JavaScript is disabled in your browser. Please enable JavaScript to view this website.
AB105225

Anti-Androgen Receptor antibody [SP107] - N-terminal

4

(8 Reviews)

|

(9 Publications)

Anti-Androgen Receptor antibody [SP107] - N-terminal (ab105225) is a rabbit monoclonal antibody detecting Androgen Receptor in Western Blot, IHC-P. Suitable for Human, Mouse, Rat.

- Biophysical QC for unrivalled batch-batch consistency

View Alternative Names

DHTR, NR3C4, AR, Androgen receptor, Dihydrotestosterone receptor, Nuclear receptor subfamily 3 group C member 4

22 Images
Immunohistochemistry (Formalin/PFA-fixed paraffin-embedded sections) - Anti-Androgen Receptor antibody [SP107] - N-terminal (AB105225)
  • IHC-P

Unknown

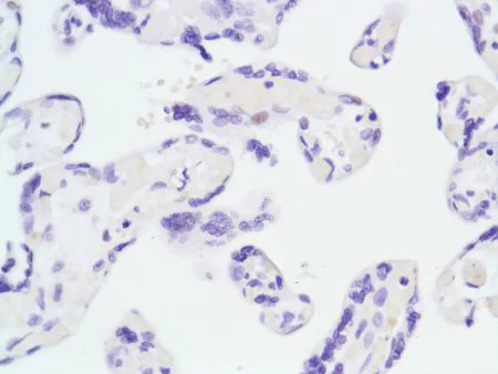
Immunohistochemistry (Formalin/PFA-fixed paraffin-embedded sections) - Anti-Androgen Receptor antibody [SP107] - N-terminal (AB105225)

Formalin-fixed, paraffin-embedded human placenta tissue stained for Androgen Receptor with ab105225 at 1/400 dilution in immunohistochemical analysis.

Immunohistochemistry (Formalin/PFA-fixed paraffin-embedded sections) - Anti-Androgen Receptor antibody [SP107] - N-terminal (AB105225)
  • IHC-P

Supplier Data

Immunohistochemistry (Formalin/PFA-fixed paraffin-embedded sections) - Anti-Androgen Receptor antibody [SP107] - N-terminal (AB105225)

Formalin-fixed, paraffin-embedded human bladder transitional cell carcinoma tissue stained for Androgen Receptor with ab105225 at 1/400 dilution in immunohistochemical analysis.

Immunohistochemistry (Formalin/PFA-fixed paraffin-embedded sections) - Anti-Androgen Receptor antibody [SP107] - N-terminal (AB105225)
  • IHC-P

Supplier Data

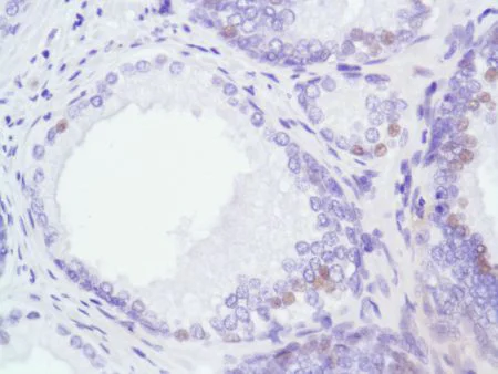
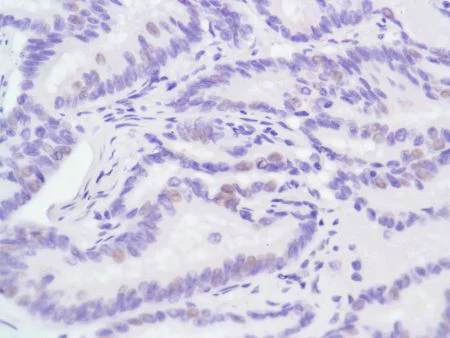
Immunohistochemistry (Formalin/PFA-fixed paraffin-embedded sections) - Anti-Androgen Receptor antibody [SP107] - N-terminal (AB105225)

Formalin-fixed, paraffin-embedded human prostate tissue stained for Androgen Receptor with ab105225 at 1/400 dilution in immunohistochemical analysis.

