JavaScript is disabled in your browser. Please enable JavaScript to view this website.
AB227678

Anti-Androgen Receptor antibody [SP242] - C-terminal

  • BOND RX™ Validated
  • RabMAb
  • Recombinant
  • Lab Essentials
  • 20ul selling size
  • What is this?

5

(2 Reviews)

|

(9 Publications)

Anti-Androgen Receptor antibody [SP242] - C-terminal (ab227678) is a rabbit monoclonal antibody detecting Androgen Receptor in IHC-P. Suitable for Human, Mouse, Rat.

- Biophysical QC for unrivalled batch-batch consistency

View Alternative Names

DHTR, NR3C4, AR, Androgen receptor, Dihydrotestosterone receptor, Nuclear receptor subfamily 3 group C member 4

5 Images
Immunohistochemistry (Formalin/PFA-fixed paraffin-embedded sections) - Anti-Androgen Receptor antibody [SP242] - C-terminal (AB227678)
  • IHC-P

Supplier Data

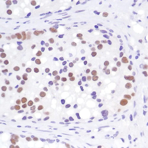
Immunohistochemistry (Formalin/PFA-fixed paraffin-embedded sections) - Anti-Androgen Receptor antibody [SP242] - C-terminal (AB227678)

Formalin-fixed, paraffin-embedded human prostate adenocarcinoma tissue stained for Androgen Receptor with ab227678 at 1/100 dilution in immunohistochemical analysis.

Immunohistochemistry (Formalin/PFA-fixed paraffin-embedded sections) - Anti-Androgen Receptor antibody [SP242] - C-terminal (AB227678)
  • IHC-P

Unknown

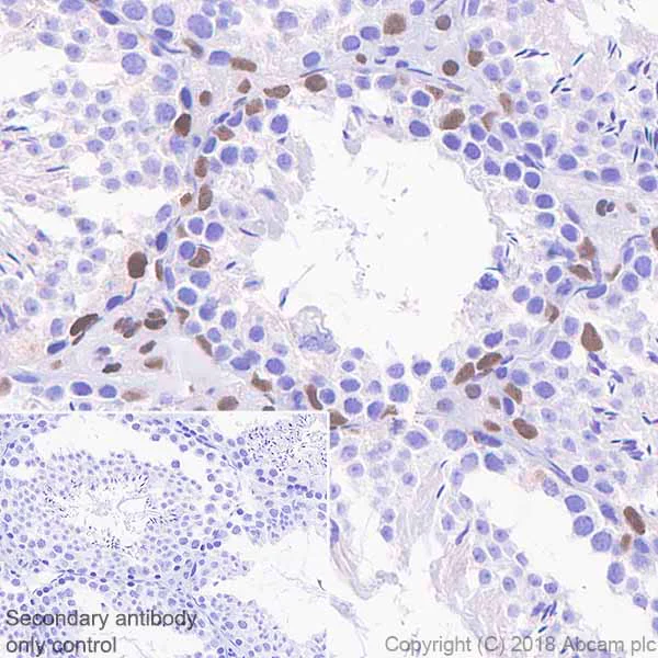
Immunohistochemistry (Formalin/PFA-fixed paraffin-embedded sections) - Anti-Androgen Receptor antibody [SP242] - C-terminal (AB227678)

Immunohistochemistry (Formalin/PFA-fixed paraffin-embedded sections) analysis of Human testis tissue sections labeling Androgen Receptor with ab227678 at 1/100 dilution (3.49 μg/ml). Heat mediated antigen retrieval with Tris-EDTA buffer (pH 9.0, epitope retrieval solution 2) for 10mins. Rabbit specific IHC polymer detection kit HRP/DAB (ab209101) was used as the secondary antibody. Hematoxylin was used as a counterstain. Nuclear staining on human testis, performed on a Leica Biosystems BOND™ RX instrument.
The section was incubated with ab227678 for 30 mins at room temperature.

