JavaScript is disabled in your browser. Please enable JavaScript to view this website.
AB108321

Anti-Annexin V/ANXA5 antibody [EPR3979]

3

(4 Reviews)

|

(7 Publications)

Rabbit Recombinant Monoclonal Annexin V/ANXA5 antibody. Suitable for IHC-P, WB and reacts with Human samples. Cited in 7 publications.

View Alternative Names

ANX5, ENX2, PP4, ANXA5, Annexin A5, Anchorin CII, Annexin V, Annexin-5, Calphobindin I, Endonexin II, Lipocortin V, Placental anticoagulant protein 4, Placental anticoagulant protein I, Thromboplastin inhibitor, Vascular anticoagulant-alpha, CPB-I, PAP-I, VAC-alpha

4 Images
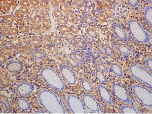
Immunohistochemistry (Formalin/PFA-fixed paraffin-embedded sections) - Anti-Annexin V/ANXA5 antibody [EPR3979] (AB108321)
  • IHC-P

Unknown

Immunohistochemistry (Formalin/PFA-fixed paraffin-embedded sections) - Anti-Annexin V/ANXA5 antibody [EPR3979] (AB108321)

Immunohistochemical analysis of Annexin V/ANXA5 in paraffin embedded Human gastric tissue using ab108321 at a 1/100 dilution.

Perform heat mediated antigen retrieval with citrate buffer pH 6 before commencing with IHC staining protocol.

Western blot - Anti-Annexin V/ANXA5 antibody [EPR3979] (AB108321)
  • WB

Unknown

Western blot - Anti-Annexin V/ANXA5 antibody [EPR3979] (AB108321)

All lanes:

Western blot - Anti-Annexin V/ANXA5 antibody [EPR3979] (ab108321) at 1/1000 dilution

Lane 1:

HeLa cell lysate at 10 µg

Lane 2:

JAR cell lysate at 10 µg

Lane 3:

fetal kidney lysate at 10 µg

Predicted band size: 35 kDa

false

Western blot - Anti-Annexin V/ANXA5 antibody [EPR3979] (AB108321)
  • WB

Lab

Western blot - Anti-Annexin V/ANXA5 antibody [EPR3979] (AB108321)

Lane 1 : Wild-type HAP1 whole cell lysate (20 μg)
Lane 2 : Annexin V/ANXA5 knockout HAP1 whole cell lysate (20 μg)
Lane 3 : HeLa whole cell lysate (20 μg)

Lanes 1 - 3 : Merged signal (red and green). Green - ab108321 observed at 35 kDa. Red - loading control, ab18058, observed at 130 kDa.

ab108321 was shown to specifically react with Annexin V/ANXA5 in wild-type cells as signal was lost in Annexin V/ANXA5 knockout cells. Wild-type and Annexin V/ANXA5 knockout samples were subjected to SDS-PAGE. ab108321 and ab18058 (Mouse anti-Vinculin loading control) were incubated overnight at 4°C at 1/1000 dilution and 1/20000 dilution respectively. Blots were developed with Goat anti-Rabbit IgG H&L (IRDye® 800CW) preabsorbed ab216773 and Goat anti-Mouse IgG H&L (IRDye® 680RD) preabsorbed ab216776 secondary antibodies at 1/20000 dilution for 1 hour at room temperature before imaging.

All lanes:

Western blot - Anti-Annexin V/ANXA5 antibody [EPR3979] (ab108321)

Predicted band size: 35 kDa

false

Western blot - Anti-Annexin V/ANXA5 antibody [EPR3979] (AB108321)
  • WB

Lab

Western blot - Anti-Annexin V/ANXA5 antibody [EPR3979] (AB108321)

Western blot : Anti-ANXA5 antibody [EPR3979] (ab108321) staining at 1/1000 dilution, shown in green; Mouse anti-Alpha Tubulin [DM1A] (ab7291) loading control staining at 1/20000 dilution, shown in magenta. In Western blot, ab108321 was shown to bind specifically to ANXA5. A band was observed at 36 kDa in wild-type A549 cell lysates with no signal observed at this size in ANXA5 knockout cell line. To generate this image, wild-type and ANXA5 knockout A549 cell lysates were analysed. First, samples were run on an SDS-PAGE gel then transferred onto a nitrocellulose membrane. Membranes were blocked in 3 % milk in TBS-0.1 % Tween® 20 (TBS-T) before incubation with primary antibodies overnight at 4 °C. Blots were washed four times in TBS-T, incubated with secondary antibodies for 1 h at room temperature, washed again four times then imaged. Secondary antibodies used were Goat anti-Rabbit IgG H&L 800CW and Goat anti-Mouse IgG H&L 680RD at 1/20000 dilution.

