JavaScript is disabled in your browser. Please enable JavaScript to view this website.
AB201023

Anti-Annexin-6/ANXA6 antibody [EPR19517]

Be the first to review this product! Submit a review

|

(1 Publication)

Rabbit Recombinant Monoclonal Annexin-6/ANXA6 antibody. Suitable for IP, WB, IHC-P and reacts with Human, Mouse, Rat samples. Cited in 1 publication.

View Alternative Names

ANX6, ANXA6, Annexin A6, 67 kDa calelectrin, Annexin VI, Annexin-6, Calphobindin-II, Chromobindin-20, Lipocortin VI, Protein III, p68, p70, CPB-II

8 Images
Immunohistochemistry (Formalin/PFA-fixed paraffin-embedded sections) - Anti-Annexin-6/ANXA6 antibody [EPR19517] (AB201023)
  • IHC-P

Supplier Data

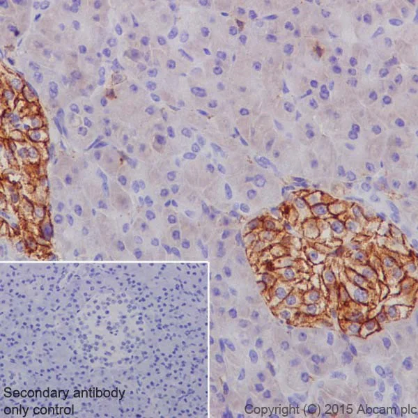
Immunohistochemistry (Formalin/PFA-fixed paraffin-embedded sections) - Anti-Annexin-6/ANXA6 antibody [EPR19517] (AB201023)

Immunohistochemical analysis of paraffin-embedded Human pancreas tissue labeling Annexin-6/ANXA6 with ab201023 at 1/2000 dilution, followed by Goat Anti-Rabbit IgG H&L (HRP) (ab97051) at 1/500 dilution.

Membrane staining on Human pancreas islet is observed.

Counter stained with Hematoxylin.

Secondary antibody only control : Used PBS instead of primary antibody, secondary antibody is ab97051 at 1/500 dilution.

Perform heat mediated antigen retrieval with Tris/EDTA buffer pH 9.0 before commencing with IHC staining protocol.

Immunohistochemistry (Formalin/PFA-fixed paraffin-embedded sections) - Anti-Annexin-6/ANXA6 antibody [EPR19517] (AB201023)
  • IHC-P

Supplier Data

Immunohistochemistry (Formalin/PFA-fixed paraffin-embedded sections) - Anti-Annexin-6/ANXA6 antibody [EPR19517] (AB201023)

Immunohistochemical analysis of paraffin-embedded Human stomach tissue labeling Annexin-6/ANXA6 with ab201023 at 1/2000 dilution, followed by Goat Anti-Rabbit IgG H&L (HRP) (ab97051) at 1/500 dilution.

Cytoplasm staining on stromal cells of Human stomach is observed.

Counter stained with Hematoxylin.

Secondary antibody only control : Used PBS instead of primary antibody, secondary antibody is ab97051 at 1/500 dilution.

Perform heat mediated antigen retrieval with Tris/EDTA buffer pH 9.0 before commencing with IHC staining protocol.

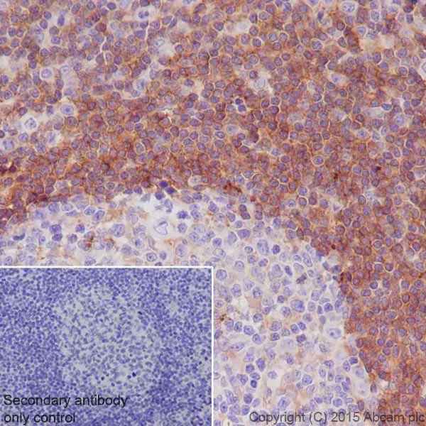
Immunohistochemistry (Formalin/PFA-fixed paraffin-embedded sections) - Anti-Annexin-6/ANXA6 antibody [EPR19517] (AB201023)
  • IHC-P

Supplier Data

Immunohistochemistry (Formalin/PFA-fixed paraffin-embedded sections) - Anti-Annexin-6/ANXA6 antibody [EPR19517] (AB201023)

Immunohistochemical analysis of paraffin-embedded Human tonsil tissue labeling Annexin-6/ANXA6 with ab201023 at 1/2000 dilution, followed by Goat Anti-Rabbit IgG H&L (HRP) (ab97051) at 1/500 dilution.

Cytoplasm staining on lymphocytes of Human tonsil is observed.