Immunohistochemistry (Formalin/PFA-fixed paraffin-embedded sections) - Anti-Androgen Receptor antibody [SP107] - N-terminal (AB105225)
  • IHC-P

Supplier Data

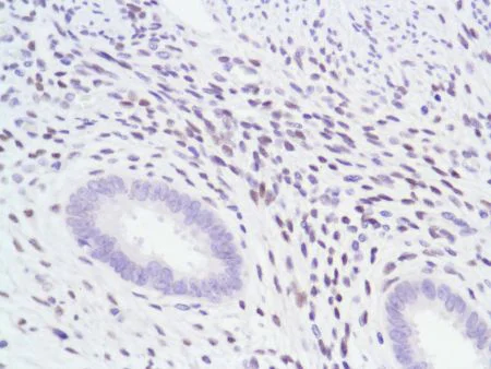
Immunohistochemistry (Formalin/PFA-fixed paraffin-embedded sections) - Anti-Androgen Receptor antibody [SP107] - N-terminal (AB105225)

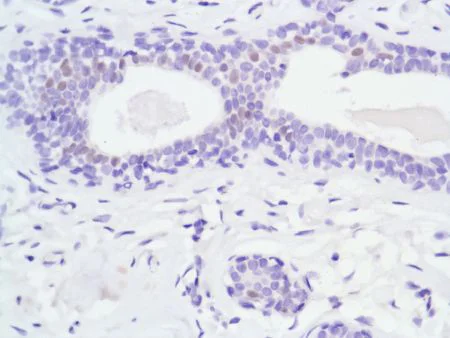
Formalin-fixed, paraffin-embedded human cervix tissue stained for Androgen Receptor with ab105225 at 1/400 dilution in immunohistochemical analysis.

Immunohistochemistry (Formalin/PFA-fixed paraffin-embedded sections) - Anti-Androgen Receptor antibody [SP107] - N-terminal (AB105225)
  • IHC-P

Unknown

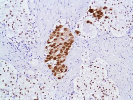
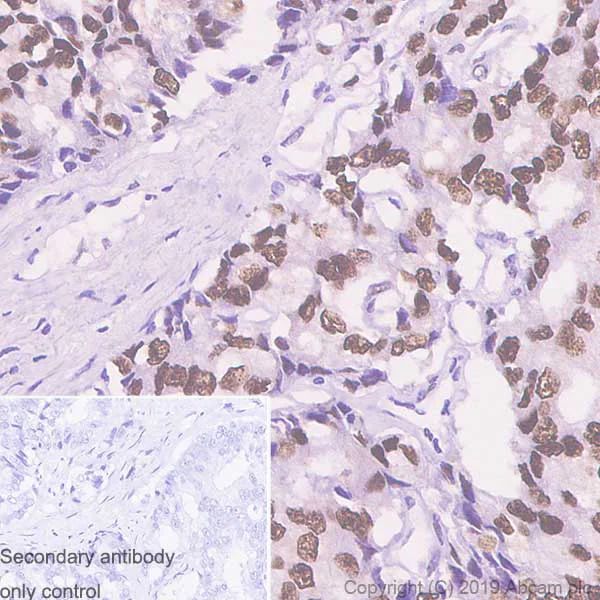
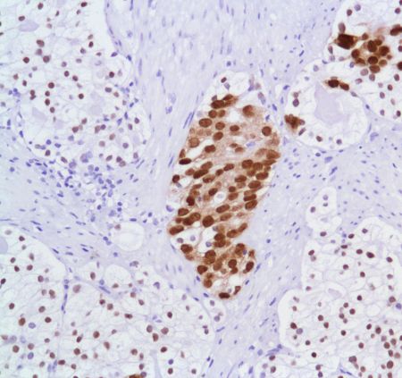
Immunohistochemistry (Formalin/PFA-fixed paraffin-embedded sections) - Anti-Androgen Receptor antibody [SP107] - N-terminal (AB105225)

Immunohistochemistry (Formalin/PFA-fixed paraffin-embedded sections) analysis of Human prostate cancer tissue sections labeling Androgen Receptor with Purified ab105225 at 1/400 dilution (0.37 µg/ml). Heat mediated antigen retrieval was performed Heat mediated antigen retrieval with sodium citrate buffer (pH 6.0, epitope retrieval solution 1) for 30mins. Rabbit specific IHC polymer detection kit HRP/DAB (ab209101) was used as the secondary antibody. Negative control : PBS instead of the primary antibody. Hematoxylin was used as a counterstain.

Immunohistochemistry (Formalin/PFA-fixed paraffin-embedded sections) - Anti-Androgen Receptor antibody [SP107] - N-terminal (AB105225)
  • IHC-P

Unknown

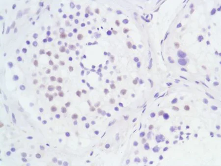
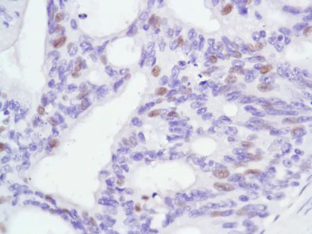
Immunohistochemistry (Formalin/PFA-fixed paraffin-embedded sections) - Anti-Androgen Receptor antibody [SP107] - N-terminal (AB105225)

Formalin-fixed, paraffin-embedded human endometrial adenocarcinoma tissue stained for Androgen Receptor with ab105225 at 1/400 dilution in immunohistochemical analysis.

