JavaScript is disabled in your browser. Please enable JavaScript to view this website.
AB217865

Anti-ANGPTL3 antibody

Be the first to review this product! Submit a review

|

(1 Publication)

Rabbit Polyclonal ANGPTL3 antibody. Suitable for IHC-P and reacts with Human samples. Cited in 1 publication. Immunogen corresponding to Synthetic Peptide within Human ANGPTL3 aa 1-100 conjugated to Keyhole Limpet Haemocyanin.

View Alternative Names

ANGPT5, UNQ153/PRO179, ANGPTL3, Angiopoietin-related protein 3, Angiopoietin-5, Angiopoietin-like protein 3, ANG-5

1 Images
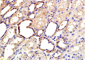
Immunohistochemistry (Formalin/PFA-fixed paraffin-embedded sections) - Anti-ANGPTL3 antibody (AB217865)
  • IHC-P

Supplier Data

Immunohistochemistry (Formalin/PFA-fixed paraffin-embedded sections) - Anti-ANGPTL3 antibody (AB217865)

Immunohistochemical analysis of paraffin embedded, formalin fixed Human kidney tissue labeling ANGPTL3 using ab217865 at 1/200 dilution. Followed by conjugation to the secondary antibody and DAB staining.

Key facts

Host species

Rabbit

Clonality

Polyclonal

Isotype

IgG

Carrier free

No

Reacts with

Human

Applications

IHC-P

applications

Immunogen

Synthetic Peptide within Human ANGPTL3 aa 1-100 conjugated to Keyhole Limpet Haemocyanin. The exact immunogen used to generate this antibody is proprietary information.

Q9Y5C1

Reactivity data

{ "title": "Reactivity Data", "filters": { "stats": ["", "Species", "Dilution Info", "Notes"], "tabs": { "all-applications": {"fullname" : "All Applications", "shortname": "All Applications"}, "IHCP" : {"fullname" : "Immunohistochemistry (Formalin/PFA-fixed paraffin-embedded sections)", "shortname":"IHC-P"} }, "product-promise": { "all": "all", "testedAndGuaranteed": "tested", "guaranteed": "expected", "predicted": "predicted", "notRecommended": "not-recommended" } }, "values": { "Human": { "IHCP-species-checked": "testedAndGuaranteed", "IHCP-species-dilution-info": "1/100 - 1/500", "IHCP-species-notes": "<p></p>" }, "Mouse": { "IHCP-species-checked": "predicted", "IHCP-species-dilution-info": "", "IHCP-species-notes": "" }, "Rat": { "IHCP-species-checked": "predicted", "IHCP-species-dilution-info": "", "IHCP-species-notes": "" } } }

Properties and storage information

Form
Liquid
Purification technique
Affinity purification Protein A
Storage buffer
pH: 7.4 Preservative: 0.02% Proclin 300 Constituents: 50% Glycerol (glycerin, glycerine), 48.98% TBS, 1X, 1% BSA
Shipped at conditions
Blue Ice
Appropriate short-term storage duration
1-2 weeks
Appropriate short-term storage conditions
+4°C
Appropriate long-term storage conditions
-20°C
Aliquoting information
Upon delivery aliquot
Storage information
Avoid freeze / thaw cycle

Supplementary information

This supplementary information is collated from multiple sources and compiled automatically.

ANGPTL3 also known as angiopoietin-like protein 3 or betatrophin is a protein that functions mechanistically in lipid metabolism. It consists of approximately 70 kDa mass and is expressed mainly in the liver. ANGPTL3 is synthesized and secreted as a glycoprotein and it undergoes post-translational modifications important for its function. The protein exists predominantly in a monomeric form in circulation.
Biological function summary

ANGPTL3 inhibits lipoprotein lipase (LPL) activity to regulate plasma lipid levels. It independently interacts with lipids and facilitates the storage of triglycerides making it an important modulator of lipid metabolism. ANGPTL3 does not form a stable complex with other proteins but modulates the presence and stability of LPL on the endothelial surface reducing lipid clearance. ANGPT1 ELISA can measure ANGPTL3 levels as part of routine assays including ANGPTL3 ELISA and beta-trophin ELISA.

