JavaScript is disabled in your browser. Please enable JavaScript to view this website.
AB76007

Anti-AP2 gamma/TFAP2C antibody [EP2692Y]

5

(1 Review)

|

(6 Publications)

Rabbit Recombinant Monoclonal AP2 gamma/TFAP2C antibody. Suitable for WB, IHC-P, ICC/IF, Flow Cyt (Intra) and reacts with Human samples. Cited in 6 publications.

View Alternative Names

Transcription factor AP-2 gamma, AP2-gamma, Activating enhancer-binding protein 2 gamma, Transcription factor ERF-1, TFAP2C

6 Images
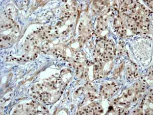
Immunohistochemistry (Formalin/PFA-fixed paraffin-embedded sections) - Anti-AP2 gamma/TFAP2C antibody [EP2692Y] (AB76007)
  • IHC-P

Unknown

Immunohistochemistry (Formalin/PFA-fixed paraffin-embedded sections) - Anti-AP2 gamma/TFAP2C antibody [EP2692Y] (AB76007)

ab76007 showing positive staining in Endometrial carcinoma tissue.

Perform heat mediated antigen retrieval with citrate buffer pH 6 before commencing with IHC staining protocol.

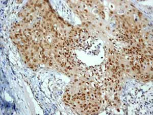
Immunohistochemistry (Formalin/PFA-fixed paraffin-embedded sections) - Anti-AP2 gamma/TFAP2C antibody [EP2692Y] (AB76007)
  • IHC-P

Unknown

Immunohistochemistry (Formalin/PFA-fixed paraffin-embedded sections) - Anti-AP2 gamma/TFAP2C antibody [EP2692Y] (AB76007)

ab76007 showing positive staining in Cervical carcinoma tissue.

Perform heat mediated antigen retrieval with citrate buffer pH 6 before commencing with IHC staining protocol.

Flow Cytometry (Intracellular) - Anti-AP2 gamma/TFAP2C antibody [EP2692Y] (AB76007)
  • Flow Cyt (Intra)

Lab

Flow Cytometry (Intracellular) - Anti-AP2 gamma/TFAP2C antibody [EP2692Y] (AB76007)

Intracellular Flow Cytometry analysis of MCF7 (Human breast adenocarcinoma epithelial cell) cells labeling AP2 gamma/TFAP2C with purified ab76007 at 1/100 dilution (10 μg/mL) (Red). Cells were fixed with 4% Paraformaldehyde and permeabilised with 90% Methanol. A Goat anti rabbit IgG (Alexa Fluor® 488, ab150077) secondary antibody was used at 1/2000. Isotype control - Rabbit monoclonal IgG (Black). Unlabeled control - Cells without incubation with primary antibody and secondary antibody (Blue).

Immunocytochemistry/ Immunofluorescence - Anti-AP2 gamma/TFAP2C antibody [EP2692Y] (AB76007)
  • ICC/IF

Lab

Immunocytochemistry/ Immunofluorescence - Anti-AP2 gamma/TFAP2C antibody [EP2692Y] (AB76007)

Immunocytochemistry/ Immunofluorescence analysis of MCF7 (human breast adenocarcinoma epithelial cell) cells labeling AP2 gamma/TFAP2C with purified ab76007 at 1/500 dilution (2 μg/mL). Cells were fixed in 4% Paraformaldehyde and permeabilized with 0.1% tritonX-100. Cells were counterstained with ab195889 Anti-alpha Tubulin antibody [DM1A] - Microtubule Marker (Alexa Fluor® 594) 1/200 (2.5 μg/mL). Goat anti rabbit IgG (Alexa Fluor® 488, ab150077) was used as the secondary antibody at 1/1000 (2 μg/mL) dilution. DAPI (blue) was used as nuclear counterstain. ab195889 Anti-alpha Tubulin antibody [DM1A] - Microtubule Marker (Alexa Fluor® 594) 1/200 (2.5 μg/mL) was used as the secondary antibody only control.

Western blot - Anti-AP2 gamma/TFAP2C antibody [EP2692Y] (AB76007)
  • WB

Unknown

Western blot - Anti-AP2 gamma/TFAP2C antibody [EP2692Y] (AB76007)

All lanes:

Western blot - Anti-AP2 gamma/TFAP2C antibody [EP2692Y] (ab76007) at 1/50000 dilution

Lane 1:

MCF7 cell lysate at 10 µg

Lane 2:

SKBR3 cell lysate at 10 µg

Secondary

All lanes:

Goat anti-rabbit HRP at 1/1000 dilution

Predicted band size: 49 kDa

Observed band size: 49 kDa

false

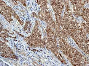
Immunohistochemistry (Formalin/PFA-fixed paraffin-embedded sections) - Anti-AP2 gamma/TFAP2C antibody [EP2692Y] (AB76007)
  • IHC-P

Unknown

Immunohistochemistry (Formalin/PFA-fixed paraffin-embedded sections) - Anti-AP2 gamma/TFAP2C antibody [EP2692Y] (AB76007)

ab76007 showing positive staining in Prostatic carcinoma tissue.