Immunohistochemistry (Formalin/PFA-fixed paraffin-embedded sections) - Anti-Androgen Receptor antibody [SP242] - C-terminal (AB227678)
  • IHC-P

Unknown

Immunohistochemistry (Formalin/PFA-fixed paraffin-embedded sections) - Anti-Androgen Receptor antibody [SP242] - C-terminal (AB227678)

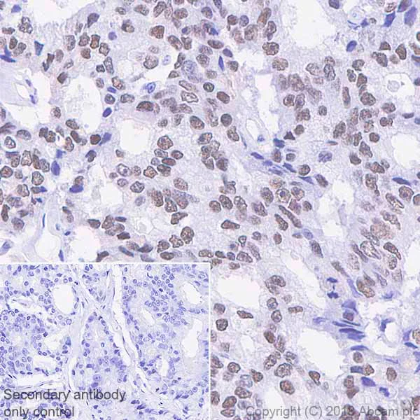
Immunohistochemistry (Formalin/PFA-fixed paraffin-embedded sections) analysis of Human prostate cancer tissue sections labeling Androgen Receptor with ab227678 at 1/100 dilution (3.49 μg/ml). Heat mediated antigen retrieval with Tris-EDTA buffer (pH 9.0, epitope retrieval solution 2) for 10mins. Rabbit specific IHC polymer detection kit HRP/DAB (ab209101) was used as the secondary antibody. Hematoxylin was used as a counterstain. Nuclear staining on human prostate cancer, performed on a Leica Biosystems BOND™ RX instrument.
The section was incubated with ab227678 for 30 mins at room temperature.

Immunohistochemistry (Formalin/PFA-fixed paraffin-embedded sections) - Anti-Androgen Receptor antibody [SP242] - C-terminal (AB227678)
  • IHC-P

Unknown

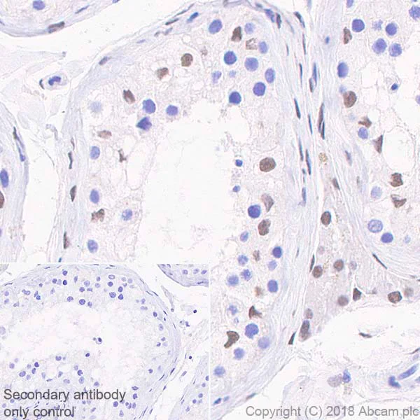
Immunohistochemistry (Formalin/PFA-fixed paraffin-embedded sections) - Anti-Androgen Receptor antibody [SP242] - C-terminal (AB227678)

Immunohistochemistry (Formalin/PFA-fixed paraffin-embedded sections) analysis of Mouse testis tissue sections labeling Androgen Receptor with ab227678 at 1/100 dilution (3.49 μg/ml). Heat mediated antigen retrieval with Tris-EDTA buffer (pH 9.0, epitope retrieval solution 2) for 10mins. Rabbit specific IHC polymer detection kit HRP/DAB (ab209101) was used as the secondary antibody. Hematoxylin was used as a counterstain. Nuclear staining on mouse testis, performed on a Leica Biosystems BOND™ RX instrument.
The section was incubated with ab227678 for 30 mins at room temperature.

Immunohistochemistry (Formalin/PFA-fixed paraffin-embedded sections) - Anti-Androgen Receptor antibody [SP242] - C-terminal (AB227678)
  • IHC-P

Unknown

Immunohistochemistry (Formalin/PFA-fixed paraffin-embedded sections) - Anti-Androgen Receptor antibody [SP242] - C-terminal (AB227678)

Immunohistochemistry (Formalin/PFA-fixed paraffin-embedded sections) analysis of Rat testis tissue sections labeling Androgen Receptor with ab227678 at 1/100 dilution (3.49 μg/ml). Heat mediated antigen retrieval with Tris-EDTA buffer (pH 9.0, epitope retrieval solution 2) for 10mins. Rabbit specific IHC polymer detection kit HRP/DAB (ab209101) was used as the secondary antibody. Hematoxylin was used as a counterstain. Nuclear staining on rat testis, performed on a Leica Biosystems BOND™ RX instrument.
The section was incubated with ab227678 for 30 mins at room temperature.

