JavaScript is disabled in your browser. Please enable JavaScript to view this website.
AB218107

Anti-AP2 gamma/TFAP2C antibody [EPR20331]

5

(1 Review)

|

(17 Publications)

Rabbit Recombinant Monoclonal AP2 gamma/TFAP2C antibody. Suitable for IP, WB, ICC/IF, Flow Cyt (Intra), IHC-P, mIHC and reacts with Human samples. Cited in 17 publications.

View Alternative Names

Transcription factor AP-2 gamma, AP2-gamma, Activating enhancer-binding protein 2 gamma, Transcription factor ERF-1, TFAP2C

12 Images
Multiplex immunohistochemistry - Anti-AP2 gamma/TFAP2C antibody [EPR20331] (AB218107)
  • mIHC

Lab

Multiplex immunohistochemistry - Anti-AP2 gamma/TFAP2C antibody [EPR20331] (AB218107)

Panel A : anti-SIGLEC6 (green; Opal™520), anti-TFAP2C (magenta; Opal™690) and anti-PLVAP/PV-1 (gray; Opal™570) on human placenta. Panel B : anti-SIGLEC6 staining membrane of trophoblast in human placenta. Panel C : anti-TFAP2C staining nucleus of trophoblast in human placenta. Panel D : anti-PLVAP/PV-1 staining endothelium in human placenta. Nuclear DNA was labeled with DAPI (shown in blue). The section was incubated in three rounds of staining : in the order of ab317307, ab218107 and ab321889 for 30 mins at room temperature. Each round was followed by a separate fluorescent tyramide signal amplification system. The immunostaining was performed on a Leica Biosystems BOND® RX instrument with an Opal™ 4-color kit. Image acquisition was performed with Leica SP8 confocal microscope.

Immunohistochemistry (Formalin/PFA-fixed paraffin-embedded sections) - Anti-AP2 gamma/TFAP2C antibody [EPR20331] (AB218107)
  • IHC-P

Supplier Data

Immunohistochemistry (Formalin/PFA-fixed paraffin-embedded sections) - Anti-AP2 gamma/TFAP2C antibody [EPR20331] (AB218107)

Immunohistochemical analysis of paraffin-embedded human breast cancer tissue labeling AP2 gamma/TFAP2C with ab218107 at 1/2000 dilution followed by Goat Anti-Rabbit IgG H&L (HRP) Ready to use.

Nuclear staining on poorly differentiated human breast cancer is observed. The data is consistent with the literature (PMID : 18825690).

Counter stained with Hematoxylin.

Secondary antibody only control : Used PBS instead of primary antibody secondary antibody is Goat Anti-Rabbit IgG H&L (HRP) Ready to use.

Perform heat mediated antigen retrieval with Tris/EDTA buffer pH 9.0 before commencing with IHC staining protocol.

Multiplex immunohistochemistry - Anti-AP2 gamma/TFAP2C antibody [EPR20331] (AB218107)
  • mIHC

Lab

Multiplex immunohistochemistry - Anti-AP2 gamma/TFAP2C antibody [EPR20331] (AB218107)

Multiplex immunohistochemistry analysis of formalin/PFA-fixed paraffin-embedded human placenta tissue staining PAPP A2 with ab307087 at a 1/5000 dilution, ab218107 anti-TFAP2C used at 1/200 dilution and ab315802 anti-CD34 used at a 1/2000 dilution.

Panel A : anti-PAPP A2 (green; Opal™520), anti-TFAP2C (magenta; Opal™690) and anti-CD34 (gray; Opal™570) on human placenta.

Panel B : anti-PAPP A2 staining cytoplasm of trophoblast in human placenta.

Panel C : anti-TFAP2C staining nucleus of trophoblast in human placenta.

Panel D : anti-CD34 staining endothelium in human placenta.

Nuclear DNA was labeled with DAPI (shown in blue).

