JavaScript is disabled in your browser. Please enable JavaScript to view this website.
AB236237

Anti-Androgen Receptor antibody [SP242] - BSA and Azide free

Be the first to review this product! Submit a review

|

(1 Publication)

Rabbit Recombinant Monoclonal Androgen Receptor antibody. Carrier free. Suitable for IHC-P and reacts with Mouse, Rat, Human samples. Cited in 1 publication.

View Alternative Names

DHTR, NR3C4, AR, Androgen receptor, Dihydrotestosterone receptor, Nuclear receptor subfamily 3 group C member 4

5 Images
Immunohistochemistry (Formalin/PFA-fixed paraffin-embedded sections) - Anti-Androgen Receptor antibody [SP242] - BSA and Azide free (AB236237)
  • IHC-P

Supplier Data

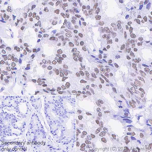
Immunohistochemistry (Formalin/PFA-fixed paraffin-embedded sections) - Anti-Androgen Receptor antibody [SP242] - BSA and Azide free (AB236237)

Formalin-fixed, paraffin-embedded human prostate adenocarcinoma tissue stained for Androgen Receptor with ab227678 at 1/100 dilution in immunohistochemical analysis.

This data was developed using the same antibody clone in a different buffer formulation containing PBS, BSA, glycerol, and sodium azide (ab227678).

Immunohistochemistry (Formalin/PFA-fixed paraffin-embedded sections) - Anti-Androgen Receptor antibody [SP242] - BSA and Azide free (AB236237)
  • IHC-P

Unknown

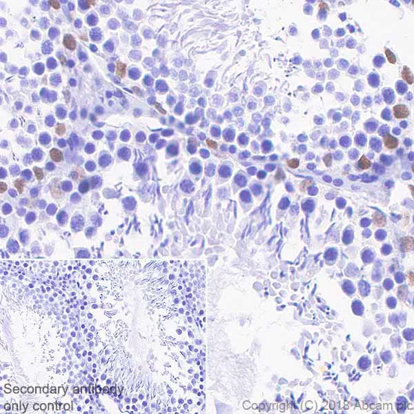
Immunohistochemistry (Formalin/PFA-fixed paraffin-embedded sections) - Anti-Androgen Receptor antibody [SP242] - BSA and Azide free (AB236237)

Immunohistochemistry (Formalin/PFA-fixed paraffin-embedded sections) analysis of Human testis tissue sections labeling Androgen Receptor with ab227678 at 1/100 dilution (3.49 μg/ml). Heat mediated antigen retrieval with Tris-EDTA buffer (pH 9.0, epitope retrieval solution 2) for 10mins. Rabbit specific IHC polymer detection kit HRP/DAB (ab209101) was used as the secondary antibody. Hematoxylin was used as a counterstain. Nuclear staining on human testis, performed on a Leica Biosystems BOND™ RX instrument.
The section was incubated with ab227678 for 30 mins at room temperature. This image was generated using ab227678, the same clone, but with a different buffer formulation.

Immunohistochemistry (Formalin/PFA-fixed paraffin-embedded sections) - Anti-Androgen Receptor antibody [SP242] - BSA and Azide free (AB236237)
  • IHC-P

Unknown

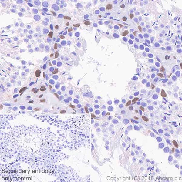
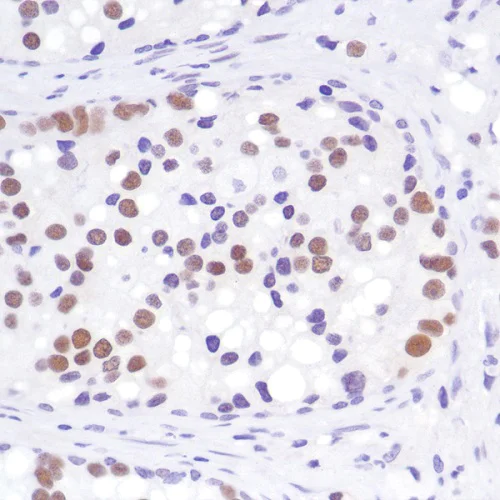
Immunohistochemistry (Formalin/PFA-fixed paraffin-embedded sections) - Anti-Androgen Receptor antibody [SP242] - BSA and Azide free (AB236237)

Immunohistochemistry (Formalin/PFA-fixed paraffin-embedded sections) analysis of Human prostate cancer tissue sections labeling Androgen Receptor with ab227678 at 1/100 dilution (3.49 μg/ml). Heat mediated antigen retrieval with Tris-EDTA buffer (pH 9.0, epitope retrieval solution 2) for 10mins. Rabbit specific IHC polymer detection kit HRP/DAB (ab209101) was used as the secondary antibody. Hematoxylin was used as a counterstain. Nuclear staining on human prostate cancer, performed on a Leica Biosystems BOND™ RX instrument.
The section was incubated with ab227678 for 30 mins at room temperature. This image was generated using ab227678, the same clone, but with a different buffer formulation.

