JavaScript is disabled in your browser. Please enable JavaScript to view this website.
AB222398

Anti-Annexin A1/ANXA1 antibody [EPR19342] - BSA and Azide free

Be the first to review this product! Submit a review

|

(2 Publications)

Rabbit Recombinant Monoclonal Annexin A1/ANXA1 antibody. Carrier free. Suitable for ICC/IF, IP, WB, Flow Cyt (Intra), IHC-P and reacts with Mouse, Human, Rat samples. Cited in 2 publications.

View Alternative Names

ANX1, LPC1, ANXA1, Annexin A1, Annexin I, Annexin-1, Calpactin II, Calpactin-2, Chromobindin-9, Lipocortin I, Phospholipase A2 inhibitory protein, p35

13 Images
Immunohistochemistry (Formalin/PFA-fixed paraffin-embedded sections) - Anti-Annexin A1/ANXA1 antibody [EPR19342] - BSA and Azide free (AB222398)
  • IHC-P

Supplier Data

Immunohistochemistry (Formalin/PFA-fixed paraffin-embedded sections) - Anti-Annexin A1/ANXA1 antibody [EPR19342] - BSA and Azide free (AB222398)

Immunofluorescent analysis of 4% paraformaldehyde-fixed, 0.1% Triton X-100 permeabilized BxPC-3 (Human pancreas adenocarcinoma cell line) cells labeling Annexin A1 with ab214486 at 1/1000 dilution, followed by Goat Anti-Rabbit IgG H&L (Alexa Fluor® 488) (ab150077) secondary antibody at 1/1000 dilution (green).

Confocal image showing membrane and weak cytoplasmic staining on BxPC-3 cell line.

The nuclear counterstain is DAPI (blue).

Tubulin is detected with Anti-alpha Tubulin antibody [DM1A] - Microtubule Marker (Alexa Fluor® 594) (ab195889) at 1/200 dilution (red).

Secondary antibody only control : Used PBS instead of primary antibody, secondary antibody is Goat Anti-Rabbit IgG H&L (Alexa Fluor® 488) (ab150077) at 1/1000 dilution.

This data was developed using the same antibody clone in a different buffer formulation containing PBS, BSA, glycerol, and sodium azide (ab214486).

Heat mediated antigen retrieval was performed with Tris/EDTA buffer pH 9.0 before commencing with IHC staining protocol.

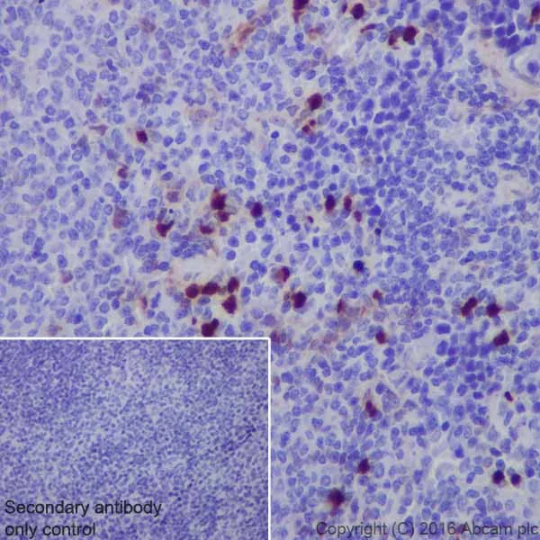
Immunohistochemistry (Formalin/PFA-fixed paraffin-embedded sections) - Anti-Annexin A1/ANXA1 antibody [EPR19342] - BSA and Azide free (AB222398)
  • IHC-P

Supplier Data

Immunohistochemistry (Formalin/PFA-fixed paraffin-embedded sections) - Anti-Annexin A1/ANXA1 antibody [EPR19342] - BSA and Azide free (AB222398)

This IHC data was generated using the same anti-Annexin A1 antibody clone, EPR19342, in a different buffer formulation (cat# ab214486).

Immunohistochemical analysis of paraffin-embedded human tonsil tissue labeling Annexin A1 with ab214486 at 1/4000 dilution, followed by Goat Anti-Rabbit IgG H&L (HRP) (ab97051) at 1/500 dilution.

