JavaScript is disabled in your browser. Please enable JavaScript to view this website.
AB321903

Anti-Annexin-2/ANXA2 antibody [RM1229]

  • BOND RX™ Validated
  • 20ul selling size
  • Recombinant
  • RabMAb
  • What is this?

Be the first to review this product! Submit a review

|

(0 Publication)

Rabbit Recombinant Multiclonal Annexin-2/ANXA2 antibody. Suitable for IHC-P, Flow Cyt (Intra), WB, ICC/IF, IP and reacts with Human, Mouse, Rat samples.

View Alternative Names

ANX2, ANX2L4, CAL1H, LPC2D, ANXA2, Annexin A2, Annexin II, Annexin-2, Calpactin I heavy chain, Calpactin-1 heavy chain, Chromobindin-8, Lipocortin II, Placental anticoagulant protein IV, Protein I, p36, PAP-IV

16 Images
Flow Cytometry (Intracellular) - Anti-Annexin-2/ANXA2 antibody [RM1229] (AB321903)
  • Flow Cyt (Intra)

Supplier Data

Flow Cytometry (Intracellular) - Anti-Annexin-2/ANXA2 antibody [RM1229] (AB321903)

Flow cytometric analysis of 4% paraformaldehyde fixed 90% methanol permeabilized LNCaP (human prostate carcinoma epithelial cell Left) / MCF7 (human breast adenocarcinoma epithelial cell. Right) cells labelling Annexin-2/ANXA2 with ab321903 at 1/5000 dilution (0.01 ug)/Red compared with a Rabbit monoclonal IgG (ab172730) (Black) isotype control and an unlabelled control (cells without incubation with primary antibody and secondary antibody).

Goat Anti-Rabbit IgG (Alexa Fluor® 488 ab150081) at 1/5000 dilution was used as the secondary antibody.

Low expression : LNCaP

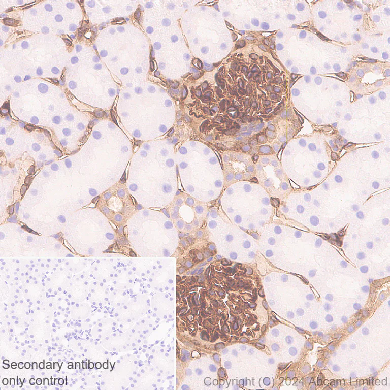
Immunohistochemistry (Formalin/PFA-fixed paraffin-embedded sections) - Anti-Annexin-2/ANXA2 antibody [RM1229] (AB321903)
  • IHC-P

Supplier Data

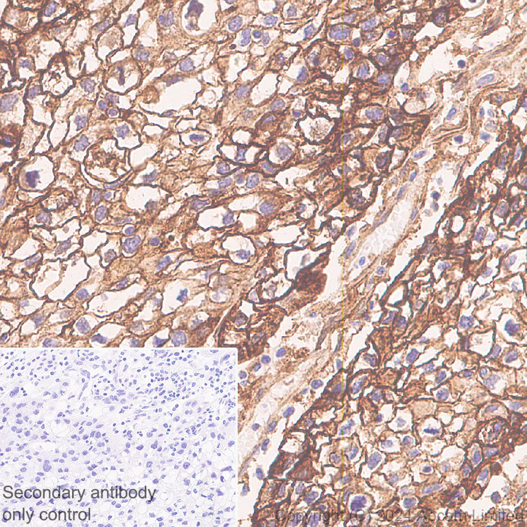
Immunohistochemistry (Formalin/PFA-fixed paraffin-embedded sections) - Anti-Annexin-2/ANXA2 antibody [RM1229] (AB321903)

Immunohistochemical analysis of paraffin-embedded Human cervical squamous carcinoma tissue labeling Annexin-2/ANXA2 with ab321903 at 1/2000 (0.252 ug/ml) dilution followed by a ready to use LeicaDS9800 (Bond™ Polymer Refine Detection).

Positive staining on human cervical squamous carcinoma. The section was incubated with ab321903 for 30 mins at room temperature.
The immunostaining was performed on a Leica Biosystems BOND® RX instrument

Counterstained with Hematoxylin.

Secondary antibody only control : Secondary antibody is a ready to use LeicaDS9800 (Bond™ Polymer Refine Detection).

