JavaScript is disabled in your browser. Please enable JavaScript to view this website.
AB254222

Anti-Angiotensin Converting Enzyme 1 antibody [EPR22291-247]

  • BOND RX™ Validated
  • 20ul selling size
  • RabMAb
  • Advanced Validation
  • Recombinant
  • KO Validated
  • What is this?

5

(1 Review)

|

(26 Publications)

Rabbit Recombinant Monoclonal Angiotensin Converting Enzyme 1 antibody. Suitable for mIHC, I-ELISA, WB, IHC-Fr, IHC-P and reacts with Human, Mouse, Rat, Recombinant fragment - Human samples. Cited in 26 publications.

View Alternative Names

CD143, DCP, DCP1, ACE, Angiotensin-converting enzyme, Dipeptidyl carboxypeptidase I, Kininase II

19 Images
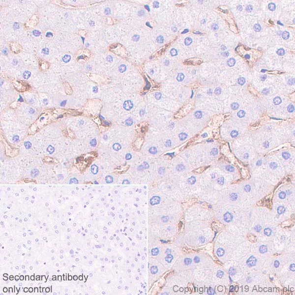
Immunohistochemistry (Formalin/PFA-fixed paraffin-embedded sections) - Anti-Angiotensin Converting Enzyme 1 antibody [EPR22291-247] (AB254222)
  • IHC-P

Unknown

Immunohistochemistry (Formalin/PFA-fixed paraffin-embedded sections) - Anti-Angiotensin Converting Enzyme 1 antibody [EPR22291-247] (AB254222)

Immunohistochemical analysis of paraffin-embedded human liver tissue labeling Angiotensin Converting Enzyme 1 with ab254222 at 1/4000 dilution, followed by Rabbit specific IHC polymer detection kit HRP/DAB (ab209101). Positive staining on blood vessels of human liver (PMID : 175444) is observed. Counter stained with hematoxylin.

Secondary antibody only control : Used PBS instead of primary antibody, secondary antibody is Rabbit specific IHC polymer detection kit HRP/DAB (ab209101).

Heat mediated antigen retrieval with Tris-EDTA buffer (pH 9.0, epitope retrieval solution 2) for 20 mins.

The section was incubated with ab254222 for 30 mins at room temperature.
The immunostaining was performed on a Leica Biosystems BOND® RX instrument.

Immunohistochemistry (Formalin/PFA-fixed paraffin-embedded sections) - Anti-Angiotensin Converting Enzyme 1 antibody [EPR22291-247] (AB254222)
  • IHC-P

Unknown

Immunohistochemistry (Formalin/PFA-fixed paraffin-embedded sections) - Anti-Angiotensin Converting Enzyme 1 antibody [EPR22291-247] (AB254222)

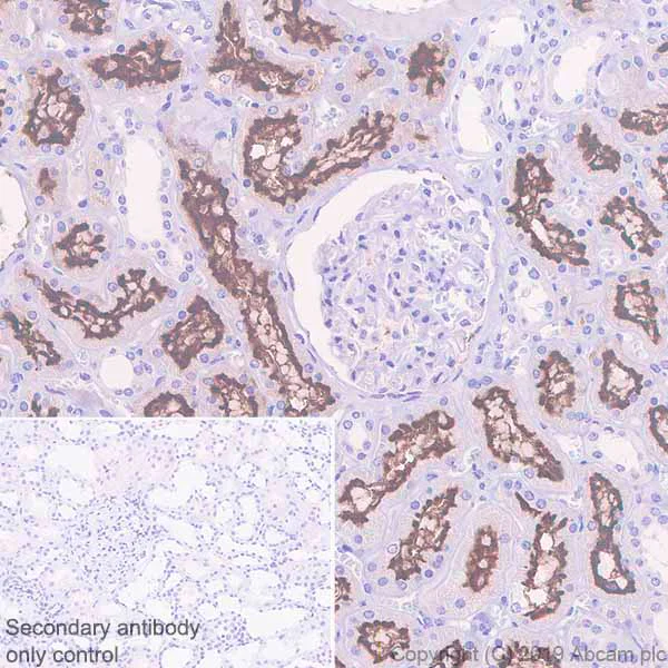
Immunohistochemical analysis of paraffin-embedded human lkidney tissue labeling Angiotensin Converting Enzyme 1 with ab254222 at 1/4000 dilution, followed by Rabbit specific IHC polymer detection kit HRP/DAB (ab209101). Positive staining on proximal tubules of human kidney (PMID : 2828286; PMID : 175444) is observed. Counter stained with hematoxylin.

Secondary antibody only control : Used PBS instead of primary antibody, secondary antibody is Rabbit specific IHC polymer detection kit HRP/DAB (ab209101).

Heat mediated antigen retrieval with Tris-EDTA buffer (pH 9.0, epitope retrieval solution 2) for 20 mins.

The section was incubated with ab254222 for 30 mins at room temperature.
The immunostaining was performed on a Leica Biosystems BOND® RX instrument.

Multiplex immunohistochemistry - Anti-Angiotensin Converting Enzyme 1 antibody [EPR22291-247] (AB254222)
  • mIHC

Lab

Multiplex immunohistochemistry - Anti-Angiotensin Converting Enzyme 1 antibody [EPR22291-247] (AB254222)

Fluorescence multiplex immunohistochemical analysis of the human kidney (Formalin/PFA-fixed paraffin-embedded sections). Panel A : merged staining of anti-Hexokinase 1 (ab150423, green; Opal™690), anti-Angiotensin Converting Enzyme 1 (ab254222, gray; Opal™520) and anti-Aquaporin 2 (ab199975, red; Opal™570) on human kidney. Panel B : anti-Aquaporin 2 stained on collecting tubules. Panel C : anti-Angiotensin Converting Enzyme 1 stained on proximal tubules. Panel D : anti-Hexokinase 1 stained on distal tubules and collecting tubules. Opal Polymer HRP Ms + Rb was used as a secondary antibody. The section was incubated in three rounds of staining : in the order of ab150423 at 1/250 dilution (4.224 μg/ml), ab254222 at 1/4000 dilution (0.141 μg/ml) and ab199975 at 1/4000 dilution (0.152 μg/ml) for 30 mins at room temperature. Each round was followed by a separate fluorescent tyramide signal amplification system. The immunostaining was performed on a Leica Biosystems BOND® RX instrument with an Opal™ 4-color kit. Image acquisition was performed with Leica SP8 confocal microscope. Heat mediated antigen retrieval with Tris-EDTA buffer (pH 9.0, epitope retrieval solution2) for 20 mins. DAPI (blue) was used as a nuclear counter stain.

