JavaScript is disabled in your browser. Please enable JavaScript to view this website.
AB300578

Anti-Annexin-11/ANXA11 antibody [EPR26004-63] (BSA and Azide free)

Be the first to review this product! Submit a review

|

(0 Publication)

Rabbit Recombinant Monoclonal Annexin-11/ANXA11 antibody. Carrier free. Suitable for IP, Flow Cyt (Intra), ICC/IF, WB and reacts with Human, Rat, Mouse, Transfected cell line samples.

View Alternative Names

ANX11, ANXA11, Annexin A11, 56 kDa autoantigen, Annexin XI, Annexin-11, Calcyclin-associated annexin 50, CAP-50

7 Images
Immunocytochemistry/ Immunofluorescence - Anti-Annexin-11/ANXA11 antibody [EPR26004-63] (BSA and Azide free) (AB300578)
  • ICC/IF

Supplier Data

Immunocytochemistry/ Immunofluorescence - Anti-Annexin-11/ANXA11 antibody [EPR26004-63] (BSA and Azide free) (AB300578)

This data was developed using ab300577, the same antibody clone in a different buffer formulation. Immunofluorescent analysis of 4% Paraformaldehyde-fixed, 0.1% TritonX-100 permeabilized HT-1080 (human fibrosarcoma epithelial cell) cells labelling Annexin 11/ANXA11 with ab300577 at 1/50 (9.82 ug/ml) dilution, followed by ab150081 Goat Anti-Rabbit IgG H&L (Alexa Fluor® 488) preadsorbed antibody at 1/1000 2ug/mL dilution (Green). Confocal image showing nuclear and cytoplasmic staining in HT-1080 cell line is observed. ab195889 Anti-alpha Tubulin mouse monoclonal antibody - Microtubule Marker (Alexa Fluor® 594) was used to counterstain tubulin at 1/200 2.5ug/ml dilution (Red). The Nuclear counterstain was DAPI (Blue). Secondary antibody only control : Secondary antibody is ab150081 Goat Anti-Rabbit IgG H&L (Alexa Fluor® 488) preadsorbed at 1/1000 2ug/mL dilution.

Flow Cytometry (Intracellular) - Anti-Annexin-11/ANXA11 antibody [EPR26004-63] (BSA and Azide free) (AB300578)
  • Flow Cyt (Intra)

Supplier Data

Flow Cytometry (Intracellular) - Anti-Annexin-11/ANXA11 antibody [EPR26004-63] (BSA and Azide free) (AB300578)

This data was developed using ab300577, the same antibody clone in a different buffer formulation. Flow cytometric analysis of 4% paraformaldehyde fixed 90% methanol permeabilized HeLa (human cervix adenocarcinoma epithelial cell) cells labelling Annexin 11/ANXA11 with ab300577 at 1/50 dilution (1ug) (Red) (Red) compared with a Rabbit monoclonal IgG (ab172730) (Black) isotype control and an unlabelled control (cells without incubation with primary antibody and secondary antibody) (Blue). A Goat Anti-Rabbit IgG (Alexa Fluor® 488, ab150081) at 1/2000 dilution was used as the secondary antibody.

Immunocytochemistry/ Immunofluorescence - Anti-Annexin-11/ANXA11 antibody [EPR26004-63] (BSA and Azide free) (AB300578)
  • ICC/IF

Supplier Data

Immunocytochemistry/ Immunofluorescence - Anti-Annexin-11/ANXA11 antibody [EPR26004-63] (BSA and Azide free) (AB300578)

