JavaScript is disabled in your browser. Please enable JavaScript to view this website.
AB209224

Anti-Anterior Gradient 2 antibody [EPR20164-278]

Be the first to review this product! Submit a review

|

(5 Publications)

Rabbit Recombinant Monoclonal Anterior Gradient 2 antibody. Suitable for WB, ICC/IF, Flow Cyt (Intra), IHC-P and reacts with Rat, Mouse, Human, Recombinant fragment samples. Cited in 5 publications.

View Alternative Names

AG2, UNQ515/PRO1030, AGR2, Anterior gradient protein 2 homolog, AG-2, hAG-2, HPC8, Secreted cement gland protein XAG-2 homolog

11 Images
Immunohistochemistry (Formalin/PFA-fixed paraffin-embedded sections) - Anti-Anterior Gradient 2 antibody [EPR20164-278] (AB209224)
  • IHC-P

Supplier Data

Immunohistochemistry (Formalin/PFA-fixed paraffin-embedded sections) - Anti-Anterior Gradient 2 antibody [EPR20164-278] (AB209224)

Immunohistochemical analysis of paraffin-embedded human ovary cancer tissue labeling Anterior Gradient 2 with ab209224 at 1/1000 dilution followed by Goat Anti-Rabbit IgG H&L (HRP) (ab97051) at 1/500 dilution.

Cytoplasmic staining on human ovary cancer is observed [PMID : 22752467].

Counter stained with Hematoxylin.

Secondary antibody only control : Used PBS instead of primary antibody secondary antibody is Goat Anti-Rabbit IgG H&L (HRP) (ab97051) at 1/500 dilution.

Perform heat mediated antigen retrieval with Tris/EDTA buffer pH 9.0 before commencing with IHC staining protocol.

Immunohistochemistry (Formalin/PFA-fixed paraffin-embedded sections) - Anti-Anterior Gradient 2 antibody [EPR20164-278] (AB209224)
  • IHC-P

Supplier Data

Immunohistochemistry (Formalin/PFA-fixed paraffin-embedded sections) - Anti-Anterior Gradient 2 antibody [EPR20164-278] (AB209224)

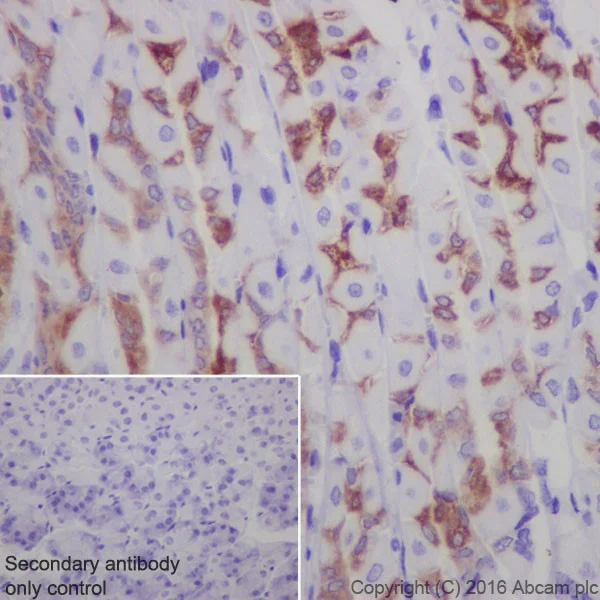
Immunohistochemical analysis of paraffin-embedded mouse stomach tissue labeling Anterior Gradient 2 with ab209224 at 1/1000 dilution followed by Goat Anti-Rabbit IgG H&L (HRP) (ab97051) at 1/500 dilution.

Cytoplasmic staining on mouse stomach is observed.

Counter stained with Hematoxylin.

Secondary antibody only control : Used PBS instead of primary antibody secondary antibody is Goat Anti-Rabbit IgG H&L (HRP) (ab97051) at 1/500 dilution.

Perform heat mediated antigen retrieval with Tris/EDTA buffer pH 9.0 before commencing with IHC staining protocol.