  • Carrier free

    Anti-Androgen Receptor antibody [SP242] - BSA and Azide free

  • 519 Alexa Fluor® 488

    Alexa Fluor® 488 Anti-Androgen Receptor antibody [SP242] - C-terminal

  • 665 Alexa Fluor® 647

    Alexa Fluor® 647 Anti-Androgen Receptor antibody [SP242] - C-terminal

  • 565 Alexa Fluor® 555

    Alexa Fluor® 555 Anti-Androgen Receptor antibody [SP242] - C-terminal

  • 617 Alexa Fluor® 594

    Alexa Fluor® 594 Anti-Androgen Receptor antibody [SP242] - C-terminal

  • 578 PE

    PE Anti-Androgen Receptor antibody [SP242] - C-terminal

  • 660 APC

    APC Anti-Androgen Receptor antibody [SP242] - C-terminal

  • 775 Alexa Fluor® 750

    Alexa Fluor® 750 Anti-Androgen Receptor antibody [SP242] - C-terminal

Key facts

Host species

Rabbit

Clonality

Monoclonal

Clone number

SP242

Isotype

IgG

Carrier free

No

Reacts with

Mouse, Rat, Human

Applications

IHC-P

applications

Immunogen

The exact immunogen used to generate this antibody is proprietary information.

Reactivity data

{ "title": "Reactivity Data", "filters": { "stats": ["", "Species", "Dilution Info", "Notes"], "tabs": { "all-applications": {"fullname" : "All Applications", "shortname": "All Applications"}, "IHCP" : {"fullname" : "Immunohistochemistry (Formalin/PFA-fixed paraffin-embedded sections)", "shortname":"IHC-P"} }, "product-promise": { "all": "all", "testedAndGuaranteed": "tested", "guaranteed": "expected", "predicted": "predicted", "notRecommended": "not-recommended" } }, "values": { "Human": { "IHCP-species-checked": "testedAndGuaranteed", "IHCP-species-dilution-info": "1/100", "IHCP-species-notes": "<p>For antigen retrieval: Boil tissue section in EDTA buffer, pH 8.0 for 10 minutes followed by cooling at room temperature for 20 minutes.</p>" }, "Mouse": { "IHCP-species-checked": "testedAndGuaranteed", "IHCP-species-dilution-info": "1/100", "IHCP-species-notes": "<p>For antigen retrieval: Boil tissue section in EDTA buffer, pH 8.0 for 10 minutes followed by cooling at room temperature for 20 minutes.</p>" }, "Rat": { "IHCP-species-checked": "testedAndGuaranteed", "IHCP-species-dilution-info": "1/100", "IHCP-species-notes": "<p>For antigen retrieval: Boil tissue section in EDTA buffer, pH 8.0 for 10 minutes followed by cooling at room temperature for 20 minutes.</p>" }, "Dog": { "IHCP-species-checked": "predicted", "IHCP-species-dilution-info": "", "IHCP-species-notes": "" }, "Pig": { "IHCP-species-checked": "predicted", "IHCP-species-dilution-info": "", "IHCP-species-notes": "" }, "Rabbit": { "IHCP-species-checked": "predicted", "IHCP-species-dilution-info": "", "IHCP-species-notes": "" } } }

Product details

What is this antibody validated in?
Anti-Androgen Receptor antibody [SP242] - C-terminal (ab227678) is a rabbit recombinant monoclonal antibody and is validated for use in Immunohistochemistry (IHC-P) in Human, Mouse, Rat samples.

Collaboration
Anti-Androgen Receptor [SP242] - C-terminal (ab227678) is a clone from the portfolio of Spring Bioscience (Roche) SP clones which have been optimised for immunohistochemistry (IHC).

Other related products
We have a range of other formats of antibody clone [SP242] also available for your convenience: ab227678, Carrier free - ab236237, ab279425, Alexa Fluor® 488 - ab320528, Alexa Fluor® 647 - ab320529, Alexa Fluor® 555 - ab320530, Alexa Fluor® 594 - ab320531, PE - ab320532, APC - ab320533, Alexa Fluor® 750 - ab321448

Patented technology
Our RabMAb® technology is a patented hybridoma-based technology for making rabbit monoclonal antibodies. For details on our patents, please refer to RabMAb® patents.

What are the advantages of a recombinant monoclonal antibody?
This product is a recombinant monoclonal antibody, which offers several advantages including:

  • - High batch-to-batch consistency and reproducibility
  • - Improved sensitivity and specificity
  • - Long-term security of supply
  • - Animal-free batch production

For more information, read more on recombinant antibodies.

