JavaScript is disabled in your browser. Please enable JavaScript to view this website.
AB31026

Anti-Annexin-6/ANXA6 antibody

5

(5 Reviews)

|

(21 Publications)

Rabbit Polyclonal Annexin-6/ANXA6 antibody. Suitable for WB, IHC-P and reacts with Human samples. Cited in 21 publications.

View Alternative Names

ANX6, ANXA6, Annexin A6, 67 kDa calelectrin, Annexin VI, Annexin-6, Calphobindin-II, Chromobindin-20, Lipocortin VI, Protein III, p68, p70, CPB-II

4 Images
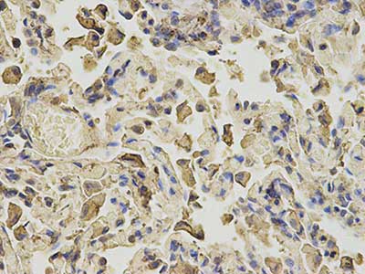
Immunohistochemistry (Formalin/PFA-fixed paraffin-embedded sections) - Anti-Annexin-6/ANXA6 antibody (AB31026)
  • IHC-P

Unknown

Immunohistochemistry (Formalin/PFA-fixed paraffin-embedded sections) - Anti-Annexin-6/ANXA6 antibody (AB31026)

ab31026, at a dilution of 1/50, staining formalin fixed paraffin embedded Annexin-6/ANXA6 in human liver tissue by Immunohistochemistry.

Western blot - Anti-Annexin-6/ANXA6 antibody (AB31026)
  • WB

Unknown

Western blot - Anti-Annexin-6/ANXA6 antibody (AB31026)

All lanes:

Western blot - Anti-Annexin-6/ANXA6 antibody (ab31026) at 1 µg/mL

Lane 1:

Human placenta tissue lysate - total protein (<a href='/en-us/products/unavailable/human-placenta-tissue-lysate-total-protein-ab29745'>ab29745</a>) at 10 µg

Lane 2:

Human kidney tissue lysate - total protein (<a href='/en-us/products/unavailable/human-kidney-tissue-lysate-total-protein-ab30203'>ab30203</a>) at 10 µg

Lane 3:

JEG-3 (Human placental choriocarcinoma cell line) Whole Cell Lysate at 10 µg

Lane 4:

A498 (Human Kidney Carcinoma) Whole Cell Lysate at 10 µg

Secondary

All lanes:

Western blot - Goat Anti-Rabbit IgG H&L (HRP) preadsorbed (<a href='/en-us/products/secondary-antibodies/goat-rabbit-igg-h-l-hrp-preadsorbed-ab97080'>ab97080</a>) at 1/5000 dilution

Predicted band size: 76 kDa

Observed band size: 37 kDa,76 kDa

true

Exposure time: 2min

Western blot - Anti-Annexin-6/ANXA6 antibody (AB31026)
  • WB

AbReview37293****

Western blot - Anti-Annexin-6/ANXA6 antibody (AB31026)

All lanes:

Western blot - Anti-Annexin-6/ANXA6 antibody (ab31026) at 1/500 dilution

All lanes:

Mouse heart tissue lysate at 50 µg

Secondary

All lanes:

HRP-conjugated Goat anti-rabbit IgG at 1/7500 dilution

Predicted band size: 76 kDa

Observed band size: 76 kDa

true

Exposure time: 5s

This image is courtesy of an anonymous Abreview

Western blot - Anti-Annexin-6/ANXA6 antibody (AB31026)
  • WB

Unknown

Western blot - Anti-Annexin-6/ANXA6 antibody (AB31026)

All lanes:

Western blot - Anti-Annexin-6/ANXA6 antibody (ab31026) at 1/25 dilution

All lanes:

lysate prepared from 293 cells

Predicted band size: 76 kDa

Observed band size: 68 kDa,70 kDa

false

Key facts

Host species

Rabbit

Clonality

Polyclonal

Isotype

IgG

Carrier free

No

Reacts with

Human

Applications

IHC-P, WB

applications

Immunogen

The exact immunogen used to generate this antibody is proprietary information.

