JavaScript is disabled in your browser. Please enable JavaScript to view this website.
AB76473

Anti-Anterior Gradient 2 antibody [EPR3278]

5

(2 Reviews)

|

(22 Publications)

Rabbit Recombinant Monoclonal Anterior Gradient 2 antibody. Suitable for IHC-P, IP, WB, ICC/IF, Flow Cyt (Intra) and reacts with Human samples. Cited in 22 publications.

View Alternative Names

AG2, UNQ515/PRO1030, AGR2, Anterior gradient protein 2 homolog, AG-2, hAG-2, HPC8, Secreted cement gland protein XAG-2 homolog

6 Images
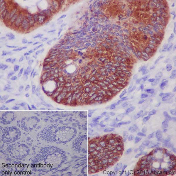
Immunohistochemistry (Formalin/PFA-fixed paraffin-embedded sections) - Anti-Anterior Gradient 2 antibody [EPR3278] (AB76473)
  • IHC-P

Unknown

Immunohistochemistry (Formalin/PFA-fixed paraffin-embedded sections) - Anti-Anterior Gradient 2 antibody [EPR3278] (AB76473)

ab76473, at 1/500 dilution, staining Anterior Gradient 2 in paraffin-embedded human colon tissue by Immunohistochemistry.

Perform heat mediated antigen retrieval before commencing with IHC staining protocol.

Flow Cytometry (Intracellular) - Anti-Anterior Gradient 2 antibody [EPR3278] (AB76473)
  • Flow Cyt (Intra)

Lab

Flow Cytometry (Intracellular) - Anti-Anterior Gradient 2 antibody [EPR3278] (AB76473)

Intracellular Flow Cytometry analysis of HT-29 (Human colorectal adenocarcinoma epithelial cell) cells labeling Anterior Gradient 2 with purified ab76473 at 1/40 dilution (10 μg/mL) (Red). Cells were fixed with 4% Paraformaldehyde and permeabilised with 90% Methanol. A Goat anti rabbit IgG (Alexa Fluor® 488, ab150077) secondary antibody was used at 1/2000. Isotype control - Rabbit monoclonal IgG (Black). Unlabeled control - Cells without incubation with primary antibody and secondary antibody (Blue).

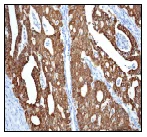
Immunohistochemistry (Formalin/PFA-fixed paraffin-embedded sections) - Anti-Anterior Gradient 2 antibody [EPR3278] (AB76473)
  • IHC-P

Unknown

Immunohistochemistry (Formalin/PFA-fixed paraffin-embedded sections) - Anti-Anterior Gradient 2 antibody [EPR3278] (AB76473)

ab76473, at 1/500 dilution, staining Anterior Gradient 2 in paraffin-embedded human endometrium adenocarcinoma by Immunohistochemistry.

Perform heat mediated antigen retrieval before commencing with IHC staining protocol.

Western blot - Anti-Anterior Gradient 2 antibody [EPR3278] (AB76473)
  • WB

Unknown

Western blot - Anti-Anterior Gradient 2 antibody [EPR3278] (AB76473)

All lanes:

Western blot - Anti-Anterior Gradient 2 antibody [EPR3278] (ab76473) at 1/10000 dilution

Lane 1:

HT-29 cell lysates at 10 µg

Lane 2:

MCF-7 cell lysates at 10 µg

Secondary

All lanes:

HRP labelled goat anti-rabbit at 1/2000 dilution

Predicted band size: 19 kDa

Observed band size: 17 kDa

false

Immunocytochemistry/ Immunofluorescence - Anti-Anterior Gradient 2 antibody [EPR3278] (AB76473)
  • ICC/IF

Lab

Immunocytochemistry/ Immunofluorescence - Anti-Anterior Gradient 2 antibody [EPR3278] (AB76473)

Immunocytochemistry/ Immunofluorescence analysis of MCF7 (human breast adenocarcinoma epithelial cell) cells labeling Anterior Gradient 2 with purified ab76473 at 1/100 dilution (3.5 μg/mL). Cells were fixed in 100% Methanol. Cells were counterstained with ab195889 Anti-alpha Tubulin antibody [DM1A] - Microtubule Marker (Alexa Fluor® 594) 1/200 (2.5 μg/mL). Goat anti rabbit IgG (Alexa Fluor® 488, ab150077) was used as the secondary antibody at 1/1000 (2 μg/mL) dilution. DAPI (blue) was used as nuclear counterstain. ab195889 Anti-alpha Tubulin antibody [DM1A] - Microtubule Marker (Alexa Fluor® 594) 1/200 (2.5 μg/mL) was used as the secondary antibody only control.

