JavaScript is disabled in your browser. Please enable JavaScript to view this website.
AB306590

Anti-ANK-3 antibody [EPR26551-66] - BSA and Azide free

Be the first to review this product! Submit a review

|

(0 Publication)

Rabbit Recombinant Monoclonal ANK-3 antibody. Carrier free. Suitable for IHC-Fr, IHC-P, WB and reacts with Rat, Mouse, Human samples.

View Alternative Names

Ankyrin-3, ANK-3, Ankyrin-G, ANK3

13 Images
Immunohistochemistry - Anti-ANK-3 antibody [EPR26551-66] - BSA and Azide free (AB306590)
  • IHC

Supplier Data

Immunohistochemistry - Anti-ANK-3 antibody [EPR26551-66] - BSA and Azide free (AB306590)

This data was developed using ab306589, the same antibody clone in a different buffer formulation. Immunohistochemical analysis of paraffin-embedded human spleen tissue labeling ANK-3 with ab306589 at 1/4000 (0.125 ug/ml) followed by ready to use LeicaDS9800 (Bond® Polymer Refine Detection). Negative control : No staining on human spleen (PMID : 7615634). The section was incubated with ab306589 for 30 mins at room temperature. The immunostaining was performed on a Leica Biosystems BOND® RX instrument. Counterstained with Hematoxylin. Secondary antibody only control : Secondary antibody is ready to use LeicaDS9800 (Bond® Polymer Refine Detection). Heat mediated antigen retrieval was performed with Tris-EDTA buffer (pH 9.0, Epitope Retrieval Solution2) for 20 mins.

Immunohistochemistry - Anti-ANK-3 antibody [EPR26551-66] - BSA and Azide free (AB306590)
  • IHC

Supplier Data

Immunohistochemistry - Anti-ANK-3 antibody [EPR26551-66] - BSA and Azide free (AB306590)

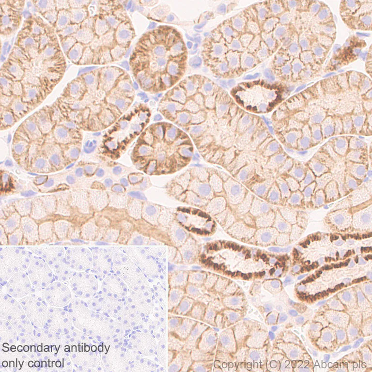
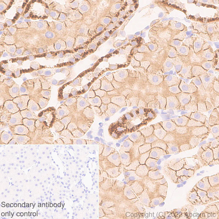
This data was developed using ab306589, the same antibody clone in a different buffer formulation. Immunohistochemical analysis of paraffin-embedded human kidney tissue labeling ANK-3 with ab306589 at 1/2000 (0.25 ug/ml) followed by ready to use LeicaDS9800 (Bond® Polymer Refine Detection). Positive staining on human kidney. The section was incubated with ab306589 for 30 mins at room temperature. The immunostaining was performed on a Leica Biosystems BOND® RX instrument. Counterstained with Hematoxylin. Secondary antibody only control : Secondary antibody is ready to use LeicaDS9800 (Bond® Polymer Refine Detection). Heat mediated antigen retrieval was performed with Tris-EDTA buffer (pH 9.0, Epitope Retrieval Solution2) for 20 mins.

Immunohistochemistry (Frozen sections) - Anti-ANK-3 antibody [EPR26551-66] - BSA and Azide free (AB306590)
  • IHC-Fr

Supplier Data

Immunohistochemistry (Frozen sections) - Anti-ANK-3 antibody [EPR26551-66] - BSA and Azide free (AB306590)

