JavaScript is disabled in your browser. Please enable JavaScript to view this website.
AB198990

Anti-Annexin-7/ANXA7 antibody [EPR16173] - N-terminal

Be the first to review this product! Submit a review

|

(1 Publication)

Rabbit Recombinant Monoclonal Annexin-7/ANXA7 antibody. N-terminal. Suitable for IP, WB, IHC-P and reacts with Human, Mouse, Rat samples. Cited in 1 publication.

View Alternative Names

ANX7, SNX, OK/SW-cl.95, ANXA7, Annexin A7, Annexin VII, Annexin-7, Synexin

6 Images
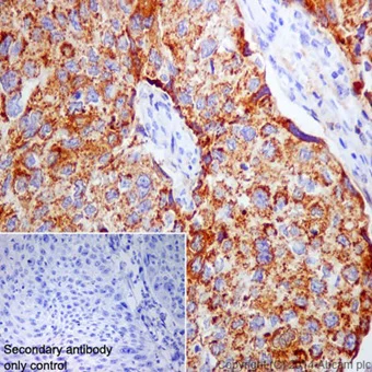
Immunohistochemistry (Formalin/PFA-fixed paraffin-embedded sections) - Anti-Annexin-7/ANXA7 antibody [EPR16173] - N-terminal (AB198990)
  • IHC-P

Supplier Data

Immunohistochemistry (Formalin/PFA-fixed paraffin-embedded sections) - Anti-Annexin-7/ANXA7 antibody [EPR16173] - N-terminal (AB198990)

Immunohistochemical analysis of paraffin-embedded human cervix carcinoma tissue sections labeling ANXA7 with ab198990 at a 1/200 dilution. Goat anti-rabbit IgG H&L (HRP) ab97051 used as the secondary at a 1/500 dilution. Counterstain hematoxylin.

Perform heat mediated antigen retrieval with Tris/EDTA buffer pH 9.0 before commencing with IHC staining protocol.

Immunoprecipitation - Anti-Annexin-7/ANXA7 antibody [EPR16173] - N-terminal (AB198990)
  • IP

Supplier Data

Immunoprecipitation - Anti-Annexin-7/ANXA7 antibody [EPR16173] - N-terminal (AB198990)

ANXA7 was immunoprecipitated from U87-MG (human glioblastoma) whole cell extract with ab198990 at 1/50 dilution. Western blot was performed from the immunoprecipitate using ab198990 at 1/1000 dilution. Anti-Rabbit IgG (HRP), specific to the non-reduced form of IgG, was used as secondary antibody at 1/1500 dilution.

Lane 1 : U87-MG (human glioblastoma) whole cell extract (Input) 10 μg.
Lane 2 : ab198990 IP in U87-MG (human glioblastoma) whole cell extract.
Lane 3 : Rabbit monoclonal IgG (ab172730) instead of ab198990 in U87-MG (human glioblastoma) whole cell extract.

Blocking and dilution buffer and concentration : 5% NFDM/TBST.

All lanes:

Immunoprecipitation - Anti-Annexin-7/ANXA7 antibody [EPR16173] - N-terminal (ab198990)

Predicted band size: 53 kDa

false

Western blot - Anti-Annexin-7/ANXA7 antibody [EPR16173] - N-terminal (AB198990)
  • WB

Supplier Data

Western blot - Anti-Annexin-7/ANXA7 antibody [EPR16173] - N-terminal (AB198990)

All lanes:

Western blot - Anti-Annexin-7/ANXA7 antibody [EPR16173] - N-terminal (ab198990) at 1/20000 dilution

All lanes:

U87-MG cell lysate at 10 µg

Secondary

All lanes:

Goat Anti-Rabbit IgG, (H+L), Peroxidase conjugated at 1/1000 dilution

Predicted band size: 53 kDa

false

Western blot - Anti-Annexin-7/ANXA7 antibody [EPR16173] - N-terminal (AB198990)
  • WB