Perform heat mediated antigen retrieval with citrate buffer pH 6 before commencing with IHC staining protocol.

  • Carrier free

    Anti-AP2 gamma/TFAP2C antibody [EP2692Y] - BSA and Azide free

Key facts

Host species

Rabbit

Clonality

Monoclonal

Clone number

EP2692Y

Isotype

IgG

Carrier free

No

Reacts with

Human

Applications

Flow Cyt (Intra), WB, IHC-P, ICC/IF

applications

Immunogen

The exact immunogen used to generate this antibody is proprietary information.

Reactivity data

{ "title": "Reactivity Data", "filters": { "stats": ["", "Species", "Dilution Info", "Notes"], "tabs": { "all-applications": {"fullname" : "All Applications", "shortname": "All Applications"}, "IP" : {"fullname" : "Immunoprecipitation", "shortname":"IP"}, "WB" : {"fullname" : "Western blot", "shortname":"WB"}, "IHCP" : {"fullname" : "Immunohistochemistry (Formalin/PFA-fixed paraffin-embedded sections)", "shortname":"IHC-P"}, "ICCIF" : {"fullname" : "Immunocytochemistry/ Immunofluorescence", "shortname":"ICC/IF"}, "FlowCytIntra" : {"fullname" : "Flow Cytometry (Intracellular)", "shortname":"Flow Cyt (Intra)"} }, "product-promise": { "all": "all", "testedAndGuaranteed": "tested", "guaranteed": "expected", "predicted": "predicted", "notRecommended": "not-recommended" } }, "values": { "Human": { "IP-species-checked": "notRecommended", "IP-species-dilution-info": "", "IP-species-notes": "<p></p>", "WB-species-checked": "testedAndGuaranteed", "WB-species-dilution-info": "1/25000 - 1/50000", "WB-species-notes": "<p></p>", "IHCP-species-checked": "testedAndGuaranteed", "IHCP-species-dilution-info": "1/250 - 1/500", "IHCP-species-notes": "<p></p>", "ICCIF-species-checked": "testedAndGuaranteed", "ICCIF-species-dilution-info": "1/500", "ICCIF-species-notes": "<p></p>", "FlowCytIntra-species-checked": "testedAndGuaranteed", "FlowCytIntra-species-dilution-info": "1/100", "FlowCytIntra-species-notes": "<p><a href='/en-us/products/primary-antibodies/rabbit-igg-monoclonal-epr25a-isotype-control-ab172730'>ab172730</a> - Rabbit monoclonal IgG, is suitable for use as an isotype control with this antibody.</p>" } } }

Product details

Species reactivity
Mouse, Rat: We have preliminary internal testing data to indicate this antibody may not react with these species.
Please contact us for more information.

Patented technology
Our RabMAb® technology is a patented hybridoma-based technology for making rabbit monoclonal antibodies. For details on our patents, please refer to RabMAb® patents.

What are the advantages of a recombinant monoclonal antibody?
This product is a recombinant monoclonal antibody, which offers several advantages including:

  • - High batch-to-batch consistency and reproducibility
  • - Improved sensitivity and specificity
  • - Long-term security of supply
  • - Animal-free batch production

For more information, read more on recombinant antibodies.

Properties and storage information

Form
Liquid
Purification technique
Affinity purification Protein A
Storage buffer
pH: 7.2 - 7.4 Preservative: 0.05% Sodium azide Constituents: 50% Tissue culture supernatant, 40% Glycerol (glycerin, glycerine), 9.85% Tris glycine, 0.1% BSA
Shipped at conditions
Blue Ice
Appropriate short-term storage conditions
+4°C
Appropriate long-term storage conditions
-20°C
Storage information
Stable for 12 months at -20°C

Supplementary information

This supplementary information is collated from multiple sources and compiled automatically.

AP2 gamma also known as TFAP2C functions as a transcription factor and belongs to the AP-2 family. AP2 gamma has a molecular weight of approximately 50 kDa. It regulates gene expression by binding to DNA sequence-specific sites influencing diverse cellular processes. This protein commonly expresses in tissues like mammary glands and is important in embryonic development. TFAP2C plays a role in differentiation and development across different cell types.
Biological function summary

AP2 gamma acts as a significant regulator of gene networks that control cell growth and differentiation. This protein contributes to transcriptional activation and repression often functioning within multiprotein complexes. It regulates the expression of genes involved in epithelial cell differentiation and morphogenesis. Importantly TFAP2C helps in the development of ectodermal tissues supporting cellular behaviors necessary for proper tissue formation.

