JavaScript is disabled in your browser. Please enable JavaScript to view this website.
AB111708

Anti-Annexin-8/ANXA8 antibody

5

(1 Review)

|

(2 Publications)

Rabbit Polyclonal Annexin-8/ANXA8 antibody. Suitable for WB, IHC-P, ICC/IF and reacts with Human samples. Cited in 2 publications. Immunogen corresponding to Recombinant Fragment Protein within Human ANXA8 aa 50-300.

View Alternative Names

ANX8, ANXA8, Annexin A8, Annexin VIII, Annexin-8, Vascular anticoagulant-beta, VAC-beta

3 Images
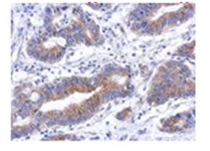
Immunohistochemistry (Formalin/PFA-fixed paraffin-embedded sections) - Anti-Annexin-8/ANXA8 antibody (AB111708)
  • IHC-P

Unknown

Immunohistochemistry (Formalin/PFA-fixed paraffin-embedded sections) - Anti-Annexin-8/ANXA8 antibody (AB111708)

Immunohistochemical analysis of paraffin-embedded colon carcinoma, using ab111708 at 1/500 dilution.

Immunocytochemistry/ Immunofluorescence - Anti-Annexin-8/ANXA8 antibody (AB111708)
  • ICC/IF

Unknown

Immunocytochemistry/ Immunofluorescence - Anti-Annexin-8/ANXA8 antibody (AB111708)

Immunofluorescence analysis of methanol-fixed HeLa, using ab111708 at 1/200 dilution. The bottom image shows the cells counterstained with Hoechst 33342.

Western blot - Anti-Annexin-8/ANXA8 antibody (AB111708)
  • WB

Unknown

Western blot - Anti-Annexin-8/ANXA8 antibody (AB111708)

Gel concentration : 10%

All lanes:

Western blot - Anti-Annexin-8/ANXA8 antibody (ab111708) at 1/1000 dilution

All lanes:

HeLa whole cell lysate at 30 µg

Predicted band size: 37 kDa

false

Key facts

Host species

Rabbit

Clonality

Polyclonal

Isotype

IgG

Carrier free

No

Reacts with

Human

Applications

IHC-P, ICC/IF, WB

applications

Immunogen

Recombinant Fragment Protein within Human ANXA8 aa 50-300. The exact immunogen used to generate this antibody is proprietary information.

P13928

Reactivity data

{ "title": "Reactivity Data", "filters": { "stats": ["", "Species", "Dilution Info", "Notes"], "tabs": { "all-applications": {"fullname" : "All Applications", "shortname": "All Applications"}, "WB" : {"fullname" : "Western blot", "shortname":"WB"}, "IHCP" : {"fullname" : "Immunohistochemistry (Formalin/PFA-fixed paraffin-embedded sections)", "shortname":"IHC-P"}, "ICCIF" : {"fullname" : "Immunocytochemistry/ Immunofluorescence", "shortname":"ICC/IF"} }, "product-promise": { "all": "all", "testedAndGuaranteed": "tested", "guaranteed": "expected", "predicted": "predicted", "notRecommended": "not-recommended" } }, "values": { "Human": { "WB-species-checked": "testedAndGuaranteed", "WB-species-dilution-info": "1/500 - 1/3000", "WB-species-notes": "<p></p>", "IHCP-species-checked": "testedAndGuaranteed", "IHCP-species-dilution-info": "", "IHCP-species-notes": "<p></p>", "ICCIF-species-checked": "testedAndGuaranteed", "ICCIF-species-dilution-info": "1/100 - 1/500", "ICCIF-species-notes": "<p></p>" }, "Mouse": { "WB-species-checked": "predicted", "WB-species-dilution-info": "", "WB-species-notes": "", "IHCP-species-checked": "predicted", "IHCP-species-dilution-info": "", "IHCP-species-notes": "", "ICCIF-species-checked": "predicted", "ICCIF-species-dilution-info": "", "ICCIF-species-notes": "" }, "Rat": { "WB-species-checked": "predicted", "WB-species-dilution-info": "", "WB-species-notes": "", "IHCP-species-checked": "predicted", "IHCP-species-dilution-info": "", "IHCP-species-notes": "", "ICCIF-species-checked": "predicted", "ICCIF-species-dilution-info": "", "ICCIF-species-notes": "" }, "Rabbit": { "WB-species-checked": "predicted", "WB-species-dilution-info": "", "WB-species-notes": "", "IHCP-species-checked": "predicted", "IHCP-species-dilution-info": "", "IHCP-species-notes": "", "ICCIF-species-checked": "predicted", "ICCIF-species-dilution-info": "", "ICCIF-species-notes": "" } } }

