JavaScript is disabled in your browser. Please enable JavaScript to view this website.
AB204396

Anti-ANKRD10 antibody

Be the first to review this product! Submit a review

|

(1 Publication)

Rabbit Polyclonal ANKRD10 antibody. Suitable for IHC-P, WB, ICC/IF and reacts with Human samples. Cited in 1 publication. Immunogen corresponding to Recombinant Fragment Protein within Human Ankyrin repeat domain-containing protein 10 aa 100-250.

View Alternative Names

Ankyrin repeat domain-containing protein 10, ANKRD10

3 Images
Immunocytochemistry/ Immunofluorescence - Anti-ANKRD10 antibody (AB204396)
  • ICC/IF

Supplier Data

Immunocytochemistry/ Immunofluorescence - Anti-ANKRD10 antibody (AB204396)

Immunocytochemical analysis of permeabilized U-2 OS (Human bone osteosarcoma epithelial cell line) whole cells labeling ANKRD10 in the cytoplasm and microtubules (green) with ab204396 at 2 μg/ml.

Western blot - Anti-ANKRD10 antibody (AB204396)
  • WB

Supplier Data

Western blot - Anti-ANKRD10 antibody (AB204396)

All lanes:

Western blot - Anti-ANKRD10 antibody (ab204396) at 0.4 µg/mL

Lane 1:

RT4 (Human urinary bladder cancer cell line) whole cell lysate

Lane 2:

U-251 MG (formally U-373 MG) (Human brain glioma cell line) whole cell lysate

Predicted band size: 45 kDa

false

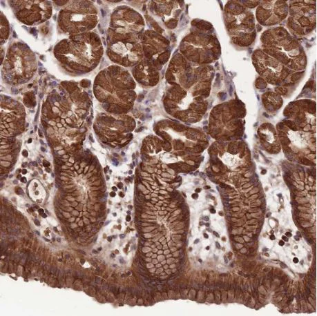
Immunohistochemistry (Formalin/PFA-fixed paraffin-embedded sections) - Anti-ANKRD10 antibody (AB204396)
  • IHC-P

Supplier Data

Immunohistochemistry (Formalin/PFA-fixed paraffin-embedded sections) - Anti-ANKRD10 antibody (AB204396)

Immunohistochemical analysis of human stomach tissue labeling ANKRD10 in the shows cytoplasm of glandular cells with ab204396 at a 1/200 dilution.

Performed heat mediated antigen retrieval with citrate buffer pH 6 before commencing with IHC staining protocol.

Key facts

Host species

Rabbit

Clonality

Polyclonal

Isotype

IgG

Carrier free

No

Reacts with

Human

Applications

ICC/IF, IHC-P, WB

applications

Immunogen

Recombinant Fragment Protein within Human Ankyrin repeat domain-containing protein 10 aa 100-250. The exact immunogen used to generate this antibody is proprietary information.

Q9NXR5

Reactivity data

{ "title": "Reactivity Data", "filters": { "stats": ["", "Species", "Dilution Info", "Notes"], "tabs": { "all-applications": {"fullname" : "All Applications", "shortname": "All Applications"}, "IHCP" : {"fullname" : "Immunohistochemistry (Formalin/PFA-fixed paraffin-embedded sections)", "shortname":"IHC-P"}, "WB" : {"fullname" : "Western blot", "shortname":"WB"}, "ICCIF" : {"fullname" : "Immunocytochemistry/ Immunofluorescence", "shortname":"ICC/IF"} }, "product-promise": { "all": "all", "testedAndGuaranteed": "tested", "guaranteed": "expected", "predicted": "predicted", "notRecommended": "not-recommended" } }, "values": { "Human": { "IHCP-species-checked": "testedAndGuaranteed", "IHCP-species-dilution-info": "1/200 - 1/500", "IHCP-species-notes": "<p></p> Perform heat-mediated antigen retrieval with citrate buffer pH 6 before commencing with IHC staining protocol.", "WB-species-checked": "testedAndGuaranteed", "WB-species-dilution-info": "0.04-0.4 µg/mL", "WB-species-notes": "<p></p>", "ICCIF-species-checked": "testedAndGuaranteed", "ICCIF-species-dilution-info": "0.25-2 µg/mL", "ICCIF-species-notes": "<p>Fixation/Permeabilization: PFA/Triton X-100</p>" } } }

Properties and storage information

Form
Liquid
Purification technique
Affinity purification Immunogen
Storage buffer
pH: 7.2 Preservative: 0.02% Sodium azide Constituents: 59% PBS, 40% Glycerol (glycerin, glycerine)
Shipped at conditions
Blue Ice
Appropriate short-term storage duration
1-2 weeks
Appropriate short-term storage conditions
+4°C
Appropriate long-term storage conditions
-20°C
Aliquoting information
Upon delivery aliquot
Storage information
Avoid freeze / thaw cycle

Supplementary information

This supplementary information is collated from multiple sources and compiled automatically.

The ANKRD10 protein also known as Ankyrin Repeat Domain 10 is characterized by a series of ankyrin repeat motifs which are protein-protein interaction domains. This protein has a molecular mass of approximately 76 kilodaltons and is expressed in various tissues within the human body with notable presence in the liver brain and testis. The ankyrin repeats suggest that ANKRD10 functions mechanically by interacting with other cellular proteins possibly acting as a scaffold.
Biological function summary

This ankyrin repeat-containing protein contributes significantly to cellular processes such as signal transduction and cell cycle regulation. ANKRD10 does not operate alone; it forms part of complexes by associating with other proteins to modulate their activities. Its localization and function indicate a role in maintaining the proper functioning of cellular homeostasis which might involve regulating pathways critical for cellular growth and replication.

Pathways

ANKRD10 plays an important role in the TGF-beta signaling pathway which influences processes like cell growth apoptosis and differentiation. This pathway includes other proteins such as SMAD2 and SMAD3 which are known to interact with or be affected by ANKRD10 activity. Additionally ANKRD10's involvement in cellular pathways extends to the regulation of Wnt signaling a pathway critical for development and disease progression wherein proteins like beta-catenin interact with it.

Research indicates that ANKRD10 has associations with cancer and neurodegenerative diseases. In particular dysregulation of ANKRD10 expression has been observed in certain cancer types suggesting a role in tumor progression. Furthermore alterations in this protein might impact the expression of proteins like p53 known for its role in cancer regulation. In neurological contexts aberrations in normal ANKRD10 function might link to neurodegenerative disorders where it could interact with proteins related to neuronal stability.

Product protocols

For this product, it's our understanding that no specific protocols are required. You can visit:

Publications (1)

Recent publications for all applications. Explore the full list and refine your search

eLife 10: PubMed34279220

2021

Ferroptotic stress promotes the accumulation of pro-inflammatory proximal tubular cells in maladaptive renal repair.

Applications

Unspecified application

Species

Unspecified reactive species

Shintaro Ide,Yoshihiko Kobayashi,Kana Ide,Sarah A Strausser,Koki Abe,Savannah Herbek,Lori L O'Brien,Steven D Crowley,Laura Barisoni,Aleksandra Tata,Purushothama Rao Tata,Tomokazu Souma
View all publications

Product promise

We are committed to supporting your work with high-quality reagents, and we're here for you every step of the way. In the unlikely event that one of our products does not perform as expected, you're protected by our Product Promise.
For full details, please see our Terms & Conditions

Please note: All products are 'FOR RESEARCH USE ONLY. NOT FOR USE IN DIAGNOSTIC OR THERAPEUTIC PROCEDURES'.

For licensing inquiries, please contact partnerships@abcam.com