JavaScript is disabled in your browser. Please enable JavaScript to view this website.
AB316002

Anti-AP4B1 antibody [EPR28048-85]

Be the first to review this product! Submit a review

|

(0 Publication)

Rabbit Recombinant Monoclonal AP4B1 antibody. Suitable for WB and reacts with Human, Mouse, Rat samples.

View Alternative Names

AP-4 complex subunit beta-1, AP-4 adaptor complex subunit beta, Adaptor-related protein complex 4 subunit beta-1, Beta subunit of AP-4, Beta4-adaptin, AP4B1

2 Images
Western blot - Anti-AP4B1 antibody [EPR28048-85] (AB316002)
  • WB

Supplier Data

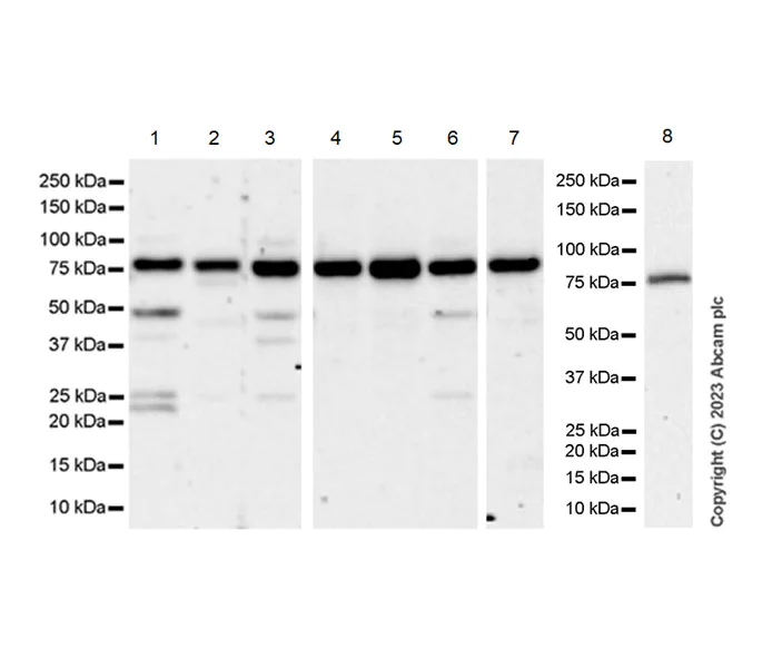
Western blot - Anti-AP4B1 antibody [EPR28048-85] (AB316002)

Blocking and diluting buffer and concentration : 5% NFDM/TBST.

The identity of the bands between 20 kDa and 50 kDa are unknown.

Lanes 1-2 are applied with Goat Anti-Rabbit IgG (HRP) with minimal cross-reactivity with human IgG at 1/2000 and Lanes 3-8 are applied with Goat Anti-Rabbit IgG, (H+L), Peroxidase conjugated (ab97051) at 1/100000.

Exposure time : Lanes 1-7 : 158 seconds; Lane 8 : 180 seconds.

All lanes:

Western blot - Anti-AP4B1 antibody [EPR28048-85] (ab316002) at 1/1000 dilution

Lane 1:

Human brain tissue lysate at 20 µg

Lane 2:

Human spleen tissue lysate at 20 µg

Lane 3:

Mouse brain tissue lysate at 20 µg

Lane 4:

Mouse spleen tissue lysate at 20 µg

Lane 5:

PC-12 (rat adrenal gland pheochromocytoma cell) whole cell lysate at 20 µg

Lane 6:

Rat brain tissue lysate at 20 µg

Lane 7:

Rat spleen tissue lysate at 20 µg

Lane 8:

NIH/3T3 (mouse embryonic fibroblast) whole cell lysate at 20 µg

Secondary

Lanes 1 - 2:

Goat Anti-Rabbit IgG (HRP) with minimal cross-reactivity with human IgG at 1/2000 dilution

Lanes 3 - 8:

Western blot - Goat Anti-Rabbit IgG H&L (HRP) (<a href='/en-us/products/secondary-antibodies/goat-rabbit-igg-h-l-hrp-ab97051'>ab97051</a>) at 1/20000 dilution

