JavaScript is disabled in your browser. Please enable JavaScript to view this website.
AB251240

Anti-Annexin-7/ANXA7 antibody [EPR17090] - BSA and Azide free

Be the first to review this product! Submit a review

|

(2 Publications)

Rabbit Recombinant Monoclonal Annexin-7/ANXA7 antibody. Carrier free. Suitable for WB, ICC/IF, Flow Cyt (Intra), IHC-P and reacts with Mouse, Rat, Human samples. Cited in 2 publications.

View Alternative Names

ANX7, SNX, OK/SW-cl.95, ANXA7, Annexin A7, Annexin VII, Annexin-7, Synexin

6 Images
Flow Cytometry (Intracellular) - Anti-Annexin-7/ANXA7 antibody [EPR17090] - BSA and Azide free (AB251240)
  • Flow Cyt (Intra)

Supplier Data

Flow Cytometry (Intracellular) - Anti-Annexin-7/ANXA7 antibody [EPR17090] - BSA and Azide free (AB251240)

This data was developed using ab197586, the same antibody clone in a different buffer formulation.

Intracellular flow cytometric analysis of 2% paraformaldehyde-fixed SH-SY5Y (Human neuroblastoma from bone marrow) cells labeling ANXA7 with ab197586 at 1/60 (red) compared with a rabbit monoclonal IgG isotype control (ab172730) (black) and a unlabelled control (cells without incubation with primary antibody and secondary antibody (blue). Goat anti rabbit IgG (FITC) at 1/150 dilution was used as the secondary antibody.

Immunocytochemistry/ Immunofluorescence - Anti-Annexin-7/ANXA7 antibody [EPR17090] - BSA and Azide free (AB251240)
  • ICC/IF

Lab

Immunocytochemistry/ Immunofluorescence - Anti-Annexin-7/ANXA7 antibody [EPR17090] - BSA and Azide free (AB251240)

This data was developed using ab197586, the same antibody clone in a different buffer formulation.

Immunofluorescent analysis of 4% paraformaldehyde-fixed, 0.1% Triton X-100 permeabilized Neuro-2a (Mouse neuroblastoma cells) cells labeling ANXA7 with ab197586 at 1/100, followed by Goat anti-rabbit IgG (Alexa Fluor® 488) (ab150077) secondary antibody at 1/500 (green). Cytoplasm staining on Neuro-2a cell line is observed. Subcellular location is citied as Cytoplasm [J Cell Sci. 1995 Jan;108 ( Pt 1) : 85-95.] The nuclear counterstain is DAPI (blue). Tubulin is detected with ab7291 (anti-Tubulin mouse mAb) at 1/1000 and ab150120 (AlexaFluor®594 Goat anti-Mouse secondary) at 1/500 (red).

The negative controls are as follows : -
-ve control 1 - ab179586 at 1/100 followed by ab150120 (AlexaFluor®594 Goat anti-Mouse secondary) at 1/500.
-ve control 2. - ab7291 (anti-Tubulin mouse mAb) at 1/1000 followed by ab150077 (Alexa Fluor®488 Goat Anti-Rabbit IgG H&L) at 1/500.

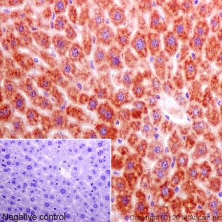
Immunohistochemistry (Formalin/PFA-fixed paraffin-embedded sections) - Anti-Annexin-7/ANXA7 antibody [EPR17090] - BSA and Azide free (AB251240)
  • IHC-P

Supplier Data

Immunohistochemistry (Formalin/PFA-fixed paraffin-embedded sections) - Anti-Annexin-7/ANXA7 antibody [EPR17090] - BSA and Azide free (AB251240)

This data was developed using ab197586, the same antibody clone in a different buffer formulation.

Immunohistochemical analysis of paraffin-embedded Mouse liver tissue labeling ANXA7 with ab197586 at 1/600 dilution followed by Goat Anti-Rabbit IgG H&L (HRP) (ab97051) at 1/500. Cytoplasm staining on Mouse liver tissue is observed. Subcellular location citied as Cytoplasm [J Cell Sci. 1995 Jan;108 ( Pt 1) : 85-95.]. Counter stained with Hematoxylin.
Negative control : Used PBS instead of primary ab, secondary ab is Goat Anti-Rabbit IgG H&L (HRP) (ab97051) at 1/500.