Multiplex immunohistochemistry - Anti-Angiotensin Converting Enzyme 1 antibody [EPR22291-247] (AB254222)
  • mIHC

Lab

Multiplex immunohistochemistry - Anti-Angiotensin Converting Enzyme 1 antibody [EPR22291-247] (AB254222)

Fluorescence multiplex immunohistochemical analysis of paraffin-embedded Human kidney tissue. Panel A : Merged staining of anti-Hexokinase 1 (gray; Opal™690), anti-Angiotensin Converting Enzyme 1 (green; Opal™520) and anti-Tissue Factor (red; Opal™570) on human kidney. Panel B : Anti-Tissue Factor stained on renal glomeruli. Panel C : Anti-Angiotensin Converting Enzyme 1 stained on proximal tubules. Panel D : Anti-Hexokinase 1 stained on distal tubules. The section was incubated in three rounds of staining : in the order of ab150423, ab254222, and ab252918 for 30 mins at room temperature. Each round was followed by a separate fluorescent tyramide signal amplification system. The immunostaining was performed on a Leica Biosystems BOND® RX instrument with an Opal™ 4-color kit. Image acquisition was performed with Leica SP8 confocal microscope. Heat mediated antigen retrieval with Tris-EDTA buffer (pH 9.0, epitope retrieval solution 2) for 20 mins. Counterstained with DAPI.

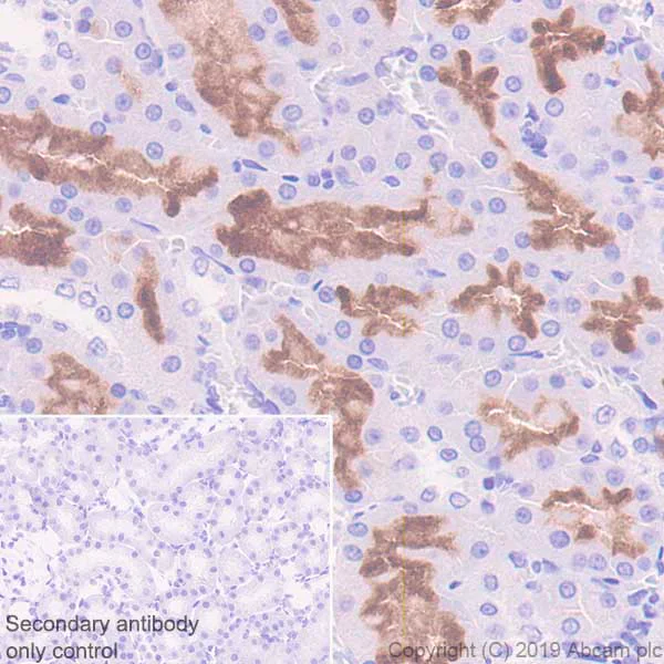
Immunohistochemistry (Formalin/PFA-fixed paraffin-embedded sections) - Anti-Angiotensin Converting Enzyme 1 antibody [EPR22291-247] (AB254222)
  • IHC-P

Unknown

Immunohistochemistry (Formalin/PFA-fixed paraffin-embedded sections) - Anti-Angiotensin Converting Enzyme 1 antibody [EPR22291-247] (AB254222)

Immunohistochemical analysis of paraffin-embedded rat kidney tissue labeling Angiotensin Converting Enzyme 1 with ab254222 at 1/4000 dilution, followed by a Rabbit specific IHC polymer detection kit HRP/DAB (ab209101). Positive staining on proximal tubules of mouse kidney (PMID : 2828286; PMID : 175444) is observed. Counter stained with hematoxylin.

Secondary antibody only control : Used PBS instead of primary antibody, secondary antibody is Rabbit specific IHC polymer detection kit HRP/DAB (ab209101).

Heat mediated antigen retrieval with Tris-EDTA buffer (pH 9.0, epitope retrieval solution 2) for 20 mins.

The section was incubated with ab254222 for 30 mins at room temperature.
The immunostaining was performed on a Leica Biosystems BOND® RX instrument.

Immunohistochemistry (Formalin/PFA-fixed paraffin-embedded sections) - Anti-Angiotensin Converting Enzyme 1 antibody [EPR22291-247] (AB254222)
  • IHC-P

Unknown

Immunohistochemistry (Formalin/PFA-fixed paraffin-embedded sections) - Anti-Angiotensin Converting Enzyme 1 antibody [EPR22291-247] (AB254222)

Immunohistochemical analysis of paraffin-embedded mouse kidney tissue labeling Angiotensin Converting Enzyme 1 with ab254222 at 1/4000 dilution, followed by Rabbit specific IHC polymer detection kit HRP/DAB (ab209101). Positive staining on proximal tubules in mouse kidney (PMID : 2828286; PMID : 175444) is observed. Counter stained with hematoxylin.

Secondary antibody only control : Used PBS instead of primary antibody, secondary antibody is Rabbit specific IHC polymer detection kit HRP/DAB (ab209101).

Heat mediated antigen retrieval with Tris-EDTA buffer (pH 9.0, epitope retrieval solution 2) for 20 mins.

The section was incubated with ab254222 for 30 mins at room temperature.
The immunostaining was performed on a Leica Biosystems BOND® RX instrument.

Multiplex immunohistochemistry - Anti-Angiotensin Converting Enzyme 1 antibody [EPR22291-247] (AB254222)
  • mIHC

Supplier Data

Multiplex immunohistochemistry - Anti-Angiotensin Converting Enzyme 1 antibody [EPR22291-247] (AB254222)

Multiplex immunohistochemistry analysis of formalin/PFA-fixed paraffin-embedded mouse kidney tissue staining GLEPP1/PTPRO with ab322047 at a 1 : 2000 (0.261 ug/ml) dilution, ab316191 anti-SLC12A3 used at 1 : 2000 (0.254 ug/ml) dilution and ab254222 anti-Angiotensin Converting Enzyme 1 used at a 1 : 4000 (0.141 ug/ml) dilution.