Immunohistochemistry (Formalin/PFA-fixed paraffin-embedded sections) - Anti-Androgen Receptor antibody [SP107] - N-terminal (AB105225)
  • IHC-P

Supplier Data

Immunohistochemistry (Formalin/PFA-fixed paraffin-embedded sections) - Anti-Androgen Receptor antibody [SP107] - N-terminal (AB105225)

Formalin-fixed, paraffin-embedded human uterus tissue stained for Androgen Receptor with ab105225 at 1/400 dilution in immunohistochemical analysis.

Immunohistochemistry (Formalin/PFA-fixed paraffin-embedded sections) - Anti-Androgen Receptor antibody [SP107] - N-terminal (AB105225)
  • IHC-P

Supplier Data

Immunohistochemistry (Formalin/PFA-fixed paraffin-embedded sections) - Anti-Androgen Receptor antibody [SP107] - N-terminal (AB105225)

Formalin-fixed, paraffin-embedded human hepatocellular carcinoma tissue stained for Androgen Receptor with ab105225 at 1/400 dilution in immunohistochemical analysis.

Immunohistochemistry (Formalin/PFA-fixed paraffin-embedded sections) - Anti-Androgen Receptor antibody [SP107] - N-terminal (AB105225)
  • IHC-P

Supplier Data

Immunohistochemistry (Formalin/PFA-fixed paraffin-embedded sections) - Anti-Androgen Receptor antibody [SP107] - N-terminal (AB105225)

Formalin-fixed, paraffin-embedded human breast ductal carcinoma tissue stained for Androgen Receptor with ab105225 at 1/400 dilution in immunohistochemical analysis.

Immunohistochemistry (Formalin/PFA-fixed paraffin-embedded sections) - Anti-Androgen Receptor antibody [SP107] - N-terminal (AB105225)
  • IHC-P

Supplier Data

Immunohistochemistry (Formalin/PFA-fixed paraffin-embedded sections) - Anti-Androgen Receptor antibody [SP107] - N-terminal (AB105225)

Formalin-fixed, paraffin-embedded human lung squamous cell carcinoma tissue stained for Androgen Receptor with ab105225 at 1/400 dilution in immunohistochemical analysis.

Immunohistochemistry (Formalin/PFA-fixed paraffin-embedded sections) - Anti-Androgen Receptor antibody [SP107] - N-terminal (AB105225)
  • IHC-P

Unknown

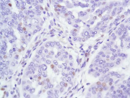
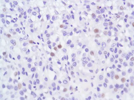
Immunohistochemistry (Formalin/PFA-fixed paraffin-embedded sections) - Anti-Androgen Receptor antibody [SP107] - N-terminal (AB105225)

Formalin-fixed, paraffin-embedded human ovarian adenocarcinoma tissue stained for Androgen Receptor with ab105225 at 1/400 dilution in immunohistochemical analysis.

Immunohistochemistry (Formalin/PFA-fixed paraffin-embedded sections) - Anti-Androgen Receptor antibody [SP107] - N-terminal (AB105225)
  • IHC-P

Unknown

Immunohistochemistry (Formalin/PFA-fixed paraffin-embedded sections) - Anti-Androgen Receptor antibody [SP107] - N-terminal (AB105225)

Formalin-fixed, paraffin-embedded human pancreatic adenocarcinoma tissue stained for Androgen Receptor with ab105225 at 1/400 dilution in immunohistochemical analysis.

Immunohistochemistry (Formalin/PFA-fixed paraffin-embedded sections) - Anti-Androgen Receptor antibody [SP107] - N-terminal (AB105225)
  • IHC-P

Supplier Data

Immunohistochemistry (Formalin/PFA-fixed paraffin-embedded sections) - Anti-Androgen Receptor antibody [SP107] - N-terminal (AB105225)

Formalin-fixed, paraffin-embedded human breast tissue stained for Androgen Receptor with ab105225 at 1/400 dilution in immunohistochemical analysis.