Perform heat mediated antigen retrieval with Tris/EDTA buffer pH 9.0 before commencing with IHC staining protocol.

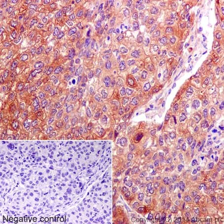
Immunohistochemistry (Formalin/PFA-fixed paraffin-embedded sections) - Anti-Annexin-7/ANXA7 antibody [EPR17090] - BSA and Azide free (AB251240)
  • IHC-P

Supplier Data

Immunohistochemistry (Formalin/PFA-fixed paraffin-embedded sections) - Anti-Annexin-7/ANXA7 antibody [EPR17090] - BSA and Azide free (AB251240)

This data was developed using ab197586, the same antibody clone in a different buffer formulation.

Immunohistochemical analysis of paraffin-embedded Human cervix carcinoma tissue labeling ANXA7 with ab197586 at 1/600 dilution followed by Goat Anti-Rabbit IgG H&L (HRP) (ab97051) at 1/500. Cytoplasm staining on Human cervix carcinoma tissue is observed. Subcellular location citied as Cytoplasm [J Cell Sci. 1995 Jan;108 ( Pt 1) : 85-95.]. Counter stained with Hematoxylin.

Negative control : Used PBS instead of primary ab, secondary ab is Goat Anti-Rabbit IgG H&L (HRP) (ab97051) at 1/500.

Perform heat mediated antigen retrieval with Tris/EDTA buffer pH 9.0 before commencing with IHC staining protocol.

Immunocytochemistry/ Immunofluorescence - Anti-Annexin-7/ANXA7 antibody [EPR17090] - BSA and Azide free (AB251240)
  • ICC/IF

Lab

Immunocytochemistry/ Immunofluorescence - Anti-Annexin-7/ANXA7 antibody [EPR17090] - BSA and Azide free (AB251240)

This data was developed using ab197586, the same antibody clone in a different buffer formulation.

Immunofluorescent analysis of 4% paraformaldehyde-fixed, 0.1% Triton X-100 permeabilized SH-SY5Y (Human neuroblastoma from bone marrow cells) cells labeling ANXA7 with ab197586 at 1/100, followed by Goat anti-rabbit IgG (Alexa Fluor® 488) (ab150077) secondary antibody at 1/500 (green). Cytoplasm staining on SH-SY5Y cell line is observed. Subcellular location is citied as Cytoplasm [J Cell Sci. 1995 Jan;108 ( Pt 1) : 85-95.] The nuclear counterstain is DAPI (blue). Tubulin is detected with ab7291 (anti-Tubulin mouse mAb) at 1/1000 and ab150120 (AlexaFluor®594 Goat anti-Mouse secondary) at 1/500 (red).

The negative controls are as follows : -
-ve control 1 - ab179586 at 1/100 followed by ab150120 (AlexaFluor®594 Goat anti-Mouse secondary) at 1/500.
-ve control 2. - ab7291 (anti-Tubulin mouse mAb) at 1/1000 followed by ab150077 (Alexa Fluor®488 Goat Anti-Rabbit IgG H&L) at 1/500.

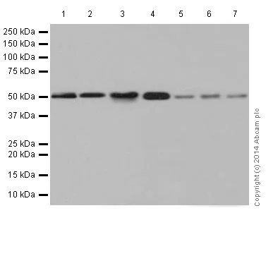
Western blot - Anti-Annexin-7/ANXA7 antibody [EPR17090] - BSA and Azide free (AB251240)
  • WB

Supplier Data

Western blot - Anti-Annexin-7/ANXA7 antibody [EPR17090] - BSA and Azide free (AB251240)

This data was developed using ab197586, the same antibody clone in a different buffer formulation.

Blocking and dilution buffer : 5% NFDM/TBST.