Heat mediated antigen retrieval was performed with Tris-EDTA buffer (pH 9.0 Epitope Retrieval Solution2) for 20 mins

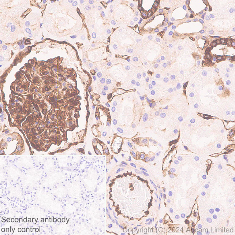
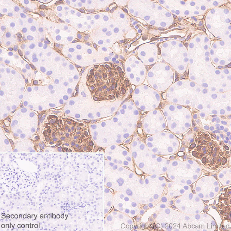
Immunohistochemistry (Formalin/PFA-fixed paraffin-embedded sections) - Anti-Annexin-2/ANXA2 antibody [RM1229] (AB321903)
  • IHC-P

Supplier Data

Immunohistochemistry (Formalin/PFA-fixed paraffin-embedded sections) - Anti-Annexin-2/ANXA2 antibody [RM1229] (AB321903)

Immunohistochemical analysis of paraffin-embedded Human kidney tissue labeling Annexin-2/ANXA2 with ab321903 at 1/2000 (0.252 ug/ml) dilution followed by a ready to use LeicaDS9800 (Bond™ Polymer Refine Detection).

Positive staining on human kidney. The section was incubated with ab321903 for 30 mins at room temperature.
The immunostaining was performed on a Leica Biosystems BOND® RX instrument

Counterstained with Hematoxylin.

Secondary antibody only control : Secondary antibody is a ready to use LeicaDS9800 (Bond™ Polymer Refine Detection).

Heat mediated antigen retrieval was performed with Tris-EDTA buffer (pH 9.0 Epitope Retrieval Solution2) for 20 mins

Immunocytochemistry/ Immunofluorescence - Anti-Annexin-2/ANXA2 antibody [RM1229] (AB321903)
  • ICC/IF

Supplier Data

Immunocytochemistry/ Immunofluorescence - Anti-Annexin-2/ANXA2 antibody [RM1229] (AB321903)

Immunofluorescent analysis of 100% methanol-fixed 0.1% TritonX-100 permeabilized MCF7 (human breast adenocarcinoma epithelial cell) cells labelling Annexin-2/ANXA2 with ab321903 at 1/1000 (0.504 ug/ml) dilution followed by ab150081 Goat Anti-Rabbit IgG H&L (Alexa Fluor® 488) preadsorbed antibody at 1/1000 2 ug/ml dilution (Green).

Confocal image showing membranous and cytoplasmic staining in MCF7 cells (shown in green). The counterstain was observed in magenta. Nuclear DNA was labelled with DAPI (shown in blue).
Low expression : LNCaP.
Image was taken with a confocal microscope (Leica-Microsystems TCS SP8).

ab195889 Anti-alpha Tubulin mouse monoclonal antibody - Microtubule Marker (Alexa Fluor® 594) was used to counterstain tubulin at 1/200 2.5ug/ml dilution (Magenta). The Nuclear counterstain was DAPI (Blue).

Secondary antibody only control : Secondary antibody is ab150081 Goat Anti-Rabbit IgG H&L (Alexa Fluor® 488) preadsorbed at 1/1000 2 ug/ml dilution.

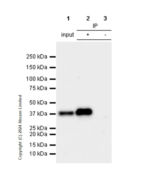
Immunoprecipitation - Anti-Annexin-2/ANXA2 antibody [RM1229] (AB321903)
  • IP

Supplier Data

Immunoprecipitation - Anti-Annexin-2/ANXA2 antibody [RM1229] (AB321903)

Annexin-2/ANXA2 was immunoprecipitated from 0.35 mg MCF7 (human breast adenocarcinoma epithelial cell) whole cell lysate with ab321903 at 1/30 dilution (2ug in 0.35mg lysates). Western blot was performed on the immunoprecipitate using ab321903 at 1/1000 dilution. VeriBlot for IP secondary antibody(HRP)(ab131366) was used at 1/5000 dilution.

