JavaScript is disabled in your browser. Please enable JavaScript to view this website.
AB214486

Anti-Annexin A1/ANXA1 antibody [EPR19342]

5

(12 Reviews)

|

(70 Publications)

Anti-Annexin A1/ANXA1 antibody [EPR19342] (ab214486) is a rabbit monoclonal antibody detecting Annexin A1/ANXA1 in Western Blot, Flow Cytometry (Intra), Flow Cytometry, IP, IHC-P, ICC/IF. Suitable for Human, Mouse, Rat.

- KO validated for confirmed specificity
- Biophysical QC for unrivalled batch-batch consistency
- Over 30 publications

View Alternative Names

ANX1, LPC1, ANXA1, Annexin A1, Annexin I, Annexin-1, Calpactin II, Calpactin-2, Chromobindin-9, Lipocortin I, Phospholipase A2 inhibitory protein, p35

16 Images
Immunohistochemistry (Formalin/PFA-fixed paraffin-embedded sections) - Anti-Annexin A1/ANXA1 antibody [EPR19342] (AB214486)
  • IHC-P

Supplier Data

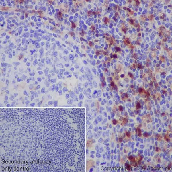
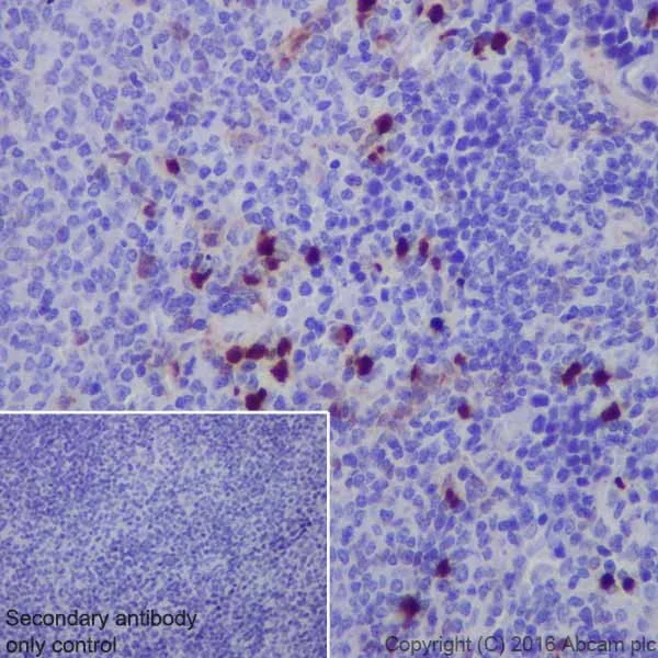
Immunohistochemistry (Formalin/PFA-fixed paraffin-embedded sections) - Anti-Annexin A1/ANXA1 antibody [EPR19342] (AB214486)

Immunohistochemical analysis of paraffin-embedded human tonsil tissue labeling Annexin A1 with ab214486 at 1/4000 dilution, followed by Goat Anti-Rabbit IgG H&L (HRP) (ab97051) at 1/500 dilution.

Nuclear and cytoplasmic staining on human tonsil tissue is observed [PMID : 9720986].

Counter stained with Hematoxylin.

Secondary antibody only control : Used PBS instead of primary antibody, secondary antibody is Goat Anti-Rabbit IgG H&L (HRP) (ab97051) at 1/500 dilution.

Perform heat mediated antigen retrieval with Tris/EDTA buffer pH 9.0 before commencing with IHC staining protocol.

Immunohistochemistry (Formalin/PFA-fixed paraffin-embedded sections) - Anti-Annexin A1/ANXA1 antibody [EPR19342] (AB214486)
  • IHC-P

Supplier Data

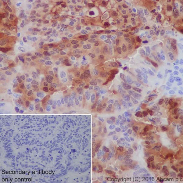
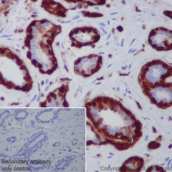
Immunohistochemistry (Formalin/PFA-fixed paraffin-embedded sections) - Anti-Annexin A1/ANXA1 antibody [EPR19342] (AB214486)

Immunohistochemical analysis of paraffin-embedded human endometrial cancer tissue labeling Annexin A1 with ab214486 at 1/4000 dilution, followed by Goat Anti-Rabbit IgG H&L (HRP) (ab97051) at 1/500 dilution.

Nuclear and cytoplasmic and weak membrane staining on human endometrial cancer tissue is observed.

Counter stained with Hematoxylin.

Secondary antibody only control : Used PBS instead of primary antibody, secondary antibody is Goat Anti-Rabbit IgG H&L (HRP) (ab97051) at 1/500 dilution.

Perform heat mediated antigen retrieval with Tris/EDTA buffer pH 9.0 before commencing with IHC staining protocol.