Immunohistochemistry (Formalin/PFA-fixed paraffin-embedded sections) - Anti-Androgen Receptor antibody [SP107] - N-terminal (AB105225)
  • IHC-P

Unknown

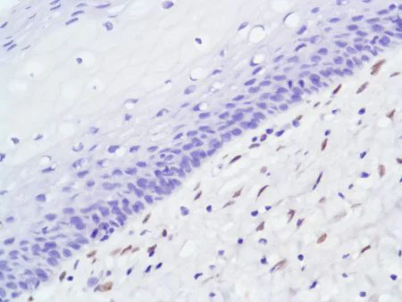
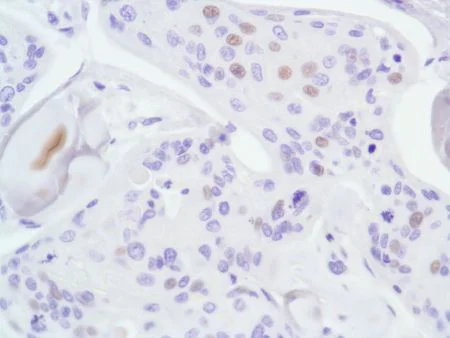
Immunohistochemistry (Formalin/PFA-fixed paraffin-embedded sections) - Anti-Androgen Receptor antibody [SP107] - N-terminal (AB105225)

Formalin-fixed, paraffin-embedded human skin squamous cell carcinoma tissue stained for Androgen Receptor with ab105225 at 1/400 dilution in immunohistochemical analysis.

Immunohistochemistry (Formalin/PFA-fixed paraffin-embedded sections) - Anti-Androgen Receptor antibody [SP107] - N-terminal (AB105225)
  • IHC-P

Supplier Data

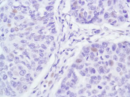
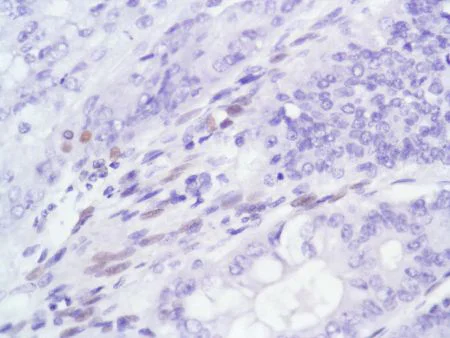
Immunohistochemistry (Formalin/PFA-fixed paraffin-embedded sections) - Anti-Androgen Receptor antibody [SP107] - N-terminal (AB105225)

Formalin-fixed, paraffin-embedded human prostate carcinoma tissue stained for Androgen Receptor with ab105225 at 1/400 dilution in immunohistochemical analysis.

Immunohistochemistry (Formalin/PFA-fixed paraffin-embedded sections) - Anti-Androgen Receptor antibody [SP107] - N-terminal (AB105225)
  • IHC-P

Supplier Data

Immunohistochemistry (Formalin/PFA-fixed paraffin-embedded sections) - Anti-Androgen Receptor antibody [SP107] - N-terminal (AB105225)

Formalin-fixed, paraffin-embedded human lung adenocarcinoma tissue stained for Androgen Receptor with ab105225 at 1/400 dilution in immunohistochemical analysis.

Immunohistochemistry (Formalin/PFA-fixed paraffin-embedded sections) - Anti-Androgen Receptor antibody [SP107] - N-terminal (AB105225)
  • IHC-P

Unknown

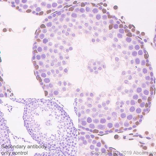
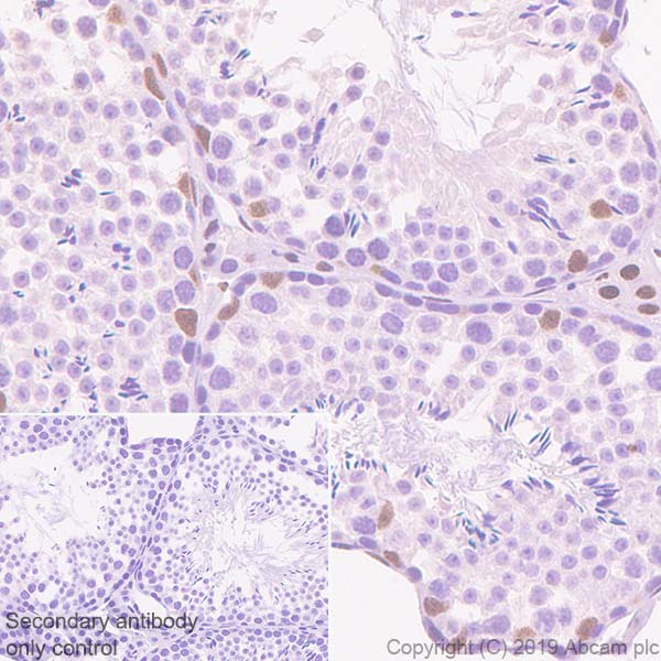
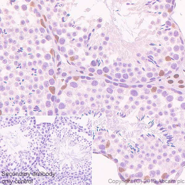
Immunohistochemistry (Formalin/PFA-fixed paraffin-embedded sections) - Anti-Androgen Receptor antibody [SP107] - N-terminal (AB105225)

Formalin-fixed, paraffin-embedded human testis tissue stained for Androgen Receptor with ab105225 at 1/400 dilution in immunohistochemical analysis.