This data was developed using ab306589, the same antibody clone in a different buffer formulation. Immunohistochemical analysis of 4% PFA-fixed, 0.2% Triton X-100 permeabilized frozen rat spleen (fresh) tissue labeling ANK-3 with ab306589 at 1/300 (1.663 ug/ml) dilution followed by ab150081 Goat Anti-Rabbit IgG H&L (Alexa Fluor® 488) preadsorbed at 1/1000 (2 ug/mL) dilution (Green). Negative control : confocal image showing no staining on rat spleen. The section was incubated with ab306589 for 60 mins at room temperature. The section was then mounted using Fluoromount®. The immunostaining was performed on a Leica Biosystems BOND® RX instrument. Image was taken with a confocal microscope (Leica-Microsystems, TCS SP8). The nuclear counterstain was DAPI (Blue). Secondary antibody control : Secondary antibody is ab150081 Goat Anti-Rabbit IgG H&L (Alexa Fluor® 488) preadsorbed at 1/1000 (2 ug/mL) dilution.

Immunohistochemistry - Anti-ANK-3 antibody [EPR26551-66] - BSA and Azide free (AB306590)
  • IHC

Supplier Data

Immunohistochemistry - Anti-ANK-3 antibody [EPR26551-66] - BSA and Azide free (AB306590)

This data was developed using ab306589, the same antibody clone in a different buffer formulation. Immunohistochemical analysis of paraffin-embedded rat kidney tissue labeling ANK-3 with ab306589 at 1/4000 (0.125 ug/ml) followed by ready to use LeicaDS9800 (Bond® Polymer Refine Detection). Positive staining on rat kidney (PMID : 26727517, 15611082). The section was incubated with ab306589 for 30 mins at room temperature. The immunostaining was performed on a Leica Biosystems BOND® RX instrument. Counterstained with Hematoxylin. Secondary antibody only control : Secondary antibody is ready to use LeicaDS9800 (Bond® Polymer Refine Detection). Heat mediated antigen retrieval was performed with Tris-EDTA buffer (pH 9.0, Epitope Retrieval Solution2) for 20 mins.

Immunohistochemistry - Anti-ANK-3 antibody [EPR26551-66] - BSA and Azide free (AB306590)
  • IHC

Supplier Data

Immunohistochemistry - Anti-ANK-3 antibody [EPR26551-66] - BSA and Azide free (AB306590)

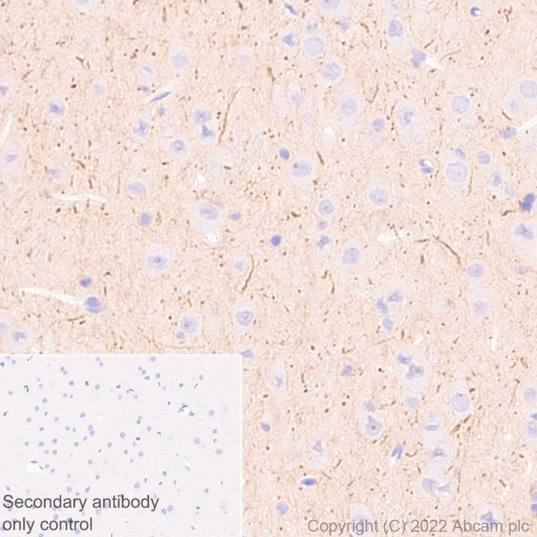
This data was developed using ab306589, the same antibody clone in a different buffer formulation. Immunohistochemical analysis of paraffin-embedded mouse cerebrum tissue labeling ANK-3 with ab306589 at 1/4000 (0.125 ug/ml) followed by ready to use LeicaDS9800 (Bond® Polymer Refine Detection). Positive staining on mouse cerebrum (PMID : 22131424). The section was incubated with ab306589 for 30 mins at room temperature. The immunostaining was performed on a Leica Biosystems BOND® RX instrument. Counterstained with Hematoxylin. Secondary antibody only control : Secondary antibody is ready to use LeicaDS9800 (Bond® Polymer Refine Detection). Heat mediated antigen retrieval was performed with Tris-EDTA buffer (pH 9.0, Epitope Retrieval Solution2) for 20 mins.

