JavaScript is disabled in your browser. Please enable JavaScript to view this website.
AB222739

Anti-Angiotensin Converting Enzyme 1 antibody [EPR22250-204]

Be the first to review this product! Submit a review

|

(3 Publications)

Rabbit Recombinant Monoclonal Angiotensin Converting Enzyme 1 antibody. Suitable for ELISA, WB, IHC-Fr, IHC-P and reacts with Recombinant fragment - Mouse, Mouse, Rat samples. Cited in 3 publications.

View Alternative Names

CD143, Dcp1, Ace, Angiotensin-converting enzyme, ACE, Dipeptidyl carboxypeptidase I, Kininase II

5 Images
Immunohistochemistry (Frozen sections) - Anti-Angiotensin Converting Enzyme 1 antibody [EPR22250-204] (AB222739)
  • IHC-Fr

Unknown

Immunohistochemistry (Frozen sections) - Anti-Angiotensin Converting Enzyme 1 antibody [EPR22250-204] (AB222739)

Immunohistochemical analysis of 4% paraformaldehyde-fixed, 0.2% Triton X-100 permeabilized frozen mouse kidney tissue labeling Angiotensin Converting Enzyme 1 with ab222739 at 1/100 dilution, followed by Goat Anti-Rabbit IgG H&L (Alexa Fluor® 488) (ab150077) secondary antibody at 1/1000 dilution (green). Positive staining on mouse renal tubules (PMID:25664248) is observed.

The nuclear counter stain is DAPI (blue).

Secondary antibody only control : Used PBS instead of primary antibody, secondary antibody is Goat Anti-Rabbit IgG H&L (Alexa Fluor® 488) (ab150077) secondary antibody at 1/1000 dilution.

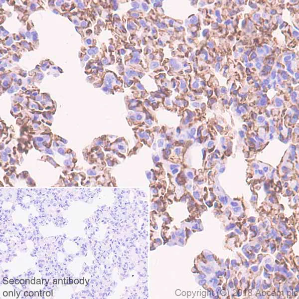
Immunohistochemistry (Formalin/PFA-fixed paraffin-embedded sections) - Anti-Angiotensin Converting Enzyme 1 antibody [EPR22250-204] (AB222739)
  • IHC-P

Unknown

Immunohistochemistry (Formalin/PFA-fixed paraffin-embedded sections) - Anti-Angiotensin Converting Enzyme 1 antibody [EPR22250-204] (AB222739)

Immunohistochemical analysis of paraffin-embedded rat lung tissue labeling Angiotensin Converting Enzyme 1 with ab222739 at 1/500 dilution, followed by Goat Anti-Rabbit IgG H&L (HRP) Ready to use. Positive staining on endothelial cells of rat lung (PMID : 19451697). Counter stained with hematoxylin.

Secondary antibody only control : Used PBS instead of primary antibody, secondary antibody is Goat Anti-Rabbit IgG H&L (HRP) Ready to use.

Perform heat mediated antigen retrieval with Tris/EDTA buffer pH 9.0 before commencing with IHC staining protocol.

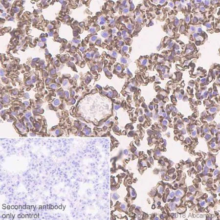
Immunohistochemistry (Formalin/PFA-fixed paraffin-embedded sections) - Anti-Angiotensin Converting Enzyme 1 antibody [EPR22250-204] (AB222739)
  • IHC-P

Unknown

Immunohistochemistry (Formalin/PFA-fixed paraffin-embedded sections) - Anti-Angiotensin Converting Enzyme 1 antibody [EPR22250-204] (AB222739)

Immunohistochemical analysis of paraffin-embedded mouse lung tissue labeling Angiotensin Converting Enzyme 1 with ab222739 at 1/500 dilution, followed by Goat Anti-Rabbit IgG H&L (HRP) Ready to use. Positive staining on endothelial cells of mouse lung (PMID : 19451697). Counter stained with hematoxylin.

Secondary antibody only control : Used PBS instead of primary antibody, secondary antibody is Goat Anti-Rabbit IgG H&L (HRP) Ready to use.

Perform heat mediated antigen retrieval with Tris/EDTA buffer pH 9.0 before commencing with IHC staining protocol.

ELISA - Anti-Angiotensin Converting Enzyme 1 antibody [EPR22250-204] (AB222739)
  • ELISA

Lab

ELISA - Anti-Angiotensin Converting Enzyme 1 antibody [EPR22250-204] (AB222739)

ELISA analysis of Mouse ACE Recombinant Protein recombinant protein at 1000 ng/ml with ab222739. An Alkaline Phosphatase-conjugated AffiniPure Goat Anti-Rabbit IgG (H+L) at 1/2500 dilution was used as the secondary antibody.

