JavaScript is disabled in your browser. Please enable JavaScript to view this website.
AB276137

Anti-Angiotensinogen antibody [EPR24118-2] - BSA and Azide free

3

(1 Review)

|

(0 Publication)

Rabbit Recombinant Monoclonal Angiotensinogen antibody. Carrier free. Suitable for Flow Cyt (Intra), ICC/IF, IP, WB, IHC-P and reacts with Human, Rat samples.

View Alternative Names

SERPINA8, AGT, Angiotensinogen, Serpin A8

10 Images
Immunohistochemistry (Formalin/PFA-fixed paraffin-embedded sections) - Anti-Angiotensinogen antibody [EPR24118-2] - BSA and Azide free (AB276137)
  • IHC-P

Unknown

Immunohistochemistry (Formalin/PFA-fixed paraffin-embedded sections) - Anti-Angiotensinogen antibody [EPR24118-2] - BSA and Azide free (AB276137)

This data was developed using ab276132, the same antibody clone in a different buffer formulation.

Immunohistochemical analysis of paraffin-embedded Human placenta tissue labeling Angiotensinogen with ab276132 at 1/500 (0.854 ug/ml) followed by a ready to use Rabbit specific IHC polymer detection kit HRP/DAB (ab209101). Cytoplasmic staining on human placenta (PMID : 21215447). The section was incubated with ab276132 for 30 mins at room temperature. The immunostaining was performed on a Leica Biosystems BOND® RX instrument. Counterstained with Hematoxylin.

Secondary antibody only control : Secondary antibody is a ready to use Rabbit specific IHC polymer detection kit HRP/DAB (ab209101).

Heat mediated antigen retrieval with Tris-EDTA buffer (pH 9.0, epitope retrieval solution2) for 20 minutes.

Immunohistochemistry (Formalin/PFA-fixed paraffin-embedded sections) - Anti-Angiotensinogen antibody [EPR24118-2] - BSA and Azide free (AB276137)
  • IHC-P

Unknown

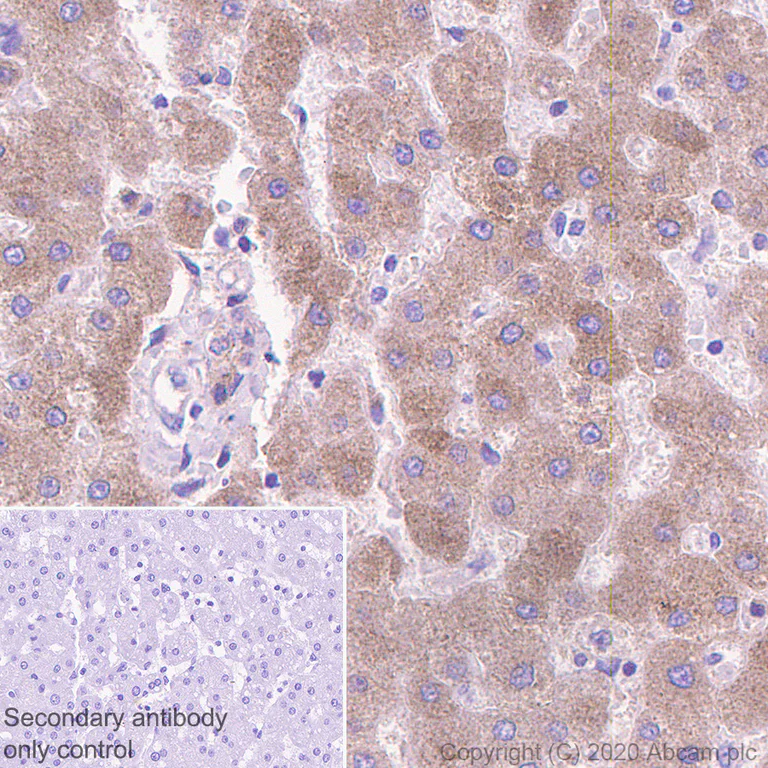
Immunohistochemistry (Formalin/PFA-fixed paraffin-embedded sections) - Anti-Angiotensinogen antibody [EPR24118-2] - BSA and Azide free (AB276137)

This data was developed using ab276132, the same antibody clone in a different buffer formulation.

