JavaScript is disabled in your browser. Please enable JavaScript to view this website.
AB54775

Anti-Annexin V/ANXA5 antibody [1F4-1A5]

4

(7 Reviews)

|

(26 Publications)

Anti-Annexin V/ANXA5 antibody [1F4-1A5] (ab54775) is a mouse monoclonal antibody detecting Annexin V/ANXA5 in Western Blot, Flow Cytometry, IP, IHC-P, ICC/IF. Suitable for Human.

- Over 20 publications
- Trusted since 2007

View Alternative Names

ANX5, ENX2, PP4, ANXA5, Annexin A5, Anchorin CII, Annexin V, Annexin-5, Calphobindin I, Endonexin II, Lipocortin V, Placental anticoagulant protein 4, Placental anticoagulant protein I, Thromboplastin inhibitor, Vascular anticoagulant-alpha, CPB-I, PAP-I, VAC-alpha

7 Images
Western blot - Anti-Annexin V/ANXA5 antibody [1F4-1A5] (AB54775)
  • WB

Unknown

Western blot - Anti-Annexin V/ANXA5 antibody [1F4-1A5] (AB54775)

ab54775 Western Blot analysis of ANXA5/ANXA5 expression in Hela cells.

This image was generated using the ascites version of the product.

All lanes:

Western blot - Anti-Annexin V/ANXA5 antibody [1F4-1A5] (ab54775)

Predicted band size: 35 kDa

false

Immunocytochemistry/ Immunofluorescence - Anti-Annexin V/ANXA5 antibody [1F4-1A5] (AB54775)
  • ICC/IF

Unknown

Immunocytochemistry/ Immunofluorescence - Anti-Annexin V/ANXA5 antibody [1F4-1A5] (AB54775)

ab54775 at 10 ug/ml staining Annexin V/ANXA5 in human Hela cells by Immunocytochemistry / Immunofluorescence.

This image was generated using the ascites version of the product.

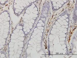
Immunohistochemistry (Formalin/PFA-fixed paraffin-embedded sections) - Anti-Annexin V/ANXA5 antibody [1F4-1A5] (AB54775)
  • IHC-P

Unknown

Immunohistochemistry (Formalin/PFA-fixed paraffin-embedded sections) - Anti-Annexin V/ANXA5 antibody [1F4-1A5] (AB54775)

Annexin V/ANXA5 antibody (ab54775) used in immunohistochemistry at 3ug/ml on formalin fixed and paraffin embedded human colon.

This image was generated using the ascites version of the product.

Immunocytochemistry/ Immunofluorescence - Anti-Annexin V/ANXA5 antibody [1F4-1A5] (AB54775)
  • ICC/IF

Unknown

Immunocytochemistry/ Immunofluorescence - Anti-Annexin V/ANXA5 antibody [1F4-1A5] (AB54775)

ab54775 staining Annexin V/ANXA5 in HeLa cells treated with pentoxifylline (ab120725), by ICC/IF. Increase of Annexin V/ANXA5 correlates with increased concentration of pentoxifylline, as described in literature.
The cells were incubated at 37°C for 24h in media containing different concentrations of ab120725 (pentoxifylline) in DMSO, fixed with 4% formaldehyde for 10 minutes at room temperature and blocked with PBS containing 10% goat serum, 0.3 M glycine, 1% BSA and 0.1% tween for 2h at room temperature. Staining of the treated cells with ab54775 (10 μg/ml) was performed overnight at 4°C in PBS containing 1% BSA and 0.1% tween. A DyLight 488 goat anti-mouse polyclonal antibody (ab96879) at 1/250 dilution was used as the secondary antibody. Nuclei were counterstained with DAPI and are shown in blue.

This image was generated using the ascites version of the product.

Flow Cytometry - Anti-Annexin V/ANXA5 antibody [1F4-1A5] (AB54775)
  • Flow Cyt

Unknown

Flow Cytometry - Anti-Annexin V/ANXA5 antibody [1F4-1A5] (AB54775)

Overlay histogram showing HeLa cells stained with ab54775 (red line). The cells were fixed with 100% methanol (5 min) and then permeabilized with 0.1% PBS-Tween for 20 min. The cells were then incubated in 1x PBS / 10% normal goat serum / 0.3M glycine to block non-specific protein-protein interactions followed by the antibody (ab54775, 1μg/1x106 cells) for 30 min at 22°C. The secondary antibody used was DyLight® 488 goat anti-mouse IgG (H+L) (ab96879) at 1/500 dilution for 30 min at 22°C. Isotype control antibody (black line) was mouse IgG1 [ICIGG1] (ab91353, 2μg/1x106 cells) used under the same conditions. Acquisition of >5,000 events was performed. This antibody gave a positive signal in HeLa cells fixed with 4% paraformaldehyde (10 min)/permeabilized in 0.1% PBS-Tween used under the same conditions.

