JavaScript is disabled in your browser. Please enable JavaScript to view this website.
AB323641

Anti-AP4M1 antibody [EPR28050-10]

Be the first to review this product! Submit a review

|

(0 Publication)

Rabbit Recombinant Monoclonal AP4M1 antibody. Suitable for WB and reacts with Human, Mouse, Rat samples.

View Alternative Names

MUARP2, AP4M1, AP-4 complex subunit mu-1, AP-4 adaptor complex mu subunit, Adaptor-related protein complex 4 subunit mu-1, Mu subunit of AP-4, Mu-adaptin-related protein 2, Mu4-adaptin, mu-ARP2, mu4

3 Images
Western blot - Anti-AP4M1 antibody [EPR28050-10] (AB323641)
  • WB

Supplier Data

Western blot - Anti-AP4M1 antibody [EPR28050-10] (AB323641)

Blocking and diluting buffer and concentration : 5% NFDM/TBST.

Lanes 2-6 of this blot was developed using a high-sensitivity ECL substrate, allowing for the detection of proteins in the mid-femtogram range.

The identity of the lower MW band at approximately 37 kDa in lane 5 is unknown.

In Western blot, Anti-GAPDH antibody [EPR16891] - Loading Control (ab181602) staining at 1/200000 dilution.

All lanes:

Western blot - Anti-AP4M1 antibody [EPR28050-10] (ab323641) at 1/1000 dilution

Lane 1:

MCF7 (human breast adenocarcinoma epithelial cell) whole cell lysate at 20 µg

Lane 2:

SH-SY5Y (human neuroblastoma epithelial cell) whole cell lysate at 20 µg

Lane 3:

SK-BR-3 (human breast adenocarcinoma epithelial cell) whole cell lysate at 20 µg

Lane 4:

mIMCD3 (mouse inner medullary collecting duct epithelial cell) whole cell lysate at 20 µg

Lane 5:

F9 (mouse embryonal carcinoma epithelial cell) whole cell lysate at 20 µg

Lane 6:

EL4 (mouse lymphoma T lymphocyte) whole cell lysate at 20 µg

Secondary

All lanes:

Western blot - Goat Anti-Rabbit IgG H&L (HRP) (<a href='/en-us/products/secondary-antibodies/goat-rabbit-igg-h-l-hrp-ab97051'>ab97051</a>) at 1/100000 dilution

Observed band size: 50 kDa,36 kDa

false

Exposure time: 180s

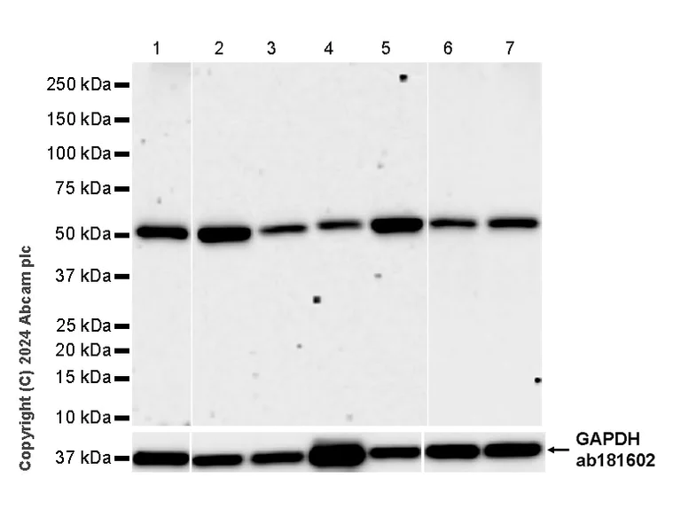
Western blot - Anti-AP4M1 antibody [EPR28050-10] (AB323641)
  • WB

Supplier Data

Western blot - Anti-AP4M1 antibody [EPR28050-10] (AB323641)

Blocking and diluting buffer and concentration : 5% NFDM/TBST.

Lanes 2-7 are incubated with Goat Anti-Rabbit IgG, (H+L), Peroxidase conjugated (ab97051) at 1/100000 and lanes 1 is incubated with Goat Anti-Rabbit IgG (HRP) with minimal cross-reactivity with human IgG at 1/2000.

Lanes 6-7 of this blot was developed using a high-sensitivity ECL substrate, allowing for the detection of proteins in the mid-femtogram range.

In Western blot, Anti-GAPDH antibody [EPR16891] - Loading Control (ab181602) staining at 1/200000 dilution.

Exposure time : Lanes 1-5 : 180 seconds; Lanes 6-7 : 81 seconds.

All lanes:

Western blot - Anti-AP4M1 antibody [EPR28050-10] (ab323641) at 1/1000 dilution

Lane 1:

Human testis tissue lysate at 20 µg

Lane 2:

Mouse testis tissue lysate at 20 µg

Lane 3:

Mouse adrenal gland tissue lysate at 20 µg

Lane 4:

Mouse skeletal muscle tissue lysate at 20 µg

Lane 5:

Rat testis tissue lysate at 20 µg

Lane 6:

Rat adrenal gland tissue lysate at 20 µg

Lane 7:

PC-12 (rat adrenal gland pheochromocytoma cell)whole cell lysate at 20 µg

Secondary

Lane 1:

Goat Anti-Rabbit IgG (HRP) with minimal cross-reactivity with human IgG at 1/2000 dilution

Lanes 2 - 7:

Western blot - Goat Anti-Rabbit IgG H&L (HRP) (<a href='/en-us/products/secondary-antibodies/goat-rabbit-igg-h-l-hrp-ab97051'>ab97051</a>) at 1/100000 dilution

Observed band size: 50 kDa,36 kDa

false

Western blot - Anti-AP4M1 antibody [EPR28050-10] (AB323641)
  • WB

Supplier Data

Western blot - Anti-AP4M1 antibody [EPR28050-10] (AB323641)

Blocking and diluting buffer and concentration : 5% NFDM/TBST.