Immunohistochemical analysis of paraffin-embedded Human liver tissue labeling Angiotensinogen with ab276132 at 1/500 (0.854 ug/ml) followed by a ready to use Rabbit specific IHC polymer detection kit HRP/DAB (ab209101). Cytoplasmic staining on human liver. The section was incubated with ab276132 for 30 minutes at room temperature. The immunostaining was performed on a Leica Biosystems BOND® RX instrument. Counterstained with Hematoxylin.

Secondary antibody only control : Secondary antibody is a ready to use Rabbit specific IHC polymer detection kit HRP/DAB (ab209101).

Heat mediated antigen retrieval with Tris-EDTA buffer (pH 9.0, epitope retrieval solution2) for 20 minutes.

Immunohistochemistry (Formalin/PFA-fixed paraffin-embedded sections) - Anti-Angiotensinogen antibody [EPR24118-2] - BSA and Azide free (AB276137)
  • IHC-P

Unknown

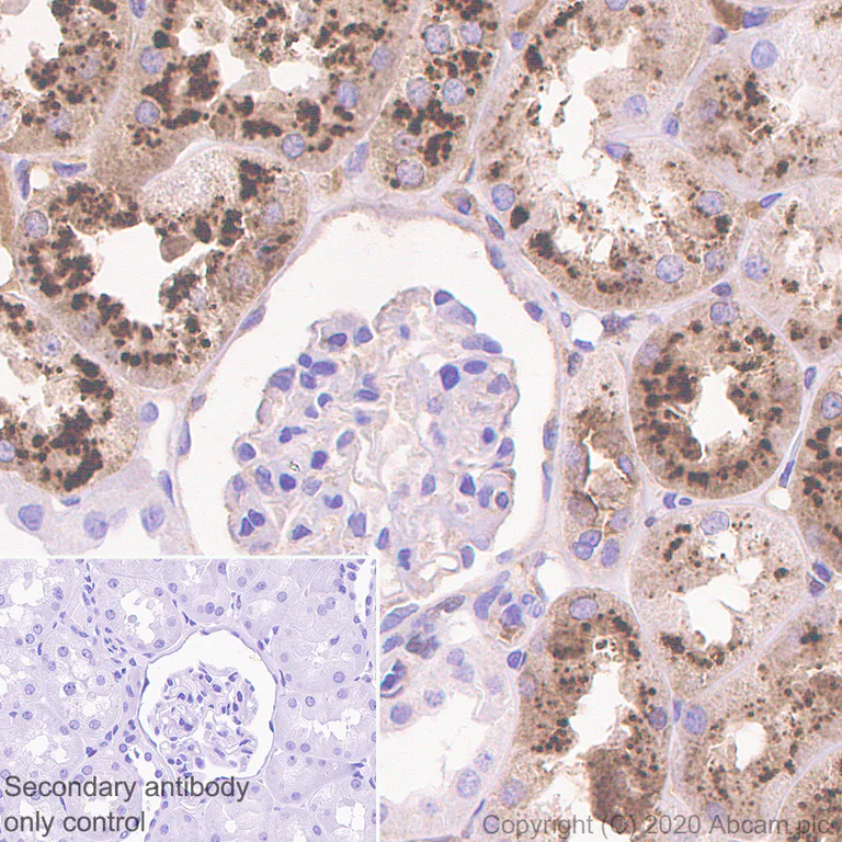
Immunohistochemistry (Formalin/PFA-fixed paraffin-embedded sections) - Anti-Angiotensinogen antibody [EPR24118-2] - BSA and Azide free (AB276137)

This data was developed using ab276132, the same antibody clone in a different buffer formulation.

Immunohistochemical analysis of paraffin-embedded Rat kidney tissue labeling Angiotensinogen with ab276132 at 1/500 (0.854 ug/ml) followed by a ready to use Rabbit specific IHC polymer detection kit HRP/DAB (ab209101). Cytoplasmic staining on rat kidney (PMID : 28716988). The section was incubated with ab276132 for 30 mins at room temperature. The immunostaining was performed on a Leica Biosystems BOND® RX instrument. Counterstained with Hematoxylin.

Secondary antibody only control : Secondary antibody is a ready to use Rabbit specific IHC polymer detection kit HRP/DAB (ab209101).

Heat mediated antigen retrieval with Tris-EDTA buffer (pH 9.0, epitope retrieval solution2) for 20 minutes.