Observed band size: 83 kDa

false

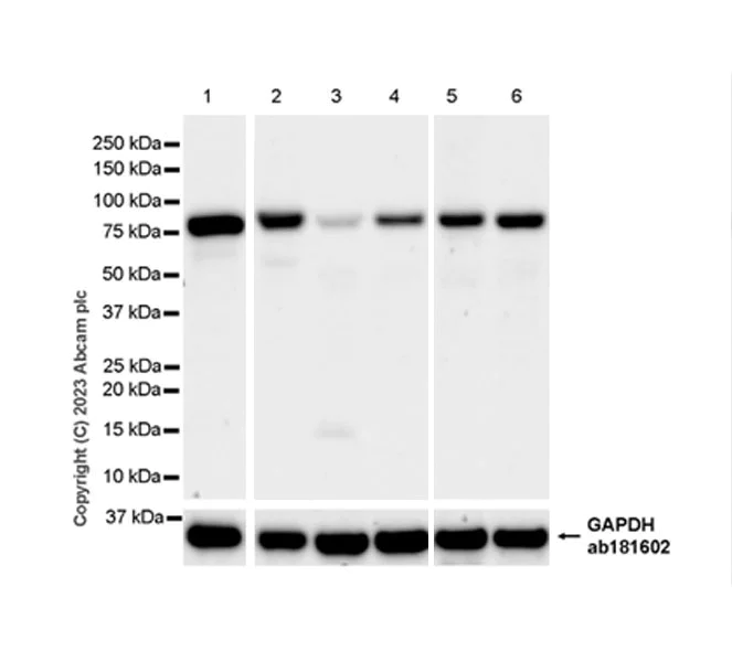
Western blot - Anti-AP4B1 antibody [EPR28048-85] (AB316002)
  • WB

Supplier Data

Western blot - Anti-AP4B1 antibody [EPR28048-85] (AB316002)

Blocking and diluting buffer and concentration : 5% NFDM/TBST.

Low expression : JEG-3, T84.

In Western blot, Anti-GAPDH antibody [EPR16891] - Loading Control (ab181602) staining at 1/200000 dilution.

Exposure time : Lane 1 : 70 seconds; Lanes 2-4 : 59 seconds; Lanes 5-6 : 70 seconds.

All lanes:

Western blot - Anti-AP4B1 antibody [EPR28048-85] (ab316002) at 1/1000 dilution

Lane 1:

MCF7 (human breast adenocarcinoma epithelial cell) whole cell lysate at 20 µg

Lane 2:

DLD-1 (human colorectal adenocarcinoma epithelial cell) whole cell lysate at 20 µg

Lane 3:

JEG-3 (human placenta epithelial cell) whole cell lysate at 20 µg

Lane 4:

T84 (human colon epithelial cell) whole cell lysate at 20 µg

Lane 5:

HeLa (human cervical adenocarcinoma epithelial cell) whole cell lysate at 20 µg

Lane 6:

SH-SY5Y (human neuroblastoma epithelial cell) whole cell lysate at 20 µg

Secondary

All lanes:

Western blot - Goat Anti-Rabbit IgG H&L (HRP) (<a href='/en-us/products/secondary-antibodies/goat-rabbit-igg-h-l-hrp-ab97051'>ab97051</a>) at 1/100000 dilution

Observed band size: 83 kDa,36 kDa

false

Key facts

Host species

Rabbit

Clonality

Monoclonal

Clone number

EPR28048-85

Isotype

IgG

Carrier free

No

Reacts with

Human, Mouse, Rat

Applications

WB

applications

Immunogen

The exact immunogen used to generate this antibody is proprietary information.

Reactivity data

{ "title": "Reactivity Data", "filters": { "stats": ["", "Species", "Dilution Info", "Notes"], "tabs": { "all-applications": {"fullname" : "All Applications", "shortname": "All Applications"}, "WB" : {"fullname" : "Western blot", "shortname":"WB"}, "IHCP" : {"fullname" : "Immunohistochemistry (Formalin/PFA-fixed paraffin-embedded sections)", "shortname":"IHC-P"}, "ICCIF" : {"fullname" : "Immunocytochemistry/ Immunofluorescence", "shortname":"ICC/IF"}, "IP" : {"fullname" : "Immunoprecipitation", "shortname":"IP"}, "FlowCytIntra" : {"fullname" : "Flow Cytometry (Intracellular)", "shortname":"Flow Cyt (Intra)"} }, "product-promise": { "all": "all", "testedAndGuaranteed": "tested", "guaranteed": "expected", "predicted": "predicted", "notRecommended": "not-recommended" } }, "values": { "Human": { "WB-species-checked": "testedAndGuaranteed", "WB-species-dilution-info": "1/1000", "WB-species-notes": "<p></p>", "IHCP-species-checked": "notRecommended", "IHCP-species-dilution-info": "", "IHCP-species-notes": "<p></p>", "ICCIF-species-checked": "notRecommended", "ICCIF-species-dilution-info": "", "ICCIF-species-notes": "<p></p>", "IP-species-checked": "notRecommended", "IP-species-dilution-info": "", "IP-species-notes": "<p></p>", "FlowCytIntra-species-checked": "notRecommended", "FlowCytIntra-species-dilution-info": "", "FlowCytIntra-species-notes": "<p></p>" }, "Mouse": { "WB-species-checked": "testedAndGuaranteed", "WB-species-dilution-info": "1/1000", "WB-species-notes": "<p></p>", "IHCP-species-checked": "notRecommended", "IHCP-species-dilution-info": "", "IHCP-species-notes": "<p></p>", "ICCIF-species-checked": "notRecommended", "ICCIF-species-dilution-info": "", "ICCIF-species-notes": "<p></p>", "IP-species-checked": "notRecommended", "IP-species-dilution-info": "", "IP-species-notes": "", "FlowCytIntra-species-checked": "notRecommended", "FlowCytIntra-species-dilution-info": "", "FlowCytIntra-species-notes": "<p></p>" }, "Rat": { "WB-species-checked": "testedAndGuaranteed", "WB-species-dilution-info": "1/1000", "WB-species-notes": "<p></p>", "IHCP-species-checked": "notRecommended", "IHCP-species-dilution-info": "", "IHCP-species-notes": "<p></p>", "ICCIF-species-checked": "notRecommended", "ICCIF-species-dilution-info": "", "ICCIF-species-notes": "", "IP-species-checked": "notRecommended", "IP-species-dilution-info": "", "IP-species-notes": "", "FlowCytIntra-species-checked": "notRecommended", "FlowCytIntra-species-dilution-info": "", "FlowCytIntra-species-notes": "" } } }

