JavaScript is disabled in your browser. Please enable JavaScript to view this website.
AB227556

Anti-Annexin A10/ANXA10 antibody

Be the first to review this product! Submit a review

|

(2 Publications)

Rabbit Polyclonal Annexin A10/ANXA10 antibody. Suitable for WB, IHC-P and reacts with Human samples. Cited in 2 publications. Immunogen corresponding to Recombinant Fragment Protein within Human ANXA10.

View Alternative Names

ANX14, ANXA10, Annexin A10, Annexin-10, Annexin-14

2 Images
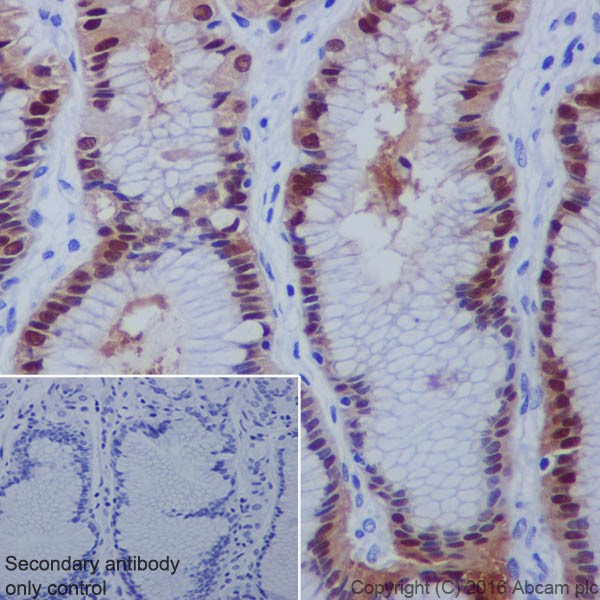
Immunohistochemistry (Formalin/PFA-fixed paraffin-embedded sections) - Anti-Annexin A10/ANXA10 antibody (AB227556)
  • IHC-P

Supplier Data

Immunohistochemistry (Formalin/PFA-fixed paraffin-embedded sections) - Anti-Annexin A10/ANXA10 antibody (AB227556)

Paraffin-embedded human gastric carcinoma tissue stained for Annexin A10/ANXA10 using ab227556 at 1/500 dilution in immunohistochemical analysis.

Western blot - Anti-Annexin A10/ANXA10 antibody (AB227556)
  • WB

Supplier Data

Western blot - Anti-Annexin A10/ANXA10 antibody (AB227556)

10% SDS-PAGE gel.

All lanes:

Western blot - Anti-Annexin A10/ANXA10 antibody (ab227556) at 1/1000 dilution

All lanes:

HCT 116 (human colorectal carcinoma cell line) whole cell lysate at 30 µg

Predicted band size: 37 kDa

false

Key facts

Host species

Rabbit

Clonality

Polyclonal

Isotype

IgG

Carrier free

No

Reacts with

Human

Applications

WB, IHC-P

applications

Immunogen

Recombinant Fragment Protein within Human ANXA10. The exact immunogen used to generate this antibody is proprietary information.

Q9UJ72

Reactivity data

{ "title": "Reactivity Data", "filters": { "stats": ["", "Species", "Dilution Info", "Notes"], "tabs": { "all-applications": {"fullname" : "All Applications", "shortname": "All Applications"}, "WB" : {"fullname" : "Western blot", "shortname":"WB"}, "IHCP" : {"fullname" : "Immunohistochemistry (Formalin/PFA-fixed paraffin-embedded sections)", "shortname":"IHC-P"} }, "product-promise": { "all": "all", "testedAndGuaranteed": "tested", "guaranteed": "expected", "predicted": "predicted", "notRecommended": "not-recommended" } }, "values": { "Human": { "WB-species-checked": "testedAndGuaranteed", "WB-species-dilution-info": "1/500 - 1/3000", "WB-species-notes": "<p></p>", "IHCP-species-checked": "testedAndGuaranteed", "IHCP-species-dilution-info": "1/100 - 1/1000", "IHCP-species-notes": "<p></p>" } } }

Properties and storage information

Form
Liquid
Purification technique
Affinity purification Immunogen
Storage buffer
pH: 7 Preservative: 0.01% Thimerosal (merthiolate) Constituents: PBS, 20% Glycerol (glycerin, glycerine), 1% BSA
Shipped at conditions
Blue Ice
Appropriate short-term storage duration
1-2 weeks
Appropriate short-term storage conditions
+4°C
Appropriate long-term storage conditions
-20°C
Aliquoting information
Upon delivery aliquot
Storage information
Avoid freeze / thaw cycle

Supplementary information

This supplementary information is collated from multiple sources and compiled automatically.

Annexin A10 (ANXA10) also known as Annexin-10 is a protein with a molecular weight of approximately 37 kDa. You can find its expression mainly in the cytoplasm of epithelial cells especially in the gastrointestinal tract and liver. ANXA10 belongs to the annexin family which is known for calcium-dependent phospholipid binding. Its unique N-terminal region differentiates it from other annexin family members and may confer specific functions in cellular processes.
Biological function summary

ANXA10 functions as a calcium-dependent phospholipid-binding protein that regulates cell proliferation and differentiation. Though not part of a larger protein complex it may interact with cytoplasmic or membrane-associated proteins to perform its functions. ANXA10 helps maintain cellular integrity and possibly plays a role in the development of certain tissue types.

Pathways

ANXA10 plays a role in the cellular mechanisms involving vesicle trafficking and signal transduction. This protein contributes to the phospholipid metabolism and Annexin mechanisms working with other annexin proteins to mediate intracellular events. ANXA10 shares pathway relations with proteins such as Annexin A1 and Annexin A2 which also influence cell growth and signaling pathways.

Researchers have associated ANXA10 with liver cancer and gastric cancer. Altered expression of ANXA10 could contribute to tumor development and progression in these cancers. Studies show potential links with proteins like Annexin A8 in gastric cancer which makes ANXA10 a critical target of interest in cancer diagnostics and therapeutic research.

Product protocols

For this product, it's our understanding that no specific protocols are required. You can visit:

Publications (2)

Recent publications for all applications. Explore the full list and refine your search

Cancer gene therapy 28:486-501 PubMed33277615

2020

Upregulated lncRNA DLX6-AS1 underpins hepatocellular carcinoma progression via the miR-513c/Cul4A/ANXA10 axis.

Applications

Unspecified application

Species

Unspecified reactive species

Xiaoming Liu,Dandan Peng,Yixin Cao,Yuanzhe Zhu,Jianjun Yin,Guangxing Zhang,Xiaodong Peng,Yanqiu Meng

eLife 8: PubMed31612854

2019

Implementation of an antibody characterization procedure and application to the major ALS/FTD disease gene C9ORF72.

Applications

Unspecified application

Species

Unspecified reactive species

Carl Laflamme,Paul M McKeever,Rahul Kumar,Julie Schwartz,Mahshad Kolahdouzan,Carol X Chen,Zhipeng You,Faiza Benaliouad,Opher Gileadi,Heidi M McBride,Thomas M Durcan,Aled M Edwards,Luke M Healy,Janice Robertson,Peter S McPherson
View all publications

Product promise

We are committed to supporting your work with high-quality reagents, and we're here for you every step of the way. In the unlikely event that one of our products does not perform as expected, you're protected by our Product Promise.
For full details, please see our Terms & Conditions

Please note: All products are 'FOR RESEARCH USE ONLY. NOT FOR USE IN DIAGNOSTIC OR THERAPEUTIC PROCEDURES'.

For licensing inquiries, please contact partnerships@abcam.com