All lanes:

Western blot - Anti-Annexin-7/ANXA7 antibody [EPR17090] (<a href='/en-us/products/primary-antibodies/annexin-7-anxa7-antibody-epr17090-ab197586'>ab197586</a>) at 1/2000 dilution

Lane 1:

Jurkat (Human T cell leukemia cells from peripheral blood) whole cell lysate at 10 µg

Lane 2:

SH-SY5Y (Human neuroblastoma from bone marrow cells) whole cell lysate at 10 µg

Lane 3:

Rat brain lysate at 10 µg

Lane 4:

C6 (Rat glial tumor cells) whole cell lysate at 10 µg

Lane 5:

Raw264.7 (Mouse macrophage cells transformed with Abelson murine leukemia virus) whole cell lysate at 10 µg

Lane 6:

PC-12 (Rat adrenal gland pheochromocytoma) whole cell lysate at 10 µg

Lane 7:

NIH/3T3 (Mouse embryo fibroblast cells) whole cell lysate at 10 µg

Secondary

All lanes:

Goat Anti-Rabbit IgG, (H+L), Peroxidase conjugated at 1/1000 dilution

Predicted band size: 53 kDa

Observed band size: 53 kDa

false

Exposure time: 3min

Key facts

Host species

Rabbit

Clonality

Monoclonal

Clone number

EPR17090

Isotype

IgG

Carrier free

Yes

Reacts with

Mouse, Rat, Human

Applications

IHC-P, WB, Flow Cyt (Intra), ICC/IF

applications

Immunogen

The exact immunogen used to generate this antibody is proprietary information.

Reactivity data

{ "title": "Reactivity Data", "filters": { "stats": ["", "Species", "Dilution Info", "Notes"], "tabs": { "all-applications": {"fullname" : "All Applications", "shortname": "All Applications"}, "WB" : {"fullname" : "Western blot", "shortname":"WB"}, "ICCIF" : {"fullname" : "Immunocytochemistry/ Immunofluorescence", "shortname":"ICC/IF"}, "FlowCytIntra" : {"fullname" : "Flow Cytometry (Intracellular)", "shortname":"Flow Cyt (Intra)"}, "IHCP" : {"fullname" : "Immunohistochemistry (Formalin/PFA-fixed paraffin-embedded sections)", "shortname":"IHC-P"} }, "product-promise": { "all": "all", "testedAndGuaranteed": "tested", "guaranteed": "expected", "predicted": "predicted", "notRecommended": "not-recommended" } }, "values": { "Human": { "WB-species-checked": "testedAndGuaranteed", "WB-species-dilution-info": "", "WB-species-notes": "<p></p>", "ICCIF-species-checked": "testedAndGuaranteed", "ICCIF-species-dilution-info": "", "ICCIF-species-notes": "<p></p>", "FlowCytIntra-species-checked": "testedAndGuaranteed", "FlowCytIntra-species-dilution-info": "", "FlowCytIntra-species-notes": "<p></p>", "IHCP-species-checked": "testedAndGuaranteed", "IHCP-species-dilution-info": "", "IHCP-species-notes": "<p></p>" }, "Mouse": { "WB-species-checked": "testedAndGuaranteed", "WB-species-dilution-info": "", "WB-species-notes": "<p></p>", "ICCIF-species-checked": "testedAndGuaranteed", "ICCIF-species-dilution-info": "", "ICCIF-species-notes": "<p></p>", "FlowCytIntra-species-checked": "guaranteed", "FlowCytIntra-species-dilution-info": "", "FlowCytIntra-species-notes": "", "IHCP-species-checked": "testedAndGuaranteed", "IHCP-species-dilution-info": "", "IHCP-species-notes": "<p></p>" }, "Rat": { "WB-species-checked": "testedAndGuaranteed", "WB-species-dilution-info": "", "WB-species-notes": "<p></p>", "ICCIF-species-checked": "guaranteed", "ICCIF-species-dilution-info": "", "ICCIF-species-notes": "", "FlowCytIntra-species-checked": "guaranteed", "FlowCytIntra-species-dilution-info": "", "FlowCytIntra-species-notes": "", "IHCP-species-checked": "guaranteed", "IHCP-species-dilution-info": "", "IHCP-species-notes": "" } } }

Product details

ab251240 is the carrier-free version of ab197586.

Patented technology
Our RabMAb® technology is a patented hybridoma-based technology for making rabbit monoclonal antibodies. For details on our patents, please refer to RabMAb® patents.

