JavaScript is disabled in your browser. Please enable JavaScript to view this website.
AB268191

Anti-Annexin A1/ANXA1 antibody [ANXA1/3566] - BSA and Azide free

Be the first to review this product! Submit a review

|

(1 Publication)

Mouse Monoclonal Annexin A1/ANXA1 antibody. Carrier free. Suitable for Flow Cyt, WB, Protein Array, ICC/IF, IHC-P and reacts with Human, Recombinant full length protein - Human samples. Cited in 1 publication. Immunogen corresponding to Recombinant Full Length Protein corresponding to Human ANXA1.

View Alternative Names

ANX1, LPC1, ANXA1, Annexin A1, Annexin I, Annexin-1, Calpactin II, Calpactin-2, Chromobindin-9, Lipocortin I, Phospholipase A2 inhibitory protein, p35

8 Images
Immunohistochemistry (Formalin/PFA-fixed paraffin-embedded sections) - Anti-Annexin A1/ANXA1 antibody [ANXA1/3566] - BSA and Azide free (AB268191)
  • IHC-P

Unknown

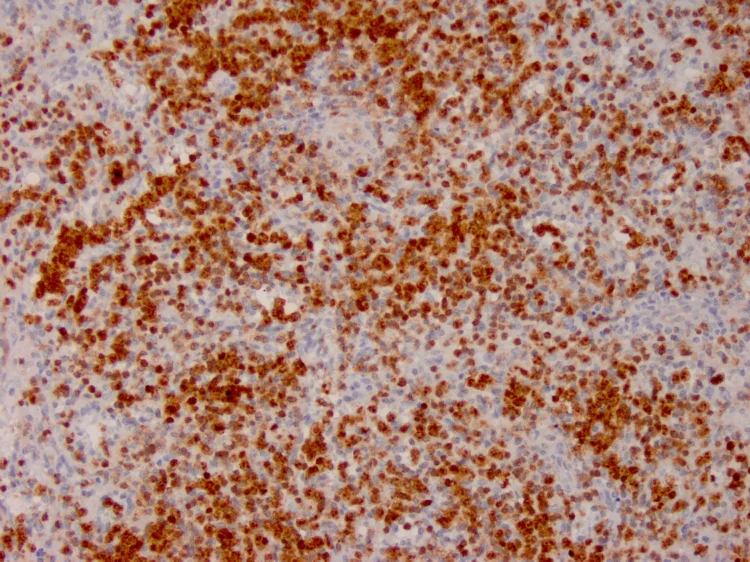
Immunohistochemistry (Formalin/PFA-fixed paraffin-embedded sections) - Anti-Annexin A1/ANXA1 antibody [ANXA1/3566] - BSA and Azide free (AB268191)

Formalin-fixed, paraffin-embedded human lymph node tissue stained for Annexin I using ab268070 at 2 μg/ml in immunohistochemical analysis.

This data was developed using the same antibody clone in a different buffer formulation containing PBS, BSA and Sodium azide (ab268070)

Immunocytochemistry/ Immunofluorescence - Anti-Annexin A1/ANXA1 antibody [ANXA1/3566] - BSA and Azide free (AB268191)
  • ICC/IF

Unknown

Immunocytochemistry/ Immunofluorescence - Anti-Annexin A1/ANXA1 antibody [ANXA1/3566] - BSA and Azide free (AB268191)

Immunofluorescence staining of paraformaldehyde-fixed HeLa (Human epithelial cell line from cervix adenocarcinoma) cells stained for Annexin I with ab268070 at 2 μg/ml followed by a goat anti-Mouse IgG-CF488 (Green). Nuclei are labeled with Reddot (Red).

