JavaScript is disabled in your browser. Please enable JavaScript to view this website.
AB324526

Anti-Angiogenin antibody [EPR29570-541]

Be the first to review this product! Submit a review

|

(0 Publication)

Rabbit Recombinant Monoclonal Angiogenin antibody. Suitable for WB, IHC-P and reacts with Transfected cell lysate - Mouse, Human samples.

View Alternative Names

RNASE5, ANG, Angiogenin, Ribonuclease 5, RNase 5

8 Images
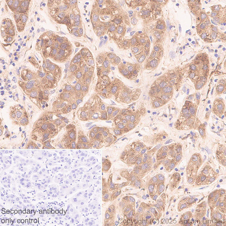
Immunohistochemistry (Formalin/PFA-fixed paraffin-embedded sections) - Anti-Angiogenin antibody [EPR29570-541] (AB324526)
  • IHC-P

Supplier Data

Immunohistochemistry (Formalin/PFA-fixed paraffin-embedded sections) - Anti-Angiogenin antibody [EPR29570-541] (AB324526)

Immunohistochemical analysis of paraffin-embedded Human hepatic carcinoma tissue labeling Angiogenin with ab324526 at 1/500 (0.99 ug/ml) dilution, followed by a ready to use LeicaDS9800 (Bond™ Polymer Refine Detection).

Positive staining on human hepatic carcinoma (PMID 25567797). The primary antibody was incubated for 30 mins at room temperature.
The immunostaining was performed on a Leica Biosystems BOND® RX instrument

Counterstained with Hematoxylin.

Secondary antibody only control : Secondary antibody is a ready to use LeicaDS9800 (Bond™ Polymer Refine Detection).

Heat mediated antigen retrieval was performed with Tris-EDTA buffer (pH 9.0, Epitope Retrieval Solution2) for 20 mins

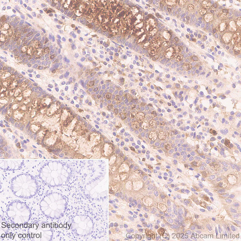
Immunohistochemistry (Formalin/PFA-fixed paraffin-embedded sections) - Anti-Angiogenin antibody [EPR29570-541] (AB324526)
  • IHC-P

Supplier Data

Immunohistochemistry (Formalin/PFA-fixed paraffin-embedded sections) - Anti-Angiogenin antibody [EPR29570-541] (AB324526)

Immunohistochemical analysis of paraffin-embedded Human colon tissue labeling Angiogenin with ab324526 at 1/500 (0.99 ug/ml) dilution, followed by a ready to use LeicaDS9800 (Bond™ Polymer Refine Detection).

Positive staining on human colon (PMID : 32510170). The primary antibody was incubated for 30 mins at room temperature.
The immunostaining was performed on a Leica Biosystems BOND® RX instrument

Counterstained with Hematoxylin.

Secondary antibody only control : Secondary antibody is a ready to use LeicaDS9800 (Bond™ Polymer Refine Detection).

Heat mediated antigen retrieval was performed with Tris-EDTA buffer (pH 9.0, Epitope Retrieval Solution2) for 20 mins

Immunohistochemistry (Formalin/PFA-fixed paraffin-embedded sections) - Anti-Angiogenin antibody [EPR29570-541] (AB324526)
  • IHC-P

Supplier Data

Immunohistochemistry (Formalin/PFA-fixed paraffin-embedded sections) - Anti-Angiogenin antibody [EPR29570-541] (AB324526)

Immunohistochemical analysis of paraffin-embedded Human spleen tissue labeling Angiogenin with ab324526 at 1/500 (0.99 ug/ml) dilution, followed by a ready to use LeicaDS9800 (Bond™ Polymer Refine Detection).

Low expression : weak staining on human spleen. The primary antibody was incubated for 30 mins at room temperature.
The immunostaining was performed on a Leica Biosystems BOND® RX instrument

Counterstained with Hematoxylin.

Secondary antibody only control : Secondary antibody is a ready to use LeicaDS9800 (Bond™ Polymer Refine Detection).

