JavaScript is disabled in your browser. Please enable JavaScript to view this website.
AB259999

Anti-Annexin-4/ANXA4 antibody [EPR22929-208] - BSA and Azide free

Be the first to review this product! Submit a review

|

(0 Publication)

Rabbit Recombinant Monoclonal Annexin-4/ANXA4 antibody. Carrier free. Suitable for IHC-P, WB, ICC/IF, IHC-Fr, Flow Cyt (Intra) and reacts with Mouse, Rat, Human samples.

View Alternative Names

ANX4, ANXA4, Annexin A4, 35-beta calcimedin, Annexin IV, Annexin-4, Carbohydrate-binding protein p33/p41, Chromobindin-4, Endonexin I, Lipocortin IV, P32.5, PP4-X, Placental anticoagulant protein II, Protein II, PAP-II

13 Images
Immunohistochemistry (Formalin/PFA-fixed paraffin-embedded sections) - Anti-Annexin-4/ANXA4 antibody [EPR22929-208] - BSA and Azide free (AB259999)
  • IHC-P

Unknown

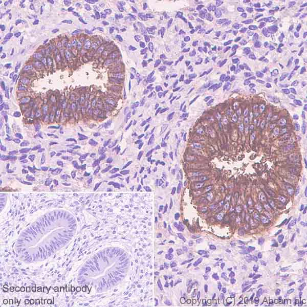
Immunohistochemistry (Formalin/PFA-fixed paraffin-embedded sections) - Anti-Annexin-4/ANXA4 antibody [EPR22929-208] - BSA and Azide free (AB259999)

Immunohistochemical analysis of paraffin-embedded human endometrium tissue labeling Annexin-4/ANXA4 with ab256456 at 1/5000 dilution (0.103 μg/ml) followed by a ready to use Rabbit specific IHC polymer detection kit HRP/DAB (ab209101). Positive staining in human endometrium (PMID : 16954445) is observed. The section was incubated with ab256456 for 10 mins at RT. The immunostaining staining was performed on a Leica Biosystems BOND® RX instrument. Counterstained with hematoxylin.

Secondary antibody only control : Secondary antibody is a ready to use Rabbit specific IHC polymer detection kit HRP/DAB (ab209101).

Heat mediated antigen retrieval with citrate buffer (pH 6.0, epitope retrieval solution 1) for 20 mins.

This data was developed using the same antibody clone in a different buffer formulation containing PBS, BSA, glycerol, and sodium azide (ab256456).

Flow Cytometry (Intracellular) - Anti-Annexin-4/ANXA4 antibody [EPR22929-208] - BSA and Azide free (AB259999)
  • Flow Cyt (Intra)

Unknown

Flow Cytometry (Intracellular) - Anti-Annexin-4/ANXA4 antibody [EPR22929-208] - BSA and Azide free (AB259999)

Intracellular flow cytometric analysis of 4% paraformaldehyde fixed 90% methanol permeabilized HepG2 (human hepatocellular carcinoma epithelial cell) cells labelling Annexin-4/ANXA4 with ab256456 at 1/500 dilution (Red) compared with a Rabbit monoclonal IgG (ab172730) / Black isotype control and an unlabeled control (cells without incubation with primary antibody and secondary antibody) (Blue). A Goat anti rabbit IgG (Alexa Fluor® 488, ab150077) at 1/2000 dilution was used as the secondary antibody.

This data was developed using the same antibody clone in a different buffer formulation containing PBS, BSA, glycerol, and sodium azide (ab256456).

Immunocytochemistry/ Immunofluorescence - Anti-Annexin-4/ANXA4 antibody [EPR22929-208] - BSA and Azide free (AB259999)
  • ICC/IF

Unknown

Immunocytochemistry/ Immunofluorescence - Anti-Annexin-4/ANXA4 antibody [EPR22929-208] - BSA and Azide free (AB259999)

Immunofluorescent analysis of 4% Paraformaldehyde-fixed, 0.1% TritonX-100 permeabilized HepG2 (human hepatocellular carcinoma epithelial cell) cells labeling Annexin-4/ANXA4 with ab256456 at 1/100 5.2 μg/ml dilution, followed by ab150077 AlexaFluor®488 Goat anti-Rabbit secondary antibody at 1/1000 2 μg/ml dilution (Green). Confocal image showing nuclear, cytoplasmic and staining in HepG2 cell line. ab195889 Anti-alpha Tubulin antibody [DM1A] - Microtubule Marker (Alexa Fluor® 594) was used to counterstain tubulin at 1/200 dilution (Red). The nuclear counterstain was DAPI (Blue).