Immunohistochemistry (Formalin/PFA-fixed paraffin-embedded sections) - Anti-Anterior Gradient 2 antibody [EPR20164-278] (AB209224)
  • IHC-P

Supplier Data

Immunohistochemistry (Formalin/PFA-fixed paraffin-embedded sections) - Anti-Anterior Gradient 2 antibody [EPR20164-278] (AB209224)

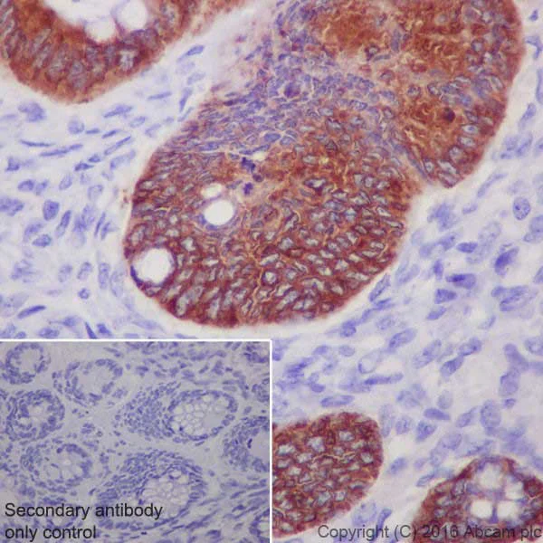
Immunohistochemical analysis of paraffin-embedded human pancreas tissue labeling Anterior Gradient 2 with ab209224 at 1/1000 dilution followed by Goat Anti-Rabbit IgG H&L (HRP) (ab97051) at 1/500 dilution.

Negative control : human pancreas [PMID : 20550709].

Counter stained with Hematoxylin.

Perform heat mediated antigen retrieval with Tris/EDTA buffer pH 9.0 before commencing with IHC staining protocol.

Flow Cytometry (Intracellular) - Anti-Anterior Gradient 2 antibody [EPR20164-278] (AB209224)
  • Flow Cyt (Intra)

Supplier Data

Flow Cytometry (Intracellular) - Anti-Anterior Gradient 2 antibody [EPR20164-278] (AB209224)

Intracellular flow cytometric analysis of 4% paraformaldehyde-fixed HeLa (Human epithelial cell line from cervix adenocarcinoma) cells labeling Anterior Gradient 2 with ab209224 at 1/70 dilution (red) compared with a rabbit monoclonal IgG isotype control (ab172730; black) and an unlabelled control (cells without incubation with primary antibody and secondary antibody; blue). Goat anti rabbit IgG (Alexa Fluor® 488) at 1/2000 dilution was used as the secondary antibody.

Negative control : HeLa

Immunocytochemistry/ Immunofluorescence - Anti-Anterior Gradient 2 antibody [EPR20164-278] (AB209224)
  • ICC/IF

Supplier Data

Immunocytochemistry/ Immunofluorescence - Anti-Anterior Gradient 2 antibody [EPR20164-278] (AB209224)

Immunofluorescent analysis of 4% paraformaldehyde-fixed 0.1% Triton X-100 permeabilized MCF7 (Human breast adenocarcinoma cell line) and HeLa (Human epithelial cell line from cervix adenocarcinoma) cells labeling Anterior Gradient 2 with ab209224 at 1/500 dilution followed by Goat anti-rabbit IgG (Alexa Fluor® 488) (ab150077) secondary antibody at 1/1000 dilution (green).

Confocal image showing cytoplasmic staining on MCF7 cell line.

Negative control : HeLa (PMID : 16551856).

The nuclear counterstain is DAPI (blue).

Tubulin is detected with ab195889 (Anti-alpha Tubulin antibody [DM1A] - Microtubule Marker (Alexa Fluor® 594)) at 1/200 dilution (red).

Secondary antibody only control : Used PBS instead of primary antibody secondary antibody is Goat anti-rabbit IgG (Alexa Fluor® 488) (ab150077) at 1/1000 dilution.