Nuclear and cytoplasmic staining on human tonsil tissue is observed [PMID : 9720986].

Counter stained with Hematoxylin.

Secondary antibody only control : Used PBS instead of primary antibody, secondary antibody is Goat Anti-Rabbit IgG H&L (HRP) (ab97051) at 1/500 dilution.

Heat mediated antigen retrieval was performed with Tris/EDTA buffer pH 9.0 before commencing with IHC staining protocol.

Immunohistochemistry (Formalin/PFA-fixed paraffin-embedded sections) - Anti-Annexin A1/ANXA1 antibody [EPR19342] - BSA and Azide free (AB222398)
  • IHC-P

Supplier Data

Immunohistochemistry (Formalin/PFA-fixed paraffin-embedded sections) - Anti-Annexin A1/ANXA1 antibody [EPR19342] - BSA and Azide free (AB222398)

Immunohistochemical analysis of paraffin-embedded human endometrial cancer tissue labeling Annexin A1 with ab214486 at 1/4000 dilution, followed by Goat Anti-Rabbit IgG H&L (HRP) (ab97051) at 1/500 dilution.

Nuclear and cytoplasmic and weak membrane staining on human endometrial cancer tissue is observed.

Counter stained with Hematoxylin.

Secondary antibody only control : Used PBS instead of primary antibody, secondary antibody is Goat Anti-Rabbit IgG H&L (HRP) (ab97051) at 1/500 dilution.

This data was developed using the same antibody clone in a different buffer formulation containing PBS, BSA, glycerol, and sodium azide (ab214486).

Heat mediated antigen retrieval was performed with Tris/EDTA buffer pH 9.0 before commencing with IHC staining protocol.

Immunohistochemistry (Formalin/PFA-fixed paraffin-embedded sections) - Anti-Annexin A1/ANXA1 antibody [EPR19342] - BSA and Azide free (AB222398)
  • IHC-P

Supplier Data

Immunohistochemistry (Formalin/PFA-fixed paraffin-embedded sections) - Anti-Annexin A1/ANXA1 antibody [EPR19342] - BSA and Azide free (AB222398)

Immunohistochemical analysis of paraffin-embedded human breast tissue labeling Annexin A1 with ab214486 at 1/4000 dilution, followed by Goat Anti-Rabbit IgG H&L (HRP) (ab97051) at 1/500 dilution.

Nuclear and cytoplasmic staining on human breast tissue is observed [PMID : 16949910].

Counter stained with Hematoxylin.

Secondary antibody only control : Used PBS instead of primary antibody, secondary antibody is Goat Anti-Rabbit IgG H&L (HRP) (ab97051) at 1/500 dilution.

This data was developed using the same antibody clone in a different buffer formulation containing PBS, BSA, glycerol, and sodium azide (ab214486).

Heat mediated antigen retrieval was performed with Tris/EDTA buffer pH 9.0 before commencing with IHC staining protocol.

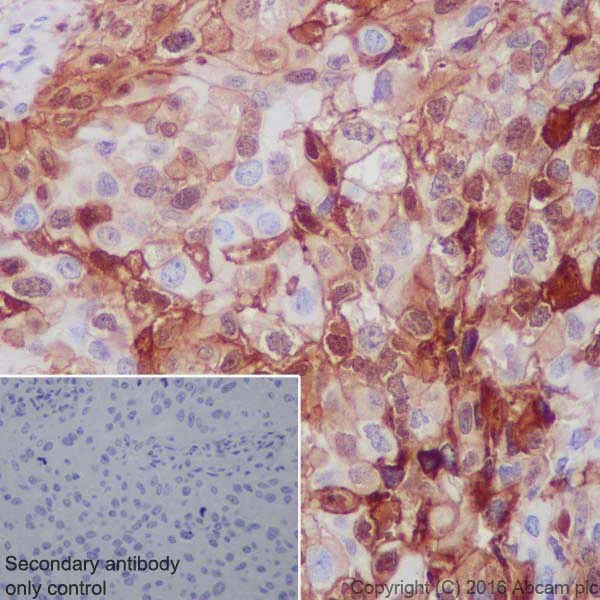
Immunohistochemistry (Formalin/PFA-fixed paraffin-embedded sections) - Anti-Annexin A1/ANXA1 antibody [EPR19342] - BSA and Azide free (AB222398)
  • IHC-P

