JavaScript is disabled in your browser. Please enable JavaScript to view this website.
AB200827

Anti-Androgen receptor variant 5,6,7es antibody [EPR15657]

3

(2 Reviews)

|

(5 Publications)

Rabbit Recombinant Monoclonal Androgen receptor variant 5,6,7es antibody. Suitable for WB, IHC-P and reacts with Human samples. Cited in 5 publications.

View Alternative Names

AR, AR-FL, AR-V567es, AR-Vs, Androgen receptor splice variants

6 Images
Immunohistochemistry (Formalin/PFA-fixed paraffin-embedded sections) - Anti-Androgen receptor variant 5,6,7es antibody [EPR15657] (AB200827)
  • IHC-P

Supplier Data

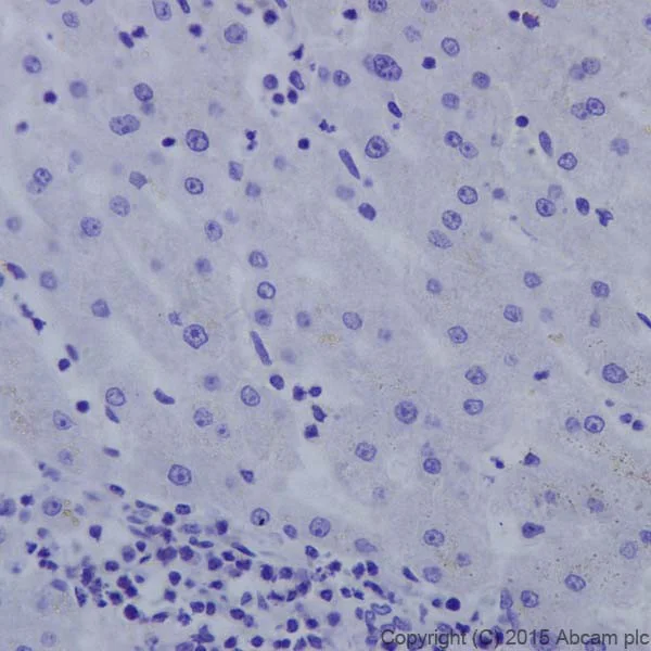
Immunohistochemistry (Formalin/PFA-fixed paraffin-embedded sections) - Anti-Androgen receptor variant 5,6,7es antibody [EPR15657] (AB200827)

Immunohistochemical analysis of paraffin-embedded Human liver tissue labeling Androgen receptor variant 567es with ab200827 at 1/500 dilution followed by Goat Anti-Rabbit IgG H&L (HRP) (ab97051) secondary antibody at 1/500 dilution. Negative on Human liver tissue. Counter stained with Hematoxylin.

Secondary antibody only control : Used PBS instead of primary antibody secondary antibody is Goat Anti-Rabbit IgG H&L (HRP) (ab97051) at 1/500 dilution.

Perform heat mediated antigen retrieval with Tris/EDTA buffer pH 9.0 before commencing with IHC staining protocol.

Immunohistochemistry (Formalin/PFA-fixed paraffin-embedded sections) - Anti-Androgen receptor variant 5,6,7es antibody [EPR15657] (AB200827)
  • IHC-P

Supplier Data

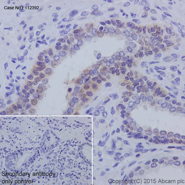
Immunohistochemistry (Formalin/PFA-fixed paraffin-embedded sections) - Anti-Androgen receptor variant 5,6,7es antibody [EPR15657] (AB200827)

Immunohistochemical analysis of paraffin-embedded Human prostate cancer tissue labeling Androgen receptor variant 567es with ab200827 at 1/500 dilution followed by Goat Anti-Rabbit IgG H&L (HRP) (ab97051) secondary antibody at 1/500 dilution. Cytoplasmic and nuclear staining on Human prostate cancer tissue is observed. Counter stained with Hematoxylin.

Secondary antibody only control : Used PBS instead of primary antibody secondary antibody is Goat Anti-Rabbit IgG H&L (HRP) (ab97051) at 1/500 dilution.

Perform heat mediated antigen retrieval with Tris/EDTA buffer pH 9.0 before commencing with IHC staining protocol.

