JavaScript is disabled in your browser. Please enable JavaScript to view this website.
AB189361

Anti-Anterior Gradient 2 antibody [IMG10E2]

Be the first to review this product! Submit a review

|

(1 Publication)

Mouse Monoclonal Anterior Gradient 2 antibody. Suitable for IHC-P, WB and reacts with Human, Mouse, Rat samples. Cited in 1 publication. Immunogen corresponding to Synthetic Peptide within Human AGR2 aa 50-100.

View Alternative Names

AG2, UNQ515/PRO1030, AGR2, Anterior gradient protein 2 homolog, AG-2, hAG-2, HPC8, Secreted cement gland protein XAG-2 homolog

2 Images
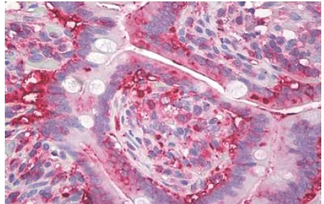
Immunohistochemistry (Formalin/PFA-fixed paraffin-embedded sections) - Anti-Anterior Gradient 2 antibody [IMG10E2] (AB189361)
  • IHC-P

Supplier Data

Immunohistochemistry (Formalin/PFA-fixed paraffin-embedded sections) - Anti-Anterior Gradient 2 antibody [IMG10E2] (AB189361)

Immunohistochemical analysis of formalin fixed, paraffin embedded Human small intestine tissue labeling Anterior Gradient 2 with ab189361 at 10 μg/ml.

Western blot - Anti-Anterior Gradient 2 antibody [IMG10E2] (AB189361)
  • WB

Supplier Data

Western blot - Anti-Anterior Gradient 2 antibody [IMG10E2] (AB189361)

All lanes:

Western blot - Anti-Anterior Gradient 2 antibody [IMG10E2] (ab189361) at 5 µg/mL

Lane 1:

Human stomach lysate in the absence of immunizing peptide

Lane 2:

Human stomach tissue lysate in the presence of immunizing peptide

Lane 3:

mouse stomach tissue lysate

Lane 4:

rat stomach tissue lysate

Lane 5:

HCT-116 cell lysate

Secondary

All lanes:

Goat anti-Mouse Ig HRP

Predicted band size: 19 kDa

true

Key facts

Host species

Mouse

Clonality

Monoclonal

Clone number

IMG10E2

Isotype

IgG1

Light chain type

kappa

Carrier free

No

Reacts with

Mouse, Rat, Human

Applications

WB, IHC-P

applications

Immunogen

Synthetic Peptide within Human AGR2 aa 50-100. The exact immunogen used to generate this antibody is proprietary information.

O95994

Reactivity data

{ "title": "Reactivity Data", "filters": { "stats": ["", "Species", "Dilution Info", "Notes"], "tabs": { "all-applications": {"fullname" : "All Applications", "shortname": "All Applications"}, "IHCP" : {"fullname" : "Immunohistochemistry (Formalin/PFA-fixed paraffin-embedded sections)", "shortname":"IHC-P"}, "WB" : {"fullname" : "Western blot", "shortname":"WB"} }, "product-promise": { "all": "all", "testedAndGuaranteed": "tested", "guaranteed": "expected", "predicted": "predicted", "notRecommended": "not-recommended" } }, "values": { "Human": { "IHCP-species-checked": "testedAndGuaranteed", "IHCP-species-dilution-info": "10 µg/mL", "IHCP-species-notes": "<p></p> Perform heat-mediated antigen retrieval before commencing with IHC staining protocol.", "WB-species-checked": "testedAndGuaranteed", "WB-species-dilution-info": "4-6 µg/mL", "WB-species-notes": "<p></p>" }, "Mouse": { "IHCP-species-checked": "guaranteed", "IHCP-species-dilution-info": "", "IHCP-species-notes": "", "WB-species-checked": "testedAndGuaranteed", "WB-species-dilution-info": "4-6 µg/mL", "WB-species-notes": "<p></p>" }, "Rat": { "IHCP-species-checked": "guaranteed", "IHCP-species-dilution-info": "", "IHCP-species-notes": "", "WB-species-checked": "testedAndGuaranteed", "WB-species-dilution-info": "4-6 µg/mL", "WB-species-notes": "<p></p>" }, "Cow": { "IHCP-species-checked": "predicted", "IHCP-species-dilution-info": "", "IHCP-species-notes": "", "WB-species-checked": "predicted", "WB-species-dilution-info": "", "WB-species-notes": "" }, "Dog": { "IHCP-species-checked": "predicted", "IHCP-species-dilution-info": "", "IHCP-species-notes": "", "WB-species-checked": "predicted", "WB-species-dilution-info": "", "WB-species-notes": "" }, "Horse": { "IHCP-species-checked": "predicted", "IHCP-species-dilution-info": "", "IHCP-species-notes": "", "WB-species-checked": "predicted", "WB-species-dilution-info": "", "WB-species-notes": "" }, "Orangutan": { "IHCP-species-checked": "predicted", "IHCP-species-dilution-info": "", "IHCP-species-notes": "", "WB-species-checked": "predicted", "WB-species-dilution-info": "", "WB-species-notes": "" } } }