This data was developed using ab300577, the same antibody clone in a different buffer formulation. Immunofluorescent analysis of 4% Paraformaldehyde-fixed, 0.1% TritonX-100 permeabilized HeLa (human cervix adenocarcinoma epithelial cell) cells labelling Annexin 11/ANXA11 with ab300577 at 1/50 (9.82 ug/ml) dilution, followed by ab150081 Goat Anti-Rabbit IgG H&L (Alexa Fluor® 488) preadsorbed antibody at 1/1000 2ug/mL dilution (Green). Confocal image showing nuclear and cytoplasmic staining in HeLa cell line is observed. ab195889 Anti-alpha Tubulin mouse monoclonal antibody - Microtubule Marker (Alexa Fluor® 594) was used to counterstain tubulin at 1/200 2.5ug/ml dilution (Red). The Nuclear counterstain was DAPI (Blue). Secondary antibody only control : Secondary antibody is ab150081 Goat Anti-Rabbit IgG H&L (Alexa Fluor® 488) preadsorbed at 1/1000 2ug/mL dilution.

Immunoprecipitation - Anti-Annexin-11/ANXA11 antibody [EPR26004-63] (BSA and Azide free) (AB300578)
  • IP

Supplier Data

Immunoprecipitation - Anti-Annexin-11/ANXA11 antibody [EPR26004-63] (BSA and Azide free) (AB300578)

This data was developed using ab300577, the same antibody clone in a different buffer formulation.

Annexin 11/ANXA11 was immunoprecipitated from 0.35 mg HeLa (human cervical adenocarcinoma epithelial cell), whole cell lysate 10 ug with ab300577 at 1/30 dilution (2ug in 0.35mg lysates). Western blot was performed on the immunoprecipitate using ab300577 at 1/1000 dilution.

VeriBlot for IP secondary antibody(HRP)(ab131366) was used at 1/5000 dilution.

Blocking and dilution buffer and concentration : 5% NFDM/TBST.

All lanes:

Immunoprecipitation - Anti-Annexin-11/ANXA11 antibody [EPR26004-63] (<a href='/en-us/products/primary-antibodies/annexin-11-anxa11-antibody-epr26004-63-ab300577'>ab300577</a>) at 1/1000 dilution

Lane 1:

HeLa whole cell lysate at 10 µg

Lane 2:

<a href='/en-us/products/primary-antibodies/annexin-11-anxa11-antibody-epr26004-63-ab300577'>ab300577</a> at 1/30 IP in HeLa whole cell lysate at 10 µg

Lane 3:

Rabbit monoclonal IgG (<a href='/en-us/products/primary-antibodies/rabbit-igg-monoclonal-epr25a-isotype-control-ab172730'>ab172730</a>) instead of <a href='/en-us/products/primary-antibodies/annexin-11-anxa11-antibody-epr26004-63-ab300577'>ab300577</a> in HeLa whole cell lysate at 10 µg

Secondary

All lanes:

Immunoprecipitation - VeriBlot for IP Detection Reagent (HRP) (<a href='/en-us/products/reagents/veriblot-for-ip-detection-reagent-hrp-ab131366'>ab131366</a>) at 1/5000 dilution

Observed band size: 56 kDa

false

Exposure time: 3min

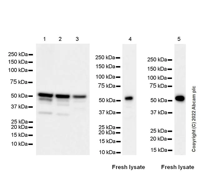
Western blot - Anti-Annexin-11/ANXA11 antibody [EPR26004-63] (BSA and Azide free) (AB300578)
  • WB

Supplier Data

Western blot - Anti-Annexin-11/ANXA11 antibody [EPR26004-63] (BSA and Azide free) (AB300578)

This data was developed using ab300577, the same antibody clone in a different buffer formulation. The expression profile/ molecular weight observed is consistent with what has been described in the literature (PMID : 32003509). The bands beneath the target band in lane 1-3 are likely to be degraded target fragments. The lysates of lane 5-6 were freshly made and used for Western blotting immediately to minimize protein degradation. Blocking Buffer and concentration : 5% NFDM/TBST

All lanes:

Western blot - Anti-Annexin-11/ANXA11 antibody [EPR26004-63] (<a href='/en-us/products/primary-antibodies/annexin-11-anxa11-antibody-epr26004-63-ab300577'>ab300577</a>) at 1/1000 dilution

