JavaScript is disabled in your browser. Please enable JavaScript to view this website.
AB314550

Anti-Antithrombin III/ATIII antibody [EPR28171-25] - BSA and Azide free

Be the first to review this product! Submit a review

|

(0 Publication)

Rabbit Recombinant Monoclonal Antithrombin III/ATIII antibody. Carrier free. Suitable for WB, IHC-P, IP and reacts with Human, Mouse, Rat samples.

View Alternative Names

At3, Serpinc1, Antithrombin-III, ATIII, Serpin C1

10 Images
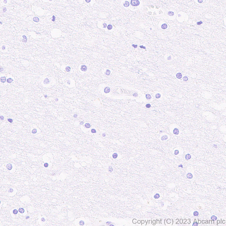
Immunohistochemistry (Formalin/PFA-fixed paraffin-embedded sections) - Anti-Antithrombin III/ATIII antibody [EPR28171-25] - BSA and Azide free (AB314550)
  • IHC-P

Supplier Data

Immunohistochemistry (Formalin/PFA-fixed paraffin-embedded sections) - Anti-Antithrombin III/ATIII antibody [EPR28171-25] - BSA and Azide free (AB314550)

This data was developed using ab314549, the same antibody clone in a different buffer formulation. Immunohistochemical analysis of paraffin-embedded human cerebrum tissue labeling Antithrombin III/ATIII with ab314549 at 1/2000 (0.263 ug/ml) followed by a ready to use LeicaDS9800 (Bond™ Polymer Refine Detection). Low expression tissue : No staining on human cerebrum. The section was incubated with ab314549 for 30 mins at room temperature. The immunostaining was performed on a Leica Biosystems BOND® RX instrument. Incubate slides with 3% Hydrogen Peroxide for 10 mins at room temperature after secondary antibody incubation to reduce the background. Counterstained with Hematoxylin. Secondary antibody only control : Secondary antibody is a ready to use LeicaDS9800 (Bond™ Polymer Refine Detection). Heat mediated antigen retrieval was performed with Tris-EDTA buffer (pH 9.0, Epitope Retrieval Solution2) for 20 mins.

Immunohistochemistry (Formalin/PFA-fixed paraffin-embedded sections) - Anti-Antithrombin III/ATIII antibody [EPR28171-25] - BSA and Azide free (AB314550)
  • IHC-P

Supplier Data

Immunohistochemistry (Formalin/PFA-fixed paraffin-embedded sections) - Anti-Antithrombin III/ATIII antibody [EPR28171-25] - BSA and Azide free (AB314550)

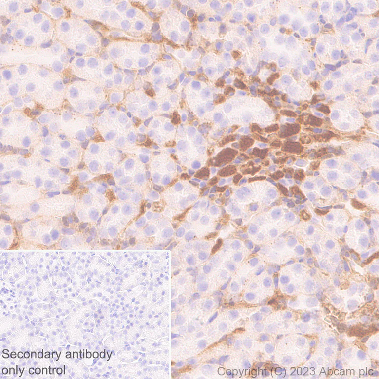
This data was developed using ab314549, the same antibody clone in a different buffer formulation. Immunohistochemical analysis of paraffin-embedded human kidney tissue labeling Antithrombin III/ATIII with ab314549 at 1/2000 (0.263 ug/ml) followed by a ready to use LeicaDS9800 (Bond™ Polymer Refine Detection). Positive staining on plasma of human kidney. The section was incubated with ab314549 for 30 mins at room temperature. The immunostaining was performed on a Leica Biosystems BOND® RX instrumentIncubate slides with 3% Hydrogen Peroxide for 10 mins at room temperature after secondary antibody incubation to reduce the background. Counterstained with Hematoxylin. Secondary antibody only control : Secondary antibody is a ready to use LeicaDS9800 (Bond™ Polymer Refine Detection). Heat mediated antigen retrieval was performed with Tris-EDTA buffer (pH 9.0, Epitope Retrieval Solution2) for 20 mins.