This image was generated using the ascites version of the product.

Western blot - Anti-Annexin V/ANXA5 antibody [1F4-1A5] (AB54775)
  • WB

Unknown

Western blot - Anti-Annexin V/ANXA5 antibody [1F4-1A5] (AB54775)

Western Blot analysis of ANXA5 expression in transfected 293T cell line by ab54775.
Lane 1 : ANXA5 transfected lysate(35.9 KDa).
Lane 2 : Non-transfected lysate.

This image was generated using the ascites version of the product.

All lanes:

Western blot - Anti-Annexin V/ANXA5 antibody [1F4-1A5] (ab54775)

Predicted band size: 35 kDa

false

Immunoprecipitation - Anti-Annexin V/ANXA5 antibody [1F4-1A5] (AB54775)
  • IP

Unknown

Immunoprecipitation - Anti-Annexin V/ANXA5 antibody [1F4-1A5] (AB54775)

Immunoprecipitation of ANXA5 transfected lysate using ab54775 monoclonal antibody and Protein A Magnetic Bead and immunoblotted with a ANXA5 rabbit polyclonal antibody.

This image was generated using the ascites version of the product.

All lanes:

Immunoprecipitation - Anti-Annexin V/ANXA5 antibody [1F4-1A5] (ab54775)

Predicted band size: 35 kDa

false

Key facts

Host species

Mouse

Clonality

Monoclonal

Clone number

1F4-1A5

Isotype

IgG1

Light chain type

kappa

Carrier free

Yes

Reacts with

Human

Applications

IP, WB, ICC/IF, IHC-P, Flow Cyt

applications

Immunogen

Recombinant Full Length Protein corresponding to Human ANXA5.

P08758

Reactivity data

{ "title": "Reactivity Data", "filters": { "stats": ["", "Species", "Dilution Info", "Notes"], "tabs": { "all-applications": {"fullname" : "All Applications", "shortname": "All Applications"}, "IP" : {"fullname" : "Immunoprecipitation", "shortname":"IP"}, "FlowCyt" : {"fullname" : "Flow Cytometry", "shortname":"Flow Cyt"}, "WB" : {"fullname" : "Western blot", "shortname":"WB"}, "ICCIF" : {"fullname" : "Immunocytochemistry/ Immunofluorescence", "shortname":"ICC/IF"}, "IHCP" : {"fullname" : "Immunohistochemistry (Formalin/PFA-fixed paraffin-embedded sections)", "shortname":"IHC-P"} }, "product-promise": { "all": "all", "testedAndGuaranteed": "tested", "guaranteed": "expected", "predicted": "predicted", "notRecommended": "not-recommended" } }, "values": { "Human": { "IP-species-checked": "testedAndGuaranteed", "IP-species-dilution-info": "", "IP-species-notes": "<p></p>", "FlowCyt-species-checked": "testedAndGuaranteed", "FlowCyt-species-dilution-info": "", "FlowCyt-species-notes": "<p><a href='/en-us/products/primary-antibodies/mouse-igg1-kappa-monoclonal-15-6e10a7-isotype-control-ab170190'>ab170190</a> - Mouse monoclonal IgG1, is suitable for use as an isotype control with this antibody.</p>", "WB-species-checked": "testedAndGuaranteed", "WB-species-dilution-info": "", "WB-species-notes": "<p></p>", "ICCIF-species-checked": "testedAndGuaranteed", "ICCIF-species-dilution-info": "", "ICCIF-species-notes": "<p></p>", "IHCP-species-checked": "testedAndGuaranteed", "IHCP-species-dilution-info": "", "IHCP-species-notes": "<p></p> Perform heat-mediated antigen retrieval via the microwave method before commencing with IHC staining protocol." } } }

Product details

What is this antibody validated in?
Anti-Annexin V/ANXA5 antibody [1F4-1A5] (ab54775) is a mouse monoclonal antibody and is validated for use in Western Blot (WB), Flow Cytometry (Flow Cyt), Immunoprecipitation (IP), Immunohistochemistry (IHC-P), Immunocytochemistry/immunofluorescence (ICC/IF) in Human samples.

