JavaScript is disabled in your browser. Please enable JavaScript to view this website.
AB242393

Anti-AP2S1 antibody [EPR2697(2)] - BSA and Azide free

Be the first to review this product! Submit a review

|

(1 Publication)

Rabbit Recombinant Monoclonal AP2S1 antibody. Carrier free. Suitable for IP, WB, IHC-P and reacts with Human, Mouse, Rat samples. Cited in 1 publication.

View Alternative Names

AP17, CLAPS2, AP2S1, AP-2 complex subunit sigma, Adaptor protein complex AP-2 subunit sigma, Adaptor-related protein complex 2 subunit sigma, Clathrin assembly protein 2 sigma small chain, Clathrin coat assembly protein AP17, Clathrin coat-associated protein AP17, HA2 17 kDa subunit, Plasma membrane adaptor AP-2 17 kDa protein, Sigma2-adaptin

5 Images
Immunohistochemistry (Formalin/PFA-fixed paraffin-embedded sections) - Anti-AP2S1 antibody [EPR2697(2)] - BSA and Azide free (AB242393)
  • IHC-P

Unknown

Immunohistochemistry (Formalin/PFA-fixed paraffin-embedded sections) - Anti-AP2S1 antibody [EPR2697(2)] - BSA and Azide free (AB242393)

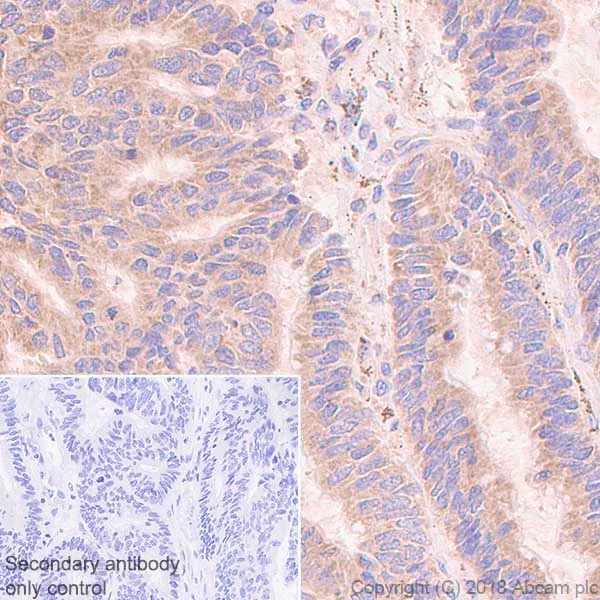
ab128950, at a 1/250 dilution, staining AP2S1 in paraffin embedded human colon carcinoma tissue by Immunohistochemistry.

This data was developed using the same antibody clone in a different buffer formulation containing PBS, BSA, glycerol, and sodium azide (ab128950).

Immunohistochemistry (Formalin/PFA-fixed paraffin-embedded sections) - Anti-AP2S1 antibody [EPR2697(2)] - BSA and Azide free (AB242393)
  • IHC-P

Unknown

Immunohistochemistry (Formalin/PFA-fixed paraffin-embedded sections) - Anti-AP2S1 antibody [EPR2697(2)] - BSA and Azide free (AB242393)

Immunohistochemistry (Formalin/PFA-fixed paraffin-embedded sections) analysis of Human thyroid carcinoma tissue sections labeling AP2S1 with purified ab128950 at 1 : 100 dilution (12.07 μg/ml). Heat mediated antigen retrieval was performed using ab93684 (Tris/EDTA buffer, pH 9.0). ImmunoHistoProbe one step HRP Polymer (ready to use)was used as the secondary antibody. Negative control : PBS instead of the primary antibody. Hematoxylin was used as a counterstain.

