JavaScript is disabled in your browser. Please enable JavaScript to view this website.
AB223131

Anti-Annexin A10/ANXA10 antibody [EPR19507] - BSA and Azide free

Be the first to review this product! Submit a review

|

(1 Publication)

Rabbit Recombinant Monoclonal Annexin A10/ANXA10 antibody. Carrier free. Suitable for WB, IHC-P and reacts with Mouse, Rat, Human samples. Cited in 1 publication.

View Alternative Names

ANX14, ANXA10, Annexin A10, Annexin-10, Annexin-14

5 Images
Immunohistochemistry (Formalin/PFA-fixed paraffin-embedded sections) - Anti-Annexin A10/ANXA10 antibody [EPR19507] - BSA and Azide free (AB223131)
  • IHC-P

Supplier Data

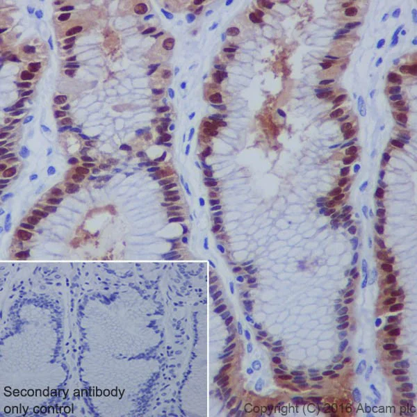
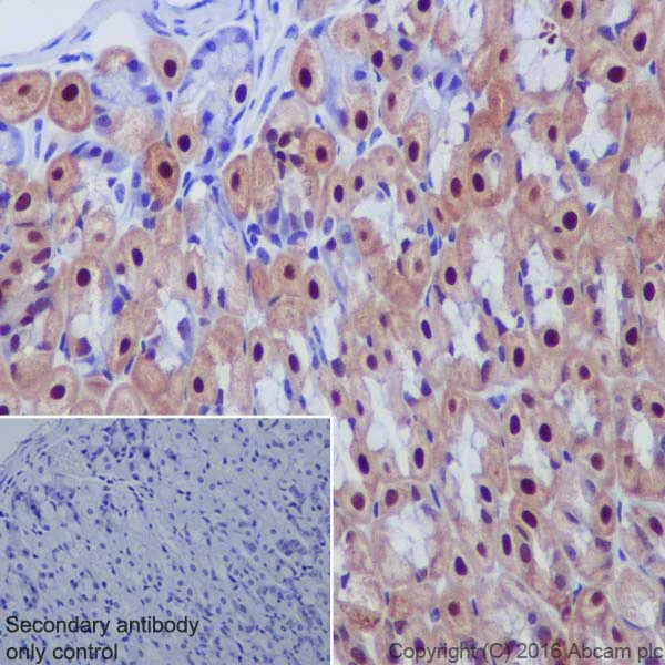
Immunohistochemistry (Formalin/PFA-fixed paraffin-embedded sections) - Anti-Annexin A10/ANXA10 antibody [EPR19507] - BSA and Azide free (AB223131)

Immunohistochemical analysis of paraffin-embedded human stomach tissue labeling Annexin A10/ANXA10 with ab213656 at 1/2000 dilution, followed by Goat Anti-Rabbit IgG H&L (HRP) (ab97051) at 1/500 dilution. Nuclear and weak cytoplasmic staining on human stomach is observed [PMID : 24024557]. Counter stained with Hematoxylin.

Secondary antibody only control : Used PBS instead of primary antibody, secondary antibody is Goat Anti-Rabbit IgG H&L (HRP) (ab97051) at 1/500 dilution.

This data was developed using the same antibody clone in a different buffer formulation containing PBS, BSA, glycerol, and sodium azide (ab213656).

Perform heat mediated antigen retrieval with Tris/EDTA buffer pH 9.0 before commencing with IHC staining protocol.

