JavaScript is disabled in your browser. Please enable JavaScript to view this website.
AB308335

Anti-Androgen Receptor ARv7 Splice Variant antibody [HL1028]

Be the first to review this product! Submit a review

|

(0 Publication)

Rabbit Recombinant Monoclonal Androgen Receptor antibody. Carrier free. Suitable for IHC-P, ICC/IF, WB and reacts with Mouse, Human samples. Immunogen corresponding to Synthetic Peptide within Human AR.

View Alternative Names

DHTR, NR3C4, AR, Androgen receptor, Dihydrotestosterone receptor, Nuclear receptor subfamily 3 group C member 4

3 Images
Immunocytochemistry/ Immunofluorescence - Anti-Androgen Receptor ARv7 Splice Variant antibody [HL1028] (AB308335)
  • ICC/IF

Supplier Data

Immunocytochemistry/ Immunofluorescence - Anti-Androgen Receptor ARv7 Splice Variant antibody [HL1028] (AB308335)

For immunofluorescence analysis, 22RV1 cells were fixed in 4% paraformaldehyde at room temperature for 15 minutes for detection of Androgen Receptor (ARv7 Splice Variant) using ab308335 at 1/500 dilution (green). Red : alpha Tubulin, a cytoskeleton marker, stained by alpha Tubulin antibody [GT114] diluted at 1/1000.

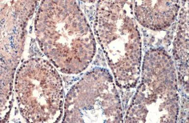
Immunohistochemistry paraffin embedded sections - Anti-Androgen Receptor ARv7 Splice Variant antibody [HL1028] (AB308335)
  • IHC-P

Supplier Data

Immunohistochemistry paraffin embedded sections - Anti-Androgen Receptor ARv7 Splice Variant antibody [HL1028] (AB308335)

Immunohistochemical analysis of mouse testis tissue labeling Androgen Receptor ARv7 Splice Variant using ab308335 at 1/100 dilution. Antigen retrival was performed using Citrate buffer, pH 6.0, 15 min

Western blot - Anti-Androgen Receptor ARv7 Splice Variant antibody [HL1028] (AB308335)
  • WB

Supplier Data

Western blot - Anti-Androgen Receptor ARv7 Splice Variant antibody [HL1028] (AB308335)

Various whole cell extracts (30 μg) were separated by 7.5% SDS-PAGE, and the membrane was blotted with Androgen Receptor (ARv7 Splice Variant) antiboy [HL1028] (ab308335) diluted at 1/1000. A HRP-conjugated anti-rabbit IgG antibody was used to detect the primary antibody.

All lanes:

Western blot - Anti-Androgen Receptor ARv7 Splice Variant antibody [HL1028] (ab308335) at 1/1000 dilution

Lane 1:

22RV1 cell lysate at 30 µg

Lane 2:

LNCap cell lysate at 30 µg

Lane 3:

MCF7 cell lysate at 30 µg

Lane 4:

DU145 cell lysate at 30 µg

Secondary

All lanes:

HRP-conjugated anti-rabbit IgG antibody

Predicted band size: 99.2 kDa

false

Key facts

Host species

Rabbit

Clonality

Monoclonal

Clone number

HL1028

Isotype

IgG

Carrier free

Yes

Reacts with

Human, Mouse

Applications

ICC/IF, IHC-P, WB

applications

Immunogen

Synthetic Peptide within Human AR. The exact immunogen used to generate this antibody is proprietary information.

P10275

Reactivity data

{ "title": "Reactivity Data", "filters": { "stats": ["", "Species", "Dilution Info", "Notes"], "tabs": { "all-applications": {"fullname" : "All Applications", "shortname": "All Applications"}, "IHCP" : {"fullname" : "Immunohistochemistry (Formalin/PFA-fixed paraffin-embedded sections)", "shortname":"IHC-P"}, "ICCIF" : {"fullname" : "Immunocytochemistry/ Immunofluorescence", "shortname":"ICC/IF"}, "WB" : {"fullname" : "Western blot", "shortname":"WB"} }, "product-promise": { "all": "all", "testedAndGuaranteed": "tested", "guaranteed": "expected", "predicted": "predicted", "notRecommended": "not-recommended" } }, "values": { "Human": { "IHCP-species-checked": "guaranteed", "IHCP-species-dilution-info": "", "IHCP-species-notes": "", "ICCIF-species-checked": "testedAndGuaranteed", "ICCIF-species-dilution-info": "1/500", "ICCIF-species-notes": "<p></p>", "WB-species-checked": "testedAndGuaranteed", "WB-species-dilution-info": "1/1000", "WB-species-notes": "<p></p>" }, "Mouse": { "IHCP-species-checked": "testedAndGuaranteed", "IHCP-species-dilution-info": "1/100", "IHCP-species-notes": "<p></p>", "ICCIF-species-checked": "guaranteed", "ICCIF-species-dilution-info": "", "ICCIF-species-notes": "", "WB-species-checked": "guaranteed", "WB-species-dilution-info": "", "WB-species-notes": "" } } }