Counter stained with Hematoxylin.

Secondary antibody only control : Used PBS instead of primary antibody, secondary antibody is ab97051 at 1/500 dilution.

Perform heat mediated antigen retrieval with Tris/EDTA buffer pH 9.0 before commencing with IHC staining protocol.

Immunoprecipitation - Anti-Annexin-6/ANXA6 antibody [EPR19517] (AB201023)
  • IP

Supplier Data

Immunoprecipitation - Anti-Annexin-6/ANXA6 antibody [EPR19517] (AB201023)

Annexin-6/ANXA6 was immunoprecipitated from 1mg of Human fetal liver whole cell lysate with ab201023 at 1/40 dilution.

Western blot was performed from the immunoprecipitate using ab201023 at 1/1000 dilution.

VeriBlot for IP Detection Reagent (HRP) (ab131366), was used for detection at 1/10000 dilution.

Lane 1 : Human fetal liver whole cell lysate, 10μg (Input).

Lane 2 : ab201023 IP in Human fetal liver whole cell lysate.

Lane 3 : Rabbit IgG,monoclonal [EPR25A] - Isotype Control - (ab172730) instead of ab201023 in Human fetal liver whole cell lysate.

Blocking and dilution buffer and concentration : 5% NFDM/TBST.

Exposure time : 1 second.

All lanes:

Immunoprecipitation - Anti-Annexin-6/ANXA6 antibody [EPR19517] (ab201023)

Predicted band size: 76 kDa

false

Western blot - Anti-Annexin-6/ANXA6 antibody [EPR19517] (AB201023)
  • WB

Supplier Data

Western blot - Anti-Annexin-6/ANXA6 antibody [EPR19517] (AB201023)

Blocking/Dilution buffer : 5% NFDM/TBST.

All lanes:

Western blot - Anti-Annexin-6/ANXA6 antibody [EPR19517] (ab201023) at 1/1000 dilution

Lane 1:

A549 (Human lung carcinoma cell line) whole cell lysate at 20 µg

Lane 2:

HeLa (Human epithelial cell line from cervix adenocarcinoma) whole cell lysate at 20 µg

Lane 3:

Jurkat (Human T cell leukemia cell line from peripheral blood) whole cell lysate at 20 µg

Lane 4:

Raji (Human Burkitt's lymphoma cell line) whole cell lysate at 20 µg

Secondary

All lanes:

Western blot - Goat Anti-Rabbit IgG H&L (HRP) (<a href='/en-us/products/secondary-antibodies/goat-rabbit-igg-h-l-hrp-ab97051'>ab97051</a>) at 1/100000 dilution

Predicted band size: 76 kDa

Observed band size: 72 kDa

false

Exposure time: 15s

Western blot - Anti-Annexin-6/ANXA6 antibody [EPR19517] (AB201023)
  • WB

Lab

Western blot - Anti-Annexin-6/ANXA6 antibody [EPR19517] (AB201023)

Lanes 1-4 : Merged signal (red and green). Green - ab201023 observed at 75 kDa. Red - loading control ab8245 observed at 36 kDa.

ab201023 Anti-Annexin-6/ANXA6 antibody [EPR19536] was shown to specifically react with 6/ANXA6 in wild-type HeLa cells. Loss of signal was observed when knockout cell line ab265677 (knockout cell lysate ab257351) was used. Wild-type and 6/ANXA6 knockout samples were subjected to SDS-PAGE. ab201023 and Anti-GAPDH antibody [6C5] - Loading Control (ab8245) were incubated at room temperature for 2. 5 hours at 1 in 1000 dilution and 1 in 20000 dilution respectively. Blots were developed with Goat anti-Rabbit IgG H&L (IRDye® 800CW) preadsorbed (ab216773) and Goat anti-Mouse IgG H&L (IRDye® 680RD) preadsorbed (ab216776) secondary antibodies at 1 in 20000 dilution for 1 hour at room temperature before imaging.

