JavaScript is disabled in your browser. Please enable JavaScript to view this website.
AB216410

Anti-APAF1 antibody

Be the first to review this product! Submit a review

|

(1 Publication)

Rabbit Polyclonal APAF1 antibody. Suitable for IHC-P and reacts with Rat samples. Cited in 1 publication. Immunogen corresponding to Synthetic Peptide within Human APAF1 aa 1200 to C-terminus conjugated to Keyhole Limpet Haemocyanin.

View Alternative Names

KIAA0413, APAF1, Apoptotic protease-activating factor 1, APAF-1

1 Images
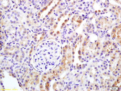
Immunohistochemistry (Formalin/PFA-fixed paraffin-embedded sections) - Anti-APAF1 antibody (AB216410)
  • IHC-P

Supplier Data

Immunohistochemistry (Formalin/PFA-fixed paraffin-embedded sections) - Anti-APAF1 antibody (AB216410)

Immunohistochemical analysis of formalin-fixed, paraffin-embedded rat kidney tissue labeling APAF1 with ab216410 at 1/200 dilution, followed by conjugation to the secondary antibody and DAB staining.

Key facts

Host species

Rabbit

Clonality

Polyclonal

Isotype

IgG

Carrier free

No

Reacts with

Rat

Applications

IHC-P

applications

Immunogen

Synthetic Peptide within Human APAF1 aa 1200 to C-terminus conjugated to Keyhole Limpet Haemocyanin. The exact immunogen used to generate this antibody is proprietary information.

O14727

Reactivity data

{ "title": "Reactivity Data", "filters": { "stats": ["", "Species", "Dilution Info", "Notes"], "tabs": { "all-applications": {"fullname" : "All Applications", "shortname": "All Applications"}, "IHCP" : {"fullname" : "Immunohistochemistry (Formalin/PFA-fixed paraffin-embedded sections)", "shortname":"IHC-P"} }, "product-promise": { "all": "all", "testedAndGuaranteed": "tested", "guaranteed": "expected", "predicted": "predicted", "notRecommended": "not-recommended" } }, "values": { "Human": { "IHCP-species-checked": "predicted", "IHCP-species-dilution-info": "", "IHCP-species-notes": "" }, "Rat": { "IHCP-species-checked": "testedAndGuaranteed", "IHCP-species-dilution-info": "1/100 - 1/500", "IHCP-species-notes": "<p></p>" } } }

Properties and storage information

Form
Liquid
Purification technique
Affinity purification Protein A
Storage buffer
pH: 7.4 Preservative: 0.02% Proclin 300 Constituents: 50% Glycerol (glycerin, glycerine), 48.98% TBS, 1X, 1% BSA
Shipped at conditions
Blue Ice
Appropriate short-term storage duration
1-2 weeks
Appropriate short-term storage conditions
+4°C
Appropriate long-term storage conditions
-20°C
Aliquoting information
Upon delivery aliquot
Storage information
Avoid freeze / thaw cycle

Supplementary information

This supplementary information is collated from multiple sources and compiled automatically.

APAF1 also known as apoptotic protease activating factor 1 plays a mechanical role in apoptosis by forming a complex with other proteins to trigger cell death. The APAF1 protein has a molecular weight of approximately 130 kDa. It is expressed in many tissues but occurs highly in the brain and heart. APAF1 interacts with cytochrome c and procaspase-9 to promote the activation of the initiator caspase cascade.
Biological function summary

APAF1 functions as a central component of the apoptosome a multi-protein complex important for programmed cell death. This process is essential for normal development and cellular homeostasis. In the apoptosome APAF1 recruits and activates procaspase-9 leading to the activation of caspase-3. This cascade assures that cells die in a controlled manner preventing damage to surrounding tissues.

Pathways

APAF1 serves an important function in the intrinsic pathway of apoptosis. It mediates cytochrome c release from mitochondria a step essential for apoptosis initiation. Another important pathway involving APAF1 is the apoptotic signaling pathway. Proteins such as Bcl-2 family members and p53 influence APAF1's role in these pathways by regulating cytochrome c release and apoptosome assembly.

APAF1 is notably associated with neurodegenerative diseases and certain cancers. Dysregulation of APAF1 can lead to undesirable apoptosis contributing to neurodegenerative conditions like Parkinson’s disease. Conversely reduced APAF1 activity can result in tumor cell survival impacting cancer progression. Altered expression of APAF1 affects its interaction with proteins like Bcl-2 which can inhibit apoptosis and promote cancer cell growth.

Product protocols

For this product, it's our understanding that no specific protocols are required. You can visit:

Target data

Oligomeric Apaf-1 mediates the cytochrome c-dependent autocatalytic activation of pro-caspase-9 (Apaf-3), leading to the activation of caspase-3 and apoptosis. This activation requires ATP. Isoform 6 is less effective in inducing apoptosis.
See full target information APAF1

Publications (1)

Recent publications for all applications. Explore the full list and refine your search

Evidence-based complementary and alternative medicine : eCAM 2022:4194827 PubMed35774743

2022

Network Pharmacology and In Vivo Analysis of Dahuang-Huangqi Decoction Effectiveness in Alleviating Renal Interstitial Fibrosis.

Applications

Unspecified application

Species

Unspecified reactive species

Yan Luo,Chen Xuan,Junxiong Cheng,Yu Xiong,Wenfu Cao
View all publications

Product promise

We are committed to supporting your work with high-quality reagents, and we're here for you every step of the way. In the unlikely event that one of our products does not perform as expected, you're protected by our Product Promise.
For full details, please see our Terms & Conditions

Please note: All products are 'FOR RESEARCH USE ONLY. NOT FOR USE IN DIAGNOSTIC OR THERAPEUTIC PROCEDURES'.

For licensing inquiries, please contact partnerships@abcam.com