What is the molecular weight of Annexin V/ANXA5?
Anti-Annexin V/ANXA5 [1F4-1A5] (ab54775) specifically detects a band for Annexin V/ANXA5 (UniProt: P08758) at a molecular weight of 36kDa.

Trusted by the scientific community
Anti-Annexin V/ANXA5 [1F4-1A5] (ab54775) was first used in a scientific publication in 2007 and has been cited over 20 times in peer-reviewed journals.

Reviewed by scientists
Anti-Annexin V/ANXA5 [1F4-1A5] (ab54775) has over 5 independent reviews from customers.

Properties and storage information

Form
Liquid
Purity
Tissue culture supernatant
Storage buffer
pH: 7.4 Constituents: PBS
Shipped at conditions
Blue Ice
Appropriate short-term storage conditions
+4°C
Appropriate long-term storage conditions
-20°C
Aliquoting information
Upon delivery aliquot
Storage information
Avoid freeze / thaw cycle

Supplementary information

This supplementary information is collated from multiple sources and compiled automatically.

Annexin V also known as ANXA5 is a protein with a mass of approximately 35-36 kDa. This protein belongs to the annexin family which includes proteins capable of binding to phospholipids in a calcium-dependent manner. Annexin V is mostly expressed in placental tissue though it can be found in various other tissues like the vascular endothelium. Researchers often utilize annexin V for staining dead cells or identifying apoptosis using assays such as annexin V FITC or 7-AAD staining. It forms part of the annexin V binding buffer which enhances its binding affinity.
Biological function summary

Annexin V has an important role in cell membrane dynamics and signaling. The protein does not function as part of a larger complex but its ability to bind negatively charged phospholipids like phosphatidylserine makes it important in apoptosis. During apoptosis phosphatidylserine translocates to the outer leaflet of the plasma membrane where annexin V marks these apoptotic cells. This property enables annexin V-based assays to detect early stages of apoptosis.

Pathways

Annexin V involvement is seen in pathways associated with blood coagulation and apoptosis. In the apoptosis pathway annexin V interacts with apoptotic markers to identify dying cells. It relates to proteins such as caspases which are key executors of apoptosis. In coagulation annexin V has been shown to interact with prothrombinase complex and can affect calcium ion concentration thereby influencing blood clotting processes.

Annexin V plays a role in antiphospholipid syndrome and cardiovascular diseases. Annexin V has been researched for its connection to antiphospholipid antibodies where it affects normal annexin V function impacting clot formation. In cardiovascular diseases annexin V can interact with proteins such as thrombomodulin influencing thrombotic and atherosclerotic pathways. Understanding these interactions helps researchers develop potential therapeutic approaches for related conditions.

Product protocols

For this product, it's our understanding that no specific protocols are required. You can visit:

Target data

This protein is an anticoagulant protein that acts as an indirect inhibitor of the thromboplastin-specific complex, which is involved in the blood coagulation cascade.
See full target information ANXA5

Publications (26)

Recent publications for all applications. Explore the full list and refine your search

Advanced science (Weinheim, Baden-Wurttemberg, Germany) 12:e2411769 PubMed39748450

2025

Prediction of Patient Drug Response via 3D Bioprinted Gastric Cancer Model Utilized Patient-Derived Tissue Laden Tissue-Specific Bioink.

Applications

Unspecified application

Species

Unspecified reactive species

Yoo-Mi Choi,Deukchae Na,Goeun Yoon,Jisoo Kim,Seoyeon Min,Hee-Gyeong Yi,Soo-Jeong Cho,Jae Hee Cho,Charles Lee,Jinah Jang

Heliyon 10:e28218 PubMed38560106

2024

Host proteins interact with viral elements and affect the life cycle of highly pathogenic avian influenza A virus H7N9.

Applications

Unspecified application

Species

Unspecified reactive species

Dong-Shan Yu,Xiao-Xin Wu,Tian-Hao Weng,Lin-Fang Cheng,Fu-Min Liu,Hai-Bo Wu,Xiang-Yun Lu,Nan-Ping Wu,Shui-Lin Sun,Hang-Ping Yao

Cancers 15: PubMed38001611

2023

Circular RNA from Tyrosylprotein Sulfotransferase 2 Gene Inhibits Cisplatin Sensitivity in Head and Neck Squamous Cell Carcinoma by Sponging miR-770-5p and Interacting with Nucleolin.