Immunohistochemistry (Formalin/PFA-fixed paraffin-embedded sections) - Anti-Anterior Gradient 2 antibody [EPR20164-278] (AB209224)
  • IHC-P

Supplier Data

Immunohistochemistry (Formalin/PFA-fixed paraffin-embedded sections) - Anti-Anterior Gradient 2 antibody [EPR20164-278] (AB209224)

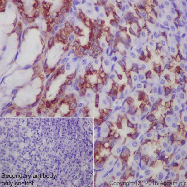
Immunohistochemical analysis of paraffin-embedded human colon tissue labeling Anterior Gradient 2 with ab209224 at 1/1000 dilution followed by Goat Anti-Rabbit IgG H&L (HRP) (ab97051) at 1/500 dilution.

Cytoplasmic staining on human colon is observed [PMID : 24794000].

Counter stained with Hematoxylin.

Secondary antibody only control : Used PBS instead of primary antibody secondary antibody is Goat Anti-Rabbit IgG H&L (HRP) (ab97051) at 1/500 dilution.

Perform heat mediated antigen retrieval with Tris/EDTA buffer pH 9.0 before commencing with IHC staining protocol.

Flow Cytometry (Intracellular) - Anti-Anterior Gradient 2 antibody [EPR20164-278] (AB209224)
  • Flow Cyt (Intra)

Supplier Data

Flow Cytometry (Intracellular) - Anti-Anterior Gradient 2 antibody [EPR20164-278] (AB209224)

Intracellular flow cytometric analysis of 4% paraformaldehyde-fixed MCF7 (Human breast adenocarcinoma cell line) cells labeling Anterior Gradient 2 with ab209224 at 1/70 dilution (red) compared with a rabbit monoclonal IgG isotype control (ab172730; black) and an unlabelled control (cells without incubation with primary antibody and secondary antibody; blue). Goat anti rabbit IgG (Alexa Fluor® 488) at 1/2000 dilution was used as the secondary antibody.

Immunohistochemistry (Formalin/PFA-fixed paraffin-embedded sections) - Anti-Anterior Gradient 2 antibody [EPR20164-278] (AB209224)
  • IHC-P

Supplier Data

Immunohistochemistry (Formalin/PFA-fixed paraffin-embedded sections) - Anti-Anterior Gradient 2 antibody [EPR20164-278] (AB209224)

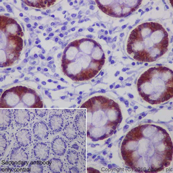
Immunohistochemical analysis of paraffin-embedded rat stomach tissue labeling Anterior Gradient 2 with ab209224 at 1/1000 dilution followed by Goat Anti-Rabbit IgG H&L (HRP) (ab97051) at 1/500 dilution.

Cytoplasmic staining on rat stomach is observed.

Counter stained with Hematoxylin.

Secondary antibody only control : Used PBS instead of primary antibody secondary antibody is Goat Anti-Rabbit IgG H&L (HRP) (ab97051) at 1/500 dilution.

Perform heat mediated antigen retrieval with Tris/EDTA buffer pH 9.0 before commencing with IHC staining protocol.

Western blot - Anti-Anterior Gradient 2 antibody [EPR20164-278] (AB209224)
  • WB

Supplier Data

Western blot - Anti-Anterior Gradient 2 antibody [EPR20164-278] (AB209224)

Blocking/Dilution buffer : 5% NFDM/TBST.

Exposure time : Lane 1 : 10 seconds; Lane 2 : 3 minutes.

Human AGR2 recombinant protein contains aa21-175 with a His-tag, and human AGR3 recombinant protein contains aa21-166 with GST-tag.