Immunohistochemistry (Formalin/PFA-fixed paraffin-embedded sections) - Anti-Annexin A10/ANXA10 antibody [EPR19507] - BSA and Azide free (AB223131)
  • IHC-P

Supplier Data

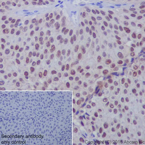
Immunohistochemistry (Formalin/PFA-fixed paraffin-embedded sections) - Anti-Annexin A10/ANXA10 antibody [EPR19507] - BSA and Azide free (AB223131)

Immunohistochemical analysis of paraffin-embedded human gastric cancer tissue labeling Annexin A10/ANXA10 with ab213656 at 1/2000 dilution, followed by Goat Anti-Rabbit IgG H&L (HRP) (ab97051) at 1/500 dilution. Nuclear and weak cytoplasmic staining on human gastric cancer is observed. Counter stained with Hematoxylin.

Secondary antibody only control : Used PBS instead of primary antibody, secondary antibody is Goat Anti-Rabbit IgG H&L (HRP) (ab97051) at 1/500 dilution.

This data was developed using the same antibody clone in a different buffer formulation containing PBS, BSA, glycerol, and sodium azide (ab213656).

Perform heat mediated antigen retrieval with Tris/EDTA buffer pH 9.0 before commencing with IHC staining protocol.

Immunohistochemistry (Formalin/PFA-fixed paraffin-embedded sections) - Anti-Annexin A10/ANXA10 antibody [EPR19507] - BSA and Azide free (AB223131)
  • IHC-P

Supplier Data

Immunohistochemistry (Formalin/PFA-fixed paraffin-embedded sections) - Anti-Annexin A10/ANXA10 antibody [EPR19507] - BSA and Azide free (AB223131)

Immunohistochemical analysis of paraffin-embedded human bladder cancer tissue labeling Annexin A10/ANXA10 with ab213656 at 1/2000 dilution, followed by Goat Anti-Rabbit IgG H&L (HRP) (ab97051) at 1/500 dilution. Nuclear and weak cytoplasmic staining on human bladder cancer is observed. Counter stained with Hematoxylin.

Secondary antibody only control : Used PBS instead of primary antibody, secondary antibody is Goat Anti-Rabbit IgG H&L (HRP) (ab97051) at 1/500 dilution.

This data was developed using the same antibody clone in a different buffer formulation containing PBS, BSA, glycerol, and sodium azide (ab213656).

Perform heat mediated antigen retrieval with Tris/EDTA buffer pH 9.0 before commencing with IHC staining protocol.

Immunohistochemistry (Formalin/PFA-fixed paraffin-embedded sections) - Anti-Annexin A10/ANXA10 antibody [EPR19507] - BSA and Azide free (AB223131)
  • IHC-P

Supplier Data

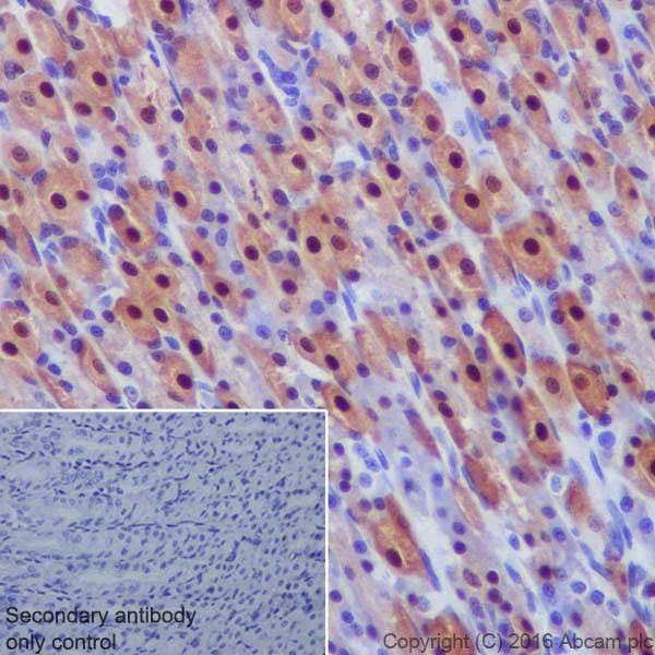
Immunohistochemistry (Formalin/PFA-fixed paraffin-embedded sections) - Anti-Annexin A10/ANXA10 antibody [EPR19507] - BSA and Azide free (AB223131)

Immunohistochemical analysis of paraffin-embedded mouse stomach tissue labeling Annexin A10/ANXA10 with ab213656 at 1/2000 dilution, followed by Goat Anti-Rabbit IgG H&L (HRP) (ab97051) at 1/500 dilution. Nuclear and cytoplasmic staining on mouse stomach is observed. Counter stained with Hematoxylin.