Immunohistochemistry (Formalin/PFA-fixed paraffin-embedded sections) - Anti-Antithrombin III/ATIII antibody [EPR28171-25] - BSA and Azide free (AB314550)
  • IHC-P

Supplier Data

Immunohistochemistry (Formalin/PFA-fixed paraffin-embedded sections) - Anti-Antithrombin III/ATIII antibody [EPR28171-25] - BSA and Azide free (AB314550)

This data was developed using ab314549, the same antibody clone in a different buffer formulation. Immunohistochemical analysis of paraffin-embedded mouse cerebrum tissue labeling Antithrombin III/ATIII with ab314549 at 1/2000 (0.263 ug/ml) followed by a ready to use LeicaDS9800 (Bond™ Polymer Refine Detection). Low expression tissue : Weak staining in plasma of mouse cerebrum. The section was incubated with ab314549 for 30 mins at room temperature. The immunostaining was performed on a Leica Biosystems BOND® RX instrument. Incubate slides with 3% Hydrogen Peroxide for 10 mins at room temperature after secondary antibody incubation to reduce the background. Counterstained with Hematoxylin. Secondary antibody only control : Secondary antibody is a ready to use LeicaDS9800 (Bond™ Polymer Refine Detection). Heat mediated antigen retrieval was performed with Tris-EDTA buffer (pH 9.0, Epitope Retrieval Solution2) for 20 mins.

Immunohistochemistry (Formalin/PFA-fixed paraffin-embedded sections) - Anti-Antithrombin III/ATIII antibody [EPR28171-25] - BSA and Azide free (AB314550)
  • IHC-P

Supplier Data

Immunohistochemistry (Formalin/PFA-fixed paraffin-embedded sections) - Anti-Antithrombin III/ATIII antibody [EPR28171-25] - BSA and Azide free (AB314550)

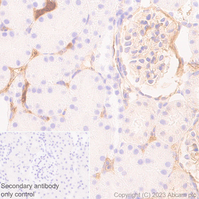
This data was developed using ab314549, the same antibody clone in a different buffer formulation. Immunohistochemical analysis of paraffin-embedded rat kidney tissue labeling Antithrombin III/ATIII with ab314549 at 1/2000 (0.263 ug/ml) followed by a ready to use LeicaDS9800 (Bond™ Polymer Refine Detection). Positive staining on plasma of rat kidney. The section was incubated with ab314549 for 30 mins at room temperature. The immunostaining was performed on a Leica Biosystems BOND® RX instrumentIncubate slides with 3% Hydrogen Peroxide for 10 mins at room temperature after secondary antibody incubation to reduce the background. Counterstained with Hematoxylin. Secondary antibody only control : Secondary antibody is a ready to use LeicaDS9800 (Bond™ Polymer Refine Detection). Heat mediated antigen retrieval was performed with Tris-EDTA buffer (pH 9.0, Epitope Retrieval Solution2) for 20 mins.

Immunohistochemistry (Formalin/PFA-fixed paraffin-embedded sections) - Anti-Antithrombin III/ATIII antibody [EPR28171-25] - BSA and Azide free (AB314550)
  • IHC-P

Supplier Data

Immunohistochemistry (Formalin/PFA-fixed paraffin-embedded sections) - Anti-Antithrombin III/ATIII antibody [EPR28171-25] - BSA and Azide free (AB314550)

This data was developed using ab314549, the same antibody clone in a different buffer formulation. Immunohistochemical analysis of paraffin-embedded rat cerebrum tissue labeling Antithrombin III/ATIII with ab314549 at 1/2000 (0.263 ug/ml) followed by a ready to use LeicaDS9800 (Bond™ Polymer Refine Detection). Low expression tissue : No staining on rat cerebrum. The section was incubated with ab314549 for 30 mins at room temperature. The immunostaining was performed on a Leica Biosystems BOND® RX instrument. Incubate slides with 3% Hydrogen Peroxide for 10 mins at room temperature after secondary antibody incubation to reduce the background. Counterstained with Hematoxylin. Secondary antibody only control : Secondary antibody is a ready to use LeicaDS9800 (Bond™ Polymer Refine Detection). Heat mediated antigen retrieval was performed with Tris-EDTA buffer (pH 9.0, Epitope Retrieval Solution2) for 20 mins.