All lanes:

Western blot - Anti-Annexin V/ANXA5 antibody [EPR3979] (ab108321) at 1/1000 dilution

Lane 1:

Wild-type A549 cell lysate at 20 µg

Lane 2:

Western blot - Human ANXA5 knockout A549 cell line (<a href='/en-us/products/cell-lines/human-anxa5-knockout-a549-cell-line-ab300840'>ab300840</a>)

Lane 2:

ANXA5 knockout A549 cell lysate at 20 µg

Secondary

Lanes 1 - 2:

Goat anti-Rabbit IgG H&L 800CW at 1/20000 dilution

Lanes 1 - 2:

Goat anti-Mouse IgG H&L 680RD at 1/20000 dilution

Observed band size: 36 kDa

false

  • Carrier free

    Anti-Annexin V/ANXA5 antibody [EPR3979] - BSA and Azide free

Key facts

Host species

Rabbit

Clonality

Monoclonal

Clone number

EPR3979

Isotype

IgG

Carrier free

No

Reacts with

Human

Applications

IHC-P, WB

applications

Immunogen

The exact immunogen used to generate this antibody is proprietary information.

Reactivity data

{ "title": "Reactivity Data", "filters": { "stats": ["", "Species", "Dilution Info", "Notes"], "tabs": { "all-applications": {"fullname" : "All Applications", "shortname": "All Applications"}, "IHCP" : {"fullname" : "Immunohistochemistry (Formalin/PFA-fixed paraffin-embedded sections)", "shortname":"IHC-P"}, "IP" : {"fullname" : "Immunoprecipitation", "shortname":"IP"}, "FlowCyt" : {"fullname" : "Flow Cytometry", "shortname":"Flow Cyt"}, "WB" : {"fullname" : "Western blot", "shortname":"WB"} }, "product-promise": { "all": "all", "testedAndGuaranteed": "tested", "guaranteed": "expected", "predicted": "predicted", "notRecommended": "not-recommended" } }, "values": { "Human": { "IHCP-species-checked": "testedAndGuaranteed", "IHCP-species-dilution-info": "1/100 - 1/250", "IHCP-species-notes": "<p>Perform antigen retrieval before commencing with IHC staining protocol</p>", "IP-species-checked": "notRecommended", "IP-species-dilution-info": "", "IP-species-notes": "<p></p>", "FlowCyt-species-checked": "notRecommended", "FlowCyt-species-dilution-info": "", "FlowCyt-species-notes": "<p></p>", "WB-species-checked": "testedAndGuaranteed", "WB-species-dilution-info": "1/1000 - 1/10000", "WB-species-notes": "<p></p>" } } }

Product details

Patented technology
Our RabMAb® technology is a patented hybridoma-based technology for making rabbit monoclonal antibodies. For details on our patents, please refer to RabMAb® patents.

What are the advantages of a recombinant monoclonal antibody?
This product is a recombinant monoclonal antibody, which offers several advantages including:

  • - High batch-to-batch consistency and reproducibility
  • - Improved sensitivity and specificity
  • - Long-term security of supply
  • - Animal-free batch production

For more information, read more on recombinant antibodies.

Properties and storage information

Form
Liquid
Purification technique
Affinity purification Protein A
Storage buffer
pH: 7.2 - 7.4 Preservative: 0.05% Sodium azide Constituents: PBS, 40% Glycerol (glycerin, glycerine), 9.85% Tris glycine, 0.1% BSA
Shipped at conditions
Blue Ice
Appropriate short-term storage conditions
+4°C
Appropriate long-term storage conditions
-20°C
Storage information
Stable for 12 months at -20°C

Supplementary information

This supplementary information is collated from multiple sources and compiled automatically.

Annexin V also known as ANXA5 is a protein with a mass of approximately 35-36 kDa. This protein belongs to the annexin family which includes proteins capable of binding to phospholipids in a calcium-dependent manner. Annexin V is mostly expressed in placental tissue though it can be found in various other tissues like the vascular endothelium. Researchers often utilize annexin V for staining dead cells or identifying apoptosis using assays such as annexin V FITC or 7-AAD staining. It forms part of the annexin V binding buffer which enhances its binding affinity.
Biological function summary

Annexin V has an important role in cell membrane dynamics and signaling. The protein does not function as part of a larger complex but its ability to bind negatively charged phospholipids like phosphatidylserine makes it important in apoptosis. During apoptosis phosphatidylserine translocates to the outer leaflet of the plasma membrane where annexin V marks these apoptotic cells. This property enables annexin V-based assays to detect early stages of apoptosis.