Panel A : merged staining of anti-PTPRO (magenta; Opal™690), anti-SCL12A3 (green; Opal™520) and anti-Angiotensin Converting Enzyme 1 (gray; Opal™570) on mouse kidney.
Panel B : anti-PTPRO staining glomerulus in mouse kidney.
Panel C : anti-SCL12A3 staining distal tubules in mouse kidney.
Panel D : anti-Angiotensin Converting Enzyme 1 staining proximal tubules in mouse kidney.
Nuclear DNA was labeled with DAPI (shown in blue).

The section was incubated in three rounds of staining : in the order of ab322047, ab316191 and ab254222 for 30 mins at room temperature. Each round was followed by a separate fluorescent tyramide signal amplification system.

The immunostaining was performed on a Leica Biosystems BOND® RX instrument with an Opal™ 4-color kit. Image acquisition was performed with Leica SP8 confocal microscope.

Nuclear counter stain with DAPI.

Heat mediated antigen retrieval with Tris-EDTA buffer (pH 9.0, epitope retrieval solution2) for 20 mins.

Multiplex immunohistochemistry - Anti-Angiotensin Converting Enzyme 1 antibody [EPR22291-247] (AB254222)
  • mIHC

Supplier Data

Multiplex immunohistochemistry - Anti-Angiotensin Converting Enzyme 1 antibody [EPR22291-247] (AB254222)

Multiplex immunohistochemistry analysis of formalin/PFA-fixed paraffin-embedded rat kidney tissue staining NADPH oxidase 4 with ab319055 at a 1 : 500 (1.032 ug/ml) dilution, ab233837 anti-Hexokinase 1 used at 1 : 250 (4.36 ug/ml) dilution and ab254222 anti-Angiotensin Converting Enzyme 1 used at a 1 : 4000 (0.132 ug/ml) dilution.

Panel A : merged staining of anti-NADPH oxidase 4 (green; Opal™520), anti-Hexokinase 1 (magenta; Opal™690) and anti-Angiotensin Converting Enzyme 1 (yellow; Opal™570) on rat kidney.
Panel B : anti-NADPH oxidase 4 staining distal tubules in rat kidney.
Panel C : anti-Hexokinase 1 staining distal tubules in rat kidney.
Panel D : anti-Angiotensin Converting Enzyme 1 staining proximal tubules in rat kidney.
Nuclear DNA was labeled with DAPI (shown in blue).

The section was incubated in three rounds of staining : in the order of ab319055, ab233837 and ab254222 for 30 mins at room temperature. Each round was followed by a separate fluorescent tyramide signal amplification system.

The immunostaining was performed on a Leica Biosystems BOND® RX instrument with an Opal™ 4-color kit. Image acquisition was performed with Leica SP8 confocal microscope.

Nuclear counter stain with DAPI.

Heat mediated antigen retrieval with Tris-EDTA buffer (pH 9.0, epitope retrieval solution2) for 20 mins.

Multiplex immunohistochemistry - Anti-Angiotensin Converting Enzyme 1 antibody [EPR22291-247] (AB254222)
  • mIHC

Supplier Data

Multiplex immunohistochemistry - Anti-Angiotensin Converting Enzyme 1 antibody [EPR22291-247] (AB254222)

Multiplex immunohistochemistry analysis of formalin/PFA-fixed paraffin-embedded mouse kidney tissue staining NADPH oxidase 4 with ab319055 at a 1 : 500 (1.032 ug/ml) dilution, ab199975 anti-Aquaporin 2 used at 1 : 4000 (0.143 ug/ml) dilution and ab254222 anti-Angiotensin Converting Enzyme 1 used at a 1 : 4000 (0.132 ug/ml) dilution.

Panel A : merged staining of anti-NADPH oxidase 4 (green; Opal™520), anti-Aquaporin 2 (magenta; Opal™690) and anti-Angiotensin Converting Enzyme 1 (yellow; Opal™570) on mouse kidney.
Panel B : anti-NADPH oxidase 4 staining distal tubules in mouse kidney.
Panel C : anti-Aquaporin 2 staining collecting tubules in mouse kidney.
Panel D : anti-Angiotensin Converting Enzyme 1 staining proximal tubules in mouse kidney.
Nuclear DNA was labeled with DAPI (shown in blue).

The section was incubated in three rounds of staining : in the order of ab319055, ab199975 and ab254222 for 30 mins at room temperature. Each round was followed by a separate fluorescent tyramide signal amplification system.

The immunostaining was performed on a Leica Biosystems BOND® RX instrument with an Opal™ 4-color kit. Image acquisition was performed with Leica SP8 confocal microscope.

Nuclear counter stain with DAPI.

Heat mediated antigen retrieval with Tris-EDTA buffer (pH 9.0, epitope retrieval solution2) for 20 mins.

Multiplex immunohistochemistry - Anti-Angiotensin Converting Enzyme 1 antibody [EPR22291-247] (AB254222)
  • mIHC

Supplier Data

Multiplex immunohistochemistry - Anti-Angiotensin Converting Enzyme 1 antibody [EPR22291-247] (AB254222)

Multiplex immunohistochemistry analysis of formalin/PFA-fixed paraffin-embedded rat kidney tissue staining NADPH oxidase 4 with ab319055 at a 1 : 500 (1.032 ug/ml) dilution, ab199975 anti-Aquaporin 2 used at 1 : 4000 (0.143 ug/ml) dilution and ab254222 anti-Angiotensin Converting Enzyme 1 used at a 1 : 4000 (0.132 ug/ml) dilution.

Panel A : merged staining of anti-NADPH oxidase 4 (green; Opal™520), anti-Aquaporin 2 (magenta; Opal™690) and anti-Angiotensin Converting Enzyme 1 (yellow; Opal™570) on rat kidney.
Panel B : anti-NADPH oxidase 4 staining distal tubules in rat kidney.
Panel C : anti-Aquaporin 2 staining collecting tubules in rat kidney.
Panel D : anti-Angiotensin Converting Enzyme 1 staining proximal tubules in rat kidney.
Nuclear DNA was labeled with DAPI (shown in blue).

The section was incubated in three rounds of staining : in the order of ab319055, ab199975 and ab254222 for 30 mins at room temperature. Each round was followed by a separate fluorescent tyramide signal amplification system.

The immunostaining was performed on a Leica Biosystems BOND® RX instrument with an Opal™ 4-color kit. Image acquisition was performed with Leica SP8 confocal microscope.

Nuclear counter stain with DAPI.