Pathways

TFAP2C is involved in pathways that include developmental processes and differentiation. In particular it takes part in the Wnt signaling pathway influencing gene expression patterns that govern development. AP2 gamma interacts with proteins such as beta-catenin within the Wnt pathway modulating cell fate and proliferation. Another important pathway is the estrogen receptor signaling pathway where TFAP2C partners with proteins like ERα to regulate hormone-responsive genes.

AP2 gamma has links to breast cancer and neural tube defects. In breast cancer TFAP2C modulates genes associated with cancer progression and treatment response interacting with proteins like HER2. Mutations or dysregulation of TFAP2C can also lead to developmental anomalies like neural tube defects possibly due to altered gene expression during embryonic development. Understanding these connections provides insight into therapeutic strategies and developmental biology.

Product protocols

For this product, it's our understanding that no specific protocols are required. You can visit:

Target data

Sequence-specific DNA-binding protein that interacts with inducible viral and cellular enhancer elements to regulate transcription of selected genes. AP-2 factors bind to the consensus sequence 5'-GCCNNNGGC-3' and activate genes involved in a large spectrum of important biological functions including proper eye, face, body wall, limb and neural tube development. They also suppress a number of genes including MCAM/MUC18, C/EBP alpha and MYC. Involved in the MTA1-mediated epigenetic regulation of ESR1 expression in breast cancer.
See full target information Transcription factor AP-2 gamma

Publications (6)

Recent publications for all applications. Explore the full list and refine your search

Cell proliferation 55:e13317 PubMed35880490

2022

Epidermal growth factor induces a trophectoderm lineage transcriptome resembling that of human embryos during reconstruction of blastoids from extended pluripotent stem cells.

Applications

Unspecified application

Species

Unspecified reactive species

Yingying Zhang,Chenrui An,Yanhong Yu,Jiajing Lin,Long Jin,Chaohui Li,Tao Tan,Yang Yu,Yong Fan

Cancer science 114:63-74 PubMed35524544

2022

Oncogenic LINC00857 recruits TFAP2C to elevate FAT1 expression in gastric cancer.

Applications

Unspecified application

Species

Unspecified reactive species

Wenqing Zhang,Kaiyue Ji,Congcong Min,Cuiping Zhang,Lin Yang,Qi Zhang,Zibin Tian,Mengyuan Zhang,Xinyu Wang,Xiaoyu Li

Cell death discovery 8:160 PubMed35379779

2022

Smurf2-induced degradation of SMAD2 causes inhibition of hair follicle stem cell differentiation.

Applications

Unspecified application

Species

Unspecified reactive species

Bojie Lin,Dan Huang,Guanyu Lin,Yong Miao,Jin Wang,Zhexiang Fan,Zhiqi Hu

Molecular cancer research : MCR 18:46-56 PubMed31619506

2019

A Gene Signature Is Predictive of Outcome in HER2-Positive Breast Cancer.

Applications

Unspecified application

Species

Unspecified reactive species

Vincent T Wu,Boris Kiriazov,Kelsey E Koch,Vivian W Gu,Anna C Beck,Nicholas Borcherding,Tiandao Li,Peter Addo,Zachary J Wehrspan,Weizhou Zhang,Terry A Braun,Bartley J Brown,Vimla Band,Hamid Band,Mikhail V Kulak,Ronald J Weigel

Cell reports 25:3591-3602.e5 PubMed30590035

2018

The TFAP2C-Regulated OCT4 Naive Enhancer Is Involved in Human Germline Formation.

Applications

Unspecified application

Species

Unspecified reactive species

Di Chen,Wanlu Liu,Jill Zimmerman,William A Pastor,Rachel Kim,Linzi Hosohama,Jamie Ho,Marianna Aslanyan,Joanna J Gell,Steven E Jacobsen,Amander T Clark

Nature cell biology 20:553-564 PubMed29695788

2018

TFAP2C regulates transcription in human naive pluripotency by opening enhancers.

Applications

Unspecified application

Species

Unspecified reactive species

William A Pastor,Wanlu Liu,Di Chen,Jamie Ho,Rachel Kim,Timothy J Hunt,Anastasia Lukianchikov,Xiaodong Liu,Jose M Polo,Steven E Jacobsen,Amander T Clark
View all publications

Product promise

We are committed to supporting your work with high-quality reagents, and we're here for you every step of the way. In the unlikely event that one of our products does not perform as expected, you're protected by our Product Promise.
For full details, please see our Terms & Conditions

Please note: All products are 'FOR RESEARCH USE ONLY. NOT FOR USE IN DIAGNOSTIC OR THERAPEUTIC PROCEDURES'.

For licensing inquiries, please contact partnerships@abcam.com