JavaScript is disabled in your browser. Please enable JavaScript to view this website.
AB72040

Anti-APC antibody

5

(2 Reviews)

|

(4 Publications)

Rabbit Polyclonal APC antibody. Suitable for IHC-P and reacts with Human samples. Cited in 4 publications. Immunogen corresponding to Synthetic Peptide within Human APC.

View Alternative Names

DP2.5, APC, Adenomatous polyposis coli protein, Protein APC, Deleted in polyposis 2.5

1 Images
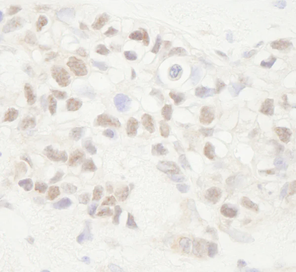
Immunohistochemistry (Formalin/PFA-fixed paraffin-embedded sections) - Anti-APC antibody (AB72040)
  • IHC-P

Unknown

Immunohistochemistry (Formalin/PFA-fixed paraffin-embedded sections) - Anti-APC antibody (AB72040)

Immunohistochemistry (Formalin/PFA-fixed paraffin-embedded sections) analysis of human breast carcinoma tissue labelling APC with ab72040 at 1/1000 (1µg/ml). Detection : DAB.

Key facts

Host species

Rabbit

Clonality

Polyclonal

Isotype

IgG

Carrier free

No

Reacts with

Human

Applications

IHC-P

applications

Immunogen

Synthetic Peptide within Human APC. The exact immunogen used to generate this antibody is proprietary information.

P25054

Reactivity data

{ "title": "Reactivity Data", "filters": { "stats": ["", "Species", "Dilution Info", "Notes"], "tabs": { "all-applications": {"fullname" : "All Applications", "shortname": "All Applications"}, "IHCP" : {"fullname" : "Immunohistochemistry (Formalin/PFA-fixed paraffin-embedded sections)", "shortname":"IHC-P"} }, "product-promise": { "all": "all", "testedAndGuaranteed": "tested", "guaranteed": "expected", "predicted": "predicted", "notRecommended": "not-recommended" } }, "values": { "Human": { "IHCP-species-checked": "testedAndGuaranteed", "IHCP-species-dilution-info": "1/500 - 1/2000", "IHCP-species-notes": "<p></p> Perform heat-mediated antigen retrieval with citrate buffer pH 6 before commencing with IHC staining protocol." }, "Mouse": { "IHCP-species-checked": "predicted", "IHCP-species-dilution-info": "", "IHCP-species-notes": "" }, "Rat": { "IHCP-species-checked": "predicted", "IHCP-species-dilution-info": "", "IHCP-species-notes": "" }, "Chicken": { "IHCP-species-checked": "predicted", "IHCP-species-dilution-info": "", "IHCP-species-notes": "" }, "Chimpanzee": { "IHCP-species-checked": "predicted", "IHCP-species-dilution-info": "", "IHCP-species-notes": "" }, "Cow": { "IHCP-species-checked": "predicted", "IHCP-species-dilution-info": "", "IHCP-species-notes": "" }, "Dog": { "IHCP-species-checked": "predicted", "IHCP-species-dilution-info": "", "IHCP-species-notes": "" }, "Gorilla": { "IHCP-species-checked": "predicted", "IHCP-species-dilution-info": "", "IHCP-species-notes": "" }, "Guinea pig": { "IHCP-species-checked": "predicted", "IHCP-species-dilution-info": "", "IHCP-species-notes": "" }, "Horse": { "IHCP-species-checked": "predicted", "IHCP-species-dilution-info": "", "IHCP-species-notes": "" }, "Pig": { "IHCP-species-checked": "predicted", "IHCP-species-dilution-info": "", "IHCP-species-notes": "" }, "Platypus": { "IHCP-species-checked": "predicted", "IHCP-species-dilution-info": "", "IHCP-species-notes": "" }, "Rabbit": { "IHCP-species-checked": "predicted", "IHCP-species-dilution-info": "", "IHCP-species-notes": "" }, "Rhesus monkey": { "IHCP-species-checked": "predicted", "IHCP-species-dilution-info": "", "IHCP-species-notes": "" }, "Xenopus tropicalis": { "IHCP-species-checked": "predicted", "IHCP-species-dilution-info": "", "IHCP-species-notes": "" } } }