This data was developed using the same antibody clone in a different buffer formulation containing PBS, BSA and Sodium azide (ab268070)

Immunohistochemistry (Formalin/PFA-fixed paraffin-embedded sections) - Anti-Annexin A1/ANXA1 antibody [ANXA1/3566] - BSA and Azide free (AB268191)
  • IHC-P

Unknown

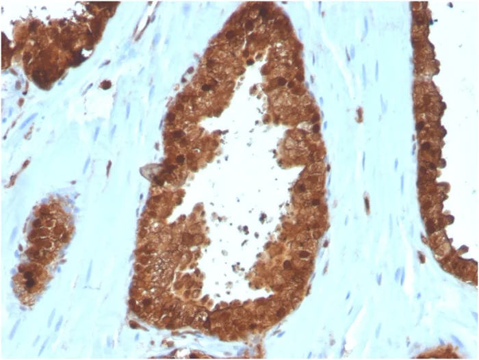
Immunohistochemistry (Formalin/PFA-fixed paraffin-embedded sections) - Anti-Annexin A1/ANXA1 antibody [ANXA1/3566] - BSA and Azide free (AB268191)

Formalin-fixed, paraffin-embedded human prostate carcinoma tissue stained for Annexin I using ab268070 at 2 μg/ml in immunohistochemical analysis.

This data was developed using the same antibody clone in a different buffer formulation containing PBS, BSA and Sodium azide (ab268070)

Immunohistochemistry (Formalin/PFA-fixed paraffin-embedded sections) - Anti-Annexin A1/ANXA1 antibody [ANXA1/3566] - BSA and Azide free (AB268191)
  • IHC-P

Unknown

Immunohistochemistry (Formalin/PFA-fixed paraffin-embedded sections) - Anti-Annexin A1/ANXA1 antibody [ANXA1/3566] - BSA and Azide free (AB268191)

Formalin-fixed, paraffin-embedded human lymph node tissue stained for Annexin I using ab268070 at 2 μg/ml in immunohistochemical analysis.

This data was developed using the same antibody clone in a different buffer formulation containing PBS, BSA and Sodium azide (ab268070)

Flow Cytometry - Anti-Annexin A1/ANXA1 antibody [ANXA1/3566] - BSA and Azide free (AB268191)
  • Flow Cyt

Unknown

Flow Cytometry - Anti-Annexin A1/ANXA1 antibody [ANXA1/3566] - BSA and Azide free (AB268191)

Flow cytometric analysis of PFA-fixed HeLa (Human epithelial cell line from cervix adenocarcinoma) cells labeling Annexin I using ab268070 at 2 μg/million cells followed by a goat anti-Mouse IgG-CF488 (Blue); Isotype Control (Red).

This data was developed using the same antibody clone in a different buffer formulation containing PBS, BSA and Sodium azide (ab268070)

Immunohistochemistry (Formalin/PFA-fixed paraffin-embedded sections) - Anti-Annexin A1/ANXA1 antibody [ANXA1/3566] - BSA and Azide free (AB268191)
  • IHC-P

Unknown

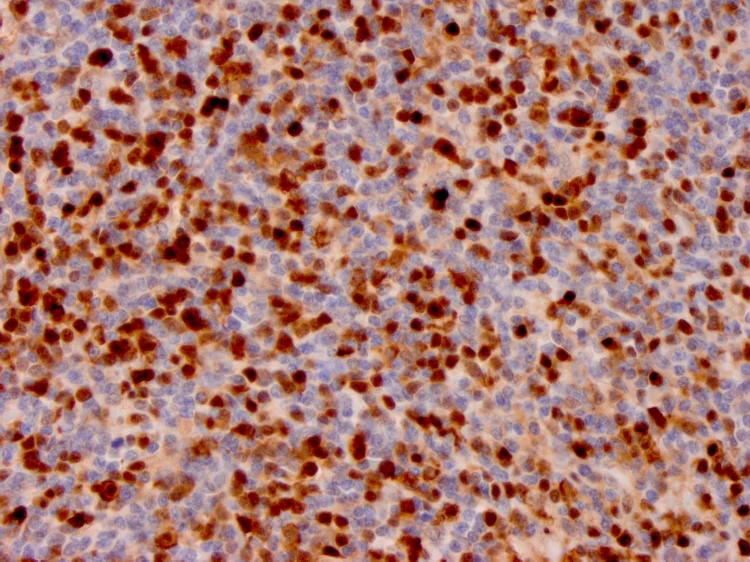
Immunohistochemistry (Formalin/PFA-fixed paraffin-embedded sections) - Anti-Annexin A1/ANXA1 antibody [ANXA1/3566] - BSA and Azide free (AB268191)