All lanes:

Western blot - Anti-Anterior Gradient 2 antibody [EPR20164-278] (ab209224) at 1/2000 dilution

Lane 1:

Human AGR2 recombinant protein at 0.01 µg

Lane 2:

Human AGR3 recombinant protein at 0.01 µg

Secondary

All lanes:

Western blot - Goat Anti-Rabbit IgG H&L (HRP) (<a href='/en-us/products/secondary-antibodies/goat-rabbit-igg-h-l-hrp-ab97051'>ab97051</a>) at 1/100000 dilution

Predicted band size: 19 kDa

Observed band size: 17 kDa

false

Western blot - Anti-Anterior Gradient 2 antibody [EPR20164-278] (AB209224)
  • WB

Supplier Data

Western blot - Anti-Anterior Gradient 2 antibody [EPR20164-278] (AB209224)

Blocking/Dilution buffer : 5% NFDM/TBST.

Exposure time : Lane 1-3 : 3 minutes; Lane 4 : 10 seconds.

Lanes 1 - 3:

Western blot - Anti-Anterior Gradient 2 antibody [EPR20164-278] (ab209224) at 1/1000 dilution

Lane 4:

Western blot - Anti-Anterior Gradient 2 antibody [EPR20164-278] (ab209224) at 1/2000 dilution

Lane 1:

Mouse stomach lysate at 10 µg

Lane 2:

Rat stomach lysate at 10 µg

Lane 3:

Rat small intestine lysate at 10 µg

Lane 4:

Human stomach lysate at 10 µg

Secondary

Lanes 1 - 3:

Western blot - Goat Anti-Rabbit IgG H&L (HRP) (<a href='/en-us/products/secondary-antibodies/goat-rabbit-igg-h-l-hrp-ab97051'>ab97051</a>) at 1/100000 dilution

Lane 4:

Goat Anti-Rabbit IgG Peroxidase Conjugate, specific to the non-reduced form of IgG at 1/10000 dilution

Predicted band size: 19 kDa

Observed band size: 17 kDa

false

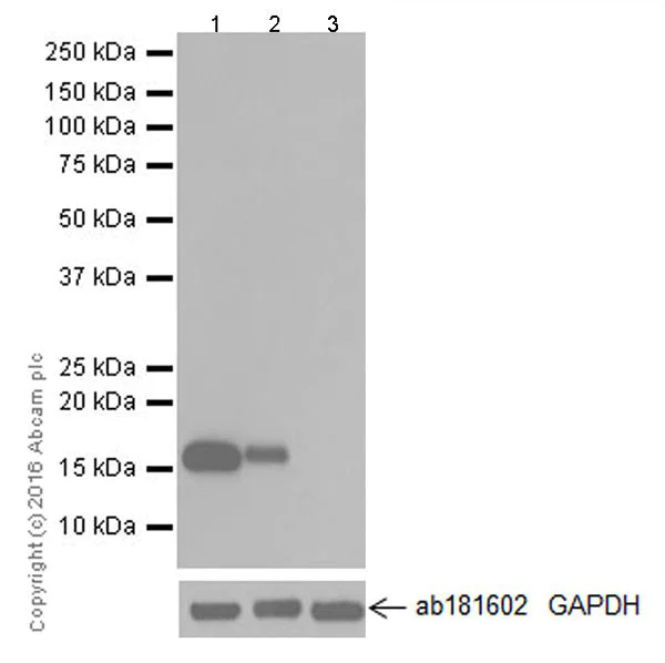
Western blot - Anti-Anterior Gradient 2 antibody [EPR20164-278] (AB209224)
  • WB

Supplier Data

Western blot - Anti-Anterior Gradient 2 antibody [EPR20164-278] (AB209224)

Blocking/Dilution buffer : 5% NFDM/TBST.

Negative control : HeLa (PMID : 16551856).