Lane 1:

A431 (human epidermoid carcinoma epithelial cell), whole cell lysate

Lane 2:

HT-29 (human colorectal adenocarcinoma epithelial cell), whole cell lysate

Lane 3:

Jurkat (human T cell leukemia T lymphocyte), whole cell lysate

Lane 4:

A431 (human epidermoid carcinoma epithelial cell), whole cell fresh lysate

Lane 5:

HT-1080 (human fibrosarcoma epithelial cell), whole cell fresh lysate

Secondary

All lanes:

Western blot - Goat Anti-Rabbit IgG H&L (HRP) (<a href='/en-us/products/secondary-antibodies/goat-rabbit-igg-h-l-hrp-ab97051'>ab97051</a>) at 1/100000 dilution

Observed band size: 56 kDa

false

Western blot - Anti-Annexin-11/ANXA11 antibody [EPR26004-63] (BSA and Azide free) (AB300578)
  • WB

Supplier Data

Western blot - Anti-Annexin-11/ANXA11 antibody [EPR26004-63] (BSA and Azide free) (AB300578)

This data was developed using ab300577, the same antibody clone in a different buffer formulation. The expression profile/ molecular weight observed is consistent with what has been described in the literature (PMID : 29306955). The bands beneath the target band are likely to be degraded target fragments. Blocking Buffer and concentration : 5% NFDM/TBST

All lanes:

Western blot - Anti-Annexin-11/ANXA11 antibody [EPR26004-63] (<a href='/en-us/products/primary-antibodies/annexin-11-anxa11-antibody-epr26004-63-ab300577'>ab300577</a>) at 1/1000 dilution

Lane 1:

Human ovary cancer tissue lysate

Lane 2:

Human small intestine tissue lysate

Lane 3:

Mouse uterus tissue lysate

Lane 4:

Rat uterus tissue lysate

Secondary

All lanes:

Goat Anti-Rabbit IgG (HRP) with minimal cross-reactivity with human IgG at 1/2000 dilution

Observed band size: 56 kDa

false

Exposure time: 7.75s

Western blot - Anti-Annexin-11/ANXA11 antibody [EPR26004-63] (BSA and Azide free) (AB300578)
  • WB

Supplier Data

Western blot - Anti-Annexin-11/ANXA11 antibody [EPR26004-63] (BSA and Azide free) (AB300578)

This data was developed using ab300577, the same antibody clone in a different buffer formulation. The expression profile/ molecular weight observed is consistent with what has been described in the literature (PMID : 32003509). Blocking Buffer and concentration : 5% NFDM/TBST

All lanes:

Western blot - Anti-Annexin-11/ANXA11 antibody [EPR26004-63] (<a href='/en-us/products/primary-antibodies/annexin-11-anxa11-antibody-epr26004-63-ab300577'>ab300577</a>) at 1/1000 dilution

Lane 1:

HeLa (human cervical adenocarcinoma epithelial cell) transfected with scrambled siRNA control, whole cell lysate

Lane 2:

HeLa transfected with siRNA specifically targeti ANXA11, whole cell lysate 20

Secondary

All lanes:

Western blot - Goat Anti-Rabbit IgG H&L (HRP) (<a href='/en-us/products/secondary-antibodies/goat-rabbit-igg-h-l-hrp-ab97051'>ab97051</a>) at 1/100000 dilution

Observed band size: 56 kDa

false

Exposure time: 26s

  • Unconjugated

    Anti-Annexin-11/ANXA11 antibody [EPR26004-63]

Key facts

Host species

Rabbit

Clonality

Monoclonal

Clone number

EPR26004-63

Isotype

IgG

Carrier free

Yes

Reacts with

Human, Mouse, Rat

Applications

IP, Flow Cyt (Intra), WB, ICC/IF

applications

Immunogen

The exact immunogen used to generate this antibody is proprietary information.