Supplier Data

Immunohistochemistry (Formalin/PFA-fixed paraffin-embedded sections) - Anti-Annexin A1/ANXA1 antibody [EPR19342] - BSA and Azide free (AB222398)

Immunohistochemical analysis of paraffin-embedded human bladder cancer tissue labeling Annexin A1 with ab214486 at 1/4000 dilution, followed by Goat Anti-Rabbit IgG H&L (HRP) (ab97051) at 1/500 dilution.

Nuclear, cytoplasmic and membrane staining on human bladder cancer tissue is observed.

Counter stained with Hematoxylin.

Secondary antibody only control : Used PBS instead of primary antibody, secondary antibody is Goat Anti-Rabbit IgG H&L (HRP) (ab97051) at 1/500 dilution.

This data was developed using the same antibody clone in a different buffer formulation containing PBS, BSA, glycerol, and sodium azide (ab214486).

Heat mediated antigen retrieval was performed with Tris/EDTA buffer pH 9.0 before commencing with IHC staining protocol.

Immunohistochemistry (Formalin/PFA-fixed paraffin-embedded sections) - Anti-Annexin A1/ANXA1 antibody [EPR19342] - BSA and Azide free (AB222398)
  • IHC-P

Supplier Data

Immunohistochemistry (Formalin/PFA-fixed paraffin-embedded sections) - Anti-Annexin A1/ANXA1 antibody [EPR19342] - BSA and Azide free (AB222398)

Immunohistochemical analysis of paraffin-embedded mouse spleen tissue labeling Annexin A1 with ab214486 at 1/4000 dilution, followed by Goat Anti-Rabbit IgG H&L (HRP) (ab97051) at 1/500 dilution.

Nuclear and cytoplasmic staining on mouse spleen tissue is observed [PMID : 9720986].

Counter stained with Hematoxylin.

Secondary antibody only control : Used PBS instead of primary antibody, secondary antibody is Goat Anti-Rabbit IgG H&L (HRP) (ab97051) at 1/500 dilution.

This data was developed using the same antibody clone in a different buffer formulation containing PBS, BSA, glycerol, and sodium azide (ab214486).

Heat mediated antigen retrieval was performed with Tris/EDTA buffer pH 9.0 before commencing with IHC staining protocol.

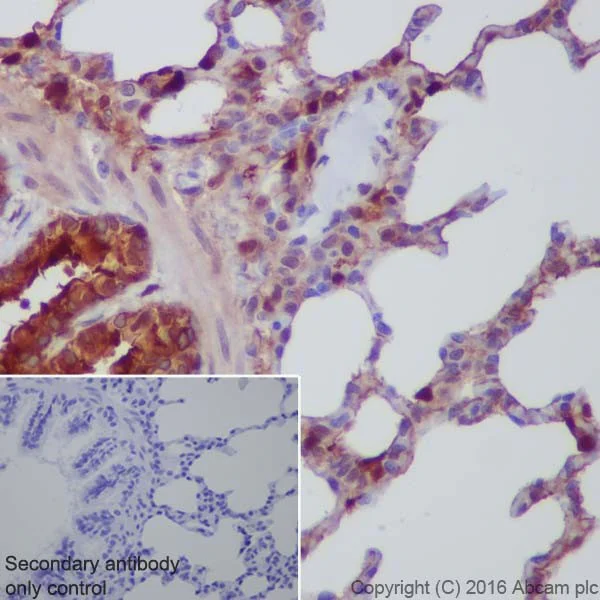
Immunohistochemistry (Formalin/PFA-fixed paraffin-embedded sections) - Anti-Annexin A1/ANXA1 antibody [EPR19342] - BSA and Azide free (AB222398)
  • IHC-P

Supplier Data

Immunohistochemistry (Formalin/PFA-fixed paraffin-embedded sections) - Anti-Annexin A1/ANXA1 antibody [EPR19342] - BSA and Azide free (AB222398)

Immunohistochemical analysis of paraffin-embedded rat lung tissue labeling Annexin A1 with ab214486 at 1/4000 dilution, followed by Goat Anti-Rabbit IgG H&L (HRP) (ab97051) at 1/500 dilution.