Immunohistochemistry (Formalin/PFA-fixed paraffin-embedded sections) - Anti-AP2S1 antibody [EPR2697(2)] - BSA and Azide free (AB242393)
  • IHC-P

Unknown

Immunohistochemistry (Formalin/PFA-fixed paraffin-embedded sections) - Anti-AP2S1 antibody [EPR2697(2)] - BSA and Azide free (AB242393)

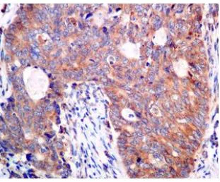
ab128950, at a 1/250 dilution, staining AP2S1 in paraffin embedded human breast carcinoma tissue by Immunohistochemistry.

This data was developed using the same antibody clone in a different buffer formulation containing PBS, BSA, glycerol, and sodium azide (ab128950).

Immunohistochemistry (Formalin/PFA-fixed paraffin-embedded sections) - Anti-AP2S1 antibody [EPR2697(2)] - BSA and Azide free (AB242393)
  • IHC-P

Unknown

Immunohistochemistry (Formalin/PFA-fixed paraffin-embedded sections) - Anti-AP2S1 antibody [EPR2697(2)] - BSA and Azide free (AB242393)

Immunohistochemistry (Formalin/PFA-fixed paraffin-embedded sections) analysis of Human colon carcinoma tissue sections labeling AP2S1 with purified ab128950 at 1 : 100 dilution (12.07 μg/ml). Heat mediated antigen retrieval was performed using ab93684 (Tris/EDTA buffer, pH 9.0). ImmunoHistoProbe one step HRP Polymer (ready to use)was used as the secondary antibody. Negative control : PBS instead of the primary antibody. Hematoxylin was used as a counterstain.

Immunoprecipitation - Anti-AP2S1 antibody [EPR2697(2)] - BSA and Azide free (AB242393)
  • IP

Unknown

Immunoprecipitation - Anti-AP2S1 antibody [EPR2697(2)] - BSA and Azide free (AB242393)

ab128950 (purified) at 1 : 60 dilution (2μg) immunoprecipitating AP2S1 in Human fetal brain lysate.
Lane 1 (input) : Human fetal brain lysate 10μg
Lane 2 (+) : ab128950 & Human fetal brain lysate
Lane 3 (-) : Rabbit monoclonal IgG (ab172730) instead of ab128950 in Human fetal brain lysate
For western blotting, VeriBlot for IP Detection Reagent (HRP) (ab131366) was used for detection at 1 : 1000 dilution.
Blocking and diluting buffer : 5% NFDM/TBST.

All lanes:

Immunoprecipitation - Anti-AP2S1 antibody [EPR2697(2)] (<a href='/en-us/products/primary-antibodies/ap2s1-antibody-epr26972-ab128950'>ab128950</a>)

Predicted band size: 17 kDa

false

Key facts

Host species

Rabbit

Clonality

Monoclonal

Clone number

EPR2697(2)

Isotype

IgG

Carrier free

Yes

Reacts with

Mouse, Rat, Human

Applications

IHC-P, WB, IP

applications

Immunogen

The exact immunogen used to generate this antibody is proprietary information.

Specificity

The mouse and rat recommendation is based on the WB results. We do not guarantee IHC-P for mouse and rat.