Immunoprecipitation - Anti-Anterior Gradient 2 antibody [EPR3278] (AB76473)
  • IP

Lab

Immunoprecipitation - Anti-Anterior Gradient 2 antibody [EPR3278] (AB76473)

Purified ab76473 at 1/20 dilution (2μg) immunoprecipitating Anterior Gradient 2 in HT-29 whole cell lysate.
Lane 1 (input) : HT-29 (Human colorectal adenocarcinoma epithelial cell) whole cell lysate 10μg
Lane 2 (+) : ab76473 + HT-29 whole cell lysate.
Lane 3 (-) : Rabbit monoclonal IgG (ab172730) instead of ab76473 in HT-29 whole cell lysate.
VeriBlot for IP Detection Reagent (HRP) (ab131366) (1/1000 dilution) was used for Western blotting.
Blocking Buffer and concentration : 5% NFDM/TBST.
Diluting buffer and concentration : 5% NFDM/TBST.
Observed band size : 17 kDa

All lanes:

Immunoprecipitation - Anti-Anterior Gradient 2 antibody [EPR3278] (ab76473)

Predicted band size: 19 kDa

false

  • 519 Alexa Fluor® 488

    Alexa Fluor® 488 Anti-Anterior Gradient 2 antibody [EPR3278]

  • Carrier free

    Anti-Anterior Gradient 2 antibody [EPR3278] - BSA and Azide free

  • 660 APC

    APC Anti-Anterior Gradient 2 antibody [EPR3278]

  • HRP

    HRP Anti-Anterior Gradient 2 antibody [EPR3278]

  • 603 Alexa Fluor® 568

    Alexa Fluor® 568 Anti-Anterior Gradient 2 antibody [EPR3278]

  • 578 PE

    PE Anti-Anterior Gradient 2 antibody [EPR3278]

  • 617 Alexa Fluor® 594

    Alexa Fluor® 594 Anti-Anterior Gradient 2 antibody [EPR3278]

  • 665 Alexa Fluor® 647

    Alexa Fluor® 647 Anti-Anterior Gradient 2 antibody [EPR3278]

  • 775 Alexa Fluor® 750

    Alexa Fluor® 750 Anti-Anterior Gradient 2 antibody [EPR3278]

Key facts

Host species

Rabbit

Clonality

Monoclonal

Clone number

EPR3278

Isotype

IgG

Carrier free

No

Reacts with

Human

Applications

WB, IP, Flow Cyt (Intra), ICC/IF, IHC-P

applications

Immunogen

The exact immunogen used to generate this antibody is proprietary information.

Reactivity data

{ "title": "Reactivity Data", "filters": { "stats": ["", "Species", "Dilution Info", "Notes"], "tabs": { "all-applications": {"fullname" : "All Applications", "shortname": "All Applications"}, "IHCP" : {"fullname" : "Immunohistochemistry (Formalin/PFA-fixed paraffin-embedded sections)", "shortname":"IHC-P"}, "IP" : {"fullname" : "Immunoprecipitation", "shortname":"IP"}, "WB" : {"fullname" : "Western blot", "shortname":"WB"}, "ICCIF" : {"fullname" : "Immunocytochemistry/ Immunofluorescence", "shortname":"ICC/IF"}, "FlowCytIntra" : {"fullname" : "Flow Cytometry (Intracellular)", "shortname":"Flow Cyt (Intra)"} }, "product-promise": { "all": "all", "testedAndGuaranteed": "tested", "guaranteed": "expected", "predicted": "predicted", "notRecommended": "not-recommended" } }, "values": { "Human": { "IHCP-species-checked": "testedAndGuaranteed", "IHCP-species-dilution-info": "1/250 - 1/500", "IHCP-species-notes": "<p></p> Perform heat-mediated antigen retrieval before commencing with IHC staining protocol.", "IP-species-checked": "testedAndGuaranteed", "IP-species-dilution-info": "1/20", "IP-species-notes": "<p></p>", "WB-species-checked": "testedAndGuaranteed", "WB-species-dilution-info": "1/5000 - 1/10000", "WB-species-notes": "<p></p>", "ICCIF-species-checked": "testedAndGuaranteed", "ICCIF-species-dilution-info": "1/100", "ICCIF-species-notes": "<p></p>", "FlowCytIntra-species-checked": "testedAndGuaranteed", "FlowCytIntra-species-dilution-info": "1/40", "FlowCytIntra-species-notes": "<p><a href='/en-us/products/primary-antibodies/rabbit-igg-monoclonal-epr25a-isotype-control-ab172730'>ab172730</a> - Rabbit monoclonal IgG, is suitable for use as an isotype control with this antibody.</p>" } } }

Product details

Species reactivity
Mouse, Rat: We have preliminary internal testing data to indicate this antibody may not react with these species.
Please contact us for more information.

