JavaScript is disabled in your browser. Please enable JavaScript to view this website.
AB189473

Anti-Annexin-2/ANXA2 antibody [EPR18157-104]

Be the first to review this product! Submit a review

|

(7 Publications)

Rabbit Recombinant Monoclonal Annexin-2/ANXA2 antibody. Suitable for IP, WB, Flow Cyt (Intra), IHC-P and reacts with Mouse, Rat, Human samples. Cited in 7 publications.

View Alternative Names

ANX2, ANX2L4, CAL1H, LPC2D, ANXA2, Annexin A2, Annexin II, Annexin-2, Calpactin I heavy chain, Calpactin-1 heavy chain, Chromobindin-8, Lipocortin II, Placental anticoagulant protein IV, Protein I, p36, PAP-IV

6 Images
Flow Cytometry (Intracellular) - Anti-Annexin-2/ANXA2 antibody [EPR18157-104] (AB189473)
  • Flow Cyt (Intra)

Supplier Data

Flow Cytometry (Intracellular) - Anti-Annexin-2/ANXA2 antibody [EPR18157-104] (AB189473)

Intracellular flow cytometric analysis of 4% paraformaldehyde-fixed, 90% methanol-permeabilized HeLa (human epithelial cell line from cervix adenocarcinoma) cell line labeling Annexin-2/ANXA2 with ab189473 at 1/500 dilution (red) compared with a Rabbit IgG, monoclonal [EPR25A] - Isotype Control (ab172730) (black) and an unlabeled control (cells without incubation with primary antibody and secondary antibody) (blue). Goat Anti-Rabbit IgG H&L (Alexa Fluorr® 488) (ab150077) at 1/2000 dilution was used as the secondary antibody.

Immunohistochemistry (Formalin/PFA-fixed paraffin-embedded sections) - Anti-Annexin-2/ANXA2 antibody [EPR18157-104] (AB189473)
  • IHC-P

Supplier Data

Immunohistochemistry (Formalin/PFA-fixed paraffin-embedded sections) - Anti-Annexin-2/ANXA2 antibody [EPR18157-104] (AB189473)

Immunohistochemical analysis of paraffin-embedded mouse liver tissue labeling Annexin-2/ANXA2 with ab189473 at 1/5000 dilution, followed by Goat Anti-Rabbit IgG H&L (HRP) Ready to use. Positive staining on the sinusoid of mouse liver (PMID : 23188673). Counter stained with hematoxylin.

Secondary antibody only control : Used PBS instead of primary antibody, secondary antibody is Goat Anti-Rabbit IgG H&L (HRP) Ready to use.

Perform heat mediated antigen retrieval with Tris/EDTA buffer pH 9.0 before commencing with IHC staining protocol.

Immunoprecipitation - Anti-Annexin-2/ANXA2 antibody [EPR18157-104] (AB189473)
  • IP

Supplier Data

Immunoprecipitation - Anti-Annexin-2/ANXA2 antibody [EPR18157-104] (AB189473)

Annexin-2/ANXA2 was immunoprecipitated from 0.35 mg of NIH/3T3 (mouse embryo fibroblast cell line) whole cell lysate with ab189473 at 1/30 dilution. Western blot was performed from the immunoprecipitate using ab189473 at 1/2000 dilution. VeriBlot for IP Detection Reagent (HRP) (ab131366), was used for detection at 1/10000 dilution.

Lane 1 : NIH/3T3 whole cell lysate 10 μg (Input).

Lane 2 : ab189473 IP in NIH/3T3 whole cell lysate.

Lane 3 : Rabbit monoclonal IgG (ab172730) instead of ab189473 in NIH/3T3 whole cell lysate.

Exposure time : 1 second.

Blocking and dilution buffer and concentration : 5% NFDM/TBST.

All lanes:

Immunoprecipitation - Anti-Annexin-2/ANXA2 antibody [EPR18157-104] (ab189473)

Predicted band size: 38 kDa

Observed band size: 36 kDa

false

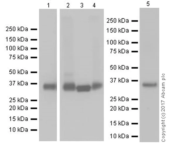
Western blot - Anti-Annexin-2/ANXA2 antibody [EPR18157-104] (AB189473)
  • WB

Supplier Data

Western blot - Anti-Annexin-2/ANXA2 antibody [EPR18157-104] (AB189473)

Exposure times : Lane 1 : 3 seconds; Lane 2,4 : 1 second; Lane 3 : 30 seconds.

Blocking/Dilution buffer : 5% NFDM/TBST.

The molecular weight observed is consistent with what has been described in the literature (PMID : 16373665).

