JavaScript is disabled in your browser. Please enable JavaScript to view this website.
AB236599

Anti-Annexin-11/ANXA11 antibody

Be the first to review this product! Submit a review

|

(2 Publications)

Rabbit Polyclonal Annexin-11/ANXA11 antibody. Suitable for WB, IHC-P, ICC/IF and reacts with Human samples. Cited in 2 publications. Immunogen corresponding to Recombinant Fragment Protein within Human ANXA11 aa 1-200.

View Alternative Names

ANX11, ANXA11, Annexin A11, 56 kDa autoantigen, Annexin XI, Annexin-11, Calcyclin-associated annexin 50, CAP-50

4 Images
Immunocytochemistry/ Immunofluorescence - Anti-Annexin-11/ANXA11 antibody (AB236599)
  • ICC/IF

Supplier Data

Immunocytochemistry/ Immunofluorescence - Anti-Annexin-11/ANXA11 antibody (AB236599)

HeLa (human epithelial cell line from cervix adenocarcinoma) cells labeling Annexin-11/ANXA11 using ab236599 at 1/100 dilution in ICC/IF. Secondary antibody was Alexa Fluor 488-conjugated goat anti-rabbit IgG (H+L).

Immunohistochemistry (Formalin/PFA-fixed paraffin-embedded sections) - Anti-Annexin-11/ANXA11 antibody (AB236599)
  • IHC-P

Supplier Data

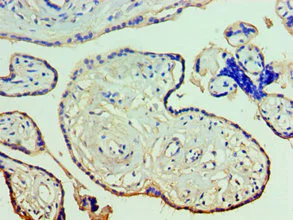
Immunohistochemistry (Formalin/PFA-fixed paraffin-embedded sections) - Anti-Annexin-11/ANXA11 antibody (AB236599)

Paraffin-embedded human placenta tissue stained for Annexin-11/ANXA11 using ab236599 at 1/100 dilution in immunohistochemical analysis.

Immunohistochemistry (Formalin/PFA-fixed paraffin-embedded sections) - Anti-Annexin-11/ANXA11 antibody (AB236599)
  • IHC-P

Supplier Data

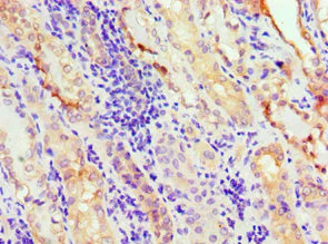
Immunohistochemistry (Formalin/PFA-fixed paraffin-embedded sections) - Anti-Annexin-11/ANXA11 antibody (AB236599)

Paraffin-embedded human kidney tissue stained for Annexin-11/ANXA11 using ab236599 at 1/100 dilution in immunohistochemical analysis.

Western blot - Anti-Annexin-11/ANXA11 antibody (AB236599)
  • WB

Supplier Data

Western blot - Anti-Annexin-11/ANXA11 antibody (AB236599)

All lanes:

Western blot - Anti-Annexin-11/ANXA11 antibody (ab236599) at 1/500 dilution

All lanes:

U-251 MG (human brain glioma cell line) cell lysate

Secondary

All lanes:

Goat polyclonal to rabbit IgG at 1/10000 dilution

Predicted band size: 54 kDa

false

Key facts

Host species

Rabbit

Clonality

Polyclonal

Isotype

IgG

Carrier free

No

Reacts with

Human

Applications

WB, IHC-P, ICC/IF

applications

Immunogen

Recombinant Fragment Protein within Human ANXA11 aa 1-200. The exact immunogen used to generate this antibody is proprietary information.

P50995

Reactivity data

{ "title": "Reactivity Data", "filters": { "stats": ["", "Species", "Dilution Info", "Notes"], "tabs": { "all-applications": {"fullname" : "All Applications", "shortname": "All Applications"}, "WB" : {"fullname" : "Western blot", "shortname":"WB"}, "IHCP" : {"fullname" : "Immunohistochemistry (Formalin/PFA-fixed paraffin-embedded sections)", "shortname":"IHC-P"}, "ICCIF" : {"fullname" : "Immunocytochemistry/ Immunofluorescence", "shortname":"ICC/IF"} }, "product-promise": { "all": "all", "testedAndGuaranteed": "tested", "guaranteed": "expected", "predicted": "predicted", "notRecommended": "not-recommended" } }, "values": { "Human": { "WB-species-checked": "testedAndGuaranteed", "WB-species-dilution-info": "1/500 - 1/5000", "WB-species-notes": "<p></p>", "IHCP-species-checked": "testedAndGuaranteed", "IHCP-species-dilution-info": "1/20 - 1/200", "IHCP-species-notes": "<p></p>", "ICCIF-species-checked": "testedAndGuaranteed", "ICCIF-species-dilution-info": "1/50 - 1/200", "ICCIF-species-notes": "<p></p>" }, "Mouse": { "WB-species-checked": "predicted", "WB-species-dilution-info": "", "WB-species-notes": "", "IHCP-species-checked": "predicted", "IHCP-species-dilution-info": "", "IHCP-species-notes": "", "ICCIF-species-checked": "predicted", "ICCIF-species-dilution-info": "", "ICCIF-species-notes": "" }, "Cow": { "WB-species-checked": "predicted", "WB-species-dilution-info": "", "WB-species-notes": "", "IHCP-species-checked": "predicted", "IHCP-species-dilution-info": "", "IHCP-species-notes": "", "ICCIF-species-checked": "predicted", "ICCIF-species-dilution-info": "", "ICCIF-species-notes": "" }, "Rabbit": { "WB-species-checked": "predicted", "WB-species-dilution-info": "", "WB-species-notes": "", "IHCP-species-checked": "predicted", "IHCP-species-dilution-info": "", "IHCP-species-notes": "", "ICCIF-species-checked": "predicted", "ICCIF-species-dilution-info": "", "ICCIF-species-notes": "" } } }