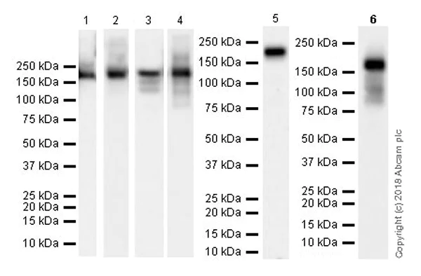
Western blot - Anti-Angiotensin Converting Enzyme 1 antibody [EPR22250-204] (AB222739)
  • WB

Unknown

Western blot - Anti-Angiotensin Converting Enzyme 1 antibody [EPR22250-204] (AB222739)

Exposure time : Lane 1 : 81 seconds; Lane 2 : 26 seconds; Lane 3 : 8 seconds; Lane 4 : 3 seconds; Lane 5 : 48 seconds; Lane 6 : 10 seconds.

Blocking/Dilution buffer : 5% NFDM/TBST.

Apart from the target band at 180-kDa, weak reactivity bands observed could be due to glycosylation (PMID : 24163131).

All lanes:

Western blot - Anti-Angiotensin Converting Enzyme 1 antibody [EPR22250-204] (ab222739) at 1/1000 dilution

Lane 1:

Mouse liver lysate at 10 µg

Lane 2:

Mouse brain lysate at 10 µg

Lane 3:

Mouse heart lysate at 10 µg

Lane 4:

Mouse kidney lysate at 10 µg

Lane 5:

bEnd.3 (mouse brain endothelioma cell line) whole cell lysate at 10 µg

Lane 6:

Mouse lung lysate at 10 µg

Secondary

All lanes:

Western blot - Goat Anti-Rabbit IgG H&L (HRP) (<a href='/en-us/products/secondary-antibodies/goat-rabbit-igg-h-l-hrp-ab97051'>ab97051</a>) at 1/100000 dilution

Predicted band size: 150 kDa

Observed band size: 180 kDa

false

  • Carrier free

    Anti-Angiotensin Converting Enzyme 1 antibody [EPR22250-204] - BSA and Azide free

Key facts

Host species

Rabbit

Clonality

Monoclonal

Clone number

EPR22250-204

Isotype

IgG

Carrier free

No

Reacts with

Mouse, Rat

Applications

WB, IHC-P, ELISA, IHC-Fr

applications

Immunogen

The exact immunogen used to generate this antibody is proprietary information.

Specificity

WB is only recommended for mouse.

Reactivity data

{ "title": "Reactivity Data", "filters": { "stats": ["", "Species", "Dilution Info", "Notes"], "tabs": { "all-applications": {"fullname" : "All Applications", "shortname": "All Applications"}, "ELISA" : {"fullname" : "ELISA", "shortname":"ELISA"}, "WB" : {"fullname" : "Western blot", "shortname":"WB"}, "IHCFr" : {"fullname" : "Immunohistochemistry (Frozen sections)", "shortname":"IHC-Fr"}, "IHCP" : {"fullname" : "Immunohistochemistry (Formalin/PFA-fixed paraffin-embedded sections)", "shortname":"IHC-P"} }, "product-promise": { "all": "all", "testedAndGuaranteed": "tested", "guaranteed": "expected", "predicted": "predicted", "notRecommended": "not-recommended" } }, "values": { "Mouse": { "ELISA-species-checked": "guaranteed", "ELISA-species-dilution-info": "", "ELISA-species-notes": "", "WB-species-checked": "testedAndGuaranteed", "WB-species-dilution-info": "1/1000", "WB-species-notes": "<p></p>", "IHCFr-species-checked": "testedAndGuaranteed", "IHCFr-species-dilution-info": "1/100", "IHCFr-species-notes": "<p>Perform heat mediated antigen retrieval using sodium citrate buffer (10mM citrate pH 6.0 + 0.05% Tween-20).</p>", "IHCP-species-checked": "testedAndGuaranteed", "IHCP-species-dilution-info": "1/500", "IHCP-species-notes": "<p></p>" }, "Rat": { "ELISA-species-checked": "guaranteed", "ELISA-species-dilution-info": "", "ELISA-species-notes": "", "WB-species-checked": "guaranteed", "WB-species-dilution-info": "", "WB-species-notes": "", "IHCFr-species-checked": "guaranteed", "IHCFr-species-dilution-info": "", "IHCFr-species-notes": "", "IHCP-species-checked": "testedAndGuaranteed", "IHCP-species-dilution-info": "1/500", "IHCP-species-notes": "<p></p>" }, "Recombinant fragment - Mouse": { "ELISA-species-checked": "testedAndGuaranteed", "ELISA-species-dilution-info": "", "ELISA-species-notes": "<p></p>", "WB-species-checked": "notRecommended", "WB-species-dilution-info": "", "WB-species-notes": "", "IHCFr-species-checked": "notRecommended", "IHCFr-species-dilution-info": "", "IHCFr-species-notes": "", "IHCP-species-checked": "notRecommended", "IHCP-species-dilution-info": "", "IHCP-species-notes": "" } } }