Reactivity data

{ "title": "Reactivity Data", "filters": { "stats": ["", "Species", "Dilution Info", "Notes"], "tabs": { "all-applications": {"fullname" : "All Applications", "shortname": "All Applications"}, "IP" : {"fullname" : "Immunoprecipitation", "shortname":"IP"}, "FlowCytIntra" : {"fullname" : "Flow Cytometry (Intracellular)", "shortname":"Flow Cyt (Intra)"}, "ICCIF" : {"fullname" : "Immunocytochemistry/ Immunofluorescence", "shortname":"ICC/IF"}, "IHCP" : {"fullname" : "Immunohistochemistry (Formalin/PFA-fixed paraffin-embedded sections)", "shortname":"IHC-P"}, "WB" : {"fullname" : "Western blot", "shortname":"WB"} }, "product-promise": { "all": "all", "testedAndGuaranteed": "tested", "guaranteed": "expected", "predicted": "predicted", "notRecommended": "not-recommended" } }, "values": { "Human": { "IP-species-checked": "testedAndGuaranteed", "IP-species-dilution-info": "", "IP-species-notes": "<p></p>", "FlowCytIntra-species-checked": "testedAndGuaranteed", "FlowCytIntra-species-dilution-info": "", "FlowCytIntra-species-notes": "<p></p>", "ICCIF-species-checked": "testedAndGuaranteed", "ICCIF-species-dilution-info": "", "ICCIF-species-notes": "<p></p>", "IHCP-species-checked": "notRecommended", "IHCP-species-dilution-info": "", "IHCP-species-notes": "<p></p>", "WB-species-checked": "testedAndGuaranteed", "WB-species-dilution-info": "", "WB-species-notes": "<p></p>" }, "Mouse": { "IP-species-checked": "guaranteed", "IP-species-dilution-info": "", "IP-species-notes": "", "FlowCytIntra-species-checked": "guaranteed", "FlowCytIntra-species-dilution-info": "", "FlowCytIntra-species-notes": "", "ICCIF-species-checked": "guaranteed", "ICCIF-species-dilution-info": "", "ICCIF-species-notes": "", "IHCP-species-checked": "notRecommended", "IHCP-species-dilution-info": "", "IHCP-species-notes": "<p></p>", "WB-species-checked": "testedAndGuaranteed", "WB-species-dilution-info": "", "WB-species-notes": "<p></p>" }, "Rat": { "IP-species-checked": "guaranteed", "IP-species-dilution-info": "", "IP-species-notes": "", "FlowCytIntra-species-checked": "guaranteed", "FlowCytIntra-species-dilution-info": "", "FlowCytIntra-species-notes": "", "ICCIF-species-checked": "guaranteed", "ICCIF-species-dilution-info": "", "ICCIF-species-notes": "", "IHCP-species-checked": "notRecommended", "IHCP-species-dilution-info": "", "IHCP-species-notes": "<p></p>", "WB-species-checked": "testedAndGuaranteed", "WB-species-dilution-info": "", "WB-species-notes": "<p></p>" }, "Transfected cell line": { "IP-species-checked": "notRecommended", "IP-species-dilution-info": "", "IP-species-notes": "", "FlowCytIntra-species-checked": "notRecommended", "FlowCytIntra-species-dilution-info": "", "FlowCytIntra-species-notes": "", "ICCIF-species-checked": "notRecommended", "ICCIF-species-dilution-info": "", "ICCIF-species-notes": "", "IHCP-species-checked": "notRecommended", "IHCP-species-dilution-info": "", "IHCP-species-notes": "", "WB-species-checked": "testedAndGuaranteed", "WB-species-dilution-info": "", "WB-species-notes": "<p></p>" } } }

Product details

Patented technology
Our RabMAb® technology is a patented hybridoma-based technology for making rabbit monoclonal antibodies. For details on our patents, please refer to RabMAb® patents.