Secondary antibody only control : Used PBS instead of primary antibody, secondary antibody is Goat Anti-Rabbit IgG H&L (HRP) (ab97051) at 1/500 dilution.

This data was developed using the same antibody clone in a different buffer formulation containing PBS, BSA, glycerol, and sodium azide (ab213656).

Perform heat mediated antigen retrieval with Tris/EDTA buffer pH 9.0 before commencing with IHC staining protocol.

Immunohistochemistry (Formalin/PFA-fixed paraffin-embedded sections) - Anti-Annexin A10/ANXA10 antibody [EPR19507] - BSA and Azide free (AB223131)
  • IHC-P

Supplier Data

Immunohistochemistry (Formalin/PFA-fixed paraffin-embedded sections) - Anti-Annexin A10/ANXA10 antibody [EPR19507] - BSA and Azide free (AB223131)

Immunohistochemical analysis of paraffin-embedded rat stomach tissue labeling Annexin A10/ANXA10 with ab213656 at 1/2000 dilution, followed by Goat Anti-Rabbit IgG H&L (HRP) (ab97051) at 1/500 dilution. Nuclear and cytoplasmic staining on rat stomach is observed. Counter stained with Hematoxylin.

Secondary antibody only control : Used PBS instead of primary antibody, secondary antibody is Goat Anti-Rabbit IgG H&L (HRP) (ab97051) at 1/500 dilution.

This data was developed using the same antibody clone in a different buffer formulation containing PBS, BSA, glycerol, and sodium azide (ab213656).

Perform heat mediated antigen retrieval with Tris/EDTA buffer pH 9.0 before commencing with IHC staining protocol.

Key facts

Host species

Rabbit

Clonality

Monoclonal

Clone number

EPR19507

Isotype

IgG

Carrier free

Yes

Reacts with

Mouse, Rat, Human

Applications

IHC-P, WB

applications

Immunogen

The exact immunogen used to generate this antibody is proprietary information.

Reactivity data

{ "title": "Reactivity Data", "filters": { "stats": ["", "Species", "Dilution Info", "Notes"], "tabs": { "all-applications": {"fullname" : "All Applications", "shortname": "All Applications"}, "WB" : {"fullname" : "Western blot", "shortname":"WB"}, "IHCP" : {"fullname" : "Immunohistochemistry (Formalin/PFA-fixed paraffin-embedded sections)", "shortname":"IHC-P"} }, "product-promise": { "all": "all", "testedAndGuaranteed": "tested", "guaranteed": "expected", "predicted": "predicted", "notRecommended": "not-recommended" } }, "values": { "Human": { "WB-species-checked": "guaranteed", "WB-species-dilution-info": "", "WB-species-notes": "<p></p>", "IHCP-species-checked": "testedAndGuaranteed", "IHCP-species-dilution-info": "", "IHCP-species-notes": "<p></p>" }, "Mouse": { "WB-species-checked": "guaranteed", "WB-species-dilution-info": "", "WB-species-notes": "<p></p>", "IHCP-species-checked": "predicted", "IHCP-species-dilution-info": "", "IHCP-species-notes": "" }, "Rat": { "WB-species-checked": "guaranteed", "WB-species-dilution-info": "", "WB-species-notes": "<p></p>", "IHCP-species-checked": "predicted", "IHCP-species-dilution-info": "", "IHCP-species-notes": "" } } }

Product details

ab223131 is the carrier-free version of ab213656.