Immunohistochemistry (Formalin/PFA-fixed paraffin-embedded sections) - Anti-Antithrombin III/ATIII antibody [EPR28171-25] - BSA and Azide free (AB314550)
  • IHC-P

Supplier Data

Immunohistochemistry (Formalin/PFA-fixed paraffin-embedded sections) - Anti-Antithrombin III/ATIII antibody [EPR28171-25] - BSA and Azide free (AB314550)

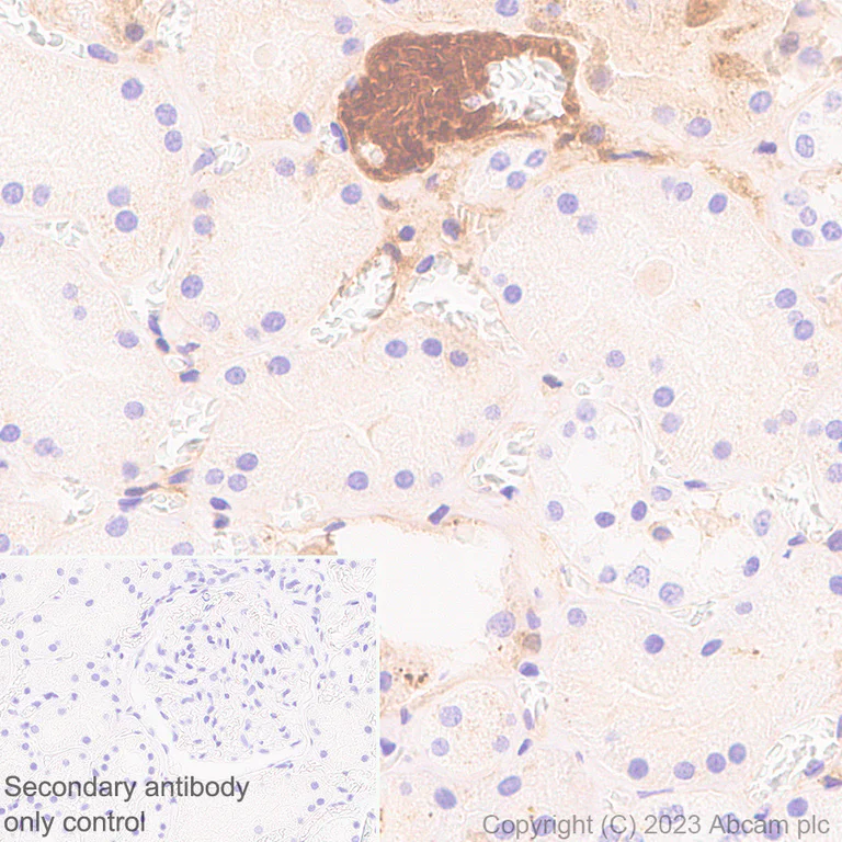
This data was developed using ab314549, the same antibody clone in a different buffer formulation. Immunohistochemical analysis of paraffin-embedded mouse kidney tissue labeling Antithrombin III/ATIII with ab314549 at 1/2000 (0.263 ug/ml) followed by a ready to use LeicaDS9800 (Bond™ Polymer Refine Detection). Positive staining on plasma of mouse kidney. The section was incubated with ab314549 for 30 mins at room temperature. The immunostaining was performed on a Leica Biosystems BOND® RX instrumentIncubate slides with 3% Hydrogen Peroxide for 10 mins at room temperature after secondary antibody incubation to reduce the background. Counterstained with Hematoxylin. Secondary antibody only control : Secondary antibody is a ready to use LeicaDS9800 (Bond™ Polymer Refine Detection). Heat mediated antigen retrieval was performed with Tris-EDTA buffer (pH 9.0, Epitope Retrieval Solution2) for 20 mins.

Immunoprecipitation - Anti-Antithrombin III/ATIII antibody [EPR28171-25] - BSA and Azide free (AB314550)
  • IP

Supplier Data

Immunoprecipitation - Anti-Antithrombin III/ATIII antibody [EPR28171-25] - BSA and Azide free (AB314550)

This data was developed using ab314549, the same antibody clone in a different buffer formulation. Antithrombin III/ATIII was immunoprecipitated from 0.35 mg Mouse liver tissue lysate with ab314549 at 1/30 dilution (2ug in 0.35mg lysates). Western blot was performed on the immunoprecipitate using ab314549 at 1/1000 dilution. VeriBlot for IP secondary antibody(HRP)(ab131366) was used at 1/5000 dilution. Lane 1 : Mouse liver tissue lysate Lane 2 : ab314549 IP in Mouse liver tissue lysate Lane 3 : Rabbit monoclonal IgG (ab172730) instead of ab314549 in mouse liver tissue lysate Blocking and dilution buffer and concentration : 5% NFDM/TBST.