Heat mediated antigen retrieval with Tris-EDTA buffer (pH 9.0, epitope retrieval solution2) for 20 mins.

Multiplex immunohistochemistry - Anti-Angiotensin Converting Enzyme 1 antibody [EPR22291-247] (AB254222)
  • mIHC

Supplier Data

Multiplex immunohistochemistry - Anti-Angiotensin Converting Enzyme 1 antibody [EPR22291-247] (AB254222)

Multiplex immunohistochemistry analysis of formalin/PFA-fixed paraffin-embedded mouse kidney tissue staining NADPH oxidase 4 with ab319055 at a 1 : 500 (1.032 ug/ml) dilution, ab233837 anti-Hexokinase 1 used at 1 : 250 (4.36 ug/ml) dilution and ab254222 anti-Angiotensin Converting Enzyme 1 used at a 1 : 4000 (0.132 ug/ml) dilution.

Panel A : merged staining of anti-NADPH oxidase 4 (green; Opal™520), anti-Hexokinase 1 (magenta; Opal™690) and anti-Angiotensin Converting Enzyme 1 (yellow; Opal™570) on mouse kidney.
Panel B : anti-NADPH oxidase 4 staining distal tubules in mouse kidney.
Panel C : anti-Hexokinase 1 staining distal tubules in mouse kidney.
Panel D : anti-Angiotensin Converting Enzyme 1 staining proximal tubules in mouse kidney.
Nuclear DNA was labeled with DAPI (shown in blue).

The section was incubated in three rounds of staining : in the order of ab319055, ab233837 and ab254222 for 30 mins at room temperature. Each round was followed by a separate fluorescent tyramide signal amplification system.

The immunostaining was performed on a Leica Biosystems BOND® RX instrument with an Opal™ 4-color kit. Image acquisition was performed with Leica SP8 confocal microscope.

Nuclear counter stain with DAPI.

Heat mediated antigen retrieval with Tris-EDTA buffer (pH 9.0, epitope retrieval solution2) for 20 mins.

Multiplex immunohistochemistry - Anti-Angiotensin Converting Enzyme 1 antibody [EPR22291-247] (AB254222)
  • mIHC

Supplier Data

Multiplex immunohistochemistry - Anti-Angiotensin Converting Enzyme 1 antibody [EPR22291-247] (AB254222)

Multiplex immunohistochemistry analysis of formalin/PFA-fixed paraffin-embedded mouse kidney tissue staining GLEPP1/PTPRO with ab322047 at a 1 : 2000 (0.261 ug/ml) dilution, ab313640 anti-SLC12A1 used at 1 : 2000 (0.253 ug/ml) dilution and ab254222 anti-Angiotensin Converting Enzyme 1 used at a 1 : 4000 (0.141 ug/ml) dilution.

Panel A : merged staining of anti-PTPRO (magenta; Opal™690), anti-SCL12A1 (green; Opal™520) and anti-Angiotensin Converting Enzyme 1 (gray; Opal™570) on mouse kidney.
Panel B : anti-PTPRO staining glomerulus in mouse kidney.
Panel C : anti-SCL12A1 staining distal tubules in mouse kidney.
Panel D : anti-Angiotensin Converting Enzyme 1 staining proximal tubules in mouse kidney.
Nuclear DNA was labeled with DAPI (shown in blue).

The section was incubated in three rounds of staining : in the order of ab322047, ab313640 and ab254222 for 30 mins at room temperature. Each round was followed by a separate fluorescent tyramide signal amplification system.

The immunostaining was performed on a Leica Biosystems BOND® RX instrument with an Opal™ 4-color kit. Image acquisition was performed with Leica SP8 confocal microscope.

Nuclear counter stain with DAPI.

Heat mediated antigen retrieval with Tris-EDTA buffer (pH 9.0, epitope retrieval solution2) for 20 mins.

Immunohistochemistry (Frozen sections) - Anti-Angiotensin Converting Enzyme 1 antibody [EPR22291-247] (AB254222)
  • IHC-Fr

Unknown

Immunohistochemistry (Frozen sections) - Anti-Angiotensin Converting Enzyme 1 antibody [EPR22291-247] (AB254222)

Immunohistochemical analysis of frozen section of 4% PFA-fixed, 0.2% Triton X-100 permeabilized mouse kidney tissue labeling Angiotensin Converting Enzyme 1 with ab254222 at 1/500 dilution, followed by Goat Anti-Rabbit IgG H&L (Alexa Fluor® 488) (ab150077) at 1/1000 dilution (green). Positive staining on proximal tubules of kidney (PMID : 10504496) is observed. The nuclear counter stain is DAPI (blue).

Secondary antibody only control : Used PBS instead of primary antibody, secondary antibody is Goat Anti-Rabbit IgG H&L (Alexa Fluor® 488) (ab150077) at 1/1000 dilution.

Heat mediated antigen retrieval using sodium citrate buffer (10mM citrate pH 6.0 + 0.05% Tween-20).

Immunohistochemistry (Frozen sections) - Anti-Angiotensin Converting Enzyme 1 antibody [EPR22291-247] (AB254222)
  • IHC-Fr

Unknown

Immunohistochemistry (Frozen sections) - Anti-Angiotensin Converting Enzyme 1 antibody [EPR22291-247] (AB254222)

Immunohistochemical analysis of frozen section of 4% PFA-fixed, 0.2% Triton X-100 permeabilized rat kidney tissue labeling Angiotensin Converting Enzyme 1 with ab254222 at 1/500 dilution, followed by Goat Anti-Rabbit IgG H&L (Alexa Fluor® 488) (ab150077) at 1/1000 dilution (green). Positive staining on proximal tubules of kidney (PMID : 10504496) is observed. The nuclear counter stain is DAPI (blue).

Secondary antibody only control : Used PBS instead of primary antibody, secondary antibody is Goat Anti-Rabbit IgG H&L (Alexa Fluor® 488) (ab150077) at 1/1000 dilution.

Heat mediated antigen retrieval using sodium citrate buffer (10mM citrate pH 6.0 + 0.05% Tween-20).