Heat mediated antigen retrieval was performed with Tris-EDTA buffer (pH 9.0, Epitope Retrieval Solution2) for 20 mins

Immunohistochemistry (Formalin/PFA-fixed paraffin-embedded sections) - Anti-Angiogenin antibody [EPR29570-541] (AB324526)
  • IHC-P

Supplier Data

Immunohistochemistry (Formalin/PFA-fixed paraffin-embedded sections) - Anti-Angiogenin antibody [EPR29570-541] (AB324526)

Immunohistochemical analysis of paraffin-embedded (A) Untreated HepG2 (human hepatocellular carcinoma epithelial cell) cell pellet, (B) HepG2 treated with 300 ng/ml BFA for 24 hours cell pellet, (C) Untreated Daudi (human Burkitt's lymphoma lymphoblast) cell pellet and (D) Daudi treated with 300 ng/ml BFA for 24 hours cell pellet labeling Angiogenin with ab324526 at 1/1000 (0.99 ug/ml) dilution, followed by a ready to use LeicaDS9800 (Bond™ Polymer Refine Detection).

Weak positive on (A) Untreated HepG2 cell pellet, positive staining on (B) HepG2 treated with 300 ng/ml BFA for 24 hours cell pellet, no staining on (C) Untreated Daudi cell pellet, and (D) Daudi treated with 300 ng/ml BFA for 24 hours cell pellet. The primary antibody was incubated for 30 mins at room temperature.
The immunostaining was performed on a Leica Biosystems BOND® RX instrument

Counterstained with Hematoxylin.

Secondary antibody only control : Secondary antibody is a ready to use LeicaDS9800 (Bond™ Polymer Refine Detection).

Heat mediated antigen retrieval was performed with Tris-EDTA buffer (pH 9.0, Epitope Retrieval Solution2) for 20 mins

Immunohistochemistry (Formalin/PFA-fixed paraffin-embedded sections) - Anti-Angiogenin antibody [EPR29570-541] (AB324526)
  • IHC-P

Supplier Data

Immunohistochemistry (Formalin/PFA-fixed paraffin-embedded sections) - Anti-Angiogenin antibody [EPR29570-541] (AB324526)

Immunohistochemical analysis of paraffin-embedded Human liver tissue labeling Angiogenin with ab324526 at 1/500 (0.99 ug/ml) dilution, followed by a ready to use LeicaDS9800 (Bond™ Polymer Refine Detection).

Positive staining on human liver. The primary antibody was incubated for 30 mins at room temperature.
The immunostaining was performed on a Leica Biosystems BOND® RX instrument

Counterstained with Hematoxylin.

Secondary antibody only control : Secondary antibody is a ready to use LeicaDS9800 (Bond™ Polymer Refine Detection).

Heat mediated antigen retrieval was performed with Tris-EDTA buffer (pH 9.0, Epitope Retrieval Solution2) for 20 mins

Western blot - Anti-Angiogenin antibody [EPR29570-541] (AB324526)
  • WB

Supplier Data

Western blot - Anti-Angiogenin antibody [EPR29570-541] (AB324526)

Blocking and diluting buffer and concentration : 5% NFDM/TBST.

Low expression : Daudi, Ramos

In Western blot, Anti-GAPDH antibody [EPR16891] - Loading Control (ab181602) staining at 1/200000 dilution.

All lanes:

Western blot - Anti-Angiogenin antibody [EPR29570-541] (ab324526) at 1/1000 dilution

Lane 1:

Untreated HepG2 (human hepatocellular carcinoma epithelial cell) whole cell lysate at 20 µg

Lane 2:

HepG2 treated with 300 ng/ml BFA for 24 hours whole cell lysate at 20 µg

Lane 3:

Untreated A549 (human lung carcinoma epithelial cell) whole cell lysate at 20 µg

Lane 4:

A549 treated with 300 ng/ml BFA for 24 hours whole cell lysate at 20 µg

Lane 5:

Untreated Daudi (human Burkitt's lymphoma lymphoblast) whole cell lysate at 20 µg

Lane 6:

Daudi treated with 300 ng/ml BFA for 24 hours whole cell lysate at 20 µg

Lane 7:

Untreated Ramos (human Burkitt's lymphoma B lymphocyte) whole cell lysate at 20 µg

Lane 8:

Ramos treated with 300 ng/ml BFA for 24 hours whole cell lysate at 20 µg

Secondary

All lanes:

Western blot - Goat Anti-Rabbit IgG H&L (HRP) (<a href='/en-us/products/secondary-antibodies/goat-rabbit-igg-h-l-hrp-ab97051'>ab97051</a>) at 1/20000 dilution

Observed band size: 14 kDa,36 kDa

false

Exposure time: 48s

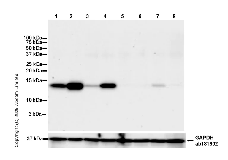
Western blot - Anti-Angiogenin antibody [EPR29570-541] (AB324526)
  • WB

Supplier Data

Western blot - Anti-Angiogenin antibody [EPR29570-541] (AB324526)

Blocking and diluting buffer and concentration : 5% NFDM/TBST.