Immunohistochemistry (Formalin/PFA-fixed paraffin-embedded sections) - Anti-Annexin A1/ANXA1 antibody [EPR19342] (AB214486)
  • IHC-P

Supplier Data

Immunohistochemistry (Formalin/PFA-fixed paraffin-embedded sections) - Anti-Annexin A1/ANXA1 antibody [EPR19342] (AB214486)

Immunofluorescent analysis of 4% paraformaldehyde-fixed, 0.1% Triton X-100 permeabilized BxPC-3 (Human pancreas adenocarcinoma cell line) cells labeling Annexin A1 with ab214486 at 1/1000 dilution, followed by Goat Anti-Rabbit IgG H&L (Alexa Fluor® 488) (ab150077) secondary antibody at 1/1000 dilution (green).

Confocal image showing membrane and weak cytoplasmic staining on BxPC-3 cell line.

The nuclear counterstain is DAPI (blue).

Tubulin is detected with Anti-alpha Tubulin antibody [DM1A] - Microtubule Marker (Alexa Fluor® 594) (ab195889) at 1/200 dilution (red).

Secondary antibody only control : Used PBS instead of primary antibody, secondary antibody is Goat Anti-Rabbit IgG H&L (Alexa Fluor® 488) (ab150077) at 1/1000 dilution.

Perform heat mediated antigen retrieval with Tris/EDTA buffer pH 9.0 before commencing with IHC staining protocol.

Immunohistochemistry (Formalin/PFA-fixed paraffin-embedded sections) - Anti-Annexin A1/ANXA1 antibody [EPR19342] (AB214486)
  • IHC-P

Supplier Data

Immunohistochemistry (Formalin/PFA-fixed paraffin-embedded sections) - Anti-Annexin A1/ANXA1 antibody [EPR19342] (AB214486)

Immunohistochemical analysis of paraffin-embedded human breast tissue labeling Annexin A1 with ab214486 at 1/4000 dilution, followed by Goat Anti-Rabbit IgG H&L (HRP) (ab97051) at 1/500 dilution.

Nuclear and cytoplasmic staining on human breast tissue is observed [PMID : 16949910].

Counter stained with Hematoxylin.

Secondary antibody only control : Used PBS instead of primary antibody, secondary antibody is Goat Anti-Rabbit IgG H&L (HRP) (ab97051) at 1/500 dilution.

Perform heat mediated antigen retrieval with Tris/EDTA buffer pH 9.0 before commencing with IHC staining protocol.

Immunohistochemistry (Formalin/PFA-fixed paraffin-embedded sections) - Anti-Annexin A1/ANXA1 antibody [EPR19342] (AB214486)
  • IHC-P

Supplier Data

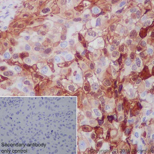
Immunohistochemistry (Formalin/PFA-fixed paraffin-embedded sections) - Anti-Annexin A1/ANXA1 antibody [EPR19342] (AB214486)

Immunohistochemical analysis of paraffin-embedded human bladder cancer tissue labeling Annexin A1 with ab214486 at 1/4000 dilution, followed by Goat Anti-Rabbit IgG H&L (HRP) (ab97051) at 1/500 dilution.

Nuclear, cytoplasmic and membrane staining on human bladder cancer tissue is observed.

Counter stained with Hematoxylin.

Secondary antibody only control : Used PBS instead of primary antibody, secondary antibody is Goat Anti-Rabbit IgG H&L (HRP) (ab97051) at 1/500 dilution.

Perform heat mediated antigen retrieval with Tris/EDTA buffer pH 9.0 before commencing with IHC staining protocol.

Immunocytochemistry/ Immunofluorescence - Anti-Annexin A1/ANXA1 antibody [EPR19342] (AB214486)
  • ICC/IF

Lab

Immunocytochemistry/ Immunofluorescence - Anti-Annexin A1/ANXA1 antibody [EPR19342] (AB214486)

ab214486 staining ANXA1 in HeLa cells. The cells were fixed with 4% paraformaldehyde (10min) permeabilized with 0.1% Triton X-100 for 5 minutes and then blocked with 1% BSA/10% normal goat serum/0.3M glycine in 0.1% PBS-Tween for 1h. The cells were then incubated with ab214486 at 5ug/ml concentration and ab7291 (Tubulin) at 1/1000 dilution overnight at +4°C, followed by a further incubation at room temperature for 1h with a goat secondary antibody to rabbit IgG (Alexa Fluor® 488) (ab150081) at 2 μg/ml (shown in green) and a goat secondary antibody to mouse IgG (Alexa Fluor® 594) (ab150120) at 2 μg/ml (shown in pseudo color red). Nuclear DNA was labelled in blue with DAPI.

Image was taken with a confocal microscope (Leica-Microsystems, TCS SP8).