Formalin-fixed, paraffin-embedded human colon carcinoma tissue stained for Annexin I using ab268070 at 2 μg/ml in immunohistochemical analysis.

This data was developed using the same antibody clone in a different buffer formulation containing PBS, BSA and Sodium azide (ab268070)

Western blot - Anti-Annexin A1/ANXA1 antibody [ANXA1/3566] - BSA and Azide free (AB268191)
  • WB

Unknown

Western blot - Anti-Annexin A1/ANXA1 antibody [ANXA1/3566] - BSA and Azide free (AB268191)

This data was developed using the same antibody clone in a different buffer formulation containing PBS, BSA and Sodium azide (ab268070)

All lanes:

Western blot - Anti-Annexin A1/ANXA1 antibody [ANXA1/3566] (<a href='/en-us/products/primary-antibodies/annexin-a1-anxa1-antibody-anxa1-3566-ab268070'>ab268070</a>) at 2 µg/mL

All lanes:

A549 (Human lung carcinoma cell line) whole cell lysate

Predicted band size: 38 kDa

false

Protein Array - Anti-Annexin A1/ANXA1 antibody [ANXA1/3566] - BSA and Azide free (AB268191)
  • Protein Array

Unknown

Protein Array - Anti-Annexin A1/ANXA1 antibody [ANXA1/3566] - BSA and Azide free (AB268191)

Protein Array containing more than 19,000 full-length human proteins using ab268070.

Z- and S- Score : The Z-score represents the strength of a signal that a monoclonal antibody (MAb) (in combination with a fluorescently-tagged anti-IgG secondary antibody) produces when binding to a particular protein on the HuProtTM array. Z-scores are described in units of standard deviations (SD's) above the mean value of all signals generated on that array. If targets on HuProtTM are arranged in descending order of the Z-score, the S-score is the difference (also in units of SD's) between the Z-score. S-score therefore represents the relative target specificity of a MAb to its intended target. A MAb is considered to specific to its intended target, if the MAb has an S-score of at least 2.5. For example, if a MAb binds to protein X with a Z-score of 43 and to protein Y with a Z-score of 14, then the S-score for the binding of that MAb to protein X is equal to 29.

This data was developed using the same antibody clone in a different buffer formulation containing PBS, BSA and Sodium azide (ab268070)

Key facts

Host species

Mouse

Clonality

Monoclonal

Clone number

ANXA1/3566

Isotype

IgG2a

Light chain type

kappa

Carrier free

Yes

Reacts with

Human

Applications

Flow Cyt, ICC/IF, IHC-P, Protein Array, WB

applications

Immunogen

Recombinant Full Length Protein corresponding to Human ANXA1.