The section was incubated in three rounds of staining : in the order of ab307087, ab218107 and ab315802 for 30 mins at room temperature. Each round was followed by a separate fluorescent tyramide signal amplification system.

The immunostaining was performed on a Leica Biosystems BOND® RX instrument with an Opal™ 4-color kit. Image acquisition was performed with Leica SP8 confocal microscope.

Heat mediated antigen retrieval was performed with Tris-EDTA buffer (pH 9.0, Epitope Retrieval Solution2) for 20 mins.

Immunocytochemistry/ Immunofluorescence - Anti-AP2 gamma/TFAP2C antibody [EPR20331] (AB218107)
  • ICC/IF

Supplier Data

Immunocytochemistry/ Immunofluorescence - Anti-AP2 gamma/TFAP2C antibody [EPR20331] (AB218107)

Immunofluorescent analysis of 4% paraformaldehyde-fixed 0.1% Triton X-100 permeabilized MCF7 (Human breast adenocarcinoma cell line) cells labeling AP2 gamma/TFAP2C with ab218107 at 1/500 dilution followed by Goat anti-rabbit IgG (Alexa Fluor® 488) (ab150077) secondary antibody at 1/1000 dilution (green).

Confocal image showing nuclear staining on MCF7 cell line.

The nuclear counterstain is DAPI (blue).

Tubulin is detected with ab195889 (Anti-alpha Tubulin antibody [DM1A] - Microtubule Marker (Alexa Fluor® 594)) at 1/200 dilution (red).

Secondary antibody only control : Used PBS instead of primary antibody secondary antibody is Goat anti-rabbit IgG (Alexa Fluor® 488) (ab150077) at 1/1000 dilution.

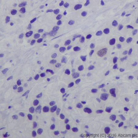
Immunohistochemistry (Formalin/PFA-fixed paraffin-embedded sections) - Anti-AP2 gamma/TFAP2C antibody [EPR20331] (AB218107)
  • IHC-P

Supplier Data

Immunohistochemistry (Formalin/PFA-fixed paraffin-embedded sections) - Anti-AP2 gamma/TFAP2C antibody [EPR20331] (AB218107)

Immunohistochemical analysis of paraffin-embedded human breast cancer tissue labeling AP2 gamma/TFAP2C with ab218107 at 1/2000 dilution followed by Goat Anti-Rabbit IgG H&L (HRP) Ready to use.

Almost all tumor cells show negative staining on moderately differentiated human breast cancer. The data is consistent with the literature (PMID : 18825690).

Counter stained with Hematoxylin.

Perform heat mediated antigen retrieval with Tris/EDTA buffer pH 9.0 before commencing with IHC staining protocol.

Immunocytochemistry/ Immunofluorescence - Anti-AP2 gamma/TFAP2C antibody [EPR20331] (AB218107)
  • ICC/IF

Supplier Data

Immunocytochemistry/ Immunofluorescence - Anti-AP2 gamma/TFAP2C antibody [EPR20331] (AB218107)

Immunofluorescent analysis of 4% paraformaldehyde-fixed 0.1% Triton X-100 permeabilized SK-BR-3 (Human mammary gland adenocarcinoma cell line) cells labeling AP2 gamma/TFAP2C with ab218107 at 1/500 dilution followed by Goat anti-rabbit IgG (Alexa Fluor® 488) (ab150077) secondary antibody at 1/1000 dilution (green).

Confocal image showing nuclear staining on SK-BR-3 cell line.

The nuclear counterstain is DAPI (blue). Tubulin is detected with ab195889 (Anti-alpha Tubulin antibody [DM1A] - Microtubule Marker (Alexa Fluor® 594)) at 1/200 dilution (red).

Secondary antibody only control : Used PBS instead of primary antibody secondary antibody is Goat anti-rabbit IgG (Alexa Fluor® 488) (ab150077) at 1/1000 dilution.