Secondary antibody only control : Secondary antibody is ab150077 AlexaFluor®488 Goat anti-Rabbit secondary at 1/1000 2 μg/ml dilution.

This data was developed using the same antibody clone in a different buffer formulation containing PBS, BSA, glycerol, and sodium azide (ab256456).

Immunohistochemistry (Formalin/PFA-fixed paraffin-embedded sections) - Anti-Annexin-4/ANXA4 antibody [EPR22929-208] - BSA and Azide free (AB259999)
  • IHC-P

Unknown

Immunohistochemistry (Formalin/PFA-fixed paraffin-embedded sections) - Anti-Annexin-4/ANXA4 antibody [EPR22929-208] - BSA and Azide free (AB259999)

Immunohistochemical analysis of paraffin-embedded human pancreas tissue labeling Annexin-4/ANXA4 with ab256456 at 1/5000 dilution (0.103 μg/ml) followed by a ready to use Rabbit specific IHC polymer detection kit HRP/DAB (ab209101). Positive staining in centroacinar cells and islets of human pancreas. The section was incubated with ab256456 for 10 mins at RT. The immunostaining staining was performed on a Leica Biosystems BOND® RX instrument. Counterstained with hematoxylin.

Secondary antibody only control : Secondary antibody is a ready to use Rabbit specific IHC polymer detection kit HRP/DAB (ab209101).

Heat mediated antigen retrieval with citrate buffer (pH 6.0, epitope retrieval solution 1) for 20 mins.

This data was developed using the same antibody clone in a different buffer formulation containing PBS, BSA, glycerol, and sodium azide (ab256456).

Immunohistochemistry (Formalin/PFA-fixed paraffin-embedded sections) - Anti-Annexin-4/ANXA4 antibody [EPR22929-208] - BSA and Azide free (AB259999)
  • IHC-P

Unknown

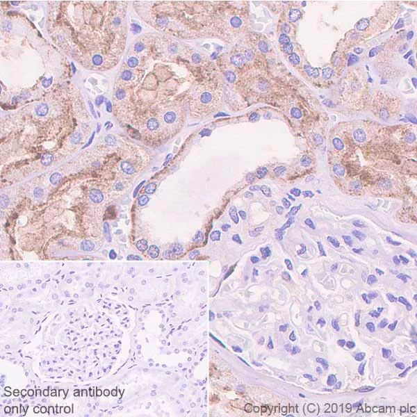
Immunohistochemistry (Formalin/PFA-fixed paraffin-embedded sections) - Anti-Annexin-4/ANXA4 antibody [EPR22929-208] - BSA and Azide free (AB259999)

Immunohistochemical analysis of paraffin-embedded human kidney tissue labeling Annexin-4/ANXA4 with ab256456 at 1/5000 dilution (0.103 μg/ml) followed by a ready to use Rabbit specific IHC polymer detection kit HRP/DAB (ab209101). Positive staining in human kidney (PMID : 9720986) is observed. The section was incubated with ab256456 for 10 mins at RT. The immunostaining staining was performed on a Leica Biosystems BOND® RX instrument. Counterstained with hematoxylin.

Secondary antibody only control : Secondary antibody is a ready to use Rabbit specific IHC polymer detection kit HRP/DAB (ab209101).

Heat mediated antigen retrieval with citrate buffer (pH 6.0, epitope retrieval solution 1) for 20 mins.

This data was developed using the same antibody clone in a different buffer formulation containing PBS, BSA, glycerol, and sodium azide (ab256456).

Immunohistochemistry (Frozen sections) - Anti-Annexin-4/ANXA4 antibody [EPR22929-208] - BSA and Azide free (AB259999)
  • IHC-Fr

Unknown

Immunohistochemistry (Frozen sections) - Anti-Annexin-4/ANXA4 antibody [EPR22929-208] - BSA and Azide free (AB259999)

Immunohistochemical analysis of frozen section of 4% PFA-fixed, 0.2% Triton X-100 permeabilized rat kidney tissue labeling Annexin-4/ANXA4 with ab256456 at 1/100 dilution, followed by ab150077 AlexaFluor®488 Goat anti-Rabbit secondary at 1/1000 dilution (green). Positive staining on rat kidney (PMID : 15145526) is observed. The nuclear counter stain is DAPI (blue).
Secondary antibody only control : Used PBS instead of primary antibody, secondary antibody is ab150077 AlexaFluor®488 Goat anti-Rabbit secondary at 1/1000 dilution.