Western blot - Anti-Angiotensin Converting Enzyme 1 antibody [EPR22291-247] (AB254222)
  • WB

Lab

Western blot - Anti-Angiotensin Converting Enzyme 1 antibody [EPR22291-247] (AB254222)

False colour image of Western blot : Anti-Angiotensin Converting Enzyme 1 antibody [EPR22291-247] staining at 1/1000 dilution, shown in green; Mouse anti-CANX [CANX/1543] (ab238078) loading control staining at 1/20000 dilution, shown in red. In Western blot, ab254222 was shown to bind specifically to Angiotensin Converting Enzyme 1. A band was observed at 200 kDa in wild-type SKNFI cell lysates with no signal observed at this size in Ace knockout cell line ab288707. To generate this image, wild-type and Ace knockout SKNFI cell lysates were analysed. First, samples were run on an SDS-PAGE gel then transferred onto a nitrocellulose membrane. Membranes were blocked in 3 % milk in TBS-0.1 % Tween® 20 (TBS-T) before incubation with primary antibodies overnight at 4 °C. Blots were washed four times in TBS-T, incubated with secondary antibodies for 1 h at room temperature, washed again four times then imaged. Secondary antibodies used were Goat anti-Rabbit IgG H&L 800CW and Goat anti-Mouse IgG H&L 680RD at 1/20000 dilution.

Lanes 1 - 4:

Western blot - Anti-Angiotensin Converting Enzyme 1 antibody [EPR22291-247] (ab254222) at 1/1000 dilution

Lane 1:

Wild-type SKNFI cell lysate at 20 µg

Lane 2:

Ace knockout SKNFI cell lysate at 20 µg

Lane 3:

Human Lung cell lysate at 20 µg

Lane 4:

HUVEC cell lysate at 20 µg

Predicted band size: 150 kDa

Observed band size: 200 kDa

false

Western blot - Anti-Angiotensin Converting Enzyme 1 antibody [EPR22291-247] (AB254222)
  • WB

Supplier Data

Western blot - Anti-Angiotensin Converting Enzyme 1 antibody [EPR22291-247] (AB254222)

Blocking and dilution buffer : 5% NFDM/TBST.

Exposure times.

Lanes 1-3 : 3 minutes. Lanes 4-5 : 5.5 seconds.

ab254222 was shown to specifically react with Angiotensin Converting Enzyme 1 in wild-type HAP1 cells as signal was lost in Angiotensin Converting Enzyme 1 knockout cells. Wild-type and Angiotensin Converting Enzyme 1 knockout samples were subjected to SDS-PAGE. ab254222 and ab181602 (Rabbit anti-GAPDH loading control) were incubated 1 hour at room temperature at 1/1000 dilution and 1/200,000 dilution respectively. Blots were developed with Goat Anti-Rabbit IgG, (H+L), Peroxidase conjugated (ab97051) secondary antibody at 1/100,000 dilution for 1 hour at room temperature before imaging. The blot was developed on a BIO-RAD® ChemiDoc™ MP instrument using the ECL technique.

The molecular weight observed, and the expression profile are consistent with what have been described in the literature (PMID : 25495544, 16203874).

All lanes:

Western blot - Anti-Angiotensin Converting Enzyme 1 antibody [EPR22291-247] (ab254222) at 1/1000 dilution

Lane 1:

HUVEC (human umbilical vein endothelial cell line) whole cell lysate at 20 µg

Lane 2:

Wild-type HAP1 whole cell lysate at 40 µg

Lane 3:

Angiotensin Converting Enzyme 1 knockout HAP1 whole cell lysate at 40 µg

Lane 4:

Human kidney cell lysate at 40 µg

Lane 5:

Human lung cell lysate at 40 µg

Secondary

All lanes:

Western blot - Goat Anti-Rabbit IgG H&L (HRP) (<a href='/en-us/products/secondary-antibodies/goat-rabbit-igg-h-l-hrp-ab97051'>ab97051</a>) at 1/100000 dilution

Predicted band size: 150 kDa

Observed band size: 180 kDa

true

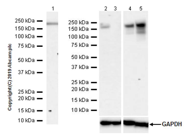
Western blot - Anti-Angiotensin Converting Enzyme 1 antibody [EPR22291-247] (AB254222)
  • WB

Supplier Data

Western blot - Anti-Angiotensin Converting Enzyme 1 antibody [EPR22291-247] (AB254222)

Blocking and dilution buffer : 5% NFDM/TBST.

Exposure times.

Lane 1 : 48 seconds. Lanes 2 & 3 : 3 minutes. Lane 4 : 48 seconds.

All lanes:

Western blot - Anti-Angiotensin Converting Enzyme 1 antibody [EPR22291-247] (ab254222) at 1/1000 dilution

Lane 1:

Rat brain tissue lysate at 20 µg

Lane 2:

Rat heart tissue lysate at 20 µg

Lane 3:

Rat liver tissue lysate at 20 µg

Lane 4:

Rat spleen tissue lysate at 20 µg

Secondary

All lanes:

Western blot - Goat Anti-Rabbit IgG H&L (HRP) (<a href='/en-us/products/secondary-antibodies/goat-rabbit-igg-h-l-hrp-ab97051'>ab97051</a>) at 1/100000 dilution

Predicted band size: 150 kDa

Observed band size: 180 kDa

false

Western blot - Anti-Angiotensin Converting Enzyme 1 antibody [EPR22291-247] (AB254222)
  • WB

Supplier Data

Western blot - Anti-Angiotensin Converting Enzyme 1 antibody [EPR22291-247] (AB254222)

Blocking and dilution buffer : 5% NFDM/TBST.

Exposure times.

Lanes 1-4 : 10 seconds. Lane 5 : 5.5 seconds. Lane 6 : 48 seconds.

All lanes:

Western blot - Anti-Angiotensin Converting Enzyme 1 antibody [EPR22291-247] (ab254222) at 1/1000 dilution

Lane 1:

Mouse brain tissue lysate at 20 µg

Lane 2:

Mouse heart tissue lysate at 20 µg

Lane 3:

Mouse kidney tissue lysate at 20 µg

Lane 4:

Mouse spleen tissue lysate at 20 µg

Lane 5:

Mouse lung tissue lysate at 20 µg

Lane 6:

bEND.3 (mouse brain endothelioma cell line) whole cell lysate at 20 µg

Secondary

All lanes:

Western blot - Goat Anti-Rabbit IgG H&L (HRP) (<a href='/en-us/products/secondary-antibodies/goat-rabbit-igg-h-l-hrp-ab97051'>ab97051</a>) at 1/100000 dilution

Predicted band size: 150 kDa

Observed band size: 180 kDa

false

Indirect ELISA - Anti-Angiotensin Converting Enzyme 1 antibody [EPR22291-247] (AB254222)
  • I-ELISA

Unknown

Indirect ELISA - Anti-Angiotensin Converting Enzyme 1 antibody [EPR22291-247] (AB254222)

ELISA analysis of ACE recombinant protein at 1000 ng/mL with ab254222. An Alkaline Phosphatase-conjugated AffiniPure Goat Anti-Rabbit IgG (H+L) at 1/2500 dilution was used as the secondary antibody.