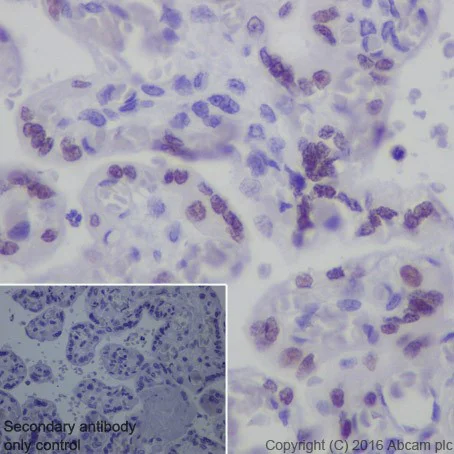
Immunohistochemistry (Formalin/PFA-fixed paraffin-embedded sections) - Anti-AP2 gamma/TFAP2C antibody [EPR20331] (AB218107)
  • IHC-P

Supplier Data

Immunohistochemistry (Formalin/PFA-fixed paraffin-embedded sections) - Anti-AP2 gamma/TFAP2C antibody [EPR20331] (AB218107)

Immunohistochemical analysis of paraffin-embedded human placenta tissue labeling AP2 gamma/TFAP2C with ab218107 at 1/2000 dilution followed by Goat Anti-Rabbit IgG H&L (HRP) Ready to use.

Nuclear staining on human placenta is observed.

Counter stained with Hematoxylin.

Secondary antibody only control : Used PBS instead of primary antibody secondary antibody is Goat Anti-Rabbit IgG H&L (HRP) Ready to use.

Perform heat mediated antigen retrieval with Tris/EDTA buffer pH 9.0 before commencing with IHC staining protocol.

Flow Cytometry (Intracellular) - Anti-AP2 gamma/TFAP2C antibody [EPR20331] (AB218107)
  • Flow Cyt (Intra)

Supplier Data

Flow Cytometry (Intracellular) - Anti-AP2 gamma/TFAP2C antibody [EPR20331] (AB218107)

Intracellular flow cytometric analysis of 4% paraformaldehyde-fixed SK-BR-3 (Human mammary gland adenocarcinoma cell line) cells labeling AP2 gamma/TFAP2Cwith ab218107 at 1/50 dilution (red) compared with a rabbit monoclonal IgG isotype control (ab172730; black) and an unlabeled control (cells without incubation with primary antibody and secondary antibody; blue). Goat anti rabbit IgG (Alexa Fluor® 488) at 1/2000 dilution was used as the secondary antibody.

Immunohistochemistry (Formalin/PFA-fixed paraffin-embedded sections) - Anti-AP2 gamma/TFAP2C antibody [EPR20331] (AB218107)
  • IHC-P

Supplier Data

Immunohistochemistry (Formalin/PFA-fixed paraffin-embedded sections) - Anti-AP2 gamma/TFAP2C antibody [EPR20331] (AB218107)

Immunohistochemical analysis of paraffin-embedded human breast tissue labeling AP2 gamma/TFAP2C with ab218107 at 1/2000 dilution followed by Goat Anti-Rabbit IgG H&L (HRP) Ready to use.

Nuclear staining on human normal breast is observed.

Counter stained with Hematoxylin.

Secondary antibody only control : Used PBS instead of primary antibody secondary antibody is Goat Anti-Rabbit IgG H&L (HRP) Ready to use.

Perform heat mediated antigen retrieval with Tris/EDTA buffer pH 9.0 before commencing with IHC staining protocol.

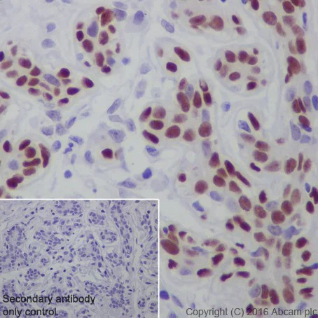
Immunohistochemistry (Formalin/PFA-fixed paraffin-embedded sections) - Anti-AP2 gamma/TFAP2C antibody [EPR20331] (AB218107)
  • IHC-P

Supplier Data

Immunohistochemistry (Formalin/PFA-fixed paraffin-embedded sections) - Anti-AP2 gamma/TFAP2C antibody [EPR20331] (AB218107)

Immunohistochemical analysis of paraffin-embedded human seminoma tissue labeling AP2 gamma/TFAP2C with ab218107 at 1/2000 dilution followed by Goat Anti-Rabbit IgG H&L (HRP) Ready to use.

