JavaScript is disabled in your browser. Please enable JavaScript to view this website.
AB220088

Anti-AP-B antibody

Be the first to review this product! Submit a review

|

(1 Publication)

Rabbit Polyclonal AP-B antibody. Suitable for IHC-P, WB, ICC/IF and reacts with Human samples. Cited in 1 publication. Immunogen corresponding to Recombinant Fragment Protein within Human RNPEP aa 500-600.

View Alternative Names

APB, RNPEP, Aminopeptidase B, AP-B, Arginine aminopeptidase, Arginyl aminopeptidase

3 Images
Western blot - Anti-AP-B antibody (AB220088)
  • WB

Supplier Data

Western blot - Anti-AP-B antibody (AB220088)

All lanes:

Western blot - Anti-AP-B antibody (ab220088) at 1/100 dilution

Lane 1:

RT-4 cell lysate

Lane 2:

U-251 MG cell lysate

Lane 3:

Human plasma

Lane 4:

Human liver lysate

Lane 5:

Human tonsil lysate

Predicted band size: 73 kDa

false

Immunocytochemistry/ Immunofluorescence - Anti-AP-B antibody (AB220088)
  • ICC/IF

Supplier Data

Immunocytochemistry/ Immunofluorescence - Anti-AP-B antibody (AB220088)

Immunofluorecent analysis of PFA-fixed, Triton X-100 permeabilized U-2 OS cells labeling AP-B with ab220088 at 4 μg/ml (green).

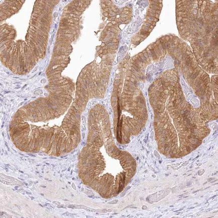
Immunohistochemistry (Formalin/PFA-fixed paraffin-embedded sections) - Anti-AP-B antibody (AB220088)
  • IHC-P

Supplier Data

Immunohistochemistry (Formalin/PFA-fixed paraffin-embedded sections) - Anti-AP-B antibody (AB220088)

Immunohistochemical analysis of paraffin-embedded human gallbladder tissue labeling AP-B with ab220088 at 1/500 dilution.

Key facts

Host species

Rabbit

Clonality

Polyclonal

Isotype

IgG

Carrier free

No

Reacts with

Human

Applications

WB, ICC/IF, IHC-P

applications

Immunogen

Recombinant Fragment Protein within Human RNPEP aa 500-600. The exact immunogen used to generate this antibody is proprietary information.

Q9H4A4

Reactivity data

{ "title": "Reactivity Data", "filters": { "stats": ["", "Species", "Dilution Info", "Notes"], "tabs": { "all-applications": {"fullname" : "All Applications", "shortname": "All Applications"}, "IHCP" : {"fullname" : "Immunohistochemistry (Formalin/PFA-fixed paraffin-embedded sections)", "shortname":"IHC-P"}, "WB" : {"fullname" : "Western blot", "shortname":"WB"}, "ICCIF" : {"fullname" : "Immunocytochemistry/ Immunofluorescence", "shortname":"ICC/IF"} }, "product-promise": { "all": "all", "testedAndGuaranteed": "tested", "guaranteed": "expected", "predicted": "predicted", "notRecommended": "not-recommended" } }, "values": { "Human": { "IHCP-species-checked": "testedAndGuaranteed", "IHCP-species-dilution-info": "1/500 - 1/1000", "IHCP-species-notes": "<p></p> Perform heat-mediated antigen retrieval with citrate buffer pH 6 before commencing with IHC staining protocol.", "WB-species-checked": "testedAndGuaranteed", "WB-species-dilution-info": "0.04-0.4 µg/mL", "WB-species-notes": "<p></p>", "ICCIF-species-checked": "testedAndGuaranteed", "ICCIF-species-dilution-info": "0.25-2 µg/mL", "ICCIF-species-notes": "<p></p>" }, "Rat": { "IHCP-species-checked": "predicted", "IHCP-species-dilution-info": "", "IHCP-species-notes": "", "WB-species-checked": "predicted", "WB-species-dilution-info": "", "WB-species-notes": "", "ICCIF-species-checked": "predicted", "ICCIF-species-dilution-info": "", "ICCIF-species-notes": "" } } }