  • Carrier free

    Anti-Angiotensin Converting Enzyme 1 antibody [EPR22291-247] - BSA and Azide free

Key facts

Host species

Rabbit

Clonality

Monoclonal

Clone number

EPR22291-247

Isotype

IgG

Carrier free

No

Reacts with

Mouse, Rat, Human

Applications

WB, mIHC, IHC-Fr, IHC-P, I-ELISA

applications

Immunogen

The exact immunogen used to generate this antibody is proprietary information.

Reactivity data

{ "title": "Reactivity Data", "filters": { "stats": ["", "Species", "Dilution Info", "Notes"], "tabs": { "all-applications": {"fullname" : "All Applications", "shortname": "All Applications"}, "mIHC" : {"fullname" : "Multiplex immunohistochemistry", "shortname":"mIHC"}, "IELISA" : {"fullname" : "Indirect ELISA", "shortname":"I-ELISA"}, "WB" : {"fullname" : "Western blot", "shortname":"WB"}, "IHCFr" : {"fullname" : "Immunohistochemistry (Frozen sections)", "shortname":"IHC-Fr"}, "IHCP" : {"fullname" : "Immunohistochemistry (Formalin/PFA-fixed paraffin-embedded sections)", "shortname":"IHC-P"}, "IP" : {"fullname" : "Immunoprecipitation", "shortname":"IP"}, "FlowCyt" : {"fullname" : "Flow Cytometry", "shortname":"Flow Cyt"}, "ICCIF" : {"fullname" : "Immunocytochemistry/ Immunofluorescence", "shortname":"ICC/IF"} }, "product-promise": { "all": "all", "testedAndGuaranteed": "tested", "guaranteed": "expected", "predicted": "predicted", "notRecommended": "not-recommended" } }, "values": { "Human": { "mIHC-species-checked": "testedAndGuaranteed", "mIHC-species-dilution-info": "1/4000", "mIHC-species-notes": "<p></p>", "IELISA-species-checked": "guaranteed", "IELISA-species-dilution-info": "", "IELISA-species-notes": "", "WB-species-checked": "testedAndGuaranteed", "WB-species-dilution-info": "1/1000", "WB-species-notes": "<p></p>", "IHCFr-species-checked": "guaranteed", "IHCFr-species-dilution-info": "", "IHCFr-species-notes": "", "IHCP-species-checked": "testedAndGuaranteed", "IHCP-species-dilution-info": "1/4000", "IHCP-species-notes": "<p></p>", "IP-species-checked": "notRecommended", "IP-species-dilution-info": "", "IP-species-notes": "<p></p>", "FlowCyt-species-checked": "notRecommended", "FlowCyt-species-dilution-info": "", "FlowCyt-species-notes": "<p></p>", "ICCIF-species-checked": "notRecommended", "ICCIF-species-dilution-info": "", "ICCIF-species-notes": "<p></p>" }, "Mouse": { "mIHC-species-checked": "guaranteed", "mIHC-species-dilution-info": "", "mIHC-species-notes": "", "IELISA-species-checked": "guaranteed", "IELISA-species-dilution-info": "", "IELISA-species-notes": "", "WB-species-checked": "testedAndGuaranteed", "WB-species-dilution-info": "1/1000", "WB-species-notes": "<p></p>", "IHCFr-species-checked": "testedAndGuaranteed", "IHCFr-species-dilution-info": "1/500", "IHCFr-species-notes": "<p>Heat mediated antigen retrieval using sodium citrate buffer (10mM citrate pH 6.0 + 0.05% Tween-20).</p>", "IHCP-species-checked": "testedAndGuaranteed", "IHCP-species-dilution-info": "1/4000", "IHCP-species-notes": "<p></p>", "IP-species-checked": "notRecommended", "IP-species-dilution-info": "", "IP-species-notes": "<p></p>", "FlowCyt-species-checked": "notRecommended", "FlowCyt-species-dilution-info": "", "FlowCyt-species-notes": "<p></p>", "ICCIF-species-checked": "notRecommended", "ICCIF-species-dilution-info": "", "ICCIF-species-notes": "<p></p>" }, "Rat": { "mIHC-species-checked": "guaranteed", "mIHC-species-dilution-info": "", "mIHC-species-notes": "", "IELISA-species-checked": "guaranteed", "IELISA-species-dilution-info": "", "IELISA-species-notes": "", "WB-species-checked": "testedAndGuaranteed", "WB-species-dilution-info": "1/1000", "WB-species-notes": "<p></p>", "IHCFr-species-checked": "testedAndGuaranteed", "IHCFr-species-dilution-info": "1/500", "IHCFr-species-notes": "<p>Heat mediated antigen retrieval using sodium citrate buffer (10mM citrate pH 6.0 + 0.05% Tween-20).</p>", "IHCP-species-checked": "testedAndGuaranteed", "IHCP-species-dilution-info": "1/4000", "IHCP-species-notes": "<p></p>", "IP-species-checked": "notRecommended", "IP-species-dilution-info": "", "IP-species-notes": "<p></p>", "FlowCyt-species-checked": "notRecommended", "FlowCyt-species-dilution-info": "", "FlowCyt-species-notes": "<p></p>", "ICCIF-species-checked": "notRecommended", "ICCIF-species-dilution-info": "", "ICCIF-species-notes": "<p></p>" }, "Recombinant fragment - Human": { "mIHC-species-checked": "notRecommended", "mIHC-species-dilution-info": "", "mIHC-species-notes": "", "IELISA-species-checked": "testedAndGuaranteed", "IELISA-species-dilution-info": "", "IELISA-species-notes": "<p></p>", "WB-species-checked": "notRecommended", "WB-species-dilution-info": "", "WB-species-notes": "", "IHCFr-species-checked": "notRecommended", "IHCFr-species-dilution-info": "", "IHCFr-species-notes": "", "IHCP-species-checked": "notRecommended", "IHCP-species-dilution-info": "", "IHCP-species-notes": "", "IP-species-checked": "notRecommended", "IP-species-dilution-info": "", "IP-species-notes": "", "FlowCyt-species-checked": "notRecommended", "FlowCyt-species-dilution-info": "", "FlowCyt-species-notes": "", "ICCIF-species-checked": "notRecommended", "ICCIF-species-dilution-info": "", "ICCIF-species-notes": "" } } }

Product details

Patented technology
Our RabMAb® technology is a patented hybridoma-based technology for making rabbit monoclonal antibodies. For details on our patents, please refer to RabMAb® patents.

