JavaScript is disabled in your browser. Please enable JavaScript to view this website.
AB182000

Anti-AP3M2 antibody [EPR12966]

Be the first to review this product! Submit a review

|

(1 Publication)

Rabbit Recombinant Monoclonal AP3M2 antibody. Suitable for WB, Flow Cyt (Intra), IHC-P and reacts with Human samples. Cited in 1 publication.

View Alternative Names

AP-3 complex subunit mu-2, Adaptor-related protein complex 3 subunit mu-2, Clathrin assembly protein assembly protein complex 3 mu-2 medium chain, Clathrin coat assembly protein AP47 homolog 2, Clathrin coat-associated protein AP47 homolog 2, Golgi adaptor AP-1 47 kDa protein homolog 2, HA1 47 kDa subunit homolog 2, Mu3B-adaptin, P47B, AP3M2

3 Images
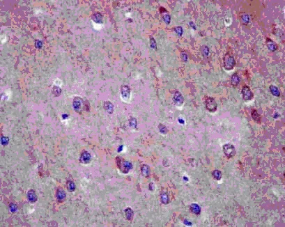
Immunohistochemistry (Formalin/PFA-fixed paraffin-embedded sections) - Anti-AP3M2 antibody [EPR12966] (AB182000)
  • IHC-P

Unknown

Immunohistochemistry (Formalin/PFA-fixed paraffin-embedded sections) - Anti-AP3M2 antibody [EPR12966] (AB182000)

Immunohistochemical analysis of paraffin-embedded Human brain tissue labeling AP3M2 with ab182000 at 1/50 dilution followed by pre-diluted HRP-conjugated secondary antibody and counter-stained with Hematoxylin.

Perform heat mediated antigen retrieval with EDTA buffer pH 9 before commencing with IHC staining protocol.

Flow Cytometry (Intracellular) - Anti-AP3M2 antibody [EPR12966] (AB182000)
  • Flow Cyt (Intra)

Supplier Data

Flow Cytometry (Intracellular) - Anti-AP3M2 antibody [EPR12966] (AB182000)

Intracellular flow cytometric analysis of SH-SY5Ycells (paraformaldehyde-fixed, 2%) labeling AP3M2 with ab182000 at 1/50 dilution (red) or a rabbit IgG (negative) (green), followed by secondary Goat anti rabbit IgG (FITC) at 1/150 dilution.

Western blot - Anti-AP3M2 antibody [EPR12966] (AB182000)
  • WB

Supplier Data

Western blot - Anti-AP3M2 antibody [EPR12966] (AB182000)

All lanes:

Western blot - Anti-AP3M2 antibody [EPR12966] (ab182000) at 1/10000 dilution

Lane 1:

HepG2 cell lysate at 20 µg

Lane 2:

U87-MG cell lysate at 20 µg

Lane 3:

SH-SY5Y cell lysate at 20 µg

Secondary

All lanes:

Goat Anti-Rabbit IgG, (H+L)-HRP at 1/1000 dilution

Predicted band size: 47 kDa

false

  • Carrier free

    Anti-AP3M2 antibody [EPR12966] - BSA and Azide free

Key facts

Host species

Rabbit

Clonality

Monoclonal

Clone number

EPR12966

Isotype

IgG

Carrier free

No

Reacts with

Human

Applications

IHC-P, Flow Cyt (Intra), WB

applications

Immunogen

The exact immunogen used to generate this antibody is proprietary information.

Reactivity data

{ "title": "Reactivity Data", "filters": { "stats": ["", "Species", "Dilution Info", "Notes"], "tabs": { "all-applications": {"fullname" : "All Applications", "shortname": "All Applications"}, "WB" : {"fullname" : "Western blot", "shortname":"WB"}, "FlowCytIntra" : {"fullname" : "Flow Cytometry (Intracellular)", "shortname":"Flow Cyt (Intra)"}, "IHCP" : {"fullname" : "Immunohistochemistry (Formalin/PFA-fixed paraffin-embedded sections)", "shortname":"IHC-P"} }, "product-promise": { "all": "all", "testedAndGuaranteed": "tested", "guaranteed": "expected", "predicted": "predicted", "notRecommended": "not-recommended" } }, "values": { "Human": { "WB-species-checked": "testedAndGuaranteed", "WB-species-dilution-info": "1/1000 - 1/10000", "WB-species-notes": "<p></p>", "FlowCytIntra-species-checked": "testedAndGuaranteed", "FlowCytIntra-species-dilution-info": "1/50", "FlowCytIntra-species-notes": "<p><a href='/en-us/products/primary-antibodies/rabbit-igg-monoclonal-epr25a-isotype-control-ab172730'>ab172730</a> - Rabbit monoclonal IgG, is suitable for use as an isotype control with this antibody.</p>", "IHCP-species-checked": "testedAndGuaranteed", "IHCP-species-dilution-info": "1/50 - 1/100", "IHCP-species-notes": "<p></p>" }, "Mouse": { "WB-species-checked": "predicted", "WB-species-dilution-info": "", "WB-species-notes": "", "FlowCytIntra-species-checked": "predicted", "FlowCytIntra-species-dilution-info": "", "FlowCytIntra-species-notes": "", "IHCP-species-checked": "predicted", "IHCP-species-dilution-info": "", "IHCP-species-notes": "" }, "Rat": { "WB-species-checked": "predicted", "WB-species-dilution-info": "", "WB-species-notes": "", "FlowCytIntra-species-checked": "predicted", "FlowCytIntra-species-dilution-info": "", "FlowCytIntra-species-notes": "", "IHCP-species-checked": "predicted", "IHCP-species-dilution-info": "", "IHCP-species-notes": "" } } }

