application

Species

Unspecified reactive species

Jianpeng Yu,Yukui Gao,Mingpeng Zhang,Yue Gao,Chun Wang,Yuanjie Niu,Zhiqun Shang

International journal of pharmaceutics: X 9:100324 PubMed40115963

2025

Reticuloendothelial system blockade does not enhance siRNA-LNP circulation or tumor accumulation in mice.

Applications

Unspecified application

Species

Unspecified reactive species

Pol Escudé Martinez de Castilla,Mariona Estapé Senti,Sigrun Erkens,Wytske M van Weerden,Sander A A Kooijmans,Marcel H Fens,Pieter Vader,Raymond M Schiffelers
View all publications
chicCutRunSequencingBooklet
en
websiteProtocolBooklet
en

Product promise

We are committed to supporting your work with high-quality reagents, and we're here for you every step of the way. In the unlikely event that one of our products does not perform as expected, you're protected by our Product Promise.
For full details, please see our Terms & Conditions

Please note: All products are 'FOR RESEARCH USE ONLY. NOT FOR USE IN DIAGNOSTIC OR THERAPEUTIC PROCEDURES'.

For licensing inquiries, please contact partnerships@abcam.com