Properties and storage information

Form
Liquid
Purification technique
Affinity purification Protein G
Storage buffer
Preservative: 0.05% Sodium azide Constituents: PBS, 0.05% BSA
Shipped at conditions
Blue Ice
Appropriate short-term storage duration
1-2 weeks
Appropriate short-term storage conditions
+4°C
Appropriate long-term storage conditions
-20°C
Aliquoting information
Upon delivery aliquot
Storage information
Avoid freeze / thaw cycle

Supplementary information

This supplementary information is collated from multiple sources and compiled automatically.

Anterior Gradient 2 (AG2) also known as AGR2 is a protein with a molecular weight of approximately 20 kDa. This protein is a member of the protein disulfide isomerase family and has an important mechanical role in facilitating protein folding within the endoplasmic reticulum. The protein exists mainly in epithelial tissues and notably in the gastrointestinal tract with high expression also found in the pancreas and lungs. AG2 is characterized by its interaction with various client proteins assisting in their proper folding and stability.
Biological function summary

The anterior gradient protein influences cellular processes such as proliferation and differentiation often playing a role in cellular adhesion and migration. This protein does not work alone but instead can form complexes with other molecules enhancing its functional capabilities. Such interactions highlight its significance in maintaining normal cell physiology and response to external stimuli.

Pathways

Anterior gradient protein participates in key signaling pathways including the Wnt signaling pathway and the unfolded protein response (UPR). Through these pathways AG2 associates with proteins like β-catenin influencing gene transcription and cellular outcomes. In the UPR its role is important in managing cellular stress and maintaining homeostasis by regulating protein folding and quality control mechanisms.

Anterior gradient protein shows strong associations with cancer particularly in tumors such as breast and lung cancer where it is often overexpressed. Its involvement links closely with proteins like MUC1 which is found in tumors suggesting a role in promoting cancer progression and metastasis. Additionally AG2 can be related to inflammatory bowel diseases where its dysregulation may result in epithelial barrier dysfunction and contribute to the pathology.

Product protocols

For this product, it's our understanding that no specific protocols are required. You can visit:

Target data

Required for MUC2 post-transcriptional synthesis and secretion. May play a role in the production of mucus by intestinal cells (By similarity). Proto-oncogene that may play a role in cell migration, cell differentiation and cell growth. Promotes cell adhesion (PubMed : 23274113).
See full target information AGR2

Publications (1)

Recent publications for all applications. Explore the full list and refine your search

Frontiers in immunology 13:891448 PubMed35784345

2022

Elevated Expression of Growth Differentiation Factor-15 Is Associated With Acute Exacerbation of Idiopathic Pulmonary Fibrosis.

Applications

Unspecified application

Species

Unspecified reactive species

Mengshu Cao,Lina Gu,Lili Guo,Mengying Liu,Tianzhen Wang,Ji Zhang,Huizhe Zhang,Yufeng Zhang,Yanchen Shi,Yichao Zhao,Xiaohua Qiu,Xianhua Gui,Miao Ma,Yaqiong Tian,Xiaoqin Liu,Fanqing Meng,Yonglong Xiao,Lingyun Sun
View all publications

Product promise

We are committed to supporting your work with high-quality reagents, and we're here for you every step of the way. In the unlikely event that one of our products does not perform as expected, you're protected by our Product Promise.
For full details, please see our Terms & Conditions

Please note: All products are 'FOR RESEARCH USE ONLY. NOT FOR USE IN DIAGNOSTIC OR THERAPEUTIC PROCEDURES'.

For licensing inquiries, please contact partnerships@abcam.com