Patented technology
Our RabMAb® technology is a patented hybridoma-based technology for making rabbit monoclonal antibodies. For details on our patents, please refer to RabMAb® patents.

Conjugation ready
Our carrier-free antibodies are typically supplied in a PBS-only formulation, purified and free of BSA, sodium azide and glycerol. This conjugation-ready format is designed for use with fluorochromes, metal isotopes, oligonucleotides, and enzymes, which makes them ideal for antibody labelling, functional and cell-based assays, flow-based assays (e.g. mass cytometry) and Multiplex Imaging applications.

Use our conjugation kits for antibody conjugates that are ready-to-use in as little as 20 minutes with 1 minute hands-on-time and 100% antibody recovery: available for fluorescent dyes, HRP, biotin and gold.

Compatibility
This product is compatible with the Maxpar® Antibody Labeling Kit from Fluidigm, without the need for antibody preparation. Maxpar® is a trademark of Fluidigm Canada Inc.

Properties and storage information

Form
Liquid
Purification technique
Affinity purification Protein A
Storage buffer
pH: 7.2 - 7.4 Constituents: PBS
Shipped at conditions
Blue Ice
Appropriate short-term storage conditions
+4°C
Appropriate long-term storage conditions
+4°C
Storage information
Do Not Freeze

Supplementary information

This supplementary information is collated from multiple sources and compiled automatically.

Annexin A10 (ANXA10) also known as Annexin-10 is a protein with a molecular weight of approximately 37 kDa. You can find its expression mainly in the cytoplasm of epithelial cells especially in the gastrointestinal tract and liver. ANXA10 belongs to the annexin family which is known for calcium-dependent phospholipid binding. Its unique N-terminal region differentiates it from other annexin family members and may confer specific functions in cellular processes.
Biological function summary

ANXA10 functions as a calcium-dependent phospholipid-binding protein that regulates cell proliferation and differentiation. Though not part of a larger protein complex it may interact with cytoplasmic or membrane-associated proteins to perform its functions. ANXA10 helps maintain cellular integrity and possibly plays a role in the development of certain tissue types.

Pathways

ANXA10 plays a role in the cellular mechanisms involving vesicle trafficking and signal transduction. This protein contributes to the phospholipid metabolism and Annexin mechanisms working with other annexin proteins to mediate intracellular events. ANXA10 shares pathway relations with proteins such as Annexin A1 and Annexin A2 which also influence cell growth and signaling pathways.

Researchers have associated ANXA10 with liver cancer and gastric cancer. Altered expression of ANXA10 could contribute to tumor development and progression in these cancers. Studies show potential links with proteins like Annexin A8 in gastric cancer which makes ANXA10 a critical target of interest in cancer diagnostics and therapeutic research.

Product protocols

For this product, it's our understanding that no specific protocols are required. You can visit:

Publications (1)

Recent publications for all applications. Explore the full list and refine your search

Nature communications 16:8882 PubMed41053097

2025

The Hippo terminal effector YAP boosts enterovirus replication in type 1 diabetes.

Applications

Unspecified application

Species

Unspecified reactive species

Shirin Geravandi,Huan Liu,Heena Pahwa,Murali Krishna Madduri,Farah Atawneh,Adib Miraki Feriz,Sahar Rafizadeh,Annabelle Elisabeth Kruf,Mona Khazaei,Pouria Bahrami,David Gotti,Mohamed Elawour,Ruth M Elgamal,Ausilia Maria Grasso,David Bund,Blaz Lupse,Zahra Azizi,Omar Zabad,Karim Bouzakri,Marc Horwitz,Alberto Pugliese,Kathrin Maedler,Amin Ardestani
View all publications

Product promise

We are committed to supporting your work with high-quality reagents, and we're here for you every step of the way. In the unlikely event that one of our products does not perform as expected, you're protected by our Product Promise.
For full details, please see our Terms & Conditions

Please note: All products are 'FOR RESEARCH USE ONLY. NOT FOR USE IN DIAGNOSTIC OR THERAPEUTIC PROCEDURES'.

For licensing inquiries, please contact partnerships@abcam.com