Nuclear and cytoplasmic staining on rat lung tissue is observed [PMID : 15133855] [PMID : 9720986].

Counter stained with Hematoxylin.

Secondary antibody only control : Used PBS instead of primary antibody, secondary antibody is Goat Anti-Rabbit IgG H&L (HRP) (ab97051) at 1/500 dilution.

This data was developed using the same antibody clone in a different buffer formulation containing PBS, BSA, glycerol, and sodium azide (ab214486).

Heat mediated antigen retrieval was performed with Tris/EDTA buffer pH 9.0 before commencing with IHC staining protocol.

Flow Cytometry (Intracellular) - Anti-Annexin A1/ANXA1 antibody [EPR19342] - BSA and Azide free (AB222398)
  • Flow Cyt (Intra)

Unknown

Flow Cytometry (Intracellular) - Anti-Annexin A1/ANXA1 antibody [EPR19342] - BSA and Azide free (AB222398)

Clone EPR19342 (ab222398) has been successfully conjugated by Abcam. This image was generated using Anti-Annexin A1/ANXA1 antibody [EPR19342] (PE). Please refer to ab225512 for protocol details.

Overlay histogram showing NIH3T3 cells stained with ab225512 (red line). The cells were fixed with 80% methanol (5 min) and then permeabilized with 0.1% PBS-Triton X-100 for 15 min. The cells were then incubated in 1x PBS / 10% normal goat serum to block non-specific protein-protein interactions followed by the antibody (ab225512, 1/1000 dilution) for 30 min at 22°C.

Isotype control antibody (black line) was Rabbit IgG (monoclonal) Phycoerythrin (ab209478) used at the same concentration and conditions as the primary antibody. Unlabelled sample (blue line) was also used as a control.

Acquisition of >5,000 events were collected using a 50 mW Yellow/Green laser (561nm) and 586/15 bandpass filter.

Immunocytochemistry/ Immunofluorescence - Anti-Annexin A1/ANXA1 antibody [EPR19342] - BSA and Azide free (AB222398)
  • ICC/IF

Unknown

Immunocytochemistry/ Immunofluorescence - Anti-Annexin A1/ANXA1 antibody [EPR19342] - BSA and Azide free (AB222398)

Clone EPR19342 (ab222398) has been successfully conjugated by Abcam. This image was generated using Anti-Annexin A1/ANXA1 antibody [EPR19342] (Alexa Fluor® 488). Please refer to ab225513 for protocol details.

ab225513 staining Annexin A1 in NIH3T3 cells. The cells were fixed with 100% methanol (5 min), permeabilized with 0.1% Triton X-100 for 5 minutes and then blocked with 1% BSA/10% normal goat serum/0.3M glycine in 0.1% PBS-Tween for 1h. The cells were then incubated overnight at +4°C with ab225513 at 1/100 dilution (shown in green) and ab195889, Mouse monoclonal to alpha Tubulin (Alexa Fluor® 594), at 1/250 dilution (shown in red). Nuclear DNA was labelled with DAPI (shown in blue).

Image was taken with a confocal microscope (Leica-Microsystems, TCS SP8).

This product also gave a positive signal under the same testing conditions in NIH3T3 cells fixed with 4% formaldehyde (10 min).

Immunocytochemistry/ Immunofluorescence - Anti-Annexin A1/ANXA1 antibody [EPR19342] - BSA and Azide free (AB222398)
  • ICC/IF

Supplier Data

Immunocytochemistry/ Immunofluorescence - Anti-Annexin A1/ANXA1 antibody [EPR19342] - BSA and Azide free (AB222398)

Immunofluorescent analysis of 4% paraformaldehyde-fixed, 0.1% Triton X-100 permeabilized NIH/3T3 (Mouse embryonic fibroblast cell line) cells labeling Annexin A1 with ab214486 at 1/1000 dilution, followed by Goat Anti-Rabbit IgG H&L (Alexa Fluor® 488) (ab150077) secondary antibody at 1/1000 dilution (green).