Pathways

Annexin V involvement is seen in pathways associated with blood coagulation and apoptosis. In the apoptosis pathway annexin V interacts with apoptotic markers to identify dying cells. It relates to proteins such as caspases which are key executors of apoptosis. In coagulation annexin V has been shown to interact with prothrombinase complex and can affect calcium ion concentration thereby influencing blood clotting processes.

Annexin V plays a role in antiphospholipid syndrome and cardiovascular diseases. Annexin V has been researched for its connection to antiphospholipid antibodies where it affects normal annexin V function impacting clot formation. In cardiovascular diseases annexin V can interact with proteins such as thrombomodulin influencing thrombotic and atherosclerotic pathways. Understanding these interactions helps researchers develop potential therapeutic approaches for related conditions.

Product protocols

For this product, it's our understanding that no specific protocols are required. You can visit:

Target data

The protein expressed by gene ANXA5 is an anticoagulant protein that indirectly inhibits the thromboplastin-specific complex, a component involved in the blood coagulation cascade. This supplementary information is collated from multiple sources and compiled automatically.
See full target information ANXA5

Publications (7)

Recent publications for all applications. Explore the full list and refine your search

Journal of medicinal chemistry 65:16432-16450 PubMed36459180

2022

Development of SOS1 Inhibitor-Based Degraders to Target -Mutant Colorectal Cancer.

Applications

Unspecified application

Species

Unspecified reactive species

Yujia Bian,Diego Alem,Francisca Beato,Tara L Hogenson,Xinrui Yang,Kun Jiang,Jianfeng Cai,Wen Wee Ma,Martin Fernandez-Zapico,Aik Choon Tan,Nicholas J Lawrence,Jason B Fleming,Yu Yuan,Hao Xie

Oncology letters 23:123 PubMed35261637

2022

Selective radiosensitization by nitazoxanide of quiescent clonogenic colon cancer tumour cells.

Applications

Unspecified application

Species

Unspecified reactive species

Henning Karlsson,Mårten Fryknäs,Wojciech Senkowski,Rolf Larsson,Peter Nygren

Molecular medicine reports 25: PubMed34878150

2021

Genetic analysis of haplotype and its effect on recurrent pregnancy loss.

Applications

Unspecified application

Species

Unspecified reactive species

Zhuhua Cai,Xiuying Zheng,Yan Chen,Fengdan Chen,Liangmiao Chen,Xiaohui Deng

Frontiers in oncology 10:1717 PubMed33014851

2020

The Novel Anti-cMet Antibody seeMet 12 Potentiates Sorafenib Therapy and Radiotherapy in a Colorectal Cancer Model.

Applications

Unspecified application

Species

Unspecified reactive species

Diana Spiegelberg,Anja Charlotte Lundgren Mortensen,Kartika Dyah Palupi,Patrick Micke,Julin Wong,Borivoj Vojtesek,David Philip Lane,Marika Nestor

Scientific reports 10:5923 PubMed32246062

2020

The HSP90 inhibitor Onalespib exerts synergistic anti-cancer effects when combined with radiotherapy: an in vitro and in vivo approach.

Applications

Unspecified application

Species

Unspecified reactive species

Diana Spiegelberg,Andris Abramenkovs,Anja Charlotte Lundgren Mortensen,Sara Lundsten,Marika Nestor,Bo Stenerlöw

Journal of translational medicine 14:180 PubMed27317346

2016

Exosome-like vesicles in uterine aspirates: a comparison of ultracentrifugation-based isolation protocols.

Applications

Unspecified application

Species

Unspecified reactive species

Irene Campoy,Lucia Lanau,Tatiana Altadill,Tamara Sequeiros,Silvia Cabrera,Montserrat Cubo-Abert,Assumpción Pérez-Benavente,Angel Garcia,Salvador Borrós,Anna Santamaria,Jordi Ponce,Xavier Matias-Guiu,Jaume Reventós,Antonio Gil-Moreno,Marina Rigau,Eva Colas

PloS one 7:e44701 PubMed22970290

2012

Altered protein expression in gestational diabetes mellitus placentas provides insight into insulin resistance and coagulation/fibrinolysis pathways.

Applications

WB, IHC-P

Species

Human, Human

Bin Liu,Yun Xu,Courtney Voss,Fang-hua Qiu,Ming-zhe Zhao,Yong-dong Liu,Jing Nie,Zi-lian Wang
View all publications

Product promise

We are committed to supporting your work with high-quality reagents, and we're here for you every step of the way. In the unlikely event that one of our products does not perform as expected, you're protected by our Product Promise.
For full details, please see our Terms & Conditions

Please note: All products are 'FOR RESEARCH USE ONLY. NOT FOR USE IN DIAGNOSTIC OR THERAPEUTIC PROCEDURES'.

For licensing inquiries, please contact partnerships@abcam.com