JavaScript is disabled in your browser. Please enable JavaScript to view this website.
AB213656

Anti-Annexin A10/ANXA10 antibody [EPR19507]

Be the first to review this product! Submit a review

|

(11 Publications)

Rabbit Recombinant Monoclonal Annexin A10/ANXA10 antibody. Suitable for WB, IHC-P and reacts with Mouse, Rat, Human samples. Cited in 11 publications.

View Alternative Names

ANX14, ANXA10, Annexin A10, Annexin-10, Annexin-14

7 Images
Immunohistochemistry (Formalin/PFA-fixed paraffin-embedded sections) - Anti-Annexin A10/ANXA10 antibody [EPR19507] (AB213656)
  • IHC-P

Supplier Data

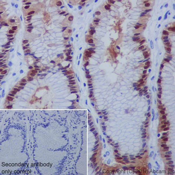
Immunohistochemistry (Formalin/PFA-fixed paraffin-embedded sections) - Anti-Annexin A10/ANXA10 antibody [EPR19507] (AB213656)

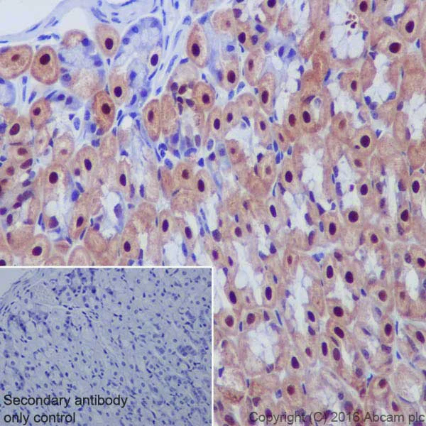
Immunohistochemical analysis of paraffin-embedded human stomach tissue labeling Annexin A10/ANXA10 with ab213656 at 1/2000 dilution, followed by Goat Anti-Rabbit IgG H&L (HRP) (ab97051) at 1/500 dilution. Nuclear and weak cytoplasmic staining on human stomach is observed [PMID : 24024557]. Counter stained with Hematoxylin.

Secondary antibody only control : Used PBS instead of primary antibody, secondary antibody is Goat Anti-Rabbit IgG H&L (HRP) (ab97051) at 1/500 dilution.

Perform heat mediated antigen retrieval with Tris/EDTA buffer pH 9.0 before commencing with IHC staining protocol.

Immunohistochemistry (Formalin/PFA-fixed paraffin-embedded sections) - Anti-Annexin A10/ANXA10 antibody [EPR19507] (AB213656)
  • IHC-P

Supplier Data

Immunohistochemistry (Formalin/PFA-fixed paraffin-embedded sections) - Anti-Annexin A10/ANXA10 antibody [EPR19507] (AB213656)

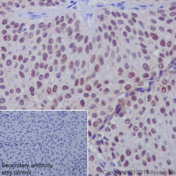
Immunohistochemical analysis of paraffin-embedded human bladder cancer tissue labeling Annexin A10/ANXA10 with ab213656 at 1/2000 dilution, followed by Goat Anti-Rabbit IgG H&L (HRP) (ab97051) at 1/500 dilution. Nuclear and weak cytoplasmic staining on human bladder cancer is observed. Counter stained with Hematoxylin.

Secondary antibody only control : Used PBS instead of primary antibody, secondary antibody is Goat Anti-Rabbit IgG H&L (HRP) (ab97051) at 1/500 dilution.

Perform heat mediated antigen retrieval with Tris/EDTA buffer pH 9.0 before commencing with IHC staining protocol.

Immunohistochemistry (Formalin/PFA-fixed paraffin-embedded sections) - Anti-Annexin A10/ANXA10 antibody [EPR19507] (AB213656)
  • IHC-P

Supplier Data

Immunohistochemistry (Formalin/PFA-fixed paraffin-embedded sections) - Anti-Annexin A10/ANXA10 antibody [EPR19507] (AB213656)

Immunohistochemical analysis of paraffin-embedded human gastric cancer tissue labeling Annexin A10/ANXA10 with ab213656 at 1/2000 dilution, followed by Goat Anti-Rabbit IgG H&L (HRP) (ab97051) at 1/500 dilution. Nuclear and weak cytoplasmic staining on human gastric cancer is observed. Counter stained with Hematoxylin.