Immunohistochemistry (Formalin/PFA-fixed paraffin-embedded sections) - Anti-Androgen Receptor antibody [SP242] - BSA and Azide free (AB236237)
  • IHC-P

Unknown

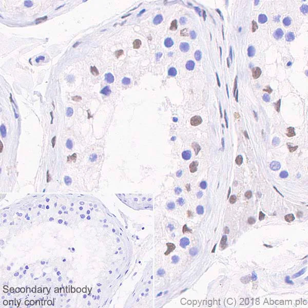
Immunohistochemistry (Formalin/PFA-fixed paraffin-embedded sections) - Anti-Androgen Receptor antibody [SP242] - BSA and Azide free (AB236237)

Immunohistochemistry (Formalin/PFA-fixed paraffin-embedded sections) analysis of Mouse testis tissue sections labeling Androgen Receptor with ab227678 at 1/100 dilution (3.49 μg/ml). Heat mediated antigen retrieval with Tris-EDTA buffer (pH 9.0, epitope retrieval solution 2) for 10mins. Rabbit specific IHC polymer detection kit HRP/DAB (ab209101) was used as the secondary antibody. Hematoxylin was used as a counterstain. Nuclear staining on mouse testis, performed on a Leica Biosystems BOND™ RX instrument.
The section was incubated with ab227678 for 30 mins at room temperature. This image was generated using ab227678, the same clone, but with a different buffer formulation.

Immunohistochemistry (Formalin/PFA-fixed paraffin-embedded sections) - Anti-Androgen Receptor antibody [SP242] - BSA and Azide free (AB236237)
  • IHC-P

Unknown

Immunohistochemistry (Formalin/PFA-fixed paraffin-embedded sections) - Anti-Androgen Receptor antibody [SP242] - BSA and Azide free (AB236237)

Immunohistochemistry (Formalin/PFA-fixed paraffin-embedded sections) analysis of Rat testis tissue sections labeling Androgen Receptor with ab227678 at 1/100 dilution (3.49 μg/ml). Heat mediated antigen retrieval with Tris-EDTA buffer (pH 9.0, epitope retrieval solution 2) for 10mins. Rabbit specific IHC polymer detection kit HRP/DAB (ab209101) was used as the secondary antibody. Hematoxylin was used as a counterstain. Nuclear staining on rat testis, performed on a Leica Biosystems BOND™ RX instrument.
The section was incubated with ab227678 for 30 mins at room temperature. This image was generated using ab227678, the same clone, but with a different buffer formulation.

Key facts

Host species

Rabbit

Clonality

Monoclonal

Clone number

SP242

Isotype

IgG

Carrier free

Yes

Reacts with

Mouse, Rat, Human

Applications

IHC-P

applications

Immunogen

The exact immunogen used to generate this antibody is proprietary information.

Reactivity data

{ "title": "Reactivity Data", "filters": { "stats": ["", "Species", "Dilution Info", "Notes"], "tabs": { "all-applications": {"fullname" : "All Applications", "shortname": "All Applications"}, "IHCP" : {"fullname" : "Immunohistochemistry (Formalin/PFA-fixed paraffin-embedded sections)", "shortname":"IHC-P"} }, "product-promise": { "all": "all", "testedAndGuaranteed": "tested", "guaranteed": "expected", "predicted": "predicted", "notRecommended": "not-recommended" } }, "values": { "Human": { "IHCP-species-checked": "testedAndGuaranteed", "IHCP-species-dilution-info": "", "IHCP-species-notes": "<p>For antigen retrieval: Boil tissue section in EDTA buffer, pH 8.0 for 10 minutes followed by cooling at room temperature for 20 minutes.</p>" }, "Mouse": { "IHCP-species-checked": "testedAndGuaranteed", "IHCP-species-dilution-info": "", "IHCP-species-notes": "<p>For antigen retrieval: Boil tissue section in EDTA buffer, pH 8.0 for 10 minutes followed by cooling at room temperature for 20 minutes.</p>" }, "Rat": { "IHCP-species-checked": "testedAndGuaranteed", "IHCP-species-dilution-info": "", "IHCP-species-notes": "<p>For antigen retrieval: Boil tissue section in EDTA buffer, pH 8.0 for 10 minutes followed by cooling at room temperature for 20 minutes.</p>" }, "Dog": { "IHCP-species-checked": "predicted", "IHCP-species-dilution-info": "", "IHCP-species-notes": "" }, "Pig": { "IHCP-species-checked": "predicted", "IHCP-species-dilution-info": "", "IHCP-species-notes": "" }, "Rabbit": { "IHCP-species-checked": "predicted", "IHCP-species-dilution-info": "", "IHCP-species-notes": "" } } }

Product details

ab236237 is the carrier-free version of ab227678.