Product details

What are the advantages of a recombinant monoclonal antibody?
This product is a recombinant monoclonal antibody, which offers several advantages including:

  • - High batch-to-batch consistency and reproducibility
  • - Improved sensitivity and specificity
  • - Long-term security of supply
  • - Animal-free batch production

For more information, read more on recombinant antibodies.

Conjugation ready
Our carrier-free antibodies are typically supplied in a PBS-only formulation, purified and free of BSA, sodium azide and glycerol. This conjugation-ready format is designed for use with fluorochromes, metal isotopes, oligonucleotides, and enzymes, which makes them ideal for antibody labelling, functional and cell-based assays, flow-based assays (e.g. mass cytometry) and Multiplex Imaging applications.

Use our conjugation kits for antibody conjugates that are ready-to-use in as little as 20 minutes with 1 minute hands-on-time and 100% antibody recovery: available for fluorescent dyes, HRP, biotin and gold.

Properties and storage information

Form
Liquid
Purification technique
Affinity purification Protein A
Storage buffer
pH: 7.4 Constituents: PBS
Shipped at conditions
Blue Ice
Appropriate short-term storage duration
1-2 weeks
Appropriate short-term storage conditions
+4°C
Appropriate long-term storage conditions
+4°C
Aliquoting information
Upon delivery aliquot
Storage information
Avoid freeze / thaw cycle

Supplementary information

This supplementary information is collated from multiple sources and compiled automatically.

The androgen receptor (AR) also known as NR3C4 functions mechanically as a type of nuclear receptor that is activated by binding androgens including testosterone and dihydrotestosterone. The AR has a molecular weight of approximately 110 kDa. It is expressed in various tissues notably in the prostate skeletal muscle and certain areas of the brain. Within cells AR is usually located in the cytoplasm when unbound and translocates to the nucleus upon activation by its ligands.
Biological function summary

AR interacts with androgen hormones to regulate gene expression. It forms a complex with coactivators and corepressors to modulate transcription of target genes involved in male sexual development and reproductive function. AR plays an important role in the development and maintenance of male characteristics and reproductive activity. Its expression impacts cellular processes such as proliferation differentiation and apoptosis.

Pathways

AR is intricately involved in the androgen signaling pathway which affects the regulation of genes related to male sexual characteristics. It also plays a part in the PI3K/Akt pathway influencing cell growth and survival. The AR pathway interacts with proteins such as estrogen receptors to mediate cross-talk between hormonal pathways highlighting its broad biological impacts.

AR has a significant connection to prostate cancer where it drives tumor growth and progression. Mutations and overexpression of the androgen receptor are often observed in prostate cancer cells. Another condition linked to AR is androgen insensitivity syndrome where mutations in the AR gene result in partial or complete inability of cells to respond to androgenic hormones. In these conditions AR antagonists like bicalutamide are often used as treatment inhibiting the receptor's activity to manage disease progression.

Product protocols

For this product, it's our understanding that no specific protocols are required. You can visit:

Target data

The protein expressed by the AR gene functions as a steroid hormone receptor, a type of ligand-activated transcription factor that regulates eukaryotic gene expression and influences cellular proliferation and differentiation in target tissues. Its transcription factor activity can be modulated by coactivator and corepressor proteins, such as ZBTB7A, which recruits NCOR1 and NCOR2 to androgen response elements on target genes, thereby negatively regulating androgen receptor signaling and androgen-induced cell proliferation. The transcription activation can also be down-regulated by NR0B2. The protein is activated, though not phosphorylated, by HIPK3 and ZIPK/DAPK3. Notably, isoforms 3 and 4 of this protein lack the C-terminal ligand-binding domain and may thus constitutively activate transcription of specific gene sets independently of steroid hormones. This supplementary information is collated from multiple sources and compiled automatically.
See full target information AR

Product promise

We are committed to supporting your work with high-quality reagents, and we're here for you every step of the way. In the unlikely event that one of our products does not perform as expected, you're protected by our Product Promise.
For full details, please see our Terms & Conditions

Please note: All products are 'FOR RESEARCH USE ONLY. NOT FOR USE IN DIAGNOSTIC OR THERAPEUTIC PROCEDURES'.

For licensing inquiries, please contact partnerships@abcam.com