All lanes:

Immunoprecipitation - Anti-Antithrombin III/ATIII antibody [EPR28171-25] (<a href='/en-us/products/primary-antibodies/antithrombin-iii-atiii-antibody-epr28171-25-ab314549'>ab314549</a>) at 1/30 dilution

All lanes:

Mouse liver tissue lysate

Secondary

All lanes:

Immunoprecipitation - VeriBlot for IP Detection Reagent (HRP) (<a href='/en-us/products/reagents/veriblot-for-ip-detection-reagent-hrp-ab131366'>ab131366</a>) at 1/5000 dilution

false

Exposure time: 76s

Western blot - Anti-Antithrombin III/ATIII antibody [EPR28171-25] - BSA and Azide free (AB314550)
  • WB

Supplier Data

Western blot - Anti-Antithrombin III/ATIII antibody [EPR28171-25] - BSA and Azide free (AB314550)

This data was developed using ab314549, the same antibody clone in a different buffer formulation. Blocking and diluting buffer and concentration : 5% NFDM/TBST Low expression : brain. The expression profile/molecular weight observed is consistent with what has been described in the literature (PMID : 3609301, PMID : 25485983, PMID : 35935621). In Western blot, Anti-GAPDH antibody [EPR16891] - Loading Control (ab181602) staining at 1/200000 dilution. Exposure time : Lanes 1-2 : 26 seconds, lanes 3-4 : 81 seconds, lanes 5-6 : 180 seconds

All lanes:

Western blot - Anti-Antithrombin III/ATIII antibody [EPR28171-25] (<a href='/en-us/products/primary-antibodies/antithrombin-iii-atiii-antibody-epr28171-25-ab314549'>ab314549</a>) at 1/1000 dilution

Lane 1:

Mouse liver tissue lysate at 20 µg

Lane 2:

Mouse brain tissue lysate at 20 µg

Lane 3:

Rat liver tissue lysate at 20 µg

Lane 4:

Rat brain tissue lysate at 20 µg

Lane 5:

Human liver tissue lysate at 20 µg

Lane 6:

Human cerebellum tissue lysate at 20 µg

Secondary

Lanes 1 - 4:

Western blot - Goat Anti-Rabbit IgG H&L (HRP) (<a href='/en-us/products/secondary-antibodies/goat-rabbit-igg-h-l-hrp-ab97051'>ab97051</a>) at 1/100000 dilution

Lanes 5 - 6:

Goat Anti-Rabbit IgG (HRP) with minimal cross-reactivity with human IgG at 1/2000 dilution

Observed band size: 51 kDa,52 kDa,36 kDa

false

Western blot - Anti-Antithrombin III/ATIII antibody [EPR28171-25] - BSA and Azide free (AB314550)
  • WB

Supplier Data

Western blot - Anti-Antithrombin III/ATIII antibody [EPR28171-25] - BSA and Azide free (AB314550)

This data was developed using ab314549, the same antibody clone in a different buffer formulation. Blocking and diluting buffer and concentration : 5% NFDM/TBST The expression profile/molecular weight observed is consistent with what has been described in the literature (PMID : 3609301, PMID : 25485983, PMID : 35935621).

All lanes:

Western blot - Anti-Antithrombin III/ATIII antibody [EPR28171-25] (<a href='/en-us/products/primary-antibodies/antithrombin-iii-atiii-antibody-epr28171-25-ab314549'>ab314549</a>) at 1/1000 dilution

All lanes:

Human plasma lysate at 20 µg

Secondary

All lanes:

Goat Anti-Rabbit IgG (HRP) with minimal cross-reactivity with human IgG at 1/2000 dilution

Observed band size: 51 kDa,52 kDa

false

Exposure time: 180s

Western blot - Anti-Antithrombin III/ATIII antibody [EPR28171-25] - BSA and Azide free (AB314550)
  • WB

Supplier Data

Western blot - Anti-Antithrombin III/ATIII antibody [EPR28171-25] - BSA and Azide free (AB314550)

This data was developed using ab314549, the same antibody clone in a different buffer formulation. Blocking and diluting buffer and concentration : 5% NFDM/TBST The expression profile/molecular weight observed is consistent with what has been described in the literature (PMID : 30237862, PMID : 360930, PMID : 25485983, PMID : 35935621).