Properties and storage information

Form
Liquid
Purification technique
Affinity purification Immunogen
Storage buffer
pH: 7 Preservative: 0.01% Thimerosal (merthiolate) Constituents: 20% Glycerol (glycerin, glycerine), 1.21% Tris, 0.75% Glycine
Shipped at conditions
Blue Ice
Appropriate short-term storage conditions
+4°C
Appropriate long-term storage conditions
-20°C
Aliquoting information
Upon delivery aliquot
Storage information
Avoid freeze / thaw cycle

Supplementary information

This supplementary information is collated from multiple sources and compiled automatically.

Annexin-8 (ANXA8) is a protein member of the annexin family involved in membrane-related events. This protein also known as Lipocortin VIII has a molecular mass of approximately 36 kDa. ANXA8 is expressed in various tissues with higher expression noticed in placenta and skin. In mechanical terms ANXA8 depends on calcium ions to bind phospholipids in cell membranes suggested to participate in membrane trafficking and organization.
Biological function summary

The protein plays a role in cellular processes such as regulation of membrane dynamics and calcium signaling. ANXA8 exists as part of larger protein complexes contributing to its function in cellular response mechanisms. It influences processes like vesicle trafficking and may affect cellular proliferation and apoptosis. The protein's role in these complex processes reflects its importance in maintaining cellular health and function.

Pathways

ANXA8 integrates into several biological pathways such as the vesicle-mediated transport and inflammation response pathways. It interacts with other annexins like ANXA1 and ANXA2 which are involved in similar pathways. Through these interactions ANXA8 contributes to cellular homeostasis and adaptive responses to environmental changes highlighting its interactive role with other proteins in these pathways.

Researchers have connected ANXA8 with psoriasis and certain cancers including breast cancer. The protein appears to influence pathological processes through its interactions with other proteins like p53 which is a well-known tumor suppressor. These connections with specific disorders underline its potential importance in disease progression and diagnosis offering insights into therapeutic intervention strategies.

Product protocols

For this product, it's our understanding that no specific protocols are required. You can visit:

Target data

This protein is an anticoagulant protein that acts as an indirect inhibitor of the thromboplastin-specific complex, which is involved in the blood coagulation cascade.
See full target information ANXA8

Publications (2)

Recent publications for all applications. Explore the full list and refine your search

Human cell 36:1041-1053 PubMed36952210

2023

Bone marrow mesenchymal stem cells derived exosomal Lnc TUG1 promotes bone fracture recovery via miR-22-5p/Anxa8 axis.

Applications

Unspecified application

Species

Unspecified reactive species

Wei Li,Lihong Li,Rui Cui,Xiaoqing Chen,Haifeng Hu,Yuyu Qiu

Journal of cell science 129:2804-16 PubMed27278018

2016

Sorting nexin 9 negatively regulates invadopodia formation and function in cancer cells.

Applications

Unspecified application

Species

Unspecified reactive species

Nawal Bendris,Carrie J S Stearns,Carlos R Reis,Jaime Rodriguez-Canales,Hui Liu,Agnieszka W Witkiewicz,Sandra L Schmid
View all publications

Product promise

We are committed to supporting your work with high-quality reagents, and we're here for you every step of the way. In the unlikely event that one of our products does not perform as expected, you're protected by our Product Promise.
For full details, please see our Terms & Conditions

Please note: All products are 'FOR RESEARCH USE ONLY. NOT FOR USE IN DIAGNOSTIC OR THERAPEUTIC PROCEDURES'.

For licensing inquiries, please contact partnerships@abcam.com