Secondary antibody only control : Used PBS instead of primary antibody, secondary antibody is Goat Anti-Rabbit IgG H&L (HRP) (ab97051) at 1/500 dilution.

Perform heat mediated antigen retrieval with Tris/EDTA buffer pH 9.0 before commencing with IHC staining protocol.

Immunohistochemistry (Formalin/PFA-fixed paraffin-embedded sections) - Anti-Annexin A10/ANXA10 antibody [EPR19507] (AB213656)
  • IHC-P

Supplier Data

Immunohistochemistry (Formalin/PFA-fixed paraffin-embedded sections) - Anti-Annexin A10/ANXA10 antibody [EPR19507] (AB213656)

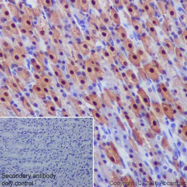
Immunohistochemical analysis of paraffin-embedded rat stomach tissue labeling Annexin A10/ANXA10 with ab213656 at 1/2000 dilution, followed by Goat Anti-Rabbit IgG H&L (HRP) (ab97051) at 1/500 dilution. Nuclear and cytoplasmic staining on rat stomach is observed. Counter stained with Hematoxylin.

Secondary antibody only control : Used PBS instead of primary antibody, secondary antibody is Goat Anti-Rabbit IgG H&L (HRP) (ab97051) at 1/500 dilution.

Perform heat mediated antigen retrieval with Tris/EDTA buffer pH 9.0 before commencing with IHC staining protocol.

Immunohistochemistry (Formalin/PFA-fixed paraffin-embedded sections) - Anti-Annexin A10/ANXA10 antibody [EPR19507] (AB213656)
  • IHC-P

Supplier Data

Immunohistochemistry (Formalin/PFA-fixed paraffin-embedded sections) - Anti-Annexin A10/ANXA10 antibody [EPR19507] (AB213656)

Immunohistochemical analysis of paraffin-embedded mouse stomach tissue labeling Annexin A10/ANXA10 with ab213656 at 1/2000 dilution, followed by Goat Anti-Rabbit IgG H&L (HRP) (ab97051) at 1/500 dilution. Nuclear and cytoplasmic staining on mouse stomach is observed. Counter stained with Hematoxylin.

Secondary antibody only control : Used PBS instead of primary antibody, secondary antibody is Goat Anti-Rabbit IgG H&L (HRP) (ab97051) at 1/500 dilution.

Perform heat mediated antigen retrieval with Tris/EDTA buffer pH 9.0 before commencing with IHC staining protocol.

Western blot - Anti-Annexin A10/ANXA10 antibody [EPR19507] (AB213656)
  • WB

Supplier Data

Western blot - Anti-Annexin A10/ANXA10 antibody [EPR19507] (AB213656)

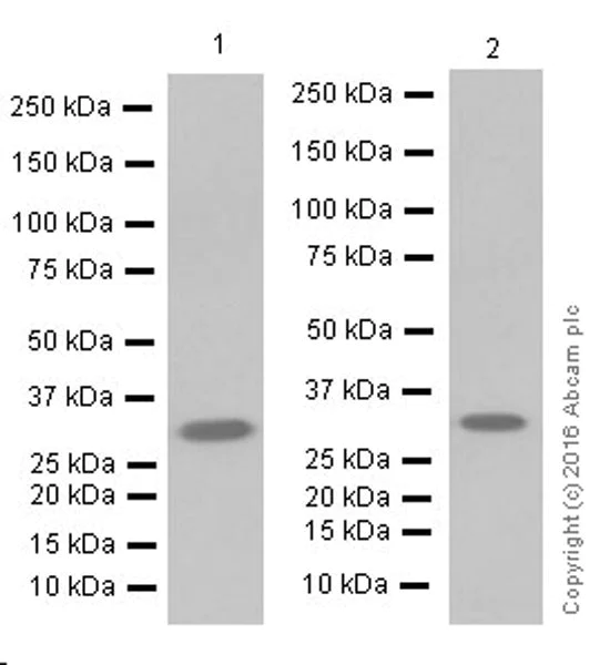
Blocking/Dilution buffer : 5% NFDM/TBST.

Exposure time : Lane 1 : 5 seconds; Lane 2 : 3 minutes.

The expression profile observed is consistent with what has been described in the literature (PMID : 24024557).