All lanes:

Western blot - Anti-Antithrombin III/ATIII antibody [EPR28171-25] (<a href='/en-us/products/primary-antibodies/antithrombin-iii-atiii-antibody-epr28171-25-ab314549'>ab314549</a>) at 1/1000 dilution

All lanes:

Mouse serum lysate at 20 µg

Secondary

All lanes:

Western blot - Goat Anti-Rabbit IgG H&L (HRP) (<a href='/en-us/products/secondary-antibodies/goat-rabbit-igg-h-l-hrp-ab97051'>ab97051</a>) at 1/20000 dilution

Observed band size: 51 kDa,52 kDa,90 kDa

false

Exposure time: 3s

Key facts

Host species

Rabbit

Clonality

Monoclonal

Clone number

EPR28171-25

Isotype

IgG

Carrier free

Yes

Reacts with

Human, Mouse, Rat

Applications

WB, IP, IHC-P

applications

Immunogen

The exact immunogen used to generate this antibody is proprietary information.

Reactivity data

{ "title": "Reactivity Data", "filters": { "stats": ["", "Species", "Dilution Info", "Notes"], "tabs": { "all-applications": {"fullname" : "All Applications", "shortname": "All Applications"}, "WB" : {"fullname" : "Western blot", "shortname":"WB"}, "IHCP" : {"fullname" : "Immunohistochemistry (Formalin/PFA-fixed paraffin-embedded sections)", "shortname":"IHC-P"}, "IP" : {"fullname" : "Immunoprecipitation", "shortname":"IP"}, "ICCIF" : {"fullname" : "Immunocytochemistry/ Immunofluorescence", "shortname":"ICC/IF"}, "FlowCytIntra" : {"fullname" : "Flow Cytometry (Intracellular)", "shortname":"Flow Cyt (Intra)"} }, "product-promise": { "all": "all", "testedAndGuaranteed": "tested", "guaranteed": "expected", "predicted": "predicted", "notRecommended": "not-recommended" } }, "values": { "Human": { "WB-species-checked": "testedAndGuaranteed", "WB-species-dilution-info": "", "WB-species-notes": "<p></p>", "IHCP-species-checked": "testedAndGuaranteed", "IHCP-species-dilution-info": "", "IHCP-species-notes": "<p></p>", "IP-species-checked": "guaranteed", "IP-species-dilution-info": "", "IP-species-notes": "", "ICCIF-species-checked": "notRecommended", "ICCIF-species-dilution-info": "", "ICCIF-species-notes": "", "FlowCytIntra-species-checked": "notRecommended", "FlowCytIntra-species-dilution-info": "", "FlowCytIntra-species-notes": "" }, "Mouse": { "WB-species-checked": "testedAndGuaranteed", "WB-species-dilution-info": "", "WB-species-notes": "<p></p>", "IHCP-species-checked": "testedAndGuaranteed", "IHCP-species-dilution-info": "", "IHCP-species-notes": "<p></p>", "IP-species-checked": "testedAndGuaranteed", "IP-species-dilution-info": "", "IP-species-notes": "<p></p>", "ICCIF-species-checked": "notRecommended", "ICCIF-species-dilution-info": "", "ICCIF-species-notes": "<p></p>", "FlowCytIntra-species-checked": "notRecommended", "FlowCytIntra-species-dilution-info": "", "FlowCytIntra-species-notes": "<p></p>" }, "Rat": { "WB-species-checked": "testedAndGuaranteed", "WB-species-dilution-info": "", "WB-species-notes": "<p></p>", "IHCP-species-checked": "testedAndGuaranteed", "IHCP-species-dilution-info": "", "IHCP-species-notes": "<p></p>", "IP-species-checked": "guaranteed", "IP-species-dilution-info": "", "IP-species-notes": "", "ICCIF-species-checked": "notRecommended", "ICCIF-species-dilution-info": "", "ICCIF-species-notes": "", "FlowCytIntra-species-checked": "notRecommended", "FlowCytIntra-species-dilution-info": "", "FlowCytIntra-species-notes": "" } } }

Product details

ab314550 is the carrier-free version of ab314549.

Patented technology
Our RabMAb® technology is a patented hybridoma-based technology for making rabbit monoclonal antibodies. For details on our patents, please refer to RabMAb® patents.