All lanes:

Western blot - Anti-Annexin-6/ANXA6 antibody [EPR19517] (ab201023) at 1/1000 dilution

Lane 1:

Wild-type HeLa cell lysate at 20 µg

Lane 2:

ANXA6 knockout HeLa cell lysate at 20 µg

Lane 2:

Western blot - Human ANXA6 (Annexin-6) knockout HeLa cell line (<a href='/en-us/products/cell-lines/human-anxa6-annexin-6-knockout-hela-cell-line-ab265677'>ab265677</a>)

Lane 3:

Jurkat cell lysate at 20 µg

Lane 4:

Raji cell lysate at 20 µg

Secondary

All lanes:

Western blot - Goat anti-Rabbit IgG H&L (IRDye® 800CW) preadsorbed (<a href='/en-us/products/secondary-antibodies/goat-rabbit-igg-h-l-irdye-800cw-preadsorbed-ab216773'>ab216773</a>) at 1/10000 dilution

Predicted band size: 76 kDa

Observed band size: 75 kDa

false

Western blot - Anti-Annexin-6/ANXA6 antibody [EPR19517] (AB201023)
  • WB

Supplier Data

Western blot - Anti-Annexin-6/ANXA6 antibody [EPR19517] (AB201023)

Blocking/Dilution buffer : 5% NFDM/TBST.

There was an additional band detected in the heart lysate.

All lanes:

Western blot - Anti-Annexin-6/ANXA6 antibody [EPR19517] (ab201023) at 1/5000 dilution

Lane 1:

Human fetal liver lysate at 10 µg

Lane 2:

Human fetal heart lysate at 10 µg

Lane 3:

Human fetal kidney lysate at 10 µg

Lane 4:

Human fetal spleen lysate at 10 µg

Secondary

All lanes:

Goat Anti-Rabbit IgG Peroxidase Conjugate, specific to the non-reduced form of IgG at 1/10000 dilution

Predicted band size: 76 kDa

Observed band size: 72 kDa

false

Exposure time: 5s

Western blot - Anti-Annexin-6/ANXA6 antibody [EPR19517] (AB201023)
  • WB

Supplier Data

Western blot - Anti-Annexin-6/ANXA6 antibody [EPR19517] (AB201023)

Blocking/Dilution buffer : 5% NFDM/TBST.

Exposure time : Lane 1,2 and 3 : 15 seconds; Lane 4 : 3 minutes; Lane 5,6,7 and 8 : 15 seconds; Lane 9 and 10 : 5 seconds; Lane 11 : 3 minutes.

There was an additional band detected in the heart lysate.

All lanes:

Western blot - Anti-Annexin-6/ANXA6 antibody [EPR19517] (ab201023) at 1/1000 dilution

Lane 1:

Mouse brain lysate at 10 µg

Lane 2:

Mouse heart lysate at 10 µg

Lane 3:

Mouse spleen lysate at 10 µg

Lane 4:

Mouse kidney lysate at 10 µg

Lane 5:

Rat brain lysate at 10 µg

Lane 6:

Rat heart lysate at 10 µg

Lane 7:

Rat kidney lysate at 10 µg

Lane 8:

Rat spleen lysate at 10 µg

Lane 9:

C6 (Rat glial tumor cell line) whole cell lysate at 20 µg

Lane 10:

NIH/3T3 (Mouse embryonic fibroblast cell line) whole cell lysate at 10 µg

Lane 11:

PC-12 (Rat adrenal gland pheochromocytoma cell line) whole cell lysate at 10 µg

Secondary

All lanes:

Western blot - Goat Anti-Rabbit IgG H&L (HRP) (<a href='/en-us/products/secondary-antibodies/goat-rabbit-igg-h-l-hrp-ab97051'>ab97051</a>) at 1/100000 dilution

Predicted band size: 76 kDa

Observed band size: 72 kDa

false

Key facts

Host species

Rabbit

Clonality

Monoclonal

Clone number

EPR19517

Isotype

IgG

Carrier free

No

Reacts with

Mouse, Rat, Human

Applications

IP, WB, IHC-P

applications

Immunogen

The exact immunogen used to generate this antibody is proprietary information.