Immunohistochemistry - Anti-ANK-3 antibody [EPR26551-66] - BSA and Azide free (AB306590)
  • IHC

Supplier Data

Immunohistochemistry - Anti-ANK-3 antibody [EPR26551-66] - BSA and Azide free (AB306590)

This data was developed using ab306589, the same antibody clone in a different buffer formulation. Immunohistochemical analysis of paraffin-embedded mouse kidney tissue labeling ANK-3 with ab306589 at 1/4000 (0.125 ug/ml) followed by ready to use LeicaDS9800 (Bond® Polymer Refine Detection). Positive staining on mouse kidney (PMID : 26727517, 15611082). The section was incubated with ab306589 for 30 mins at room temperature. The immunostaining was performed on a Leica Biosystems BOND® RX instrument. Counterstained with Hematoxylin. Secondary antibody only control : Secondary antibody is ready to use LeicaDS9800 (Bond® Polymer Refine Detection). Heat mediated antigen retrieval was performed with Tris-EDTA buffer (pH 9.0, Epitope Retrieval Solution2) for 20 mins.

Immunohistochemistry (Frozen sections) - Anti-ANK-3 antibody [EPR26551-66] - BSA and Azide free (AB306590)
  • IHC-Fr

Supplier Data

Immunohistochemistry (Frozen sections) - Anti-ANK-3 antibody [EPR26551-66] - BSA and Azide free (AB306590)

This data was developed using ab306589, the same antibody clone in a different buffer formulation. Immunohistochemical analysis of 4% PFA-fixed, 0.2% Triton X-100 permeabilized frozen rat cerebrum (fresh) tissue labeling ANK-3 with ab306589 at 1/300 (1.663 ug/ml) dilution followed by ab150081 Goat Anti-Rabbit IgG H&L (Alexa Fluor® 488) preadsorbed at 1/1000 (2 ug/mL) dilution (Green). Confocal image showing positive staining on rat cerebrum. The section was incubated with ab306589 for 60 mins at room temperature. The section was then mounted using Fluoromount®. The immunostaining was performed on a Leica Biosystems BOND® RX instrument. Image was taken with a confocal microscope (Leica-Microsystems, TCS SP8). The nuclear counterstain was DAPI (Blue). Secondary antibody control : Secondary antibody is ab150081 Goat Anti-Rabbit IgG H&L (Alexa Fluor® 488) preadsorbed at 1/1000 (2 ug/mL) dilution.

Immunohistochemistry (Frozen sections) - Anti-ANK-3 antibody [EPR26551-66] - BSA and Azide free (AB306590)
  • IHC-Fr

Supplier Data

Immunohistochemistry (Frozen sections) - Anti-ANK-3 antibody [EPR26551-66] - BSA and Azide free (AB306590)

This data was developed using ab306589, the same antibody clone in a different buffer formulation. Immunohistochemical analysis of 4% PFA-fixed, 0.2% Triton X-100 permeabilized frozen mouse cerebrum (fresh) tissue labeling ANK-3 with ab306589 at 1/300 (1.663 ug/ml) dilution followed by ab150081 Goat Anti-Rabbit IgG H&L (Alexa Fluor® 488) preadsorbed at 1/1000 (2 ug/mL) dilution (Green). Confocal image showing positive staining on mouse cerebrum. The section was incubated with ab306589 for 60 mins at room temperature. The section was then mounted using Fluoromount®. The immunostaining was performed on a Leica Biosystems BOND® RX instrument. Image was taken with a confocal microscope (Leica-Microsystems, TCS SP8). The nuclear counterstain was DAPI (Blue). Secondary antibody control : Secondary antibody is ab150081 Goat Anti-Rabbit IgG H&L (Alexa Fluor® 488) preadsorbed at 1/1000 (2 ug/mL) dilution.