What are the advantages of a recombinant monoclonal antibody?
This product is a recombinant monoclonal antibody, which offers several advantages including:

  • - High batch-to-batch consistency and reproducibility
  • - Improved sensitivity and specificity
  • - Long-term security of supply
  • - Animal-free batch production

For more information, read more on recombinant antibodies.

Conjugation ready
Our carrier-free antibodies are typically supplied in a PBS-only formulation, purified and free of BSA, sodium azide and glycerol. This conjugation-ready format is designed for use with fluorochromes, metal isotopes, oligonucleotides, and enzymes, which makes them ideal for antibody labelling, functional and cell-based assays, flow-based assays (e.g. mass cytometry) and Multiplex Imaging applications.

Use our conjugation kits for antibody conjugates that are ready-to-use in as little as 20 minutes with 1 minute hands-on-time and 100% antibody recovery: available for fluorescent dyes, HRP, biotin and gold.

Compatibility
This product is compatible with the Maxpar® Antibody Labeling Kit from Fluidigm, without the need for antibody preparation. Maxpar® is a trademark of Fluidigm Canada Inc.

Properties and storage information

Form
Liquid
Purification technique
Affinity purification Protein A/G
Purification notes
Purified from TCS by protein A/G.
Storage buffer
pH: 7.2 - 7.4 Constituents: PBS
Shipped at conditions
Blue Ice
Appropriate short-term storage conditions
+4°C
Appropriate long-term storage conditions
+4°C
Storage information
Do Not Freeze

Supplementary information

This supplementary information is collated from multiple sources and compiled automatically.

The androgen receptor (AR) also known as NR3C4 functions mechanically as a type of nuclear receptor that is activated by binding androgens including testosterone and dihydrotestosterone. The AR has a molecular weight of approximately 110 kDa. It is expressed in various tissues notably in the prostate skeletal muscle and certain areas of the brain. Within cells AR is usually located in the cytoplasm when unbound and translocates to the nucleus upon activation by its ligands.
Biological function summary

AR interacts with androgen hormones to regulate gene expression. It forms a complex with coactivators and corepressors to modulate transcription of target genes involved in male sexual development and reproductive function. AR plays an important role in the development and maintenance of male characteristics and reproductive activity. Its expression impacts cellular processes such as proliferation differentiation and apoptosis.

Pathways

AR is intricately involved in the androgen signaling pathway which affects the regulation of genes related to male sexual characteristics. It also plays a part in the PI3K/Akt pathway influencing cell growth and survival. The AR pathway interacts with proteins such as estrogen receptors to mediate cross-talk between hormonal pathways highlighting its broad biological impacts.

AR has a significant connection to prostate cancer where it drives tumor growth and progression. Mutations and overexpression of the androgen receptor are often observed in prostate cancer cells. Another condition linked to AR is androgen insensitivity syndrome where mutations in the AR gene result in partial or complete inability of cells to respond to androgenic hormones. In these conditions AR antagonists like bicalutamide are often used as treatment inhibiting the receptor's activity to manage disease progression.

Product protocols

For this product, it's our understanding that no specific protocols are required. You can visit:

Target data

The protein expressed by the AR gene functions as a steroid hormone receptor, a type of ligand-activated transcription factor that regulates eukaryotic gene expression and influences cellular proliferation and differentiation in target tissues. Its transcription factor activity can be modulated by coactivator and corepressor proteins, such as ZBTB7A, which recruits NCOR1 and NCOR2 to androgen response elements on target genes, thereby negatively regulating androgen receptor signaling and androgen-induced cell proliferation. The transcription activation can also be down-regulated by NR0B2. The protein is activated, though not phosphorylated, by HIPK3 and ZIPK/DAPK3. Notably, isoforms 3 and 4 of this protein lack the C-terminal ligand-binding domain and may thus constitutively activate transcription of specific gene sets independently of steroid hormones. This supplementary information is collated from multiple sources and compiled automatically.
See full target information AR

Publications (1)

Recent publications for all applications. Explore the full list and refine your search

International journal of molecular sciences 24: PubMed37569332

2023

CD47 Expression in Circulating Tumor Cells and Circulating Tumor Microemboli from Non-Small Cell Lung Cancer Patients Is a Poor Prognosis Factor.

Applications

Unspecified application

Species

Unspecified reactive species

Jacqueline Aparecida Torres,Angelo Borsarelli Carvalho Brito,Virgilio Souza E Silva,Iara Monique Messias,Alexcia Camila Braun,Anna Paula Carreta Ruano,Marcilei E C Buim,Dirce Maria Carraro,Ludmilla Thomé Domingos Chinen
View all publications

Product promise

We are committed to supporting your work with high-quality reagents, and we're here for you every step of the way. In the unlikely event that one of our products does not perform as expected, you're protected by our Product Promise.
For full details, please see our Terms & Conditions

Please note: All products are 'FOR RESEARCH USE ONLY. NOT FOR USE IN DIAGNOSTIC OR THERAPEUTIC PROCEDURES'.

For licensing inquiries, please contact partnerships@abcam.com