Reactivity data

{ "title": "Reactivity Data", "filters": { "stats": ["", "Species", "Dilution Info", "Notes"], "tabs": { "all-applications": {"fullname" : "All Applications", "shortname": "All Applications"}, "WB" : {"fullname" : "Western blot", "shortname":"WB"}, "IHCP" : {"fullname" : "Immunohistochemistry (Formalin/PFA-fixed paraffin-embedded sections)", "shortname":"IHC-P"} }, "product-promise": { "all": "all", "testedAndGuaranteed": "tested", "guaranteed": "expected", "predicted": "predicted", "notRecommended": "not-recommended" } }, "values": { "Human": { "WB-species-checked": "testedAndGuaranteed", "WB-species-dilution-info": "", "WB-species-notes": "<p></p>", "IHCP-species-checked": "testedAndGuaranteed", "IHCP-species-dilution-info": "1/50", "IHCP-species-notes": "<p>1/50 for 30 min at room temperature. Requires boiling of tissue sections in 10mM citrate buffer, pH 6.0 for 10 minutes followed by cooling at room temperature for 20 minutes.</p>" }, "Mouse": { "WB-species-checked": "predicted", "WB-species-dilution-info": "", "WB-species-notes": "", "IHCP-species-checked": "predicted", "IHCP-species-dilution-info": "", "IHCP-species-notes": "" }, "Rat": { "WB-species-checked": "predicted", "WB-species-dilution-info": "", "WB-species-notes": "", "IHCP-species-checked": "predicted", "IHCP-species-dilution-info": "", "IHCP-species-notes": "" } } }

Properties and storage information

Form
Liquid
Purification technique
Affinity purification Immunogen
Storage buffer
pH: 7.6 Preservative: 0.1% Sodium azide Constituents: PBS, 1% BSA
Shipped at conditions
Blue Ice
Appropriate long-term storage conditions
-20°C
Aliquoting information
Upon delivery aliquot
Storage information
Avoid freeze / thaw cycle

Supplementary information

This supplementary information is collated from multiple sources and compiled automatically.

Annexin-6 also known as ANXA6 is a member of the annexin family of proteins. It has a mass of approximately 68 kDa and is expressed in various tissues with substantial presence in muscle and liver. This protein acts mechanically by binding to membranes in a calcium-dependent manner playing a role in membrane-associated processes such as endocytosis and exocytosis. Annexin-6 can also interact with cytoskeletal elements influencing cell structure and stability.
Biological function summary

Annexin-6 functions as a versatile scaffold that organizes multiprotein complexes. It modulates membrane trafficking processes and participates in signaling pathways within the cell. This protein can influence intracellular calcium homeostasis by interacting with calcium channels and transporters making it an integral part of cellular signaling and communication.

Pathways

Annexin-6 plays a role in the MAPK and PI3K/Akt signaling pathways. It associates with proteins such as Ras and Protein Kinase C impacting cell proliferation survival and differentiation. These interactions highlight the importance of annexin-6 in cellular responses to external stimuli and help regulate various physiological processes in the body.

Annexin-6 has been linked to cardiac disorders and cancer. In the context of cardiac health it interacts with proteins like phospholamban and calmodulin to influence heart muscle function and calcium regulation. In cancer annexin-6's involvement in the Akt signaling pathway can affect tumor growth and metastasis often interacting with other proteins like EGFR and HER2. This makes it a significant protein of interest in disease research and potential therapeutic targeting.

Product protocols

For this product, it's our understanding that no specific protocols are required. You can visit:

Target data

May associate with CD21. May regulate the release of Ca(2+) from intracellular stores.
See full target information ANXA6

Publications (21)

Recent publications for all applications. Explore the full list and refine your search

Nature cell biology 27:1021-1034 PubMed40419795

2025

Dynamic regulation of integrin β1 phosphorylation supports invasion of breast cancer cells.

Applications

Unspecified application

Species

Unspecified reactive species

James R W Conway,Omkar Joshi,Jasmin Kaivola,Gautier Follain,Michalis Gounis,David Kühl,Johanna Ivaska

FASEB journal : official publication of the Federation of American Societies for Experimental Biology 38:e70099 PubMed39400395

2024

Plasma membrane repair defect in Alzheimer's disease neurons is driven by the reduced dysferlin expression.

Applications

Unspecified application

Species

Unspecified reactive species

Hannah R Bulgart,Miguel A Lopez Perez,Alexis Tucker,Gianni N Giarrano,Kassidy Banford,Olivia Miller,Sidney W G Bonser,Loren E Wold,Douglas Scharre,Noah Weisleder

The Journal of clinical investigation 133: PubMed37384409

2023

Reduction of nemo-like kinase increases lysosome biogenesis and ameliorates TDP-43-related neurodegeneration.