Flow Cytometry (Intracellular) - Anti-Annexin A1/ANXA1 antibody [EPR19342] (AB214486)
  • Flow Cyt (Intra)

Supplier Data

Flow Cytometry (Intracellular) - Anti-Annexin A1/ANXA1 antibody [EPR19342] (AB214486)

Intracellular flow cytometric analysis of 4% paraformaldehyde-fixed NIH/3T3 (Mouse embryonic fibroblast cell line) cells labeling Annexin A1 with ab214486 at 1/600 dilution (red) compared withRabbit IgG, monoclonal [EPR25A] - Isotype Control (ab172730; black) and an unlabelled control (cells without incubation with primary antibody and secondary antibody; blue). Goat anti rabbit IgG (Alexa Fluor® 488) at 1/2000 dilution was used as the secondary antibody.

Immunocytochemistry/ Immunofluorescence - Anti-Annexin A1/ANXA1 antibody [EPR19342] (AB214486)
  • ICC/IF

Supplier Data

Immunocytochemistry/ Immunofluorescence - Anti-Annexin A1/ANXA1 antibody [EPR19342] (AB214486)

Immunofluorescent analysis of 4% paraformaldehyde-fixed, 0.1% Triton X-100 permeabilized NIH/3T3 (Mouse embryonic fibroblast cell line) cells labeling Annexin A1 with ab214486 at 1/1000 dilution, followed by Goat Anti-Rabbit IgG H&L (Alexa Fluor® 488) (ab150077) secondary antibody at 1/1000 dilution (green).

Confocal image showing membrane and cytoplasmic staining on NIH/3T3 cell line.

The nuclear counterstain is DAPI (blue).

Tubulin is detected with Anti-alpha Tubulin antibody [DM1A] - Microtubule Marker (Alexa Fluor® 594) (ab195889) at 1/200 dilution (red).

Secondary antibody only control : Used PBS instead of primary antibody, secondary antibody is Goat Anti-Rabbit IgG H&L (Alexa Fluor® 488) (ab150077) at 1/1000 dilution.

Immunohistochemistry (Formalin/PFA-fixed paraffin-embedded sections) - Anti-Annexin A1/ANXA1 antibody [EPR19342] (AB214486)
  • IHC-P

Supplier Data

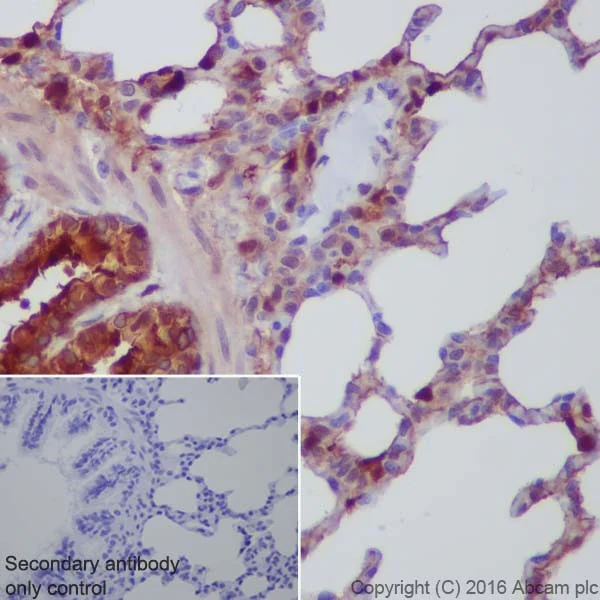
Immunohistochemistry (Formalin/PFA-fixed paraffin-embedded sections) - Anti-Annexin A1/ANXA1 antibody [EPR19342] (AB214486)

Immunohistochemical analysis of paraffin-embedded rat lung tissue labeling Annexin A1 with ab214486 at 1/4000 dilution, followed by Goat Anti-Rabbit IgG H&L (HRP) (ab97051) at 1/500 dilution.

Nuclear and cytoplasmic staining on rat lung tissue is observed [PMID : 15133855] [PMID : 9720986].

Counter stained with Hematoxylin.

Secondary antibody only control : Used PBS instead of primary antibody, secondary antibody is Goat Anti-Rabbit IgG H&L (HRP) (ab97051) at 1/500 dilution.

Perform heat mediated antigen retrieval with Tris/EDTA buffer pH 9.0 before commencing with IHC staining protocol.

Immunohistochemistry (Formalin/PFA-fixed paraffin-embedded sections) - Anti-Annexin A1/ANXA1 antibody [EPR19342] (AB214486)
  • IHC-P

Supplier Data

Immunohistochemistry (Formalin/PFA-fixed paraffin-embedded sections) - Anti-Annexin A1/ANXA1 antibody [EPR19342] (AB214486)

Immunohistochemical analysis of paraffin-embedded mouse spleen tissue labeling Annexin A1 with ab214486 at 1/4000 dilution, followed by Goat Anti-Rabbit IgG H&L (HRP) (ab97051) at 1/500 dilution.

Nuclear and cytoplasmic staining on mouse spleen tissue is observed [PMID : 9720986].

Counter stained with Hematoxylin.

Secondary antibody only control : Used PBS instead of primary antibody, secondary antibody is Goat Anti-Rabbit IgG H&L (HRP) (ab97051) at 1/500 dilution.

Perform heat mediated antigen retrieval with Tris/EDTA buffer pH 9.0 before commencing with IHC staining protocol.