All lanes:

Western blot - Anti-Annexin-2/ANXA2 antibody [EPR18157-104] (ab189473) at 1/5000 dilution

Lane 1:

HeLa (human epithelial cell line from cervix adenocarcinoma) whole cell lysate at 10 µg

Lane 2:

K562 (human chronic myelogenous leukemia cell line from bone marrow) whole cell lysate at 10 µg

Lane 3:

C6 (rat glial tumor cell line) whole cell lysate at 10 µg

Lane 4:

NIH/3T3 (mouse embryo fibroblast cell line) whole cell lysate at 10 µg

Secondary

All lanes:

Western blot - Goat Anti-Rabbit IgG H&L (HRP) (<a href='/en-us/products/secondary-antibodies/goat-rabbit-igg-h-l-hrp-ab97051'>ab97051</a>) at 1/100000 dilution

Predicted band size: 38 kDa

Observed band size: 34 kDa,36 kDa

true

Western blot - Anti-Annexin-2/ANXA2 antibody [EPR18157-104] (AB189473)
  • WB

Supplier Data

Western blot - Anti-Annexin-2/ANXA2 antibody [EPR18157-104] (AB189473)

Blocking/Dilution buffer : 5% NFDM/TBST.

All lanes:

Western blot - Anti-Annexin-2/ANXA2 antibody [EPR18157-104] (ab189473) at 1/5000 dilution

Lane 1:

Human fetal brain lysate at 10 µg

Lane 2:

Human fetal heart lysate at 10 µg

Lane 3:

Human fetal kidney lysate at 10 µg

Lane 4:

Human fetal spleen lysate at 10 µg

Secondary

All lanes:

Western blot - VeriBlot for IP Detection Reagent (HRP) (<a href='/en-us/products/reagents/veriblot-for-ip-detection-reagent-hrp-ab131366'>ab131366</a>) at 1/4000 dilution

Predicted band size: 38 kDa

Observed band size: 36 kDa

true

Exposure time: 3min

Western blot - Anti-Annexin-2/ANXA2 antibody [EPR18157-104] (AB189473)
  • WB

Supplier Data

Western blot - Anti-Annexin-2/ANXA2 antibody [EPR18157-104] (AB189473)

Exposure times : Lane 1 : 2 seconds; Lanes 2-4 : 1 second; Lane 5 : 3 minutes.

Blocking/Dilution buffer : 5% NFDM/TBST.

All lanes:

Western blot - Anti-Annexin-2/ANXA2 antibody [EPR18157-104] (ab189473) at 1/5000 dilution

Lane 1:

Mouse brain lysate at 10 µg

Lane 2:

Mouse heart lysate at 10 µg

Lane 3:

Mouse kidney lysate at 10 µg

Lane 4:

Mouse spleen lysate at 10 µg

Lane 5:

Rat spleen lysate at 10 µg

Secondary

All lanes:

Western blot - Goat Anti-Rabbit IgG H&L (HRP) (<a href='/en-us/products/secondary-antibodies/goat-rabbit-igg-h-l-hrp-ab97051'>ab97051</a>) at 1/100000 dilution

Predicted band size: 38 kDa

Observed band size: 36 kDa

true

  • Carrier free

    Anti-Annexin-2/ANXA2 antibody [EPR18157-104] - BSA and Azide free

  • Carrier free

    Anti-Annexin-2/ANXA2 antibody [EPR18157-104] - BSA and Azide free (Capture)

Key facts

Host species

Rabbit

Clonality

Monoclonal

Clone number

EPR18157-104

Isotype

IgG

Carrier free

No

Reacts with

Mouse, Rat, Human

Applications

Flow Cyt (Intra), IP, WB, IHC-P

applications

Immunogen

The exact immunogen used to generate this antibody is proprietary information.

