JavaScript is disabled in your browser. Please enable JavaScript to view this website.
AB324142

Anti-ANP32E antibody [EPR29188-30]

  • BOND RX™ Validated
  • RabMAb
  • Recombinant
  • 20ul selling size
  • Advanced Validation
  • What is this?

Be the first to review this product! Submit a review

|

(0 Publication)

Rabbit Recombinant Monoclonal ANP32E antibody. Suitable for IHC-P, WB, IP, ChIP-seq, ChIC/CUT&RUN-seq and reacts with Human, Mouse samples.

View Alternative Names

Acidic leucine-rich nuclear phosphoprotein 32 family member E, LANP-like protein, LANP-L, ANP32E

15 Images
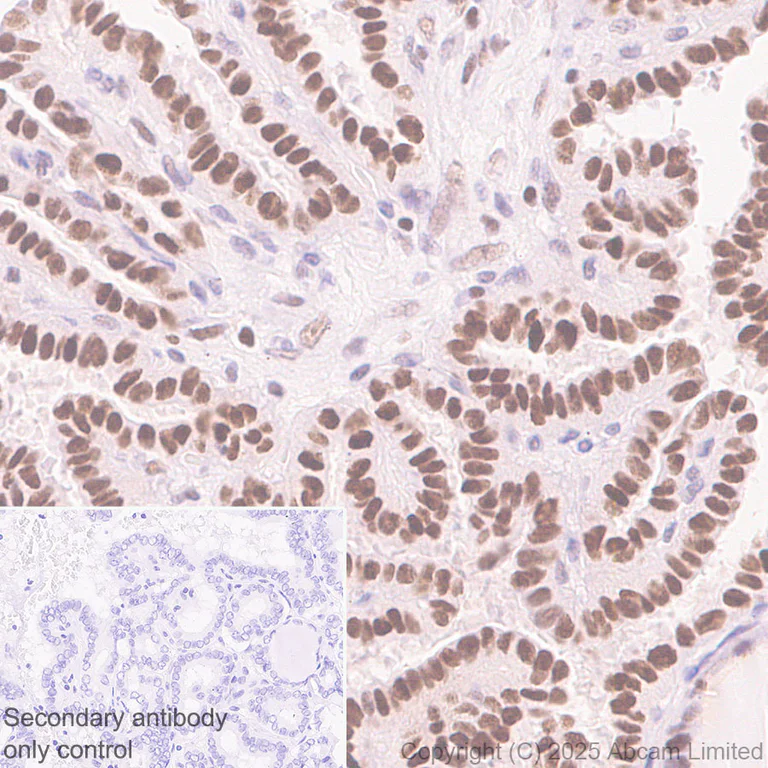
Immunohistochemistry (Formalin/PFA-fixed paraffin-embedded sections) - Anti-ANP32E antibody [EPR29188-30] (AB324142)
  • IHC-P

Supplier Data

Immunohistochemistry (Formalin/PFA-fixed paraffin-embedded sections) - Anti-ANP32E antibody [EPR29188-30] (AB324142)

Immunohistochemical analysis of paraffin-embedded Human tonsil tissue labeling ANP32E with ab324142 at 1/200 (2.335 ug/ml) dilution, followed by a ready to use LeicaDS9800 (Bond™ Polymer Refine Detection).

Positive staining on human tonsil. The section was incubated with ab324142 for 30 mins at room temperature.
The immunostaining was performed on a Leica Biosystems BOND® RX instrument

Counterstained with Hematoxylin.

Secondary antibody only control : Secondary antibody is a ready to use LeicaDS9800 (Bond™ Polymer Refine Detection).