Immunohistochemistry - Anti-ANK-3 antibody [EPR26551-66] - BSA and Azide free (AB306590)
  • IHC

Supplier Data

Immunohistochemistry - Anti-ANK-3 antibody [EPR26551-66] - BSA and Azide free (AB306590)

This data was developed using ab306589, the same antibody clone in a different buffer formulation. Immunohistochemical analysis of paraffin-embedded rat cerebrum tissue labeling ANK-3 with ab306589 at 1/4000 (0.125 ug/ml) followed by ready to use LeicaDS9800 (Bond® Polymer Refine Detection). Positive staining on rat cerebrum (PMID : 22131424). The section was incubated with ab306589 for 30 mins at room temperature. The immunostaining was performed on a Leica Biosystems BOND® RX instrument. Counterstained with Hematoxylin. Secondary antibody only control : Secondary antibody is ready to use LeicaDS9800 (Bond® Polymer Refine Detection). Heat mediated antigen retrieval was performed with Tris-EDTA buffer (pH 9.0, Epitope Retrieval Solution2) for 20 mins.

Immunohistochemistry (Frozen sections) - Anti-ANK-3 antibody [EPR26551-66] - BSA and Azide free (AB306590)
  • IHC-Fr

Supplier Data

Immunohistochemistry (Frozen sections) - Anti-ANK-3 antibody [EPR26551-66] - BSA and Azide free (AB306590)

This data was developed using ab306589, the same antibody clone in a different buffer formulation. Immunohistochemical analysis of 4% PFA-fixed, 0.2% Triton X-100 permeabilized frozen mouse spleen (fresh) tissue labeling ANK-3 with ab306589 at 1/300 (1.663 ug/ml) dilution followed by ab150081 Goat Anti-Rabbit IgG H&L (Alexa Fluor® 488) preadsorbed at 1/1000 (2 ug/mL) dilution (Green). Negative control : confocal image showing no staining on mouse spleen (PMID : 7615634). The section was incubated with ab306589 for 60 mins at room temperature. The section was then mounted using Fluoromount®. The immunostaining was performed on a Leica Biosystems BOND® RX instrument. Image was taken with a confocal microscope (Leica-Microsystems, TCS SP8). The nuclear counterstain was DAPI (Blue). Secondary antibody control : Secondary antibody is ab150081 Goat Anti-Rabbit IgG H&L (Alexa Fluor® 488) preadsorbed at 1/1000 (2 ug/mL) dilution.

Western blot - Anti-ANK-3 antibody [EPR26551-66] - BSA and Azide free (AB306590)
  • WB

Supplier Data

Western blot - Anti-ANK-3 antibody [EPR26551-66] - BSA and Azide free (AB306590)

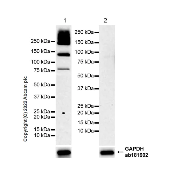
This data was developed using ab306589, the same antibody clone in a different buffer formulation. Blocking and diluting buffer and concentration : 5% NFDM/TBST. Low expression : HepG2 (protein atlas database). Lysates were freshly made and used for Western blotting immediately to minimize protein degradation. Exposure time : 180 seconds. Observed bands : 111, 160, 202, 204, 480 kDa.

All lanes:

Western blot - Anti-ANK-3 antibody [EPR26551-66] (<a href='/en-us/products/primary-antibodies/ank-3-antibody-epr26551-66-ab306589'>ab306589</a>) at 1/1000 dilution

Lane 1:

SK-BR-3 (human breast adenocarcinoma epithelial cell), whole cell lysate 10 μg

Lane 2:

HepG2 (human hepatocellar carcinoma epithelial cell), whole cell lysate 10 μg

Secondary

All lanes:

Western blot - Goat Anti-Rabbit IgG H&L (HRP) (<a href='/en-us/products/secondary-antibodies/goat-rabbit-igg-h-l-hrp-ab97051'>ab97051</a>) at 1/100000 dilution