Supplier Data

Western blot - Anti-Annexin-7/ANXA7 antibody [EPR16173] - N-terminal (AB198990)

All lanes:

Western blot - Anti-Annexin-7/ANXA7 antibody [EPR16173] - N-terminal (ab198990) at 1/5000 dilution

Lane 1:

Human fetal kidney tissue lysate at 10 µg

Lane 2:

Human spleen tissue lysate at 10 µg

Secondary

All lanes:

Anti-Rabbit IgG (HRP), specific to the non-reduced form of IgG at 1/1000 dilution

Predicted band size: 53 kDa

false

Western blot - Anti-Annexin-7/ANXA7 antibody [EPR16173] - N-terminal (AB198990)
  • WB

Supplier Data

Western blot - Anti-Annexin-7/ANXA7 antibody [EPR16173] - N-terminal (AB198990)

All lanes:

Western blot - Anti-Annexin-7/ANXA7 antibody [EPR16173] - N-terminal (ab198990) at 1/20000 dilution

All lanes:

Jurkat cell lysate at 10 µg

Secondary

All lanes:

Goat Anti-Rabbit IgG, (H+L), Peroxidase conjugated at 1/1000 dilution

Predicted band size: 53 kDa

false

Western blot - Anti-Annexin-7/ANXA7 antibody [EPR16173] - N-terminal (AB198990)
  • WB

Supplier Data

Western blot - Anti-Annexin-7/ANXA7 antibody [EPR16173] - N-terminal (AB198990)

All lanes:

Western blot - Anti-Annexin-7/ANXA7 antibody [EPR16173] - N-terminal (ab198990) at 1/5000 dilution

Lane 1:

Mouse kidney tissue lysate at 10 µg

Lane 2:

Mouse spleen tissue lysate at 10 µg

Lane 3:

Rat kidney tissue lysate at 10 µg

Secondary

All lanes:

Goat Anti-Rabbit IgG, (H+L), Peroxidase conjugated at 1/1000 dilution

Predicted band size: 53 kDa

false

  • Carrier free

    Anti-Annexin-7/ANXA7 antibody [EPR16173] - BSA and Azide free

Key facts

Host species

Rabbit

Clonality

Monoclonal

Clone number

EPR16173

Isotype

IgG

Carrier free

No

Reacts with

Mouse, Rat, Human

Applications

IP, WB, IHC-P

applications

Immunogen

The exact immunogen used to generate this antibody is proprietary information.

Reactivity data

{ "title": "Reactivity Data", "filters": { "stats": ["", "Species", "Dilution Info", "Notes"], "tabs": { "all-applications": {"fullname" : "All Applications", "shortname": "All Applications"}, "IP" : {"fullname" : "Immunoprecipitation", "shortname":"IP"}, "WB" : {"fullname" : "Western blot", "shortname":"WB"}, "IHCP" : {"fullname" : "Immunohistochemistry (Formalin/PFA-fixed paraffin-embedded sections)", "shortname":"IHC-P"} }, "product-promise": { "all": "all", "testedAndGuaranteed": "tested", "guaranteed": "expected", "predicted": "predicted", "notRecommended": "not-recommended" } }, "values": { "Human": { "IP-species-checked": "testedAndGuaranteed", "IP-species-dilution-info": "1/50", "IP-species-notes": "<p></p>", "WB-species-checked": "testedAndGuaranteed", "WB-species-dilution-info": "1/5000", "WB-species-notes": "<p></p>", "IHCP-species-checked": "testedAndGuaranteed", "IHCP-species-dilution-info": "1/200", "IHCP-species-notes": "<p></p>" }, "Mouse": { "IP-species-checked": "guaranteed", "IP-species-dilution-info": "1/50", "IP-species-notes": "<p></p>", "WB-species-checked": "testedAndGuaranteed", "WB-species-dilution-info": "1/5000", "WB-species-notes": "<p></p>", "IHCP-species-checked": "guaranteed", "IHCP-species-dilution-info": "1/200", "IHCP-species-notes": "<p></p>" }, "Rat": { "IP-species-checked": "guaranteed", "IP-species-dilution-info": "1/50", "IP-species-notes": "<p></p>", "WB-species-checked": "testedAndGuaranteed", "WB-species-dilution-info": "1/5000", "WB-species-notes": "<p></p>", "IHCP-species-checked": "guaranteed", "IHCP-species-dilution-info": "1/200", "IHCP-species-notes": "<p></p>" } } }