Patented technology
Our RabMAb® technology is a patented hybridoma-based technology for making rabbit monoclonal antibodies. For details on our patents, please refer to RabMAb® patents.

What are the advantages of a recombinant monoclonal antibody?
This product is a recombinant monoclonal antibody, which offers several advantages including:

  • - High batch-to-batch consistency and reproducibility
  • - Improved sensitivity and specificity
  • - Long-term security of supply
  • - Animal-free batch production

For more information, read more on recombinant antibodies.

Properties and storage information

Form
Liquid
Purification technique
Affinity purification Protein A
Storage buffer
pH: 7.2 - 7.4 Preservative: 0.01% Sodium azide Constituents: PBS, 40% Glycerol (glycerin, glycerine), 0.05% BSA
Shipped at conditions
Blue Ice
Appropriate short-term storage duration
1-2 weeks
Appropriate short-term storage conditions
+4°C
Appropriate long-term storage conditions
-20°C
Aliquoting information
Upon delivery aliquot
Storage information
Avoid freeze / thaw cycle

Supplementary information

This supplementary information is collated from multiple sources and compiled automatically.

Anterior Gradient 2 (AG2) also known as AGR2 is a protein with a molecular weight of approximately 20 kDa. This protein is a member of the protein disulfide isomerase family and has an important mechanical role in facilitating protein folding within the endoplasmic reticulum. The protein exists mainly in epithelial tissues and notably in the gastrointestinal tract with high expression also found in the pancreas and lungs. AG2 is characterized by its interaction with various client proteins assisting in their proper folding and stability.
Biological function summary

The anterior gradient protein influences cellular processes such as proliferation and differentiation often playing a role in cellular adhesion and migration. This protein does not work alone but instead can form complexes with other molecules enhancing its functional capabilities. Such interactions highlight its significance in maintaining normal cell physiology and response to external stimuli.

Pathways

Anterior gradient protein participates in key signaling pathways including the Wnt signaling pathway and the unfolded protein response (UPR). Through these pathways AG2 associates with proteins like β-catenin influencing gene transcription and cellular outcomes. In the UPR its role is important in managing cellular stress and maintaining homeostasis by regulating protein folding and quality control mechanisms.

Anterior gradient protein shows strong associations with cancer particularly in tumors such as breast and lung cancer where it is often overexpressed. Its involvement links closely with proteins like MUC1 which is found in tumors suggesting a role in promoting cancer progression and metastasis. Additionally AG2 can be related to inflammatory bowel diseases where its dysregulation may result in epithelial barrier dysfunction and contribute to the pathology.

Product protocols

For this product, it's our understanding that no specific protocols are required. You can visit:

Target data

Required for MUC2 post-transcriptional synthesis and secretion. May play a role in the production of mucus by intestinal cells (By similarity). Proto-oncogene that may play a role in cell migration, cell differentiation and cell growth. Promotes cell adhesion (PubMed : 23274113).
See full target information AGR2

Publications (22)

Recent publications for all applications. Explore the full list and refine your search

BMC cancer 23:743 PubMed37568077

2023

AGR2 and FOXA1 as prognostic markers in ER-positive breast cancer.

Applications

Unspecified application

Species

Unspecified reactive species

Meng Zhou,Xing-Li Gan,Yue-Xiang Ren,Qian-Xin Chen,Yuan-Zhong Yang,Zi-Jin Weng,Xiao-Fang Zhang,Jie-Xia Guan,Lu-Ying Tang,Ze-Fang Ren

Journal of thoracic disease 15:3885-3907 PubMed37559628

2023

Bioinformatics analysis and single-cell RNA sequencing: elucidating the ubiquitination pathways and key enzymes in lung adenocarcinoma.

Applications

Unspecified application

Species

Unspecified reactive species

Tong Lu,Ran Xu,Chenghao Wang,Xiang Zhou,Rafael Parra-Medina,Roberto Díaz-Peña,Bo Peng,Linyou Zhang

Nature communications 14:3750 PubMed37386010

2023

Single-cell transcriptomics uncovers EGFR signaling-mediated gastric progenitor cell differentiation in stomach homeostasis.

Applications

Unspecified application

Species

Unspecified reactive species

Hitomi Takada,Yohei Sasagawa,Mika Yoshimura,Kaori Tanaka,Yoshimi Iwayama,Tetsutaro Hayashi,Ayako Isomura-Matoba,Itoshi Nikaido,Akira Kurisaki

Redox biology 59:102581 PubMed36565645

2022

Glutamine promotes O-GlcNAcylation of G6PD and inhibits AGR2 S-glutathionylation to maintain the intestinal mucus barrier in burned septic mice.