Heat mediated antigen retrieval was performed with Tris-EDTA buffer (pH 9.0, Epitope Retrieval Solution2) for 20 mins

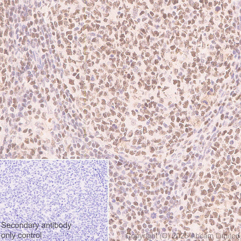
Immunohistochemistry (Formalin/PFA-fixed paraffin-embedded sections) - Anti-ANP32E antibody [EPR29188-30] (AB324142)
  • IHC-P

Supplier Data

Immunohistochemistry (Formalin/PFA-fixed paraffin-embedded sections) - Anti-ANP32E antibody [EPR29188-30] (AB324142)

Immunohistochemical analysis of paraffin-embedded Human thyroid carcinoma tissue labeling ANP32E with ab324142 at 1/200 (2.335 ug/ml) dilution, followed by a ready to use LeicaDS9800 (Bond™ Polymer Refine Detection).

Positive staining on human thyroid carcinoma. The section was incubated with ab324142 for 30 mins at room temperature.
The immunostaining was performed on a Leica Biosystems BOND® RX instrument

Counterstained with Hematoxylin.

Secondary antibody only control : Secondary antibody is a ready to use LeicaDS9800 (Bond™ Polymer Refine Detection).

Heat mediated antigen retrieval was performed with Tris-EDTA buffer (pH 9.0, Epitope Retrieval Solution2) for 20 mins

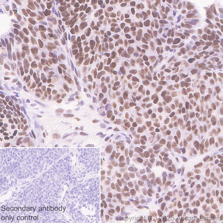
Immunohistochemistry (Formalin/PFA-fixed paraffin-embedded sections) - Anti-ANP32E antibody [EPR29188-30] (AB324142)
  • IHC-P

Supplier Data

Immunohistochemistry (Formalin/PFA-fixed paraffin-embedded sections) - Anti-ANP32E antibody [EPR29188-30] (AB324142)

Immunohistochemical analysis of paraffin-embedded Mouse breast carcinoma tissue labeling ANP32E with ab324142 at 1/500 (0.934 ug/ml) dilution, followed by a ready to use LeicaDS9800 (Bond™ Polymer Refine Detection).

Positive staining on mouse breast carcinoma. The section was incubated with ab324142 for 30 mins at room temperature.
The immunostaining was performed on a Leica Biosystems BOND® RX instrument

Counterstained with Hematoxylin.

Secondary antibody only control : Secondary antibody is a ready to use LeicaDS9800 (Bond™ Polymer Refine Detection).

Heat mediated antigen retrieval was performed with Tris-EDTA buffer (pH 9.0, Epitope Retrieval Solution2) for 20 mins

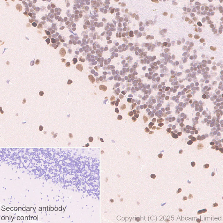
Immunohistochemistry (Formalin/PFA-fixed paraffin-embedded sections) - Anti-ANP32E antibody [EPR29188-30] (AB324142)
  • IHC-P

Supplier Data

Immunohistochemistry (Formalin/PFA-fixed paraffin-embedded sections) - Anti-ANP32E antibody [EPR29188-30] (AB324142)

Immunohistochemical analysis of paraffin-embedded Mouse cerebellum tissue labeling ANP32E with ab324142 at 1/500 (0.934 ug/ml) dilution, followed by a ready to use LeicaDS9800 (Bond™ Polymer Refine Detection).

Positive staining on mouse cerebellum. The section was incubated with ab324142 for 30 mins at room temperature.
The immunostaining was performed on a Leica Biosystems BOND® RX instrument

Counterstained with Hematoxylin.

Secondary antibody only control : Secondary antibody is a ready to use LeicaDS9800 (Bond™ Polymer Refine Detection).

Heat mediated antigen retrieval was performed with Tris-EDTA buffer (pH 9.0, Epitope Retrieval Solution2) for 20 mins

ChIP-sequencing - Anti-ANP32E antibody [EPR29188-30] (AB324142)
  • ChIP-seq

Supplier Data

ChIP-sequencing - Anti-ANP32E antibody [EPR29188-30] (AB324142)

Chromatin was prepared from MEF cells. Cells were fixed with 1% formaldehyde for 10 minutes. ChIP was performed with 107 cells and 8 ug of ab324142 [EPR29188-30]. ChIP DNA was sequenced on the Illumina NovaSeq 6000 to a depth of 30 million reads. The Input control is also shown.