Heat mediated antigen retrieval using sodium citrate buffer (10mM citrate pH 6.0 + 0.05% Tween-20).

This data was developed using the same antibody clone in a different buffer formulation containing PBS, BSA, glycerol, and sodium azide (ab256456).

Flow Cytometry (Intracellular) - Anti-Annexin-4/ANXA4 antibody [EPR22929-208] - BSA and Azide free (AB259999)
  • Flow Cyt (Intra)

Unknown

Flow Cytometry (Intracellular) - Anti-Annexin-4/ANXA4 antibody [EPR22929-208] - BSA and Azide free (AB259999)

Intracellular flow cytometric analysis of 4% paraformaldehyde fixed 90% methanol permeabilized NIH/3T3 (mouse embryonic fibroblast) cells labelling Annexin-4/ANXA4 with ab256456 at 1/500 dilution (Red) compared with a Rabbit monoclonal IgG (ab172730) / Black isotype control and an unlabeled control (cells without incubation with primary antibody and secondary antibody) (Blue). A Goat anti rabbit IgG (Alexa Fluor® 488, ab150077) at 1/2000 dilution was used as the secondary antibody.

This data was developed using the same antibody clone in a different buffer formulation containing PBS, BSA, glycerol, and sodium azide (ab256456).

Immunohistochemistry (Frozen sections) - Anti-Annexin-4/ANXA4 antibody [EPR22929-208] - BSA and Azide free (AB259999)
  • IHC-Fr

Unknown

Immunohistochemistry (Frozen sections) - Anti-Annexin-4/ANXA4 antibody [EPR22929-208] - BSA and Azide free (AB259999)

Immunohistochemical analysis of frozen section of 4% PFA-fixed, 0.2% Triton X-100 permeabilized mouse pancreas tissue labeling Annexin-4/ANXA4 with ab256456 at 1/100 dilution, followed by ab150077 AlexaFluor®488 Goat anti-Rabbit secondary at 1/1000 dilution (green). Positive staining on mouse pancreas (PMID : 25176043) is observed. The nuclear counter stain is DAPI (blue).
Secondary antibody only control : Used PBS instead of primary antibody, secondary antibody is ab150077 AlexaFluor®488 Goat anti-Rabbit secondary at 1/1000 dilution.

Heat mediated antigen retrieval using sodium citrate buffer (10mM citrate pH 6.0 + 0.05% Tween-20).

Heat mediated antigen retrieval using sodium citrate buffer (10mM citrate pH 6.0 + 0.05% Tween-20).

This data was developed using the same antibody clone in a different buffer formulation containing PBS, BSA, glycerol, and sodium azide (ab256456).

Immunohistochemistry (Formalin/PFA-fixed paraffin-embedded sections) - Anti-Annexin-4/ANXA4 antibody [EPR22929-208] - BSA and Azide free (AB259999)
  • IHC-P

Unknown

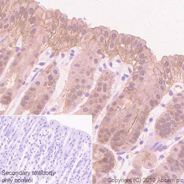
Immunohistochemistry (Formalin/PFA-fixed paraffin-embedded sections) - Anti-Annexin-4/ANXA4 antibody [EPR22929-208] - BSA and Azide free (AB259999)

Immunohistochemical analysis of paraffin-embedded rat stomach tissue labeling Annexin-4/ANXA4 with ab256456 at 1/5000 dilution (0.103 μg/ml) followed by a ready to use Rabbit specific IHC polymer detection kit HRP/DAB (ab209101). Positive staining in rat stomach. The section was incubated with ab256456 for 10 mins at RT. The immunostaining staining was performed on a Leica Biosystems BOND® RX instrument. Counterstained with hematoxylin.

Secondary antibody only control : Secondary antibody is a ready to use Rabbit specific IHC polymer detection kit HRP/DAB (ab209101).

Heat mediated antigen retrieval with citrate buffer (pH 6.0, epitope retrieval solution 1) for 20 mins.

This data was developed using the same antibody clone in a different buffer formulation containing PBS, BSA, glycerol, and sodium azide (ab256456).