Immunohistochemistry (Formalin/PFA-fixed paraffin-embedded sections) - Anti-Androgen receptor variant 5,6,7es antibody [EPR15657] (AB200827)
  • IHC-P

Supplier Data

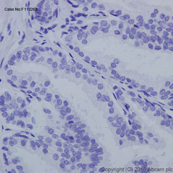
Immunohistochemistry (Formalin/PFA-fixed paraffin-embedded sections) - Anti-Androgen receptor variant 5,6,7es antibody [EPR15657] (AB200827)

Immunohistochemical analysis of paraffin-embedded Human prostate cancer tissue labeling Androgen receptor variant 567es with ab200827 at 1/500 dilution followed by Goat Anti-Rabbit IgG H&L (HRP) (ab97051) secondary antibody at 1/500 dilution. Negative on Human prostate cancer. Counter stained with Hematoxylin.

Secondary antibody only control : Used PBS instead of primary antibody secondary antibody is Goat Anti-Rabbit IgG H&L (HRP) (ab97051) at 1/500 dilution.

Perform heat mediated antigen retrieval with Tris/EDTA buffer pH 9.0 before commencing with IHC staining protocol.

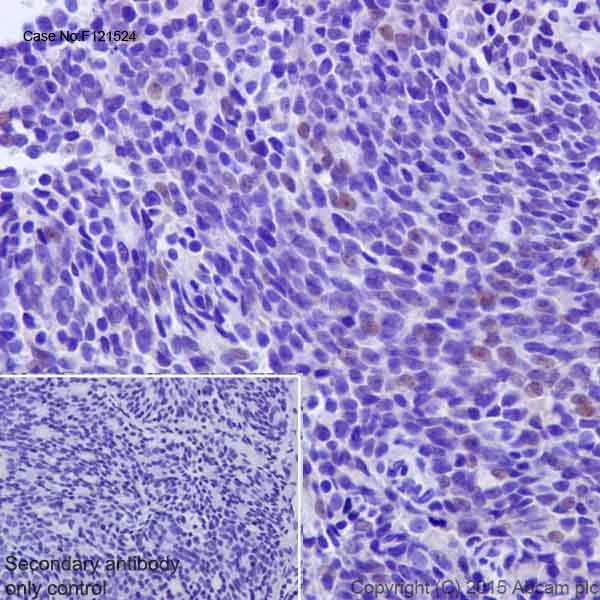
Immunohistochemistry (Formalin/PFA-fixed paraffin-embedded sections) - Anti-Androgen receptor variant 5,6,7es antibody [EPR15657] (AB200827)
  • IHC-P

Supplier Data

Immunohistochemistry (Formalin/PFA-fixed paraffin-embedded sections) - Anti-Androgen receptor variant 5,6,7es antibody [EPR15657] (AB200827)

Immunohistochemical analysis of paraffin-embedded Human prostate cancer tissue labeling Androgen receptor variant 567es with ab200827 at 1/500 dilution followed by Goat Anti-Rabbit IgG H&L (HRP) (ab97051) secondary antibody at 1/500 dilution. Cytoplasmic and nuclear staining on Human prostate cancer tissue is observed. Counter stained with Hematoxylin.

Secondary antibody only control : Used PBS instead of primary antibody secondary antibody is Goat Anti-Rabbit IgG H&L (HRP) (ab97051) at 1/500 dilution.

Perform heat mediated antigen retrieval with Tris/EDTA buffer pH 9.0 before commencing with IHC staining protocol.

Western blot - Anti-Androgen receptor variant 5,6,7es antibody [EPR15657] (AB200827)
  • WB

Supplier Data

Western blot - Anti-Androgen receptor variant 5,6,7es antibody [EPR15657] (AB200827)

Blocking/Dilution buffer : 5% NFDM/TBST.

All lanes:

Western blot - Anti-Androgen receptor variant 5,6,7es antibody [EPR15657] (ab200827) at 1/1000 dilution

Lane 1:

Human fetal liver tissue lysate at 10 µg

Lane 2:

PC-3 (Human prostate adenocarcinoma cell line) whole cell lysate at 10 µg

Lane 3:

LNCaP (Human prostate cancer cell line) whole cell lysate at 10 µg

Lane 4:

T-47D (Human ductal breast epithelial tumor cell line) whole cell lysate at 10 µg

Lane 5:

Human prostate tissue lysate at 10 µg

Secondary

All lanes:

Goat Anti-Rabbit IgG, (H+L), Peroxidase conjugated at 1/1000 dilution

Predicted band size: 77 kDa

false

Exposure time: 3min

Western blot - Anti-Androgen receptor variant 5,6,7es antibody [EPR15657] (AB200827)
  • WB

Supplier Data

Western blot - Anti-Androgen receptor variant 5,6,7es antibody [EPR15657] (AB200827)

Blocking/Dilution buffer : 5% NFDM/TBST.