Western blot - Anti-Angiotensinogen antibody [EPR24118-2] - BSA and Azide free (AB276137)
  • WB

Lab

Western blot - Anti-Angiotensinogen antibody [EPR24118-2] - BSA and Azide free (AB276137)

This data was developed using ab276132, the same antibody clone in a different buffer formulation.

Blocking and diluting buffer and concentration : 5% NFDM/TBST.

Angiotensinogen undergoes glycosylation. The molecular weight observed is consistent with what has been described in literature(PMID : 9694881).

Lanes 1 & 2 of the blot were developed using a higher sensitivity ECL substrate.

Exposure times : Lane 1, 2 : 59 seconds; Lane 3 : 3.25 seconds;Lane 4, 5 : 15 seconds

All lanes:

Western blot - Anti-Angiotensinogen antibody [EPR24118-2] (<a href='/en-us/products/primary-antibodies/angiotensinogen-antibody-epr24118-2-ab276132'>ab276132</a>) at 1/1000 dilution

Lane 1:

HepG2 (human hepatocellar carcinoma epithelial cell), whole cell lysate at 20 µg

Lane 2:

Huh7 (human hepatocellar carcinoma epithelial cell), whole cell lysate at 20 µg

Lane 3:

Human lung tissue lysate at 20 µg

Lane 4:

Human liver tissue lysate at 20 µg

Lane 5:

Human kidney tissue lysate at 20 µg

Secondary

All lanes:

Western blot - Goat Anti-Rabbit IgG H&L (HRP) (<a href='/en-us/products/secondary-antibodies/goat-rabbit-igg-h-l-hrp-ab97051'>ab97051</a>) at 1/100000 dilution

Predicted band size: 53 kDa

Observed band size: 48-70 kDa

false

Western blot - Anti-Angiotensinogen antibody [EPR24118-2] - BSA and Azide free (AB276137)
  • WB

Lab

Western blot - Anti-Angiotensinogen antibody [EPR24118-2] - BSA and Azide free (AB276137)

This data was developed using ab276132, the same antibody clone in a different buffer formulation.

Blocking and diluting buffer and concentration : 5% NFDM/TBST.

Angiotensinogen undergoes glycosylation. The molecular weight observed is consistent with what have been described in literature(PMID : 9694881).

This blot was developed using a higher sensitivity ECL substrate.

Exposure time : 127 seconds.

All lanes:

Western blot - Anti-Angiotensinogen antibody [EPR24118-2] (<a href='/en-us/products/primary-antibodies/angiotensinogen-antibody-epr24118-2-ab276132'>ab276132</a>) at 1/1000 dilution

Lane 1:

Rat lung tissue lysate at 20 µg

Lane 2:

Rat liver tissue lysate at 20 µg

Lane 3:

Rat kidney tissue lysate at 20 µg

Secondary

All lanes:

Goat Anti-Rabbit IgG, (H+L), Peroxidase conjugated (<a href='/en-us/products/secondary-antibodies/goat-rabbit-igg-h-l-hrp-ab97051'>ab97051</a>) at 1/100000 dilution

Predicted band size: 53 kDa

Observed band size: 48-70 kDa

false

Flow Cytometry (Intracellular) - Anti-Angiotensinogen antibody [EPR24118-2] - BSA and Azide free (AB276137)
  • Flow Cyt (Intra)

Unknown

Flow Cytometry (Intracellular) - Anti-Angiotensinogen antibody [EPR24118-2] - BSA and Azide free (AB276137)

This data was developed using ab276132, the same antibody clone in a different buffer formulation.

Intracellular flow cytometric analysis of 4% paraformaldehyde-fixed, 90% methanol-permeabilized HepG2 (human hepatocellular carcinoma epithelial cell) cells labelling Angiotensinogen with ab276132 at 1/500 dilution (0.1ug) (Red) compared with a Rabbit monoclonal IgG (ab172730) isotype control (Black) and an unlabelled control (cells without incubation with primary antibody and secondary antibody) (Blue).

A Goat anti rabbit IgG (Alexa Fluor®488, ab150077) at 1/2000 dilution was used as the secondary antibody.

