JavaScript is disabled in your browser. Please enable JavaScript to view this website.
AB5993

Anti-ANP32E antibody

5

(1 Review)

|

(13 Publications)

Rabbit Polyclonal ANP32E antibody. Suitable for ICC, WB, IHC-P and reacts with Human, Rat samples. Cited in 13 publications. Immunogen corresponding to Synthetic Peptide within Human ANP32E.

View Alternative Names

Acidic leucine-rich nuclear phosphoprotein 32 family member E, LANP-like protein, LANP-L, ANP32E

3 Images
Immunocytochemistry - Anti-ANP32E antibody (AB5993)
  • ICC

Unknown

Immunocytochemistry - Anti-ANP32E antibody (AB5993)

Immunofluorescence of PHAP III in Human Small Intestine cells using ab5993 at 20 ug/ml.

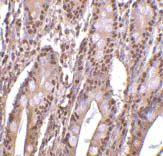
Immunohistochemistry (Formalin/PFA-fixed paraffin-embedded sections) - Anti-ANP32E antibody (AB5993)
  • IHC-P

Unknown

Immunohistochemistry (Formalin/PFA-fixed paraffin-embedded sections) - Anti-ANP32E antibody (AB5993)

ab5993 at 2μg/ml staining ANP32E in human small intestine tissue by IHC

Western blot - Anti-ANP32E antibody (AB5993)
  • WB

Unknown

Western blot - Anti-ANP32E antibody (AB5993)

Western blot analysis of PHAP III expression in human A549 (A) and HepG2 (B) cells, and rat testis (C) with anti-PHAP III at 1 μg/ml. Western blot analysis of ANP32E expression in human A549 (A) and HepG2 (B) cells, and rat testis (C) with ab5993 at 1 μg/ml.

All lanes:

Western blot - Anti-ANP32E antibody (ab5993)

Predicted band size: 31 kDa

false

Key facts

Host species

Rabbit

Clonality

Polyclonal

Isotype

IgG

Carrier free

No

Reacts with

Rat, Human

Applications

IHC-P, ICC, WB

applications

Immunogen

Synthetic Peptide within Human ANP32E. The exact immunogen used to generate this antibody is proprietary information.

Q9BTT0

Specificity

This antibody does not cross-react with PHAPI or PHAP12a.

Reactivity data

{ "title": "Reactivity Data", "filters": { "stats": ["", "Species", "Dilution Info", "Notes"], "tabs": { "all-applications": {"fullname" : "All Applications", "shortname": "All Applications"}, "ICC" : {"fullname" : "Immunocytochemistry", "shortname":"ICC"}, "WB" : {"fullname" : "Western blot", "shortname":"WB"}, "IHCP" : {"fullname" : "Immunohistochemistry (Formalin/PFA-fixed paraffin-embedded sections)", "shortname":"IHC-P"} }, "product-promise": { "all": "all", "testedAndGuaranteed": "tested", "guaranteed": "expected", "predicted": "predicted", "notRecommended": "not-recommended" } }, "values": { "Human": { "ICC-species-checked": "testedAndGuaranteed", "ICC-species-dilution-info": "", "ICC-species-notes": "<p></p>", "WB-species-checked": "testedAndGuaranteed", "WB-species-dilution-info": "0.5-2 µg/mL", "WB-species-notes": "<p></p>", "IHCP-species-checked": "testedAndGuaranteed", "IHCP-species-dilution-info": "2 µg/mL", "IHCP-species-notes": "<p></p>" }, "Rat": { "ICC-species-checked": "guaranteed", "ICC-species-dilution-info": "", "ICC-species-notes": "", "WB-species-checked": "testedAndGuaranteed", "WB-species-dilution-info": "0.5-2 µg/mL", "WB-species-notes": "<p></p>", "IHCP-species-checked": "guaranteed", "IHCP-species-dilution-info": "", "IHCP-species-notes": "" } } }

Properties and storage information

Form
Liquid
Purification technique
Affinity purification Immunogen
Storage buffer
pH: 7.2 Preservative: 0.02% Sodium azide Constituents: PBS
Shipped at conditions
Blue Ice
Appropriate short-term storage conditions
+4°C
Appropriate long-term storage conditions
+4°C

Supplementary information

This supplementary information is collated from multiple sources and compiled automatically.

ANP32E also known as acidic leucine-rich nuclear phosphoprotein 32 family member E is a protein with a mass of approximately 29 kDa. This protein plays an important role in chromatin remodeling and regulation of gene expression by acting as a histone chaperone. ANP32E is intensely expressed in the nuclear compartment of numerous cell types with significant presence in tissues like the brain and testis. It participates in critical cellular functions that influence DNA accessibility for transcription and replication.
Biological function summary

ANP32E is involved in chromatin dynamics within cells. As part of the INHAT (Inhibitor of Histone Acetyltransferases) complex ANP32E directly interacts with histones to modulate their acetylation status. This process impacts the way genes are presented for transcription. By regulating histone acetylation ANP32E affects gene expression patterns thereby influencing cellular processes such as proliferation and differentiation.

Pathways

ANP32E is deeply involved in the DNA damage response and chromatin modification pathways. It interacts closely with proteins like histone H2A.Z during chromatin remodeling contributing to proper DNA repair mechanisms. ANP32E also affects the cell cycle regulation through its modulation of acetylation status impacting diverse biological pathways essential for cellular function and stability.

ANP32E has significant implications for cancer and neurodegenerative diseases. In cancer ANP32E dysregulation can lead to abnormal cell proliferation and tumor progression. Its interactions with proteins involved in chromatin remodeling are critical for maintaining genomic stability which is often disrupted in oncogenesis. In neurodegenerative conditions changes in ANP32E expression or function could contribute to altered gene expression patterns associated with disease development and progression.

