JavaScript is disabled in your browser. Please enable JavaScript to view this website.
AB265597

Anti-APC antibody

Be the first to review this product! Submit a review

|

(0 Publication)

Rabbit Polyclonal APC antibody. Suitable for IHC-P, IP and reacts with Human samples. Immunogen corresponding to Synthetic Peptide within Human APC aa 2750 to C-terminus.

View Alternative Names

DP2.5, APC, Adenomatous polyposis coli protein, Protein APC, Deleted in polyposis 2.5

2 Images
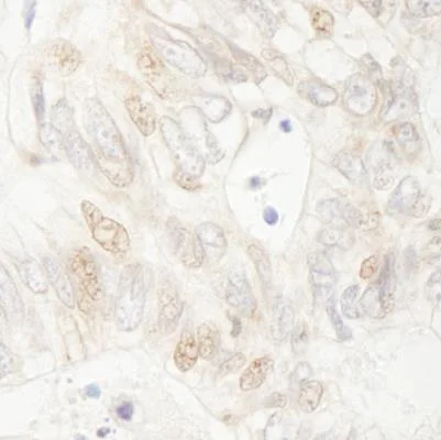
Immunohistochemistry (Formalin/PFA-fixed paraffin-embedded sections) - Anti-APC antibody (AB265597)
  • IHC-P

Supplier Data

Immunohistochemistry (Formalin/PFA-fixed paraffin-embedded sections) - Anti-APC antibody (AB265597)

Immunohistochemical analysis of formalin-fixed, paraffin-embedded human colon carcinoma tissue labeling APC with ab265597 at 1/1000 dilution. Detection : DAB.

Immunoprecipitation - Anti-APC antibody (AB265597)
  • IP

Supplier Data

Immunoprecipitation - Anti-APC antibody (AB265597)

APC was immunoprecipitated from HeLa (Human epithelial cell line from cervix adenocarcinoma) whole cell lysate (1.0 mg per IP reaction; 20% of IP loaded) with ab265597 at 3 μg/mg lysate. Western blot was performed from the immunoprecipitates using ab265597 at 1 μg/ml .

Lane 1 :ab265597 IP in HeLa whole cell lysate.**
**Lane 2 :
Control IgG IP in HeLa whole cell lysate.

Detection : Chemiluminescence with an exposure time of 30 seconds.

All lanes:

Immunoprecipitation - Anti-APC antibody (ab265597)

Predicted band size: 312 kDa

false

Key facts

Host species

Rabbit

Clonality

Polyclonal

Isotype

IgG

Carrier free

No

Reacts with

Human

Applications

IP, IHC-P

applications

Immunogen

Synthetic Peptide within Human APC aa 2750 to C-terminus. The exact immunogen used to generate this antibody is proprietary information.

P25054

Reactivity data

{ "title": "Reactivity Data", "filters": { "stats": ["", "Species", "Dilution Info", "Notes"], "tabs": { "all-applications": {"fullname" : "All Applications", "shortname": "All Applications"}, "IHCP" : {"fullname" : "Immunohistochemistry (Formalin/PFA-fixed paraffin-embedded sections)", "shortname":"IHC-P"}, "IP" : {"fullname" : "Immunoprecipitation", "shortname":"IP"} }, "product-promise": { "all": "all", "testedAndGuaranteed": "tested", "guaranteed": "expected", "predicted": "predicted", "notRecommended": "not-recommended" } }, "values": { "Human": { "IHCP-species-checked": "testedAndGuaranteed", "IHCP-species-dilution-info": "1/500 - 1/2000", "IHCP-species-notes": "<p></p> Perform heat-mediated antigen retrieval with citrate buffer pH 6 before commencing with IHC staining protocol.", "IP-species-checked": "testedAndGuaranteed", "IP-species-dilution-info": "2-5 µg/mg of lysate", "IP-species-notes": "<p></p>" } } }

Product details

Anti-APC antibody (ab265597) is not recommended for WB of crude lysate. Use at 1 μg/ml to blot enriched sources (e.g. Immunoprecipitates) of APC.

Properties and storage information

Form
Liquid
Purification technique
Affinity purification Immunogen
Storage buffer
pH: 7 - 8 Preservative: 0.09% Sodium azide Constituents: Tris citrate/phosphate
Shipped at conditions
Blue Ice
Appropriate short-term storage duration
1-2 weeks
Appropriate short-term storage conditions
+4°C
Appropriate long-term storage conditions
-20°C
Aliquoting information
Upon delivery aliquot
Storage information
Avoid freeze / thaw cycle

Product protocols

For this product, it's our understanding that no specific protocols are required. You can visit:

Target data

Tumor suppressor. Promotes rapid degradation of CTNNB1 and participates in Wnt signaling as a negative regulator. APC activity is correlated with its phosphorylation state. Activates the GEF activity of SPATA13 and ARHGEF4. Plays a role in hepatocyte growth factor (HGF)-induced cell migration. Required for MMP9 up-regulation via the JNK signaling pathway in colorectal tumor cells. Associates with both microtubules and actin filaments, components of the cytoskeleton (PubMed : 17293347). Plays a role in mediating the organization of F-actin into ordered bundles (PubMed : 17293347). Functions downstream of Rho GTPases and DIAPH1 to selectively stabilize microtubules (By similarity). Acts as a mediator of ERBB2-dependent stabilization of microtubules at the cell cortex. It is required for the localization of MACF1 to the cell membrane and this localization of MACF1 is critical for its function in microtubule stabilization.
See full target information APC

Product promise

We are committed to supporting your work with high-quality reagents, and we're here for you every step of the way. In the unlikely event that one of our products does not perform as expected, you're protected by our Product Promise.
For full details, please see our Terms & Conditions

Please note: All products are 'FOR RESEARCH USE ONLY. NOT FOR USE IN DIAGNOSTIC OR THERAPEUTIC PROCEDURES'.

For licensing inquiries, please contact partnerships@abcam.com