What are the advantages of a recombinant monoclonal antibody?
This product is a recombinant monoclonal antibody, which offers several advantages including:

  • - High batch-to-batch consistency and reproducibility
  • - Improved sensitivity and specificity
  • - Long-term security of supply
  • - Animal-free batch production

For more information, read more on recombinant antibodies.

Conjugation ready
Our carrier-free antibodies are typically supplied in a PBS-only formulation, purified and free of BSA, sodium azide and glycerol. This conjugation-ready format is designed for use with fluorochromes, metal isotopes, oligonucleotides, and enzymes, which makes them ideal for antibody labelling, functional and cell-based assays, flow-based assays (e.g. mass cytometry) and Multiplex Imaging applications.

Use our conjugation kits for antibody conjugates that are ready-to-use in as little as 20 minutes with 1 minute hands-on-time and 100% antibody recovery: available for fluorescent dyes, HRP, biotin and gold.

Compatibility
This product is compatible with the Maxpar® Antibody Labeling Kit from Fluidigm, without the need for antibody preparation. Maxpar® is a trademark of Fluidigm Canada Inc.

Properties and storage information

Form
Liquid
Purification technique
Affinity purification Protein A
Storage buffer
pH: 7.2 - 7.4 Constituents: PBS
Shipped at conditions
Blue Ice
Appropriate short-term storage conditions
+4°C
Appropriate long-term storage conditions
+4°C
Storage information
Do Not Freeze

Supplementary information

This supplementary information is collated from multiple sources and compiled automatically.

Annexin-11 also known as ANXA11 or annexin A11 is a calcium-dependent phospholipid-binding protein with a molecular mass of approximately 56 kDa. It belongs to the annexin family and functions through interactions with membrane phospholipids in a calcium-dependent manner. Annexin A11 is expressed in various tissues including the brain liver and spleen. Molecularly annexin A11 participates in vesicle trafficking endocytosis and the regulation of cell division by interacting with the mitotic spindle apparatus.
Biological function summary

Annexin A11 plays a significant role in cellular processes such as membrane repair cell migration and apoptosis. It does not form a stable part of a large protein complex under normal conditions but interacts dynamically with other proteins during cellular events. This protein influences intracellular calcium signaling which is important for maintaining cellular homeostasis and responding to extracellular stimuli. Annexin A11 regulates actin cytoskeletal organization impacting cell motility and structural integrity.

Pathways

Annexin A11’s functions integrate into critical cell signaling and communication pathways such as the calcium signaling pathway and apoptosis pathway. Within these pathways annexin A11 interacts with other proteins like annexin V and annexin II modifying intracellular responses to calcium fluctuations and apoptotic signals. These pathways ensure proper cellular responses to environmental changes and stress conditions facilitating processes like cell survival and programmed cell death.

Annexin A11 associates with amyotrophic lateral sclerosis (ALS) and certain types of cancer. Mutations in the ANXA11 gene correlate with the development of familial ALS where annexin A11 dysfunction affects neuronal survival and leads to motor neuron degeneration. In certain cancers elevated levels of annexin A11 may influence tumor growth through its role in cell proliferation pathways. In both ALS and cancer proteins such as SOD1 in ALS and cyclin D1 in cancer may have connections to annexin A11’s function and regulatory networks.

Product protocols

For this product, it's our understanding that no specific protocols are required. You can visit:

Target data

Binds specifically to calcyclin in a calcium-dependent manner (By similarity). Required for midbody formation and completion of the terminal phase of cytokinesis.
See full target information ANXA11

Product promise

We are committed to supporting your work with high-quality reagents, and we're here for you every step of the way. In the unlikely event that one of our products does not perform as expected, you're protected by our Product Promise.
For full details, please see our Terms & Conditions

Please note: All products are 'FOR RESEARCH USE ONLY. NOT FOR USE IN DIAGNOSTIC OR THERAPEUTIC PROCEDURES'.

For licensing inquiries, please contact partnerships@abcam.com