What are the advantages of a recombinant monoclonal antibody?
This product is a recombinant monoclonal antibody, which offers several advantages including:

  • - High batch-to-batch consistency and reproducibility
  • - Improved sensitivity and specificity
  • - Long-term security of supply
  • - Animal-free batch production

For more information, read more on recombinant antibodies.

Conjugation ready
Our carrier-free antibodies are typically supplied in a PBS-only formulation, purified and free of BSA, sodium azide and glycerol. This conjugation-ready format is designed for use with fluorochromes, metal isotopes, oligonucleotides, and enzymes, which makes them ideal for antibody labelling, functional and cell-based assays, flow-based assays (e.g. mass cytometry) and Multiplex Imaging applications.

Use our conjugation kits for antibody conjugates that are ready-to-use in as little as 20 minutes with 1 minute hands-on-time and 100% antibody recovery: available for fluorescent dyes, HRP, biotin and gold.

Compatibility
This product is compatible with the Maxpar® Antibody Labeling Kit from Fluidigm, without the need for antibody preparation. Maxpar® is a trademark of Fluidigm Canada Inc.

Properties and storage information

Form
Liquid
Purification technique
Affinity purification Protein A
Storage buffer
pH: 7.2 - 7.4 Constituents: PBS
Shipped at conditions
Blue Ice
Appropriate short-term storage conditions
+4°C
Appropriate long-term storage conditions
+4°C

Supplementary information

This supplementary information is collated from multiple sources and compiled automatically.

Antithrombin III also known as ATIII or antithrombin 3 is a glycoprotein with a mass of approximately 58 kDa. This protein is mainly synthesized in the liver and circulates in the blood plasma. Antithrombin III functions as a serine protease inhibitor targeting and inhibiting several key enzymes involved in blood coagulation including thrombin and Factor Xa. Its activity is influenced by the presence of heparin which increases its inhibitory effects on these enzymes. This interaction is essential for regulating blood clot formation and maintaining hemostatic balance.
Biological function summary

Antithrombin III plays a critical role in blood clotting by specifically inhibiting clotting factors. It forms complexes with its target enzymes leading to their inactivation and preventing excessive thrombin production. The protein does not form part of larger complexes but acts independently to exert its anticoagulant function. The normal range for antithrombin 3 levels in plasma is important for ensuring a balanced blood coagulation system. Its function helps prevent inappropriate clot formation and ensures smooth blood flow through the circulatory system.

Pathways

Antithrombin III is integral to the coagulation cascade. It is primarily involved in the intrinsic and common coagulation pathways where it regulates thrombin and Factor Xa activity. This regulation prevents the unchecked formation of fibrin clots which can lead to thrombosis. ATIII works closely with proteins like heparin cofactor II and protein C which also modulate the coagulation pathway emphasizing its role in maintaining hemostatic balance. Its function is essential in controlling the coagulation cascade and ensuring that it proceeds appropriately without leading to pathology.

Antithrombin III deficiency can lead to coagulation disorders such as thrombophilia characterized by an increased risk of forming clots. Inherited or acquired deficiencies in antithrombin 3 can result in life-threatening thrombotic events. Furthermore liver diseases which affect the production of ATIII can also result in decreased antithrombin activity compounding coagulation problems. Other proteins related to this process include protein S and plasminogen which also play roles in clot regulation and fibrinolysis. Understanding the connection of antithrombin III to these pathways and diseases is important for developing effective therapeutic strategies.

Product protocols

For this product, it's our understanding that no specific protocols are required. You can visit:

Target data

Most important serine protease inhibitor in plasma that regulates the blood coagulation cascade. AT-III inhibits thrombin, matriptase-3/TMPRSS7, as well as factors IXa, Xa and XIa. Its inhibitory activity is greatly enhanced in the presence of heparin (By similarity).
See full target information Serpinc1

Product promise

We are committed to supporting your work with high-quality reagents, and we're here for you every step of the way. In the unlikely event that one of our products does not perform as expected, you're protected by our Product Promise.
For full details, please see our Terms & Conditions

Please note: All products are 'FOR RESEARCH USE ONLY. NOT FOR USE IN DIAGNOSTIC OR THERAPEUTIC PROCEDURES'.

For licensing inquiries, please contact partnerships@abcam.com