What are the advantages of a recombinant monoclonal antibody?
This product is a recombinant monoclonal antibody, which offers several advantages including:

  • - High batch-to-batch consistency and reproducibility
  • - Improved sensitivity and specificity
  • - Long-term security of supply
  • - Animal-free batch production

For more information, read more on recombinant antibodies.

Conjugation ready
Our carrier-free antibodies are typically supplied in a PBS-only formulation, purified and free of BSA, sodium azide and glycerol. This conjugation-ready format is designed for use with fluorochromes, metal isotopes, oligonucleotides, and enzymes, which makes them ideal for antibody labelling, functional and cell-based assays, flow-based assays (e.g. mass cytometry) and Multiplex Imaging applications.

Use our conjugation kits for antibody conjugates that are ready-to-use in as little as 20 minutes with 1 minute hands-on-time and 100% antibody recovery: available for fluorescent dyes, HRP, biotin and gold.

Compatibility
This product is compatible with the Maxpar® Antibody Labeling Kit from Fluidigm, without the need for antibody preparation. Maxpar® is a trademark of Fluidigm Canada Inc.

Properties and storage information

Form
Liquid
Purification technique
Affinity purification Protein A
Storage buffer
pH: 7.2 - 7.4 Constituents: PBS
Shipped at conditions
Blue Ice
Appropriate short-term storage conditions
+4°C
Appropriate long-term storage conditions
+4°C
Storage information
Do Not Freeze

Supplementary information

This supplementary information is collated from multiple sources and compiled automatically.

Annexin-7 (ANXA7) also known as synexin is a calcium-dependent phospholipid-binding protein. It has a molecular weight of approximately 51 kDa. This protein is expressed in various tissues with notable expression in the heart and brain. Mechanically ANXA7 plays a role in membrane fusion and exocytosis which are critical processes for cellular communication and transport.
Biological function summary

Annexin-7 functions as an important player in cell proliferation and signal transduction. It forms part of the annexin family of proteins which are known for their role in calcium ion binding and membrane-related activities. Annexin-7 has a role in linking Ca2+ signaling with phospholipid membrane dynamics which suggests its involvement in cellular events like growth and differentiation.

Pathways

Annexin-7 influences both the MAPK and EGFR signaling pathways. These pathways are essential for regulating cell division apoptosis and cellular response to external stimuli. Within these pathways Annexin-7 interacts with proteins such as Ras and PI3K which are important for propagating signals that control cellular behaviors.

Abnormalities in Annexin-7 expression and function associate it with cancer and schizophrenia. In cancer altered ANXA7 function may disrupt normal cell communication and growth pathways contributing to tumorigenesis. In schizophrenia disrupted calcium signaling involving ANXA7 may affect neuronal communication and brain function. In these conditions Annexin-7 interacts with proteins like p53 and NMDA receptors which are critical to the pathology of cancer and neurological disorders respectively.

Product protocols

For this product, it's our understanding that no specific protocols are required. You can visit:

Target data

Calcium/phospholipid-binding protein which promotes membrane fusion and is involved in exocytosis.
See full target information ANXA7

Publications (2)

Recent publications for all applications. Explore the full list and refine your search

Nutrients 16: PubMed38732558

2024

Differential Modulation by Eicosapentaenoic Acid (EPA) and Docosahexaenoic Acid (DHA) of Mesenteric Fat and Macrophages and T Cells in Adipose Tissue of Obese / Zucker Rats.

Applications

Unspecified application

Species

Unspecified reactive species

Lena Hong,Peter Zahradka,Carla G Taylor

Journal of cellular and molecular medicine 25:3361-3370 PubMed33682317

2021

TNFAIP8 regulates gastric cancer growth via mTOR-Akt-ULK1 pathway and autophagy signals.

Applications

Unspecified application

Species

Unspecified reactive species

Zheng Chen,Jianguo Zhang,Chenyang Dong,Dongsheng Li,Yuehan Yin,Wenhai Yu,Yuezhi Chen
View all publications

Product promise

We are committed to supporting your work with high-quality reagents, and we're here for you every step of the way. In the unlikely event that one of our products does not perform as expected, you're protected by our Product Promise.
For full details, please see our Terms & Conditions

Please note: All products are 'FOR RESEARCH USE ONLY. NOT FOR USE IN DIAGNOSTIC OR THERAPEUTIC PROCEDURES'.

For licensing inquiries, please contact partnerships@abcam.com