All lanes:

Western blot - Anti-Annexin A10/ANXA10 antibody [EPR19507] (ab213656) at 1/1000 dilution

Lane 1:

Human stomach lysate at 10 µg

Lane 2:

BxPC-3 (Human pancreas adenocarcinoma cell line) whole cell lysate at 10 µg

Secondary

All lanes:

Goat Anti-Rabbit IgG Peroxidase Conjugate, specific to the non-reduced form of IgG at 1/10000 dilution

Predicted band size: 37 kDa

Observed band size: 35 kDa

false

Western blot - Anti-Annexin A10/ANXA10 antibody [EPR19507] (AB213656)
  • WB

Supplier Data

Western blot - Anti-Annexin A10/ANXA10 antibody [EPR19507] (AB213656)

Blocking/Dilution buffer : 5% NFDM/TBST.

Exposure time : Lane 1 : 3 seconds; Lane 2 : 10 seconds

All lanes:

Western blot - Anti-Annexin A10/ANXA10 antibody [EPR19507] (ab213656) at 1/1000 dilution

Lane 1:

Mouse stomach lysate at 10 µg

Lane 2:

Rat stomach lysate at 10 µg

Secondary

All lanes:

Western blot - Goat Anti-Rabbit IgG H&L (HRP) (<a href='/en-us/products/secondary-antibodies/goat-rabbit-igg-h-l-hrp-ab97051'>ab97051</a>) at 1/100000 dilution

Predicted band size: 37 kDa

Observed band size: 35 kDa

false

  • Carrier free

    Anti-Annexin A10/ANXA10 antibody [EPR19507] - BSA and Azide free

Key facts

Host species

Rabbit

Clonality

Monoclonal

Clone number

EPR19507

Isotype

IgG

Carrier free

No

Reacts with

Mouse, Rat, Human

Applications

WB, IHC-P

applications

Immunogen

The exact immunogen used to generate this antibody is proprietary information.

Reactivity data

{ "title": "Reactivity Data", "filters": { "stats": ["", "Species", "Dilution Info", "Notes"], "tabs": { "all-applications": {"fullname" : "All Applications", "shortname": "All Applications"}, "WB" : {"fullname" : "Western blot", "shortname":"WB"}, "IHCP" : {"fullname" : "Immunohistochemistry (Formalin/PFA-fixed paraffin-embedded sections)", "shortname":"IHC-P"} }, "product-promise": { "all": "all", "testedAndGuaranteed": "tested", "guaranteed": "expected", "predicted": "predicted", "notRecommended": "not-recommended" } }, "values": { "Human": { "WB-species-checked": "testedAndGuaranteed", "WB-species-dilution-info": "1/1000", "WB-species-notes": "<p></p>", "IHCP-species-checked": "testedAndGuaranteed", "IHCP-species-dilution-info": "1/2000", "IHCP-species-notes": "<p></p> Perform heat-mediated antigen retrieval with Tris/EDTA buffer pH 9.0 before commencing with IHC staining protocol." }, "Mouse": { "WB-species-checked": "testedAndGuaranteed", "WB-species-dilution-info": "1/1000", "WB-species-notes": "<p></p>", "IHCP-species-checked": "testedAndGuaranteed", "IHCP-species-dilution-info": "1/2000", "IHCP-species-notes": "<p></p> Perform heat-mediated antigen retrieval with Tris/EDTA buffer pH 9.0 before commencing with IHC staining protocol." }, "Rat": { "WB-species-checked": "testedAndGuaranteed", "WB-species-dilution-info": "1/1000", "WB-species-notes": "<p></p>", "IHCP-species-checked": "testedAndGuaranteed", "IHCP-species-dilution-info": "1/2000", "IHCP-species-notes": "<p></p> Perform heat-mediated antigen retrieval with Tris/EDTA buffer pH 9.0 before commencing with IHC staining protocol." } } }

Product details

Patented technology
Our RabMAb® technology is a patented hybridoma-based technology for making rabbit monoclonal antibodies. For details on our patents, please refer to RabMAb® patents.

What are the advantages of a recombinant monoclonal antibody?
This product is a recombinant monoclonal antibody, which offers several advantages including:

  • - High batch-to-batch consistency and reproducibility
  • - Improved sensitivity and specificity
  • - Long-term security of supply
  • - Animal-free batch production

For more information, read more on recombinant antibodies.