Immunoprecipitation - Anti-ANP32E antibody [EPR29188-30] (AB324142)
  • IP

Supplier Data

Immunoprecipitation - Anti-ANP32E antibody [EPR29188-30] (AB324142)

ANP32E was immunoprecipitated from 0.35 mg MEF (mouse embryo fibroblast) whole cell lysate with ab324142 at 1/30 dilution (2ug in 0.35mg lysates). Western blot was performed on the immunoprecipitate using ab324142 at 1/1000 dilution.

Blocking and dilution buffer and concentration : 5% NFDM/TBST

All lanes:

Immunoprecipitation - Anti-ANP32E antibody [EPR29188-30] (ab324142) at 1/1000 dilution

Lane 1:

MEF (mouse embryo fibroblast) whole cell lysate() at 10 µg

Lane 2:

ab324142 IP in MEF (mouse embryo fibroblast) whole cell lysate

Lane 3:

Rabbit monoclonal IgG (<a href='/en-us/products/primary-antibodies/rabbit-igg-monoclonal-epr25a-isotype-control-ab172730'>ab172730</a>) instead of ab324142 in MEF whole cell lysate

Secondary

All lanes:

Immunoprecipitation - VeriBlot for IP Detection Reagent (HRP) (<a href='/en-us/products/reagents/veriblot-for-ip-detection-reagent-hrp-ab131366'>ab131366</a>) at 1/5000 dilution

Observed band size: 31 kDa

false

Exposure time: 24s

ChIP-sequencing - Anti-ANP32E antibody [EPR29188-30] (AB324142)
  • ChIP-seq

Supplier Data

ChIP-sequencing - Anti-ANP32E antibody [EPR29188-30] (AB324142)

Chromatin was prepared from MEF cells. Cells were fixed with 1% formaldehyde for 10 minutes. ChIP was performed with 107 cells and 8 ug of ab324142 [EPR29188-30]. ChIP DNA was sequenced on the Illumina NovaSeq 6000 to a depth of 30 million reads. The Input control is also shown.

ChIP-sequencing - Anti-ANP32E antibody [EPR29188-30] (AB324142)
  • ChIP-seq

Supplier Data

ChIP-sequencing - Anti-ANP32E antibody [EPR29188-30] (AB324142)

Chromatin was prepared from MEF cells. Cells were fixed with 1% formaldehyde for 10 minutes. ChIP was performed with 107 cells and 8 ug of ab324142 [EPR29188-30]. ChIP DNA was sequenced on the Illumina NovaSeq 6000 to a depth of 30 million reads. The Input control is also shown.

Western blot - Anti-ANP32E antibody [EPR29188-30] (AB324142)
  • WB

Supplier Data

Western blot - Anti-ANP32E antibody [EPR29188-30] (AB324142)

Blocking and diluting buffer and concentration : 5% NFDM/TBST.

Lanes 1-2 are applied with Goat Anti-Rabbit IgG (HRP) with minimal cross reactivity with human IgG at 1/2000 and lanes 3-6 are applied with Goat Anti-Rabbit IgG, (H+L), Peroxidase conjugated (ab97051) at 1/20000.

Exposure time : Lanes 1-2 : 180 seconds; Lanes 3-6 : 26 seconds.

All lanes:

Western blot - Anti-ANP32E antibody [EPR29188-30] (ab324142) at 1/1000 dilution

Lane 1:

Human breast tissue lysate at 20 µg

Lane 2:

Human testis tissue lysate at 20 µg

Lane 3:

MCF7 (human breast adenocarcinoma epithelial cell) whole cell lysate at 20 µg

Lane 4:

293T (human embryonic kidney epithelial cell) whole cell lysate at 20 µg

Lane 5:

SR (human pleural effusion lymphoblast) whole cell lysate at 20 µg

Lane 6:

AsPC-1 (human Pancreas epithelial cell) whole cell lysate at 20 µg

Secondary

Lanes 1 - 2:

Goat Anti-Rabbit IgG (HRP) with minimal cross-reactivity with human IgG at 1/2000 dilution

Lanes 3 - 6:

Western blot - Goat Anti-Rabbit IgG H&L (HRP) (<a href='/en-us/products/secondary-antibodies/goat-rabbit-igg-h-l-hrp-ab97051'>ab97051</a>) at 1/20000 dilution

Observed band size: 31 kDa

false

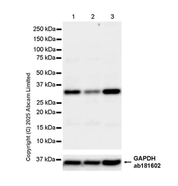
Western blot - Anti-ANP32E antibody [EPR29188-30] (AB324142)
  • WB

Supplier Data

Western blot - Anti-ANP32E antibody [EPR29188-30] (AB324142)

Blocking and diluting buffer and concentration : 5% NFDM/TBST.

In Western blot, Anti-GAPDH antibody [EPR16891] - Loading Control (ab181602) staining at 1/200000 dilution.

All lanes:

Western blot - Anti-ANP32E antibody [EPR29188-30] (ab324142) at 1/1000 dilution

Lane 1:

HepG2 (human hepatocellular carcinoma epithelial cell) transfected with scrambled siRNA control whole cell lysate at 20 µg

Lane 2:

HepG2 transfected with siRNA specifically targeting ANP32E whole cell lysate at 20 µg

Lane 3:

HeLa (human cervical adenocarcinoma epithelial cell) whole cell lysate at 20 µg

Secondary

All lanes:

Western blot - Goat Anti-Rabbit IgG H&L (HRP) (<a href='/en-us/products/secondary-antibodies/goat-rabbit-igg-h-l-hrp-ab97051'>ab97051</a>) at 1/20000 dilution

Observed band size: 31 kDa,36 kDa

false

Exposure time: 26s

Western blot - Anti-ANP32E antibody [EPR29188-30] (AB324142)
  • WB

Supplier Data

Western blot - Anti-ANP32E antibody [EPR29188-30] (AB324142)

Blocking and diluting buffer and concentration : 5% NFDM/TBST.

Exposure time : Lanes 1-4 : 37 seconds; Lanes 5-6 : 10 seconds.

All lanes:

Western blot - Anti-ANP32E antibody [EPR29188-30] (ab324142) at 1/1000 dilution

Lane 1:

Mouse cerebellum tissue lysate at 20 µg

Lane 2:

Mouse testis tissue lysate at 20 µg

Lane 3:

Mouse breast tissue lysate at 20 µg

Lane 4:

MEF (mouse embryo fibroblast) whole cell lysate at 20 µg

Lane 5:

NIH/3T3 (mouse embryonic fibroblast) whole cell lysate at 20 µg

Lane 6:

C2C12 (mouse myoblast) whole cell lysate at 20 µg

Secondary

All lanes:

Western blot - Goat Anti-Rabbit IgG H&L (HRP) (<a href='/en-us/products/secondary-antibodies/goat-rabbit-igg-h-l-hrp-ab97051'>ab97051</a>) at 1/20000 dilution

Observed band size: 31 kDa

false

ChIC/CUT&RUN sequencing - Anti-ANP32E antibody [EPR29188-30] (AB324142)
  • ChIC/CUT&RUN-seq

Supplier Data

ChIC/CUT&RUN sequencing - Anti-ANP32E antibody [EPR29188-30] (AB324142)

ChIC/CUT&RUN was performed using a pAG-MNase at a final concentration of 700 ng/mL, 2.5 x 105 MEF (mouse embryo fibroblast) cells and 5 ug of ab324142 [EPR29188-30]. The resulting DNA was sequenced on the Illumina NovaSeq 6000 to a depth of 10 million reads. The negative IgG control ab172730 is also shown.

The University of Geneva owns patents relevant to ChIC (Chromatin Immuno-Cleavage) methods.