Observed band size: 480 kDa,204 kDa,202 kDa,160 kDa,111 kDa

false

Exposure time: 180s

Western blot - Anti-ANK-3 antibody [EPR26551-66] - BSA and Azide free (AB306590)
  • WB

Supplier Data

Western blot - Anti-ANK-3 antibody [EPR26551-66] - BSA and Azide free (AB306590)

This data was developed using ab306589, the same antibody clone in a different buffer formulation. Blocking and diluting buffer and concentration : 5% NFDM/TBST. Lysates of lane 2 was freshly made and used for Western blotting immediately to minimize protein degradation. Exposure time : Lane 1 : 26 seconds, Lane 2 : 180 seconds.

All lanes:

Western blot - Anti-ANK-3 antibody [EPR26551-66] (<a href='/en-us/products/primary-antibodies/ank-3-antibody-epr26551-66-ab306589'>ab306589</a>) at 1/1000 dilution

Lane 1:

Rat brain tissue lysate 10 μg

Lane 2:

Rat cerebral cortex tissue lysate 10 μg

Secondary

All lanes:

Western blot - Goat Anti-Rabbit IgG H&L (HRP) (<a href='/en-us/products/secondary-antibodies/goat-rabbit-igg-h-l-hrp-ab97051'>ab97051</a>) at 1/100000 dilution

Observed band size: 99 kDa,188 kDa,121 kDa,209 kDa,214 kDa

false

Exposure time: 26s

Western blot - Anti-ANK-3 antibody [EPR26551-66] - BSA and Azide free (AB306590)
  • WB

Supplier Data

Western blot - Anti-ANK-3 antibody [EPR26551-66] - BSA and Azide free (AB306590)

This data was developed using ab306589, the same antibody clone in a different buffer formulation. Blocking and diluting buffer and concentration : 5% NFDM/TBST. Lysates of Lanes 3 and 4 were freshly made and used for Western blotting immediately to minimize protein degradation. The MW is consistent to what has been described in the literature (PMID : 7615634). Negative control : spleen (PMID : 7615634). Exposure time : Lanes 1 and 2 : 180 seconds, Lanes 3 and 4 : 136 seconds. Observed MW : 99, 121, 188, 209, 214 kDa.

All lanes:

Western blot - Anti-ANK-3 antibody [EPR26551-66] (<a href='/en-us/products/primary-antibodies/ank-3-antibody-epr26551-66-ab306589'>ab306589</a>) at 1/1000 dilution

Lanes 1 and 3:

Mouse brain tissue lysate 10 μg

Lanes 2 and 4:

Mouse spleen tissue lysate 10 μg

Secondary

All lanes:

Western blot - Goat Anti-Rabbit IgG H&L (HRP) (<a href='/en-us/products/secondary-antibodies/goat-rabbit-igg-h-l-hrp-ab97051'>ab97051</a>) at 1/100000 dilution

Observed band size: 214 kDa,209 kDa,188 kDa,121 kDa,99 kDa

false

Exposure time: 180s

Key facts

Host species

Rabbit

Clonality

Monoclonal

Clone number

EPR26551-66

Isotype

IgG

Carrier free

Yes

Reacts with

Mouse, Rat, Human

Applications

IHC-P, IHC-Fr, WB

applications

Immunogen

The exact immunogen used to generate this antibody is proprietary information.