Western blot - Anti-Annexin A1/ANXA1 antibody [EPR19342] (AB214486)
  • WB

Supplier Data

Western blot - Anti-Annexin A1/ANXA1 antibody [EPR19342] (AB214486)

Blocking/Dilution buffer : 5% NFDM/TBST.

Exposure time : Lane 1 : 3 minutes; Lane 2 : 15 seconds; Lane 3 : 1 second.

Lanes 1 - 2:

Western blot - Anti-Annexin A1/ANXA1 antibody [EPR19342] (ab214486) at 1/5000 dilution

Lane 3:

Western blot - Anti-Annexin A1/ANXA1 antibody [EPR19342] (ab214486) at 1/20000 dilution

Lane 1:

Human fetal brain lysate at 10 µg

Lane 2:

Human fetal kidney lysate at 10 µg

Lane 3:

Human placenta lysate at 10 µg

Secondary

All lanes:

Goat Anti-Rabbit IgG Peroxidase Conjugate, specific to the non-reduced form of IgG at 1/10000 dilution

Predicted band size: 38 kDa

Observed band size: 33 kDa,37 kDa

false

Immunocytochemistry/ Immunofluorescence - Anti-Annexin A1/ANXA1 antibody [EPR19342] (AB214486)
  • ICC/IF

Lab

Immunocytochemistry/ Immunofluorescence - Anti-Annexin A1/ANXA1 antibody [EPR19342] (AB214486)

ab214486 staining ANXA1 in wild-type Hap1 cells (top panel) and ANXA1 knockout Hap1 cells (bottom panel). The cells were fixed with 4% paraformaldehyde (10min) permeabilized with 0.1% Triton X-100 for 5 minutes and then blocked with 1% BSA/10% normal goat serum/0.3M glycine in 0.1% PBS-Tween for 1h. The cells were then incubated with ab214486 at 5ug/ml concentration and ab7291 (Tubulin) at 1/1000 dilution overnight at +4°C, followed by a further incubation at room temperature for 1h with a goat secondary antibody to rabbit IgG (Alexa Fluor® 488) (ab150081) at 2 μg/ml (shown in green) and a goat secondary antibody to mouse IgG (Alexa Fluor® 594) (ab150120) at 2 μg/ml (shown in pseudo color red). Nuclear DNA was labelled in blue with DAPI.

Image was taken with a confocal microscope (Leica-Microsystems, TCS SP8).

Immunoprecipitation - Anti-Annexin A1/ANXA1 antibody [EPR19342] (AB214486)
  • IP

Supplier Data

Immunoprecipitation - Anti-Annexin A1/ANXA1 antibody [EPR19342] (AB214486)

Annexin A1 was immunoprecipitated from 0.35 mg of K562 (Human chronic myelogenous leukemia cell line from bone marrow) whole cell lysate with ab214486 at 1/30 dilution.

Western blot was performed from the immunoprecipitate using ab214486 at 1/1000 dilution.

VeriBlot for IP Detection Reagent (HRP) (ab131366), was used for detection at 1/10,000 dilution

Lane 1 : K562 whole cell lysate 10μg (Input).

Lane 2 : ab214486 IP in K562 whole cell lysate.

Lane 3 : Rabbit IgG, monoclonal [EPR25A] - Isotype Control (ab172730) instead of ab214486 in K562 whole cell lysate.

Blocking and dilution buffer and concentration : 5% NFDM/TBST.

Exposure time : 1 second.

All lanes:

Immunoprecipitation - Anti-Annexin A1/ANXA1 antibody [EPR19342] (ab214486)

Predicted band size: 38 kDa

false

Western blot - Anti-Annexin A1/ANXA1 antibody [EPR19342] (AB214486)
  • WB

Supplier Data

Western blot - Anti-Annexin A1/ANXA1 antibody [EPR19342] (AB214486)

Blocking/Dilution buffer : 5% NFDM/TBST.

The two band 37kDa is the full length band and the 33kDa supposed to be the cleavage form, this expression pattern observed is consistent with what has been described in the literature (PMID : 25510623 and 20679535).

All lanes:

Western blot - Anti-Annexin A1/ANXA1 antibody [EPR19342] (ab214486) at 1/10000 dilution

Lane 1:

K562 (Human chronic myelogenous leukemia cell line from bone marrow) whole cell lysate at 10 µg

Lane 2:

BxPC-3 (Human pancreas adenocarcinoma cell line) whole cell lysate at 10 µg

Lane 3:

C2C12 (Mouse myoblast cell line) whole cell lysate at 10 µg

Secondary

All lanes:

Western blot - Goat Anti-Rabbit IgG H&L (HRP) (<a href='/en-us/products/secondary-antibodies/goat-rabbit-igg-h-l-hrp-ab97051'>ab97051</a>) at 1/100000 dilution

Predicted band size: 38 kDa

Observed band size: 33 kDa,37 kDa

false

Exposure time: 1s

Western blot - Anti-Annexin A1/ANXA1 antibody [EPR19342] (AB214486)
  • WB

Supplier Data

Western blot - Anti-Annexin A1/ANXA1 antibody [EPR19342] (AB214486)

Blocking/Dilution buffer : 5% NFDM/TBST.