Properties and storage information

Form
Liquid
Purification technique
Affinity purification Protein A
Storage buffer
pH: 7.2 - 7.4 Preservative: 0.01% Sodium azide Constituents: PBS, 40% Glycerol (glycerin, glycerine), 0.05% BSA
Shipped at conditions
Blue Ice
Appropriate short-term storage duration
1-2 weeks
Appropriate short-term storage conditions
+4°C
Appropriate long-term storage conditions
-20°C
Aliquoting information
Upon delivery aliquot
Storage information
Avoid freeze / thaw cycle

Supplementary information

This supplementary information is collated from multiple sources and compiled automatically.

Annexin A10 (ANXA10) also known as Annexin-10 is a protein with a molecular weight of approximately 37 kDa. You can find its expression mainly in the cytoplasm of epithelial cells especially in the gastrointestinal tract and liver. ANXA10 belongs to the annexin family which is known for calcium-dependent phospholipid binding. Its unique N-terminal region differentiates it from other annexin family members and may confer specific functions in cellular processes.
Biological function summary

ANXA10 functions as a calcium-dependent phospholipid-binding protein that regulates cell proliferation and differentiation. Though not part of a larger protein complex it may interact with cytoplasmic or membrane-associated proteins to perform its functions. ANXA10 helps maintain cellular integrity and possibly plays a role in the development of certain tissue types.

Pathways

ANXA10 plays a role in the cellular mechanisms involving vesicle trafficking and signal transduction. This protein contributes to the phospholipid metabolism and Annexin mechanisms working with other annexin proteins to mediate intracellular events. ANXA10 shares pathway relations with proteins such as Annexin A1 and Annexin A2 which also influence cell growth and signaling pathways.

Researchers have associated ANXA10 with liver cancer and gastric cancer. Altered expression of ANXA10 could contribute to tumor development and progression in these cancers. Studies show potential links with proteins like Annexin A8 in gastric cancer which makes ANXA10 a critical target of interest in cancer diagnostics and therapeutic research.

Product protocols

For this product, it's our understanding that no specific protocols are required. You can visit:

Publications (11)

Recent publications for all applications. Explore the full list and refine your search

Nature genetics 57:165-179 PubMed39806204

2025

Loss of Kmt2c or Kmt2d primes urothelium for tumorigenesis and redistributes KMT2A-menin to bivalent promoters.

Applications

Unspecified application

Species

Unspecified reactive species

Naitao Wang,Mohini R Pachai,Dan Li,Cindy J Lee,Sarah Warda,Makhzuna N Khudoynazarova,Woo Hyun Cho,Guojia Xie,Sagar R Shah,Li Yao,Cheng Qian,Elissa W P Wong,Juan Yan,Fanny V Tomas,Wenhuo Hu,Fengshen Kuo,Sizhi P Gao,Jiaqian Luo,Alison E Smith,Ming Han,Dong Gao,Kai Ge,Haiyuan Yu,Sarat Chandarlapaty,Gopakumar V Iyer,Jonathan E Rosenberg,David B Solit,Hikmat A Al-Ahmadie,Ping Chi,Yu Chen

Cell biology and toxicology 41:25 PubMed39789407

2025

ANXA10 sensitizes microsatellite instability-high colorectal cancer to anti-PD-1 immunotherapy via assembly of HLA-DR dimers by regulating CD74.

Applications

Unspecified application

Species

Unspecified reactive species

Yiting Sun,Bowen Yang,Ti Wen,Xiaoyu Guo,Danni Li,Ruichuan Shi,Fuqiang Zhang,Dongni Wang,Ce Li,Xiujuan Qu

The Journal of biological chemistry 300:107807 PubMed39307302

2024

Aberrant overexpression of myosin 1b in glioblastoma promotes angiogenesis via VEGF-myc-myosin 1b-Piezo1 axis.

Applications

Unspecified application

Species

Unspecified reactive species

Weifeng Lv,Fan Yang,Zhengmao Ge,Lele Xin,Lingxue Zhang,Yaohong Zhai,Xian Liu,Qingdong Guo,Xinggang Mao,Peng Luo,Lei Zhang,Xiaofan Jiang,Yanyu Zhang

STAR protocols 5:103303 PubMed39264806

2024

Protocol to characterize mouse intestinal epithelial cell lineage using Opal multiplex immunofluorescence.