Properties and storage information

Form
Liquid
Purification technique
Affinity purification Protein A
Storage buffer
pH: 7.2 - 7.4 Preservative: 0.1% Sodium azide Constituents: PBS, 1% BSA
Shipped at conditions
Blue Ice
Appropriate short-term storage duration
1-2 weeks
Appropriate short-term storage conditions
+4°C
Appropriate long-term storage conditions
-20°C
Aliquoting information
Upon delivery aliquot
Storage information
Avoid freeze / thaw cycle

Supplementary information

This supplementary information is collated from multiple sources and compiled automatically.

The androgen receptor (AR) also known as NR3C4 functions mechanically as a type of nuclear receptor that is activated by binding androgens including testosterone and dihydrotestosterone. The AR has a molecular weight of approximately 110 kDa. It is expressed in various tissues notably in the prostate skeletal muscle and certain areas of the brain. Within cells AR is usually located in the cytoplasm when unbound and translocates to the nucleus upon activation by its ligands.
Biological function summary

AR interacts with androgen hormones to regulate gene expression. It forms a complex with coactivators and corepressors to modulate transcription of target genes involved in male sexual development and reproductive function. AR plays an important role in the development and maintenance of male characteristics and reproductive activity. Its expression impacts cellular processes such as proliferation differentiation and apoptosis.

Pathways

AR is intricately involved in the androgen signaling pathway which affects the regulation of genes related to male sexual characteristics. It also plays a part in the PI3K/Akt pathway influencing cell growth and survival. The AR pathway interacts with proteins such as estrogen receptors to mediate cross-talk between hormonal pathways highlighting its broad biological impacts.

AR has a significant connection to prostate cancer where it drives tumor growth and progression. Mutations and overexpression of the androgen receptor are often observed in prostate cancer cells. Another condition linked to AR is androgen insensitivity syndrome where mutations in the AR gene result in partial or complete inability of cells to respond to androgenic hormones. In these conditions AR antagonists like bicalutamide are often used as treatment inhibiting the receptor's activity to manage disease progression.

Product protocols

For this product, it's our understanding that no specific protocols are required. You can visit:

Target data

Steroid hormone receptors are ligand-activated transcription factors that regulate eukaryotic gene expression and affect cellular proliferation and differentiation in target tissues (PubMed : 19022849). Transcription factor activity is modulated by bound coactivator and corepressor proteins like ZBTB7A that recruits NCOR1 and NCOR2 to the androgen response elements/ARE on target genes, negatively regulating androgen receptor signaling and androgen-induced cell proliferation (PubMed : 20812024). Transcription activation is also down-regulated by NR0B2. Activated, but not phosphorylated, by HIPK3 and ZIPK/DAPK3.. Isoform 3. Lacks the C-terminal ligand-binding domain and therefore constitutively regulates the transcription of a specific set of canonical AR-target genes, including PSA/KLK3 and TMPRSS2, independently of steroid hormones (PubMed : 19244107, PubMed : 25008967). However, some genes are differentially regulated by full-length AR (isoform 1) and isoform 3. Isoform 3-specific target genes may be regulated independently of FOXA1 expression (PubMed : 25008967).. Isoform 4. Lacks the C-terminal ligand-binding domain and may therefore constitutively activate the transcription of a specific set of genes independently of steroid hormones.
See full target information AR

Publications (9)

Recent publications for all applications. Explore the full list and refine your search

Cell reports 44:115089 PubMed39709604

2024

Increased nuclear factor I-mediated chromatin access drives transition to androgen receptor splice variant dependence in prostate cancer.

Applications

Unspecified application

Species

Unspecified reactive species

Larysa Poluben,Mannan Nouri,Jiaqian Liang,Shaoyong Chen,Andreas Varkaris,Betul Ersoy-Fazlioglu,Olga Voznesensky,Irene I Lee,Xintao Qiu,Laura Cato,Ji-Heui Seo,Matthew L Freedman,Adam G Sowalsky,Nathan A Lack,Eva Corey,Peter S Nelson,Myles Brown,Henry W Long,Joshua W Russo,Steven P Balk

Scientific reports 14:30302 PubMed39638850

2024

Prostatic androgen receptor signaling shows an age-related and lobe-specific alteration in mice.