Confocal image showing membrane and cytoplasmic staining on NIH/3T3 cell line.

The nuclear counterstain is DAPI (blue).

Tubulin is detected with Anti-alpha Tubulin antibody [DM1A] - Microtubule Marker (Alexa Fluor® 594) (ab195889) at 1/200 dilution (red).

Secondary antibody only control : Used PBS instead of primary antibody, secondary antibody is Goat Anti-Rabbit IgG H&L (Alexa Fluor® 488) (ab150077) at 1/1000 dilution.

This data was developed using the same antibody clone in a different buffer formulation containing PBS, BSA, glycerol, and sodium azide (ab214486).

Flow Cytometry (Intracellular) - Anti-Annexin A1/ANXA1 antibody [EPR19342] - BSA and Azide free (AB222398)
  • Flow Cyt (Intra)

Supplier Data

Flow Cytometry (Intracellular) - Anti-Annexin A1/ANXA1 antibody [EPR19342] - BSA and Azide free (AB222398)

Intracellular flow cytometric analysis of 4% paraformaldehyde-fixed NIH/3T3 (Mouse embryonic fibroblast cell line) cells labeling Annexin A1 with ab214486 at 1/600 dilution (red) compared with Rabbit IgG, monoclonal [EPR25A] - Isotype Control (ab172730; black) and an unlabelled control (cells without incubation with primary antibody and secondary antibody; blue). Goat anti rabbit IgG (Alexa Fluor® 488) at 1/2000 dilution was used as the secondary antibody.

This data was developed using the same antibody clone in a different buffer formulation containing PBS, BSA, glycerol, and sodium azide (ab214486).

Immunoprecipitation - Anti-Annexin A1/ANXA1 antibody [EPR19342] - BSA and Azide free (AB222398)
  • IP

Supplier Data

Immunoprecipitation - Anti-Annexin A1/ANXA1 antibody [EPR19342] - BSA and Azide free (AB222398)

Annexin A1 was immunoprecipitated from 0.35 mg of K562 (Human chronic myelogenous leukemia cell line from bone marrow) whole cell lysate with ab214486 at 1/30 dilution.

Western blot was performed from the immunoprecipitate using ab214486 at 1/1000 dilution.

VeriBlot for IP Detection Reagent (HRP) (ab131366), was used for detection at 1/10000 dilution.

Lane 1 : K562 whole cell lysate 10μg (Input).

Lane 2 : ab214486 IP in K562 whole cell lysate.

Lane 3 : Rabbit IgG, monoclonal [EPR25A] - Isotype Control (ab172730) instead of ab214486 in K562 whole cell lysate.

Blocking and dilution buffer and concentration : 5% NFDM/TBST.

Exposure time : 1 second.

This data was developed using the same antibody clone in a different buffer formulation containing PBS, BSA, glycerol, and sodium azide (ab214486).

All lanes:

Immunoprecipitation - Anti-Annexin A1/ANXA1 antibody [EPR19342] (<a href='/en-us/products/primary-antibodies/annexin-a1-anxa1-antibody-epr19342-ab214486'>ab214486</a>)

Predicted band size: 38 kDa

false

Western blot - Anti-Annexin A1/ANXA1 antibody [EPR19342] - BSA and Azide free (AB222398)
  • WB

Lab

Western blot - Anti-Annexin A1/ANXA1 antibody [EPR19342] - BSA and Azide free (AB222398)

This WB data was generated using the same anti-Annexin A1 antibody clone, EPR19342, in a different buffer formulation (cat# ab214486).