Reactivity data

{ "title": "Reactivity Data", "filters": { "stats": ["", "Species", "Dilution Info", "Notes"], "tabs": { "all-applications": {"fullname" : "All Applications", "shortname": "All Applications"}, "IP" : {"fullname" : "Immunoprecipitation", "shortname":"IP"}, "FlowCytIntra" : {"fullname" : "Flow Cytometry (Intracellular)", "shortname":"Flow Cyt (Intra)"}, "ICCIF" : {"fullname" : "Immunocytochemistry/ Immunofluorescence", "shortname":"ICC/IF"}, "IHCFr" : {"fullname" : "Immunohistochemistry (Frozen sections)", "shortname":"IHC-Fr"}, "IHCP" : {"fullname" : "Immunohistochemistry (Formalin/PFA-fixed paraffin-embedded sections)", "shortname":"IHC-P"}, "WB" : {"fullname" : "Western blot", "shortname":"WB"} }, "product-promise": { "all": "all", "testedAndGuaranteed": "tested", "guaranteed": "expected", "predicted": "predicted", "notRecommended": "not-recommended" } }, "values": { "Human": { "IP-species-checked": "notRecommended", "IP-species-dilution-info": "", "IP-species-notes": "<p></p>", "FlowCytIntra-species-checked": "notRecommended", "FlowCytIntra-species-dilution-info": "", "FlowCytIntra-species-notes": "<p></p>", "ICCIF-species-checked": "notRecommended", "ICCIF-species-dilution-info": "", "ICCIF-species-notes": "<p></p>", "IHCFr-species-checked": "guaranteed", "IHCFr-species-dilution-info": "", "IHCFr-species-notes": "", "IHCP-species-checked": "testedAndGuaranteed", "IHCP-species-dilution-info": "", "IHCP-species-notes": "<p></p>", "WB-species-checked": "testedAndGuaranteed", "WB-species-dilution-info": "", "WB-species-notes": "<p></p>" }, "Mouse": { "IP-species-checked": "notRecommended", "IP-species-dilution-info": "", "IP-species-notes": "<p></p>", "FlowCytIntra-species-checked": "notRecommended", "FlowCytIntra-species-dilution-info": "", "FlowCytIntra-species-notes": "<p></p>", "ICCIF-species-checked": "notRecommended", "ICCIF-species-dilution-info": "", "ICCIF-species-notes": "<p></p>", "IHCFr-species-checked": "testedAndGuaranteed", "IHCFr-species-dilution-info": "", "IHCFr-species-notes": "<p></p>", "IHCP-species-checked": "testedAndGuaranteed", "IHCP-species-dilution-info": "", "IHCP-species-notes": "<p></p>", "WB-species-checked": "testedAndGuaranteed", "WB-species-dilution-info": "", "WB-species-notes": "<p></p>" }, "Rat": { "IP-species-checked": "notRecommended", "IP-species-dilution-info": "", "IP-species-notes": "<p></p>", "FlowCytIntra-species-checked": "notRecommended", "FlowCytIntra-species-dilution-info": "", "FlowCytIntra-species-notes": "", "ICCIF-species-checked": "notRecommended", "ICCIF-species-dilution-info": "", "ICCIF-species-notes": "<p></p>", "IHCFr-species-checked": "testedAndGuaranteed", "IHCFr-species-dilution-info": "", "IHCFr-species-notes": "<p></p>", "IHCP-species-checked": "testedAndGuaranteed", "IHCP-species-dilution-info": "", "IHCP-species-notes": "<p></p>", "WB-species-checked": "testedAndGuaranteed", "WB-species-dilution-info": "", "WB-species-notes": "<p></p>" } } }

Product details

Patented technology
Our RabMAb® technology is a patented hybridoma-based technology for making rabbit monoclonal antibodies. For details on our patents, please refer to RabMAb® patents.

What are the advantages of a recombinant monoclonal antibody?
This product is a recombinant monoclonal antibody, which offers several advantages including:

  • - High batch-to-batch consistency and reproducibility
  • - Improved sensitivity and specificity
  • - Long-term security of supply
  • - Animal-free batch production

For more information, read more on recombinant antibodies.

Conjugation ready
Our carrier-free antibodies are typically supplied in a PBS-only formulation, purified and free of BSA, sodium azide and glycerol. This conjugation-ready format is designed for use with fluorochromes, metal isotopes, oligonucleotides, and enzymes, which makes them ideal for antibody labelling, functional and cell-based assays, flow-based assays (e.g. mass cytometry) and Multiplex Imaging applications.