ChIC/CUT&RUN sequencing - Anti-ANP32E antibody [EPR29188-30] (AB324142)
  • ChIC/CUT&RUN-seq

Supplier Data

ChIC/CUT&RUN sequencing - Anti-ANP32E antibody [EPR29188-30] (AB324142)

ChIC/CUT&RUN was performed using a pAG-MNase at a final concentration of 700 ng/mL, 2.5 x 105 MEF (mouse embryo fibroblast) cells and 5 ug of ab324142 [EPR29188-30]. The resulting DNA was sequenced on the Illumina NovaSeq 6000 to a depth of 10 million reads. The negative IgG control ab172730 is also shown.

The University of Geneva owns patents relevant to ChIC (Chromatin Immuno-Cleavage) methods.

ChIC/CUT&RUN sequencing - Anti-ANP32E antibody [EPR29188-30] (AB324142)
  • ChIC/CUT&RUN-seq

Supplier Data

ChIC/CUT&RUN sequencing - Anti-ANP32E antibody [EPR29188-30] (AB324142)

ChIC/CUT&RUN was performed using a pAG-MNase at a final concentration of 700 ng/mL, 2.5 x 105 MEF (mouse embryo fibroblast) cells and 5 ug of ab324142 [EPR29188-30]. The resulting DNA was sequenced on the Illumina NovaSeq 6000 to a depth of 10 million reads. The negative IgG control ab172730 is also shown.

The University of Geneva owns patents relevant to ChIC (Chromatin Immuno-Cleavage) methods.

Western blot - Anti-ANP32E antibody [EPR29188-30] (AB324142)
  • WB

Supplier Data

Western blot - Anti-ANP32E antibody [EPR29188-30] (AB324142)

Blocking and diluting buffer and concentration : 5% NFDM/TBST.

This antibody does not cross-react with recombinant human ANP32A, ANP32B or ANP32D by western blot.

In Western blot, Anti-6X His tag® antibody [EPR20547] - ChIP Grade (ab213204) staining at 1/5000 dilution.

All lanes:

Western blot - Anti-ANP32E antibody [EPR29188-30] (ab324142) at 1/1000 dilution

Lane 1:

His-tagged human ANP32E recombinant protein at 10 ng

Lane 2:

His-tagged human ANP32A recombinant protein at 10 ng

Lane 3:

His-tagged human ANP32B recombinant protein at 10 ng

Lane 4:

His-tagged human ANP32D recombinant protein at 10 ng

Secondary

All lanes:

Western blot - Goat Anti-Rabbit IgG H&L (HRP) (<a href='/en-us/products/secondary-antibodies/goat-rabbit-igg-h-l-hrp-ab97051'>ab97051</a>) at 1/20000 dilution

Observed band size: 14 kDa,15 kDa

false

Exposure time: 26s

Key facts

Host species

Rabbit

Clonality

Monoclonal

Clone number

EPR29188-30

Isotype

IgG

Carrier free

No

Reacts with

Mouse, Human

Applications

WB, IP, ChIC/CUT&RUN-seq, ChIP-seq, IHC-P

applications

Immunogen

The exact immunogen used to generate this antibody is proprietary information.

Specificity

Unsuitable for human IP.