All lanes:

Western blot - Anti-Anterior Gradient 2 antibody [EPR20164-278] (ab209224) at 1/2000 dilution

Lane 1:

MCF7 (Human breast adenocarcinoma cell line) whole cell lysate at 20 µg

Lane 2:

HT-29 (Human colorectal adenocarcinoma cell line) whole cell lysate at 20 µg

Lane 3:

HeLa (Human epithelial cell line from cervix adenocarcinoma) whole cell lysate at 20 µg

Secondary

All lanes:

Western blot - Goat Anti-Rabbit IgG H&L (HRP) (<a href='/en-us/products/secondary-antibodies/goat-rabbit-igg-h-l-hrp-ab97051'>ab97051</a>) at 1/100000 dilution

Predicted band size: 19 kDa

Observed band size: 17 kDa

false

Exposure time: 10s

  • Carrier free

    Anti-Anterior Gradient 2 antibody [EPR20164-278] - BSA and Azide free

Key facts

Host species

Rabbit

Clonality

Monoclonal

Clone number

EPR20164-278

Isotype

IgG

Carrier free

No

Reacts with

Mouse, Rat, Human

Applications

IHC-P, ICC/IF, Flow Cyt (Intra), WB

applications

Immunogen

The exact immunogen used to generate this antibody is proprietary information.

Reactivity data

{ "title": "Reactivity Data", "filters": { "stats": ["", "Species", "Dilution Info", "Notes"], "tabs": { "all-applications": {"fullname" : "All Applications", "shortname": "All Applications"}, "WB" : {"fullname" : "Western blot", "shortname":"WB"}, "ICCIF" : {"fullname" : "Immunocytochemistry/ Immunofluorescence", "shortname":"ICC/IF"}, "FlowCytIntra" : {"fullname" : "Flow Cytometry (Intracellular)", "shortname":"Flow Cyt (Intra)"}, "IHCP" : {"fullname" : "Immunohistochemistry (Formalin/PFA-fixed paraffin-embedded sections)", "shortname":"IHC-P"} }, "product-promise": { "all": "all", "testedAndGuaranteed": "tested", "guaranteed": "expected", "predicted": "predicted", "notRecommended": "not-recommended" } }, "values": { "Human": { "WB-species-checked": "testedAndGuaranteed", "WB-species-dilution-info": "1/1000", "WB-species-notes": "<p></p>", "ICCIF-species-checked": "testedAndGuaranteed", "ICCIF-species-dilution-info": "1/500", "ICCIF-species-notes": "<p></p>", "FlowCytIntra-species-checked": "testedAndGuaranteed", "FlowCytIntra-species-dilution-info": "1/70", "FlowCytIntra-species-notes": "<p></p>", "IHCP-species-checked": "testedAndGuaranteed", "IHCP-species-dilution-info": "1/1000", "IHCP-species-notes": "<p></p> Perform heat-mediated antigen retrieval with Tris/EDTA buffer pH 9.0 before commencing with IHC staining protocol." }, "Mouse": { "WB-species-checked": "testedAndGuaranteed", "WB-species-dilution-info": "1/1000", "WB-species-notes": "<p></p>", "ICCIF-species-checked": "guaranteed", "ICCIF-species-dilution-info": "", "ICCIF-species-notes": "", "FlowCytIntra-species-checked": "guaranteed", "FlowCytIntra-species-dilution-info": "", "FlowCytIntra-species-notes": "", "IHCP-species-checked": "testedAndGuaranteed", "IHCP-species-dilution-info": "1/1000", "IHCP-species-notes": "<p></p> Perform heat-mediated antigen retrieval with Tris/EDTA buffer pH 9.0 before commencing with IHC staining protocol." }, "Rat": { "WB-species-checked": "testedAndGuaranteed", "WB-species-dilution-info": "1/1000", "WB-species-notes": "<p></p>", "ICCIF-species-checked": "guaranteed", "ICCIF-species-dilution-info": "", "ICCIF-species-notes": "", "FlowCytIntra-species-checked": "guaranteed", "FlowCytIntra-species-dilution-info": "", "FlowCytIntra-species-notes": "", "IHCP-species-checked": "testedAndGuaranteed", "IHCP-species-dilution-info": "1/1000", "IHCP-species-notes": "<p></p> Perform heat-mediated antigen retrieval with Tris/EDTA buffer pH 9.0 before commencing with IHC staining protocol." }, "Recombinant fragment": { "WB-species-checked": "guaranteed", "WB-species-dilution-info": "1/1000", "WB-species-notes": "<p></p>", "ICCIF-species-checked": "guaranteed", "ICCIF-species-dilution-info": "1/500", "ICCIF-species-notes": "<p></p>", "FlowCytIntra-species-checked": "guaranteed", "FlowCytIntra-species-dilution-info": "1/70", "FlowCytIntra-species-notes": "<p></p>", "IHCP-species-checked": "guaranteed", "IHCP-species-dilution-info": "1/1000", "IHCP-species-notes": "<p></p>" } } }