Reactivity data

{ "title": "Reactivity Data", "filters": { "stats": ["", "Species", "Dilution Info", "Notes"], "tabs": { "all-applications": {"fullname" : "All Applications", "shortname": "All Applications"}, "IP" : {"fullname" : "Immunoprecipitation", "shortname":"IP"}, "WB" : {"fullname" : "Western blot", "shortname":"WB"}, "IHCP" : {"fullname" : "Immunohistochemistry (Formalin/PFA-fixed paraffin-embedded sections)", "shortname":"IHC-P"} }, "product-promise": { "all": "all", "testedAndGuaranteed": "tested", "guaranteed": "expected", "predicted": "predicted", "notRecommended": "not-recommended" } }, "values": { "Human": { "IP-species-checked": "testedAndGuaranteed", "IP-species-dilution-info": "1/40", "IP-species-notes": "<p></p>", "WB-species-checked": "testedAndGuaranteed", "WB-species-dilution-info": "1/1000", "WB-species-notes": "<p></p>", "IHCP-species-checked": "testedAndGuaranteed", "IHCP-species-dilution-info": "1/2000", "IHCP-species-notes": "<p></p> Perform heat-mediated antigen retrieval with Tris/EDTA buffer pH 9.0 before commencing with IHC staining protocol." }, "Mouse": { "IP-species-checked": "guaranteed", "IP-species-dilution-info": "", "IP-species-notes": "", "WB-species-checked": "testedAndGuaranteed", "WB-species-dilution-info": "1/1000", "WB-species-notes": "<p></p>", "IHCP-species-checked": "guaranteed", "IHCP-species-dilution-info": "", "IHCP-species-notes": "" }, "Rat": { "IP-species-checked": "guaranteed", "IP-species-dilution-info": "", "IP-species-notes": "", "WB-species-checked": "testedAndGuaranteed", "WB-species-dilution-info": "1/1000", "WB-species-notes": "<p></p>", "IHCP-species-checked": "guaranteed", "IHCP-species-dilution-info": "", "IHCP-species-notes": "" } } }

Product details

Patented technology
Our RabMAb® technology is a patented hybridoma-based technology for making rabbit monoclonal antibodies. For details on our patents, please refer to RabMAb® patents.

What are the advantages of a recombinant monoclonal antibody?
This product is a recombinant monoclonal antibody, which offers several advantages including:

  • - High batch-to-batch consistency and reproducibility
  • - Improved sensitivity and specificity
  • - Long-term security of supply
  • - Animal-free batch production

For more information, read more on recombinant antibodies.

Properties and storage information

Form
Liquid
Purification technique
Affinity purification Protein A
Storage buffer
pH: 7.2 - 7.4 Preservative: 0.01% Sodium azide Constituents: PBS, 40% Glycerol (glycerin, glycerine), 0.05% BSA
Shipped at conditions
Blue Ice
Appropriate short-term storage duration
1-2 weeks
Appropriate short-term storage conditions
+4°C
Appropriate long-term storage conditions
-20°C
Aliquoting information
Upon delivery aliquot
Storage information
Avoid freeze / thaw cycle

Supplementary information

This supplementary information is collated from multiple sources and compiled automatically.

Annexin-6 also known as ANXA6 is a member of the annexin family of proteins. It has a mass of approximately 68 kDa and is expressed in various tissues with substantial presence in muscle and liver. This protein acts mechanically by binding to membranes in a calcium-dependent manner playing a role in membrane-associated processes such as endocytosis and exocytosis. Annexin-6 can also interact with cytoskeletal elements influencing cell structure and stability.
Biological function summary

Annexin-6 functions as a versatile scaffold that organizes multiprotein complexes. It modulates membrane trafficking processes and participates in signaling pathways within the cell. This protein can influence intracellular calcium homeostasis by interacting with calcium channels and transporters making it an integral part of cellular signaling and communication.

Pathways

Annexin-6 plays a role in the MAPK and PI3K/Akt signaling pathways. It associates with proteins such as Ras and Protein Kinase C impacting cell proliferation survival and differentiation. These interactions highlight the importance of annexin-6 in cellular responses to external stimuli and help regulate various physiological processes in the body.

Annexin-6 has been linked to cardiac disorders and cancer. In the context of cardiac health it interacts with proteins like phospholamban and calmodulin to influence heart muscle function and calcium regulation. In cancer annexin-6's involvement in the Akt signaling pathway can affect tumor growth and metastasis often interacting with other proteins like EGFR and HER2. This makes it a significant protein of interest in disease research and potential therapeutic targeting.

Product protocols

For this product, it's our understanding that no specific protocols are required. You can visit:

Target data

May associate with CD21. May regulate the release of Ca(2+) from intracellular stores.
See full target information ANXA6

Publications (1)

Recent publications for all applications. Explore the full list and refine your search

Journal of translational medicine 23:795 PubMed40665360

2025

Integration of scRNA-seq and ST-seq identifies hyperproliferative RRM2+ cells features and therapeutic targets in gastric cancer.

Applications

Unspecified application

Species

Unspecified reactive species

Shuai Ping,Xiong Jia,Yanan Tian
View all publications

Product promise

We are committed to supporting your work with high-quality reagents, and we're here for you every step of the way. In the unlikely event that one of our products does not perform as expected, you're protected by our Product Promise.
For full details, please see our Terms & Conditions

Please note: All products are 'FOR RESEARCH USE ONLY. NOT FOR USE IN DIAGNOSTIC OR THERAPEUTIC PROCEDURES'.

For licensing inquiries, please contact partnerships@abcam.com