Immunohistochemistry (Formalin/PFA-fixed paraffin-embedded sections) - Anti-Androgen Receptor antibody [SP107] - N-terminal (AB105225)
  • IHC-P

Unknown

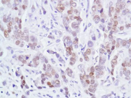
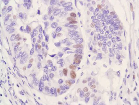
Immunohistochemistry (Formalin/PFA-fixed paraffin-embedded sections) - Anti-Androgen Receptor antibody [SP107] - N-terminal (AB105225)

Formalin-fixed, paraffin-embedded human prostate adenocarcinoma tissue stained for Androgen Receptor with ab105225 at 1/400 dilution in immunohistochemical analysis.

Immunohistochemistry (Formalin/PFA-fixed paraffin-embedded sections) - Anti-Androgen Receptor antibody [SP107] - N-terminal (AB105225)
  • IHC-P

Unknown

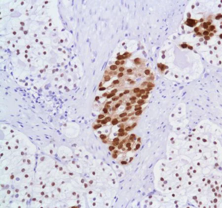
Immunohistochemistry (Formalin/PFA-fixed paraffin-embedded sections) - Anti-Androgen Receptor antibody [SP107] - N-terminal (AB105225)

Immunohistochemistry (Formalin/PFA-fixed paraffin-embedded sections) analysis of Mouse testis tissue sections labeling Androgen Receptor with Purified ab105225 at 1/400 dilution (0.37 µg/ml). Heat mediated antigen retrieval was performed Heat mediated antigen retrieval with sodium citrate buffer (pH 6.0, epitope retrieval solution 1) for 30mins. Rabbit specific IHC polymer detection kit HRP/DAB (ab209101) was used as the secondary antibody. Negative control : PBS instead of the primary antibody. Hematoxylin was used as a counterstain.

Immunohistochemistry (Formalin/PFA-fixed paraffin-embedded sections) - Anti-Androgen Receptor antibody [SP107] - N-terminal (AB105225)
  • IHC-P

Unknown

Immunohistochemistry (Formalin/PFA-fixed paraffin-embedded sections) - Anti-Androgen Receptor antibody [SP107] - N-terminal (AB105225)

Immunohistochemistry (Formalin/PFA-fixed paraffin-embedded sections) analysis of Rat testis tissue sections labeling Androgen Receptor with Purified ab105225 at 1/400 dilution (0.37 µg/ml). Heat mediated antigen retrieval was performed Heat mediated antigen retrieval with sodium citrate buffer (pH 6.0, epitope retrieval solution 1) for 30mins. Rabbit specific IHC polymer detection kit HRP/DAB (ab209101) was used as the secondary antibody. Negative control : PBS instead of the primary antibody. Hematoxylin was used as a counterstain.

Western blot - Anti-Androgen Receptor antibody [SP107] - N-terminal (AB105225)
  • WB

Lab

Western blot - Anti-Androgen Receptor antibody [SP107] - N-terminal (AB105225)

Blocking/Diluting buffer and concentration : 5% NFDM /TBST

All lanes:

Western blot - Anti-Androgen Receptor antibody [SP107] - N-terminal (ab105225) at 1.55 µg

Lane 1:

LnCAP (Human prostate carcinoma epithelial cell) cell lysate at 20 µg

Lane 2:

DU 145 (Human prostate carcinoma epithelial cell) cell lysate at 20 µg

Lane 3:

Mouse testis tissue lysate at 20 µg

Secondary

All lanes:

Western blot - Goat Anti-Rabbit IgG H&L (HRP) (<a href='/en-us/products/secondary-antibodies/goat-rabbit-igg-h-l-hrp-ab97051'>ab97051</a>) at 0.05 µg/mL

Predicted band size: 99 kDa

Observed band size: 120 kDa

false

Western blot - Anti-Androgen Receptor antibody [SP107] - N-terminal (AB105225)
  • WB

Lab

Western blot - Anti-Androgen Receptor antibody [SP107] - N-terminal (AB105225)

Blocking and dilution buffer and concentration : 5% NFDM/TBST.

ab181602 was used as a GAPDH loading control.