Nucleus staining on human seminoma is observed.

Counter stained with Hematoxylin.

Secondary antibody only control : Used PBS instead of primary antibody secondary antibody is Goat Anti-Rabbit IgG H&L (HRP) Ready to use.

Perform heat mediated antigen retrieval with Tris/EDTA buffer pH 9.0 before commencing with IHC staining protocol.

Immunoprecipitation - Anti-AP2 gamma/TFAP2C antibody [EPR20331] (AB218107)
  • IP

Supplier Data

Immunoprecipitation - Anti-AP2 gamma/TFAP2C antibody [EPR20331] (AB218107)

AP2 gamma/TFAP2C was immunoprecipitated from 0.35 mg of MCF7 (Human breast adenocarcinoma cell line) whole cell lysate with ab218107 at 1/30 dilution.

Western blot was performed from the immunoprecipitate using ab218107 at 1/1000 dilution.

VeriBlot for IP Detection Reagent (HRP) (ab131366), was used for detection at 1/10000 dilution.

Lane 1 : MCF7 whole cell lysate, 10 μg (Input).

Lane 2 : ab218107 IP in MCF7 whole cell lysate.

Lane 3 : Rabbit monoclonal IgG (ab172730) instead of ab2018107 in MCF7 whole cell lysate.

Blocking and dilution buffer and concentration : 5% NFDM/TBST.

Exposure time : 10 seconds.

All lanes:

Immunoprecipitation - Anti-AP2 gamma/TFAP2C antibody [EPR20331] (ab218107)

Predicted band size: 49 kDa

Observed band size: 49 kDa

false

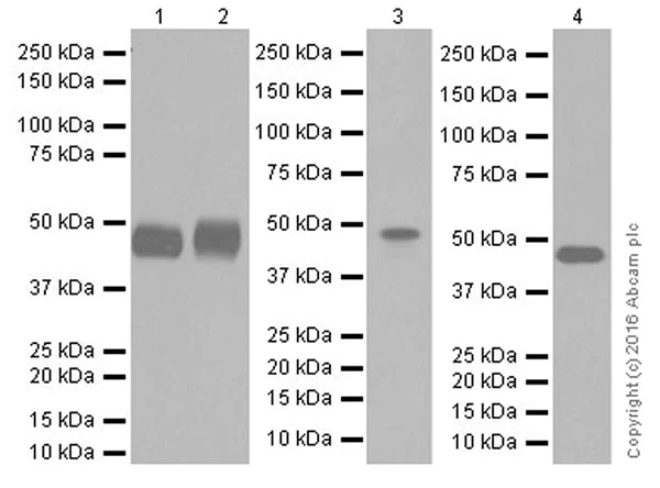
Western blot - Anti-AP2 gamma/TFAP2C antibody [EPR20331] (AB218107)
  • WB

Supplier Data

Western blot - Anti-AP2 gamma/TFAP2C antibody [EPR20331] (AB218107)

Blocking/Dilution buffer : 5% NFDM/TBST.

Exposure time : Lane 1/2 : 30 seconds; Lane 3 : 10 seconds; Lane 4 : 3 minutes.