Properties and storage information

Form
Liquid
Purification technique
Affinity purification Immunogen
Purification notes
ab72040 was affinity purified using an epitope specific to APC immobilized on solid support.
Storage buffer
pH: 7 - 8 Preservative: 0.09% Sodium azide Constituents: PBS, 1.815% Tris, 1.764% Sodium citrate
Shipped at conditions
Blue Ice
Appropriate short-term storage conditions
+4°C
Appropriate long-term storage conditions
+4°C
Aliquoting information
Upon delivery aliquot
Storage information
Avoid freeze / thaw cycle

Product protocols

For this product, it's our understanding that no specific protocols are required. You can visit:

Target data

Tumor suppressor. Promotes rapid degradation of CTNNB1 and participates in Wnt signaling as a negative regulator. APC activity is correlated with its phosphorylation state. Activates the GEF activity of SPATA13 and ARHGEF4. Plays a role in hepatocyte growth factor (HGF)-induced cell migration. Required for MMP9 up-regulation via the JNK signaling pathway in colorectal tumor cells. Associates with both microtubules and actin filaments, components of the cytoskeleton (PubMed : 17293347). Plays a role in mediating the organization of F-actin into ordered bundles (PubMed : 17293347). Functions downstream of Rho GTPases and DIAPH1 to selectively stabilize microtubules (By similarity). Acts as a mediator of ERBB2-dependent stabilization of microtubules at the cell cortex. It is required for the localization of MACF1 to the cell membrane and this localization of MACF1 is critical for its function in microtubule stabilization.
See full target information APC

Publications (4)

Recent publications for all applications. Explore the full list and refine your search

Nature communications 12:2678 PubMed33976153

2021

Elp2 mutations perturb the epitranscriptome and lead to a complex neurodevelopmental phenotype.

Applications

Unspecified application

Species

Unspecified reactive species

Marija Kojic,Tomasz Gawda,Monika Gaik,Alexander Begg,Anna Salerno-Kochan,Nyoman D Kurniawan,Alun Jones,Katarzyna Drożdżyk,Anna Kościelniak,Andrzej Chramiec-Głąbik,Soroor Hediyeh-Zadeh,Maria Kasherman,Woo Jun Shim,Enakshi Sinniah,Laura A Genovesi,Rannvá K Abrahamsen,Christina D Fenger,Camilla G Madsen,Julie S Cohen,Ali Fatemi,Zornitza Stark,Sebastian Lunke,Joy Lee,Jonas K Hansen,Martin F Boxill,Boris Keren,Isabelle Marey,Margarita S Saenz,Kathleen Brown,Suzanne A Alexander,Sergey Mureev,Alina Batzilla,Melissa J Davis,Michael Piper,Mikael Bodén,Thomas H J Burne,Nathan J Palpant,Rikke S Møller,Sebastian Glatt,Brandon J Wainwright

Aging 12:23808-23821 PubMed33176278

2020

Effect of Klotho protein during porcine oocyte maturation via Wnt signaling.

Applications

Unspecified application

Species

Unspecified reactive species

Eui Hyun Kim,Anukul Taweechaipaisankul,Muhammad Rosyid Ridlo,Geon A Kim,Byeong Chun Lee

Theranostics 10:74-90 PubMed31903107

2020

Microglia exacerbate white matter injury via complement C3/C3aR pathway after hypoperfusion.

Applications

Unspecified application

Species

Unspecified reactive species

Lin-Yuan Zhang,Jiaji Pan,Muyassar Mamtilahun,Yuan Zhu,Liping Wang,Ashwin Venkatesh,Rubing Shi,Xuanqiang Tu,Kunlin Jin,Yongting Wang,Zhijun Zhang,Guo-Yuan Yang

Scientific reports 9:10783 PubMed31346222

2019

GRP78 translocation to the cell surface and O-GlcNAcylation of VE-Cadherin contribute to ER stress-mediated endothelial permeability.

Applications

Unspecified application

Species

Unspecified reactive species

Raji Lenin,Peter G Nagy,Kumar Abhiram Jha,Rajashekhar Gangaraju
View all publications

Product promise

We are committed to supporting your work with high-quality reagents, and we're here for you every step of the way. In the unlikely event that one of our products does not perform as expected, you're protected by our Product Promise.
For full details, please see our Terms & Conditions

Please note: All products are 'FOR RESEARCH USE ONLY. NOT FOR USE IN DIAGNOSTIC OR THERAPEUTIC PROCEDURES'.

For licensing inquiries, please contact partnerships@abcam.com