Reactivity data

{ "title": "Reactivity Data", "filters": { "stats": ["", "Species", "Dilution Info", "Notes"], "tabs": { "all-applications": {"fullname" : "All Applications", "shortname": "All Applications"}, "IP" : {"fullname" : "Immunoprecipitation", "shortname":"IP"}, "WB" : {"fullname" : "Western blot", "shortname":"WB"}, "FlowCytIntra" : {"fullname" : "Flow Cytometry (Intracellular)", "shortname":"Flow Cyt (Intra)"}, "IHCP" : {"fullname" : "Immunohistochemistry (Formalin/PFA-fixed paraffin-embedded sections)", "shortname":"IHC-P"} }, "product-promise": { "all": "all", "testedAndGuaranteed": "tested", "guaranteed": "expected", "predicted": "predicted", "notRecommended": "not-recommended" } }, "values": { "Human": { "IP-species-checked": "guaranteed", "IP-species-dilution-info": "", "IP-species-notes": "", "WB-species-checked": "testedAndGuaranteed", "WB-species-dilution-info": "1/5000", "WB-species-notes": "<p></p>", "FlowCytIntra-species-checked": "testedAndGuaranteed", "FlowCytIntra-species-dilution-info": "1/500", "FlowCytIntra-species-notes": "<p></p>", "IHCP-species-checked": "guaranteed", "IHCP-species-dilution-info": "", "IHCP-species-notes": "" }, "Mouse": { "IP-species-checked": "testedAndGuaranteed", "IP-species-dilution-info": "1/30", "IP-species-notes": "<p></p>", "WB-species-checked": "testedAndGuaranteed", "WB-species-dilution-info": "1/5000", "WB-species-notes": "<p></p>", "FlowCytIntra-species-checked": "guaranteed", "FlowCytIntra-species-dilution-info": "", "FlowCytIntra-species-notes": "", "IHCP-species-checked": "testedAndGuaranteed", "IHCP-species-dilution-info": "1/5000", "IHCP-species-notes": "<p>IHC is not recommended in human or rat due to nonspecific or negative staining.</p>" }, "Rat": { "IP-species-checked": "guaranteed", "IP-species-dilution-info": "", "IP-species-notes": "", "WB-species-checked": "testedAndGuaranteed", "WB-species-dilution-info": "1/5000", "WB-species-notes": "<p></p>", "FlowCytIntra-species-checked": "guaranteed", "FlowCytIntra-species-dilution-info": "", "FlowCytIntra-species-notes": "", "IHCP-species-checked": "guaranteed", "IHCP-species-dilution-info": "", "IHCP-species-notes": "" } } }

Product details

Patented technology
Our RabMAb® technology is a patented hybridoma-based technology for making rabbit monoclonal antibodies. For details on our patents, please refer to RabMAb® patents.

What are the advantages of a recombinant monoclonal antibody?
This product is a recombinant monoclonal antibody, which offers several advantages including:

  • - High batch-to-batch consistency and reproducibility
  • - Improved sensitivity and specificity
  • - Long-term security of supply
  • - Animal-free batch production

For more information, read more on recombinant antibodies.

Properties and storage information

Form
Liquid
Purification technique
Affinity purification Protein A
Storage buffer
pH: 7.2 - 7.4 Preservative: 0.01% Sodium azide Constituents: PBS, 40% Glycerol (glycerin, glycerine), 0.05% BSA
Shipped at conditions
Blue Ice
Appropriate short-term storage duration
1-2 weeks
Appropriate short-term storage conditions
+4°C
Appropriate long-term storage conditions
-20°C
Aliquoting information
Upon delivery aliquot
Storage information
Avoid freeze / thaw cycle

Supplementary information

This supplementary information is collated from multiple sources and compiled automatically.

Annexin-2 also known as ANXA2 is a multifunctional protein of approximately 36 kDa. It belongs to the annexin family and is known for its strong calcium-dependent interactions with phospholipid membranes. Commonly expressed in endothelial cells it also appears in various tissues including epithelial cells and certain types of cancer cells. ANXA2 forms a heterotetramer complex with S100A10 also known as p11 which modulates its availability and function. Other names for ANXA2 include its gene designation M298 and its role in complexes often goes by ANXA2R.
Biological function summary

Annexin-2 acts beyond mere cellular structural support. It plays a part in fibrinolysis by acting as a co-receptor for plasminogen and tissue plasminogen activator promoting plasmin generation. The protein is also implicated in membrane trafficking signal transduction and organization of microdomains on cellular surfaces. As part of a complex with S100A10 ANXA2 can bind to cytoskeletal elements facilitating vesicle trafficking and influencing cell shape and motility. This complex assembly hints at ANXA2's importance in maintaining cellular dynamism and interplay with external signals.

Pathways

ANXA2 is integral in the regulation of the plasminogen activation pathway important for fibrinolytic activity. It also participates in the signal transduction pathways influencing cellular responses to stress and growth factors. ANXA2 interacts with various proteins like Src kinase and is involved in processes like the EGFR signaling pathway. This protein often crosstalks with the cytoskeletal network enabling the coupling of membrane dynamics with intracellular signaling cascades.

Annexin-2's dysregulation associates with conditions such as cancer and thrombosis. In cancer overexpression of ANXA2 links with tumor progression invasion and metastasis acting synergistically with proteins like Src to promote oncogenic pathways. In thrombosis ANXA2’s role in fibrinolysis becomes impaired contributing to excessive clot formation. Studies also indicate interactions with plasminogen-related proteins as being central to understanding its pathological roles in these diseases.