P04083

Reactivity data

{ "title": "Reactivity Data", "filters": { "stats": ["", "Species", "Dilution Info", "Notes"], "tabs": { "all-applications": {"fullname" : "All Applications", "shortname": "All Applications"}, "FlowCyt" : {"fullname" : "Flow Cytometry", "shortname":"Flow Cyt"}, "WB" : {"fullname" : "Western blot", "shortname":"WB"}, "ProteinArray" : {"fullname" : "Protein Array", "shortname":"Protein Array"}, "ICCIF" : {"fullname" : "Immunocytochemistry/ Immunofluorescence", "shortname":"ICC/IF"}, "IHCP" : {"fullname" : "Immunohistochemistry (Formalin/PFA-fixed paraffin-embedded sections)", "shortname":"IHC-P"} }, "product-promise": { "all": "all", "testedAndGuaranteed": "tested", "guaranteed": "expected", "predicted": "predicted", "notRecommended": "not-recommended" } }, "values": { "Human": { "FlowCyt-species-checked": "testedAndGuaranteed", "FlowCyt-species-dilution-info": "1-2 µg for 10^6 Cells", "FlowCyt-species-notes": "<p></p>", "WB-species-checked": "testedAndGuaranteed", "WB-species-dilution-info": "1-2 µg/mL", "WB-species-notes": "<p></p>", "ProteinArray-species-checked": "guaranteed", "ProteinArray-species-dilution-info": "", "ProteinArray-species-notes": "", "ICCIF-species-checked": "testedAndGuaranteed", "ICCIF-species-dilution-info": "1-2 µg/mL", "ICCIF-species-notes": "<p></p>", "IHCP-species-checked": "testedAndGuaranteed", "IHCP-species-dilution-info": "1-2 µg/mL", "IHCP-species-notes": "<p></p>" }, "Recombinant full length protein - Human": { "FlowCyt-species-checked": "notRecommended", "FlowCyt-species-dilution-info": "", "FlowCyt-species-notes": "", "WB-species-checked": "notRecommended", "WB-species-dilution-info": "", "WB-species-notes": "", "ProteinArray-species-checked": "testedAndGuaranteed", "ProteinArray-species-dilution-info": "", "ProteinArray-species-notes": "<p></p>", "ICCIF-species-checked": "notRecommended", "ICCIF-species-dilution-info": "", "ICCIF-species-notes": "", "IHCP-species-checked": "notRecommended", "IHCP-species-dilution-info": "", "IHCP-species-notes": "" } } }

Product details

ab268191 is the carrier-free version of ab268070.

Conjugation ready
Our carrier-free antibodies are typically supplied in a PBS-only formulation, purified and free of BSA, sodium azide and glycerol. This conjugation-ready format is designed for use with fluorochromes, metal isotopes, oligonucleotides, and enzymes, which makes them ideal for antibody labelling, functional and cell-based assays, flow-based assays (e.g. mass cytometry) and Multiplex Imaging applications.

Use our conjugation kits for antibody conjugates that are ready-to-use in as little as 20 minutes with 1 minute hands-on-time and 100% antibody recovery: available for fluorescent dyes, HRP, biotin and gold.

Properties and storage information

Form
Liquid
Purification technique
Affinity purification Protein A/G
Purification notes
Purified from bioreactor concentrate.
Storage buffer
pH: 7.2 - 7.4 Constituents: PBS
Shipped at conditions
Blue Ice
Appropriate short-term storage duration
1-2 weeks
Appropriate short-term storage conditions
+4°C
Appropriate long-term storage conditions
-20°C
Aliquoting information
Upon delivery aliquot
Storage information
Avoid freeze / thaw cycle

Supplementary information

This supplementary information is collated from multiple sources and compiled automatically.

Annexin A1 also known as ANXA1 or annexin 1 is a multifunctional protein with a molecular mass of approximately 37 kDa. This protein belongs to the annexin family and is distributed widely in various tissue types including the central nervous system respiratory system and immune cells. Annexin A1 functions by binding to phospholipids in a calcium-dependent manner influencing membrane-related processes and signal transduction. Its expression can be examined using techniques like annexin A1 immunohistochemistry and annexin A1 ELISA to study protein localization and concentration.
Biological function summary

Annexin A1 is involved in modulating inflammatory responses and cell proliferation. It acts as a mediator in the resolution of inflammation by promoting apoptotic cell clearance and regulating leukocyte migration. Annexin A1 participates in complex interactions often associating with cell membrane phospholipids to exert its effects. It contributes significantly to cell adhesion migration and intracellular signaling events which are important for maintaining homeostasis and proper immune function.