Properties and storage information

Form
Liquid
Purification technique
Affinity purification Immunogen
Storage buffer
pH: 7.2 Preservative: 0.02% Sodium azide Constituents: PBS, 40% Glycerol (glycerin, glycerine)
Shipped at conditions
Blue Ice
Appropriate short-term storage duration
1-2 weeks
Appropriate short-term storage conditions
+4°C
Appropriate long-term storage conditions
-20°C
Aliquoting information
Upon delivery aliquot
Storage information
Avoid freeze / thaw cycle

Supplementary information

This supplementary information is collated from multiple sources and compiled automatically.

The biological target AP-B also known as Alkaline Phosphatase B plays a critical role in dephosphorylation processes. This protein weighs approximately 68 kDa. Researchers find AP-B expressed in various tissues including liver bone kidneys and the placenta. The enzyme functions optimally in an alkaline environment and serves different roles depending on its location. AP-B's activity in these tissues highlights its diverse functional capacity from bone mineralization to liver metabolism.
Biological function summary

The role of this enzyme impacts the regulation of phosphate groups on peptides and other molecules. AP-B often forms part of larger enzymatic complexes contributing to the deactivation of molecules by removing phosphate groups. This action influences cell growth differentiation and signal transduction. Additionally due to its expression in the intestines AP-B also plays a role in digestion aiding in nutrient absorption by catalyzing the breakdown of nucleotides.

Pathways

Several lines of evidence show that AP-B integrates into the bone Gla protein pathway and the hepatic detoxification pathway. In bone Gla protein synthesis AP-B interacts with osteocalcin key for bone mineralization and calcium binding. Within the detoxification pathway in hepatic systems AP-B aids in processing various xenobiotics and endogenous substrates. Coordination with these proteins underlines AP-B's role in maintaining homeostasis and its enzymatic importance in metabolic pathways.

AP-B levels correlate with conditions such as Paget's disease of bone and hyperparathyroidism. For instance elevated AP-B activity is often a marker for increased osteoblastic activity in Paget's disease where malfunction leads to excessive bone resorption and formation. Moreover hyperparathyroidism can result in augmented activity of AP-B linked to disturbances in calcium and phosphate balance. In these conditions AP-B interacts with proteins such as parathyroid hormone which influence bone remodeling and calcium homeostasis.

Product protocols

For this product, it's our understanding that no specific protocols are required. You can visit:

Target data

Exopeptidase which selectively removes arginine and/or lysine residues from the N-terminus of several peptide substrates including Arg(0)-Leu-enkephalin, Arg(0)-Met-enkephalin and Arg(-1)-Lys(0)-somatostatin-14. Can hydrolyze leukotriene A4 (LTA-4) into leukotriene B4 (LTB-4) (By similarity).
See full target information RNPEP

Publications (1)

Recent publications for all applications. Explore the full list and refine your search

Acta neuropathologica 147:56 PubMed38478117

2024

Neuronal STING activation in amyotrophic lateral sclerosis and frontotemporal dementia.

Applications

Unspecified application

Species

Unspecified reactive species

Christine Marques,Aaron Held,Katherine Dorfman,Joon Sung,Catherine Song,Amey S Kavuturu,Corey Aguilar,Tommaso Russo,Derek H Oakley,Mark W Albers,Bradley T Hyman,Leonard Petrucelli,Clotilde Lagier-Tourenne,Brian J Wainger
View all publications

Product promise

We are committed to supporting your work with high-quality reagents, and we're here for you every step of the way. In the unlikely event that one of our products does not perform as expected, you're protected by our Product Promise.
For full details, please see our Terms & Conditions

Please note: All products are 'FOR RESEARCH USE ONLY. NOT FOR USE IN DIAGNOSTIC OR THERAPEUTIC PROCEDURES'.

For licensing inquiries, please contact partnerships@abcam.com