Immunohistochemistry (Formalin/PFA-fixed paraffin-embedded sections) - Anti-Annexin-4/ANXA4 antibody [EPR22929-208] - BSA and Azide free (AB259999)
  • IHC-P

Unknown

Immunohistochemistry (Formalin/PFA-fixed paraffin-embedded sections) - Anti-Annexin-4/ANXA4 antibody [EPR22929-208] - BSA and Azide free (AB259999)

Immunohistochemical analysis of paraffin-embedded mouse stomach tissue labeling Annexin-4/ANXA4 with ab256456 at 1/5000 dilution (0.103 μg/ml) followed by a ready to use Rabbit specific IHC polymer detection kit HRP/DAB (ab209101). Positive staining in mouse stomach. The section was incubated with ab256456 for 10 mins at RT. The immunostaining staining was performed on a Leica Biosystems BOND® RX instrument. Counterstained with hematoxylin.

Secondary antibody only control : Secondary antibody is a ready to use Rabbit specific IHC polymer detection kit HRP/DAB (ab209101).

Heat mediated antigen retrieval with citrate buffer (pH 6.0, epitope retrieval solution 1) for 20 mins.

This data was developed using the same antibody clone in a different buffer formulation containing PBS, BSA, glycerol, and sodium azide (ab256456).

Immunohistochemistry (Frozen sections) - Anti-Annexin-4/ANXA4 antibody [EPR22929-208] - BSA and Azide free (AB259999)
  • IHC-Fr

Unknown

Immunohistochemistry (Frozen sections) - Anti-Annexin-4/ANXA4 antibody [EPR22929-208] - BSA and Azide free (AB259999)

Immunohistochemical analysis of frozen section of 4% PFA-fixed, 0.2% Triton X-100 permeabilized mouse kidney tissue labeling Annexin-4/ANXA4 with ab256456 at 1/100 dilution, followed by ab150077 AlexaFluor®488 Goat anti-Rabbit secondary at 1/1000 dilution (green). Positive staining on mouse kidney (PMID : 15145526) is observed. The nuclear counter stain is DAPI (blue).
Secondary antibody only control : Used PBS instead of primary antibody, secondary antibody is ab150077 AlexaFluor®488 Goat anti-Rabbit secondary at 1/1000 dilution.

Heat mediated antigen retrieval using sodium citrate buffer (10mM citrate pH 6.0 + 0.05% Tween-20).

This data was developed using the same antibody clone in a different buffer formulation containing PBS, BSA, glycerol, and sodium azide (ab256456).

Immunocytochemistry/ Immunofluorescence - Anti-Annexin-4/ANXA4 antibody [EPR22929-208] - BSA and Azide free (AB259999)
  • ICC/IF

Unknown

Immunocytochemistry/ Immunofluorescence - Anti-Annexin-4/ANXA4 antibody [EPR22929-208] - BSA and Azide free (AB259999)

Immunofluorescent analysis of 4% Paraformaldehyde-fixed, 0.1% TritonX-100 permeabilized NIH/3T3 (mouse embryonic fibroblast) cells labeling Annexin-4/ANXA4 with ab256456 at 1/100 5.2 μg/ml dilution, followed by ab150077 AlexaFluor®488 Goat anti-Rabbit secondary antibody at 1/1000 2 μg/ml dilution (Green). Confocal image showing nuclear, cytoplasmic and staining in NIH/3T3 cell line. ab195889 Anti-alpha Tubulin antibody [DM1A] - Microtubule Marker (Alexa Fluor® 594) was used to counterstain tubulin at 1/200 dilution (Red). The nuclear counterstain was DAPI (Blue).

Secondary antibody only control : Secondary antibody is ab150077 AlexaFluor®488 Goat anti-Rabbit secondary at 1/1000 2 μg/ml dilution.

This data was developed using the same antibody clone in a different buffer formulation containing PBS, BSA, glycerol, and sodium azide (ab256456).

Immunohistochemistry (Frozen sections) - Anti-Annexin-4/ANXA4 antibody [EPR22929-208] - BSA and Azide free (AB259999)
  • IHC-Fr

Unknown

Immunohistochemistry (Frozen sections) - Anti-Annexin-4/ANXA4 antibody [EPR22929-208] - BSA and Azide free (AB259999)

Immunohistochemical analysis of frozen section of 4% PFA-fixed, 0.2% Triton X-100 permeabilized rat pancreas tissue labeling Annexin-4/ANXA4 with ab256456 at 1/100 dilution, followed by ab150077 AlexaFluor®488 Goat anti-Rabbit secondary at 1/1000 dilution (green). Positive staining on mouse pancreas (PMID : 25176043) is observed. The nuclear counter stain is DAPI (blue).
Secondary antibody only control : Used PBS instead of primary antibody, secondary antibody is ab150077 AlexaFluor®488 Goat anti-Rabbit secondary at 1/1000 dilution.