Applications

Unspecified application

Species

Unspecified reactive species

Dan Wu,Sen Su,Xule Zha,Yan Wei,Gang Yang,Qianying Huang,Yongjun Yang,Lin Xia,Shijun Fan,Xi Peng

Cancer cell international 22:387 PubMed36482387

2022

The anterior gradient homologue 2 (AGR2) co-localises with the glucose-regulated protein 78 (GRP78) in cancer stem cells, and is critical for the survival and drug resistance of recurrent glioblastoma: in situ and in vitro analyses.

Applications

Unspecified application

Species

Unspecified reactive species

Deema Hussein,Reem Alsereihi,Abdulla Ahmed A Salwati,Rinad Algehani,Alazouf Alhowity,Ahmed M Al-Hejin,Hans-Juergen Schulten,Saleh Baeesa,Mohammed Bangash,Fahad Alghamdi,Richard Cross,Torki Al Zughaibi,Mohamad Saka,Adeel Chaudhary,Adel Abuzenadah

International journal of molecular sciences 23: PubMed35055132

2022

Inhibitory Effect of Etravirine, a Non-Nucleoside Reverse Transcriptase Inhibitor, via Anterior Gradient Protein 2 Homolog Degradation against Ovarian Cancer Metastasis.

Applications

Unspecified application

Species

Unspecified reactive species

Thanh Truong Giang Ly,Jisoo Yun,Jong-Seong Ha,Yeon-Ju Kim,Woong-Bi Jang,Thi Hong Van Le,Vinoth Kumar Rethineswaran,Jaewoo Choi,Jae-Ho Kim,Sang-Hyun Min,Dong-Hyung Lee,Ju-Seok Yang,Joo-Seop Chung,Sang-Mo Kwon

Nature communications 12:5291 PubMed34489433

2021

Dissecting esophageal squamous-cell carcinoma ecosystem by single-cell transcriptomic analysis.

Applications

Unspecified application

Species

Unspecified reactive species

Xiannian Zhang,Linna Peng,Yingying Luo,Shaosen Zhang,Yang Pu,Yamei Chen,Wenjia Guo,Jiacheng Yao,Mingming Shao,Wenyi Fan,Qionghua Cui,Yiyi Xi,Yanxia Sun,Xiangjie Niu,Xuan Zhao,Liping Chen,Yuqian Wang,Yachen Liu,Xinyu Yang,Chengcheng Wang,Ce Zhong,Wen Tan,Jianbin Wang,Chen Wu,Dongxin Lin

American journal of translational research 13:4464-4476 PubMed34150027

2021

The value of AGR2 and KRT5 as an immunomarker combination in distinguishing lung squamous cell carcinoma from adenocarcinoma.

Applications

Unspecified application

Species

Unspecified reactive species

Bo Pan,Zi-Xin Wei,Ju-Xuan Zhang,Xin Li,Qing-Wei Meng,Ying-Yue Cao,Li-Shuang Qi,Yan Yu

Journal of Crohn's & colitis 15:1737-1750 PubMed33822017

2021

Potential Role of Epithelial Endoplasmic Reticulum Stress and Anterior Gradient Protein 2 Homologue in Crohn's Disease Fibrosis.

Applications

Unspecified application

Species

Unspecified reactive species

Sophie Vieujean,Shurong Hu,Emeline Bequet,Catherine Salee,Charlotte Massot,Noëlla Bletard,Nicolas Pierre,Florence Quesada Calvo,Dominique Baiwir,Gabriel Mazzucchelli,Edwin De Pauw,Carla Coimbra Marques,Philippe Delvenne,Florian Rieder,Edouard Louis,Marie-Alice Meuwis

Cancer management and research 12:11477-11490 PubMed33223849

2020

CircPVT1 Promoted the Progression of Breast Cancer by Regulating MiR-29a-3p-Mediated AGR2-HIF-1α Pathway.

Applications

Unspecified application

Species

Unspecified reactive species

Jing Wang,Kuo Huang,Lang Shi,Qingyong Zhang,Shengchu Zhang
View all publications

Product promise

We are committed to supporting your work with high-quality reagents, and we're here for you every step of the way. In the unlikely event that one of our products does not perform as expected, you're protected by our Product Promise.
For full details, please see our Terms & Conditions

Please note: All products are 'FOR RESEARCH USE ONLY. NOT FOR USE IN DIAGNOSTIC OR THERAPEUTIC PROCEDURES'.

For licensing inquiries, please contact partnerships@abcam.com