Exposure time : Lane 1 : 3 minutes; Lane 2/6/7 : 1 seconds; Lane 3 : 15 seconds; Lane 4/5 : 30 seconds.

Lanes 1 - 2:

Western blot - Anti-Annexin A1/ANXA1 antibody [EPR19342] (ab214486) at 1/5000 dilution

Lanes 3 - 7:

Western blot - Anti-Annexin A1/ANXA1 antibody [EPR19342] (ab214486) at 1/2000 dilution

Lane 1:

C6 (Rat glial tumor cell line) whole cell lysate at 10 µg

Lane 2:

PC-12 (Rat adrenal gland pheochromocytoma cell line) whole cell lysate at 10 µg

Lane 3:

NIH/3T3 (Mouse embryonic fibroblast cell line) whole cell lysate at 10 µg

Lane 4:

Mouse kidney lysate at 10 µg

Lane 5:

Mouse spleen lysate at 10 µg

Lane 6:

Rat kidney lysate at 10 µg

Lane 7:

Rat spleen lysate at 10 µg

Secondary

All lanes:

Western blot - Goat Anti-Rabbit IgG H&L (HRP) (<a href='/en-us/products/secondary-antibodies/goat-rabbit-igg-h-l-hrp-ab97051'>ab97051</a>) at 1/100000 dilution

Predicted band size: 38 kDa

Observed band size: 33 kDa,37 kDa

false

Western blot - Anti-Annexin A1/ANXA1 antibody [EPR19342] (AB214486)
  • WB

Lab

Western blot - Anti-Annexin A1/ANXA1 antibody [EPR19342] (AB214486)

Lane 1 : Wild type HAP1 whole cell lysate (20 μg)
Lane 2 : Annexin A1 knockout HAP1 whole cell lysate (20 μg)
Lane 3 : HeLa whole cell lysate (20 μg)

Lanes 1 - 3 : Merged signal (red and green). Green - ab214486 observed at 38 kDa. Red - loading control, ab18058, observed at 130 kDa.

ab214486 was shown to specifically react with Annexin A1 when Annexin A1 knockout samples were used. Wild-type and Annexin A1 knockout samples were subjected to SDS-PAGE. ab214486 and ab18058 (Mouse anti-Vinculin loading control) were incubated overnight at 4°C at 1/2000 dilution and 1/20000 dilution respectively. Blots were developed with Goat anti-Rabbit IgG H&L (IRDye® 800CW) preabsorbed ab216773 and Goat anti-Mouse IgG H&L (IRDye® 680RD) preabsorbed ab216776 secondary antibodies at 1/20000 dilution for 1 hour at room temperature before imaging.

All lanes:

Western blot - Anti-Annexin A1/ANXA1 antibody [EPR19342] (ab214486)

Predicted band size: 38 kDa

false

  • 660 APC

    APC Anti-Annexin A1/ANXA1 antibody [EPR19342]

  • 519 Alexa Fluor® 488

    Alexa Fluor® 488 Anti-Annexin A1/ANXA1 antibody [EPR19342]

  • Carrier free

    Anti-Annexin A1/ANXA1 antibody [EPR19342] - BSA and Azide free

  • 665 Alexa Fluor® 647

    Alexa Fluor® 647 Anti-Annexin A1/ANXA1 antibody [EPR19342]

  • 565 Alexa Fluor® 555

    Alexa Fluor® 555 Anti-Annexin A1/ANXA1 antibody [EPR19342]

  • 578 PE

    PE Anti-Annexin A1/ANXA1 antibody [EPR19342]

Key facts

Host species

Rabbit

Clonality

Monoclonal

Clone number

EPR19342

Isotype

IgG

Carrier free

No

Reacts with

Mouse, Rat, Human

Applications

WB, IHC-P, Flow Cyt (Intra), ICC/IF, IP

applications

Immunogen

The exact immunogen used to generate this antibody is proprietary information.