Product details

Patented technology
Our RabMAb® technology is a patented hybridoma-based technology for making rabbit monoclonal antibodies. For details on our patents, please refer to RabMAb® patents.

What are the advantages of a recombinant monoclonal antibody?
This product is a recombinant monoclonal antibody, which offers several advantages including:

  • - High batch-to-batch consistency and reproducibility
  • - Improved sensitivity and specificity
  • - Long-term security of supply
  • - Animal-free batch production

For more information, read more on recombinant antibodies.

Properties and storage information

Form
Liquid
Purification technique
Affinity purification Protein A
Storage buffer
pH: 7.2 - 7.4 Preservative: 0.01% Sodium azide Constituents: PBS, 40% Glycerol (glycerin, glycerine), 0.05% BSA
Shipped at conditions
Blue Ice
Appropriate short-term storage duration
1-2 weeks
Appropriate short-term storage conditions
+4°C
Appropriate long-term storage conditions
-20°C
Aliquoting information
Upon delivery aliquot
Storage information
Avoid freeze / thaw cycle

Supplementary information

This supplementary information is collated from multiple sources and compiled automatically.

AP4B1 also known as Adaptor-Related Protein Complex 4 Beta 1 Subunit plays a critical role in the cellular transport mechanism. It is a component of the AP-4 adaptor complex which is involved in the sorting of cargo proteins at the trans-Golgi network. The protein has a mass of approximately 82 kDa. AP4B1 is primarily expressed in the brain and other tissues indicating its essential role in neuronal function and development.
Biological function summary

AP4B1 contributes to the function of the adaptor protein complex 4 (AP-4). This complex is important for recognizing and binding to sorting signals within the cytoplasmic tails of membrane proteins. AP4B1 facilitates the proper trafficking of proteins to endosomes and lysosomes impacting cellular homeostasis and function. Failure in such trafficking processes often leads to cellular malfunction.

Pathways

The AP4B1 protein is integral to pathways involving vesicular transport and protein sorting. It interacts with other adaptor-related proteins like AP4M1 within the AP-4 complex influencing the export of proteins from the Golgi apparatus. Additionally AP4B1 affects the lysosomal delivery of proteins playing a role in clathrin-independent pathways essential for maintaining cellular stability.

AP4B1 mutations are associated with neurologic conditions such as spastic paraplegia type 47 (SPG47). These mutations lead to improper sorting and trafficking of proteins contributing to neurodegeneration. Furthermore AP4B1 interactions with other proteins in the AP-4 complex like AP4E1 can exacerbate these conditions highlighting the importance of the complex in maintaining neurological health.

Product protocols

For this product, it's our understanding that no specific protocols are required. You can visit:

Target data

Component of the adaptor protein complex 4 (AP-4). Adaptor protein complexes are vesicle coat components involved both in vesicle formation and cargo selection. They control the vesicular transport of proteins in different trafficking pathways (PubMed : 10066790, PubMed : 10436028). AP-4 forms a non clathrin-associated coat on vesicles departing the trans-Golgi network (TGN) and may be involved in the targeting of proteins from the trans-Golgi network (TGN) to the endosomal-lysosomal system. It is also involved in protein sorting to the basolateral membrane in epithelial cells and the proper asymmetric localization of somatodendritic proteins in neurons. AP-4 is involved in the recognition and binding of tyrosine-based sorting signals found in the cytoplasmic part of cargos, but may also recognize other types of sorting signal (Probable).
See full target information AP-4 complex subunit beta-1

Product promise

We are committed to supporting your work with high-quality reagents, and we're here for you every step of the way. In the unlikely event that one of our products does not perform as expected, you're protected by our Product Promise.
For full details, please see our Terms & Conditions

Please note: All products are 'FOR RESEARCH USE ONLY. NOT FOR USE IN DIAGNOSTIC OR THERAPEUTIC PROCEDURES'.

For licensing inquiries, please contact partnerships@abcam.com