Product details

Patented technology
Our RabMAb® technology is a patented hybridoma-based technology for making rabbit monoclonal antibodies. For details on our patents, please refer to RabMAb® patents.

What are the advantages of a recombinant monoclonal antibody?
This product is a recombinant monoclonal antibody, which offers several advantages including:

  • - High batch-to-batch consistency and reproducibility
  • - Improved sensitivity and specificity
  • - Long-term security of supply
  • - Animal-free batch production

For more information, read more on recombinant antibodies.

Properties and storage information

Form
Liquid
Purification technique
Affinity purification Protein A
Storage buffer
pH: 7.2 - 7.4 Preservative: 0.01% Sodium azide Constituents: PBS, 40% Glycerol (glycerin, glycerine), 0.05% BSA
Shipped at conditions
Blue Ice
Appropriate short-term storage duration
1-2 weeks
Appropriate short-term storage conditions
+4°C
Appropriate long-term storage conditions
-20°C
Aliquoting information
Upon delivery aliquot
Storage information
Avoid freeze / thaw cycle

Supplementary information

This supplementary information is collated from multiple sources and compiled automatically.

Angiotensin Converting Enzyme 1 also known as ACE1 or ACE is an important enzyme in the renin-angiotensin system. This enzyme exhibits a significant role in blood pressure regulation. ACE1 is a zinc-metallopeptidase with a molecular weight of approximately 130 kDa. It converts angiotensin I into the potent vasoconstrictor angiotensin II a critical function in cardiovascular physiology. ACE1 is widely expressed in endothelial cells particularly in the lungs kidneys and the small intestine.
Biological function summary

The enzyme generates angiotensin II by cleaving angiotensin I. Angiotensin II an important effector peptide impacts cardiovascular and renal systems influencing vasoconstriction and fluid balance. While not directly forming a complex ACE1's activity increases the potency of angiotensin II which binds to angiotensin II receptors to exert its effects therefore indirectly forming a functional signaling complex.

Pathways

ACE1 plays a central role in the renin-angiotensin system and the kallikrein-kinin system. The enzyme's activity boosts angiotensin II production which connects it to the regulation of blood pressure via the renin-angiotensin pathway. ACE1 also indirectly interacts with proteins like bradykinin by degrading them modulating kinin-related functions and influencing inflammation and tension in vascular smooth muscle.

Understanding ACE1 is important for addressing hypertension and congestive heart failure. ACE1's conversion of angiotensin I to angiotensin II means overactivity can cause elevated blood pressure leading to hypertension. This makes ACE inhibitors such as lisinopril and ramipril therapeutic for these conditions. Furthermore its connection with aldosterone production places ACE1 in relevance to heart failure as excessive aldosterone can cause detrimental remodeling of cardiac tissue.

Product protocols

For this product, it's our understanding that no specific protocols are required. You can visit:

Target data

Dipeptidyl carboxypeptidase that removes dipeptides from the C-terminus of a variety of circulating hormones, such as angiotensin I, bradykinin or enkephalins, thereby playing a key role in the regulation of blood pressure, electrolyte homeostasis or synaptic plasticity (PubMed : 11723129, PubMed : 12777443, PubMed : 14757757, PubMed : 16270063, PubMed : 35201898, PubMed : 7753170, PubMed : 8642790, PubMed : 9231832). Composed of two similar catalytic domains, each possessing a functional active site, with different selectivity for substrates (PubMed : 11303049). Plays a major role in the angiotensin-renin system that regulates blood pressure and sodium retention by the kidney by converting angiotensin I to angiotensin II, resulting in an increase of the vasoconstrictor activity of angiotensin (PubMed : 11303049, PubMed : 14757757, PubMed : 9231832). Also able to inactivate bradykinin, a potent vasodilator, and therefore enhance the blood pressure response (By similarity). Acts as a regulator of synaptic transmission by mediating cleavage of neuropeptide hormones, such as substance P, neurotensin or enkephalins (By similarity). Catalyzes degradation of different enkephalin neuropeptides (Met-enkephalin, Leu-enkephalin, Met-enkephalin-Arg-Phe and possibly Met-enkephalin-Arg-Gly-Leu) (PubMed : 35201898). Acts as a regulator of synaptic plasticity in the nucleus accumbens of the brain by mediating cleavage of Met-enkephalin-Arg-Phe, a strong ligand of Mu-type opioid receptor OPRM1, into Met-enkephalin (PubMed : 35201898). Met-enkephalin-Arg-Phe cleavage by ACE decreases activation of OPRM1, leading to long-term synaptic potentiation of glutamate release (PubMed : 35201898). Also acts as a regulator of hematopoietic stem cell differentiation by mediating degradation of hemoregulatory peptide N-acetyl-SDKP (AcSDKP) (PubMed : 11303049). Acts as a regulator of cannabinoid signaling pathway by mediating degradation of hemopressin, an antagonist peptide of the cannabinoid receptor CNR1 (By similarity). Involved in amyloid-beta metabolism by catalyzing degradation of Amyloid-beta protein 40 and Amyloid-beta protein 42 peptides, thereby preventing plaque formation (By similarity). Catalyzes cleavage of cholecystokinin (maturation of Cholecystokinin-8 and Cholecystokinin-5) and Gonadoliberin-1 (both maturation and degradation) hormones (By similarity). Degradation of hemoregulatory peptide N-acetyl-SDKP (AcSDKP) and amyloid-beta proteins is mediated by the N-terminal catalytic domain, while angiotensin I and cholecystokinin cleavage is mediated by the C-terminal catalytic region (PubMed : 11303049).. Angiotensin-converting enzyme, soluble form. Soluble form that is released in blood plasma and other body fluids following proteolytic cleavage in the juxtamembrane stalk region.. Isoform Testis-specific. Isoform produced by alternative promoter usage that is specifically expressed in spermatocytes and adult testis, and which is required for male fertility (PubMed : 1651914, PubMed : 9482924). In contrast to somatic isoforms, only contains one catalytic domain (PubMed : 16270063). Acts as a dipeptidyl carboxypeptidase that removes dipeptides from the C-terminus of substrates (PubMed : 16270063). The identity of substrates that are needed for male fertility is unknown (PubMed : 16270063). Isoform Testis-specific and isoform Somatic have distinct activities and cannot completely compensate for the loss of the other when expressed in somatic tissues or testis (PubMed : 10831599, PubMed : 11723129, PubMed : 12777443, PubMed : 16270063, PubMed : 9664078). May also have a glycosidase activity which releases GPI-anchored proteins from the membrane by cleaving the mannose linkage in the GPI moiety (PubMed : 15665832). The GPIase activity was reported to be essential for the egg-binding ability of the sperm (PubMed : 15665832). This activity is however unclear and has been challenged by other groups, suggesting that it may be indirect (PubMed : 16270063).
See full target information Ace

Publications (3)

Recent publications for all applications. Explore the full list and refine your search

Journal of cell communication and signaling 19:e70048 PubMed41040887

2025

Targeting the PI3K/Akt/NF-κB axis: Cluster of differentiation 5-like-mediated immunometabolic regulation of macrophage polarization in abdominal aortic aneurysm.

Applications

Unspecified application

Species

Unspecified reactive species

Hemoren Yi,Nan Liu,Zhengyang Wu,Lei Li,Tingting Li,Qixiang Liu,Man Duan,Taihu Wan

Virus research 340:199300 PubMed38092254

2023

Angiotensin converting enzyme 2 does not facilitate porcine epidemic diarrhea virus entry into porcine intestinal epithelial cells and inhibits it-induced inflammatory injury by promoting STAT1 phosphorylation.

Applications

Unspecified application

Species

Unspecified reactive species

Zhiqiang Li,Xueqing Chen,Chang Ma,Xinyu Du,Yuanshu Zhang

Journal of nephrology 33:289-297 PubMed31392659

2019

The regulation effect of WNT-RAS signaling in hypothalamic paraventricular nucleus on renal fibrosis.

Applications

Unspecified application

Species

Unspecified reactive species

Guang Zhou,Jiawen Li,Tao Zeng,Peiliang Yang,Aiqing Li
View all publications

Product promise

We are committed to supporting your work with high-quality reagents, and we're here for you every step of the way. In the unlikely event that one of our products does not perform as expected, you're protected by our Product Promise.
For full details, please see our Terms & Conditions

Please note: All products are 'FOR RESEARCH USE ONLY. NOT FOR USE IN DIAGNOSTIC OR THERAPEUTIC PROCEDURES'.

For licensing inquiries, please contact partnerships@abcam.com