Applications

Unspecified application

Species

Unspecified reactive species

Anxo Martinez-Ordoñez,Hiroto Kinoshita,Tania Cid-Diaz,Angeles Duran,Marta Osrodek,Maria T Diaz-Meco,Jorge Moscat

Developmental cell 59:1972-1987.e8 PubMed38815584

2024

Epithelial aPKC deficiency leads to stem cell loss preceding metaplasia in colorectal cancer initiation.

Applications

Unspecified application

Species

Unspecified reactive species

Hiroto Kinoshita,Anxo Martinez-Ordoñez,Tania Cid-Diaz,Qixiu Han,Angeles Duran,Yu Muta,Xiao Zhang,Juan F Linares,Yuki Nakanishi,Hiroaki Kasashima,Masakazu Yashiro,Kiyoshi Maeda,Ana Albaladejo-Gonzalez,Daniel Torres-Moreno,José García-Solano,Pablo Conesa-Zamora,Giorgio Inghirami,Maria T Diaz-Meco,Jorge Moscat

Nature communications 14:8075 PubMed38092754

2023

Enhanced SREBP2-driven cholesterol biosynthesis by PKCλ/ι deficiency in intestinal epithelial cells promotes aggressive serrated tumorigenesis.

Applications

Unspecified application

Species

Unspecified reactive species

Yu Muta,Juan F Linares,Anxo Martinez-Ordoñez,Angeles Duran,Tania Cid-Diaz,Hiroto Kinoshita,Xiao Zhang,Qixiu Han,Yuki Nakanishi,Naoko Nakanishi,Thekla Cordes,Gurpreet K Arora,Marc Ruiz-Martinez,Miguel Reina-Campos,Hiroaki Kasashima,Masakazu Yashiro,Kiyoshi Maeda,Ana Albaladejo-Gonzalez,Daniel Torres-Moreno,José García-Solano,Pablo Conesa-Zamora,Giorgio Inghirami,Christian M Metallo,Timothy F Osborne,Maria T Diaz-Meco,Jorge Moscat

Diabetes 73:75-92 PubMed37871012

2023

Single-Cell Transcriptome Profiling of Pancreatic Islets From Early Diabetic Mice Identifies Anxa10 for Ca2+ Allostasis Toward β-Cell Failure.

Applications

Unspecified application

Species

Unspecified reactive species

Kaori Motomura,Takashi Matsuzaka,Shigeyuki Shichino,Tatsuro Ogawa,Hao Pan,Takuya Nakajima,Yasuhito Asano,Toshitsugu Okayama,Tomoyo Takeuchi,Hiroshi Ohno,Song-Iee Han,Takafumi Miyamoto,Yoshinori Takeuchi,Motohiro Sekiya,Hirohito Sone,Naoya Yahagi,Yoshimi Nakagawa,Tatsuya Oda,Satoshi Ueha,Kazuho Ikeo,Atsushi Ogura,Kouji Matsushima,Hitoshi Shimano

Cell death & disease 14:588 PubMed37666806

2023

Knockdown of ANXA10 induces ferroptosis by inhibiting autophagy-mediated TFRC degradation in colorectal cancer.

Applications

Unspecified application

Species

Unspecified reactive species

Xinyuan Wang,Yujie Zhou,Lijun Ning,Jinnan Chen,Huimin Chen,Xiaobo Li

Frontiers in cell and developmental biology 11:1161588 PubMed37397259

2023

RNA-binding is an ancient trait of the Annexin family.

Applications

Unspecified application

Species

Unspecified reactive species

Sudarshan S Patil,Vipul Panchal,Trude Røstbø,Sofya Romanyuk,Hanne Hollås,Ruth Brenk,Ann Kari Grindheim,Anni Vedeler

Scientific reports 13:1583 PubMed36709331

2023

ANXA10 is a prognostic biomarker and suppressor of hepatocellular carcinoma: a bioinformatics analysis and experimental validation.

Applications

Unspecified application

Species

Unspecified reactive species

Chaohua Zhang,Linglong Peng,Haitao Gu,Jijian Wang,Yaxu Wang,Zhiquan Xu
View all publications

Product promise

We are committed to supporting your work with high-quality reagents, and we're here for you every step of the way. In the unlikely event that one of our products does not perform as expected, you're protected by our Product Promise.
For full details, please see our Terms & Conditions

Please note: All products are 'FOR RESEARCH USE ONLY. NOT FOR USE IN DIAGNOSTIC OR THERAPEUTIC PROCEDURES'.

For licensing inquiries, please contact partnerships@abcam.com