Product details

Patented technology
Our RabMAb® technology is a patented hybridoma-based technology for making rabbit monoclonal antibodies. For details on our patents, please refer to RabMAb® patents.

What are the advantages of a recombinant monoclonal antibody?
This product is a recombinant monoclonal antibody, which offers several advantages including:

  • - High batch-to-batch consistency and reproducibility
  • - Improved sensitivity and specificity
  • - Long-term security of supply
  • - Animal-free batch production

For more information, read more on recombinant antibodies.

Properties and storage information

Form
Liquid
Purification technique
Affinity purification Protein A
Storage buffer
Preservative: 0.01% Sodium azide Constituents: PBS, 40% Glycerol (glycerin, glycerine), 0.05% BSA
Shipped at conditions
Blue Ice
Appropriate short-term storage duration
1-2 weeks
Appropriate short-term storage conditions
+4°C
Appropriate long-term storage conditions
-20°C
Aliquoting information
Upon delivery aliquot
Storage information
Avoid freeze / thaw cycle

Supplementary information

This supplementary information is collated from multiple sources and compiled automatically.

AP3M2 also known as Adapter-Related Protein Complex 3 Mu 2 Subunit is a protein that plays a critical role in intracellular trafficking processes. It has a molecular mass of approximately 50 kDa. This protein is expressed in various tissues and is significantly abundant in the nervous system. AP3M2 forms part of the AP-3 complex which is essential for protein sorting and transport from the trans-Golgi network to endosomes and lysosomes.
Biological function summary

AP3M2 contributes to the regulation of membrane protein localization. It acts as part of the AP-3 complex working together with other subunits to facilitate vesicle formation and cargo selection for transport. The AP-3 complex is an adaptor protein complex that functions in the clathrin-independent transport pathway important for lysosomal protein sorting. AP3M2's function ensures proper cellular compartmentalization and distribution of lysosomal enzymes and membrane proteins.

Pathways

AP3M2 functions in the context of both the endocytic and secretory pathways. Within these pathways the protein partakes alongside proteins like VPS41 and HPS1 contributing to vesicular trafficking and organelle biogenesis. In the endocytic pathway AP3M2 helps in the transport of cargo to lysosomes affecting protein degradation and recycling while in the secretory pathway it assists in packaging lysosomal proteins for delivery to their proper cellular destinations.

AP3M2 is linked to Hermansky-Pudlak syndrome and neurodevelopmental disorders. Mutations in the genes encoding proteins of the AP-3 complex including AP3M2 are known to disrupt normal vesicular trafficking leading to symptoms observed in Hermansky-Pudlak syndrome a disorder characterized by albinism and bleeding issues. Furthermore alterations in AP3M2 function are also associated with neurological disorders linking to proteins like BI1 and AP3B1 affecting neuronal migration and synaptic function.

Product protocols

For this product, it's our understanding that no specific protocols are required. You can visit:

Target data

Part of the AP-3 complex, an adaptor-related complex which is not clathrin-associated. The complex is associated with the Golgi region as well as more peripheral structures. It facilitates the budding of vesicles from the Golgi membrane and may be directly involved in trafficking to lysosomes. In concert with the BLOC-1 complex, AP-3 is required to target cargos into vesicles assembled at cell bodies for delivery into neurites and nerve terminals.
See full target information AP3M2

Publications (1)

Recent publications for all applications. Explore the full list and refine your search

Nutrition & metabolism 21:5 PubMed38167476

2024

D-mannose promotes the degradation of IDH2 through upregulation of RNF185 and suppresses breast cancer.

Applications

Unspecified application

Species

Unspecified reactive species

Ruonan Zhang,Ziyin Tian,Yanping Xu,Lei Lv
View all publications

Product promise

We are committed to supporting your work with high-quality reagents, and we're here for you every step of the way. In the unlikely event that one of our products does not perform as expected, you're protected by our Product Promise.
For full details, please see our Terms & Conditions

Please note: All products are 'FOR RESEARCH USE ONLY. NOT FOR USE IN DIAGNOSTIC OR THERAPEUTIC PROCEDURES'.

For licensing inquiries, please contact partnerships@abcam.com