Immunohistochemistry (Formalin/PFA-fixed paraffin-embedded sections) - Anti-Angiotensinogen antibody [EPR24118-2] - BSA and Azide free (AB276137)
  • IHC-P

Unknown

Immunohistochemistry (Formalin/PFA-fixed paraffin-embedded sections) - Anti-Angiotensinogen antibody [EPR24118-2] - BSA and Azide free (AB276137)

This data was developed using ab276132, the same antibody clone in a different buffer formulation.

Immunohistochemical analysis of paraffin-embedded Human kidney tissue labeling Angiotensinogen with ab276132 at 1/500 (0.854 ug/ml) followed by a ready to use Rabbit specific IHC polymer detection kit HRP/DAB (ab209101). Cytoplasmic staining on human kidney. The section was incubated with ab276132 for 30 minutes at room temperature. The immunostaining was performed on a Leica Biosystems BOND® RX instrument. Counterstained with Hematoxylin.

Secondary antibody only control : Secondary antibody is a ready to use Rabbit specific IHC polymer detection kit HRP/DAB (ab209101).

Heat mediated antigen retrieval with Tris-EDTA buffer (pH 9.0, epitope retrieval solution2) for 20 minutes.

Immunocytochemistry/ Immunofluorescence - Anti-Angiotensinogen antibody [EPR24118-2] - BSA and Azide free (AB276137)
  • ICC/IF

Unknown

Immunocytochemistry/ Immunofluorescence - Anti-Angiotensinogen antibody [EPR24118-2] - BSA and Azide free (AB276137)

This data was developed using ab276132, the same antibody clone in a different buffer formulation.

Immunofluorescent analysis of 4% Paraformaldehyde-fixed, 100% Methanol permeabilized HepG2 cells labelling Angiotensinogen with ab276132 at 1/100 (4.27 ug/ml) dilution, followed by ab150077 Goat Anti-Rabbit IgG H&L (Alexa Fluor® 488) antibody at 1/1000 dilution (Green). Confocal image showing cytoplasmic staining in HepG2 cell line. ab195889 Anti-alpha Tubulin mouse monoclonal antibody - Microtubule Marker (Alexa Fluor® 594) was used to counterstain tubulin at 1/200 dilution (Red). The Nuclear counterstain was DAPI (Blue).

Secondary antibody only control : Secondary antibody is ab150077 Goat Anti-Rabbit IgG H&L (Alexa Fluor® 488) at 1/1000 dilution.

Immunoprecipitation - Anti-Angiotensinogen antibody [EPR24118-2] - BSA and Azide free (AB276137)
  • IP

Unknown

Immunoprecipitation - Anti-Angiotensinogen antibody [EPR24118-2] - BSA and Azide free (AB276137)

This data was developed using ab276132, the same antibody clone in a different buffer formulation.

Angiotensinogen was immunoprecipitated from 0.35 mg HepG2 (human hepatocellular carcinoma epithelial cell), whole cell lysate with ab276132 at 1/30 dilution (2ug in 0.35mg lysates). Western blot was performed on the immunoprecipitate using ab276132 at 1/1000 dilution. VeriBlot for IP Detection Reagent (HRP)(ab131366) was used at 1/5000 dilution.

Lane 1 : HepG2 (human hepatocellular carcinoma epithelial cell), whole cell lysate 10 ug

Lane 2 : ab276132 IP in HepG2 whole cell lysate

Lane 3 : Rabbit monoclonal IgG (ab172730) instead of ab276132 in HepG2 whole cell lysate

Blocking and dilution buffer and concentration : 5% NFDM/TBST.

Exposure time : 23 seconds.

All lanes:

Immunoprecipitation - Anti-Angiotensinogen antibody [EPR24118-2] (<a href='/en-us/products/primary-antibodies/angiotensinogen-antibody-epr24118-2-ab276132'>ab276132</a>)

Predicted band size: 53 kDa

Observed band size: 50 kDa

false

Western blot - Anti-Angiotensinogen antibody [EPR24118-2] - BSA and Azide free (AB276137)
  • WB

Lab

Western blot - Anti-Angiotensinogen antibody [EPR24118-2] - BSA and Azide free (AB276137)

This data was developed using ab276132, the same antibody clone in a different buffer formulation.

Blocking and diluting buffer and concentration : 5% NFDM/TBST.

Angiotensinogen undergoes glycosylation. The molecular weight observed is consistent with what have been described in literature(PMID : 9694881).