Lanes 1 - 2:

Western blot - Anti-AP2 gamma/TFAP2C antibody [EPR20331] (ab218107) at 1/1000 dilution

Lanes 3 - 4:

Western blot - Anti-AP2 gamma/TFAP2C antibody [EPR20331] (ab218107) at 1/2000 dilution

Lane 1:

SK-BR-3 (Human mammary gland adenocarcinoma cell line) whole cell lysate at 10 µg

Lane 2:

MDA-MB-435S (Human ductal carcinoma cell line) whole cell lysate at 10 µg

Lane 3:

MCF7 (Human breast adenocarcinoma cell line) whole cell lysate at 10 µg

Lane 4:

T-47D (Human ductal breast epithelial tumor cell line) whole cell lysate at 10 µg

Secondary

All lanes:

Western blot - Goat Anti-Rabbit IgG H&L (HRP) (<a href='/en-us/products/secondary-antibodies/goat-rabbit-igg-h-l-hrp-ab97051'>ab97051</a>) at 1/100000 dilution

Predicted band size: 49 kDa

Observed band size: 49 kDa

false

  • Carrier free

    Anti-AP2 gamma/TFAP2C antibody [EPR20331] - BSA and Azide free

Key facts

Host species

Rabbit

Clonality

Monoclonal

Clone number

EPR20331

Isotype

IgG

Carrier free

No

Reacts with

Human

Applications

Flow Cyt (Intra), IP, mIHC, ICC/IF, IHC-P, WB

applications

Immunogen

The exact immunogen used to generate this antibody is proprietary information.

Reactivity data

{ "title": "Reactivity Data", "filters": { "stats": ["", "Species", "Dilution Info", "Notes"], "tabs": { "all-applications": {"fullname" : "All Applications", "shortname": "All Applications"}, "IP" : {"fullname" : "Immunoprecipitation", "shortname":"IP"}, "WB" : {"fullname" : "Western blot", "shortname":"WB"}, "ICCIF" : {"fullname" : "Immunocytochemistry/ Immunofluorescence", "shortname":"ICC/IF"}, "FlowCytIntra" : {"fullname" : "Flow Cytometry (Intracellular)", "shortname":"Flow Cyt (Intra)"}, "IHCP" : {"fullname" : "Immunohistochemistry (Formalin/PFA-fixed paraffin-embedded sections)", "shortname":"IHC-P"}, "mIHC" : {"fullname" : "Multiplex immunohistochemistry", "shortname":"mIHC"} }, "product-promise": { "all": "all", "testedAndGuaranteed": "tested", "guaranteed": "expected", "predicted": "predicted", "notRecommended": "not-recommended" } }, "values": { "Human": { "IP-species-checked": "testedAndGuaranteed", "IP-species-dilution-info": "1/30", "IP-species-notes": "<p></p>", "WB-species-checked": "testedAndGuaranteed", "WB-species-dilution-info": "1/1000", "WB-species-notes": "<p></p>", "ICCIF-species-checked": "testedAndGuaranteed", "ICCIF-species-dilution-info": "1/500", "ICCIF-species-notes": "<p></p>", "FlowCytIntra-species-checked": "testedAndGuaranteed", "FlowCytIntra-species-dilution-info": "1/50", "FlowCytIntra-species-notes": "<p></p>", "IHCP-species-checked": "testedAndGuaranteed", "IHCP-species-dilution-info": "1/2000", "IHCP-species-notes": "<p></p> Perform heat-mediated antigen retrieval with Tris/EDTA buffer pH 9.0 before commencing with IHC staining protocol.", "mIHC-species-checked": "testedAndGuaranteed", "mIHC-species-dilution-info": "1/200", "mIHC-species-notes": "<p></p> Perform heat-mediated antigen retrieval with Tris/EDTA buffer pH 9.0 before commencing with IHC staining protocol." } } }

Product details

Patented technology
Our RabMAb® technology is a patented hybridoma-based technology for making rabbit monoclonal antibodies. For details on our patents, please refer to RabMAb® patents.

What are the advantages of a recombinant monoclonal antibody?
This product is a recombinant monoclonal antibody, which offers several advantages including:

  • - High batch-to-batch consistency and reproducibility
  • - Improved sensitivity and specificity
  • - Long-term security of supply
  • - Animal-free batch production

For more information, read more on recombinant antibodies.