Lane 1 : MCF7 (human breast adenocarcinoma epithelial cell) whole cell lysate
Lane 2 : ab321903 IP in MCF7 (human breast adenocarcinoma epithelial cell) whole cell lysate
Lane 3 : Rabbit monoclonal IgG (ab172730) instead of ab321903 in MCF7 whole cell lysate

Blocking and dilution buffer and concentration : 5% NFDM/TBST

All lanes:

Immunoprecipitation - Anti-Annexin-2/ANXA2 antibody [RM1229] (ab321903) at 1/30 dilution

All lanes:

MCF7 (human breast adenocarcinoma epithelial cell) whole cell lysate

Secondary

All lanes:

Immunoprecipitation - VeriBlot for IP Detection Reagent (HRP) (<a href='/en-us/products/reagents/veriblot-for-ip-detection-reagent-hrp-ab131366'>ab131366</a>) at 1/5000 dilution

false

Exposure time: 10s

Immunocytochemistry/ Immunofluorescence - Anti-Annexin-2/ANXA2 antibody [RM1229] (AB321903)
  • ICC/IF

Supplier Data

Immunocytochemistry/ Immunofluorescence - Anti-Annexin-2/ANXA2 antibody [RM1229] (AB321903)

Immunofluorescent analysis of 100% methanol-fixed 0.1% TritonX-100 permeabilized NIH/3T3 (mouse embryonic fibroblast) cells labelling Annexin-2/ANXA2 with ab321903 at 1/1000 (0.504 ug/ml) dilution followed by ab150081 Goat Anti-Rabbit IgG H&L (Alexa Fluor® 488) preadsorbed antibody at 1/1000 2 ug/ml dilution (Green).

Confocal image showing membranous and cytoplasmic staining in NIH/3T3 cells (shown in green). The counterstain was observed in magenta. Nuclear DNA was labelled with DAPI (shown in blue).
Low expression : A20.
Image was taken with a confocal microscope (Leica-Microsystems TCS SP8).

ab195889 Anti-alpha Tubulin mouse monoclonal antibody - Microtubule Marker (Alexa Fluor® 594) was used to counterstain tubulin at 1/200 2.5ug/ml dilution (Magenta). The Nuclear counterstain was DAPI (Blue).

Secondary antibody only control : Secondary antibody is ab150081 Goat Anti-Rabbit IgG H&L (Alexa Fluor® 488) preadsorbed at 1/1000 2 ug/ml dilution.

Immunohistochemistry (Formalin/PFA-fixed paraffin-embedded sections) - Anti-Annexin-2/ANXA2 antibody [RM1229] (AB321903)
  • IHC-P

Supplier Data

Immunohistochemistry (Formalin/PFA-fixed paraffin-embedded sections) - Anti-Annexin-2/ANXA2 antibody [RM1229] (AB321903)

Immunohistochemical analysis of paraffin-embedded Mouse kidney tissue labeling Annexin-2/ANXA2 with ab321903 at 1/2000 (0.252 ug/ml) dilution followed by a ready to use LeicaDS9800 (Bond™ Polymer Refine Detection).

Positive staining on mouse kidney. The section was incubated with ab321903 for 30 mins at room temperature.
The immunostaining was performed on a Leica Biosystems BOND® RX instrument

Counterstained with Hematoxylin.

Secondary antibody only control : Secondary antibody is a ready to use LeicaDS9800 (Bond™ Polymer Refine Detection).

Heat mediated antigen retrieval was performed with Tris-EDTA buffer (pH 9.0 Epitope Retrieval Solution2) for 20 mins

Immunohistochemistry (Formalin/PFA-fixed paraffin-embedded sections) - Anti-Annexin-2/ANXA2 antibody [RM1229] (AB321903)
  • IHC-P

Supplier Data

Immunohistochemistry (Formalin/PFA-fixed paraffin-embedded sections) - Anti-Annexin-2/ANXA2 antibody [RM1229] (AB321903)

Immunohistochemical analysis of paraffin-embedded Rat kidney tissue labeling Annexin-2/ANXA2 with ab321903 at 1/2000 (0.252 ug/ml) dilution followed by a ready to use LeicaDS9800 (Bond™ Polymer Refine Detection).

Positive staining on rat kidney. The section was incubated with ab321903 for 30 mins at room temperature.
The immunostaining was performed on a Leica Biosystems BOND® RX instrument

Counterstained with Hematoxylin.

Secondary antibody only control : Secondary antibody is a ready to use LeicaDS9800 (Bond™ Polymer Refine Detection).