Product protocols

For this product, it's our understanding that no specific protocols are required. You can visit:

Target data

Histone chaperone that specifically mediates the genome-wide removal of histone H2A.Z/H2AZ1 from the nucleosome : removes H2A.Z/H2AZ1 from its normal sites of deposition, especially from enhancer and insulator regions. Not involved in deposition of H2A.Z/H2AZ1 in the nucleosome. May stabilize the evicted H2A.Z/H2AZ1-H2B dimer, thus shifting the equilibrium towards dissociation and the off-chromatin state (PubMed : 24463511). Inhibits activity of protein phosphatase 2A (PP2A). Does not inhibit protein phosphatase 1. May play a role in cerebellar development and synaptogenesis.
See full target information ANP32E

Publications (13)

Recent publications for all applications. Explore the full list and refine your search

Nature communications 16:4602 PubMed40382323

2025

ANP32E drives vulnerability to ATR inhibitors by inducing R-loops-dependent transcription replication conflicts in triple negative breast cancer.

Applications

Unspecified application

Species

Unspecified reactive species

Sara Lago,Vittoria Poli,Lisa Fol,Mattia Botteon,Federica Busi,Alice Turdo,Miriam Gaggianesi,Yari Ciani,Giacomo D'Amato,Luca Fagnocchi,Alessandra Fasciani,Francesca Demichelis,Matilde Todaro,Alessio Zippo

International heart journal 65:475-486 PubMed38825493

2024

Aspirin and Celecoxib Regulate Notch1/Hes1 Pathway to Prevent Pressure Overload-Induced Myocardial Hypertrophy.

Applications

Unspecified application

Species

Unspecified reactive species

Minghui Wei,Ziyu Lu,Haifeng Zhang,Xiaomei Fan,Xin Zhang,Bihui Jiang,Jianying Li,Mingming Xue

Open life sciences 19:20220817 PubMed38585643

2024

Knockdown of ANP32E inhibits colorectal cancer cell growth and glycolysis by regulating the AKT/mTOR pathway.

Applications

Unspecified application

Species

Unspecified reactive species

Jiaojiao Liu,Yanchao Liu,Qi Zhao

Molecular and cellular biology 44:72-85 PubMed38482865

2024

ANP32e Binds Histone H2A.Z in a Cell Cycle-Dependent Manner and Regulates Its Protein Stability in the Cytoplasm.

Applications

Unspecified application

Species

Unspecified reactive species

Yasmin Dijkwel,Gene Hart-Smith,Sebastian Kurscheid,David J Tremethick

International journal of biological sciences 18:5897-5912 PubMed36263179

2022

Anp32e promotes renal interstitial fibrosis by upregulating the expression of fibrosis-related proteins.

Applications

Unspecified application

Species

Unspecified reactive species

Ju Wei,Yi Shan,Zheng Xiao,Lu Wen,Yilin Tao,Xi Fang,Hanwen Luo,Chengyuan Tang,Ying Li

Molecular medicine reports 26: PubMed35795988

2022

ANP32E contributes to gastric cancer progression via NUF2 upregulation.

Applications

Unspecified application

Species

Unspecified reactive species

Xiaowen Zhu,Yumin Zou,Tong Wu,Jian Ni,Qingyun Tan,Qingdong Wang,Meijia Zhang

Disease markers 2022:5791471 PubMed35280441

2022

ANP32 Family as Diagnostic, Prognostic, and Therapeutic Biomarker Related to Immune Infiltrates in Hepatocellular Carcinoma.

Applications

Unspecified application

Species

Unspecified reactive species

Xuxu Liu,Yuanhang He,Pengfei Wang,Jie Hu,Chenjun Hao,Qiang Wang,Yang Yang,Yuanyuan Sun,Biao Ma,Hezheng Sun,Dongbo Xue,Xianzhi Meng

Cell reports 36:109551 PubMed34407406

2021

The histone chaperone Anp32e regulates memory formation, transcription, and dendritic morphology by regulating steady-state H2A.Z binding in neurons.

Applications

Unspecified application

Species

Unspecified reactive species

Gilda Stefanelli,Claire E Makowski,Mark A Brimble,Meaghan Hall,Anas Reda,Samantha D Creighton,Amanda M Leonetti,Timothy A B McLean,Jacqueline M Zakaria,Jennet Baumbach,Celeste B Greer,Andrew M Davidoff,Brandon J Walters,Patrick J Murphy,Iva B Zovkic

BMC cancer 20:1065 PubMed33148205

2020

Over-expression of ANP32E is associated with poor prognosis of pancreatic cancer and promotes cell proliferation and migration through regulating β-catenin.

Applications

Unspecified application

Species

Unspecified reactive species

Jianwei Zhang,Zhongmin Lan,Guotong Qiu,Hu Ren,Yajie Zhao,Zongting Gu,Zongze Li,Lin Feng,Jin He,Chengfeng Wang

Gene 750:144681 PubMed32304784

2020

Up-regulated ANP32E promotes the thyroid carcinoma cell proliferation and migration via activating AKT/mTOR/HK2-mediated glycolysis.

Applications

Unspecified application

Species

Unspecified reactive species

Junwei Huang,Wen Gao,Hongfei Liu,Gaofei Yin,Hanyuan Duan,Zhigang Huang,Yang Zhang
View all publications

Product promise

We are committed to supporting your work with high-quality reagents, and we're here for you every step of the way. In the unlikely event that one of our products does not perform as expected, you're protected by our Product Promise.
For full details, please see our Terms & Conditions

Please note: All products are 'FOR RESEARCH USE ONLY. NOT FOR USE IN DIAGNOSTIC OR THERAPEUTIC PROCEDURES'.

For licensing inquiries, please contact partnerships@abcam.com