Properties and storage information

Form
Liquid
Purification technique
Affinity purification Protein A
Storage buffer
pH: 7.2 - 7.4 Preservative: 0.01% Sodium azide Constituents: PBS, 40% Glycerol (glycerin, glycerine), 0.05% BSA
Shipped at conditions
Blue Ice
Appropriate short-term storage duration
1-2 weeks
Appropriate short-term storage conditions
+4°C
Appropriate long-term storage conditions
-20°C
Aliquoting information
Upon delivery aliquot
Storage information
Avoid freeze / thaw cycle

Supplementary information

This supplementary information is collated from multiple sources and compiled automatically.

AP2 gamma also known as TFAP2C functions as a transcription factor and belongs to the AP-2 family. AP2 gamma has a molecular weight of approximately 50 kDa. It regulates gene expression by binding to DNA sequence-specific sites influencing diverse cellular processes. This protein commonly expresses in tissues like mammary glands and is important in embryonic development. TFAP2C plays a role in differentiation and development across different cell types.
Biological function summary

AP2 gamma acts as a significant regulator of gene networks that control cell growth and differentiation. This protein contributes to transcriptional activation and repression often functioning within multiprotein complexes. It regulates the expression of genes involved in epithelial cell differentiation and morphogenesis. Importantly TFAP2C helps in the development of ectodermal tissues supporting cellular behaviors necessary for proper tissue formation.

Pathways

TFAP2C is involved in pathways that include developmental processes and differentiation. In particular it takes part in the Wnt signaling pathway influencing gene expression patterns that govern development. AP2 gamma interacts with proteins such as beta-catenin within the Wnt pathway modulating cell fate and proliferation. Another important pathway is the estrogen receptor signaling pathway where TFAP2C partners with proteins like ERα to regulate hormone-responsive genes.

AP2 gamma has links to breast cancer and neural tube defects. In breast cancer TFAP2C modulates genes associated with cancer progression and treatment response interacting with proteins like HER2. Mutations or dysregulation of TFAP2C can also lead to developmental anomalies like neural tube defects possibly due to altered gene expression during embryonic development. Understanding these connections provides insight into therapeutic strategies and developmental biology.

Product protocols

For this product, it's our understanding that no specific protocols are required. You can visit:

Target data

Sequence-specific DNA-binding protein that interacts with inducible viral and cellular enhancer elements to regulate transcription of selected genes. AP-2 factors bind to the consensus sequence 5'-GCCNNNGGC-3' and activate genes involved in a large spectrum of important biological functions including proper eye, face, body wall, limb and neural tube development. They also suppress a number of genes including MCAM/MUC18, C/EBP alpha and MYC. Involved in the MTA1-mediated epigenetic regulation of ESR1 expression in breast cancer.
See full target information Transcription factor AP-2 gamma

Publications (17)

Recent publications for all applications. Explore the full list and refine your search

Genes & diseases 12:101565 PubMed40837414

2025

Menin facilitates the cell proliferation of bladder cancer via modulating the TFAP2C/β-catenin axis.

Applications

Unspecified application

Species

Unspecified reactive species

Qing Shi,Xiang Pan,Shiheng Zhang,Mengyuan Wu,Meiqi Xu,Yun-Qi Li,Li Zhong,Zi-Qi Wang,Wanhai Xu,Yakun Luo

Journal of clinical biochemistry and nutrition 77:1-9 PubMed40777819

2025

TFAP2C activates PTGES through the NOTCH3 signaling pathway to affect gefitinib resistance in lung adenocarcinoma.

Applications

Unspecified application

Species

Unspecified reactive species

Junmeng Xiao,Jianwei Cao,Lei Zhu,Jianbin Hou

American journal of cancer research 15:894-928 PubMed40226463

2025

Epigenetic regulation and tumor suppressive function of lncRNA EP300-AS1 in nasopharyngeal carcinoma through activation of TFAP2C binding to CST6: implications for diagnosis, prognosis, and therapy.