Heat mediated antigen retrieval was performed with Tris-EDTA buffer (pH 9.0 Epitope Retrieval Solution2) for 20 mins

Flow Cytometry (Intracellular) - Anti-Annexin-2/ANXA2 antibody [RM1229] (AB321903)
  • Flow Cyt (Intra)

Supplier Data

Flow Cytometry (Intracellular) - Anti-Annexin-2/ANXA2 antibody [RM1229] (AB321903)

Flow cytometric analysis of 4% paraformaldehyde fixed 90% methanol permeabilized A20 (mouse reticulum sarcoma B lymphocyte Left) / NIH/3T3 (mouse embryonic fibroblast Right) cells labelling Annexin-2/ANXA2 with ab321903 at 1/5000 dilution (0.01 ug)/Red compared with a Rabbit monoclonal IgG (ab172730) (Black) isotype control and an unlabelled control (cells without incubation with primary antibody and secondary antibody).

Goat Anti-Rabbit IgG (Alexa Fluor® 488 ab150081) at 1/5000 dilution was used as the secondary antibody.

Low expression : A20

Immunoprecipitation - Anti-Annexin-2/ANXA2 antibody [RM1229] (AB321903)
  • IP

Supplier Data

Immunoprecipitation - Anti-Annexin-2/ANXA2 antibody [RM1229] (AB321903)

Annexin-2/ANXA2 was immunoprecipitated from 0.35 mg PC-12 (rat adrenal gland pheochromocytoma cell) whole cell lysate with ab321903 at 1/30 dilution (2ug in 0.35mg lysates). Western blot was performed on the immunoprecipitate using ab321903 at 1/1000 dilution. VeriBlot for IP secondary antibody(HRP)(ab131366) was used at 1/5000 dilution.

Lane 1 : PC-12 (rat adrenal gland pheochromocytoma cell) whole cell lysate
Lane 2 : ab321903 IP in PC-12 (rat adrenal gland pheochromocytoma cell) whole cell lysate
Lane 3 : Rabbit monoclonal IgG (ab172730) instead of ab321903 in PC-12 whole cell lysate

Blocking and dilution buffer and concentration : 5% NFDM/TBST

All lanes:

Immunoprecipitation - Anti-Annexin-2/ANXA2 antibody [RM1229] (ab321903) at 1/30 dilution

All lanes:

PC-12 (rat adrenal gland pheochromocytoma cell) whole cell lysate

Secondary

All lanes:

Immunoprecipitation - VeriBlot for IP Detection Reagent (HRP) (<a href='/en-us/products/reagents/veriblot-for-ip-detection-reagent-hrp-ab131366'>ab131366</a>) at 1/5000 dilution

false

Exposure time: 15s

Immunoprecipitation - Anti-Annexin-2/ANXA2 antibody [RM1229] (AB321903)
  • IP

Supplier Data

Immunoprecipitation - Anti-Annexin-2/ANXA2 antibody [RM1229] (AB321903)

Annexin-2/ANXA2 was immunoprecipitated from 0.35 mg 4T1 (mouse mammary gland carcinoma epithelial cell) whole cell lysate with ab321903 at 1/30 dilution (2ug in 0.35mg lysates). Western blot was performed on the immunoprecipitate using ab321903 at 1/1000 dilution. VeriBlot for IP secondary antibody(HRP)(ab131366) was used at 1/5000 dilution.

Lane 1 : 4T1 (mouse mammary gland carcinoma epithelial cell) whole cell lysate
Lane 2 : ab321903 IP in 4T1 (mouse mammary gland carcinoma epithelial cell) whole cell lysate
Lane 3 : Rabbit monoclonal IgG (ab172730) instead of ab321903 in 4T1 whole cell lysate

Blocking and dilution buffer and concentration : 5% NFDM/TBST

All lanes:

Immunoprecipitation - Anti-Annexin-2/ANXA2 antibody [RM1229] (ab321903) at 1/30 dilution

All lanes:

4T1 (mouse mammary gland carcinoma epithelial cell) whole cell lysate

Secondary

All lanes:

Immunoprecipitation - VeriBlot for IP Detection Reagent (HRP) (<a href='/en-us/products/reagents/veriblot-for-ip-detection-reagent-hrp-ab131366'>ab131366</a>) at 1/5000 dilution

false

Exposure time: 3s

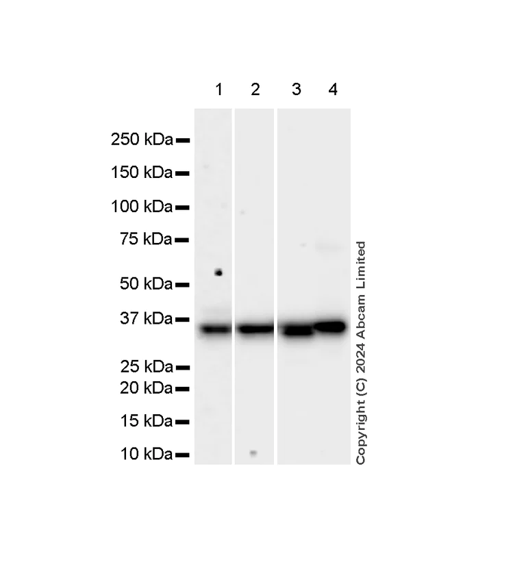
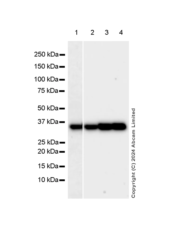
Western blot - Anti-Annexin-2/ANXA2 antibody [RM1229] (AB321903)
  • WB

Supplier Data

Western blot - Anti-Annexin-2/ANXA2 antibody [RM1229] (AB321903)

Blocking and diluting buffer and concentration : 5% NFDM/TBST.

Exposure time : Lane 1 : 81 seconds Lane 2 : 37 seconds Lane 3-4 : 15 seconds

All lanes:

Western blot - Anti-Annexin-2/ANXA2 antibody [RM1229] (ab321903) at 1/1000 dilution

Lane 1:

Human cerebellum tissue lysate at 20 µg

Lane 2:

Human liver tissue lysate at 20 µg

Lane 3:

Human skeletal muscle tissue lysate at 20 µg

Lane 4:

Human spleen tissue lysate at 20 µg

Secondary

All lanes:

Western blot - Goat Anti-Rabbit IgG H&L (HRP) (<a href='/en-us/products/secondary-antibodies/goat-rabbit-igg-h-l-hrp-ab97051'>ab97051</a>) at 1/100000 dilution

Observed band size: 36 kDa

false

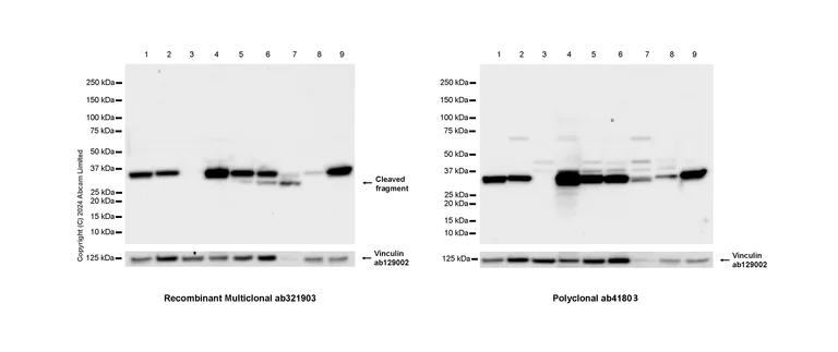
Western blot - Anti-Annexin-2/ANXA2 antibody [RM1229] (AB321903)
  • WB

Supplier Data

Western blot - Anti-Annexin-2/ANXA2 antibody [RM1229] (AB321903)

Blocking and diluting buffer and concentration : 5% NFDM/TBST.

Low expression : LNCaP, Jurkat, 293T.

The molecular weight observed is consistent with what has been described in the literature (PMID : 16373665 and PMID : 22359590).

Anti-Annexin-2/ANXA2 antibody (ab321903, Left) staining at 1/1000 dilution showed similar expression profile/ molecular weight with Anti-Annexin-2/ANXA2 antibody (ab41803, Right) at 1/1000 dilution.

In Western blot, Anti-Vinculin antibody [EPR8185] (ab129002) staining at 1/10000 dilution.