Reactivity data

{ "title": "Reactivity Data", "filters": { "stats": ["", "Species", "Dilution Info", "Notes"], "tabs": { "all-applications": {"fullname" : "All Applications", "shortname": "All Applications"}, "IHCP" : {"fullname" : "Immunohistochemistry (Formalin/PFA-fixed paraffin-embedded sections)", "shortname":"IHC-P"}, "WB" : {"fullname" : "Western blot", "shortname":"WB"}, "IP" : {"fullname" : "Immunoprecipitation", "shortname":"IP"}, "ChIPseq" : {"fullname" : "ChIP-sequencing", "shortname":"ChIP-seq"}, "ChICCUTRUNseq" : {"fullname" : "ChIC/CUT&RUN sequencing", "shortname":"ChIC/CUT&RUN-seq"} }, "product-promise": { "all": "all", "testedAndGuaranteed": "tested", "guaranteed": "expected", "predicted": "predicted", "notRecommended": "not-recommended" } }, "values": { "Human": { "IHCP-species-checked": "testedAndGuaranteed", "IHCP-species-dilution-info": "1/200", "IHCP-species-notes": "<p></p> Perform heat-mediated antigen retrieval with Tris/EDTA buffer pH 9.0 before commencing with IHC staining protocol.", "WB-species-checked": "testedAndGuaranteed", "WB-species-dilution-info": "1/1000", "WB-species-notes": "<p></p>", "IP-species-checked": "notRecommended", "IP-species-dilution-info": "", "IP-species-notes": "<p></p>", "ChIPseq-species-checked": "guaranteed", "ChIPseq-species-dilution-info": "", "ChIPseq-species-notes": "", "ChICCUTRUNseq-species-checked": "guaranteed", "ChICCUTRUNseq-species-dilution-info": "", "ChICCUTRUNseq-species-notes": "" }, "Mouse": { "IHCP-species-checked": "testedAndGuaranteed", "IHCP-species-dilution-info": "1/500", "IHCP-species-notes": "<p></p> Perform heat-mediated antigen retrieval with Tris/EDTA buffer pH 9.0 before commencing with IHC staining protocol.", "WB-species-checked": "testedAndGuaranteed", "WB-species-dilution-info": "1/1000", "WB-species-notes": "<p></p>", "IP-species-checked": "testedAndGuaranteed", "IP-species-dilution-info": "1/30", "IP-species-notes": "<p></p>", "ChIPseq-species-checked": "testedAndGuaranteed", "ChIPseq-species-dilution-info": "8 µg for 10^7 Cells", "ChIPseq-species-notes": "<p></p>", "ChICCUTRUNseq-species-checked": "testedAndGuaranteed", "ChICCUTRUNseq-species-dilution-info": "5 µg", "ChICCUTRUNseq-species-notes": "<p></p>" } } }

Product details

Patented technology
Our RabMAb® technology is a patented hybridoma-based technology for making rabbit monoclonal antibodies. For details on our patents, please refer to RabMAb® patents.

What are the advantages of a recombinant monoclonal antibody?
This product is a recombinant monoclonal antibody, which offers several advantages including:

  • - High batch-to-batch consistency and reproducibility
  • - Improved sensitivity and specificity
  • - Long-term security of supply
  • - Animal-free batch production

For more information, read more on recombinant antibodies.

Properties and storage information

Form
Liquid
Purification technique
Affinity purification Protein A
Storage buffer
pH: 7.2 - 7.4 Preservative: 0.01% Sodium azide Constituents: PBS, 40% Glycerol (glycerin, glycerine), 0.05% BSA
Shipped at conditions
Blue Ice
Appropriate short-term storage duration
1-2 weeks
Appropriate short-term storage conditions
+4°C
Appropriate long-term storage conditions
-20°C
Aliquoting information
Upon delivery aliquot
Storage information
Avoid freeze / thaw cycle

Product protocols

For this product, it's our understanding that no specific protocols are required. You can visit:

Target data

Histone chaperone that specifically mediates the genome-wide removal of histone H2A.Z/H2AZ1 from the nucleosome : removes H2A.Z/H2AZ1 from its normal sites of deposition, especially from enhancer and insulator regions. Not involved in deposition of H2A.Z/H2AZ1 in the nucleosome. May stabilize the evicted H2A.Z/H2AZ1-H2B dimer, thus shifting the equilibrium towards dissociation and the off-chromatin state (PubMed : 24463511). Inhibits activity of protein phosphatase 2A (PP2A). Does not inhibit protein phosphatase 1. May play a role in cerebellar development and synaptogenesis.
See full target information ANP32E

Product promise

We are committed to supporting your work with high-quality reagents, and we're here for you every step of the way. In the unlikely event that one of our products does not perform as expected, you're protected by our Product Promise.
For full details, please see our Terms & Conditions

Please note: All products are 'FOR RESEARCH USE ONLY. NOT FOR USE IN DIAGNOSTIC OR THERAPEUTIC PROCEDURES'.

For licensing inquiries, please contact partnerships@abcam.com