JavaScript is disabled in your browser. Please enable JavaScript to view this website.
AB223848

Anti-Annexin A10/ANXA10 + Annexin-11/ANXA11 antibody [EPR19442]

Be the first to review this product! Submit a review

|

(1 Publication)

Rabbit Recombinant Monoclonal Annexin A10/ANXA10 antibody. Suitable for WB, IHC-P and reacts with Human, Rat samples. Cited in 1 publication.

View Alternative Names

ANX14, ANXA10, Annexin A10, Annexin-10, Annexin-14

6 Images
Immunohistochemistry (Formalin/PFA-fixed paraffin-embedded sections) - Anti-Annexin A10/ANXA10 + Annexin-11/ANXA11 antibody [EPR19442] (AB223848)
  • IHC-P

Supplier Data

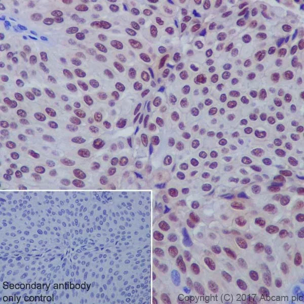
Immunohistochemistry (Formalin/PFA-fixed paraffin-embedded sections) - Anti-Annexin A10/ANXA10 + Annexin-11/ANXA11 antibody [EPR19442] (AB223848)

Immunohistochemical analysis of paraffin-embedded human bladder cancer tissue labeling Annexin A10 + Annexin A11 with ab223848 at 1/250 dilution followed by a ready to use Goat Anti-Rabbit IgG H&L (HRP). Nuclear and weak cytoplasmic staining in human bladder cancer (PMID : 24024557). Counter stained with Hematoxylin.

Secondary antibody only control : Used PBS instead of primary antibody secondary antibody is a ready to use Goat Anti-Rabbit IgG H&L (HRP).

Perform heat mediated antigen retrieval using ab93684 (Tris/EDTA buffer pH 9.0).

Immunohistochemistry (Formalin/PFA-fixed paraffin-embedded sections) - Anti-Annexin A10/ANXA10 + Annexin-11/ANXA11 antibody [EPR19442] (AB223848)
  • IHC-P

Supplier Data

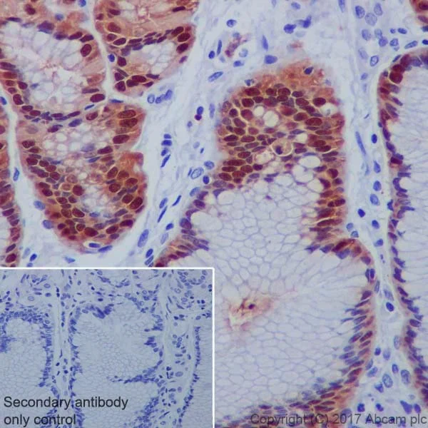
Immunohistochemistry (Formalin/PFA-fixed paraffin-embedded sections) - Anti-Annexin A10/ANXA10 + Annexin-11/ANXA11 antibody [EPR19442] (AB223848)

Immunohistochemical analysis of paraffin-embedded human stomach tissue labeling Annexin A10 + Annexin A11 with ab223848 at 1/250 dilution followed by a ready to use Goat Anti-Rabbit IgG H&L (HRP). Nuclear and cytoplasmic staining in human stomach (PMID : 24024557; PMID : 21175800). Counter stained with Hematoxylin.

Secondary antibody only control : Used PBS instead of primary antibody secondary antibody is a ready to use Goat Anti-Rabbit IgG H&L (HRP).

Perform heat mediated antigen retrieval using ab93684 (Tris/EDTA buffer pH 9.0).

Immunohistochemistry (Formalin/PFA-fixed paraffin-embedded sections) - Anti-Annexin A10/ANXA10 + Annexin-11/ANXA11 antibody [EPR19442] (AB223848)
  • IHC-P

Supplier Data

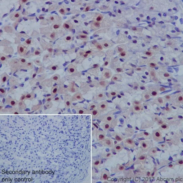
Immunohistochemistry (Formalin/PFA-fixed paraffin-embedded sections) - Anti-Annexin A10/ANXA10 + Annexin-11/ANXA11 antibody [EPR19442] (AB223848)

Immunohistochemical analysis of paraffin-embedded human gastric cancer tissue labeling Annexin A10 + Annexin A11 with ab223848 at 1/250 dilution followed by a ready to use Goat Anti-Rabbit IgG H&L (HRP). Nuclear and weak cytoplasmic staining in human gastric cancer (PMID : 24024557; PMID : 21175800). Counter stained with Hematoxylin.

Secondary antibody only control : Used PBS instead of primary antibody secondary antibody is a ready to use Goat Anti-Rabbit IgG H&L (HRP).

Perform heat mediated antigen retrieval using ab93684 (Tris/EDTA buffer pH 9.0).