Low expression : spleen, cerebellum

The identity of the higher MW band at approximately 100 kDa (in lane 3 and lane 4) is unknown.

In Western blot, Anti-GAPDH antibody [EPR16891] - Loading Control (ab181602) staining at 1/200000 dilution.

All lanes:

Western blot - Anti-Angiogenin antibody [EPR29570-541] (ab324526) at 1/1000 dilution

Lane 1:

Human colon tissue lysate at 20 µg

Lane 2:

Human spleen tissue lysate at 20 µg

Lane 3:

Human cerebellum tissue lysate at 20 µg

Lane 4:

Human liver tissue lysate at 20 µg

Secondary

All lanes:

Western blot at 1/2000 dilution

Observed band size: 14 kDa,36 kDa

false

Exposure time: 26s

Western blot - Anti-Angiogenin antibody [EPR29570-541] (AB324526)
  • WB

Supplier Data

Western blot - Anti-Angiogenin antibody [EPR29570-541] (AB324526)

Blocking and diluting buffer and concentration : 5% NFDM/TBST.

This antibody does not cross-react with overexpressed mouse Angiopoietin 2, Angiopoietin 3 and Angiopoietin 4 by western blot.

In Western blot, Anti-GAPDH antibody [EPR16891] - Loading Control (ab181602) staining at 1/200000 dilution.

All lanes:

Western blot - Anti-Angiogenin antibody [EPR29570-541] (ab324526) at 1/1000 dilution

Lane 1:

293T cells transfected with an empty vector containing a myc-His-tag®, whole cell lysate at 20 µg

Lane 2:

293T cells transfected with a human Angiogenin expression vector containing a myc-His-tag®, whole cell lysate at 20 µg

Lane 3:

293T cells transfected with a mouse Angiopoietin 2 expression vector containing a myc-His-tag®, whole cell lysate at 20 µg

Lane 4:

293T cells transfected with a mouse Angiopoietin 3 expression vector containing a myc-His-tag®, whole cell lysate at 20 µg

Lane 5:

293T cells transfected with a mouse Angiopoietin 4 expression vector containing a myc-His-tag®, whole cell lysate at 20 µg

Secondary

All lanes:

Western blot - Goat Anti-Rabbit IgG H&L (HRP) (<a href='/en-us/products/secondary-antibodies/goat-rabbit-igg-h-l-hrp-ab97051'>ab97051</a>) at 1/20000 dilution

Observed band size: 14 kDa,36 kDa

false

Exposure time: 3s

Key facts

Host species

Rabbit

Clonality

Monoclonal

Clone number

EPR29570-541

Isotype

IgG

Carrier free

No

Reacts with

Human

Applications

IHC-P, WB

applications

Immunogen

The exact immunogen used to generate this antibody is proprietary information.

Reactivity data

{ "title": "Reactivity Data", "filters": { "stats": ["", "Species", "Dilution Info", "Notes"], "tabs": { "all-applications": {"fullname" : "All Applications", "shortname": "All Applications"}, "WB" : {"fullname" : "Western blot", "shortname":"WB"}, "IHCP" : {"fullname" : "Immunohistochemistry (Formalin/PFA-fixed paraffin-embedded sections)", "shortname":"IHC-P"}, "ICCIF" : {"fullname" : "Immunocytochemistry/ Immunofluorescence", "shortname":"ICC/IF"} }, "product-promise": { "all": "all", "testedAndGuaranteed": "tested", "guaranteed": "expected", "predicted": "predicted", "notRecommended": "not-recommended" } }, "values": { "Human": { "WB-species-checked": "testedAndGuaranteed", "WB-species-dilution-info": "1/1000", "WB-species-notes": "<p></p>", "IHCP-species-checked": "testedAndGuaranteed", "IHCP-species-dilution-info": "1/500", "IHCP-species-notes": "<p></p> Perform heat-mediated antigen retrieval with Tris/EDTA buffer pH 9.0 before commencing with IHC staining protocol.", "ICCIF-species-checked": "notRecommended", "ICCIF-species-dilution-info": "", "ICCIF-species-notes": "<p></p>" }, "Transfected cell lysate - Mouse": { "WB-species-checked": "testedAndGuaranteed", "WB-species-dilution-info": "1/1000", "WB-species-notes": "<p></p>", "IHCP-species-checked": "notRecommended", "IHCP-species-dilution-info": "", "IHCP-species-notes": "", "ICCIF-species-checked": "notRecommended", "ICCIF-species-dilution-info": "", "ICCIF-species-notes": "" } } }

Product details

Patented technology
Our RabMAb® technology is a patented hybridoma-based technology for making rabbit monoclonal antibodies. For details on our patents, please refer to RabMAb® patents.