All lanes:

Western blot - Anti-Annexin-2/ANXA2 antibody [RM1229] (ab321903) at 1/1000 dilution

Lane 1:

MCF7 (human breast adenocarcinoma epithelial cell) whole cell lysate at 20 µg

Lane 2:

SK-BR-3 (human breast adenocarcinoma epithelial cell) whole cell lysate at 20 µg

Lane 3:

LNCaP (human prostate carcinoma epithelial cell) whole cell lysate at 20 µg

Lane 4:

A549 (human lung carcinoma epithelial cell) whole cell lysate at 20 µg

Lane 5:

HCT 116 (human colorectal carcinoma epithelial cell) whole cell lysate at 20 µg

Lane 6:

HeLa (human cervical adenocarcinoma epithelial cell) whole cell lysate at 20 µg

Lane 7:

Jurkat (human T cell leukemia T lymphocyte from peripheral blood) whole cell lysate at 20 µg

Lane 8:

293T (human embryonic kidney epithelial cell) whole cell lysate at 20 µg

Lane 9:

4T1 (mouse mammary gland carcinoma epithelial cell) whole cell lysate at 20 µg

Secondary

All lanes:

Western blot - Goat Anti-Rabbit IgG H&L (HRP) (<a href='/en-us/products/secondary-antibodies/goat-rabbit-igg-h-l-hrp-ab97051'>ab97051</a>) at 1/100000 dilution

Observed band size: 36 kDa,124 kDa,33 kDa

false

Exposure time: 26s

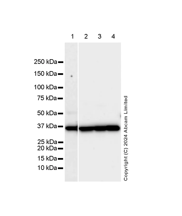
Western blot - Anti-Annexin-2/ANXA2 antibody [RM1229] (AB321903)
  • WB

Supplier Data

Western blot - Anti-Annexin-2/ANXA2 antibody [RM1229] (AB321903)

Blocking and diluting buffer and concentration : 5% NFDM/TBST.

Exposure time : Lane 1 : 180 seconds Lane 2-4 : 37 seconds

All lanes:

Western blot - Anti-Annexin-2/ANXA2 antibody [RM1229] (ab321903) at 1/1000 dilution

Lane 1:

Mouse brain tissue lysate at 20 µg

Lane 2:

Mouse heart tissue lysate at 20 µg

Lane 3:

Mouse kidney tissue lysate at 20 µg

Lane 4:

Mouse spleen tissue lysate at 20 µg

Secondary

All lanes:

Western blot - Goat Anti-Rabbit IgG H&L (HRP) (<a href='/en-us/products/secondary-antibodies/goat-rabbit-igg-h-l-hrp-ab97051'>ab97051</a>) at 1/100000 dilution

Observed band size: 36 kDa

false

Western blot - Anti-Annexin-2/ANXA2 antibody [RM1229] (AB321903)
  • WB

Supplier Data

Western blot - Anti-Annexin-2/ANXA2 antibody [RM1229] (AB321903)

Blocking and diluting buffer and concentration : 5% NFDM/TBST.

Exposure time : Lane 1 : 180 seconds Lane 2-4 : 37 seconds

All lanes:

Western blot - Anti-Annexin-2/ANXA2 antibody [RM1229] (ab321903) at 1/1000 dilution

Lane 1:

Rat brain tissue lysate at 20 µg

Lane 2:

Rat heart tissue lysate at 20 µg

Lane 3:

Rat kidney tissue lysate at 20 µg

Lane 4:

Rat spleen tissue lysate at 20 µg

Secondary

All lanes:

Western blot - Goat Anti-Rabbit IgG H&L (HRP) (<a href='/en-us/products/secondary-antibodies/goat-rabbit-igg-h-l-hrp-ab97051'>ab97051</a>) at 1/100000 dilution

false

Western blot - Anti-Annexin-2/ANXA2 antibody [RM1229] (AB321903)
  • WB

Supplier Data

Western blot - Anti-Annexin-2/ANXA2 antibody [RM1229] (AB321903)

Blocking and diluting buffer and concentration : 5% NFDM/TBST.

Low expression : A20.

In Western blot, Anti-GAPDH antibody [EPR16891] - Loading Control (ab181602) staining at 1/200000 dilution.

Exposure time : Lane 1-4 : 15 seconds Lane 5 : 180 seconds

All lanes:

Western blot - Anti-Annexin-2/ANXA2 antibody [RM1229] (ab321903) at 1/1000 dilution

Lane 1:

C6 (rat glial tumor glial cell) whole cell lysate at 20 µg

Lane 2:

RAW 264.7 (mouse Abelson murine leukemia virus-induced tumor macrophage) whole cell lysate at 20 µg

Lane 3:

PC-12 (rat adrenal gland pheochromocytoma cell) whole cell lysate at 20 µg

Lane 4:

NIH/3T3 (mouse embryonic fibroblast) whole cell lysate at 20 µg

Lane 5:

A20 (mouse reticulum sarcoma B lymphocyte) whole cell lysate at 20 µg

Secondary

All lanes:

Western blot - Goat Anti-Rabbit IgG H&L (HRP) (<a href='/en-us/products/secondary-antibodies/goat-rabbit-igg-h-l-hrp-ab97051'>ab97051</a>) at 1/100000 dilution

false

Key facts

Host species

Rabbit

Clonality

Multiclonal

Clone number

RM1229

Isotype

IgG

Carrier free

No

Reacts with

Human, Mouse, Rat

Applications

WB, IP, Flow Cyt (Intra), ICC/IF, IHC-P

applications

Immunogen

The exact immunogen used to generate this antibody is proprietary information.

Specificity

Unsuitable for rat ICC.

Reactivity data

{ "title": "Reactivity Data", "filters": { "stats": ["", "Species", "Dilution Info", "Notes"], "tabs": { "all-applications": {"fullname" : "All Applications", "shortname": "All Applications"}, "IHCP" : {"fullname" : "Immunohistochemistry (Formalin/PFA-fixed paraffin-embedded sections)", "shortname":"IHC-P"}, "FlowCytIntra" : {"fullname" : "Flow Cytometry (Intracellular)", "shortname":"Flow Cyt (Intra)"}, "WB" : {"fullname" : "Western blot", "shortname":"WB"}, "ICCIF" : {"fullname" : "Immunocytochemistry/ Immunofluorescence", "shortname":"ICC/IF"}, "IP" : {"fullname" : "Immunoprecipitation", "shortname":"IP"} }, "product-promise": { "all": "all", "testedAndGuaranteed": "tested", "guaranteed": "expected", "predicted": "predicted", "notRecommended": "not-recommended" } }, "values": { "Human": { "IHCP-species-checked": "testedAndGuaranteed", "IHCP-species-dilution-info": "1/2000", "IHCP-species-notes": "<p></p> Perform heat-mediated antigen retrieval with Tris/EDTA buffer pH 9.0 before commencing with IHC staining protocol.", "FlowCytIntra-species-checked": "testedAndGuaranteed", "FlowCytIntra-species-dilution-info": "1/5000", "FlowCytIntra-species-notes": "<p></p>", "WB-species-checked": "testedAndGuaranteed", "WB-species-dilution-info": "1/1000", "WB-species-notes": "<p></p>", "ICCIF-species-checked": "testedAndGuaranteed", "ICCIF-species-dilution-info": "1/1000", "ICCIF-species-notes": "<p></p>", "IP-species-checked": "testedAndGuaranteed", "IP-species-dilution-info": "1/30", "IP-species-notes": "<p></p>" }, "Mouse": { "IHCP-species-checked": "testedAndGuaranteed", "IHCP-species-dilution-info": "1/2000", "IHCP-species-notes": "<p></p> Perform heat-mediated antigen retrieval with Tris/EDTA buffer pH 9.0 before commencing with IHC staining protocol.", "FlowCytIntra-species-checked": "testedAndGuaranteed", "FlowCytIntra-species-dilution-info": "1/5000", "FlowCytIntra-species-notes": "<p></p>", "WB-species-checked": "testedAndGuaranteed", "WB-species-dilution-info": "1/1000", "WB-species-notes": "<p></p>", "ICCIF-species-checked": "testedAndGuaranteed", "ICCIF-species-dilution-info": "1/1000", "ICCIF-species-notes": "<p></p>", "IP-species-checked": "testedAndGuaranteed", "IP-species-dilution-info": "1/30", "IP-species-notes": "<p></p>" }, "Rat": { "IHCP-species-checked": "testedAndGuaranteed", "IHCP-species-dilution-info": "1/2000", "IHCP-species-notes": "<p></p> Perform heat-mediated antigen retrieval with Tris/EDTA buffer pH 9.0 before commencing with IHC staining protocol.", "FlowCytIntra-species-checked": "guaranteed", "FlowCytIntra-species-dilution-info": "", "FlowCytIntra-species-notes": "", "WB-species-checked": "testedAndGuaranteed", "WB-species-dilution-info": "1/1000", "WB-species-notes": "<p></p>", "ICCIF-species-checked": "notRecommended", "ICCIF-species-dilution-info": "", "ICCIF-species-notes": "<p></p>", "IP-species-checked": "testedAndGuaranteed", "IP-species-dilution-info": "1/30", "IP-species-notes": "<p></p>" } } }

Product details

What are recombinant multiclonals?
Recombinant multiclonals are a mixture of recombinant antibodies co-expressed from a library of heavy and light chains. They offer several advantages including:

  • - The sensitivity of polyclonal antibodies by recognising multiple epitopes
  • - High batch-to-batch consistency and reproducibility
  • - Improved sensitivity and specificity
  • - Long-term security of supply
  • - Animal-free batch production

View our range of recombinant multiclonal antibodies.