Use our conjugation kits for antibody conjugates that are ready-to-use in as little as 20 minutes with 1 minute hands-on-time and 100% antibody recovery: available for fluorescent dyes, HRP, biotin and gold.

Compatibility
This product is compatible with the Maxpar® Antibody Labeling Kit from Fluidigm, without the need for antibody preparation. Maxpar® is a trademark of Fluidigm Canada Inc.

Properties and storage information

Form
Liquid
Purification technique
Affinity purification Protein A
Storage buffer
pH: 7.2 - 7.4 Constituents: PBS
Shipped at conditions
Blue Ice
Appropriate short-term storage conditions
+4°C
Appropriate long-term storage conditions
+4°C

Supplementary information

This supplementary information is collated from multiple sources and compiled automatically.

ANK-3 also known as ankyrin-G has a significant role in maintaining the structural integrity and function of cells. It is a cytoskeletal protein with a molecular weight approximately 220 kDa. ANK-3 is expressed in a wide variety of tissues with high expression in the brain heart and skeletal muscle. It links integral membrane proteins to the underlying spectrin-actin cytoskeleton stabilizing the cellular membrane and organizing membrane domains.
Biological function summary

The interaction of ANK-3 with various proteins contributes to cellular activities. ANK-3 binds to key molecules like ion channels and cell adhesion molecules making it an integral part of the cell membrane-cytoskeleton interface. It is a member of the ankyrin family which includes ANK and ANK-106 providing different isoforms like ANK-3 isoforms that contribute to its diverse functional roles. ANK-3 associates with specific complexes facilitating the localization of nodes of Ranvier in axons and maintaining polarized distribution of channels in neurons.

Pathways

ANK-3 serves a major function in the neurobiological and cardiac pathways. It plays a role in the regulation of action potentials in neurons through its interaction with ion channels and is essential in cardiac muscle function by associating with proteins involved in heart rhythm regulation. ANK-3 through these pathways exhibits functional relationships with proteins such as ANK-2 and 2a8 which further influence cellular excitability and signaling.

Disruptions in ANK-3 function associate with neuropsychiatric disorders and cardiac arrhythmias. ANK-3 dysfunction has been implicated in bipolar disorder where genetic variations may affect its molecular interactions leading to altered neuronal signaling. In cardiac contexts improper expression or mutations of ANK-3 can contribute to arrhythmogenic disorders sometimes in coordination with proteins such as n106 and other ankyrins impacting cardiac stability.

Product protocols

For this product, it's our understanding that no specific protocols are required. You can visit:

Target data

Membrane-cytoskeleton linker. May participate in the maintenance/targeting of ion channels and cell adhesion molecules at the nodes of Ranvier and axonal initial segments (PubMed : 7836469). In skeletal muscle, required for costamere localization of DMD and betaDAG1 (By similarity). Regulates KCNA1 channel activity in function of dietary Mg(2+) levels, and thereby contributes to the regulation of renal Mg(2+) reabsorption (PubMed : 23903368). Required for intracellular adhesion and junctional conductance in myocytes, potentially via stabilization of GJA1/CX43 protein abundance and promotion of PKP2, GJA1/CX43, and SCN5A/Nav1.5 localization to cell-cell junctions (By similarity).. Isoform 5. May be part of a Golgi-specific membrane cytoskeleton in association with beta-spectrin.
See full target information ANK3

Product promise

We are committed to supporting your work with high-quality reagents, and we're here for you every step of the way. In the unlikely event that one of our products does not perform as expected, you're protected by our Product Promise.
For full details, please see our Terms & Conditions

Please note: All products are 'FOR RESEARCH USE ONLY. NOT FOR USE IN DIAGNOSTIC OR THERAPEUTIC PROCEDURES'.

For licensing inquiries, please contact partnerships@abcam.com