Reactivity data

{ "title": "Reactivity Data", "filters": { "stats": ["", "Species", "Dilution Info", "Notes"], "tabs": { "all-applications": {"fullname" : "All Applications", "shortname": "All Applications"}, "IP" : {"fullname" : "Immunoprecipitation", "shortname":"IP"}, "WB" : {"fullname" : "Western blot", "shortname":"WB"}, "ICCIF" : {"fullname" : "Immunocytochemistry/ Immunofluorescence", "shortname":"ICC/IF"}, "FlowCytIntra" : {"fullname" : "Flow Cytometry (Intracellular)", "shortname":"Flow Cyt (Intra)"}, "IHCP" : {"fullname" : "Immunohistochemistry (Formalin/PFA-fixed paraffin-embedded sections)", "shortname":"IHC-P"} }, "product-promise": { "all": "all", "testedAndGuaranteed": "tested", "guaranteed": "expected", "predicted": "predicted", "notRecommended": "not-recommended" } }, "values": { "Human": { "IP-species-checked": "testedAndGuaranteed", "IP-species-dilution-info": "1/30", "IP-species-notes": "<p></p>", "WB-species-checked": "testedAndGuaranteed", "WB-species-dilution-info": "1/2000", "WB-species-notes": "<p></p>", "ICCIF-species-checked": "testedAndGuaranteed", "ICCIF-species-dilution-info": "1-5 µg/mL", "ICCIF-species-notes": "<p></p>", "FlowCytIntra-species-checked": "guaranteed", "FlowCytIntra-species-dilution-info": "", "FlowCytIntra-species-notes": "", "IHCP-species-checked": "testedAndGuaranteed", "IHCP-species-dilution-info": "1/4000", "IHCP-species-notes": "<p></p>" }, "Mouse": { "IP-species-checked": "guaranteed", "IP-species-dilution-info": "", "IP-species-notes": "", "WB-species-checked": "testedAndGuaranteed", "WB-species-dilution-info": "1/2000", "WB-species-notes": "<p></p>", "ICCIF-species-checked": "testedAndGuaranteed", "ICCIF-species-dilution-info": "1-5 µg/mL", "ICCIF-species-notes": "<p></p>", "FlowCytIntra-species-checked": "testedAndGuaranteed", "FlowCytIntra-species-dilution-info": "1/600", "FlowCytIntra-species-notes": "<p><a href='/en-us/products/primary-antibodies/rabbit-igg-monoclonal-epr25a-isotype-control-ab172730'>ab172730</a> - Rabbit monoclonal IgG, is suitable for use as an isotype control with this antibody.</p>", "IHCP-species-checked": "testedAndGuaranteed", "IHCP-species-dilution-info": "1/4000", "IHCP-species-notes": "<p></p>" }, "Rat": { "IP-species-checked": "guaranteed", "IP-species-dilution-info": "", "IP-species-notes": "", "WB-species-checked": "testedAndGuaranteed", "WB-species-dilution-info": "1/2000", "WB-species-notes": "<p></p>", "ICCIF-species-checked": "guaranteed", "ICCIF-species-dilution-info": "", "ICCIF-species-notes": "", "FlowCytIntra-species-checked": "guaranteed", "FlowCytIntra-species-dilution-info": "", "FlowCytIntra-species-notes": "", "IHCP-species-checked": "testedAndGuaranteed", "IHCP-species-dilution-info": "1/4000", "IHCP-species-notes": "<p></p>" }, "Common marmoset": { "IP-species-checked": "predicted", "IP-species-dilution-info": "", "IP-species-notes": "", "WB-species-checked": "predicted", "WB-species-dilution-info": "", "WB-species-notes": "", "ICCIF-species-checked": "predicted", "ICCIF-species-dilution-info": "", "ICCIF-species-notes": "", "FlowCytIntra-species-checked": "predicted", "FlowCytIntra-species-dilution-info": "", "FlowCytIntra-species-notes": "", "IHCP-species-checked": "predicted", "IHCP-species-dilution-info": "", "IHCP-species-notes": "" } } }

Product details

What is this antibody validated in?
Anti-Annexin A1/ANXA1 antibody [EPR19342] (ab214486) is a rabbit recombinant monoclonal antibody and is validated for use in Western Blot (WB), Flow Cytometry (Intra), Flow Cytometry (Flow Cyt), Immunoprecipitation (IP), Immunohistochemistry (IHC-P), Immunocytochemistry/immunofluorescence (ICC/IF) in Human, Mouse, Rat samples.

What is the molecular weight of Annexin A1/ANXA1?
Anti-Annexin A1/ANXA1 [EPR19342] (ab214486) specifically detects a band for Annexin A1/ANXA1 (UniProt: P04083) at a molecular weight of 38kDa.

Trusted by the scientific community
Anti-Annexin A1/ANXA1 [EPR19342] (ab214486) was first used in a scientific publication in 2016 and has been cited over 30 times in peer-reviewed journals.

Reviewed by scientists
Anti-Annexin A1/ANXA1 [EPR19342] (ab214486) has over 10 independent reviews from customers.

Trial sizes available!
Test your antibody or perform pre-screening before committing to a larger quantity. Sold in 10µl. Discover our selection of trial-size antibodies.

Specificity confirmed
The specificity of Anti-Annexin A1/ANXA1 antibody [EPR19342] (ab214486) has been confirmed by Western blot testing in ANXA1 Knockout HAP1 cells.

Other related products
We have a range of other formats of antibody clone [EPR19342] also available for your convenience: ab214486, Carrier free - ab222398, APC - ab225511, PE - ab225512, Alexa Fluor® 488 - ab225513, Carrier free - ab267439, Alexa Fluor® 647 - ab309365, Alexa Fluor® 555 - ab313664

Patented technology
Our RabMAb® technology is a patented hybridoma-based technology for making rabbit monoclonal antibodies. For details on our patents, please refer to RabMAb® patents.

