JavaScript is disabled in your browser. Please enable JavaScript to view this website.
AB216476

Anti-Angiotensin Converting Enzyme 1 antibody

5

(3 Reviews)

|

(3 Publications)

Rabbit Polyclonal Angiotensin Converting Enzyme 1 antibody. Suitable for WB, IHC-P and reacts with Mouse, Rat samples. Cited in 3 publications. Immunogen corresponding to Synthetic Peptide within Human ACE aa 800-900 conjugated to Keyhole Limpet Haemocyanin.

View Alternative Names

CD143, Dcp1, Ace, Angiotensin-converting enzyme, ACE, Dipeptidyl carboxypeptidase I, Kininase II

2 Images
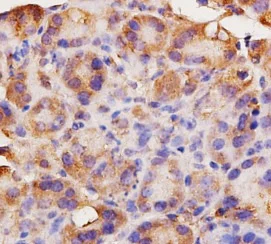
Immunohistochemistry (Formalin/PFA-fixed paraffin-embedded sections) - Anti-Angiotensin Converting Enzyme 1 antibody (AB216476)
  • IHC-P

Supplier Data

Immunohistochemistry (Formalin/PFA-fixed paraffin-embedded sections) - Anti-Angiotensin Converting Enzyme 1 antibody (AB216476)

Immunohistochemical analysis of formalin-fixed paraffin-embedded rat pancreas tissue sections labeling Angiotensin Converting Enzyme 1 with ab216476 at a 1/200 dilution. DAB staining.

Western blot - Anti-Angiotensin Converting Enzyme 1 antibody (AB216476)
  • WB

Supplier Data

Western blot - Anti-Angiotensin Converting Enzyme 1 antibody (AB216476)

All lanes:

Western blot - Anti-Angiotensin Converting Enzyme 1 antibody (ab216476) at 1/300 dilution

Lane 1:

Mouse lung lysates

Lane 2:

Mouse liver lysates

Lane 3:

Mouse adrenal lysates

Secondary

All lanes:

Goat anti-rabbit IgG (H+L), HRP conjugated at 1/5000 dilution

Predicted band size: 150 kDa

false

Key facts

Host species

Rabbit

Clonality

Polyclonal

Isotype

IgG

Carrier free

No

Reacts with

Mouse, Rat

Applications

IHC-P, WB

applications

Immunogen

Synthetic Peptide within Human ACE aa 800-900 conjugated to Keyhole Limpet Haemocyanin. The exact immunogen used to generate this antibody is proprietary information.

P12821

Reactivity data

{ "title": "Reactivity Data", "filters": { "stats": ["", "Species", "Dilution Info", "Notes"], "tabs": { "all-applications": {"fullname" : "All Applications", "shortname": "All Applications"}, "WB" : {"fullname" : "Western blot", "shortname":"WB"}, "IHCP" : {"fullname" : "Immunohistochemistry (Formalin/PFA-fixed paraffin-embedded sections)", "shortname":"IHC-P"} }, "product-promise": { "all": "all", "testedAndGuaranteed": "tested", "guaranteed": "expected", "predicted": "predicted", "notRecommended": "not-recommended" } }, "values": { "Human": { "WB-species-checked": "predicted", "WB-species-dilution-info": "", "WB-species-notes": "", "IHCP-species-checked": "predicted", "IHCP-species-dilution-info": "", "IHCP-species-notes": "" }, "Mouse": { "WB-species-checked": "testedAndGuaranteed", "WB-species-dilution-info": "1/100 - 1/1000", "WB-species-notes": "<p></p>", "IHCP-species-checked": "guaranteed", "IHCP-species-dilution-info": "", "IHCP-species-notes": "" }, "Rat": { "WB-species-checked": "guaranteed", "WB-species-dilution-info": "", "WB-species-notes": "", "IHCP-species-checked": "testedAndGuaranteed", "IHCP-species-dilution-info": "1/100 - 1/500", "IHCP-species-notes": "<p></p>" }, "Cat": { "WB-species-checked": "predicted", "WB-species-dilution-info": "", "WB-species-notes": "", "IHCP-species-checked": "predicted", "IHCP-species-dilution-info": "", "IHCP-species-notes": "" } } }