You may be interested in:

AB240687

Human AG-2 ELISA Kit

0

0 Reviews

View product

We recommend this product because it’s often used in the same experiment or related research.

We advise that you always check the datasheet to ensure it fits your experiments, or contact ourtechnical teamfor help.

Product details

Patented technology
Our RabMAb® technology is a patented hybridoma-based technology for making rabbit monoclonal antibodies. For details on our patents, please refer to RabMAb® patents.

What are the advantages of a recombinant monoclonal antibody?
This product is a recombinant monoclonal antibody, which offers several advantages including:

  • - High batch-to-batch consistency and reproducibility
  • - Improved sensitivity and specificity
  • - Long-term security of supply
  • - Animal-free batch production

For more information, read more on recombinant antibodies.

Properties and storage information

Form
Liquid
Purification technique
Affinity purification Protein A
Storage buffer
pH: 7.2 - 7.4 Preservative: 0.01% Sodium azide Constituents: 59% PBS, 40% Glycerol (glycerin, glycerine), 0.05% BSA
Shipped at conditions
Blue Ice
Appropriate short-term storage duration
1-2 weeks
Appropriate short-term storage conditions
+4°C
Appropriate long-term storage conditions
-20°C
Aliquoting information
Upon delivery aliquot
Storage information
Avoid freeze / thaw cycle

Supplementary information

This supplementary information is collated from multiple sources and compiled automatically.

Anterior Gradient 2 (AG2) also known as AGR2 is a protein with a molecular weight of approximately 20 kDa. This protein is a member of the protein disulfide isomerase family and has an important mechanical role in facilitating protein folding within the endoplasmic reticulum. The protein exists mainly in epithelial tissues and notably in the gastrointestinal tract with high expression also found in the pancreas and lungs. AG2 is characterized by its interaction with various client proteins assisting in their proper folding and stability.
Biological function summary

The anterior gradient protein influences cellular processes such as proliferation and differentiation often playing a role in cellular adhesion and migration. This protein does not work alone but instead can form complexes with other molecules enhancing its functional capabilities. Such interactions highlight its significance in maintaining normal cell physiology and response to external stimuli.

Pathways

Anterior gradient protein participates in key signaling pathways including the Wnt signaling pathway and the unfolded protein response (UPR). Through these pathways AG2 associates with proteins like β-catenin influencing gene transcription and cellular outcomes. In the UPR its role is important in managing cellular stress and maintaining homeostasis by regulating protein folding and quality control mechanisms.

Anterior gradient protein shows strong associations with cancer particularly in tumors such as breast and lung cancer where it is often overexpressed. Its involvement links closely with proteins like MUC1 which is found in tumors suggesting a role in promoting cancer progression and metastasis. Additionally AG2 can be related to inflammatory bowel diseases where its dysregulation may result in epithelial barrier dysfunction and contribute to the pathology.

Product protocols

For this product, it's our understanding that no specific protocols are required. You can visit:

Target data

Required for MUC2 post-transcriptional synthesis and secretion. May play a role in the production of mucus by intestinal cells (By similarity). Proto-oncogene that may play a role in cell migration, cell differentiation and cell growth. Promotes cell adhesion (PubMed : 23274113).
See full target information AGR2

Publications (5)

Recent publications for all applications. Explore the full list and refine your search

Mucosal immunology 15:443-458 PubMed35264769

2022

Epithelial GPR35 protects from Citrobacter rodentium infection by preserving goblet cells and mucosal barrier integrity.