Reactivity data

{ "title": "Reactivity Data", "filters": { "stats": ["", "Species", "Dilution Info", "Notes"], "tabs": { "all-applications": {"fullname" : "All Applications", "shortname": "All Applications"}, "IP" : {"fullname" : "Immunoprecipitation", "shortname":"IP"}, "FlowCyt" : {"fullname" : "Flow Cytometry", "shortname":"Flow Cyt"}, "WB" : {"fullname" : "Western blot", "shortname":"WB"}, "ICCIF" : {"fullname" : "Immunocytochemistry/ Immunofluorescence", "shortname":"ICC/IF"}, "IHCP" : {"fullname" : "Immunohistochemistry (Formalin/PFA-fixed paraffin-embedded sections)", "shortname":"IHC-P"} }, "product-promise": { "all": "all", "testedAndGuaranteed": "tested", "guaranteed": "expected", "predicted": "predicted", "notRecommended": "not-recommended" } }, "values": { "Human": { "IP-species-checked": "testedAndGuaranteed", "IP-species-dilution-info": "", "IP-species-notes": "<p></p>", "FlowCyt-species-checked": "notRecommended", "FlowCyt-species-dilution-info": "", "FlowCyt-species-notes": "<p></p>", "WB-species-checked": "guaranteed", "WB-species-dilution-info": "", "WB-species-notes": "<p></p>", "ICCIF-species-checked": "notRecommended", "ICCIF-species-dilution-info": "", "ICCIF-species-notes": "<p></p>", "IHCP-species-checked": "testedAndGuaranteed", "IHCP-species-dilution-info": "", "IHCP-species-notes": "<p>The mouse and rat recommendation is based on the WB results. We do not guarantee IHC-P for mouse and rat.</p>" }, "Mouse": { "IP-species-checked": "predicted", "IP-species-dilution-info": "", "IP-species-notes": "", "FlowCyt-species-checked": "notRecommended", "FlowCyt-species-dilution-info": "", "FlowCyt-species-notes": "<p></p>", "WB-species-checked": "guaranteed", "WB-species-dilution-info": "", "WB-species-notes": "<p></p>", "ICCIF-species-checked": "notRecommended", "ICCIF-species-dilution-info": "", "ICCIF-species-notes": "<p></p>", "IHCP-species-checked": "predicted", "IHCP-species-dilution-info": "", "IHCP-species-notes": "" }, "Rat": { "IP-species-checked": "predicted", "IP-species-dilution-info": "", "IP-species-notes": "", "FlowCyt-species-checked": "notRecommended", "FlowCyt-species-dilution-info": "", "FlowCyt-species-notes": "<p></p>", "WB-species-checked": "guaranteed", "WB-species-dilution-info": "", "WB-species-notes": "<p></p>", "ICCIF-species-checked": "notRecommended", "ICCIF-species-dilution-info": "", "ICCIF-species-notes": "<p></p>", "IHCP-species-checked": "predicted", "IHCP-species-dilution-info": "", "IHCP-species-notes": "" } } }

Product details

ab242393 is the carrier-free version of ab128950.

Patented technology
Our RabMAb® technology is a patented hybridoma-based technology for making rabbit monoclonal antibodies. For details on our patents, please refer to RabMAb® patents.

What are the advantages of a recombinant monoclonal antibody?
This product is a recombinant monoclonal antibody, which offers several advantages including:

  • - High batch-to-batch consistency and reproducibility
  • - Improved sensitivity and specificity
  • - Long-term security of supply
  • - Animal-free batch production

For more information, read more on recombinant antibodies.

Conjugation ready
Our carrier-free antibodies are typically supplied in a PBS-only formulation, purified and free of BSA, sodium azide and glycerol. This conjugation-ready format is designed for use with fluorochromes, metal isotopes, oligonucleotides, and enzymes, which makes them ideal for antibody labelling, functional and cell-based assays, flow-based assays (e.g. mass cytometry) and Multiplex Imaging applications.

Use our conjugation kits for antibody conjugates that are ready-to-use in as little as 20 minutes with 1 minute hands-on-time and 100% antibody recovery: available for fluorescent dyes, HRP, biotin and gold.

Compatibility
This product is compatible with the Maxpar® Antibody Labeling Kit from Fluidigm, without the need for antibody preparation. Maxpar® is a trademark of Fluidigm Canada Inc.

Properties and storage information

Form
Liquid
Purification technique
Affinity purification Protein A
Storage buffer
pH: 7.2 - 7.4 Constituents: PBS
Shipped at conditions
Blue Ice
Appropriate short-term storage conditions
+4°C
Appropriate long-term storage conditions
+4°C
Storage information
Do Not Freeze

Supplementary information

This supplementary information is collated from multiple sources and compiled automatically.