What are the advantages of a recombinant monoclonal antibody?
This product is a recombinant monoclonal antibody, which offers several advantages including:

  • - High batch-to-batch consistency and reproducibility
  • - Improved sensitivity and specificity
  • - Long-term security of supply
  • - Animal-free batch production

For more information, read more on recombinant antibodies.

Properties and storage information

Form
Liquid
Purification technique
Affinity purification Protein A
Storage buffer
pH: 7.2 - 7.4 Preservative: 0.01% Sodium azide Constituents: PBS, 40% Glycerol (glycerin, glycerine), 0.05% BSA
Shipped at conditions
Blue Ice
Appropriate short-term storage duration
1-2 weeks
Appropriate short-term storage conditions
+4°C
Appropriate long-term storage conditions
-20°C
Aliquoting information
Upon delivery aliquot
Storage information
Avoid freeze / thaw cycle

Supplementary information

This supplementary information is collated from multiple sources and compiled automatically.

Angiotensin Converting Enzyme 1 also known as ACE1 or ACE is an important enzyme in the renin-angiotensin system. This enzyme exhibits a significant role in blood pressure regulation. ACE1 is a zinc-metallopeptidase with a molecular weight of approximately 130 kDa. It converts angiotensin I into the potent vasoconstrictor angiotensin II a critical function in cardiovascular physiology. ACE1 is widely expressed in endothelial cells particularly in the lungs kidneys and the small intestine.
Biological function summary

The enzyme generates angiotensin II by cleaving angiotensin I. Angiotensin II an important effector peptide impacts cardiovascular and renal systems influencing vasoconstriction and fluid balance. While not directly forming a complex ACE1's activity increases the potency of angiotensin II which binds to angiotensin II receptors to exert its effects therefore indirectly forming a functional signaling complex.

Pathways

ACE1 plays a central role in the renin-angiotensin system and the kallikrein-kinin system. The enzyme's activity boosts angiotensin II production which connects it to the regulation of blood pressure via the renin-angiotensin pathway. ACE1 also indirectly interacts with proteins like bradykinin by degrading them modulating kinin-related functions and influencing inflammation and tension in vascular smooth muscle.

Understanding ACE1 is important for addressing hypertension and congestive heart failure. ACE1's conversion of angiotensin I to angiotensin II means overactivity can cause elevated blood pressure leading to hypertension. This makes ACE inhibitors such as lisinopril and ramipril therapeutic for these conditions. Furthermore its connection with aldosterone production places ACE1 in relevance to heart failure as excessive aldosterone can cause detrimental remodeling of cardiac tissue.

Product protocols

For this product, it's our understanding that no specific protocols are required. You can visit:

Target data

Dipeptidyl carboxypeptidase that removes dipeptides from the C-terminus of a variety of circulating hormones, such as angiotensin I, bradykinin or enkephalins, thereby playing a key role in the regulation of blood pressure, electrolyte homeostasis or synaptic plasticity (PubMed : 15615692, PubMed : 20826823, PubMed : 2558109, PubMed : 4322742, PubMed : 7523412, PubMed : 7683654). Composed of two similar catalytic domains, each possessing a functional active site, with different selectivity for substrates (PubMed : 10913258, PubMed : 1320019, PubMed : 1851160, PubMed : 19773553, PubMed : 7683654, PubMed : 7876104). Plays a major role in the angiotensin-renin system that regulates blood pressure and sodium retention by the kidney by converting angiotensin I to angiotensin II, resulting in an increase of the vasoconstrictor activity of angiotensin (PubMed : 11432860, PubMed : 1851160, PubMed : 19773553, PubMed : 23056909, PubMed : 4322742). Also able to inactivate bradykinin, a potent vasodilator, and therefore enhance the blood pressure response (PubMed : 15615692, PubMed : 2558109, PubMed : 4322742, PubMed : 6055465, PubMed : 6270633, PubMed : 7683654). Acts as a regulator of synaptic transmission by mediating cleavage of neuropeptide hormones, such as substance P, neurotensin or enkephalins (PubMed : 15615692, PubMed : 6208535, PubMed : 6270633, PubMed : 656131). Catalyzes degradation of different enkephalin neuropeptides (Met-enkephalin, Leu-enkephalin, Met-enkephalin-Arg-Phe and possibly Met-enkephalin-Arg-Gly-Leu) (PubMed : 2982830, PubMed : 6270633, PubMed : 656131). Acts as a regulator of synaptic plasticity in the nucleus accumbens of the brain by mediating cleavage of Met-enkephalin-Arg-Phe, a strong ligand of Mu-type opioid receptor OPRM1, into Met-enkephalin (By similarity). Met-enkephalin-Arg-Phe cleavage by ACE decreases activation of OPRM1, leading to long-term synaptic potentiation of glutamate release (By similarity). Also acts as a regulator of hematopoietic stem cell differentiation by mediating degradation of hemoregulatory peptide N-acetyl-SDKP (AcSDKP) (PubMed : 26403559, PubMed : 7876104, PubMed : 8257427, PubMed : 8609242). Acts as a regulator of cannabinoid signaling pathway by mediating degradation of hemopressin, an antagonist peptide of the cannabinoid receptor CNR1 (PubMed : 18077343). Involved in amyloid-beta metabolism by catalyzing degradation of Amyloid-beta protein 40 and Amyloid-beta protein 42 peptides, thereby preventing plaque formation (PubMed : 11604391, PubMed : 16154999, PubMed : 19773553). Catalyzes cleavage of cholecystokinin (maturation of Cholecystokinin-8 and Cholecystokinin-5) and Gonadoliberin-1 (both maturation and degradation) hormones (PubMed : 10336644, PubMed : 2983326, PubMed : 7683654, PubMed : 9371719). Degradation of hemoregulatory peptide N-acetyl-SDKP (AcSDKP) and amyloid-beta proteins is mediated by the N-terminal catalytic domain, while angiotensin I and cholecystokinin cleavage is mediated by the C-terminal catalytic region (PubMed : 10336644, PubMed : 19773553, PubMed : 7876104).. Angiotensin-converting enzyme, soluble form. Soluble form that is released in blood plasma and other body fluids following proteolytic cleavage in the juxtamembrane stalk region.. Isoform Testis-specific. Isoform produced by alternative promoter usage that is specifically expressed in spermatocytes and adult testis, and which is required for male fertility (PubMed : 1651327, PubMed : 1668266). In contrast to somatic isoforms, only contains one catalytic domain (PubMed : 1651327, PubMed : 1668266). Acts as a dipeptidyl carboxypeptidase that removes dipeptides from the C-terminus of substrates (PubMed : 1668266, PubMed : 24297181). The identity of substrates that are needed for male fertility is unknown (By similarity). May also have a glycosidase activity which releases GPI-anchored proteins from the membrane by cleaving the mannose linkage in the GPI moiety. The GPIase activity was reported to be essential for the egg-binding ability of the sperm (By similarity). This activity is however unclear and has been challenged by other groups, suggesting that it may be indirect (By similarity).
See full target information ACE