Exposure times :

Lane 1 : 15 seconds
Lane 2 : 3.25 seconds

All lanes:

Western blot - Anti-Angiotensinogen antibody [EPR24118-2] (<a href='/en-us/products/primary-antibodies/angiotensinogen-antibody-epr24118-2-ab276132'>ab276132</a>) at 1/1000 dilution

Lane 1:

Human plasma at 20 µL

Lane 2:

Rat plasma at 20 µL

Secondary

All lanes:

Goat Anti-Rabbit IgG (HRP) with minimal cross-reactivity with human IgG at 1/100000 dilution

Predicted band size: 53 kDa

Observed band size: 48-70 kDa

false

Key facts

Host species

Rabbit

Clonality

Monoclonal

Clone number

EPR24118-2

Isotype

IgG

Carrier free

Yes

Reacts with

Rat, Human

Applications

WB, IP, ICC/IF, IHC-P, Flow Cyt (Intra)

applications

Immunogen

The exact immunogen used to generate this antibody is proprietary information.

Reactivity data

{ "title": "Reactivity Data", "filters": { "stats": ["", "Species", "Dilution Info", "Notes"], "tabs": { "all-applications": {"fullname" : "All Applications", "shortname": "All Applications"}, "FlowCytIntra" : {"fullname" : "Flow Cytometry (Intracellular)", "shortname":"Flow Cyt (Intra)"}, "ICCIF" : {"fullname" : "Immunocytochemistry/ Immunofluorescence", "shortname":"ICC/IF"}, "IP" : {"fullname" : "Immunoprecipitation", "shortname":"IP"}, "WB" : {"fullname" : "Western blot", "shortname":"WB"}, "IHCFr" : {"fullname" : "Immunohistochemistry (Frozen sections)", "shortname":"IHC-Fr"}, "IHCP" : {"fullname" : "Immunohistochemistry (Formalin/PFA-fixed paraffin-embedded sections)", "shortname":"IHC-P"} }, "product-promise": { "all": "all", "testedAndGuaranteed": "tested", "guaranteed": "expected", "predicted": "predicted", "notRecommended": "not-recommended" } }, "values": { "Human": { "FlowCytIntra-species-checked": "testedAndGuaranteed", "FlowCytIntra-species-dilution-info": "", "FlowCytIntra-species-notes": "<p></p>", "ICCIF-species-checked": "testedAndGuaranteed", "ICCIF-species-dilution-info": "", "ICCIF-species-notes": "<p></p>", "IP-species-checked": "testedAndGuaranteed", "IP-species-dilution-info": "", "IP-species-notes": "<p></p>", "WB-species-checked": "testedAndGuaranteed", "WB-species-dilution-info": "", "WB-species-notes": "<p></p>", "IHCFr-species-checked": "notRecommended", "IHCFr-species-dilution-info": "", "IHCFr-species-notes": "<p></p>", "IHCP-species-checked": "testedAndGuaranteed", "IHCP-species-dilution-info": "", "IHCP-species-notes": "<p></p>" }, "Rat": { "FlowCytIntra-species-checked": "guaranteed", "FlowCytIntra-species-dilution-info": "", "FlowCytIntra-species-notes": "", "ICCIF-species-checked": "guaranteed", "ICCIF-species-dilution-info": "", "ICCIF-species-notes": "", "IP-species-checked": "guaranteed", "IP-species-dilution-info": "", "IP-species-notes": "", "WB-species-checked": "testedAndGuaranteed", "WB-species-dilution-info": "", "WB-species-notes": "<p></p>", "IHCFr-species-checked": "notRecommended", "IHCFr-species-dilution-info": "", "IHCFr-species-notes": "<p></p>", "IHCP-species-checked": "testedAndGuaranteed", "IHCP-species-dilution-info": "", "IHCP-species-notes": "<p></p>" } } }

Product details

ab276137 is the carrier-free version of ab276132.

Patented technology
Our RabMAb® technology is a patented hybridoma-based technology for making rabbit monoclonal antibodies. For details on our patents, please refer to RabMAb® patents.

What are the advantages of a recombinant monoclonal antibody?
This product is a recombinant monoclonal antibody, which offers several advantages including:

  • - High batch-to-batch consistency and reproducibility
  • - Improved sensitivity and specificity
  • - Long-term security of supply
  • - Animal-free batch production

For more information, read more on recombinant antibodies.