Lane 1 : Wild type HAP1 whole cell lysate (20 μg)
Lane 2 : Annexin A1 knockout HAP1 whole cell lysate (20 μg)
Lane 3 : HeLa whole cell lysate (20 μg)

Lanes 1 - 3 : Merged signal (red and green). Green - ab214486 observed at 38 kDa. Red - loading control, ab18058, observed at 130 kDa.

ab214486 was shown to specifically react with Annexin A1 when Annexin A1 knockout samples were used. Wild-type and Annexin A1 knockout samples were subjected to SDS-PAGE. ab214486 and ab18058 (Mouse anti-Vinculin loading control) were incubated overnight at 4°C at 1/2000 dilution and 1/20000 dilution respectively. Blots were developed with Goat anti-Rabbit IgG H&L (IRDye® 800CW) preabsorbed ab216773 and Goat anti-Mouse IgG H&L (IRDye® 680RD) preabsorbed ab216776 secondary antibodies at 1/20000 dilution for 1 hour at room temperature before imaging.

All lanes:

Western blot - Anti-Annexin A1/ANXA1 antibody [EPR19342] (<a href='/en-us/products/primary-antibodies/annexin-a1-anxa1-antibody-epr19342-ab214486'>ab214486</a>)

Predicted band size: 38 kDa

false

  • Unconjugated

    Anti-Annexin A1/ANXA1 antibody [EPR19342]

  • 660 APC

    APC Anti-Annexin A1/ANXA1 antibody [EPR19342]

  • 519 Alexa Fluor® 488

    Alexa Fluor® 488 Anti-Annexin A1/ANXA1 antibody [EPR19342]

  • 665 Alexa Fluor® 647

    Alexa Fluor® 647 Anti-Annexin A1/ANXA1 antibody [EPR19342]

  • 565 Alexa Fluor® 555

    Alexa Fluor® 555 Anti-Annexin A1/ANXA1 antibody [EPR19342]

  • 578 PE

    PE Anti-Annexin A1/ANXA1 antibody [EPR19342]

Key facts

Host species

Rabbit

Clonality

Monoclonal

Clone number

EPR19342

Isotype

IgG

Carrier free

Yes

Reacts with

Mouse, Rat, Human

Applications

IP, ICC/IF, IHC-P, WB, Flow Cyt (Intra)

applications

Immunogen

The exact immunogen used to generate this antibody is proprietary information.

Reactivity data

{ "title": "Reactivity Data", "filters": { "stats": ["", "Species", "Dilution Info", "Notes"], "tabs": { "all-applications": {"fullname" : "All Applications", "shortname": "All Applications"}, "ICCIF" : {"fullname" : "Immunocytochemistry/ Immunofluorescence", "shortname":"ICC/IF"}, "IP" : {"fullname" : "Immunoprecipitation", "shortname":"IP"}, "WB" : {"fullname" : "Western blot", "shortname":"WB"}, "FlowCytIntra" : {"fullname" : "Flow Cytometry (Intracellular)", "shortname":"Flow Cyt (Intra)"}, "IHCP" : {"fullname" : "Immunohistochemistry (Formalin/PFA-fixed paraffin-embedded sections)", "shortname":"IHC-P"} }, "product-promise": { "all": "all", "testedAndGuaranteed": "tested", "guaranteed": "expected", "predicted": "predicted", "notRecommended": "not-recommended" } }, "values": { "Human": { "ICCIF-species-checked": "testedAndGuaranteed", "ICCIF-species-dilution-info": "", "ICCIF-species-notes": "<p></p>", "IP-species-checked": "testedAndGuaranteed", "IP-species-dilution-info": "", "IP-species-notes": "<p></p>", "WB-species-checked": "testedAndGuaranteed", "WB-species-dilution-info": "", "WB-species-notes": "<p></p>", "FlowCytIntra-species-checked": "guaranteed", "FlowCytIntra-species-dilution-info": "", "FlowCytIntra-species-notes": "", "IHCP-species-checked": "testedAndGuaranteed", "IHCP-species-dilution-info": "", "IHCP-species-notes": "<p></p>" }, "Mouse": { "ICCIF-species-checked": "testedAndGuaranteed", "ICCIF-species-dilution-info": "", "ICCIF-species-notes": "<p></p>", "IP-species-checked": "guaranteed", "IP-species-dilution-info": "", "IP-species-notes": "", "WB-species-checked": "testedAndGuaranteed", "WB-species-dilution-info": "", "WB-species-notes": "<p></p>", "FlowCytIntra-species-checked": "testedAndGuaranteed", "FlowCytIntra-species-dilution-info": "", "FlowCytIntra-species-notes": "<p><a href='/en-us/products/primary-antibodies/rabbit-igg-monoclonal-epr25a-isotype-control-low-endotoxin-azide-free-ab199376'>ab199376</a> - Rabbit monoclonal IgG, is suitable for use as an isotype control with this antibody.</p>", "IHCP-species-checked": "testedAndGuaranteed", "IHCP-species-dilution-info": "", "IHCP-species-notes": "<p></p>" }, "Rat": { "ICCIF-species-checked": "guaranteed", "ICCIF-species-dilution-info": "", "ICCIF-species-notes": "", "IP-species-checked": "guaranteed", "IP-species-dilution-info": "", "IP-species-notes": "", "WB-species-checked": "testedAndGuaranteed", "WB-species-dilution-info": "", "WB-species-notes": "<p></p>", "FlowCytIntra-species-checked": "guaranteed", "FlowCytIntra-species-dilution-info": "", "FlowCytIntra-species-notes": "", "IHCP-species-checked": "testedAndGuaranteed", "IHCP-species-dilution-info": "", "IHCP-species-notes": "<p></p>" } } }