Applications

Unspecified application

Species

Unspecified reactive species

Chengliang Xing,Shun Ding,Tingting Duan,Zhiqun Li,Jinren Yan,Yu Kuang,Qibing Liu,Zhonglin Mu

Biology direct 19:135 PubMed39716275

2024

TFAP2C-mediated transcriptional activation of STEAP3 promotes lung squamous cell carcinoma progression by regulating the β-catenin pathway.

Applications

Unspecified application

Species

Unspecified reactive species

Tong Sun,Zhiguang Yang

Cellular and molecular life sciences : CMLS 81:208 PubMed38710919

2024

PRDM14 extinction enables the initiation of trophoblast stem cell formation.

Applications

Unspecified application

Species

Unspecified reactive species

Chunfang Xu,Weijie Zhao,Lijin Peng,Tingxuan Yin,Jiani Guo,Yue Li,Lu Liu,Jinying Yang,Congjian Xu,Meirong Du

Developmental cell 58:1477-1488.e5 PubMed37354899

2023

Loss of TJP1 disrupts gastrulation patterning and increases differentiation toward the germ cell lineage in human pluripotent stem cells.

Applications

Unspecified application

Species

Unspecified reactive species

Ivana Vasic,Ashley R G Libby,Annie Maslan,Emily A Bulger,David Zalazar,Martina Z Krakora Compagno,Aaron Streets,Kiichiro Tomoda,Shinya Yamanaka,Todd C McDevitt

Molecular carcinogenesis 62:532-545 PubMed36752341

2023

KLF14/miR-1283/TFAP2C axis inhibits HER2-positive breast cancer progression via declining tumor cell proliferation.

Applications

Unspecified application

Species

Unspecified reactive species

Xue-Zhong Chen,Wen-Xing He,Rong-Guang Luo,Guo-Jin Xia,Jin-Xiu Zhong,Qing-Jie Chen,Yu-Ying Huang,Yan-Xing Guan

Cell cycle (Georgetown, Tex.) 22:967-985 PubMed36710409

2023

Deficiency of lipopolysaccharide binding protein facilitates adipose browning, glucose uptake and oxygen consumption in mouse embryonic fibroblasts via activating PI3K/Akt/mTOR pathway and inhibiting autophagy.

Applications

Unspecified application

Species

Unspecified reactive species

Xueyao Yin,Zhiye Xu,Xinxin Zhang,Jiahua Wu,Weina Lu

Cell & bioscience 12:194 PubMed36457060

2022

PGCLCs of human 45,XO reveal pathogenetic pathways of neurocognitive and psychosocial disorders.

Applications

Unspecified application

Species

Unspecified reactive species

Dantong Shang,Tian Lan,Yue Wang,Xuanyu Li,Quanyi Liu,Huimin Dong,Bo Xu,Hanhua Cheng,Rongjia Zhou

Science advances 8:eabo5668 PubMed35857527

2022

Cis-regulatory chromatin loops analysis identifies GRHL3 as a master regulator of surface epithelium commitment.

Applications

Unspecified application

Species

Unspecified reactive species

Huaxing Huang,Jiafeng Liu,Mingsen Li,Huizhen Guo,Jin Zhu,Liqiong Zhu,Siqi Wu,Kunlun Mo,Ying Huang,Jieying Tan,Chaoqun Chen,Bofeng Wang,Yankun Yu,Li Wang,Yizhi Liu,Hong Ouyang
View all publications

Product promise

We are committed to supporting your work with high-quality reagents, and we're here for you every step of the way. In the unlikely event that one of our products does not perform as expected, you're protected by our Product Promise.
For full details, please see our Terms & Conditions

Please note: All products are 'FOR RESEARCH USE ONLY. NOT FOR USE IN DIAGNOSTIC OR THERAPEUTIC PROCEDURES'.

For licensing inquiries, please contact partnerships@abcam.com