Properties and storage information

Form
Liquid
Purification technique
Affinity purification Immunogen
Storage buffer
pH: 7.3 Preservative: 0.02% Sodium azide Constituents: PBS, 50% Glycerol (glycerin, glycerine)
Shipped at conditions
Blue Ice
Appropriate short-term storage duration
1-2 weeks
Appropriate short-term storage conditions
+4°C
Appropriate long-term storage conditions
-20°C
Aliquoting information
Upon delivery aliquot
Storage information
Avoid freeze / thaw cycle

Supplementary information

This supplementary information is collated from multiple sources and compiled automatically.

Annexin-11 also known as ANXA11 or annexin A11 is a calcium-dependent phospholipid-binding protein with a molecular mass of approximately 56 kDa. It belongs to the annexin family and functions through interactions with membrane phospholipids in a calcium-dependent manner. Annexin A11 is expressed in various tissues including the brain liver and spleen. Molecularly annexin A11 participates in vesicle trafficking endocytosis and the regulation of cell division by interacting with the mitotic spindle apparatus.
Biological function summary

Annexin A11 plays a significant role in cellular processes such as membrane repair cell migration and apoptosis. It does not form a stable part of a large protein complex under normal conditions but interacts dynamically with other proteins during cellular events. This protein influences intracellular calcium signaling which is important for maintaining cellular homeostasis and responding to extracellular stimuli. Annexin A11 regulates actin cytoskeletal organization impacting cell motility and structural integrity.

Pathways

Annexin A11’s functions integrate into critical cell signaling and communication pathways such as the calcium signaling pathway and apoptosis pathway. Within these pathways annexin A11 interacts with other proteins like annexin V and annexin II modifying intracellular responses to calcium fluctuations and apoptotic signals. These pathways ensure proper cellular responses to environmental changes and stress conditions facilitating processes like cell survival and programmed cell death.

Annexin A11 associates with amyotrophic lateral sclerosis (ALS) and certain types of cancer. Mutations in the ANXA11 gene correlate with the development of familial ALS where annexin A11 dysfunction affects neuronal survival and leads to motor neuron degeneration. In certain cancers elevated levels of annexin A11 may influence tumor growth through its role in cell proliferation pathways. In both ALS and cancer proteins such as SOD1 in ALS and cyclin D1 in cancer may have connections to annexin A11’s function and regulatory networks.

Product protocols

For this product, it's our understanding that no specific protocols are required. You can visit:

Target data

Binds specifically to calcyclin in a calcium-dependent manner (By similarity). Required for midbody formation and completion of the terminal phase of cytokinesis.
See full target information ANXA11

Publications (2)

Recent publications for all applications. Explore the full list and refine your search

Translational lung cancer research 14:1351-1370 PubMed40386722

2025

was stabilized through N-methyladenosine methylation and exerted its anticancer effects in lung squamous cell carcinoma by inhibiting SIRT1 activity via CCAR2.

Applications

Unspecified application

Species

Unspecified reactive species

Qihang Yan,Wingshing Wong,Jinsong Lei,Dachuan Liang,Jie Yang,Li Gong,Rossana Berardi,Shuqin Dai,Junye Wang

Acta neuropathologica 147:104 PubMed38896345

2024

Annexin A11 aggregation in FTLD-TDP type C and related neurodegenerative disease proteinopathies.

Applications

Unspecified application

Species

Unspecified reactive species

John L Robinson,EunRan Suh,Yan Xu,Howard I Hurtig,Lauren Elman,Corey T McMillan,David J Irwin,Sílvia Porta,Vivianna M Van Deerlin,Edward B Lee
View all publications

Product promise

We are committed to supporting your work with high-quality reagents, and we're here for you every step of the way. In the unlikely event that one of our products does not perform as expected, you're protected by our Product Promise.
For full details, please see our Terms & Conditions

Please note: All products are 'FOR RESEARCH USE ONLY. NOT FOR USE IN DIAGNOSTIC OR THERAPEUTIC PROCEDURES'.

For licensing inquiries, please contact partnerships@abcam.com