Publications (26)

Recent publications for all applications. Explore the full list and refine your search

PloS one 20:e0330193 PubMed40952998

2025

ACE1 does not influence cerebral Aβ degradation or amyloid plaque accumulation in 5XFAD mice.

Applications

Unspecified application

Species

Unspecified reactive species

Sohee Jeon,Alia O Alia,Jelena Popovic,Robert Vassar,Leah K Cuddy

Scientific reports 15:11746 PubMed40189640

2025

Selenomethionine inhibits the proliferation of hypoxia-induced pulmonary artery smooth muscle cells by inhibiting ROS and HIF-1α-ACE-AngII axis.

Applications

Unspecified application

Species

Unspecified reactive species

Ting Huang,Shou Liu,Yanting Ma,Lan Ma,Zhancui Dang

Clinical science (London, England : 1979) 139: PubMed39905743

2025

Restoring lung renin-angiotensin system balance through blood pressure control.

Applications

Unspecified application

Species

Unspecified reactive species

Gabriela Catão D Braga,Joao Carlos Ribeiro-Silva,Andreia Boaro,Flavia Leticia Martins,Thais Mauad,Caio A M Tavares,Lisete Ribeiro Teixeira,Bruno Caramelli,Adriana C C Girardi

Neurobiology of disease 202:106729 PubMed39515529

2024

Neuronal ACE1 knockout disrupts the hippocampal renin angiotensin system leading to memory impairment and vascular loss in normal aging.

Applications

Unspecified application

Species

Unspecified reactive species

Sohee Jeon,Miranda A Salvo,Alia O Alia,Jelena Popovic,Mitchell Zagardo,Sidhanth Chandra,Malik Nassan,David Gate,Robert Vassar,Leah K Cuddy

Thyroid research 17:22 PubMed39491028

2024

Losartan is more effective than angiotensin (1-7) in preventing thyroxine-induced renal injury in the rat.

Applications

Unspecified application

Species

Unspecified reactive species

Slava Malatiali,Mabayoje Oriowo

Phytotherapy research : PTR 38:5918-5929 PubMed39410864

2024

α-Mangostin Attenuates Blood Pressure and Reverses Vascular Remodeling by Balancing ACE/AT1R and ACE2/Ang-(1-7)/MasR Axes in Ang II-Infused Hypertensive Mice.

Applications

Unspecified application

Species

Unspecified reactive species

Qi-Qi Xue,Chu-Hao Liu,Dong-Yan Zhang,Ming-Xuan Li,Yan Li

Molecular medicine (Cambridge, Mass.) 30:78 PubMed38844873

2024

Wogonin upregulates SOCS3 to alleviate the injury in Diabetic Nephropathy by inhibiting TLR4-mediated JAK/STAT/AIM2 signaling pathway.

Applications

Unspecified application

Species

Unspecified reactive species

Yufeng Liu,Mengbi Zhang,Lu Zeng,Yanhong Lai,Songzhao Wu,Xiaoyan Su

iScience 27:108926 PubMed38357670

2024

Ibrutinib-induced pulmonary angiotensin-converting enzyme activation promotes atrial fibrillation in rats.

Applications

Unspecified application

Species

Unspecified reactive species

Sen Yan,Wei Xu,Ning Fang,Luyifei Li,Ning Yang,Xinbo Zhao,Hongting Hao,Yun Zhang,Qian Liang,Zhiqi Wang,Yu Duan,Song Zhang,Yongtai Gong,Yue Li

Frontiers in cardiovascular medicine 10:1250234 PubMed37655218

2023

Manipulation of components of the renin angiotensin system in renal proximal tubules fails to alter atherosclerosis in hypercholesterolemic mice.

Applications

Unspecified application

Species

Unspecified reactive species

Masayoshi Kukida,Naofumi Amioka,Dien Ye,Hui Chen,Jessica J Moorleghen,Ching-Ling Liang,Deborah A Howatt,Yuriko Katsumata,Motoko Yanagita,Hisashi Sawada,Alan Daugherty,Hong S Lu

Cancer communications (London, England) 43:1027-1047 PubMed37533188

2023

Bifidobacterium adolescentis orchestrates CD143 cancer-associated fibroblasts to suppress colorectal tumorigenesis by Wnt signaling-regulated GAS1.

Applications

Unspecified application

Species

Unspecified reactive species

Shujie Chen,Lina Fan,Yifeng Lin,Yadong Qi,Chaochao Xu,Qiwei Ge,Ying Zhang,Qiwen Wang,Dingjiacheng Jia,Lan Wang,Jianmin Si,Liangjing Wang
View all publications

Product promise

We are committed to supporting your work with high-quality reagents, and we're here for you every step of the way. In the unlikely event that one of our products does not perform as expected, you're protected by our Product Promise.
For full details, please see our Terms & Conditions

Please note: All products are 'FOR RESEARCH USE ONLY. NOT FOR USE IN DIAGNOSTIC OR THERAPEUTIC PROCEDURES'.

For licensing inquiries, please contact partnerships@abcam.com