All lanes:

Western blot - Anti-Androgen Receptor antibody [SP107] - N-terminal (ab105225) at 1/1000 dilution

Lane 1:

Mouse liver tissue lysate at 20 µg

Lane 2:

Rat liver tissue lysate at 20 µg

Lane 3:

Mouse testis tissue lysate at 20 µg

Lane 4:

Rat testis tissue lysate at 20 µg

Secondary

All lanes:

Western blot - Goat Anti-Rabbit IgG H&L (HRP) (<a href='/en-us/products/secondary-antibodies/goat-rabbit-igg-h-l-hrp-ab97051'>ab97051</a>) at 1/20000 dilution

Predicted band size: 99 kDa

Observed band size: 110 kDa

false

Exposure time: 60s

  • Carrier free

    Anti-Androgen Receptor antibody [SP107] - BSA and Azide free

Key facts

Host species

Rabbit

Clonality

Monoclonal

Clone number

SP107

Isotype

IgG

Carrier free

No

Reacts with

Mouse, Rat, Human

Applications

WB, IHC-P

applications

Immunogen

The exact immunogen used to generate this antibody is proprietary information.

Reactivity data

{ "title": "Reactivity Data", "filters": { "stats": ["", "Species", "Dilution Info", "Notes"], "tabs": { "all-applications": {"fullname" : "All Applications", "shortname": "All Applications"}, "WB" : {"fullname" : "Western blot", "shortname":"WB"}, "IHCP" : {"fullname" : "Immunohistochemistry (Formalin/PFA-fixed paraffin-embedded sections)", "shortname":"IHC-P"} }, "product-promise": { "all": "all", "testedAndGuaranteed": "tested", "guaranteed": "expected", "predicted": "predicted", "notRecommended": "not-recommended" } }, "values": { "Human": { "WB-species-checked": "testedAndGuaranteed", "WB-species-dilution-info": "1.55 µg/mL", "WB-species-notes": "<p></p>", "IHCP-species-checked": "testedAndGuaranteed", "IHCP-species-dilution-info": "1/400", "IHCP-species-notes": "<p>Boil tissue section in 10mM citrate buffer, pH 6.0 for 10 min followed by cooling at RT for 20 min.</p>" }, "Mouse": { "WB-species-checked": "testedAndGuaranteed", "WB-species-dilution-info": "0.22 µg/mL", "WB-species-notes": "<p></p>", "IHCP-species-checked": "testedAndGuaranteed", "IHCP-species-dilution-info": "1/400", "IHCP-species-notes": "<p>Boil tissue section in 10mM citrate buffer, pH 6.0 for 10 min followed by cooling at RT for 20 min.</p>" }, "Rat": { "WB-species-checked": "testedAndGuaranteed", "WB-species-dilution-info": "0.22 µg/mL", "WB-species-notes": "<p></p>", "IHCP-species-checked": "testedAndGuaranteed", "IHCP-species-dilution-info": "1/400", "IHCP-species-notes": "<p>Boil tissue section in 10mM citrate buffer, pH 6.0 for 10 min followed by cooling at RT for 20 min.</p>" }, "Dog": { "WB-species-checked": "predicted", "WB-species-dilution-info": "", "WB-species-notes": "", "IHCP-species-checked": "predicted", "IHCP-species-dilution-info": "", "IHCP-species-notes": "" }, "Pig": { "WB-species-checked": "predicted", "WB-species-dilution-info": "", "WB-species-notes": "", "IHCP-species-checked": "predicted", "IHCP-species-dilution-info": "", "IHCP-species-notes": "" } } }

Product details

What is this antibody validated in?
Anti-Androgen Receptor antibody [SP107] - N-terminal (ab105225) is a rabbit recombinant monoclonal antibody and is validated for use in Western Blot (WB), Immunohistochemistry (IHC-P) in Human, Mouse, Rat samples.

What is the molecular weight of Androgen Receptor?
Anti-Androgen Receptor [SP107] - N-terminal (ab105225) specifically detects a band for Androgen Receptor (UniProt: P10275) at a molecular weight of 99kDa.

Collaboration
Anti-Androgen Receptor [SP107] - N-terminal (ab105225) is a clone from the portfolio of Spring Bioscience (Roche) SP clones which have been optimised for immunohistochemistry (IHC).

Reviewed by scientists
Anti-Androgen Receptor [SP107] - N-terminal (ab105225) has over 5 independent reviews from customers.

Trial sizes available!
Test your antibody or perform pre-screening before committing to a larger quantity. Sold in 10µl. Discover our selection of trial-size antibodies.

Other related products
We have a range of other formats of antibody clone [SP107] also available for your convenience: ab105225, Carrier free - ab236225, ab279422

Patented technology
Our RabMAb® technology is a patented hybridoma-based technology for making rabbit monoclonal antibodies. For details on our patents, please refer to RabMAb® patents.