Full length ARV567es M12 overexpress lysate containing aa1-739 with 3× DDDDK-tag was supplied by Stephen R. Plymate, M.D. Professor, Department of Medicine, University of Washington, Seattle, WA.

Liu G. et al. 2013. AR variant ARv567es induces carcinogenesis in a novel transgenic mouse model of prostate cancer. Neoplasia 15, 1009-1017.

Cao B. et al. 2014. Androgen receptor splice variants activating the full-length receptor in mediating resistance to androgen-directed therapy. Oncotarget 5, 1646-1656.

All lanes:

Western blot - Anti-Androgen receptor variant 5,6,7es antibody [EPR15657] (ab200827) at 1/10000 dilution

All lanes:

M12-3FARV567es

Secondary

All lanes:

Goat Anti-Rabbit IgG, (H+L), Peroxidase conjugated at 1/1000 dilution

Predicted band size: 77 kDa

Observed band size: 100 kDa

false

Exposure time: 3min

  • Carrier free

    Anti-Androgen receptor variant 5,6,7es antibody [EPR15657] - BSA and Azide free

Key facts

Host species

Rabbit

Clonality

Monoclonal

Clone number

EPR15657

Isotype

IgG

Carrier free

No

Reacts with

Human

Applications

WB, IHC-P

applications

Immunogen

The exact immunogen used to generate this antibody is proprietary information.

Specificity

This ARv567es antibody (Ab200827, clone EPR15657) is a rabbit monoclonal antibody against Human Androgen receptor variant 5,6,7es (aa 700 to the C-terminus). This antibody does not react with AR-FL.

Reactivity data

{ "title": "Reactivity Data", "filters": { "stats": ["", "Species", "Dilution Info", "Notes"], "tabs": { "all-applications": {"fullname" : "All Applications", "shortname": "All Applications"}, "WB" : {"fullname" : "Western blot", "shortname":"WB"}, "IHCP" : {"fullname" : "Immunohistochemistry (Formalin/PFA-fixed paraffin-embedded sections)", "shortname":"IHC-P"} }, "product-promise": { "all": "all", "testedAndGuaranteed": "tested", "guaranteed": "expected", "predicted": "predicted", "notRecommended": "not-recommended" } }, "values": { "Human": { "WB-species-checked": "testedAndGuaranteed", "WB-species-dilution-info": "1/1000 - 1/10000", "WB-species-notes": "<p>It is suggested to use the low dilution in natural material as 1/10,000 is based on over-expressed lysate testing.</p>", "IHCP-species-checked": "testedAndGuaranteed", "IHCP-species-dilution-info": "1/500", "IHCP-species-notes": "<p></p>" } } }

Product details

Anti-ARv567es RabMAb product (Clone EPR15657) has been highlighted in the following poster: Identification of ARv567es expression profile in the prostate cancer clinical samples with a newly developed antibody.

For ARv7 specific RabMAb antibody - see ab198394.

Patented technology
Our RabMAb® technology is a patented hybridoma-based technology for making rabbit monoclonal antibodies. For details on our patents, please refer to RabMAb® patents.

What are the advantages of a recombinant monoclonal antibody?
This product is a recombinant monoclonal antibody, which offers several advantages including:

  • - High batch-to-batch consistency and reproducibility
  • - Improved sensitivity and specificity
  • - Long-term security of supply
  • - Animal-free batch production

For more information, read more on recombinant antibodies.

Properties and storage information

Form
Liquid
Purification technique
Affinity purification Protein A
Storage buffer
pH: 7.2 - 7.4 Preservative: 0.01% Sodium azide Constituents: PBS, 40% Glycerol (glycerin, glycerine), 0.05% BSA
Shipped at conditions
Blue Ice
Appropriate short-term storage duration
1-2 weeks
Appropriate short-term storage conditions
+4°C
Appropriate long-term storage conditions
-20°C
Aliquoting information
Upon delivery aliquot
Storage information
Avoid freeze / thaw cycle

Supplementary information

This supplementary information is collated from multiple sources and compiled automatically.