Immunohistochemistry (Formalin/PFA-fixed paraffin-embedded sections) - Anti-Annexin A10/ANXA10 + Annexin-11/ANXA11 antibody [EPR19442] (AB223848)
  • IHC-P

Supplier Data

Immunohistochemistry (Formalin/PFA-fixed paraffin-embedded sections) - Anti-Annexin A10/ANXA10 + Annexin-11/ANXA11 antibody [EPR19442] (AB223848)

Immunohistochemical analysis of paraffin-embedded rat stomach tissue labeling Annexin A10 + Annexin A11 with ab223848 at 1/250 dilution followed by a ready to use Goat Anti-Rabbit IgG H&L (HRP). Nuclear and cytoplasmic staining in rat stomach. Counter stained with Hematoxylin.

Secondary antibody only control : Used PBS instead of primary antibody secondary antibody is a ready to use Goat Anti-Rabbit IgG H&L (HRP).

Perform heat mediated antigen retrieval using ab93684 (Tris/EDTA buffer pH 9.0).

Western blot - Anti-Annexin A10/ANXA10 + Annexin-11/ANXA11 antibody [EPR19442] (AB223848)
  • WB

Supplier Data

Western blot - Anti-Annexin A10/ANXA10 + Annexin-11/ANXA11 antibody [EPR19442] (AB223848)

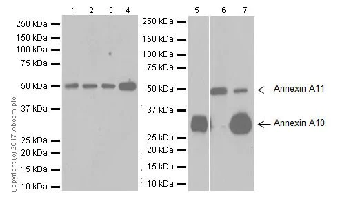
Exposure times : Lanes 1-4,6,7 : 3 minutes; Lane 5 : 30 seconds.

Blockind/Dilution buffer : 5% NFDM/TBST.

The molecular mass observed (35kDa) is consistent with what has been described in the literature (PMID : 21175800).

All lanes:

Western blot - Anti-Annexin A10/ANXA10 + Annexin-11/ANXA11 antibody [EPR19442] (ab223848) at 1/1000 dilution

Lane 1:

HT-1376 (human urinary bladder carcinoma cell line) whole cell lysate at 20 µg

Lane 2:

HepG2 (human liver hepatocellular carcinoma cell line) whole cell lysate at 20 µg

Lane 3:

K562 (human chronic myelogenous leukemia cell line from bone marrow) whole cell lysate at 20 µg

Lane 4:

Jurkat (human T cell leukemia cell line from peripheral blood) whole cell lysate at 20 µg

Lane 5:

Human stomach lysate at 20 µg

Lane 6:

Human pancreas lysate at 20 µg

Lane 7:

BxPC-3 (human pancreas adenocarcinoma cell line) whole cell lysate at 20 µg

Secondary

Lanes 1 - 4:

Western blot - Goat Anti-Rabbit IgG H&L (HRP) (<a href='/en-us/products/secondary-antibodies/goat-rabbit-igg-h-l-hrp-ab97051'>ab97051</a>) at 1/100000 dilution

Lanes 5 - 7:

Goat Anti-Rabbit IgG Peroxidase Conjugate, specific to the non-reduced form of IgG at 1/10000 dilution

Predicted band size: 37 kDa,54 kDa

Observed band size: 35 kDa,54 kDa

true

Western blot - Anti-Annexin A10/ANXA10 + Annexin-11/ANXA11 antibody [EPR19442] (AB223848)
  • WB

Supplier Data

Western blot - Anti-Annexin A10/ANXA10 + Annexin-11/ANXA11 antibody [EPR19442] (AB223848)

Blocking/Dilution buffer : 5% NFDM/TBST.

This product cross-reacts with Annexin A11.

All lanes:

Western blot - Anti-Annexin A10/ANXA10 + Annexin-11/ANXA11 antibody [EPR19442] (ab223848) at 1/10000 dilution

Lane 1:

His-tagged human Annexin A10 recombinant protein (aa134-324) at 0.01 µg

Lane 2:

His-tagged human Annexin A11 recombinant protein (aa1-505) at 0.01 µg

Secondary

All lanes:

Western blot - Goat Anti-Rabbit IgG H&L (HRP) (<a href='/en-us/products/secondary-antibodies/goat-rabbit-igg-h-l-hrp-ab97051'>ab97051</a>) at 1/100000 dilution

Predicted band size: 37 kDa,54 kDa

Observed band size: 20 kDa,54 kDa

true

Exposure time: 30s

Key facts

Host species

Rabbit

Clonality

Monoclonal

Clone number

EPR19442

Isotype

IgG

Carrier free

No

Reacts with

Rat, Human

Applications

WB, IHC-P

applications

Immunogen

The exact immunogen used to generate this antibody is proprietary information.