The identity of the lower MW band at approximately 25 kDa is unknown.

In Western blot, Anti-GAPDH antibody [EPR16891] - Loading Control (ab181602) staining at 1/200000 dilution.

All lanes:

Western blot - Anti-AP4M1 antibody [EPR28050-10] (ab323641) at 1/1000 dilution

Lane 1:

HeLa (human cervical adenocarcinoma epithelial cell) transfected with scrambled siRNA control whole cell lysate at 20 µg

Lane 2:

HeLa transfected with siRNA specifically targeting AP4M1 whole cell lysate at 20 µg

Secondary

All lanes:

Western blot - Goat Anti-Rabbit IgG H&L (HRP) (<a href='/en-us/products/secondary-antibodies/goat-rabbit-igg-h-l-hrp-ab97051'>ab97051</a>) at 1/100000 dilution

Observed band size: 50 kDa,36 kDa

false

Exposure time: 26s

Key facts

Host species

Rabbit

Clonality

Monoclonal

Clone number

EPR28050-10

Isotype

IgG

Carrier free

No

Reacts with

Human, Mouse, Rat

Applications

WB

applications

Immunogen

The exact immunogen used to generate this antibody is proprietary information.

Reactivity data

{ "title": "Reactivity Data", "filters": { "stats": ["", "Species", "Dilution Info", "Notes"], "tabs": { "all-applications": {"fullname" : "All Applications", "shortname": "All Applications"}, "WB" : {"fullname" : "Western blot", "shortname":"WB"}, "ICCIF" : {"fullname" : "Immunocytochemistry/ Immunofluorescence", "shortname":"ICC/IF"} }, "product-promise": { "all": "all", "testedAndGuaranteed": "tested", "guaranteed": "expected", "predicted": "predicted", "notRecommended": "not-recommended" } }, "values": { "Human": { "WB-species-checked": "testedAndGuaranteed", "WB-species-dilution-info": "1/1000", "WB-species-notes": "<p></p>", "ICCIF-species-checked": "notRecommended", "ICCIF-species-dilution-info": "", "ICCIF-species-notes": "<p></p>" }, "Mouse": { "WB-species-checked": "testedAndGuaranteed", "WB-species-dilution-info": "1/1000", "WB-species-notes": "<p></p>", "ICCIF-species-checked": "notRecommended", "ICCIF-species-dilution-info": "", "ICCIF-species-notes": "<p></p>" }, "Rat": { "WB-species-checked": "testedAndGuaranteed", "WB-species-dilution-info": "1/1000", "WB-species-notes": "<p></p>", "ICCIF-species-checked": "notRecommended", "ICCIF-species-dilution-info": "", "ICCIF-species-notes": "" } } }

Product details

Patented technology
Our RabMAb® technology is a patented hybridoma-based technology for making rabbit monoclonal antibodies. For details on our patents, please refer to RabMAb® patents.

What are the advantages of a recombinant monoclonal antibody?
This product is a recombinant monoclonal antibody, which offers several advantages including:

  • - High batch-to-batch consistency and reproducibility
  • - Improved sensitivity and specificity
  • - Long-term security of supply
  • - Animal-free batch production

For more information, read more on recombinant antibodies.

Properties and storage information

Form
Liquid
Purification technique
Affinity purification Protein A
Storage buffer
pH: 7.2 - 7.4 Preservative: 0.01% Sodium azide Constituents: PBS, 40% Glycerol (glycerin, glycerine), 0.05% BSA
Shipped at conditions
Blue Ice
Appropriate short-term storage duration
1-2 weeks
Appropriate short-term storage conditions
+4°C
Appropriate long-term storage conditions
-20°C
Aliquoting information
Upon delivery aliquot
Storage information
Avoid freeze / thaw cycle

Product protocols

For this product, it's our understanding that no specific protocols are required. You can visit:

Target data

Component of the adaptor protein complex 4 (AP-4). Adaptor protein complexes are vesicle coat components involved both in vesicle formation and cargo selection. They control the vesicular transport of proteins in different trafficking pathways (PubMed : 10066790, PubMed : 10436028, PubMed : 11139587, PubMed : 11802162, PubMed : 20230749). AP-4 forms a non clathrin-associated coat on vesicles departing the trans-Golgi network (TGN) and may be involved in the targeting of proteins from the trans-Golgi network (TGN) to the endosomal-lysosomal system (PubMed : 11139587, PubMed : 20230749). It is also involved in protein sorting to the basolateral membrane in epithelial cells and the proper asymmetric localization of somatodendritic proteins in neurons (By similarity). Within AP-4, the mu-type subunit AP4M1 is directly involved in the recognition and binding of tyrosine-based sorting signals found in the cytoplasmic part of cargos (PubMed : 10436028, PubMed : 11139587, PubMed : 20230749, PubMed : 26544806). The adaptor protein complex 4 (AP-4) may also recognize other types of sorting signal (By similarity).
See full target information AP4M1

Additional targets

Ap4m1,Ap4m1

Product promise

We are committed to supporting your work with high-quality reagents, and we're here for you every step of the way. In the unlikely event that one of our products does not perform as expected, you're protected by our Product Promise.
For full details, please see our Terms & Conditions

Please note: All products are 'FOR RESEARCH USE ONLY. NOT FOR USE IN DIAGNOSTIC OR THERAPEUTIC PROCEDURES'.

For licensing inquiries, please contact partnerships@abcam.com