Applications

Unspecified application

Species

Unspecified reactive species

Tianqing Wang,Chuan Xin,Shiyu Zhang,Xin Tian,Yuting Hu,Ying Wang,Jiongke Wang,Ning Ji,Xin Zeng,Jing Li

Scientific reports 13:6417 PubMed37076494

2023

Co-administration with A1M does not influence apoptotic response of Lu-octreotate in GOT1 neuroendocrine tumors.

Applications

Unspecified application

Species

Unspecified reactive species

Nishte Rassol,Charlotte Andersson,Daniella Pettersson,Amin Al-Awar,Emman Shubbar,Anikó Kovács,Bo Åkerström,Magnus Gram,Khalil Helou,Eva Forssell-Aronsson

Cellular and molecular life sciences : CMLS 79:48 PubMed34951654

2021

Activation of neutral sphingomyelinase 2 through hyperglycemia contributes to endothelial apoptosis via vesicle-bound intercellular transfer of ceramides.

Applications

Unspecified application

Species

Unspecified reactive species

Andreas Zietzer,Alina Lisann Jahnel,Marko Bulic,Katharina Gutbrod,Philip Düsing,Mohammed Rabiul Hosen,Peter Dörmann,Nikos Werner,Georg Nickenig,Felix Jansen

Journal of extracellular vesicles 9:1786967 PubMed32944175

2020

The RNA-binding protein hnRNPU regulates the sorting of microRNA-30c-5p into large extracellular vesicles.

Applications

Unspecified application

Species

Unspecified reactive species

Andreas Zietzer,Mohammed Rabiul Hosen,Han Wang,Philip Roger Goody,Marc Sylvester,Eicke Latz,Georg Nickenig,Nikos Werner,Felix Jansen

Scientific reports 10:9391 PubMed32523019

2020

Annexin A5 prevents amyloid-β-induced toxicity in choroid plexus: implication for Alzheimer's disease.

Applications

Unspecified application

Species

Unspecified reactive species

Fernando Bartolome,Agnieszka Krzyzanowska,Macarena de la Cueva,Consuelo Pascual,Desiree Antequera,Carlos Spuch,Alberto Villarejo-Galende,Alberto Rabano,Juan Fortea,Daniel Alcolea,Alberto Lleo,Isidro Ferrer,John Hardy,Andrey Y Abramov,Eva Carro

Acta neuropathologica communications 7:214 PubMed31862015

2019

Comparative profiling of the synaptic proteome from Alzheimer's disease patients with focus on the APOE genotype.

Applications

Unspecified application

Species

Unspecified reactive species

Raphael Hesse,Maica Llavero Hurtado,Rosemary J Jackson,Samantha L Eaton,Abigail G Herrmann,Marti Colom-Cadena,Makis Tzioras,Declan King,Jamie Rose,Jane Tulloch,Chris-Anne McKenzie,Colin Smith,Christopher M Henstridge,Douglas Lamont,Thomas M Wishart,Tara L Spires-Jones

Immunology 159:205-220 PubMed31642515

2019

Annexin V expression on CD4 T cells with regulatory function.

Applications

Unspecified application

Species

Unspecified reactive species

Anna-Lena Bollinger,Thomas Bollinger,Jan Rupp,Kensuke Shima,Natalie Gross,Laura Padayachy,Rachel Chicheportiche,Gisella L Puga Yung,Jörg Dieter Seebach

Cell death and differentiation 27:1398-1414 PubMed31570857

2019

In vivo detection of programmed cell death during mouse heart development.

Applications

Unspecified application

Species

Unspecified reactive species

Kristel Martínez-Lagunas,Yoshifumi Yamaguchi,Cora Becker,Caroline Geisen,Marco C DeRuiter,Masayuki Miura,Bernd K Fleischmann,Michael Hesse
View all publications

Product promise

We are committed to supporting your work with high-quality reagents, and we're here for you every step of the way. In the unlikely event that one of our products does not perform as expected, you're protected by our Product Promise.
For full details, please see our Terms & Conditions

Please note: All products are 'FOR RESEARCH USE ONLY. NOT FOR USE IN DIAGNOSTIC OR THERAPEUTIC PROCEDURES'.

For licensing inquiries, please contact partnerships@abcam.com