Reactivity data

{ "title": "Reactivity Data", "filters": { "stats": ["", "Species", "Dilution Info", "Notes"], "tabs": { "all-applications": {"fullname" : "All Applications", "shortname": "All Applications"}, "WB" : {"fullname" : "Western blot", "shortname":"WB"}, "IHCP" : {"fullname" : "Immunohistochemistry (Formalin/PFA-fixed paraffin-embedded sections)", "shortname":"IHC-P"} }, "product-promise": { "all": "all", "testedAndGuaranteed": "tested", "guaranteed": "expected", "predicted": "predicted", "notRecommended": "not-recommended" } }, "values": { "Human": { "WB-species-checked": "testedAndGuaranteed", "WB-species-dilution-info": "1/1000", "WB-species-notes": "<p></p>", "IHCP-species-checked": "testedAndGuaranteed", "IHCP-species-dilution-info": "1/250", "IHCP-species-notes": "<p></p>" }, "Rat": { "WB-species-checked": "guaranteed", "WB-species-dilution-info": "", "WB-species-notes": "", "IHCP-species-checked": "testedAndGuaranteed", "IHCP-species-dilution-info": "1/250", "IHCP-species-notes": "<p></p>" } } }

Product details

Patented technology
Our RabMAb® technology is a patented hybridoma-based technology for making rabbit monoclonal antibodies. For details on our patents, please refer to RabMAb® patents.

What are the advantages of a recombinant monoclonal antibody?
This product is a recombinant monoclonal antibody, which offers several advantages including:

  • - High batch-to-batch consistency and reproducibility
  • - Improved sensitivity and specificity
  • - Long-term security of supply
  • - Animal-free batch production

For more information, read more on recombinant antibodies.

Properties and storage information

Form
Liquid
Purification technique
Affinity purification Protein A
Storage buffer
pH: 7.2 - 7.4 Preservative: 0.01% Sodium azide Constituents: PBS, 40% Glycerol (glycerin, glycerine), 0.05% BSA
Shipped at conditions
Blue Ice
Appropriate short-term storage duration
1-2 weeks
Appropriate short-term storage conditions
+4°C
Appropriate long-term storage conditions
-20°C
Aliquoting information
Upon delivery aliquot
Storage information
Avoid freeze / thaw cycle

Supplementary information

This supplementary information is collated from multiple sources and compiled automatically.

Annexin A10 (ANXA10) and Annexin-11 (ANXA11) are part of the annexin family of proteins which typically function in phospholipid binding in a calcium-dependent manner. ANXA10 also known as Annexin-62 has a mass of approximately 37 kDa while Annexin-11 weighs around 54 kDa. Expression of ANXA10 mostly occurs in the stomach liver and other parts of the gastrointestinal tract. ANXA11 is widely expressed in the body and found in locations such as the kidney and lungs. These proteins engage in defining cellular processes through their interaction with cell membranes and other cytoplasmic components.
Biological function summary

These proteins are key players in cellular functions such as proliferation apoptosis and vesicle trafficking. Annexins often do not work in isolation but as part of complex molecular systems. ANXA10 is considered important in the stabilization of cell membranes while ANXA11 takes on roles in cytokinesis and cell division. Discoveries show that ANXA11 complements cellular dynamics by interacting tightly with other intracellular elements participating actively in a network that regulates cell structure and activity.

Pathways

Annexins participate directly in signaling pathways involving calcium ions. ANXA10 and ANXA11 are involved in vesicle transport and may also contribute to EGF receptor signaling. Relationships have emerged between these annexins and proteins like actin and tubulin where they assist in maintaining cytoskeletal integrity and dynamics. By modulating response to calcium levels annexins influence how these signaling cascades prompt changes in cellular behavior and responses.

Aberrations in annexin function link to certain pathologies especially cancer and autoimmune conditions. ANXA10 has associations with gastric cancer where altered expression correlates with disease progression. ANXA11 in contrast connects with amyotrophic lateral sclerosis (ALS) impacting neuronal survival. Studies indicate these annexins do not act alone; their disease relevance relates to their interaction with other proteins. In gastric cancer ANXA10 works in conjunction with molecules like beta-catenin while in ALS ANXA11 involves aggregations affecting protein stability and cell survival.

Product protocols

For this product, it's our understanding that no specific protocols are required. You can visit:

Target data

See full target information ANXA10

Additional targets

ANXA11

Publications (1)

Recent publications for all applications. Explore the full list and refine your search

Advanced science (Weinheim, Baden-Wurttemberg, Germany) 11:e2403627 PubMed39535354

2024

Spatiotemporal Molecular Architecture of Lineage Allocation and Cellular Organization in Tooth Morphogenesis.

Applications

Unspecified application

Species

Unspecified reactive species

Shengjie Jiang,Yuning Zhang,Huimin Zheng,Kai Zhao,Yue Yang,Binbin Lai,Xuliang Deng,Yan Wei
View all publications

Product promise

We are committed to supporting your work with high-quality reagents, and we're here for you every step of the way. In the unlikely event that one of our products does not perform as expected, you're protected by our Product Promise.
For full details, please see our Terms & Conditions

Please note: All products are 'FOR RESEARCH USE ONLY. NOT FOR USE IN DIAGNOSTIC OR THERAPEUTIC PROCEDURES'.

For licensing inquiries, please contact partnerships@abcam.com