What are the advantages of a recombinant monoclonal antibody?
This product is a recombinant monoclonal antibody, which offers several advantages including:

  • - High batch-to-batch consistency and reproducibility
  • - Improved sensitivity and specificity
  • - Long-term security of supply
  • - Animal-free batch production

For more information, read more on recombinant antibodies.

Properties and storage information

Form
Liquid
Purification technique
Affinity purification Protein A
Storage buffer
pH: 7.2 - 7.4 Preservative: 0.01% Sodium azide Constituents: PBS, 40% Glycerol (glycerin, glycerine), 0.05% BSA
Shipped at conditions
Blue Ice
Appropriate short-term storage duration
1-2 weeks
Appropriate short-term storage conditions
+4°C
Appropriate long-term storage conditions
-20°C
Aliquoting information
Upon delivery aliquot
Storage information
Avoid freeze / thaw cycle

Supplementary information

This supplementary information is collated from multiple sources and compiled automatically.

Annexin A1 also known as ANXA1 or annexin 1 is a multifunctional protein with a molecular mass of approximately 37 kDa. This protein belongs to the annexin family and is distributed widely in various tissue types including the central nervous system respiratory system and immune cells. Annexin A1 functions by binding to phospholipids in a calcium-dependent manner influencing membrane-related processes and signal transduction. Its expression can be examined using techniques like annexin A1 immunohistochemistry and annexin A1 ELISA to study protein localization and concentration.
Biological function summary

Annexin A1 is involved in modulating inflammatory responses and cell proliferation. It acts as a mediator in the resolution of inflammation by promoting apoptotic cell clearance and regulating leukocyte migration. Annexin A1 participates in complex interactions often associating with cell membrane phospholipids to exert its effects. It contributes significantly to cell adhesion migration and intracellular signaling events which are important for maintaining homeostasis and proper immune function.

Pathways

Annexin A1 plays a significant role in the glucocorticoid signaling pathway and the formation of the cytoskeleton. It interacts with proteins like lipocortin 1 and phospholipase A2 impacting processes such as arachidonic acid metabolism and cytoskeletal reorganization. These interactions underline annexin A1's involvement in regulating inflammation and maintaining cellular architecture linking it to cellular processes that govern stress responses and cell movement.

Annexin A1 exhibits relevance to inflammatory diseases and cancer. It has been implicated in conditions such as asthma where it modulates inflammatory cell recruitment and activation. In cancer especially in breast cancer annexin A1 influences tumor progression by interacting with proteins like COX-2 affecting tumor cell invasion and metastasis. The protein's role in these conditions highlights its potential as both a biomarker and therapeutic target helping in understanding disease mechanisms and developing treatment strategies.

Product protocols

For this product, it's our understanding that no specific protocols are required. You can visit:

Target data

Plays important roles in the innate immune response as effector of glucocorticoid-mediated responses and regulator of the inflammatory process. Has anti-inflammatory activity (PubMed : 8425544). Plays a role in glucocorticoid-mediated down-regulation of the early phase of the inflammatory response (By similarity). Contributes to the adaptive immune response by enhancing signaling cascades that are triggered by T-cell activation, regulates differentiation and proliferation of activated T-cells (PubMed : 17008549). Promotes the differentiation of T-cells into Th1 cells and negatively regulates differentiation into Th2 cells (PubMed : 17008549). Has no effect on unstimulated T cells (PubMed : 17008549). Negatively regulates hormone exocytosis via activation of the formyl peptide receptors and reorganization of the actin cytoskeleton (PubMed : 19625660). Has high affinity for Ca(2+) and can bind up to eight Ca(2+) ions (By similarity). Displays Ca(2+)-dependent binding to phospholipid membranes (PubMed : 2532504, PubMed : 8557678). Plays a role in the formation of phagocytic cups and phagosomes. Plays a role in phagocytosis by mediating the Ca(2+)-dependent interaction between phagosomes and the actin cytoskeleton (By similarity).. Annexin Ac2-26. Functions at least in part by activating the formyl peptide receptors and downstream signaling cascades (PubMed : 15187149, PubMed : 22879591, PubMed : 25664854). Promotes chemotaxis of granulocytes and monocytes via activation of the formyl peptide receptors (PubMed : 15187149). Promotes rearrangement of the actin cytoskeleton, cell polarization and cell migration (PubMed : 15187149). Promotes resolution of inflammation and wound healing (PubMed : 25664854). Acts via neutrophil N-formyl peptide receptors to enhance the release of CXCL2 (PubMed : 22879591).
See full target information ANXA1

Publications (70)

Recent publications for all applications. Explore the full list and refine your search

Experimental hematology & oncology 14:110 PubMed40855348

2025

Improving CAR-T cell function through a targeted cytokine delivery system utilizing car target-modified extracellular vesicles.