Applications

Unspecified application

Species

Unspecified reactive species

Leon Tejwani,Youngseob Jung,Hiroshi Kokubu,Sowmithra Sowmithra,Luhan Ni,Changwoo Lee,Benjamin Sanders,Paul J Lee,Yangfei Xiang,Kimberly Luttik,Armand Soriano,Jennifer Yoon,Junhyun Park,Hannah H Ro,Hyoungseok Ju,Clara Liao,Sofia Massaro Tieze,Frank Rigo,Paymaan Jafar-Nejad,Janghoo Lim

Aging cell 22:e13746 PubMed36433666

2022

Vascular smooth muscle cell senescence accelerates medin aggregation via small extracellular vesicle secretion and extracellular matrix reorganization.

Applications

Unspecified application

Species

Unspecified reactive species

Meredith Whitehead,Syabira Yusoff,Sadia Ahmad,Lukas Schmidt,Manuel Mayr,Jillian Madine,David Middleton,Catherine M Shanahan

Clinical and translational medicine 10:e208 PubMed33135350

2020

ANXA6 suppresses the tumorigenesis of cervical cancer through autophagy induction.

Applications

Unspecified application

Species

Unspecified reactive species

Xin Sun,Yuhan Shu,Mengting Xu,Jiukun Jiang,Liming Wang,Jigang Wang,Dongsheng Huang,Jianbin Zhang

Proteomics. Clinical applications 14:e1900078 PubMed31747122

2020

Upregulated Expression of Calcium-Dependent Annexin A6: A Potential Biomarker of Ovarian Carcinoma.

Applications

Unspecified application

Species

Unspecified reactive species

Shahzadi Noreen,Qurratulann Afza Gardner,Iram Fatima,Saima Sadaf,Muhammad Waheed Akhtar

The Journal of clinical investigation 129:4657-4670 PubMed31545299

2019

Recombinant annexin A6 promotes membrane repair and protects against muscle injury.

Applications

Unspecified application

Species

Unspecified reactive species

Alexis R Demonbreun,Katherine S Fallon,Claire C Oosterbaan,Elena Bogdanovic,James L Warner,Jordan J Sell,Patrick G Page,Mattia Quattrocelli,David Y Barefield,Elizabeth M McNally

Journal of extracellular vesicles 7:1490144 PubMed30034643

2018

Molecular subtypes and differentiation programmes of glioma stem cells as determinants of extracellular vesicle profiles and endothelial cell-stimulating activities.

Applications

Unspecified application

Species

Unspecified reactive species

C Spinelli,L Montermini,B Meehan,A R Brisson,S Tan,D Choi,I Nakano,J Rak

Science signaling 11: PubMed29921656

2018

Inhibition of somatosensory mechanotransduction by annexin A6.

Applications

Unspecified application

Species

Unspecified reactive species

Ramin Raouf,Stéphane Lolignier,Jane E Sexton,Queensta Millet,Sonia Santana-Varela,Anna Biller,Alice M Fuller,Vanessa Pereira,Jyoti S Choudhary,Mark O Collins,Stephen E Moss,Richard Lewis,Julie Tordo,Els Henckaerts,Michael Linden,John N Wood

Oncotarget 9:24291-24303 PubMed29849941

2018

A novel liver metastasis-correlated protein of pancreatic neuroendocrine neoplasm (PanNEN) discovered by proteomic analysis.

Applications

Unspecified application

Species

Unspecified reactive species

Mitsuhiro Shimura,Masamichi Mizuma,Tatsuyuki Takadate,Yasutake Katoh,Takashi Suzuki,Masahiro Iseki,Tatsuo Hata,Shuichi Aoki,Yukie Suzuki,Naoaki Sakata,Hideo Ohtsuka,Hiroki Hayashi,Takanori Morikawa,Kei Nakagawa,Fuyuhiko Motoi,Takeshi Naitoh,Kazuhiko Igarashi,Hironobu Sasano,Michiaki Unno
View all publications

Product promise

We are committed to supporting your work with high-quality reagents, and we're here for you every step of the way. In the unlikely event that one of our products does not perform as expected, you're protected by our Product Promise.
For full details, please see our Terms & Conditions

Please note: All products are 'FOR RESEARCH USE ONLY. NOT FOR USE IN DIAGNOSTIC OR THERAPEUTIC PROCEDURES'.

For licensing inquiries, please contact partnerships@abcam.com