Heat mediated antigen retrieval using sodium citrate buffer (10mM citrate pH 6.0 + 0.05% Tween-20).

This data was developed using the same antibody clone in a different buffer formulation containing PBS, BSA, glycerol, and sodium azide (ab256456).

Key facts

Host species

Rabbit

Clonality

Monoclonal

Clone number

EPR22929-208

Isotype

IgG

Carrier free

Yes

Reacts with

Mouse, Rat, Human

Applications

Flow Cyt (Intra), WB, IHC-Fr, ICC/IF, IHC-P

applications

Immunogen

The exact immunogen used to generate this antibody is proprietary information.

Reactivity data

{ "title": "Reactivity Data", "filters": { "stats": ["", "Species", "Dilution Info", "Notes"], "tabs": { "all-applications": {"fullname" : "All Applications", "shortname": "All Applications"}, "IHCP" : {"fullname" : "Immunohistochemistry (Formalin/PFA-fixed paraffin-embedded sections)", "shortname":"IHC-P"}, "IP" : {"fullname" : "Immunoprecipitation", "shortname":"IP"}, "WB" : {"fullname" : "Western blot", "shortname":"WB"}, "ICCIF" : {"fullname" : "Immunocytochemistry/ Immunofluorescence", "shortname":"ICC/IF"}, "IHCFr" : {"fullname" : "Immunohistochemistry (Frozen sections)", "shortname":"IHC-Fr"}, "FlowCytIntra" : {"fullname" : "Flow Cytometry (Intracellular)", "shortname":"Flow Cyt (Intra)"} }, "product-promise": { "all": "all", "testedAndGuaranteed": "tested", "guaranteed": "expected", "predicted": "predicted", "notRecommended": "not-recommended" } }, "values": { "Human": { "IHCP-species-checked": "testedAndGuaranteed", "IHCP-species-dilution-info": "", "IHCP-species-notes": "<p></p>", "IP-species-checked": "notRecommended", "IP-species-dilution-info": "", "IP-species-notes": "<p></p>", "WB-species-checked": "guaranteed", "WB-species-dilution-info": "", "WB-species-notes": "<p></p>", "ICCIF-species-checked": "testedAndGuaranteed", "ICCIF-species-dilution-info": "", "ICCIF-species-notes": "<p></p>", "IHCFr-species-checked": "guaranteed", "IHCFr-species-dilution-info": "", "IHCFr-species-notes": "", "FlowCytIntra-species-checked": "testedAndGuaranteed", "FlowCytIntra-species-dilution-info": "", "FlowCytIntra-species-notes": "<p></p>" }, "Mouse": { "IHCP-species-checked": "testedAndGuaranteed", "IHCP-species-dilution-info": "", "IHCP-species-notes": "<p></p>", "IP-species-checked": "notRecommended", "IP-species-dilution-info": "", "IP-species-notes": "<p></p>", "WB-species-checked": "guaranteed", "WB-species-dilution-info": "", "WB-species-notes": "<p></p>", "ICCIF-species-checked": "testedAndGuaranteed", "ICCIF-species-dilution-info": "", "ICCIF-species-notes": "<p></p>", "IHCFr-species-checked": "testedAndGuaranteed", "IHCFr-species-dilution-info": "", "IHCFr-species-notes": "<p>Heat mediated antigen retrieval using sodium citrate buffer (10mM citrate pH 6.0 + 0.05% Tween-20).</p>", "FlowCytIntra-species-checked": "testedAndGuaranteed", "FlowCytIntra-species-dilution-info": "", "FlowCytIntra-species-notes": "<p></p>" }, "Rat": { "IHCP-species-checked": "testedAndGuaranteed", "IHCP-species-dilution-info": "", "IHCP-species-notes": "<p></p>", "IP-species-checked": "notRecommended", "IP-species-dilution-info": "", "IP-species-notes": "<p></p>", "WB-species-checked": "guaranteed", "WB-species-dilution-info": "", "WB-species-notes": "<p></p>", "ICCIF-species-checked": "guaranteed", "ICCIF-species-dilution-info": "", "ICCIF-species-notes": "", "IHCFr-species-checked": "testedAndGuaranteed", "IHCFr-species-dilution-info": "", "IHCFr-species-notes": "<p>Heat mediated antigen retrieval using sodium citrate buffer (10mM citrate pH 6.0 + 0.05% Tween-20).</p>", "FlowCytIntra-species-checked": "guaranteed", "FlowCytIntra-species-dilution-info": "", "FlowCytIntra-species-notes": "" } } }

Product details

ab259999 is the carrier-free version of ab256456.