Applications

Unspecified application

Species

Unspecified reactive species

Yuanyuan Zhang,Meijuan Huang,Shujia Zhang,Tianjiao Liu,Shanwei Ye,Yuhang Cheng,Yang Cao,Liting Chen,Li Zhu,Xueyan Sun,Kefeng Shen,Qian Xu,Tongjuan Li,Dengju Li,Liang Huang,Wei Mu,Lei Zhao,Jue Wang

CNS neuroscience & therapeutics 31:e70558 PubMed40785117

2025

Trimethylamine N-Oxide Mitigates Perioperative Neurocognitive Disorders via ANXA1 Nuclear Translocation and M2 Microglial Polarization in the Hippocampus.

Applications

Unspecified application

Species

Unspecified reactive species

Mengxin Que,Li Luo,Xuan Wang,Shiyong Li,Qian Xia,Xing Li,Ailin Luo,Gaofeng Zhan

Journal of orthopaedic translation 53:187-205 PubMed40678612

2025

PPARγ controls ESCRT-dependent fibroblast-like synoviocyte exosome biogenesis and alleviates chondrocyte osteoarthritis mediated by exosomal ANXA1.

Applications

Unspecified application

Species

Unspecified reactive species

Shuangshuo Jia,Yue Yang,Jiabao Liu,Ziyuan Wang,Lunhao Bai

CNS neuroscience & therapeutics 31:e70489 PubMed40583858

2025

CircMAN1A2 Levels Determine GBM Susceptibility to TMZ in a Pathway Involving TEP1- and KEAP1-Mediated NRF2 Degradation Leading to Ferroptosis.

Applications

Unspecified application

Species

Unspecified reactive species

Xinqiao Li,Jinpeng Hu,Wei Zheng,Zongming Fan,Hao Chi,Hao Li,Yongfeng Wang,Zhitao Jing

Cell biology and toxicology 41:97 PubMed40483281

2025

Annexin A1-FPR1 Interaction in dendritic cells promotes immune microenvironment modulation in Thyroid Cancer.

Applications

Unspecified application

Species

Unspecified reactive species

Hongwei Jiang,Lirun Kuang,Tianyi Zhang,Xupeng Zhao

Nature communications 16:5215 PubMed40473608

2025

A gatekeeper sympathetic control of lacrimal tear secretion and dry eye onset through the NA-Adra1a-Ucp2 pathway.

Applications

Unspecified application

Species

Unspecified reactive species

Mingli Qu,Qun Wang,Xiaofei Bai,Jing Feng,Sai Zhang,Yangyang Zhang,Qing Chen,Hai Zhu,Hengrui Zhang,Qunqin Guo,Bin Zhang,Shengqian Dou,Yujie Qiao,Hongwei Wang,Yihai Cao,Lixin Xie,Qingjun Zhou

Acta neuropathologica 149:51 PubMed40411591

2025

Annexin A6 membrane repair protein protects against amyloid-induced dystrophic neurites and tau phosphorylation in Alzheimer's disease model mice.

Applications

Unspecified application

Species

Unspecified reactive species

Katherine R Sadleir,Karen P Gomez,Abigail E Edwards,Armana J Patel,Makenna L Ley,Ammaarah W Khatri,Joanna Guo,Shreya Mahesh,Elyse A Watkins,Jelena Popovic,Devi Krishna Priya Karunakaran,Dmitry Prokopenko,Rudolph E Tanzi,Bernabe Bustos,Steven J Lubbe,Alexis R Demonbruen,Elizabeth M McNally,Robert Vassar

The Journal of cell biology 224: PubMed40377476

2025

Calpains orchestrate secretion of annexin-containing microvesicles during membrane repair.

Applications

Unspecified application

Species

Unspecified reactive species

Justin Krish Williams,Jordan Matthew Ngo,Abinayaa Murugupandiyan,Dorothy E Croall,H Criss Hartzell,Randy Schekman

Nature cell biology 27:438-448 PubMed39984653

2025

Blebbisomes are large, organelle-rich extracellular vesicles with cell-like properties.

Applications

Unspecified application

Species

Unspecified reactive species

Dennis K Jeppesen,Zachary C Sanchez,Noah M Kelley,James B Hayes,Jessica Ambroise,Emma N Koory,Evan Krystofiak,Nilay Taneja,Qin Zhang,Matthew M Dungan,Olivia L Perkins,Matthew J Tyska,Ela W Knapik,Kevin M Dean,Amanda C Doran,Robert J Coffey,Dylan T Burnette

Heliyon 11:e41268 PubMed39811367

2025

Macrophage to neuron communication via extracellular vesicles in neuropathic pain conditions.

Applications

Unspecified application

Species

Unspecified reactive species

Francesca Picco,Lynda Zeboudj,Silvia Oggero,Vincenzo Prato,Thomas Burgoyne,Nikita Gamper,Marzia Malcangio
View all publications

Product promise

We are committed to supporting your work with high-quality reagents, and we're here for you every step of the way. In the unlikely event that one of our products does not perform as expected, you're protected by our Product Promise.
For full details, please see our Terms & Conditions

Please note: All products are 'FOR RESEARCH USE ONLY. NOT FOR USE IN DIAGNOSTIC OR THERAPEUTIC PROCEDURES'.

For licensing inquiries, please contact partnerships@abcam.com