Product details

Patented technology
Our RabMAb® technology is a patented hybridoma-based technology for making rabbit monoclonal antibodies. For details on our patents, please refer to RabMAb® patents.

What are the advantages of a recombinant monoclonal antibody?
This product is a recombinant monoclonal antibody, which offers several advantages including:

  • - High batch-to-batch consistency and reproducibility
  • - Improved sensitivity and specificity
  • - Long-term security of supply
  • - Animal-free batch production

For more information, read more on recombinant antibodies.

Properties and storage information

Form
Liquid
Purification technique
Affinity purification Protein A
Storage buffer
pH: 7.2 - 7.4 Preservative: 0.01% Sodium azide Constituents: PBS, 40% Glycerol (glycerin, glycerine), 0.05% BSA
Shipped at conditions
Blue Ice
Appropriate short-term storage duration
1-2 weeks
Appropriate short-term storage conditions
+4°C
Appropriate long-term storage conditions
-20°C
Aliquoting information
Upon delivery aliquot
Storage information
Avoid freeze / thaw cycle

Supplementary information

This supplementary information is collated from multiple sources and compiled automatically.

Annexin-7 (ANXA7) also known as synexin is a calcium-dependent phospholipid-binding protein. It has a molecular weight of approximately 51 kDa. This protein is expressed in various tissues with notable expression in the heart and brain. Mechanically ANXA7 plays a role in membrane fusion and exocytosis which are critical processes for cellular communication and transport.
Biological function summary

Annexin-7 functions as an important player in cell proliferation and signal transduction. It forms part of the annexin family of proteins which are known for their role in calcium ion binding and membrane-related activities. Annexin-7 has a role in linking Ca2+ signaling with phospholipid membrane dynamics which suggests its involvement in cellular events like growth and differentiation.

Pathways

Annexin-7 influences both the MAPK and EGFR signaling pathways. These pathways are essential for regulating cell division apoptosis and cellular response to external stimuli. Within these pathways Annexin-7 interacts with proteins such as Ras and PI3K which are important for propagating signals that control cellular behaviors.

Abnormalities in Annexin-7 expression and function associate it with cancer and schizophrenia. In cancer altered ANXA7 function may disrupt normal cell communication and growth pathways contributing to tumorigenesis. In schizophrenia disrupted calcium signaling involving ANXA7 may affect neuronal communication and brain function. In these conditions Annexin-7 interacts with proteins like p53 and NMDA receptors which are critical to the pathology of cancer and neurological disorders respectively.

Product protocols

For this product, it's our understanding that no specific protocols are required. You can visit:

Target data

Calcium/phospholipid-binding protein which promotes membrane fusion and is involved in exocytosis.
See full target information ANXA7

Publications (1)

Recent publications for all applications. Explore the full list and refine your search

World journal of gastrointestinal oncology 17:106781 PubMed40837761

2025

regulates cell proliferation, migration, apoptosis and ferroptosis in gastric cancer.

Applications

Unspecified application

Species

Unspecified reactive species

Qi Zhang,Zu-Guo Yuan,Kai-Feng Zheng,Ke Chen
View all publications

Product promise

We are committed to supporting your work with high-quality reagents, and we're here for you every step of the way. In the unlikely event that one of our products does not perform as expected, you're protected by our Product Promise.
For full details, please see our Terms & Conditions

Please note: All products are 'FOR RESEARCH USE ONLY. NOT FOR USE IN DIAGNOSTIC OR THERAPEUTIC PROCEDURES'.

For licensing inquiries, please contact partnerships@abcam.com