Conjugation ready
Our carrier-free antibodies are typically supplied in a PBS-only formulation, purified and free of BSA, sodium azide and glycerol. This conjugation-ready format is designed for use with fluorochromes, metal isotopes, oligonucleotides, and enzymes, which makes them ideal for antibody labelling, functional and cell-based assays, flow-based assays (e.g. mass cytometry) and Multiplex Imaging applications.

Use our conjugation kits for antibody conjugates that are ready-to-use in as little as 20 minutes with 1 minute hands-on-time and 100% antibody recovery: available for fluorescent dyes, HRP, biotin and gold.

Compatibility
This product is compatible with the Maxpar® Antibody Labeling Kit from Fluidigm, without the need for antibody preparation. Maxpar® is a trademark of Fluidigm Canada Inc.

Properties and storage information

Form
Liquid
Purification technique
Affinity purification Protein A
Storage buffer
Constituents: PBS
Shipped at conditions
Blue Ice
Appropriate short-term storage conditions
+4°C
Appropriate long-term storage conditions
+4°C

Supplementary information

This supplementary information is collated from multiple sources and compiled automatically.

Angiotensinogen also known as AGT is a precursor to angiotensin peptides and plays a mechanical role in the renin-angiotensin system. It is a glycoprotein with a mass of approximately 60 kDa and is mainly produced in the liver. This protein circulates in the bloodstream where it waits for renin to cleave it. Angiotensinogen's presence is significant in various tissues but primarily it functions within the plasma after hepatic secretion.
Biological function summary

Angiotensinogen is critical in the regulation of blood pressure and fluid balance. It serves as the substrate for renin an enzyme that initiates a cascade leading to the production of angiotensin I which further converts into active forms like angiotensin II. Angiotensinogen does not operate as part of a larger protein complex but interacts closely with enzymes and other substrates to mediate its effects on the cardiovascular system.

Pathways

Angiotensinogen is an essential component of the renin-angiotensin-aldosterone system (RAAS) which helps regulate blood pressure and electrolyte balance. The pathway involves the conversion of angiotensinogen to angiotensin I by renin followed by the conversion to angiotensin II by angiotensin-converting enzyme (ACE). This system also has connections with proteins such as aldosterone which is involved in sodium and water retention influencing cardiovascular health.

Angiotensinogen links to hypertension and cardiovascular diseases. The protein's interaction with renin and ACE results in the formation of angiotensin II a potent vasoconstrictor that increases blood pressure. Elevated levels of angiotensinogen are often observed in individuals with high 117/85 blood pressure indicating a risk for chronic conditions. Managing angiotensinogen levels through RAAS modulation is a therapeutic strategy for controlling these disorders.

Product protocols

For this product, it's our understanding that no specific protocols are required. You can visit:

Target data

Essential component of the renin-angiotensin system (RAS), a potent regulator of blood pressure, body fluid and electrolyte homeostasis.. Angiotensin-2. Acts directly on vascular smooth muscle as a potent vasoconstrictor, affects cardiac contractility and heart rate through its action on the sympathetic nervous system, and alters renal sodium and water absorption through its ability to stimulate the zona glomerulosa cells of the adrenal cortex to synthesize and secrete aldosterone (PubMed : 10619573, PubMed : 17138938). Acts by binding to angiotensin receptors AGTR1 and AGTR2 (PubMed : 1567413). Also binds the DEAR/FBXW7-AS1 receptor (By similarity).. Angiotensin-3. Stimulates aldosterone release.. Angiotensin 1-7. Is a ligand for the G-protein coupled receptor MAS1 (By similarity). Has vasodilator and antidiuretic effects. Has an antithrombotic effect that involves MAS1-mediated release of nitric oxide from platelets (By similarity).
See full target information AGT

Product promise

We are committed to supporting your work with high-quality reagents, and we're here for you every step of the way. In the unlikely event that one of our products does not perform as expected, you're protected by our Product Promise.
For full details, please see our Terms & Conditions

Please note: All products are 'FOR RESEARCH USE ONLY. NOT FOR USE IN DIAGNOSTIC OR THERAPEUTIC PROCEDURES'.

For licensing inquiries, please contact partnerships@abcam.com