The androgen receptor variant 567es often shortened to AR-V567es is a splice variant of the androgen receptor (AR) integral in regulating gene expression in response to androgens. This receptor plays a role in the signal transduction of androgens like testosterone and dihydrotestosterone. The molecular weight of this variant is around 110 kDa. AR-V567es lacks the ligand-binding domain present in the full-length androgen receptor which enables its activity even in the absence of natural androgens. This variant expresses mainly in prostate tissue and some other tissues sensitive to androgens.
Biological function summary

The androgen receptor variant 567es acts as a transcription factor influencing a range of cellular processes including proliferation and survival. It remains involved in the androgen receptor signaling axis playing a vital role even when standard androgen receptor pathways are downregulated or inhibited. Although it functions independently AR-V567es may interact with other coregulators to influence gene regulation. It does not form part of a larger protein complex but works independently to modulate specific androgen-responsive genes maintaining cellular growth and differentiation signals.

Pathways

This androgen receptor variant engages in the androgen receptor signaling pathway which remains fundamental for the development and function of male characteristics. It is also critical in maintaining the proliferation of prostate cells. Related proteins in these pathways include the full-length androgen receptor and the steroid receptor coactivators which help modulate gene expression. The absence of a traditional ligand-binding domain in AR-V567es confers distinct roles compared to its ligand-dependent counterparts.

Androgen receptor variant 567es is notably linked to prostate cancer where it contributes to the progression of castration-resistant prostate cancer (CRPC). This variant's ability to be active without typical androgen binding enables continued cancer cell survival and proliferation despite androgen-deprivation therapies. Additionally the presence of AR-V567es connects with alterations in the androgen receptor network where it interacts with other variant receptors to drive resistance to conventional anti-androgen treatments. This makes it a significant target for developing new therapeutic strategies against CRPC.

Product protocols

For this product, it's our understanding that no specific protocols are required. You can visit:

Publications (5)

Recent publications for all applications. Explore the full list and refine your search

Advanced science (Weinheim, Baden-Wurttemberg, Germany) 9:e2201859 PubMed35971165

2022

De Novo Design of an Androgen Receptor DNA Binding Domain-Targeted peptide PROTAC for Prostate Cancer Therapy.

Applications

Unspecified application

Species

Unspecified reactive species

Bohan Ma,Yizeng Fan,Dize Zhang,Yi Wei,Yanlin Jian,Donghua Liu,Zixi Wang,Yang Gao,Jian Ma,Yule Chen,Shan Xu,Lei Li

Cell death & disease 13:626 PubMed35853851

2022

N-glycosylation of GDF15 abolishes its inhibitory effect on EGFR in AR inhibitor-resistant prostate cancer cells.

Applications

Unspecified application

Species

Unspecified reactive species

Rong Wang,Piaopiao Wen,Ganglong Yang,Yanyan Feng,Yuanyuan Mi,Xiaoying Wang,Shenglong Zhu,Yong Q Chen

PeerJ 6:e4661 PubMed29682426

2018

Replication study: androgen receptor splice variants determine taxane sensitivity in prostate cancer.

Applications

Unspecified application

Species

Unspecified reactive species

Xiaochuan Shan,Gwenn Danet-Desnoyers,Fraser Aird,Irawati Kandela,Rachel Tsui,Nicole Perfito,Elizabeth Iorns

Scientific reports 8:163 PubMed29317749

2018

Determining direct binders of the Androgen Receptor using a high-throughput Cellular Thermal Shift Assay.

Applications

Unspecified application

Species

Unspecified reactive species

Joseph Shaw,Mathew Leveridge,Charlotta Norling,Jakob Karén,Daniel Martinez Molina,Daniel O'Neill,James E Dowling,Paul Davey,Suzanna Cowan,Michael Dabrowski,Martin Main,Davide Gianni

PeerJ 3:e1232 PubMed26401448

2015

Registered report: androgen receptor splice variants determine taxane sensitivity in prostate cancer.

Applications

WB

Species

Unspecified reactive species

Xiaochuan Shan,Gwenn Danet-Desnoyers,Juan José Fung,Alan H Kosaka,Fraser Tan,Nicole Perfito,Joelle Lomax,Elizabeth Iorns
View all publications

Product promise

We are committed to supporting your work with high-quality reagents, and we're here for you every step of the way. In the unlikely event that one of our products does not perform as expected, you're protected by our Product Promise.
For full details, please see our Terms & Conditions

Please note: All products are 'FOR RESEARCH USE ONLY. NOT FOR USE IN DIAGNOSTIC OR THERAPEUTIC PROCEDURES'.

For licensing inquiries, please contact partnerships@abcam.com