Patented technology
Our RabMAb® technology is a patented hybridoma-based technology for making rabbit monoclonal antibodies. For details on our patents, please refer to RabMAb® patents.

What are the advantages of a recombinant monoclonal antibody?
This product is a recombinant monoclonal antibody, which offers several advantages including:

  • - High batch-to-batch consistency and reproducibility
  • - Improved sensitivity and specificity
  • - Long-term security of supply
  • - Animal-free batch production

For more information, read more on recombinant antibodies.

Conjugation ready
Our carrier-free antibodies are typically supplied in a PBS-only formulation, purified and free of BSA, sodium azide and glycerol. This conjugation-ready format is designed for use with fluorochromes, metal isotopes, oligonucleotides, and enzymes, which makes them ideal for antibody labelling, functional and cell-based assays, flow-based assays (e.g. mass cytometry) and Multiplex Imaging applications.

Use our conjugation kits for antibody conjugates that are ready-to-use in as little as 20 minutes with 1 minute hands-on-time and 100% antibody recovery: available for fluorescent dyes, HRP, biotin and gold.

Compatibility
This product is compatible with the Maxpar® Antibody Labeling Kit from Fluidigm, without the need for antibody preparation. Maxpar® is a trademark of Fluidigm Canada Inc.

Properties and storage information

Form
Liquid
Purification technique
Affinity purification Protein A
Storage buffer
pH: 7.2 - 7.4 Constituents: PBS
Shipped at conditions
Blue Ice
Appropriate short-term storage conditions
+4°C
Appropriate long-term storage conditions
+4°C
Storage information
Do Not Freeze

Supplementary information

This supplementary information is collated from multiple sources and compiled automatically.

Annexin-4 also known as ANXA4 is a protein with a molecular mass of approximately 36 kDa. It belongs to the annexin family characterized by their ability to bind phospholipids in a calcium-dependent manner. Annexin-4 is widely expressed in various tissues including epithelial cells in the gastrointestinal tract kidney and placenta. This protein associates with the inner surface of the plasma membrane and plays roles in processes like vesicle trafficking and membrane dynamics.
Biological function summary

The protein functions in cellular processes involving membrane-related activities. It does not appear to be part of a larger stable complex but researchers have observed its interaction with cell membranes and involvement in membrane repair and cell signal transduction. Annexin-4 can mediate interactions between the cytoskeleton and the plasma membrane impacting cell motility and structure.

Pathways

Annexin-4 functions in the phospholipid signaling pathways particularly influencing pathways related to calcium signaling. In the calcium-dependent signaling pathway Annexin-4 regulates cellular responses by cooperating with proteins such as calmodulin and other annexins contributing to processes like cell proliferation and apoptosis.

Annexin-4 has shown associations with cancer and inflammatory diseases. Abnormal expression of Annexin-4 has been observed in certain cancer types where it may affect tumor metastasis and progression by modifying cellular adhesion and migration. Additionally its interactions with inflammation-related proteins such as interleukins suggest its involvement in inflammatory responses and disorders like inflammatory bowel disease. Researchers continue to explore its potential as a biomarker for early detection and as a target for therapeutic intervention.

Product protocols

For this product, it's our understanding that no specific protocols are required. You can visit:

Target data

Calcium/phospholipid-binding protein which promotes membrane fusion and is involved in exocytosis.
See full target information ANXA4

Product promise

We are committed to supporting your work with high-quality reagents, and we're here for you every step of the way. In the unlikely event that one of our products does not perform as expected, you're protected by our Product Promise.
For full details, please see our Terms & Conditions

Please note: All products are 'FOR RESEARCH USE ONLY. NOT FOR USE IN DIAGNOSTIC OR THERAPEUTIC PROCEDURES'.

For licensing inquiries, please contact partnerships@abcam.com