Applications

Unspecified application

Species

Unspecified reactive species

Han Zhang,Teresa T Liu,Emily A Ricke,William A Ricke

BMC cancer 24:1398 PubMed39538154

2024

Prognostic role of Androgen Receptor splice variant 7 (AR-V7) in the pathogenesis of breast cancer.

Applications

Unspecified application

Species

Unspecified reactive species

Tryambak Pratap Srivastava,Swati Ajmeriya,Isha Goel,Joyeeta Talukdar,Anurag Srivastava,Rajinder Parshad,S V S Deo,Sandeep R Mathur,Ajay Gogia,Avdhesh Rai,Ruby Dhar,Subhradip Karmakar

Endocrinology 165: PubMed38156784

2024

Reproductive Profile of Neuronal Androgen Receptor Knockout Female Mice With a Low Dose of DHT.

Applications

Unspecified application

Species

Unspecified reactive species

Vaibhave Ubba,Serene Joseph,Olubusayo Awe,Dustin Jones,Milan K Dsilva,Mingxiao Feng,Junjiang Wang,Xiaomin Fu,Razeen J Akbar,Brittany H Bodnar,Wenhui Hu,Hong Wang,Xiaofeng Yang,Ling Yang,Peixin Yang,Bouchra Taib,Rexford Ahima,Sara Divall,Sheng Wu

The journal of pathology. Clinical research 9:285-301 PubMed37073437

2023

Cell-by-cell quantification of the androgen receptor in benign and malignant prostate leads to a better understanding of changes linked to cancer initiation and progression.

Applications

Unspecified application

Species

Unspecified reactive species

Seta Derderian,Tarik Benidir,Eleonora Scarlata,Turki Altaylouni,Lucie Hamel,Fatima Zahra Zouanat,Fadi Brimo,Armen Aprikian,Simone Chevalier

Cancer letters 519:172-184 PubMed34256096

2021

Androgen receptor splice variant 7 functions independently of the full length receptor in prostate cancer cells.

Applications

Unspecified application

Species

Unspecified reactive species

Jiaqian Liang,Liyang Wang,Larysa Poluben,Mannan Nouri,Seiji Arai,Lisha Xie,Olga S Voznesensky,Laura Cato,Xin Yuan,Joshua W Russo,Henry W Long,Myles Brown,Shaoyong Chen,Steven P Balk

Neoplasia (New York, N.Y.) 22:566-575 PubMed32980775

2020

Development and prevalence of castration-resistant prostate cancer subtypes.

Applications

Unspecified application

Species

Unspecified reactive species

Jordan E Vellky,William A Ricke

The Journal of clinical investigation 130:3287-3298 PubMed32478682

2020

Taxane resistance in prostate cancer is mediated by decreased drug-target engagement.

Applications

Unspecified application

Species

Unspecified reactive species

Ada Gjyrezi,Fang Xie,Olga Voznesensky,Prateek Khanna,Carla Calagua,Yang Bai,Justin Kung,Jim Wu,Eva Corey,Bruce Montgomery,Sandrine Mace,Diego A Gianolio,Glenn J Bubley,Steven P Balk,Paraskevi Giannakakou,Rupal S Bhatt

Bioscience reports 40: PubMed32159214

2020

Astragalus polysaccharides inhibit ovarian cancer cell growth via microRNA-27a/FBXW7 signaling pathway.

Applications

Unspecified application

Species

Unspecified reactive species

Yanling Guo,Zhenxing Zhang,Zhaoxia Wang,Guoqi Liu,Yingying Liu,Huijie Wang
View all publications

Product promise

We are committed to supporting your work with high-quality reagents, and we're here for you every step of the way. In the unlikely event that one of our products does not perform as expected, you're protected by our Product Promise.
For full details, please see our Terms & Conditions

Please note: All products are 'FOR RESEARCH USE ONLY. NOT FOR USE IN DIAGNOSTIC OR THERAPEUTIC PROCEDURES'.

For licensing inquiries, please contact partnerships@abcam.com