What are the advantages of a recombinant monoclonal antibody?
This product is a recombinant monoclonal antibody, which offers several advantages including:

  • - High batch-to-batch consistency and reproducibility
  • - Improved sensitivity and specificity
  • - Long-term security of supply
  • - Animal-free batch production

For more information, read more on recombinant antibodies.

Properties and storage information

Form
Liquid
Purification technique
Affinity purification Protein A/G
Purification notes
Purified from TCS by protein A/G.
Storage buffer
pH: 7.6 Preservative: 0.1% Sodium azide Constituents: PBS, 1% BSA
Shipped at conditions
Blue Ice
Appropriate short-term storage duration
1-2 weeks
Appropriate short-term storage conditions
+4°C
Appropriate long-term storage conditions
-20°C
Aliquoting information
Upon delivery aliquot
Storage information
Avoid freeze / thaw cycle

Supplementary information

This supplementary information is collated from multiple sources and compiled automatically.

The androgen receptor (AR) also known as NR3C4 functions mechanically as a type of nuclear receptor that is activated by binding androgens including testosterone and dihydrotestosterone. The AR has a molecular weight of approximately 110 kDa. It is expressed in various tissues notably in the prostate skeletal muscle and certain areas of the brain. Within cells AR is usually located in the cytoplasm when unbound and translocates to the nucleus upon activation by its ligands.
Biological function summary

AR interacts with androgen hormones to regulate gene expression. It forms a complex with coactivators and corepressors to modulate transcription of target genes involved in male sexual development and reproductive function. AR plays an important role in the development and maintenance of male characteristics and reproductive activity. Its expression impacts cellular processes such as proliferation differentiation and apoptosis.

Pathways

AR is intricately involved in the androgen signaling pathway which affects the regulation of genes related to male sexual characteristics. It also plays a part in the PI3K/Akt pathway influencing cell growth and survival. The AR pathway interacts with proteins such as estrogen receptors to mediate cross-talk between hormonal pathways highlighting its broad biological impacts.

AR has a significant connection to prostate cancer where it drives tumor growth and progression. Mutations and overexpression of the androgen receptor are often observed in prostate cancer cells. Another condition linked to AR is androgen insensitivity syndrome where mutations in the AR gene result in partial or complete inability of cells to respond to androgenic hormones. In these conditions AR antagonists like bicalutamide are often used as treatment inhibiting the receptor's activity to manage disease progression.

Product protocols

For this product, it's our understanding that no specific protocols are required. You can visit:

Target data

The protein expressed by the AR gene functions as a steroid hormone receptor, a type of ligand-activated transcription factor that regulates eukaryotic gene expression and influences cellular proliferation and differentiation in target tissues. Its transcription factor activity can be modulated by coactivator and corepressor proteins, such as ZBTB7A, which recruits NCOR1 and NCOR2 to androgen response elements on target genes, thereby negatively regulating androgen receptor signaling and androgen-induced cell proliferation. The transcription activation can also be down-regulated by NR0B2. The protein is activated, though not phosphorylated, by HIPK3 and ZIPK/DAPK3. Notably, isoforms 3 and 4 of this protein lack the C-terminal ligand-binding domain and may thus constitutively activate transcription of specific gene sets independently of steroid hormones. This supplementary information is collated from multiple sources and compiled automatically.
See full target information AR

Publications (9)

Recent publications for all applications. Explore the full list and refine your search

Antioxidants (Basel, Switzerland) 13: PubMed39594482

2024

Characterization of the Peroxisomal Proteome and Redox Balance in Human Prostate Cancer Cell Lines.

Applications

Unspecified application

Species

Unspecified reactive species

Mohamed A F Hussein,Celien Lismont,Cláudio F Costa,Hongli Li,Frank Claessens,Marc Fransen

Communications biology 7:740 PubMed38890503

2024

Androgen-responsive FOXP4 is a target for endometrial carcinoma.

Applications

Unspecified application

Species

Unspecified reactive species

Kayo Kayahashi,Mahadi Hasan,Anowara Khatun,Susumu Kohno,Jumpei Terakawa,Shin-Ichi Horike,Natsumi Toyoda,Ayumi Matsuoka,Takashi Iizuka,Takeshi Obata,Masanori Ono,Yasunari Mizumoto,Chiaki Takahashi,Hiroshi Fujiwara,Takiko Daikoku

Endocrinology 165: PubMed38788194

2024

Investigating GABA Neuron-Specific Androgen Receptor Knockout in two Hyperandrogenic Models of PCOS.