What are the advantages of a recombinant monoclonal antibody?
This product is a recombinant monoclonal antibody, which offers several advantages including:

  • - High batch-to-batch consistency and reproducibility
  • - Improved sensitivity and specificity
  • - Long-term security of supply
  • - Animal-free batch production

For more information, read more on recombinant antibodies.

Properties and storage information

Form
Liquid
Purification technique
Affinity purification Protein A
Storage buffer
pH: 7.2 - 7.4 Preservative: 0.01% Sodium azide Constituents: PBS, 40% Glycerol (glycerin, glycerine), 0.05% BSA
Shipped at conditions
Blue Ice
Appropriate short-term storage duration
1-2 weeks
Appropriate short-term storage conditions
+4°C
Appropriate long-term storage conditions
-20°C
Aliquoting information
Upon delivery aliquot
Storage information
Avoid freeze / thaw cycle

Product protocols

For this product, it's our understanding that no specific protocols are required. You can visit:

Target data

Secreted ribonuclease that can either promote or restrict cell proliferation of target cells, depending on the context (PubMed : 12051708, PubMed : 1400510, PubMed : 19332886, PubMed : 20129916, PubMed : 21855800, PubMed : 23047679, PubMed : 23843625, PubMed : 2424496, PubMed : 2459697, PubMed : 2730651, PubMed : 27518564, PubMed : 28176817, PubMed : 29100074, PubMed : 29748193, PubMed : 3122207, PubMed : 32510170, PubMed : 38718836, PubMed : 8159680, PubMed : 8570639, PubMed : 8622921, PubMed : 9578571). Endocytosed in target cells via its receptor PLXNB2 and translocates to the cytoplasm or nucleus (PubMed : 29100074, PubMed : 32510170). Under stress conditions, localizes to the cytoplasm and promotes the assembly of stress granules (SGs) : specifically cleaves a subset of tRNAs within anticodon loops to produce tRNA-derived stress-induced fragments (tiRNAs), resulting in translation repression and inhibition of cell proliferation (PubMed : 1400510, PubMed : 19332886, PubMed : 20129916, PubMed : 21855800, PubMed : 23047679, PubMed : 27518564, PubMed : 29100074, PubMed : 29748193, PubMed : 32510170, PubMed : 38718836). tiRNas also prevent formation of apoptosome, thereby promoting cell survival (By similarity). Preferentially cleaves RNAs between a pyrimidine and an adenosine residue, suggesting that it cleaves the anticodon loop of tRNA(Ala) (32-UUAGCAU-38) after positions 33 and 36 (PubMed : 3289612, PubMed : 38718836). Cleaves a subset of tRNAs, including tRNA(Ala), tRNA(Glu), tRNA(Gly), tRNA(Lys), tRNA(Val), tRNA(His), tRNA(Asp) and tRNA(Sec) (PubMed : 31582561). Under growth conditions and in differentiated cells, translocates to the nucleus and stimulates ribosomal RNA (rRNA) transcription, including that containing the initiation site sequences of 45S rRNA, thereby promoting cell growth and proliferation (PubMed : 12051708, PubMed : 15735021, PubMed : 27518564, PubMed : 29100074, PubMed : 8127865). Angiogenin induces vascularization of normal and malignant tissues via its ability to promote rRNA transcription (PubMed : 19354288, PubMed : 4074709, PubMed : 8448182). Involved in hematopoietic stem and progenitor cell (HSPC) growth and survival by promoting rRNA transcription in growth conditions and inhibiting translation in response to stress, respectively (PubMed : 27518564). Mediates the crosstalk between myeloid and intestinal epithelial cells to protect the intestinal epithelial barrier integrity : secreted by myeloid cells and promotes intestinal epithelial cells proliferation and survival (PubMed : 32510170). Also mediates osteoclast-endothelial cell crosstalk in growing bone : produced by osteoclasts and protects the neighboring vascular cells against senescence by promoting rRNA transcription (By similarity).
See full target information ANG

Product promise

We are committed to supporting your work with high-quality reagents, and we're here for you every step of the way. In the unlikely event that one of our products does not perform as expected, you're protected by our Product Promise.
For full details, please see our Terms & Conditions

Please note: All products are 'FOR RESEARCH USE ONLY. NOT FOR USE IN DIAGNOSTIC OR THERAPEUTIC PROCEDURES'.

For licensing inquiries, please contact partnerships@abcam.com