JavaScript is disabled in your browser. Please enable JavaScript to view this website.
AB84676

Anti-Anillin antibody

4

(1 Review)

|

(1 Publication)

Rabbit Polyclonal Anillin antibody. Suitable for IHC-P and reacts with Human samples. Cited in 1 publication.

View Alternative Names

Anillin, ANLN

2 Images
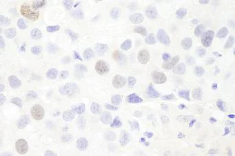
Immunohistochemistry (Formalin/PFA-fixed paraffin-embedded sections) - Anti-Anillin antibody (AB84676)
  • IHC-P

Unknown

Immunohistochemistry (Formalin/PFA-fixed paraffin-embedded sections) - Anti-Anillin antibody (AB84676)

Immunohistochemistry analysis of formalin-fixed, paraffin-embedded Human breast carcinoma using 1/250 ab84676, followed by DAB staining.

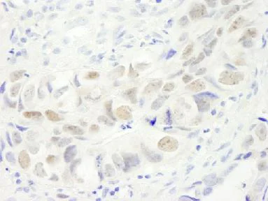
Immunohistochemistry (Formalin/PFA-fixed paraffin-embedded sections) - Anti-Anillin antibody (AB84676)
  • IHC-P

Unknown

Immunohistochemistry (Formalin/PFA-fixed paraffin-embedded sections) - Anti-Anillin antibody (AB84676)

Immunohistochemistry analysis of formalin-fixed, paraffin-embedded Human colon carcinoma using 1/250 ab84676, followed by DAB staining.

Key facts

Host species

Rabbit

Clonality

Polyclonal

Isotype

IgG

Carrier free

No

Reacts with

Human

Applications

IHC-P

applications

Immunogen

The exact immunogen used to generate this antibody is proprietary information.

Reactivity data

{ "title": "Reactivity Data", "filters": { "stats": ["", "Species", "Dilution Info", "Notes"], "tabs": { "all-applications": {"fullname" : "All Applications", "shortname": "All Applications"}, "IHCP" : {"fullname" : "Immunohistochemistry (Formalin/PFA-fixed paraffin-embedded sections)", "shortname":"IHC-P"} }, "product-promise": { "all": "all", "testedAndGuaranteed": "tested", "guaranteed": "expected", "predicted": "predicted", "notRecommended": "not-recommended" } }, "values": { "Human": { "IHCP-species-checked": "testedAndGuaranteed", "IHCP-species-dilution-info": "1/100 - 1/500", "IHCP-species-notes": "<p>Antigen retrieval with citrate buffer may enhance staining. Note: expected to work on frozen sections.</p>" }, "Chimpanzee": { "IHCP-species-checked": "predicted", "IHCP-species-dilution-info": "", "IHCP-species-notes": "" }, "Cow": { "IHCP-species-checked": "predicted", "IHCP-species-dilution-info": "", "IHCP-species-notes": "" }, "Dog": { "IHCP-species-checked": "predicted", "IHCP-species-dilution-info": "", "IHCP-species-notes": "" }, "Elephant": { "IHCP-species-checked": "predicted", "IHCP-species-dilution-info": "", "IHCP-species-notes": "" }, "Gorilla": { "IHCP-species-checked": "predicted", "IHCP-species-dilution-info": "", "IHCP-species-notes": "" }, "Orangutan": { "IHCP-species-checked": "predicted", "IHCP-species-dilution-info": "", "IHCP-species-notes": "" }, "Pig": { "IHCP-species-checked": "predicted", "IHCP-species-dilution-info": "", "IHCP-species-notes": "" }, "Rabbit": { "IHCP-species-checked": "predicted", "IHCP-species-dilution-info": "", "IHCP-species-notes": "" }, "Rhesus monkey": { "IHCP-species-checked": "predicted", "IHCP-species-dilution-info": "", "IHCP-species-notes": "" } } }

Properties and storage information

Form
Liquid
Purification technique
Affinity purification Immunogen
Storage buffer
pH: 6.8 - 7.4 Preservative: 0.09% Sodium azide Constituents: Tris buffered saline, 0.1% BSA
Shipped at conditions
Blue Ice
Appropriate short-term storage conditions
+4°C
Appropriate long-term storage conditions
-20°C
Aliquoting information
Upon delivery aliquot
Storage information
Avoid freeze / thaw cycle

Supplementary information

This supplementary information is collated from multiple sources and compiled automatically.

Anillin also known as ANLN is a conserved protein with a molecular weight of approximately 124 kDa. It plays an important role in the regulation of the cytoskeleton particularly during cell division. Anillin localizes mainly at the cleavage furrow during cytokinesis and interacts with several cytoskeletal components including actin filaments and myosin. Expression of Anillin occurs in various tissues but it is most abundant in rapidly dividing cells such as those found in cancers and during embryonic development.
Biological function summary

Anillin acts as a scaffold protein coordinating the assembly of the contractile ring during mitosis and cytokinesis. By binding to actin and myosin and sometimes septins Anillin ensures the successful completion of cell division. It forms part of a complex with these proteins promoting stability and functionality of the cleavage furrow. Anillin's structural role is critical for the maintenance and integrity of the dividing cell's structure.

Pathways

Anillin plays a role in the RHO signaling pathway and the cytoskeleton remodeling pathway. It interacts with other proteins in these pathways such as RhoA and Ect2 facilitating the precise control of contractile ring formation. These interactions recruit additional factors to the cleavage site organizing cellular machinery for the final stages of cell division. Anillin's involvement in these pathways underlines its significance in both cell signaling and structural organization.

Anillin has been correlated with cancer progression and metastasis. Overexpression of Anillin has been observed in several types of cancers including breast and lung cancer. It interacts with proteins such as Aurora B kinase linking Anillin to tumor cell proliferation and survival. Understanding Anillin's function and interactions can offer insights into potential therapeutic strategies for targeting dysregulated cell division in cancer.

Product protocols

For this product, it's our understanding that no specific protocols are required. You can visit:

Target data

Required for cytokinesis (PubMed : 16040610). Essential for the structural integrity of the cleavage furrow and for completion of cleavage furrow ingression. Plays a role in bleb assembly during metaphase and anaphase of mitosis (PubMed : 23870127). May play a significant role in podocyte cell migration (PubMed : 24676636).
See full target information ANLN

Publications (1)

Recent publications for all applications. Explore the full list and refine your search

Life sciences 159:104-110 PubMed26874031

2016

Endothelin ETA receptors predominate in chronic thromboembolic pulmonary hypertension.

Applications

Unspecified application

Species

Unspecified reactive species

Mark Southwood,Robert V MacKenzie Ross,Rhoda E Kuc,Guy Hagan,Karen K Sheares,David P Jenkins,Martin Goddard,Anthony P Davenport,Joanna Pepke-Zaba
View all publications

Product promise

We are committed to supporting your work with high-quality reagents, and we're here for you every step of the way. In the unlikely event that one of our products does not perform as expected, you're protected by our Product Promise.
For full details, please see our Terms & Conditions

Please note: All products are 'FOR RESEARCH USE ONLY. NOT FOR USE IN DIAGNOSTIC OR THERAPEUTIC PROCEDURES'.

For licensing inquiries, please contact partnerships@abcam.com