Product details

ab222398 is the carrier-free version of ab214486.

Patented technology
Our RabMAb® technology is a patented hybridoma-based technology for making rabbit monoclonal antibodies. For details on our patents, please refer to RabMAb® patents.

What are the advantages of a recombinant monoclonal antibody?
This product is a recombinant monoclonal antibody, which offers several advantages including:

  • - High batch-to-batch consistency and reproducibility
  • - Improved sensitivity and specificity
  • - Long-term security of supply
  • - Animal-free batch production

For more information, read more on recombinant antibodies.

Conjugation ready
Our carrier-free antibodies are typically supplied in a PBS-only formulation, purified and free of BSA, sodium azide and glycerol. This conjugation-ready format is designed for use with fluorochromes, metal isotopes, oligonucleotides, and enzymes, which makes them ideal for antibody labelling, functional and cell-based assays, flow-based assays (e.g. mass cytometry) and Multiplex Imaging applications.

Use our conjugation kits for antibody conjugates that are ready-to-use in as little as 20 minutes with 1 minute hands-on-time and 100% antibody recovery: available for fluorescent dyes, HRP, biotin and gold.

Compatibility
This product is compatible with the Maxpar® Antibody Labeling Kit from Fluidigm, without the need for antibody preparation. Maxpar® is a trademark of Fluidigm Canada Inc.

Properties and storage information

Form
Liquid
Purification technique
Affinity purification Protein A
Storage buffer
pH: 7.2 - 7.4 Constituents: PBS
Shipped at conditions
Blue Ice
Appropriate short-term storage conditions
+4°C
Appropriate long-term storage conditions
+4°C
Storage information
Do Not Freeze

Supplementary information

This supplementary information is collated from multiple sources and compiled automatically.

Annexin A1 also known as ANXA1 or annexin 1 is a multifunctional protein with a molecular mass of approximately 37 kDa. This protein belongs to the annexin family and is distributed widely in various tissue types including the central nervous system respiratory system and immune cells. Annexin A1 functions by binding to phospholipids in a calcium-dependent manner influencing membrane-related processes and signal transduction. Its expression can be examined using techniques like annexin A1 immunohistochemistry and annexin A1 ELISA to study protein localization and concentration.
Biological function summary

Annexin A1 is involved in modulating inflammatory responses and cell proliferation. It acts as a mediator in the resolution of inflammation by promoting apoptotic cell clearance and regulating leukocyte migration. Annexin A1 participates in complex interactions often associating with cell membrane phospholipids to exert its effects. It contributes significantly to cell adhesion migration and intracellular signaling events which are important for maintaining homeostasis and proper immune function.

Pathways

Annexin A1 plays a significant role in the glucocorticoid signaling pathway and the formation of the cytoskeleton. It interacts with proteins like lipocortin 1 and phospholipase A2 impacting processes such as arachidonic acid metabolism and cytoskeletal reorganization. These interactions underline annexin A1's involvement in regulating inflammation and maintaining cellular architecture linking it to cellular processes that govern stress responses and cell movement.