Pathways

ANGPTL3 plays a central role in the lipid metabolism and energy homeostasis pathways. In the lipid metabolism pathway ANGPTL3's ability to inhibit LPL links it to other proteins involved in lipid transport and storage such as LDL and HDL particles. Another related protein ANGPTL4 shares similar functions with ANGPTL3 indicating a level of redundancy and regulation within these pathways. ANGPTL3 like ANGPTL4 is a significant player in balancing lipid processing and storage.

ANGPTL3 strongly associates with hyperlipidemia and atherosclerosis. Abnormalities in ANGPTL3 levels can lead to altered lipid profiles raising the risk for cardiovascular diseases. Familial combined hypolipidemia involves mutations in the ANGPTL3 gene leading to drastically lower lipid levels. Disorders such as hypercholesterolemia also demonstrate connections with ANGPTL3 highlighting its role in lipid imbalance. These associations make the anti-ANGPTL3 antibodies important for the study and treatment of such lipid disorders.

Product protocols

For this product, it's our understanding that no specific protocols are required. You can visit:

Target data

Acts in part as a hepatokine that is involved in regulation of lipid and glucose metabolism (PubMed : 11788823, PubMed : 12909640, PubMed : 23661675, PubMed : 25495645). Proposed to play a role in the trafficking of energy substrates to either storage or oxidative tissues in response to food intake (By similarity). Has a stimulatory effect on plasma triglycerides (TG), which is achieved by suppressing plasma TG clearance via inhibition of LPL activity. The inhibition of LPL activity appears to be an indirect mechanism involving recruitment of proprotein convertases PCSK6 and FURIN to LPL leading to cleavage and dissociation of LPL from the cell surface; the function does not require ANGPTL3 proteolytic cleavage but seems to be mediated by the N-terminal domain, and is not inhibited by GPIHBP1 (PubMed : 12097324, PubMed : 19318355, PubMed : 20581395). Can inhibit endothelial lipase, causing increased plasma levels of high density lipoprotein (HDL) cholesterol and phospholipids (PubMed : 17110602, PubMed : 19028676). Can bind to adipocytes to activate lipolysis, releasing free fatty acids and glycerol (PubMed : 12565906). Suppresses LPL specifically in oxidative tissues which is required to route very low density lipoprotein (VLDL)-TG to white adipose tissue (WAT) for storage in response to food; the function may involve cooperation with circulating, liver-derived ANGPTL8 and ANGPTL4 expression in WAT (By similarity). Contributes to lower plasma levels of low density lipoprotein (LDL)-cholesterol by a mechanism that is independent of the canonical pathway implicating APOE and LDLR. May stimulate hypothalamic LPL activity (By similarity).. ANGPTL3(17-221). In vitro inhibits LPL activity; not effective on GPIHBP1-stabilized LPL.. Involved in angiogenesis. Binds to endothelial cells via integrin alpha-V/beta-3 (ITGAV : ITGB3), activates FAK, MAPK and Akt signaling pathways and induces cell adhesion and cell migration (PubMed : 11877390). Secreted from podocytes, may modulate properties of glomerular endothelial cells involving integrin alpha-V/beta-3 and Akt signaling (PubMed : 18535744). May increase the motility of podocytes. May induce actin filament rearrangements in podocytes implicating integrin alpha-V/beta-3 and Rac1 activation. Binds to hematopoietic stem cells (HSC) and is involved in the regulation of HSC activity probably implicating down-regulation of IKZF1/IKAROS (By similarity).
See full target information ANGPTL3

Publications (1)

Recent publications for all applications. Explore the full list and refine your search

International journal of medical sciences 16:1642-1651 PubMed31839752

2019

Inhibition of Triple-Negative Breast Cancer Tumor Growth by Electroacupuncture with Encircled Needling and Its Mechanisms in a Mice Xenograft Model.

Applications

Unspecified application

Species

Unspecified reactive species

Xin Jiang,Yehong Tian,Lin Xu,Qiaoli Zhang,Yuxiang Wan,Xuewei Qi,Bo Li,Jing Guo,Weiliang Sun,Aiping Luo,Jinchang Huang,Xiaohong Gu
View all publications

Product promise

We are committed to supporting your work with high-quality reagents, and we're here for you every step of the way. In the unlikely event that one of our products does not perform as expected, you're protected by our Product Promise.
For full details, please see our Terms & Conditions

Please note: All products are 'FOR RESEARCH USE ONLY. NOT FOR USE IN DIAGNOSTIC OR THERAPEUTIC PROCEDURES'.

For licensing inquiries, please contact partnerships@abcam.com