Product protocols

For this product, it's our understanding that no specific protocols are required. You can visit:

Target data

Calcium-regulated membrane-binding protein whose affinity for calcium is greatly enhanced by anionic phospholipids. It binds two calcium ions with high affinity. May be involved in heat-stress response. Inhibits PCSK9-enhanced LDLR degradation, probably reduces PCSK9 protein levels via a translational mechanism but also competes with LDLR for binding with PCSK9 (PubMed : 18799458, PubMed : 22848640, PubMed : 24808179).. (Microbial infection) Binds M.pneumoniae CARDS toxin, probably serves as one receptor for this pathogen. When ANXA2 is down-regulated by siRNA, less toxin binds to human cells and less vacuolization (a symptom of M.pneumoniae infection) is seen.
See full target information ANXA2

Publications (7)

Recent publications for all applications. Explore the full list and refine your search

iScience 28:112302 PubMed40641552

2025

Humanized mouse model reveals T cell ANXA2 as a potential therapeutic target in ischemic stroke.

Applications

Unspecified application

Species

Unspecified reactive species

Tianyuan Zhang,Xiaojuan Zheng,Aijun Lu,Shuyuan Li,Keshen Li,Xiaoxiong Huang,Yanfang Liu,Wei Chen,Shengming Huang,Niu He,Chi Kwan Tsang,Hongcheng Mai,Anding Xu,Dan Lu

Acta neuropathologica 149:51 PubMed40411591

2025

Annexin A6 membrane repair protein protects against amyloid-induced dystrophic neurites and tau phosphorylation in Alzheimer's disease model mice.

Applications

Unspecified application

Species

Unspecified reactive species

Katherine R Sadleir,Karen P Gomez,Abigail E Edwards,Armana J Patel,Makenna L Ley,Ammaarah W Khatri,Joanna Guo,Shreya Mahesh,Elyse A Watkins,Jelena Popovic,Devi Krishna Priya Karunakaran,Dmitry Prokopenko,Rudolph E Tanzi,Bernabe Bustos,Steven J Lubbe,Alexis R Demonbruen,Elizabeth M McNally,Robert Vassar

CNS neuroscience & therapeutics 31:e70242 PubMed39912333

2025

LncRNA-MEG3 Mediated Diabetic Cerebral Ischemia-Reperfusion Injury-Induced Apoptosis via Modulating Interaction Between Annexin A2 and Akt in Mitochondria.

Applications

Unspecified application

Species

Unspecified reactive species

Wanqing Zhou,Chongyi Tan,Di Xiong,Cheng Chen,Yanfei Zhao,Yongqiu Xie,Bei Sun,Zhihua Wang,Pingping Xia,Zhi Ye

OncoTargets and therapy 17:113-128 PubMed38384996

2024

Exosome-Delivered EGFR Induced by Acidic Bile Salts Regulates Macrophage M2 Polarization to Promote Esophageal Adenocarcinoma Cell Proliferation.

Applications

Unspecified application

Species

Unspecified reactive species

Chuangui Chen,Jinsheng Ding,Zhao Ma,Yongjie Xie,Linhua Zhang,Dunwan Zhu

FASEB journal : official publication of the Federation of American Societies for Experimental Biology 37:e22974 PubMed37249328

2023

METTL3-mediated ANXA2 inhibition confers neuroprotection in ischemic stroke: Evidence from in vivo and in vitro studies.

Applications

Unspecified application

Species

Unspecified reactive species

Bin Liu,Zhiqun Xing,Feng Song,Dejun Li,Bao Zhao,Chunyang Xu,Wenjun Xia,Hongsheng Ji

Annals of translational medicine 11:42 PubMed36819529

2023

TRIM59 attenuates ox-LDL-induced endothelial cell inflammation, apoptosis, and monocyte adhesion through AnxA2.

Applications

Unspecified application

Species

Unspecified reactive species

Qilin Zeng,Jingli Xie,Fang Li

Journal of lipid research 51:2611-8 PubMed20453200

2010

PCSK9 is not involved in the degradation of LDL receptors and BACE1 in the adult mouse brain.

Applications

Unspecified application

Species

Unspecified reactive species

Mali Liu,Guoxin Wu,Jennifer Baysarowich,Michael Kavana,George H Addona,Kathleen K Bierilo,John S Mudgett,Guillaume Pavlovic,Ayesha Sitlani,John J Renger,Brian K Hubbard,Timothy S Fisher,Celina V Zerbinatti
View all publications

Product promise

We are committed to supporting your work with high-quality reagents, and we're here for you every step of the way. In the unlikely event that one of our products does not perform as expected, you're protected by our Product Promise.
For full details, please see our Terms & Conditions

Please note: All products are 'FOR RESEARCH USE ONLY. NOT FOR USE IN DIAGNOSTIC OR THERAPEUTIC PROCEDURES'.

For licensing inquiries, please contact partnerships@abcam.com