Annexin A1 exhibits relevance to inflammatory diseases and cancer. It has been implicated in conditions such as asthma where it modulates inflammatory cell recruitment and activation. In cancer especially in breast cancer annexin A1 influences tumor progression by interacting with proteins like COX-2 affecting tumor cell invasion and metastasis. The protein's role in these conditions highlights its potential as both a biomarker and therapeutic target helping in understanding disease mechanisms and developing treatment strategies.

Product protocols

For this product, it's our understanding that no specific protocols are required. You can visit:

Target data

Plays important roles in the innate immune response as effector of glucocorticoid-mediated responses and regulator of the inflammatory process. Has anti-inflammatory activity (PubMed : 8425544). Plays a role in glucocorticoid-mediated down-regulation of the early phase of the inflammatory response (By similarity). Contributes to the adaptive immune response by enhancing signaling cascades that are triggered by T-cell activation, regulates differentiation and proliferation of activated T-cells (PubMed : 17008549). Promotes the differentiation of T-cells into Th1 cells and negatively regulates differentiation into Th2 cells (PubMed : 17008549). Has no effect on unstimulated T cells (PubMed : 17008549). Negatively regulates hormone exocytosis via activation of the formyl peptide receptors and reorganization of the actin cytoskeleton (PubMed : 19625660). Has high affinity for Ca(2+) and can bind up to eight Ca(2+) ions (By similarity). Displays Ca(2+)-dependent binding to phospholipid membranes (PubMed : 2532504, PubMed : 8557678). Plays a role in the formation of phagocytic cups and phagosomes. Plays a role in phagocytosis by mediating the Ca(2+)-dependent interaction between phagosomes and the actin cytoskeleton (By similarity).. Annexin Ac2-26. Functions at least in part by activating the formyl peptide receptors and downstream signaling cascades (PubMed : 15187149, PubMed : 22879591, PubMed : 25664854). Promotes chemotaxis of granulocytes and monocytes via activation of the formyl peptide receptors (PubMed : 15187149). Promotes rearrangement of the actin cytoskeleton, cell polarization and cell migration (PubMed : 15187149). Promotes resolution of inflammation and wound healing (PubMed : 25664854). Acts via neutrophil N-formyl peptide receptors to enhance the release of CXCL2 (PubMed : 22879591).
See full target information ANXA1

Publications (2)

Recent publications for all applications. Explore the full list and refine your search

Cell proliferation 55:e13312 PubMed35946052

2022

Human platelet lysate-derived extracellular vesicles enhance angiogenesis through miR-126.

Applications

Unspecified application

Species

Unspecified reactive species

Antonella Bordin,Maila Chirivì,Francesca Pagano,Marika Milan,Marco Iuliano,Eleonora Scaccia,Orazio Fortunato,Giorgio Mangino,Xhulio Dhori,Elisabetta De Marinis,Alessandra D'Amico,Selenia Miglietta,Vittorio Picchio,Roberto Rizzi,Giovanna Romeo,Fabio Pulcinelli,Isotta Chimenti,Giacomo Frati,Elena De Falco

Cellular & molecular biology letters 27:40 PubMed35596131

2022

HCMV-miR-US33-5p promotes apoptosis of aortic vascular smooth muscle cells by targeting EPAS1/SLC3A2 pathway.

Applications

Unspecified application

Species

Unspecified reactive species

Jian Dong,Shuangshuang Li,Zilin Lu,Pengcheng Du,Guangqin Liu,Mintao Li,Chao Ma,Jian Zhou,Junmin Bao
View all publications

Product promise

We are committed to supporting your work with high-quality reagents, and we're here for you every step of the way. In the unlikely event that one of our products does not perform as expected, you're protected by our Product Promise.
For full details, please see our Terms & Conditions

Please note: All products are 'FOR RESEARCH USE ONLY. NOT FOR USE IN DIAGNOSTIC OR THERAPEUTIC PROCEDURES'.

For licensing inquiries, please contact partnerships@abcam.com