Properties and storage information

Form
Liquid
Purification technique
Affinity purification Protein A
Storage buffer
pH: 7.4 Preservative: 0.02% Proclin 300 Constituents: 50% Glycerol (glycerin, glycerine), 48.98% TBS, 1X, 1% BSA
Shipped at conditions
Blue Ice
Appropriate short-term storage duration
1-2 weeks
Appropriate short-term storage conditions
+4°C
Appropriate long-term storage conditions
-20°C
Aliquoting information
Upon delivery aliquot
Storage information
Avoid freeze / thaw cycle

Supplementary information

This supplementary information is collated from multiple sources and compiled automatically.

Angiotensin Converting Enzyme 1 also known as ACE1 or ACE is an important enzyme in the renin-angiotensin system. This enzyme exhibits a significant role in blood pressure regulation. ACE1 is a zinc-metallopeptidase with a molecular weight of approximately 130 kDa. It converts angiotensin I into the potent vasoconstrictor angiotensin II a critical function in cardiovascular physiology. ACE1 is widely expressed in endothelial cells particularly in the lungs kidneys and the small intestine.
Biological function summary

The enzyme generates angiotensin II by cleaving angiotensin I. Angiotensin II an important effector peptide impacts cardiovascular and renal systems influencing vasoconstriction and fluid balance. While not directly forming a complex ACE1's activity increases the potency of angiotensin II which binds to angiotensin II receptors to exert its effects therefore indirectly forming a functional signaling complex.

Pathways

ACE1 plays a central role in the renin-angiotensin system and the kallikrein-kinin system. The enzyme's activity boosts angiotensin II production which connects it to the regulation of blood pressure via the renin-angiotensin pathway. ACE1 also indirectly interacts with proteins like bradykinin by degrading them modulating kinin-related functions and influencing inflammation and tension in vascular smooth muscle.

Understanding ACE1 is important for addressing hypertension and congestive heart failure. ACE1's conversion of angiotensin I to angiotensin II means overactivity can cause elevated blood pressure leading to hypertension. This makes ACE inhibitors such as lisinopril and ramipril therapeutic for these conditions. Furthermore its connection with aldosterone production places ACE1 in relevance to heart failure as excessive aldosterone can cause detrimental remodeling of cardiac tissue.

Product protocols

For this product, it's our understanding that no specific protocols are required. You can visit:

Target data

Dipeptidyl carboxypeptidase that removes dipeptides from the C-terminus of a variety of circulating hormones, such as angiotensin I, bradykinin or enkephalins, thereby playing a key role in the regulation of blood pressure, electrolyte homeostasis or synaptic plasticity (PubMed : 11723129, PubMed : 12777443, PubMed : 14757757, PubMed : 16270063, PubMed : 35201898, PubMed : 7753170, PubMed : 8642790, PubMed : 9231832). Composed of two similar catalytic domains, each possessing a functional active site, with different selectivity for substrates (PubMed : 11303049). Plays a major role in the angiotensin-renin system that regulates blood pressure and sodium retention by the kidney by converting angiotensin I to angiotensin II, resulting in an increase of the vasoconstrictor activity of angiotensin (PubMed : 11303049, PubMed : 14757757, PubMed : 9231832). Also able to inactivate bradykinin, a potent vasodilator, and therefore enhance the blood pressure response (By similarity). Acts as a regulator of synaptic transmission by mediating cleavage of neuropeptide hormones, such as substance P, neurotensin or enkephalins (By similarity). Catalyzes degradation of different enkephalin neuropeptides (Met-enkephalin, Leu-enkephalin, Met-enkephalin-Arg-Phe and possibly Met-enkephalin-Arg-Gly-Leu) (PubMed : 35201898). Acts as a regulator of synaptic plasticity in the nucleus accumbens of the brain by mediating cleavage of Met-enkephalin-Arg-Phe, a strong ligand of Mu-type opioid receptor OPRM1, into Met-enkephalin (PubMed : 35201898). Met-enkephalin-Arg-Phe cleavage by ACE decreases activation of OPRM1, leading to long-term synaptic potentiation of glutamate release (PubMed : 35201898). Also acts as a regulator of hematopoietic stem cell differentiation by mediating degradation of hemoregulatory peptide N-acetyl-SDKP (AcSDKP) (PubMed : 11303049). Acts as a regulator of cannabinoid signaling pathway by mediating degradation of hemopressin, an antagonist peptide of the cannabinoid receptor CNR1 (By similarity). Involved in amyloid-beta metabolism by catalyzing degradation of Amyloid-beta protein 40 and Amyloid-beta protein 42 peptides, thereby preventing plaque formation (By similarity). Catalyzes cleavage of cholecystokinin (maturation of Cholecystokinin-8 and Cholecystokinin-5) and Gonadoliberin-1 (both maturation and degradation) hormones (By similarity). Degradation of hemoregulatory peptide N-acetyl-SDKP (AcSDKP) and amyloid-beta proteins is mediated by the N-terminal catalytic domain, while angiotensin I and cholecystokinin cleavage is mediated by the C-terminal catalytic region (PubMed : 11303049).. Angiotensin-converting enzyme, soluble form. Soluble form that is released in blood plasma and other body fluids following proteolytic cleavage in the juxtamembrane stalk region.. Isoform Testis-specific. Isoform produced by alternative promoter usage that is specifically expressed in spermatocytes and adult testis, and which is required for male fertility (PubMed : 1651914, PubMed : 9482924). In contrast to somatic isoforms, only contains one catalytic domain (PubMed : 16270063). Acts as a dipeptidyl carboxypeptidase that removes dipeptides from the C-terminus of substrates (PubMed : 16270063). The identity of substrates that are needed for male fertility is unknown (PubMed : 16270063). Isoform Testis-specific and isoform Somatic have distinct activities and cannot completely compensate for the loss of the other when expressed in somatic tissues or testis (PubMed : 10831599, PubMed : 11723129, PubMed : 12777443, PubMed : 16270063, PubMed : 9664078). May also have a glycosidase activity which releases GPI-anchored proteins from the membrane by cleaving the mannose linkage in the GPI moiety (PubMed : 15665832). The GPIase activity was reported to be essential for the egg-binding ability of the sperm (PubMed : 15665832). This activity is however unclear and has been challenged by other groups, suggesting that it may be indirect (PubMed : 16270063).
See full target information Ace

Publications (3)

Recent publications for all applications. Explore the full list and refine your search

Translational neuroscience 15:20220334 PubMed38623573

2024

The ACE2/Ang-(1-7)/MasR axis alleviates brain injury after cardiopulmonary resuscitation in rabbits by activating PI3K/Akt signaling.

Applications

Unspecified application

Species

Unspecified reactive species

Jing Cheng,Hong Yang,Fang Chen,Li Qiu,Fang Chen,Yanhua Du,Xiangping Meng

Frontiers in pharmacology 11:454 PubMed32410988

2020

Renal Effects of Fetal Reprogramming With Pentaerythritol Tetranitrate in Spontaneously Hypertensive Rats.

Applications

Unspecified application

Species

Unspecified reactive species

Andy W C Man,Min Chen,Zhixiong Wu,Gisela Reifenberg,Andreas Daiber,Thomas Münzel,Ning Xia,Huige Li

Evidence-based complementary and alternative medic 2018:5629342 PubMed30050591

2018

The Effect and Mechanism of Chinese Herbal Formula Sini Tang in Heart Failure after Myocardial Infarction in Rats.

Applications

Unspecified application

Species

Unspecified reactive species

Yuhan Zhu,Jing Zhao,Qingqing Han,Zhen Wang,Zhaobo Wang,Xin Dong,Jiebai Li,Lei Liu,Xiaoxu Shen
View all publications

Product promise

We are committed to supporting your work with high-quality reagents, and we're here for you every step of the way. In the unlikely event that one of our products does not perform as expected, you're protected by our Product Promise.
For full details, please see our Terms & Conditions

Please note: All products are 'FOR RESEARCH USE ONLY. NOT FOR USE IN DIAGNOSTIC OR THERAPEUTIC PROCEDURES'.

For licensing inquiries, please contact partnerships@abcam.com