Applications

Unspecified application

Species

Unspecified reactive species

Hassan Melhem,Berna Kaya,Tanay Kaymak,Philipp Wuggenig,Emilio Flint,Julien Roux,Koen C Oost,Claudia Cavelti-Weder,Maria L Balmer,Jean-Claude Walser,Rodrigo A Morales,Christian U Riedel,Prisca Liberali,Eduardo J Villablanca,Jan Hendrik Niess

JCI insight 7: PubMed34793335

2022

Resolving the difference between left-sided and right-sided colorectal cancer by single-cell sequencing.

Applications

Unspecified application

Species

Unspecified reactive species

Wei Guo,Cuiyu Zhang,Xia Wang,Dandan Dou,Dawei Chen,Jingxin Li

Cellular and molecular gastroenterology and hepatology 13:1181-1200 PubMed34929421

2021

Desmoplakin Maintains Transcellular Keratin Scaffolding and Protects From Intestinal Injury.

Applications

Unspecified application

Species

Unspecified reactive species

Annika Gross,Biaohuan Zhou,Lisa Bewersdorf,Nicole Schwarz,Gabriel M Schacht,Peter Boor,Konrad Hoeft,Bernd Hoffmann,Elaine Fuchs,Rafael Kramann,Rudolf Merkel,Rudolf E Leube,Pavel Strnad

Drug development research 83:158-166 PubMed34212407

2021

TSPAN1 silencing protects against cerulein-induced pancreatic acinar cell injury via targeting AGR2.

Applications

Unspecified application

Species

Unspecified reactive species

Jing Wang,Jing Huang,Lili Huang

Oncogene 38:3458-3474 PubMed30647455

2019

Proteasome inhibition boosts autophagic degradation of ubiquitinated-AGR2 and enhances the antitumor efficiency of bevacizumab.

Applications

Unspecified application

Species

Unspecified reactive species

Dawei Wang,Qingqing Xu,Quan Yuan,Mengqi Jia,Huanmin Niu,Xiaofei Liu,Jinsan Zhang,Charles Yf Young,Huiqing Yuan
View all publications

Product promise

We are committed to supporting your work with high-quality reagents, and we're here for you every step of the way. In the unlikely event that one of our products does not perform as expected, you're protected by our Product Promise.
For full details, please see our Terms & Conditions

Associated Products

Select an associated product type
Alternative Product
Primary Antibodies

AB227584

Anti-Anterior Gradient 2 antibody

primary-antibodies

anterior-gradient-2-antibody-ab227584

0

(0 reviews)

Alternative Product
Primary Antibodies

AB199044

Alexa Fluor® 488 Anti-Anterior Gradient 2 antibody [EPR3278]

primary-antibodies

alexa-fluor-488-anterior-gradient-2-antibody-epr3278-ab199044

0

(0 reviews)

Alternative Product
Primary Antibodies

AB76473

Anti-Anterior Gradient 2 antibody [EPR3278]

primary-antibodies

anterior-gradient-2-antibody-epr3278-ab76473

5

(2 reviews)

Alternative Product
Primary Antibodies

AB181829

Anti-Anterior Gradient 2 antibody [EPR3278] - BSA and Azide free

primary-antibodies

anterior-gradient-2-antibody-epr3278-bsa-and-azide-free-ab181829

0

(0 reviews)

Alternative Product
Primary Antibodies

AB189361

Anti-Anterior Gradient 2 antibody [IMG10E2]

primary-antibodies

anterior-gradient-2-antibody-img10e2-ab189361

0

(0 reviews)

Please note: All products are 'FOR RESEARCH USE ONLY. NOT FOR USE IN DIAGNOSTIC OR THERAPEUTIC PROCEDURES'.

For licensing inquiries, please contact partnerships@abcam.com