Pathways

Annexin A1 plays a significant role in the glucocorticoid signaling pathway and the formation of the cytoskeleton. It interacts with proteins like lipocortin 1 and phospholipase A2 impacting processes such as arachidonic acid metabolism and cytoskeletal reorganization. These interactions underline annexin A1's involvement in regulating inflammation and maintaining cellular architecture linking it to cellular processes that govern stress responses and cell movement.

Annexin A1 exhibits relevance to inflammatory diseases and cancer. It has been implicated in conditions such as asthma where it modulates inflammatory cell recruitment and activation. In cancer especially in breast cancer annexin A1 influences tumor progression by interacting with proteins like COX-2 affecting tumor cell invasion and metastasis. The protein's role in these conditions highlights its potential as both a biomarker and therapeutic target helping in understanding disease mechanisms and developing treatment strategies.

Product protocols

For this product, it's our understanding that no specific protocols are required. You can visit:

Target data

Plays important roles in the innate immune response as effector of glucocorticoid-mediated responses and regulator of the inflammatory process. Has anti-inflammatory activity (PubMed : 8425544). Plays a role in glucocorticoid-mediated down-regulation of the early phase of the inflammatory response (By similarity). Contributes to the adaptive immune response by enhancing signaling cascades that are triggered by T-cell activation, regulates differentiation and proliferation of activated T-cells (PubMed : 17008549). Promotes the differentiation of T-cells into Th1 cells and negatively regulates differentiation into Th2 cells (PubMed : 17008549). Has no effect on unstimulated T cells (PubMed : 17008549). Negatively regulates hormone exocytosis via activation of the formyl peptide receptors and reorganization of the actin cytoskeleton (PubMed : 19625660). Has high affinity for Ca(2+) and can bind up to eight Ca(2+) ions (By similarity). Displays Ca(2+)-dependent binding to phospholipid membranes (PubMed : 2532504, PubMed : 8557678). Plays a role in the formation of phagocytic cups and phagosomes. Plays a role in phagocytosis by mediating the Ca(2+)-dependent interaction between phagosomes and the actin cytoskeleton (By similarity).. Annexin Ac2-26. Functions at least in part by activating the formyl peptide receptors and downstream signaling cascades (PubMed : 15187149, PubMed : 22879591, PubMed : 25664854). Promotes chemotaxis of granulocytes and monocytes via activation of the formyl peptide receptors (PubMed : 15187149). Promotes rearrangement of the actin cytoskeleton, cell polarization and cell migration (PubMed : 15187149). Promotes resolution of inflammation and wound healing (PubMed : 25664854). Acts via neutrophil N-formyl peptide receptors to enhance the release of CXCL2 (PubMed : 22879591).
See full target information ANXA1

Publications (1)

Recent publications for all applications. Explore the full list and refine your search

Journal for immunotherapy of cancer 11: PubMed37072348

2023

Intratumoral tertiary lymphoid structure (TLS) maturation is influenced by draining lymph nodes of lung cancer.

Applications

Unspecified application

Species

Unspecified reactive species

Miao He,Qihua He,Xiuyu Cai,Jun Liu,Hongshen Deng,Feng Li,Ran Zhong,Yi Lu,Haoxin Peng,Xiangrong Wu,Zisheng Chen,Shen Lao,Caichen Li,Jianfu Li,Jianxing He,Wenhua Liang
View all publications

Product promise

We are committed to supporting your work with high-quality reagents, and we're here for you every step of the way. In the unlikely event that one of our products does not perform as expected, you're protected by our Product Promise.
For full details, please see our Terms & Conditions

Please note: All products are 'FOR RESEARCH USE ONLY. NOT FOR USE IN DIAGNOSTIC OR THERAPEUTIC PROCEDURES'.

For licensing inquiries, please contact partnerships@abcam.com