Applications

Unspecified application

Species

Unspecified reactive species

Irene E Sucquart,Chris Coyle,Valentina Rodriguez Paris,Melanie Prescott,Kelly A Glendining,Kyoko Potapov,Denovan P Begg,Robert B Gilchrist,Kirsty A Walters,Rebecca E Campbell

Cancer medicine 12:10816-10828 PubMed36951594

2023

Androgen promotes squamous differentiation of atypical cells in cervical intraepithelial neoplasia via an ELF3-dependent pathway.

Applications

Unspecified application

Species

Unspecified reactive species

Takeo Matsumoto,Takuma Suzuki,Mitsuhiro Nakamura,Megumi Yamamoto,Takashi Iizuka,Masanori Ono,Kyosuke Kagami,Haruki Kasama,Tatsuhito Kanda,Yuya Sakai,Junpei Iwadare,Ayumi Matsuoka,Kayo Kayahashi,Kousho Wakae,Masamichi Muramatsu,Satoru Kyo,Yasuhiko Yamamoto,Yasunari Mizumoto,Takiko Daikoku,Hiroshi Fujiwara

Small methods 7:e2201293 PubMed36538748

2022

PROTAC Degraders of Androgen Receptor-Integrated Dissolving Microneedles for Androgenetic Alopecia and Recrudescence Treatment via Single Topical Administration.

Applications

Unspecified application

Species

Unspecified reactive species

Ruxuan Wang,Tengjiang Zhong,Qiong Bian,Sai Zhang,Xiaolu Ma,Liming Li,Yihua Xu,Yueting Gu,Anran Yuan,Weitong Hu,Chong Qin,Jianqing Gao

iScience 24:102303 PubMed33870126

2021

Myofiber androgen receptor increases muscle strength mediated by a skeletal muscle splicing variant of Mylk4.

Applications

Unspecified application

Species

Unspecified reactive species

Iori Sakakibara,Yuta Yanagihara,Koichi Himori,Takashi Yamada,Hiroshi Sakai,Yuichiro Sawada,Hirotaka Takahashi,Noritaka Saeki,Hiroyuki Hirakawa,Atsushi Yokoyama,So-Ichiro Fukada,Tatsuya Sawasaki,Yuuki Imai

Modern pathology : an official journal of the United States and Canadian Academy of Pathology, Inc 33:1056-1064 PubMed31896809

2020

Immunohistochemical analysis of IDH2 R172 hotspot mutations in breast papillary neoplasms: applications in the diagnosis of tall cell carcinoma with reverse polarity.

Applications

Unspecified application

Species

Unspecified reactive species

Fresia Pareja,Edaise M da Silva,Denise Frosina,Felipe C Geyer,John R Lozada,Thais Basili,Arnaud Da Cruz Paula,Elaine Zhong,Fatemeh Derakhshan,Timothy D'Alfonso,Hannah Y Wen,Dilip D Giri,Malcolm M Hayes,Gregor Krings,Rohit Bhargava,Juan P Palazzo,Emad A Rakha,Syed A Hoda,Melinda E Sanders,Laura C Collins,Stuart J Schnitt,Yunn-Yi Chen,Britta Weigelt,Achim A Jungbluth,Jorge S Reis-Filho,Edi Brogi

Oncotarget 9:35327-35342 PubMed30450161

2018

Down-regulation of AR splice variants through XPO1 suppression contributes to the inhibition of prostate cancer progression.

Applications

Unspecified application

Species

Unspecified reactive species

Amro Aboukameel,Irfana Muqbil,Erkan Baloglu,William Senapedis,Yosef Landesman,Christian Argueta,Michael Kauffman,Hua Chang,Trinayan Kashyap,Sharon Shacham,Jasper E Neggers,Dirk Daelemans,Elisabeth I Heath,Asfar S Azmi

European archives of oto-rhino-laryngology : offic 275:1885-1892 PubMed29785551

2018

Salivary duct carcinoma: evaluation of treatment and outcome in a tertiary referral institute.

Applications

Unspecified application

Species

Unspecified reactive species

Ann-Jean C C Beck,Peter J F M Lohuis,Abrahim Al-Mamgani,Laura A Smit,Willem M C Klop
View all publications

Product promise

We are committed to supporting your work with high-quality reagents, and we're here for you every step of the way. In the unlikely event that one of our products does not perform as expected, you're protected by our Product Promise.
For full details, please see our Terms & Conditions

Please note: All products are 'FOR RESEARCH USE ONLY. NOT FOR USE IN DIAGNOSTIC OR THERAPEUTIC PROCEDURES'.

For licensing inquiries, please contact partnerships@abcam.com