AP2S1 also known as adaptor-related protein complex 2 sigma 1 subunit is a protein with an estimated molecular mass of approximately 20 kDa. It is expressed in various human tissues but shows higher expression in the brain. This protein is a component of the adaptor protein 2 (AP-2) complex which plays an important role in clathrin-mediated endocytosis a process essential for the internalization of various molecules into the cell.
Biological function summary

The AP2S1 protein functions as part of the AP-2 complex which regulates the recruitment of clathrin to the plasma membrane facilitating the formation of clathrin-coated vesicles. These vesicles help in the transport of transferrin and its receptor and also influence the internalization of membrane proteins and lipids. This efficient transport system supports cellular activities like receptor recycling and nutrient uptake making it an important participant in cellular homeostasis.

Pathways

AP2S1 is involved in endocytic and vesicular transport pathways. It plays a role in the endocytic trafficking pathway that includes the involvement of other proteins like clathrin and AP2B1 which work together to manage cellular intake of nutrients and receptor-ligand complexes. The AP-2 complex functions as a bridge between cargo proteins and the clathrin lattice during the formation of transport vesicles controlling vital cellular processes.

AP2S1 has implications in conditions like familial hypocalciuric hypercalcemia type 3 (FHH3) and Brooks-Widemann Syndrome. Mutations in the AP2S1 gene disrupt the normal calcium-sensing receptor pathway which leads to altered calcium homeostasis manifesting as hypercalcemia in patients with FHH3. This condition links AP2S1 functionally with proteins involved in calcium regulation highlighting its significance in maintaining cellular and systemic equilibrium.

Product protocols

For this product, it's our understanding that no specific protocols are required. You can visit:

Target data

Component of the adaptor protein complex 2 (AP-2). Adaptor protein complexes function in protein transport via transport vesicles in different membrane traffic pathways. Adaptor protein complexes are vesicle coat components and appear to be involved in cargo selection and vesicle formation. AP-2 is involved in clathrin-dependent endocytosis in which cargo proteins are incorporated into vesicles surrounded by clathrin (clathrin-coated vesicles, CCVs) which are destined for fusion with the early endosome. The clathrin lattice serves as a mechanical scaffold but is itself unable to bind directly to membrane components. Clathrin-associated adaptor protein (AP) complexes which can bind directly to both the clathrin lattice and to the lipid and protein components of membranes are considered to be the major clathrin adaptors contributing the CCV formation. AP-2 also serves as a cargo receptor to selectively sort the membrane proteins involved in receptor-mediated endocytosis. AP-2 seems to play a role in the recycling of synaptic vesicle membranes from the presynaptic surface. AP-2 recognizes Y-X-X-[FILMV] (Y-X-X-Phi) and [ED]-X-X-X-L-[LI] endocytosis signal motifs within the cytosolic tails of transmembrane cargo molecules. AP-2 may also play a role in maintaining normal post-endocytic trafficking through the ARF6-regulated, non-clathrin pathway. The AP-2 alpha and AP-2 sigma subunits are thought to contribute to the recognition of the [ED]-X-X-X-L-[LI] motif (By similarity). May also play a role in extracellular calcium homeostasis.
See full target information AP2S1

Publications (1)

Recent publications for all applications. Explore the full list and refine your search

Frontiers in cardiovascular medicine 11:1360364 PubMed38576426

2024

SARS-CoV-2 infection of endothelial cells, dependent on flow-induced ACE2 expression, drives hypercytokinemia in a vascularized microphysiological system.

Applications

Unspecified application

Species

Unspecified reactive species

Christopher J Hatch,Sebastian D Piombo,Jennifer S Fang,Johannes S Gach,Makena L Ewald,William K Van Trigt,Brian G Coon,Jay M Tong,Donald N Forthal,Christopher C W Hughes
View all publications

Product promise

We are committed to supporting your work with high-quality reagents, and we're here for you every step of the way. In the unlikely event that one of our products does not perform as expected, you're protected by our Product Promise.
For full details, please see our Terms & Conditions

Please note: All products are 'FOR RESEARCH USE ONLY. NOT FOR USE IN DIAGNOSTIC OR THERAPEUTIC PROCEDURES'.

For licensing inquiries, please contact partnerships@abcam.com