Patented technology
Our RabMAb® technology is a patented hybridoma-based technology for making rabbit monoclonal antibodies. For details on our patents, please refer to RabMAb® patents.

Properties and storage information

Form
Liquid
Purification technique
Affinity purification Protein A
Storage buffer
pH: 7.2 - 7.4 Preservative: 0.01% Sodium azide Constituents: PBS, 40% Glycerol (glycerin, glycerine), 0.05% BSA
Shipped at conditions
Blue Ice
Appropriate short-term storage duration
1-2 weeks
Appropriate short-term storage conditions
+4°C
Appropriate long-term storage conditions
-20°C
Aliquoting information
Upon delivery aliquot
Storage information
Avoid freeze / thaw cycle

Supplementary information

This supplementary information is collated from multiple sources and compiled automatically.

Annexin-2 also known as ANXA2 is a multifunctional protein of approximately 36 kDa. It belongs to the annexin family and is known for its strong calcium-dependent interactions with phospholipid membranes. Commonly expressed in endothelial cells it also appears in various tissues including epithelial cells and certain types of cancer cells. ANXA2 forms a heterotetramer complex with S100A10 also known as p11 which modulates its availability and function. Other names for ANXA2 include its gene designation M298 and its role in complexes often goes by ANXA2R.
Biological function summary

Annexin-2 acts beyond mere cellular structural support. It plays a part in fibrinolysis by acting as a co-receptor for plasminogen and tissue plasminogen activator promoting plasmin generation. The protein is also implicated in membrane trafficking signal transduction and organization of microdomains on cellular surfaces. As part of a complex with S100A10 ANXA2 can bind to cytoskeletal elements facilitating vesicle trafficking and influencing cell shape and motility. This complex assembly hints at ANXA2's importance in maintaining cellular dynamism and interplay with external signals.

Pathways

ANXA2 is integral in the regulation of the plasminogen activation pathway important for fibrinolytic activity. It also participates in the signal transduction pathways influencing cellular responses to stress and growth factors. ANXA2 interacts with various proteins like Src kinase and is involved in processes like the EGFR signaling pathway. This protein often crosstalks with the cytoskeletal network enabling the coupling of membrane dynamics with intracellular signaling cascades.

Annexin-2's dysregulation associates with conditions such as cancer and thrombosis. In cancer overexpression of ANXA2 links with tumor progression invasion and metastasis acting synergistically with proteins like Src to promote oncogenic pathways. In thrombosis ANXA2’s role in fibrinolysis becomes impaired contributing to excessive clot formation. Studies also indicate interactions with plasminogen-related proteins as being central to understanding its pathological roles in these diseases.

Product protocols

For this product, it's our understanding that no specific protocols are required. You can visit:

Target data

Calcium-regulated membrane-binding protein whose affinity for calcium is greatly enhanced by anionic phospholipids. It binds two calcium ions with high affinity. May be involved in heat-stress response. Inhibits PCSK9-enhanced LDLR degradation, probably reduces PCSK9 protein levels via a translational mechanism but also competes with LDLR for binding with PCSK9 (PubMed : 18799458, PubMed : 22848640, PubMed : 24808179).. (Microbial infection) Binds M.pneumoniae CARDS toxin, probably serves as one receptor for this pathogen. When ANXA2 is down-regulated by siRNA, less toxin binds to human cells and less vacuolization (a symptom of M.pneumoniae infection) is seen.
See full target information ANXA2

Product promise

We are committed to supporting your work with high-quality reagents, and we're here for you every step of the way. In the unlikely event that one of our products does not perform as expected, you're protected by our Product Promise.
For full details, please see our Terms & Conditions

Please note: All products are 'FOR RESEARCH USE ONLY. NOT FOR USE IN DIAGNOSTIC OR THERAPEUTIC PROCEDURES'.

For licensing inquiries, please contact partnerships@abcam.com